Permanent Pacemaker-Associated actinomycetemcomitans Endocarditis: A Case Report
Abstract
Introduction
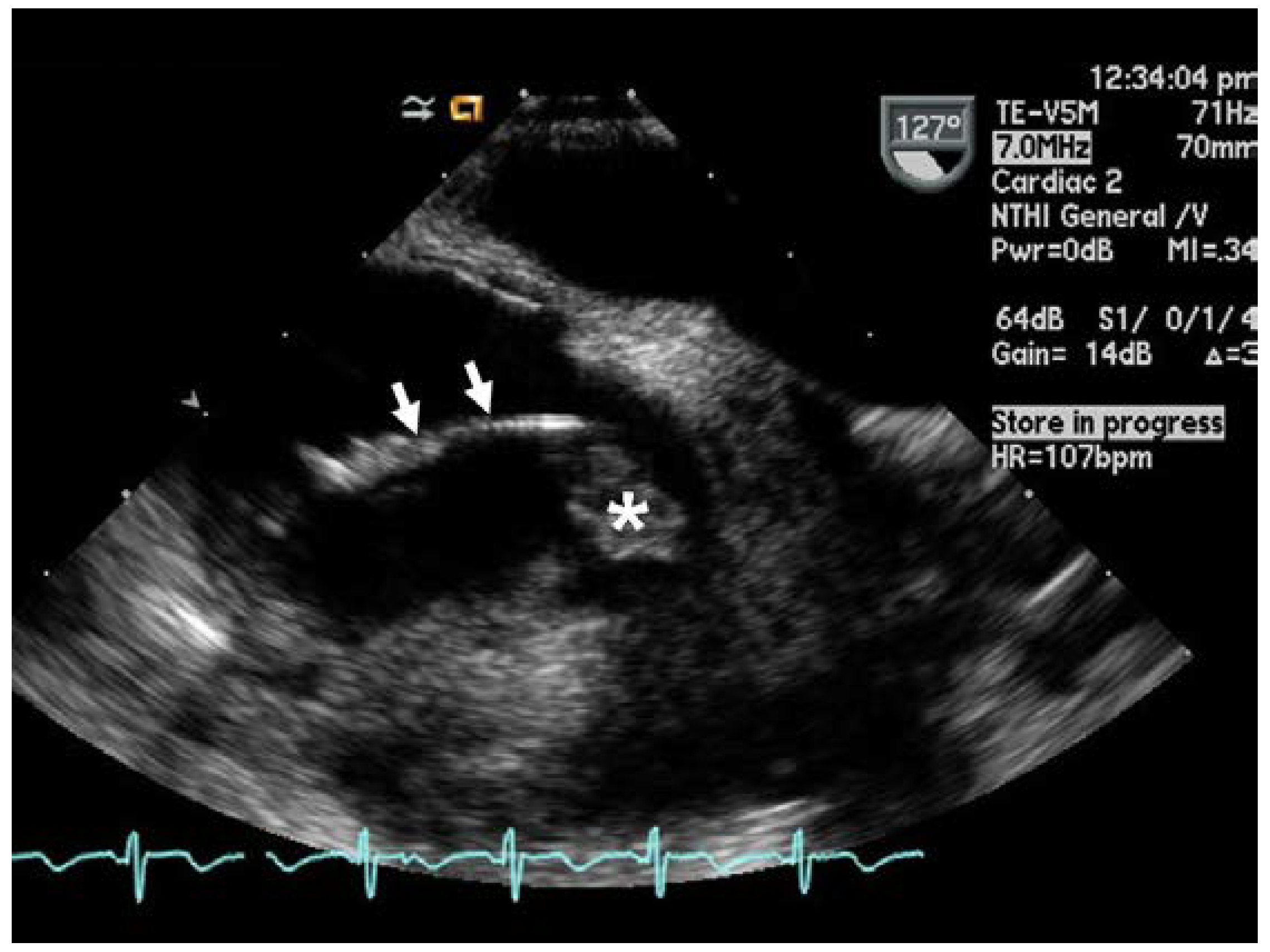
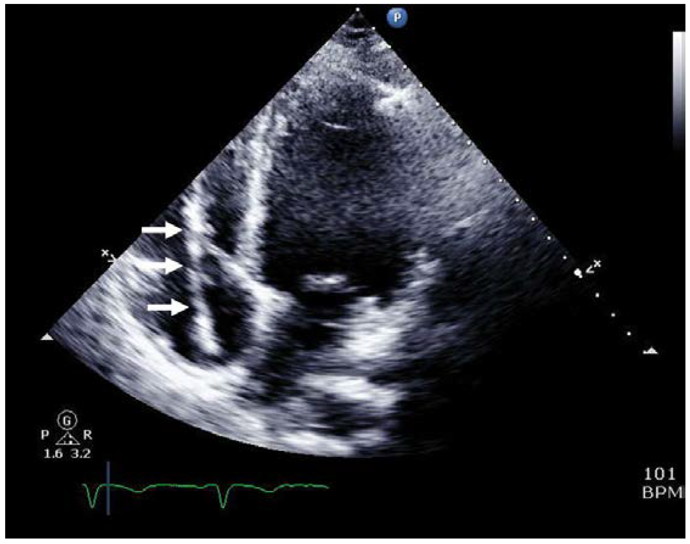
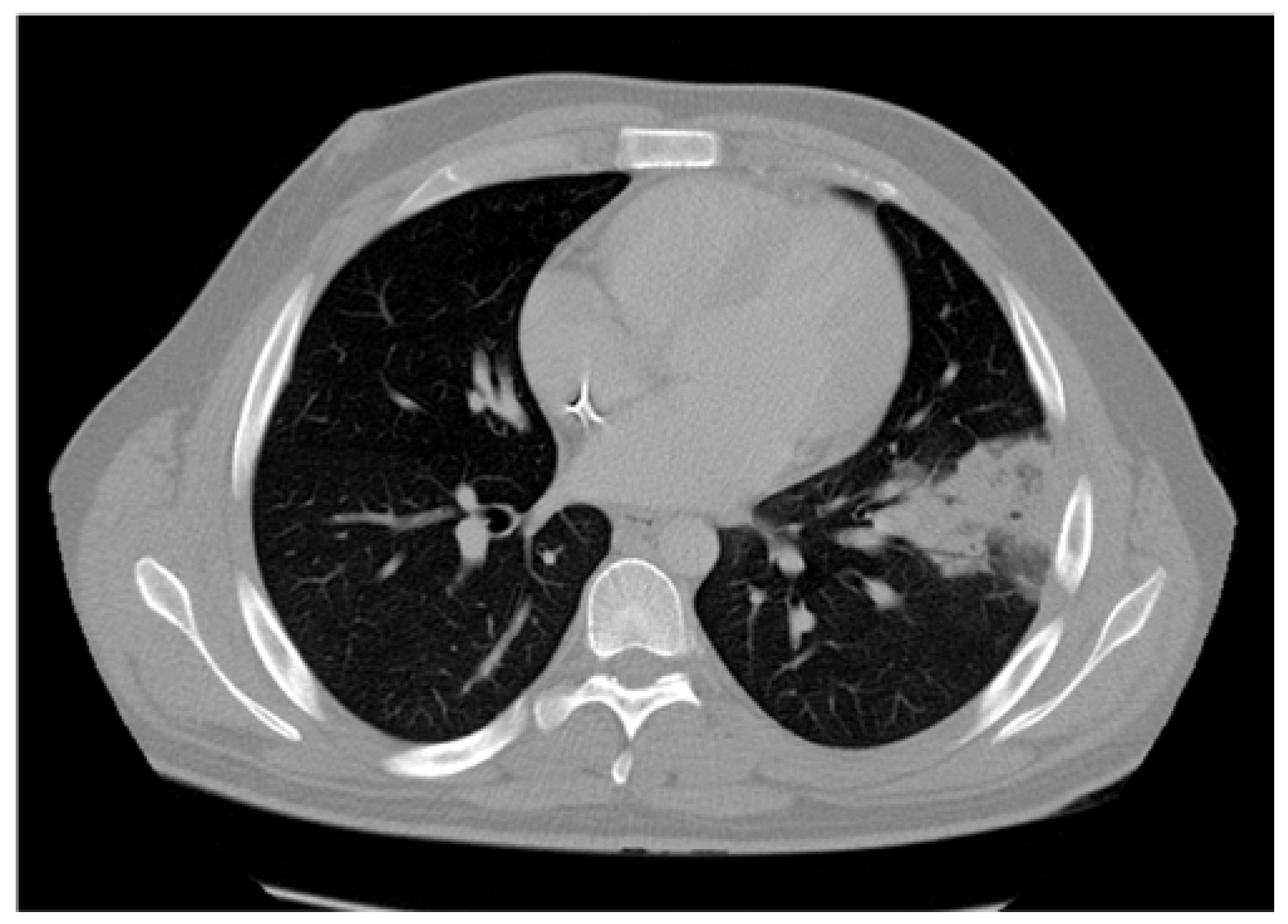
Case presentation
Discussion
Conclusions
Author Contributions
Conflicts of Interest
References
- Viola, G.M.; Awan, L.L.; Darouiche, R.O. Nonstaphylococcal infections of cardiac implantable electronic devices. Circulation 2010, 121, 2085–2091. [Google Scholar] [CrossRef] [PubMed]
- Darouiche, R.O. Treatment of infections associated with surgical implants. N Engl J Med 2004, 350, 1422–1429. [Google Scholar] [CrossRef] [PubMed]
- Lai, K.K.; Fontecchio, S.A. Infections associated with implantable cardioverter defibrillators placed transvenously and via thoracotomies: Epidemiology, infection control, and management. Clin Infect Dis 1998, 27, 265–269. [Google Scholar] [CrossRef] [PubMed]
- Conklin, E.F.; Giannelli, S., Jr; Nealon, T.F., Jr. Four hundred consecutive patients with permanent transvenous pacemakers. J Thorac Cardiovasc Surg 1975, 69, 1–7. [Google Scholar] [CrossRef] [PubMed]
- Durante-Mangoni, E.; Mattucci, I.; Agrusta, F.; Tripodi, M.F.; Utili, R. Current trends in the management of cardiac implantable electronic device (CIED) infections. Intern Emerg Med 2013, 8, 465–476. [Google Scholar] [CrossRef] [PubMed]
- Le, K.Y.; Sohail, M.R.; Friedman, P.A.; et al. Clinical predictors of cardiovascular implantable electronic device-related infective endocarditis. Pacing Clin Electrophysiol 2011, 34, 450–459. [Google Scholar] [CrossRef] [PubMed]
- Arber, N.; Pras, E.; Copperman, Y.; et al. Pacemaker endocarditis. Report of 44 cases and review of the literature. Medicine (Baltimore) 1994, 73, 299–305. [Google Scholar] [CrossRef] [PubMed]
- Uslan, D.Z.; Sohail, M.R.; St Sauver, J.L.; et al. Permanent pacemaker and implantable cardioverter defibrillator infection: A population-based study. Arch Intern Med 2007, 167, 669–675. [Google Scholar] [CrossRef] [PubMed]
- Jorge, V.C.; Araujo, A.C.; Grilo, A.; et al. Actinobacillus endocarditis associated with hypertrophic cardiomyopathy. BMJ Case Rep 2012, 2012. [Google Scholar] [CrossRef] [PubMed]
- Brouqui, P.; Raoult, D. Endocarditis due to rare and fastidious bacteria. Clin Microbiol Rev 2001, 14, 177–207. [Google Scholar] [CrossRef] [PubMed]
- Walkty, A. Cardiobacterium hominis endocarditis: A case report and review of the literature. Can J Infect Dis Med Microbiol 2005, 16, 293–297. [Google Scholar] [CrossRef]
- Berbari, E.F.; Cockerill, F.R., 3rd; Steckelberg, J.M. Infective endocarditis due to unusual or fastidious microorganisms. Mayo Clin Proc 1997, 72, 532–542. [Google Scholar] [CrossRef] [PubMed]
- Greene, J.N.; Sandin, R.L.; Villanueva, L.; Sinnott, J.T. Haemophilus parainfluenzae endocarditis in a patient with mitral valve prolapse. Ann Clin Lab Sci 1993, 23, 203–206. [Google Scholar] [PubMed]
- Thal, L.A.; Vazquez, J.; Perri, M.B.; et al. Activity of ampicillin plus sulbactam against beta-lactamase producing enterococci in experimental endocarditis. J Antimicrob Chemother 1993, 31, 182–185. [Google Scholar] [CrossRef] [PubMed]
- Landman, D.; Quale, J.M. Management of infections due to resistant enterococci: A review of therapeutic options. J Antimicrob Chemother 1997, 40, 161–170. [Google Scholar] [CrossRef] [PubMed]
- Baddour, L.M.; Wilson, W.R.; Bayer, A.S.; et al. Infective endocarditis: Diagnosis, antimicrobial therapy, and management of complications: A statement for healthcare professionals from the Committee on Rheumatic Fever, Endocarditis, and Kawasaki Disease, Council on Cardiovascular Disease in the Young, and the Councils on Clinical Cardiology, Stroke, and Cardiovascular Surgery and Anesthesia, American Heart Association: Endorsed by the Infectious Diseases Society of America. Circulation 2005, 111, e394–e434. [Google Scholar] [CrossRef] [PubMed]
- Farooqi, F.M.; Talsania, S.; Hamid, S.; Rinaldi, C.A. Extraction of cardiac rhythm devices: Indications, techniques and outcomes for the removal of pacemaker and defibrillator leads. Int J Clin Pract 2010, 64, 1140–1147. [Google Scholar] [CrossRef]
- Sohail, M.R.; Uslan, D.Z.; Khan, A.H.; et al. Infective endocarditis complicating permanent pacemaker and implantable cardioverter-defibrillator infection. Mayo Clin Proc 2008, 83, 46–53. [Google Scholar] [CrossRef] [PubMed]
- Bloom, H.L.; Constantin, L.; Dan, D.; et al. Implantation success and infection in cardiovascular implantable electronic device procedures utilizing an antibacterial envelope. Pacing Clin Electrophysiol 2011, 34, 133–142. [Google Scholar] [CrossRef] [PubMed]
- Kolek, M.J.; Dresen, W.F.; Wells, Q.S.; Ellis, C.R. Use of an Antibacterial Envelope is Associated with Reduced Cardiac Implantable Electronic Device Infections in High-Risk Patients. Pacing Clin Electrophysiol 2013, 36, 354–361. [Google Scholar] [CrossRef]



© GERMS 2013.
Share and Cite
Li, Z.; Madeo, J.; Ahmed, S.; Vidal, A.; Makaryus, A.; Mejia, J.; Yasmin, T. Permanent Pacemaker-Associated actinomycetemcomitans Endocarditis: A Case Report. GERMS 2013, 3, 96-101. https://doi.org/10.11599/germs.2013.1043
Li Z, Madeo J, Ahmed S, Vidal A, Makaryus A, Mejia J, Yasmin T. Permanent Pacemaker-Associated actinomycetemcomitans Endocarditis: A Case Report. GERMS. 2013; 3(3):96-101. https://doi.org/10.11599/germs.2013.1043
Chicago/Turabian StyleLi, Zhenhong, Jennifer Madeo, Shadab Ahmed, Alex Vidal, Amgad Makaryus, Jose Mejia, and Tabassum Yasmin. 2013. "Permanent Pacemaker-Associated actinomycetemcomitans Endocarditis: A Case Report" GERMS 3, no. 3: 96-101. https://doi.org/10.11599/germs.2013.1043
APA StyleLi, Z., Madeo, J., Ahmed, S., Vidal, A., Makaryus, A., Mejia, J., & Yasmin, T. (2013). Permanent Pacemaker-Associated actinomycetemcomitans Endocarditis: A Case Report. GERMS, 3(3), 96-101. https://doi.org/10.11599/germs.2013.1043
