Next Article in Journal
Massive Empyema Due to Lactococcus garvieae
Previous Article in Journal
A Rare Case of Empyema Due to Cutibacterium acnes in the Setting of COVID-19
 
 
GERMS is published by MDPI from Volume 15 Issue 4 (2025). Previous articles were published by another publisher in Open Access under a CC-BY (or CC-BY-NC-ND) licence, and they are hosted by MDPI on mdpi.com as a courtesy and upon agreement with the former publisher Infection Science Forum.
Font Type:
Arial Georgia Verdana
Font Size:
Aa Aa Aa
Line Spacing:
Column Width:
Background:
Case Report

Actinomyces in the Mediastinum. Surprise Is Key in All Art

by
Diego Fernando Severiche-Bueno
1,*,
Sandra Ximena Ramirez
2,
María Teresa Vargas-Cuervo
3,
David Felipe Severiche Bueno
1,
Carmelo Jiménez Navarro
4,
Jacqueline Mugnier
5 and
Juan Pablo Rodriguez
6
1
Universidad de La Sabana, Chía, Cundinamarca, KM 7.5 Autopista Norte de Bogotá, Chía, Colombia
2
Universidad del Rosario, Bogotá D.C, Colombia, Calle 163A # 13B - 60, Bogotá, Colombia
3
Universidad del Rosario, Bogotá D.C, Colombia, Cra. 7 No. 40 - 62, Bogotá, Colombia
4
Universidad de La Sabana, Chía, Cundinamarca, Calle 163A # 13B - 85, Bogotá, Colombia
5
Fundación Cardioinfantil, Bogotá D.C, Colombia, Calle 163A # 13B - 85, Bogotá, Colombia
6
Fundación Neumológica Colombiana, Bogotá D.C, Colombia, Calle 163A # 13B - 85, Bogotá, Colombia
*
Author to whom correspondence should be addressed.
GERMS 2022, 12(3), 409-413; https://doi.org/10.18683/germs.2022.1346
Submission received: 1 May 2022 / Revised: 15 August 2022 / Accepted: 19 August 2022 / Published: 30 September 2022

Abstract

Introduction: Actinomycosis is an unusual chronic granulomatous infectious disease. They are commensals in various sites of the human body but with little pathogenicity. Actinomyces israelii is the most prevalent species but more than 30 species have been described. Infection of the lower respiratory tract is unusual, the involvement of mediastinum being even rarer. Case report: A 63-year-old man, previously healthy and living in a rural area, presented with a 5-month history of hemoptysis, pleuritic pain, weight loss, and night sweats. Community-acquired pneumonia with a mediastinal mass was documented, for which he received antibiotic management. Thoracoscopy was carried out for diagnosis and resection of the mediastinal mass due to inconclusive findings in the percutaneous biopsy. Pathology reported the presence of filamentous Gram-positive bacteria visible in Grocott staining. Due to the pathology findings, and the fact that no other infectious agents were identified, a diagnosis of actinomycosis was established. Treatment with oral amoxicillin 1g TID for 6 months was initiated. Conclusions: As far as we are aware, we present the sixth case of mediastinal actinomycosis. We present this case to bring attention to this rare but clinically relevant presentation to be considered as a differential diagnosis of mediastinal masses and to emphasize the need for specific anaerobic cultures to improve the diagnostic yield.

Introduction

Actinomycosis is an unusual chronic granulomatous infectious disease [1], but potentially serious [1,2]. More than 30 species have been described and they are predominantly commensals of the oropharynx, urogenital and gastrointestinal tracts [1], having little pathogenicity, without penetrating healthy tissue and only progressing to infection under predisposing conditions such as decreased tissue oxygenation and tissue injury [1,2].
If the mucous membrane barrier is damaged by trauma, surgery, or foreign bodies, Actinomyces can infiltrate the underlying tissue [1]. affecting the cervicofacial region, the abdomen, thorax, or the central nervous system [2]. Patients with a longer history of the disease often develop painless, hard masses that may also form sinus tracts [1].
Infection at the level of the lower respiratory tract is rare and occurs mainly in the upper lobe of the lungs. However, mediastinum involvement is rare and the presentation as a mediastinal mass has been reported in the literature in only five adult patients [3,4,5,6,7]. This case report with a review of the available evidence in the literature describes a case of actinomycosis presenting as a mediastinal mass illustrating the variety of clinical manifestations of actinomycosis, especially at the pulmonary and mediastinal level to raise awareness about this entity in the differential diagnosis of mediastinal masses and to emphasize the need for specific anaerobic cultures to improve the diagnostic yield.

Case report

A 63-year-old man, previously healthy and living in a rural area, presented with a 5-month history of hemoptysis, pleuritic pain, weight loss of 14 kilograms, and night sweats. One month before admission he had been diagnosed initially with community-acquired pneumonia at his local hospital however, no information about the treatment was available. At admission, the patient was in poor general condition with tachycardia, fever, and tachypnea. Physical examination revealed no abnormalities in the cardiopulmonary and skin exam. The initial investigation showed a high C-reactive protein (10.74 mg/dL; reference range: 0-0.3 mg/dL), leukocytosis (21,800/mm3; reference range: 5,000-10,000/mm3), neutrophilia (19,900/mm3; reference range: 4,000-7,000/mm3), and a chest X-ray with parenchymal consolidation in the right upper lobe and poorly defined opacities in the middle lobe (Figure 1). A contrasted computed tomography scan of the chest showed extensive pulmonary parenchymal involvement in the right upper lobe and middle lobe and an anterior mediastinal mass with central necrosis and enhancement of its contours (Figure 2).
Intravenous antibiotic therapy was started with ampicillin-sulbactam 3 g QID and bronchoalveolar lavage (BAL) were performed at the same time with a percutaneous biopsy of the mass.
However, the BAL cultures were negative including quantitative bacterial culture (Vitek® 2 XL system, bioMérieux, France), fungal culture (Sabouraud dextrose agar) as well as mycobacterial studies (Abbott RealTime MTB RIF/INH polymerase chain reaction (PCR) assay, and culture with BACTEC MGIT 960 System, Becton, Dickinson and Company, USA). The cytology report was also negative. The pathology report of the percutaneous biopsy was inconclusive.
Due to these findings and the persistence of leukocytosis and neutrophilia with a high persistent C-reactive protein, the antibiotic treatment was changed to i.v. piperacillin-tazobactam 4.5 g QID and a multidisciplinary consultation were performed, which decided to pursue a video-assisted thoracoscopy surgery (VATS) to clarify the patient’s diagnosis. Macroscopic findings from the VATS were an abscessed mass of approximately 7 × 8 centimeters at the level of the anterior mediastinum with right upper lobe infiltration and pericardial infiltration with pericardial thickening. After the complete resection of the abscessed mass and a partial pericardiectomy through VATS, the antibiotic treatment was continued, and the patient evolved favorably. A few days later, the pathology report of the mass showed an inflammatory lesion with necrotizing granulomas, abundant giant multinuclear cells, histiocytosis, and neutrophils. Grocott staining showed the presence of filamentous bacteria (Figure 3) that were not visible with the Ziehl-Neelsen (ZN) staining but Gram-positive in the hematoxylin-eosin staining. Additionally, the pericardial tissue, from the partial pericardiectomy, had a lymphoplasmacytic inflammatory infiltrate with negative ZN and Grocott staining. The cultures of the mass, the same previously described in the BAL, were negative.
Due to the pathology findings, and the fact that no other infectious agents were identified, a diagnosis of actinomycosis was established and treatment with oral amoxicillin 1 g TID for 6 months was initiated, 3 weeks after admission. The patient was discharged one month after admission. The follow-up by the infectious disease specialist was made 3 months after discharge, with the resolution of symptoms. It was decided to complete 6 months of treatment, but the patient has not attended new medical appointments.
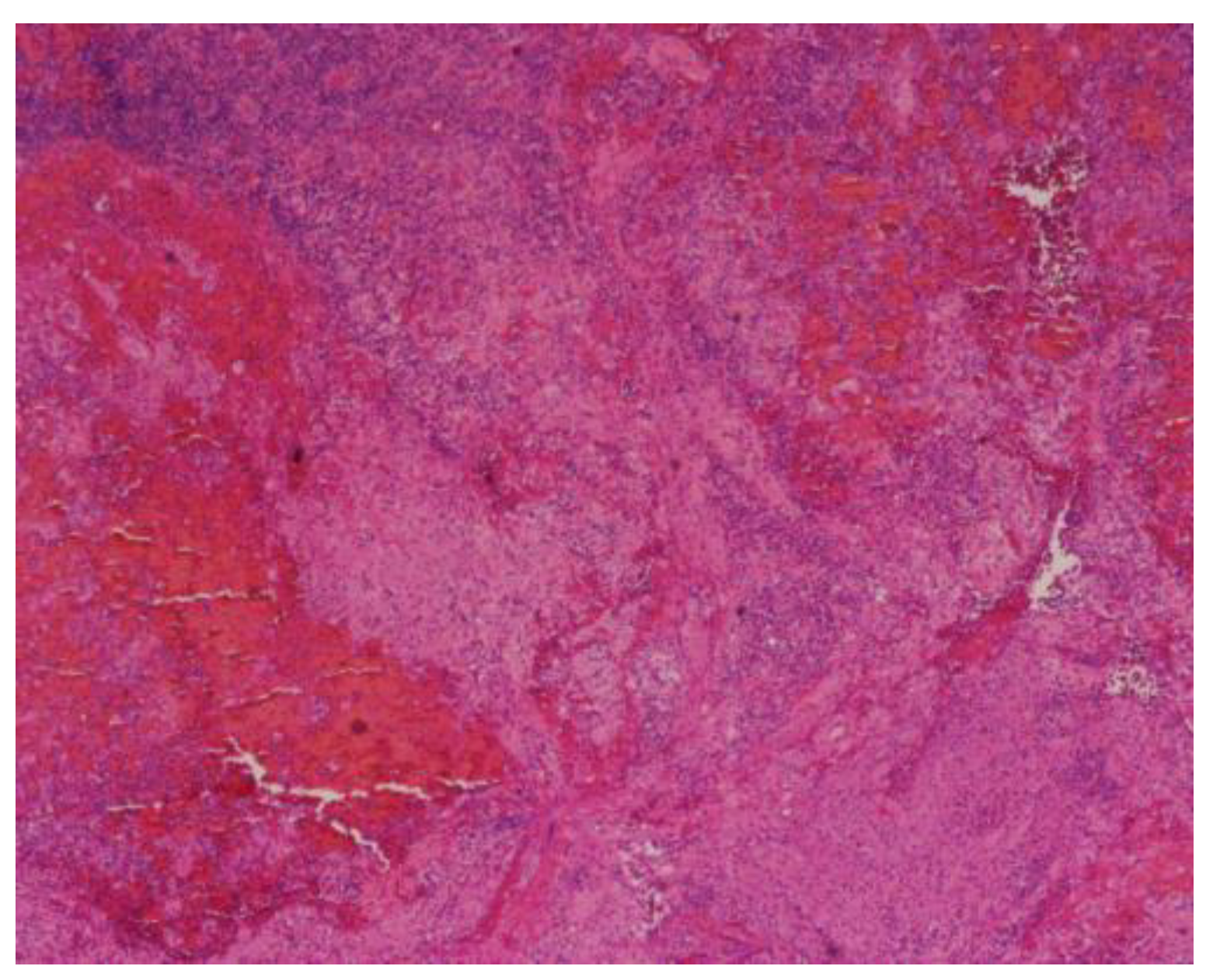
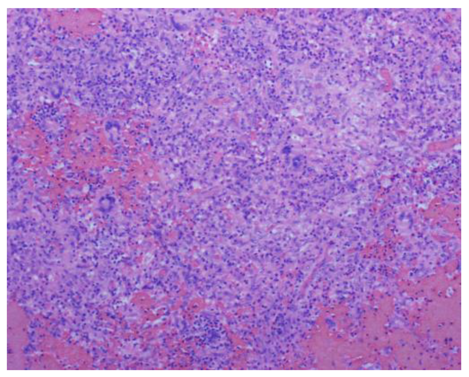
Figure 3. Mediastinal mass biopsy. Hematoxylin-eosin staining at 4x shows histiocytes aggregates and hemorrhage.
Figure 3. Mediastinal mass biopsy. Hematoxylin-eosin staining at 4x shows histiocytes aggregates and hemorrhage.
Germs 12 00409 g003
Figure 4. Mediastinal mass biopsy. Hematoxylin-eosin staining at 40x shows histiocytes aggregates with multinucleated giant cells and prominent lymphoplasmacytic inflammatory infiltrate.
Figure 4. Mediastinal mass biopsy. Hematoxylin-eosin staining at 40x shows histiocytes aggregates with multinucleated giant cells and prominent lymphoplasmacytic inflammatory infiltrate.
Germs 12 00409 g004
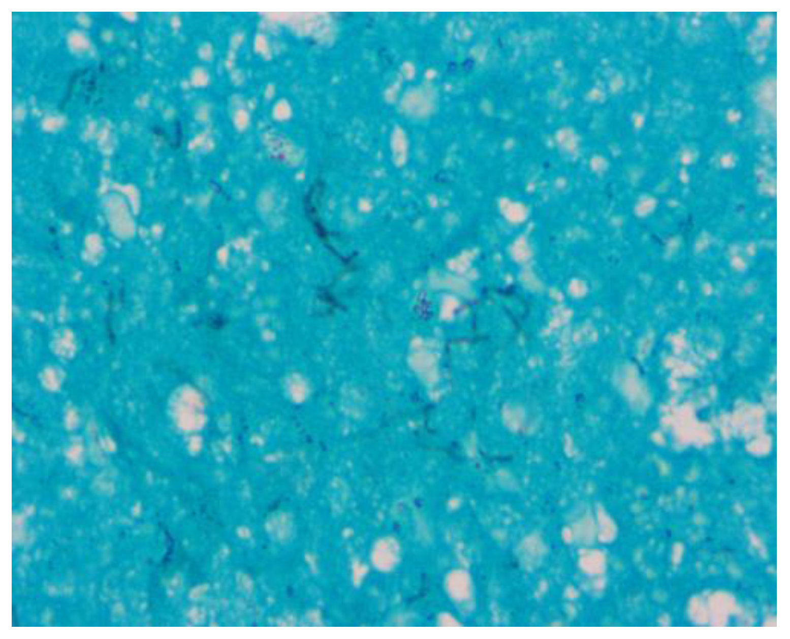
Figure 5. Mediastinal mass biopsy. Grocott staining at 100x shows filamentous bacteria compatible with Actinomyces.
Figure 5. Mediastinal mass biopsy. Grocott staining at 100x shows filamentous bacteria compatible with Actinomyces.
Germs 12 00409 g005

Discussion

Actinomyces are filamentous anaerobic Gram-positive bacilli that are normal commensals of mucosal surfaces [1]. Actinomycosis is observed worldwide with a higher prevalence in regions of low socioeconomic status (e.g., rural communities) where poor dental hygiene is frequently observed [2]. Our patient lives in a rural area and upon discharge, an evaluation by dentistry was requested however, no information about this consult was available.
However, actinomycosis is an infrequent invasive bacterial disease often associated with abscess, sinus formation, and sulfur granules with multiple different clinical features which frequently mimics malignancy and other granulomatous infections [1,2] in part due to a slow growth rate taking into account the fact that the duration of symptoms ranges from 1-12 months before the diagnosis [1].
Actinomycosis can be classified by anatomical location, and thoracic actinomycosis is the third most common type [1]. However, mediastinal actinomycosis has been rarely reported in the literature. In the research carried out, we only found five cases of actinomycosis presenting as a mediastinal mass in adults, and two cases were in patients who underwent an endoscopic procedure [3,4,5,6,7]. The exact mechanism of transmission in our patient is unknown, however, it is possible that our patient initially presented with pulmonary actinomycosis with an extrapulmonary spread from the lung to the mediastinum by continuity, which is the most common mechanism of transmission [1,2].
Bacterial identification from a sterile site confirms the diagnosis, nevertheless, identification by culture is difficult because it could be negative in more than 50% of the cases [1]. In our patient, different mechanisms could explain why all the cultures were negative. For example, the use of antibiotics when the samples were taken, anaerobic cultures were not specifically ordered (which could have implied inadequate anaerobic processing), and the use of automated systems (Vitek® 2 XL) which implies a shorter incubation period (incubation of at least 10 days is required due to slow growth that could take up to 15 days) [2]. However, is important to mention that Vitek 2 system has the option of using an anaerobe and Corynebacterium identification card that could improve the performance of this system [8]. Due to this, many cases are diagnosed through the pathology report like our case, keeping in mind that sulfur granules are highly suggestive but are not specific and can also be found in other infections such as nocardiosis, which can be differentiated from actinomycosis since it stains positive for the ZN stain [1,2].
Fortunately, drug resistance is rare in actinomycosis, and most species are susceptible to beta-lactams (except for cephalexin, oxacillin, and cloxacillin), macrolides, and clindamycin. Furthermore, actinomyces do not produce beta-lactamase and treatment does not require the use of beta-lactam inhibitors such as clavulanic acid or tazobactam [1,9]. Regarding treatment duration, pulmonary actinomycosis is usually treated for more than 6 months having in mind that treatment durations for less than 3 months should be avoided due to a higher risk of recurrence and local complications [10].
Treatment duration in mediastinal actinomycosis is unknown. In the five cases reported in the literature one patient died [3], another was treated medically for 3 months [5], another was treated medically for more than 5 months with no information on the total duration of the antibiotic treatment [4], another was treated medically for 12 months [6]. and the last patient was treated with drainage of the mediastinal abscesses and four weeks of antibiotic treatment with clindamycin [7].

Conclusions

Actinomycosis is a rare but challenging and important diagnosis to keep in mind, especially since it can be confused with other diagnoses like malignancy or granulomatous infections in the lung, such as tuberculosis. An early diagnosis should be the principal goal since it is a highly treatable condition. If actinomycosis is suspected, prolonged and specific anaerobic cultures are needed. We present this case to bring the attention on this rare but clinically relevant presentation to be considered as a differential diagnosis of mediastinal masses, and to encourage investigation since there is plenty of information to be gathered to bring a better, more appropriate and prompt diagnosis and treatment for patients with mediastinal actinomycosis. As Ron Carlson once said, “life is an aggregate of experience, which continually surprises us”.

Author Contributions

Study conception and design: DFSB, SXR, DFSB, JPR, MTVC. Acquisition of data: DFSB, SXR, DaFSB, JPR, CJN, MTVC, JM. Analysis and interpretation of data: DFSB, DaFSB, JPR, MTVC. Drafting of manuscript: DFSB, SXR, DaFSB, JPR, MTVC, JM. Critical revision: DFSB, DaFSB, JPR, CJN, MTVC, JM. All authors read and approved the final version of the manuscript.

Funding

None to declare.

Informed Consent Statement

Written informed consent was obtained from the patient for the publication of this case report and its associated images. Ethics approval is not required for case reports at our institution.

Conflicts of Interest

All authors – none to declare.

References

  1. Valour, F.; Sénéchal, A.; Dupieux, C.; et al. Actinomycosis: etiology, clinical features, diagnosis, treatment, and management. Infect Drug Resist. 2014, 7, 183–197. [Google Scholar] [CrossRef] [PubMed]
  2. Boyanova, L.; Kolarov, R.; Mateva, L.; Markovska, R.; Mitov, I. Actinomycosis: a frequently forgotten disease. Future Microbiol. 2015, 10, 613–628. [Google Scholar] [CrossRef] [PubMed]
  3. Branquinho, D.F.; Andrade, D.R.; Almeida, N.; Sofia, C. Mediastinitis by Actinomyces meyeri after oesophageal stent placement. BMJ Case Rep. 2014, 2014, bcr2014204499. [Google Scholar] [CrossRef]
  4. Thrun, C.S.; Boster, J.; Jansen, N.; Dado, D.; Okulicz, J. Mediastinal actinomycosis after esophagogastroduodenoscopy. Cureus. 2020, 12, e8423. [Google Scholar] [CrossRef] [PubMed]
  5. Seong, G.M.; Hyun, C.L.; Chang, J.W.; Kim, C. Unusual etiology of lymphocyte-predominant exudative pleural effusion: primary mediastinal actinomycosis. Respirol Case Rep. 2020, 8, e00534. [Google Scholar] [CrossRef] [PubMed]
  6. Sharma, S.K.; Soneja, M. An unusual cause of superior vena cava syndrome. Indian J Med Res. 2012, 136, 312. [Google Scholar]
  7. Razok, A.; Ali, M.; Aker, L.; Ziglam, H. Actinomyces odontolyticus bacteremia associated with cervical and mediastinal abscesses in an immunocompetent patient: first reported case in Qatar. New Microbes New Infect. 2022, 45, 100956. [Google Scholar] [CrossRef]
  8. Rennie, R.P.; Brosnikoff, C.; Turnbull, L.; et al. Multicenter evaluation of the Vitek 2 anaerobe and Corynebacterium identification card. J Clin Microbiol. 2008, 46, 2646–2651. [Google Scholar] [CrossRef] [PubMed]
  9. Smith, A.J.; Hall, V.; Thakker, B.; Gemmell, C.G. Antimicrobial susceptibility testing of Actinomyces species with 12 antimicrobial agents. J Antimicrob Chemother. 2005, 56, 407–409. [Google Scholar] [CrossRef]
  10. Kolditz, M.; Bickhardt, J.; Matthiessen, W.; Holotiuk, O.; Höffken, G.; Koschel, D. Medical management of pulmonary actinomycosis: data from 49 consecutive cases. J Antimicrob Chemother. 2009, 63, 839–841. [Google Scholar] [CrossRef] [PubMed]
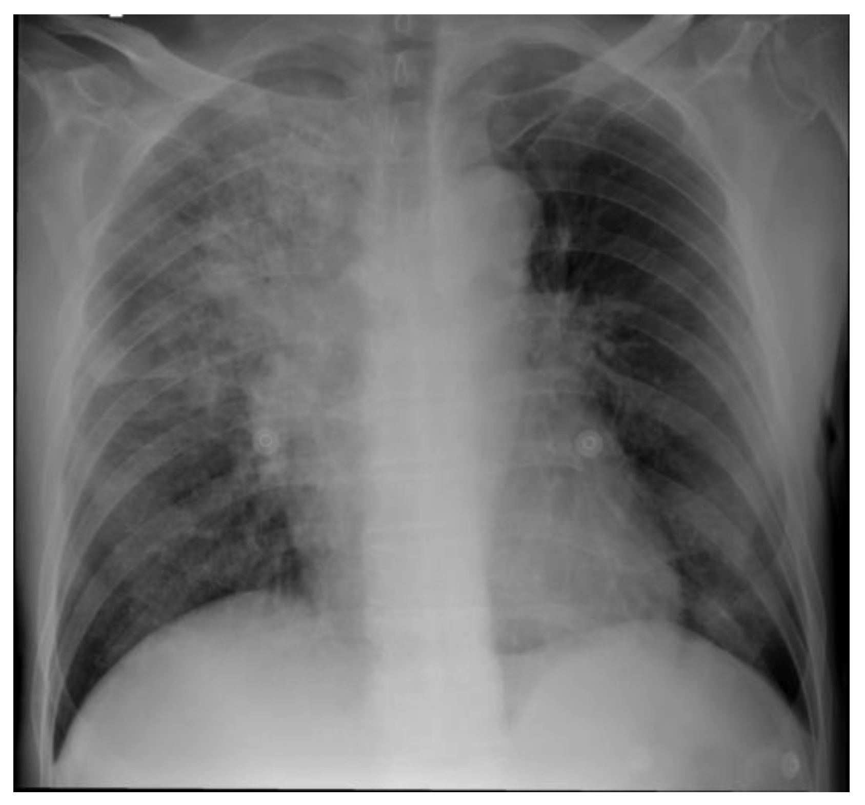
Figure 1. Chest radiograph. A posteroanterior view revealed consolidation in the right superior lobe and poorly defined opacities in the middle lobe.
Figure 1. Chest radiograph. A posteroanterior view revealed consolidation in the right superior lobe and poorly defined opacities in the middle lobe.
Germs 12 00409 g001
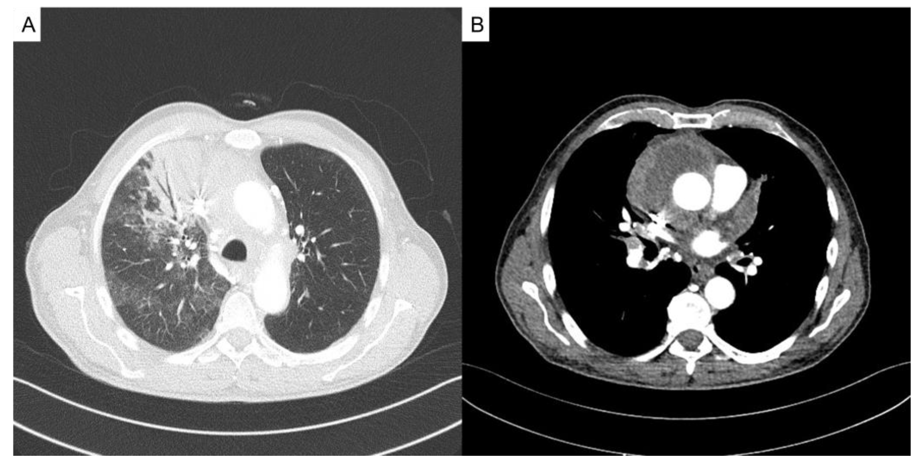
Figure 2. Contrasted computed tomography scan of the chest. A) Extensive pulmonary parenchymal involvement in the right upper lobe and middle lobe. B) An anterior mediastinal mass with central necrosis and enhancement of its contours.
Figure 2. Contrasted computed tomography scan of the chest. A) Extensive pulmonary parenchymal involvement in the right upper lobe and middle lobe. B) An anterior mediastinal mass with central necrosis and enhancement of its contours.
Germs 12 00409 g002

Share and Cite

MDPI and ACS Style

Severiche-Bueno, D.F.; Ramirez, S.X.; Vargas-Cuervo, M.T.; Bueno, D.F.S.; Navarro, C.J.; Mugnier, J.; Rodriguez, J.P. Actinomyces in the Mediastinum. Surprise Is Key in All Art. GERMS 2022, 12, 409-413. https://doi.org/10.18683/germs.2022.1346

AMA Style

Severiche-Bueno DF, Ramirez SX, Vargas-Cuervo MT, Bueno DFS, Navarro CJ, Mugnier J, Rodriguez JP. Actinomyces in the Mediastinum. Surprise Is Key in All Art. GERMS. 2022; 12(3):409-413. https://doi.org/10.18683/germs.2022.1346

Chicago/Turabian Style

Severiche-Bueno, Diego Fernando, Sandra Ximena Ramirez, María Teresa Vargas-Cuervo, David Felipe Severiche Bueno, Carmelo Jiménez Navarro, Jacqueline Mugnier, and Juan Pablo Rodriguez. 2022. "Actinomyces in the Mediastinum. Surprise Is Key in All Art" GERMS 12, no. 3: 409-413. https://doi.org/10.18683/germs.2022.1346

APA Style

Severiche-Bueno, D. F., Ramirez, S. X., Vargas-Cuervo, M. T., Bueno, D. F. S., Navarro, C. J., Mugnier, J., & Rodriguez, J. P. (2022). Actinomyces in the Mediastinum. Surprise Is Key in All Art. GERMS, 12(3), 409-413. https://doi.org/10.18683/germs.2022.1346

Article Metrics

Back to TopTop