Abstract
Introduction: Legionella micdadei are gram-negative bacilli living in soil and aquatic habitats. They are responsible for less than 10% of legionellosis, but have a propensity to affect people suffering from immunodeficiency. Lung cavitations may also occur in this population. Isolation of L. micdadei on clinical samples requires specific culture media that are not routinely used. Moreover, serologic methods and urinary assays are specific for Legionella pneumophila serogroup 1 (the most frequent serogroup isolated from clinical specimens), and lack sensitivity for diagnosing L. micdadei infection. As a consequence, this diagnosis is difficult to confirm. Case report: We report here a severe case of community-acquired legionellosis due to L. micdadei, in a patient under immunosuppressive medications and high-dose corticosteroids for rheumatoid arthritis. The source of his infection was hypothesized to be his continuous positive airway pressure device, which was regularly cleaned with tap water instead of sterile water, thus potentially resulting in Legionella contamination. Conclusions: L. micdadei must be considered as a possible cause of community-acquired severe pneumonia in case of immunodeficiency. For outpatients, advice concerning the cleaning of aerosols-generating devices at home must be emphasized.
Introduction
Legionella are intracellular gram-negative bacilli living in soil and aquatic habitats. Many species and serogroups have been described, including Legionella pneumophila, which accounts for about 90% of legionellosis cases, followed by L. longbeachae, L. bozemanii, or L. micdadei whose true prevalence is difficult to estimate [1,2]. L. micdadei was recognized as a human pathogen in 1979, after being isolated in patients suffering from pneumonia in Pittsburg, and named the “Pittsburg pneumonia agent”. In 1980 it was recognized as a new Legionella species and finally designated L. micdadei [3]. Rare cases of endocarditis, brain abscess, cellulitis, or prosthetic joint infections due to L. micdadei have been published, but it has a predilection for causing pneumonia in immunocompromised hosts [1,2,4,5,6,7]. The mortality rate of L. micdadei infections may be around 20% in some series [2]. We report a case of L. micdadei pneumonia and discuss the difficulties encountered in establishing the diagnosis.
Case report
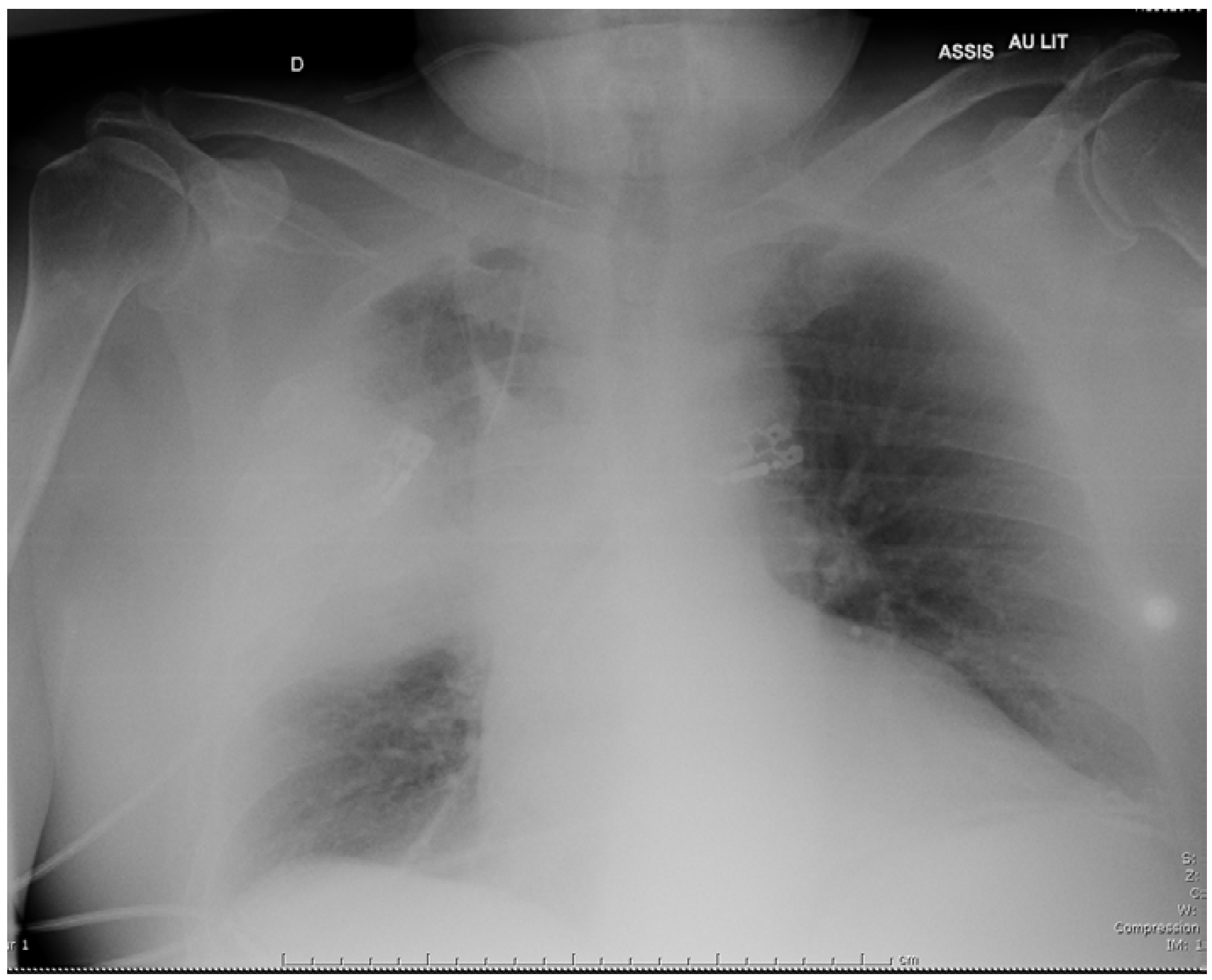
A 69-year-old man presented in November 2018 with a 3-day history of cough and fever. He reported significant tobacco consumption, type 2 diabetes, obstructive sleep apnea (OSA) and rheumatoid arthritis (RA) treated with successive tumor necrosis factor-alpha inhibitors since 2004. His immunosuppressive therapy had been strengthened with high-dose corticosteroids in August 2018 because the RA had relapsed, and etanercept had just been replaced by abatacept (an inhibitor of the cytotoxic T lymphocyte-associated antigen-4 receptors) few days prior to admission. The first evaluation revealed: temperature of 37.9 °C, blood pressure of 126/69 mmHg, respiratory rate of 32/min, and oxygen saturation of 95% on 3L/min of O2. He was alert but complained of cough and dyspnea. The chest examination mainly revealed crackles in the right field. Initial lab work showed: hemoglobin 12.8 g/dL, WBC count 9,600 /µL, platelet count 178,000 /µL, creatinine level 22.3 mg/L, C-reactive protein 514 mg/L, and procalcitonin 4.9 ng/mL. On room air arterial blood gas showed pH of 7.50, O2 pressure of 53 mmHg, and CO2 pressure of 34 mmHg. Chest X-ray demonstrated alveolar infiltrates in the middle part of the right lung (Figure 1). The patient received intravenous (i.v.) cefotaxime, 2 g every 8 h, plus i.v. levofloxacin, 500 mg daily, as empirical therapy, then was admitted to the intensive care unit because he required non-invasive ventilation.
Figure 1.
Chest X-ray on admission showing a right consolidation in the right lung.
All the first microbiological tests were negative (blood cultures, L. pneumophila serogroup 1 and Streptococcus pneumoniae urinary antigen tests (UAT) (BinaxNow®, Alere, Waltham, MA, USA), Pneumocystis DNA PCR in sputum, test for influenza A and B in nasopharyngeal aspirates, HIV serology). No pathogenic bacteria were grown on sputum cultures plated onto standard Columbia blood agar, chocolate agar, Drigalski and Sabouraud plates (ThermoFisher Scientific, Waltham MA, USA, and BioMérieux, Marcy-l’Étoile, France).
On the sixth day bronchoalveolar lavage (BAL) fluid only grew Candida albicans, and specific quantitative herpes simplex virus-1 PCR was weakly positive. Considering that colonization of the airways by Candida and herpes simplex virus could worsen respiratory parameters, we added i.v. fluconazole 400 mg daily, and acyclovir 600 mg every 8 h, to the antibiotics. Otherwise specific mycobacteria cultures and serologies for Coxiella burnetii, Aspergillus, and L. pneumophila remained negative.
Despite these treatments the patient’s condition deteriorated with the onset of respiratory failure and septic shock, requiring the use of vasoactive drugs and mechanical ventilation. Antimicrobial coverage was therefore broadened with the replacement of cefotaxime and levofloxacin by i.v. meropenem, 2 g every 8 h, and i.v. linezolid 600 mg twice a day, although no pathogenic bacteria had been identified yet. A chest computed tomography (CT) showed bilateral pleural effusions, patchy alveolar infiltrates, and a large abscess in the right lobe measuring 85 by 57 by 53 mm (Figure 2). Intravenous voriconazole 400 mg every 12 h, was thus substituted for fluconazole with concern for an Aspergillus infection, and acyclovir was discontinued.
Figure 2.
Chest computed tomography performed on the 21st day of hospitalization, showing bilateral pleural effusions, and the occurrence of a large abscess in the right lung.
The three following weeks were marked by an unfavorable evolution, with recurrent hemodynamic and renal failures despite the adjunction of intravenous metronidazole 500 mg every 8 h, and colistin 3 million international units (MIU) every 8 h. Hemodialysis was started, and a second BAL was performed but the conventional cultures yielded negative results again. At that time drainage of the abscess seemed to be the best way to identify the causal agent, but it couldn’t be performed easily because of high risks of bronchopulmonary fistula. CT was repeated twice and showed no improvement under empirical therapy, but a large pleural empyema had appeared on the last exam. This allowed a safer drainage of the pleural collection on day 34, and the removal of 150 mL of purulent liquid rich in polymorphonuclear cells. Abscess cultures only grew fluconazole-sensitive Candida albicans. Finally, 16S rRNA PCR came back positive one week later, with sequences homologous to L. micdadei [8]. Samples were sent to a reference laboratory for Legionella, and L. micdadei could be grown on Legionella-specific buffered charcoal yeast extract (BCYE) agar, on BCYE supplemented with glycine (3 g/L), vancomycin (1 mg/L), polymyxin B (50,000 UI/L) and anisomycin (80 mg/L) called MWY medium, and on BCYE supplemented with cefamandole (4 mg/L), polymyxin B (80,000 UI/L) and anisomycin (80 mg/L) called BMPA medium. The results were confirmed by sequencing of the mip- (macrophage infectivity potentiator) gene from L. micdadei cultures, then by comparison with the GenBank database.
We thus decided to withdraw broad-spectrum antibiotics, and to introduce an additional 3-week course of i.v. levofloxacin 500 mg every 12 h, plus i.v. spiramycin 3 MIU every 8 h, which led to transient improvement of respiratory and hemodynamic parameters. Unfortunately, his condition gradually deteriorated again at the end of the treatment, because of catheter-related bacteremia due to methicillin-resistant Staphylococcus epidermidis, then nosocomial pneumonia due to Morganella morganii. L. micdadei DNA was still isolated on the two last BALs, using specific Legionella PCR (kit Diagenode®, Diagenode s.a., Liège, Belgium) and sequencing of the 23S-5S ribosomal intergenic spacer region [9], but Legionella specific cultures remained negative. Despite the reintroduction of vancomycin, loading dose followed by continuous perfusion of 30 mg/kg each day, then i.v. cefepime 2 g every 8 h, and i.v. levofloxacin, 500 mg every 12 h, the patient died three months after his admission.
Discussion
Our case underlines some of the pitfalls in diagnosing L. micdadei infections. L. micdadei are ubiquitous bacteria responsible for pneumonias that preferentially affect profoundly immunosuppressed people, as was our patient under immunosuppressive medications and more recently added high-dose corticosteroids [1,2,4,5,6,7]. The reasons why L. micdadei are rarely found in healthy people are not clear. Even if L. micdadei and L. pneumophila share virulence genes, it seems that L. micdadei are less virulent than L. pneumophila, and show fewer cytotoxic capacities when cultured with macrophages [10].
Our patient suffered from a severe legionellosis for which the diagnosis has been challenging and delayed. At first, initial empirical treatment including levofloxacin to cover a putative legionellosis was ineffective. Moreover, the negative urinary antigen results and the occurrence of a cavitation misled us, and prompted us to look for differential diagnoses, such as more frequent opportunistic infections. Therefore, we withdrew levofloxacin on the tenth day. Legionellosis is commonly described as alveolar or interstitial pneumonia. However it is worth noting that several previously reported cases of L. micdadei infections in immunocompromised individuals have become complicated by lung abscess [1,5,6,7]. Even though L. micdadei are responsible only for a low percentage of legionellosis cases, we believe it is important for clinicians to be aware of L. micdadei’s propensity to induce pulmonary nodules that can cavitate in this high-risk population.
Legionella are fastidious, facultative intracellular bacteria, difficult to isolate in the laboratory. When stained in tissue samples they may appear as weakly acid-fast bacilli, which may induce a misdiagnosis with tuberculosis [4]. Their isolation requires BCYE or BCYE-derived media, but these aren’t routinely used. Moreover, non-pneumophila Legionella are more fastidious in cultures than L. pneumophila, which may further induce false-negative results [2,11]. UAT partially help overcome these difficulties, but they only reliably detect L. pneumophila serogroup 1 infections, with a low sensitivity for the other species or serogroups. As a consequence, for people at risk of non-pneumophila Legionella infections, clinicians should not rely exclusively on urinary assays to rule out a diagnosis of legionellosis.
In our case, delay in diagnosis was also due to the location of the abscess that prevented collection of appropriate samples because of risks of bronchopleural fistula. The drainage could only be performed after a pleural empyema had appeared. 16S rRNA PCR, 23S-5S rRNA PCR, sequencing of the mip-gene, and cultures of these samples on BCYE agar allowed the identification of L. micdadei. Drug-susceptibility testing demonstrated that levofloxacin and spiramycin were effective on this strain. Therefore, they were chosen to treat our patient for three additional weeks according to national guidelines. This treatment showed efficacy since we observed clinical improvement and the last BAL cultures had become negative, but the patient underwent complications of such a prolonged hospitalization, and died one month after completion of this treatment.
During legionellosis bacteria replicate efficiently within alveolar macrophages, but the natural reservoir of Legionella are freshwater environments, where they live in biofilms and sediments and replicate within free-living amoebae [3]. These protozoa can withstand extreme environments, which protects Legionella against disinfection of water distribution systems. Legionellosis are hospital- or community-acquired, transmitted through inhalation of contaminated aerosols or droplets from water supplies, aerosol-generating devices, cooling towers, air conditioners, spas, etc. The link between such exposures and the risk of legionellosis is well known for L. pneumophila [12], but L. micdadei share the same environmental niche [3]. Our patient denied having recently used air conditioner or spa, but he was suffering from OSA and needed continuous positive airway pressure (CPAP) at night. When such therapy is initiated advice about the daily cleaning of the mask and tubing are given. They must be correctly and regularly performed to avoid the colonization by waterborne bacteria such as Legionella. Guidelines recommend the use of sterile, distilled, or cooled boiled water to rinse or fill the CPAP components, since it has been demonstrated that they could become a secondary reservoir for Legionella if inappropriate cleaning was performed [12]. Here we were unable to determine the source of this infection, but we strongly suspected the CPAP devices to be colonized by L. micdadei, after the patient’s wife told us that they regularly rinse the equipment with tap water. This community-acquired infection was notified to the Health Regional Agency, but no investigation was performed at the patient’s home, since no outbreak had occurred.
Conclusions
L. micdadei infections are rare, but are potentially lethal causes of pneumonia for immunosuppressed patients. Our case highlights the difficulties in confirming the diagnosis, which imposes a high degree of clinical suspicion in order not to omit this potential etiology of pneumonia. It also underlines the fact that using a CPAP device at home may favor exposure to Legionella, that’s why the importance of proper cleaning and maintenance must be emphasized to patients using such devices.
Author Contributions
M.F. gave advice for the medical management of this patient and for antibiotic therapy, and wrote the manuscript. L.B. was responsible for microbiologic analyzes performed in our hospital, and gave advice for the proofreading of the document. J.V., P.C., and A.M. took part in the medical care of the patient in the intensive care unit, and the proofreading of the document. M.M gave advice for the medical management of this patient, and for antibiotic therapy. She participated to the proofreading of the manuscript. All authors read and approved the final version of the manuscript.
Funding
None to disclose.
Informed Consent Statement
The authors obtained informed consent from the family of the patient for publication of this case report and the accompanying images.
Acknowledgments
The authors would like to thank doctor Marie-Isabelle Steinbach, doctor Marie-Odile Lafforgue, doctor Richard Monarchi and Doctor Bob Catala for proofreading the document. The authors would like to thank doctor Laetitia Beraud, working at the national reference center of Legionella, for the specific microbiologic analyzes performed in this center.
Conflicts of Interest
All authors—none to disclose.
References
- Muder, R.R.; Yu, V.L. Infection due to Legionella species other than L. pneumophila. Clin Infect Dis 2002, 35, 990–998. [Google Scholar] [CrossRef]
- Sivagnanam, S.; Podczervinski, S.; Butler-Wu, S.M.; et al. Legionnaires’ disease in transplant recipients: A 15-year retrospective study in a tertiary referral center. Transpl Infect Dis 2017, 19, e12745. [Google Scholar] [CrossRef]
- Furuhata, K.; Ogihara, K.; Okuno, R.; Oonaka, K.; Fukuyama, M. Growth in Acanthamoeba sp. and antibiotic susceptibility of Legionella micdadei isolated from hot spring water samples. Biocontrol Sci 2009, 14, 181–184. [Google Scholar] [CrossRef][Green Version]
- Waldron, P.R.; Martin, B.A.; Ho, D.Y. Mistaken identity: Legionella micdadei appearing as acid-fast bacilli on lung biopsy of a hematopoietic stem cell transplant patient. Transpl Infect Dis 2015, 17, 89–93. [Google Scholar] [CrossRef] [PubMed]
- Yu, H.; Higa, F.; Koide, M.; et al. Lung abscess caused by Legionella species: Implication of the immune status of hosts. Intern Med 2009, 48, 1997–2002. [Google Scholar] [CrossRef] [PubMed]
- Girard, L.P.; Gregson, D.B. Community-acquired lung abscess caused by Legionella micdadei in a myeloma patient receiving thalidomide treatment. J Clin Microbiol 2007, 45, 3135–3137. [Google Scholar] [CrossRef] [PubMed]
- Lachant, D.; Prasad, P. Legionella micdadei: A forgotten etiology of growing cavitary nodules: A case report and literature review. Case Rep Pulmonol 2015, 2015, 535012. [Google Scholar] [CrossRef] [PubMed]
- Joshi, A.D.; Swanson, M.S. Comparative analysis of Legionella pneumophila and Legionella micdadei virulence traits. Infect Immun 1999, 67, 4134–4142. [Google Scholar] [CrossRef] [PubMed]
- Cornut, P.L.; Boisset, S.; Romanet, J.P.; et al. Principles and applications of molecular biology techniques for the microbiological diagnosis of acute post-operative endophthalmitis. Surv Ophthalmol 2014, 59, 286–303. [Google Scholar] [CrossRef] [PubMed]
- Grattard, F.; Ginevra, C.; Riffard, S.; et al. Analysis of the genetic diversity of Legionella by sequencing the 23S-5S ribosomal intergenic spacer region: From phylogeny to direct identification of isolates at the species level from clinical specimens. Microbes Infect 2006, 8, 73–83. [Google Scholar] [CrossRef] [PubMed]
- Lee, T.C.; Vickers, R.M.; Yu, V.L.; Wagener, M.M. Growth of 28 Legionella species on selective culture media: A comparative study. J Clin Microbiol 1993, 31, 2764–2768. [Google Scholar] [CrossRef] [PubMed]
- Woo, A.H.; Goetz, A.; Yu, V.L. Transmission of Legionella by respiratory equipment and aerosol generating devices. Chest 1992, 102, 1586–1590. [Google Scholar] [CrossRef] [PubMed]
© GERMS 2019.

