Long-Term Oral Administration of LLHK, LHK, and HK Alters Gene Expression Profile and Restores Age-Dependent Atrophy and Dysfunction of Rat Salivary Glands
Abstract
1. Introduction
2. Experimental Section
2.1. Experimental Animals and Collection of Saliva
2.2. Histological Analysis
2.3. Isolation of Total RNA
2.4. DNA Microarray Experiments
2.5. Analysis of Microarray Data
2.6. Measurement of α-Amylase Activity in Parotid Glands and Saliva
2.7. Statistical Analysis
3. Results
3.1. Effects of LLHK, LHK, and HK on Animal Body Weights, Salivary Glands Weights, and Salivary Volume
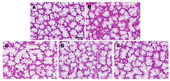
3.2. Effects of LLHK, LHK, and HK on the Morphology of Salivary Glands
3.3. Effect of LHK on Gene Expression Profiles of Salivary Glands
3.4. Effects of LLHK, LHK, and HK on Amylase Avtivity of Salivary Glands and Saliva
4. Discussion
5. Conclusions
Supplementary Materials
Author Contributions
Funding
Acknowledgments
Conflicts of Interest
Abbreviations
| LLHK | Leu-Leu-His-Lys, Leucyl-Leucyl-Histidyl-Lysine |
| LHK | Leu-His-Lys, Leucyl-Histidyl-Lysine |
| HK | His-Lys, Histidyl-Lysine |
| SMGs | Submandibular glands |
| SLGs | Sublingual glands |
| VIP | Vasoactive intestinal peptide |
| CCK | Cholecystokinin |
| FC | Fold change |
| HM | His-Met, Histidyl-Metionine |
| TGF-b | Transforming growth factor-beta |
| AP-2b | Activator Protein-2 beta |
References
- Guggenheimer, J.; Moore, P.A. Xerostomia: Etiology, recognition and treatment. J. Am. Dent. Assoc. 2003, 134, 61–69. [Google Scholar] [CrossRef]
- Sreebny, L.M. Saliva in health and disease: An appraisal and update. Int. Dent. J. 2000, 50, 140–161. [Google Scholar] [CrossRef] [PubMed]
- Ishikawa, Y. Pathogenesis and management of xerostomia. J. Oral Health Biosci. 2018, 31, 49–56. [Google Scholar]
- Ciancio, S.G. Medications’ impact on oral health. J. Am. Dent. Assoc. 2004, 135, 1440–1448. [Google Scholar] [CrossRef] [PubMed]
- Mahay, S.; Pariente, J.A.; Lajas, A.I.; Adeghate, E.; Rolph, C.E.; Singh, J. Effects of ageing on morphology, amylase release, cytosolic Ca2+ signals and acyl lipids in isolated rat parotid gland tissue. Mol. Cell Biochem. 2004, 266, 199–208. [Google Scholar] [CrossRef]
- Moritsuka, M.; Kitasako, Y.; Burrow, M.F.; Ikeda, M.; Tagami, J.; Nomura, S. Quantitative assessment for stimulated saliva flow rate and buffering capacity in relation to different ages. J. Dent. 2006, 7, 716–720. [Google Scholar] [CrossRef]
- Flink, H.; Bergdahl, M.; Tegelberg, A.; Rosenblad, A.; Lagerlof, F. Prevalence of hyposalivation in relation to general health, body mass index and remaining teeth in different age groups of adults. Community Dent. Oral Epidemiol. 2008, 36, 523–531. [Google Scholar] [CrossRef]
- Choi, J.S.; Park, I.S.; Kim, S.K.; Lim, J.Y.; Kim, Y.M. Analysis of age-related changes in the functional morphologies of salivary glands in mice. Arch. Oral Biol. 2013, 58, 1635–1642. [Google Scholar] [CrossRef]
- Inoue, N.; Iida, H.; Yuan, Z.; Ishikawa, Y.; Ishida, H. Age-related decreases in the response of aquaporin-5 to acetylcholine in rat parotid glands. J. Dent. Res. 2003, 82, 476–480. [Google Scholar] [CrossRef]
- Pan, Y.; Iwata, F.; Wang, D.; Muraguchi, M.; Ooga, K.; Ohmoto, Y.; Takai, M.; Cho, G.; Kang, J.; Shono, M.; et al. Identification of aquaporin-5 and lipid rafts in human resting saliva and their release into cevimeline-stimulated saliva. Biochim. Et Biophys. Acta 2009, 1790, 49–56. [Google Scholar] [CrossRef]
- Gonsalves, W.C.; Wrightson, A.S.; Henry, R.G. Common oral conditions in older persons. Am. Fam. Physician 2008, 78, 845–852. [Google Scholar] [PubMed]
- Darre, L.; Vergnes, J.N.; Gourdy, P.; Sixou, M. Efficacy of periodontal treatment on glycaemic control in diabetic patients: A meta-analysis of interventional studies. Diabetes Metab. 2008, 34, 497–506. [Google Scholar] [CrossRef] [PubMed]
- Meurman, J.H.; Sanz, M.; Janket, S.J. Oral health, atherosclerosis, and cardiovascular disease. Crit. Rev. Oral Biol. Med. 2004, 15, 403–413. [Google Scholar] [CrossRef]
- Proctor, G.B.; Carpenter, G.H. Regulation of salivary gland function by autonomic nerves. Auton Neurosci 2007, 133, 3–18. [Google Scholar] [CrossRef] [PubMed]
- Del Fiacco, M.; Quartu, M.; Ekstrom, J.; Melis, T.; Boi, M.; Isola, M.; Loy, F.; Serra, M.P. Effect of the neuropeptides vasoactive intestinal peptide, peptide histidine methionine and substance P on human major salivary gland secretion. Oral Dis. 2015, 21, 216–223. [Google Scholar] [CrossRef]
- Ekstrom, J.; Cevik Aras, H. Parasympathetic non-adrenergic, non-cholinergic transmission in rat parotid glands: Effects of cholecystokinin-A and -B receptor antagonists on the secretory response. Regul. Pept. 2008, 146, 278–284. [Google Scholar] [CrossRef]
- Pieczonka, T.D.; Bragiel, A.M.; Horikawa, H.; Fukuta, K.; Yoshioka, M.; Ishikawa, Y. Long-term administration of whey alters atrophy, gene expression profiles and dysfunction of salivary glands in elderly rats. J. Funct. Foods 2016, 21, 349–358. [Google Scholar] [CrossRef]
- Marshall, K. Therapeutic applications of whey protein. Altern. Med. Rev. 2004, 9, 136–156. [Google Scholar]
- Creamer, L.K.; Nilsson, H.C.; Paulsson, M.A.; Coker, C.J.; Hill, J.P.; Jimenez-Flores, R. Effect of genetic variation on the tryptic hydrolysis of bovine beta-lactoglobulin A, B, and C. J. Dairy Sci. 2004, 87, 4023–4032. [Google Scholar] [CrossRef]
- Jensen, H.B.; Poulsen, N.A.; Andersen, K.K.; Hammershoj, M.; Poulsen, H.D.; Larsen, L.B. Distinct composition of bovine milk from Jersey and Holstein-Friesian cows with good, poor, or noncoagulation properties as reflected in protein genetic variants and isoforms. J. Dairy Sci. 2012, 95, 6905–6917. [Google Scholar] [CrossRef] [PubMed]
- Bernfeld, P. Amylase, α and β. Mech. Enzymol. 1955, 1, 149–158. [Google Scholar]
- Scarano, E.; Fiorita, A.; Picciotti, P.M.; Passali, G.C.; Calo, L.; Cabras, T.; Inzitari, R.; Fanali, C.; Messana, I.; Castagnola, M.; et al. Proteomics of saliva: Personal experience. Acta Otorhinolaryngol. Ital. 2010, 30, 125–130. [Google Scholar] [PubMed]
- Hu, Z.; Gallo, S.M. Identification of interacting transcription factors regulating tissue gene expression in human. BMC Genom. 2010, 11, 49. [Google Scholar] [CrossRef]
- Hernandez-Ledesma, B.; Recio, I.; Amigo, L. Beta-lactoglobulin as source of bioactive peptides. Amino Acids 2008, 35, 257–265. [Google Scholar] [CrossRef] [PubMed]
- Humphrey, S.P.; Williamson, R.T. A review of saliva: Normal composition, flow, and function. J. Prosthet. Dent. 2001, 85, 162–169. [Google Scholar] [CrossRef] [PubMed]
- Messana, I.; Inzitari, R.; Fanali, C.; Cabras, T.; Castagnola, M. Facts and artifacts in proteomics of body fluids. What proteomics of saliva is telling us? J. Sep. Sci. 2008, 31, 1948–1963. [Google Scholar] [CrossRef] [PubMed]
- Suwabe, T.; Bradley, R.M. Effects od 5-hydroxytryptamine and substance P on neurons of the inferior salivary nucleus. J. Neurophysiol. 2007, 97, 2605–2611. [Google Scholar] [CrossRef]
- Moreira, C.R.; Azevedo, L.R.; Lauris, J.R.; Taga, R.; Damante, J.H. Quantitative age-related differences in human sublingual gland. Arch. Oral Biol. 2006, 51, 960–966. [Google Scholar] [CrossRef]
- Pickart, L.; Thaler, M.M. Tripeptide in human serum which prolongs survival of normal liver cells and stimulates groth in neoplastic liver. Nat. New Biol. 1973, 234, 85–87. [Google Scholar]
- Pickart, L.; Margolina, A. Regenerative and Protective Actions of the GHK-Cu Peptide in the Light of the New Gene Data. Int. J. Mol. Sci. 2018, 19, 1987. [Google Scholar] [CrossRef]
- Pickart, L.; Vasquez-Soltero, J.; Margolina, A. The effect of the human peptide GHK on gene expression relevant to nervous system function and congnitive decline. Brain Sci. 2017, 7, 20. [Google Scholar] [CrossRef] [PubMed]
- Pickart, L.; Vasquez-Soltero, J.M.; Margolina, A. GHK and DNA: Resetting the human genome to health. Biomed Res. Int. 2014, 2014, 151479. [Google Scholar] [CrossRef] [PubMed]
- Campbell, J.D.; McDonough, J.E.; Zeskind, J.E.; Hackett, T.L.; Pechkovsky, D.V.; Brandsma, C.A.; Suzuki, M.; Gosselink, J.V.; Liu, G.; Alekseyev, Y.O.; et al. A gene expression signature of emphysema-related lung destruction and its reversal by the tripeptide GHK. Genome Med. 2012, 4, 67. [Google Scholar] [PubMed]
- Eckert, D.; Buhl, S.; Weber, S.; Jager, R.; Schorle, H. The AP-2 family of transcription factors. Genome Biol. 2005, 6, 246. [Google Scholar] [CrossRef] [PubMed]
- Wenke, A.K.; Bosserhoff, A.K. Roles of AP-2 transcription factors in the regulation of cartilage and skeletal development. FEBS J. 2010, 277, 894–902. [Google Scholar] [CrossRef] [PubMed]

| Group | Initial | Final | |
|---|---|---|---|
| Body weight (g) | Older/Water | 446 ± 12 | 440 ± 12 |
| Older/LLHK | 444 ± 21 | 445 ± 23 | |
| Older/LHK | 457 ± 17 | 458 ± 28 | |
| Older/HK | 448± 7 | 429± 6 | |
| Younger/Water | 301 ± 11 | 336 ± 13 * |
| Group | Older | Older | Older | Older | Younger | |
|---|---|---|---|---|---|---|
| Weight | Water | LLHK | LHK | HK | Water | |
| Salivary glands (mg) | Parotid gland | 178 ± 12 | 244 ± 23 ** | 249 ± 19 ** | 191± 8 | 196± 2 * |
| Submandibular gland | 268± 5 | 306 ± 18 * | 298 ± 28 * | 285 ± 22 * | 263 ± 23 | |
| Sublingual | 45.8 ± 5.9 | 65.9 ± 2.5 * | 53.1 ± 2.4 * | 51.5 ± 3.5 * | 48.4 ± 4.5 | |
| Salivary volume (mg/5–15min) | 132 ± 18 | 254 ± 26 ** | 360 ± 12 ** | 399± 29 ** | 188 ± 1 5 * | |
| Gene Name | Gene Symbol | FC | Accession No. | p-Value |
|---|---|---|---|---|
| Major Salivary Protein Gene | ||||
| Proline-Rich Protein | ||||
| proline-rich protein MP5 | Prpmp5 | 1664.69 | NM_172065 | 3.80 × 10−4 |
| proline-rich protein BstNI subfamily 3 | Prb3 | 1034.47 | NM_139184 | 0.002 |
| proline-rich protein 2 | Prp2 | 29.23 | NM_001013211 | 0.041 |
| proline-rich protein BstNI subfamily 1 | Prb1 | 8.33 | NM_172064 | 0.046 |
| proline-rich protein 15 | Prp15 | 2.07 | NM_012632 | 0.047 |
| Cystatin Proteinase Inhibitor | ||||
| cystatin D | Cst5 | 325.83 | NM_001108961 | 5.23 × 10−4 |
| von Ebners gland protein 2 | Vegp2 | 4.38 | NM_053574 | 0.007 |
| cystatin S | Cyss | 2.88 | NM_198685 | 0.048 |
| Amylase | ||||
| amylase, alpha 1A | Amy1a | 27.81 | NM_001010970 | 0.045 |
| amylase 2a3 | Amy2a3 | 23.97 | NM_031502 | 0.047 |
| Secretion-Related Protein | ||||
| cysteine-rich secretory protein 3 | Crisp3 | 561.42 | NM_022859 | 1.05 × 10−4 |
| solute carrier family 45, member 1 | Slc45a1 | 3.128 | NM_144747 | 3.60 × 10−4 |
| synaptotagmin 17 | Syt17 | 2.79 | NM_138849 | 0.019 |
| calcium binding protein 1 | Cabp1 | 2.49 | NM_001033676 | 0.035 |
| solute carrier family 4 member 10 | Slc4a10 | 2.38 | NM_178092 | 0.036 |
| lysozyme-like 1 | Lyzl1 | 2.36 | NM_001108882 | 0.038 |
| calcium dependent secretion activator | Cadps | 2.25 | NM_013219 | 0.050 |
| solute carrier family 10 member 2 | Slc10a2 | 2.21 | NM_017222 | 0.010 |
| Salivary Gland Homeostasis Genes | ||||
| Androgen Related Protein | ||||
| submaxillary gland androgen regulated protein 3A | Smr3a | 277.48 | NM_001017497 | 0.004 |
| variable coding sequence A2 | Vcsa2 | 4.60 | NM_198729 | 0.046 |
| androgen-dependent TFPI-regulating protein | Adtrp | 3.22 | NM_001014144 | 0.046 |
| Signal Transduction | ||||
| tachykinin, precursor 1 | Tac1 | 7.27 | NM_012666 | 0.034 |
| Ras-like without CAAX 2 | Rit2 | 3.44 | NM_001013060 | 7.03 × 10−4 |
| serine/threonine kinase 32C | Stk32c | 2.61 | NM_001108922 | 0.001 |
| acetylcholinesterase | Ache | 2.47 | NM_172009] | 0.020 |
| taste receptor, type 2, member 117 | Tas2r117 | 2.44 | NM_001166682 | 0.049 |
| protein tyrosine phosphatase, non-receptor type 22 | Ptpn22 | 2.17 | NM_001106460 | 0.026 |
| G protein subunit gamma 2 | Gng2 | 2.05 | NM_031754 | 0.043 |
| Transcriptional Regulator | ||||
| deoxyribonuclease 1 | Dnase1 | 1361.76 | NM_013097 | 3.04 × 10−4 |
| transcription factor AP2-beta | Tfap2b | 6.88 | NM_001106896 | 4.90 × 10−2 |
| zinc finger protein 157 | Zfp157 | 3.34 | NM_001170404 | 0.022 |
| ganglioside-induced differentiation-associated protein 1 | Gdap1l1 | 2.42 | NM_001107798 | 0.008 |
| Growth | ||||
| fibroblast growth factor receptor 4 | Fgfr4 | 4.14 | NM_001109904 | 0.034 |
| insulin-like growth factor binding protein | Igfals | 2.19 | NM_053329p | 0.015 |
| Gene Name | Gene Symbol | FC | Accession No. | p-Value |
|---|---|---|---|---|
| Salivary Gland Homeostasis Protein Genes | ||||
| Signal Transduction | ||||
| Wnt family member 9B | Wnt9b | −2.72 | NM_001107055 | 0.042 |
| adenylate kinase 7 | Ak7 | −2.20 | NM_001108055 | 0.047 |
| serpin family B member 3 | Serpinb3 | −2.15 | NM_001008887 | 0.031 |
| cyclin-dependent kinase inhibitor 1A | Cdkn1a | −2.04 | NM_080782 | 0.016 |
| hormonally upregulated Neu-associated kinase | Hunk | −2.02 | NM_001191662 | 0.024 |
| Transcriptional Regulator | ||||
| actin-binding Rho activating protein | Abra | −3.32 | NM_175844 | 0.003 |
| early growth response 2 | Egr2 | −3.21 | NM_053633 | 0.015 |
| D-box binding PAR bZIP transcription factor | Dbp | −2.56 | NM_012543 | 0.040 |
| basic helix-loop-helix family, member e22 | Bhlhe22 | −2.32 | NM_001108940 | 0.003 |
| activating transcription factor 3 | Atf3 | −2.39 | NM_012912 | 0.017 |
| PARN like, ribonuclease domain containing 1 | Pnldc1 | −2.26 | NM_001025724 | 0.014 |
| homeo box A2 | Hoxa2 | −2.19 | NM_012581 | 0.041 |
| nuclear receptor subfamily 4, group A, member 2 | Nr4a2 | −2.16 | NM_019328 | 0.016 |
| TGFB-induced factor homeobox 2 | Tgif2 | −2.13 | NM_001134983 | 0.035 |
| Metabolism | ||||
| N-deacetylase and N-sulfotransferase 4 | Ndst4 | −9.65 | NM_001191849 | 0.048 |
| fatty acyl CoA reductase 1 | Far1 | −2.84 | NM_001011933 | 0.026 |
| solute carrier family 27 member 5 | Slc27a5 | −2.23 | NM_024143 | 0.002 |
| ring finger protein 222 | Rnf222 | −2.28 | NM_001108828 | 0.046 |
| ADAM metallopeptidase with thrombospondin type 1 motif, 18 | Adamts18 | −2.10 | NM_001191944 | 0.023 |
| tryptophan hydroxylase 2 | Tph2 | −2.09 | NM_173839 | 0.031 |
| Salivary Gland (U/mg Protein) | Saliva (U/mL) | Saliva (U/Whole Saliva during 5–15 min) | |
|---|---|---|---|
| Older/Water | 148± 4 | 9.17 ± 0.70 | 1.21 ± 0.09 |
| Older/LLHK | 201 ± 16 * | 21.40 ± 3.59 ** | 5.44 ± 0.91 ** |
| Older/LHK | 246 ± 17 ** | 21.66 ± 2.29 ** | 7.80 ± 0.82 ** |
| Older/HK | 216 ± 20 ** | 16.20 ± 2.70 ** | 6.46 ± 1.08 ** |
| Younger/Water | 244 ± 8 ** | 25.84 ± 2.24 ** | 4.86 ± 0.42 ** |
© 2020 by the authors. Licensee MDPI, Basel, Switzerland. This article is an open access article distributed under the terms and conditions of the Creative Commons Attribution (CC BY) license (http://creativecommons.org/licenses/by/4.0/).
Share and Cite
Ishikawa, Y.; Pieczonka, T.D.; Bragiel-Pieczonka, A.M.; Seta, H.; Ohkuri, T.; Sasanuma, Y.; Nonaka, Y. Long-Term Oral Administration of LLHK, LHK, and HK Alters Gene Expression Profile and Restores Age-Dependent Atrophy and Dysfunction of Rat Salivary Glands. Biomedicines 2020, 8, 38. https://doi.org/10.3390/biomedicines8020038
Ishikawa Y, Pieczonka TD, Bragiel-Pieczonka AM, Seta H, Ohkuri T, Sasanuma Y, Nonaka Y. Long-Term Oral Administration of LLHK, LHK, and HK Alters Gene Expression Profile and Restores Age-Dependent Atrophy and Dysfunction of Rat Salivary Glands. Biomedicines. 2020; 8(2):38. https://doi.org/10.3390/biomedicines8020038
Chicago/Turabian StyleIshikawa, Yasuko, Tomasz D Pieczonka, Aneta M Bragiel-Pieczonka, Harumichi Seta, Tadahiro Ohkuri, Yumi Sasanuma, and Yuji Nonaka. 2020. "Long-Term Oral Administration of LLHK, LHK, and HK Alters Gene Expression Profile and Restores Age-Dependent Atrophy and Dysfunction of Rat Salivary Glands" Biomedicines 8, no. 2: 38. https://doi.org/10.3390/biomedicines8020038
APA StyleIshikawa, Y., Pieczonka, T. D., Bragiel-Pieczonka, A. M., Seta, H., Ohkuri, T., Sasanuma, Y., & Nonaka, Y. (2020). Long-Term Oral Administration of LLHK, LHK, and HK Alters Gene Expression Profile and Restores Age-Dependent Atrophy and Dysfunction of Rat Salivary Glands. Biomedicines, 8(2), 38. https://doi.org/10.3390/biomedicines8020038

