Exploring the Non-Toxic Therapeutic Potential of Dioscorea communis in Combating Oral Pathogenic Bacteria and Their Effects on Hard and Soft Oral Tissues
Abstract
1. Introduction
2. Materials and Methods
2.1. Animals and Study Design
2.2. Plant Material, Paste Preparation and Administration
2.3. Ligature Placement
2.4. Periodontal and Dental Assessment
2.4.1. Photo-Documentation
2.4.2. Clinical Evaluation
2.5. Sample Collection
2.6. FT-IR Analysis
2.7. Histopathological Analysis
2.8. Nuclear Magnetic Resonance (NMR) Spectroscopy
3. Results
3.1. Photo-Documentation
3.2. Clinical Evaluation
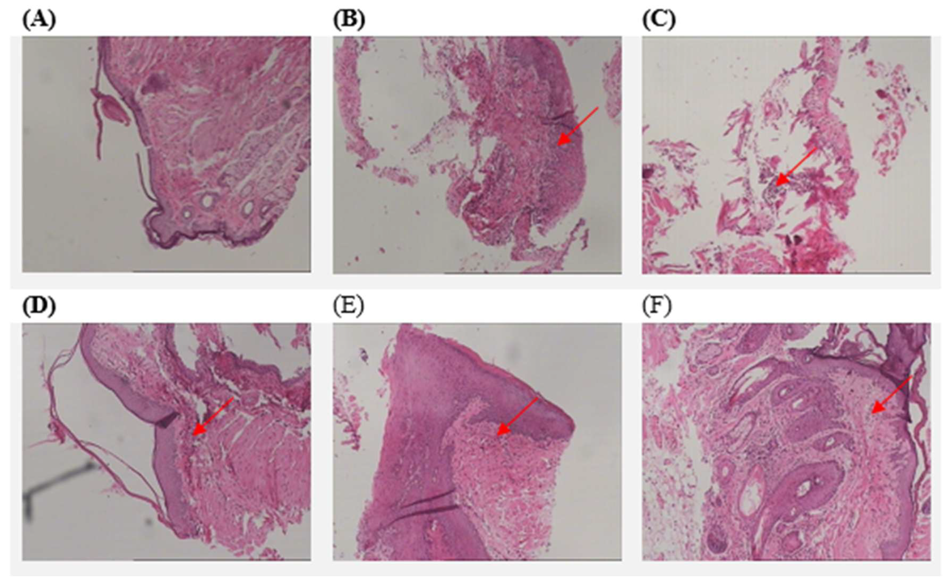
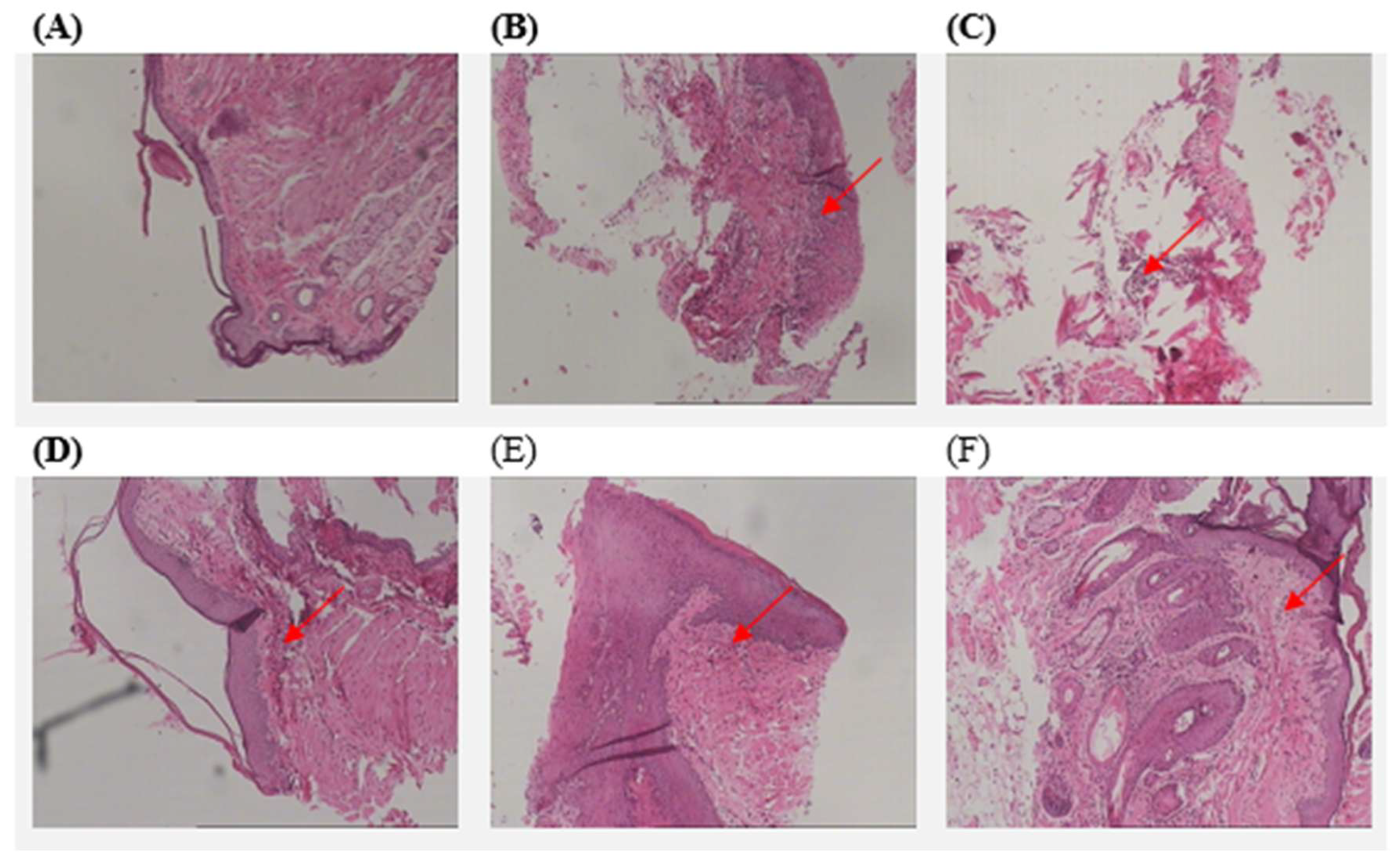
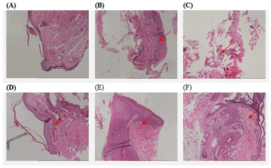
3.3. Histopathological Analysis
3.4. FTIR Spectroscopic Analysis
4. Discussion
5. Conclusions
Supplementary Materials
Author Contributions
Funding
Data Availability Statement
Acknowledgments
Conflicts of Interest
References
- Kinane, D.F.; Stathopoulou, P.G.; Papapanou, P.N. Periodontal diseases. Nat. Rev. Dis. Primers 2017, 3, 17038. [Google Scholar] [CrossRef] [PubMed]
- Pihlstrom, B.L.; Michalowicz, B.S.; Johnson, N.W. Periodontal diseases. Lancet 2005, 366, 1809–1820. [Google Scholar] [CrossRef] [PubMed]
- Darveau, R.P. Periodontitis: A polymicrobial disruption of host homeostasis. Nat. Rev. Microbiol. 2010, 8, 481–490. [Google Scholar] [CrossRef]
- Tonetti, M.S.; Greenwell, H.; Kornman, K.S. Staging and grading of periodontitis: Framework and proposal of a new classification and case definition. J. Periodontol. 2018, 89 (Suppl. 1), S159–S172. [Google Scholar] [CrossRef]
- Yamashita, Y.; Takeshita, T. The oral microbiome and human health. J. Oral Sci. 2017, 59, 201–206. [Google Scholar] [CrossRef]
- Xu, B.; Han, Y.W. Oral bacteria, oral health, and adverse pregnancy outcomes. Periodontol. 2000 2022, 89, 181–189. [Google Scholar] [CrossRef] [PubMed]
- Mathur, V.P.; Dhillon, J.K. Dental caries: A disease which needs attention. Indian J. Pediatr. 2018, 85, 202–206. [Google Scholar] [CrossRef]
- Selwitz, R.H.; Ismail, A.I.; Pitts, N.B. Dental caries. Lancet 2007, 369, 51–59. [Google Scholar] [CrossRef]
- Glickman, I. Periodontal disease. N. Engl. J. Med. 1971, 284, 1071–1077. [Google Scholar] [CrossRef]
- Rojas, C.; García, M.P.; Polanco, A.F.; González-Osuna, L.; Sierra-Cristancho, A.; Melgar-Rodríguez, S.; Cafferata, E.A.; Vernal, R. Humanized mouse models for the study of periodontitis: An opportunity to elucidate unresolved aspects of its immunopathogenesis and analyze new immunotherapeutic strategies. Front. Immunol. 2021, 12, 663328. [Google Scholar] [CrossRef]
- Kaboosaya, B.; Wulansari, L.K.; Nguyen, V.N.; Aoki, K.; Kasugai, S. Ligation period required to induce periodontitis in mice: Analysis with micro-computed tomography. J. Oral Tissue Eng. 2017, 15, 25–34. [Google Scholar]
- Lin, P.; Niimi, H.; Ohsugi, Y.; Tsuchiya, Y.; Shimohira, T.; Komatsu, K.; Liu, A.; Shiba, T.; Aoki, A.; Iwata, T.; et al. Application of ligature-induced periodontitis in mice to explore the molecular mechanism of periodontal disease. Int. J. Mol. Sci. 2021, 22, 8900. [Google Scholar] [CrossRef] [PubMed]
- De Molon, R.S.; de Avila, E.D.; Boas Nogueira, A.V.; Chaves de Souza, J.A.; Avila-Campos, M.J.; de Andrade, C.R.; Cirelli, J.A. Evaluation of the host response in various models of induced periodontal disease in mice. J. Periodontol. 2014, 85, 465–477. [Google Scholar] [CrossRef] [PubMed]
- Cafferata, E.A.; Terraza-Aguirre, C.; Barrera, R.; Faúndez, N.; González, N.; Rojas, C.; Melgar-Rodríguez, S.; Hernández, M.; Carvajal, P.; Cortez, C.; et al. Interleukin-35 inhibits alveolar bone resorption by modulating the Th17/Treg imbalance during periodontitis. J. Clin. Periodontol. 2020, 47, 676–688. [Google Scholar] [CrossRef]
- Cafferata, E.A.; Castro-Saavedra, S.; Fuentes-Barros, G.; Melgar-Rodríguez, S.; Rivera, F.; Carvajal, P.; Hernández, M.; Cortés, B.I.; Cortez, C.; Cassels, B.K.; et al. Boldine inhibits alveolar bone resorption during ligature-induced periodontitis by modulating the Th17/Treg imbalance. J. Periodontol. 2021, 92, 123–136. [Google Scholar] [CrossRef]
- Marchesan, J.; Girnary, M.S.; Jing, L.; Miao, M.Z.; Zhang, S.; Sun, L.; Morelli, T.; Schoenfisch, M.H.; Inohara, N.; Offenbacher, S.; et al. An experimental murine model to study periodontitis. Nat. Protoc. 2018, 13, 2247–2267. [Google Scholar] [CrossRef]
- Saadi-Thiers, K.; Huck, O.; Simonis, P.; Tilly, P.; Fabre, J.; Tenenbaum, H.; Davideau, J.L. Periodontal and systemic responses in various mice models of experimental periodontitis: Respective roles of inflammation duration and Porphyromonas gingivalis infection. J. Periodontol. 2013, 84, 396–406. [Google Scholar] [CrossRef]
- De Molon, R.S.; Mascarenhas, V.I.; de Avila, E.D.; Finoti, L.S.; Toffoli, G.B.; Spolidorio, D.M.P.; Scarel-Caminaga, R.M.; Tetradis, S.; Cirelli, J.A. Long-term evaluation of oral gavage with periodontopathogens or ligature induction of experimental periodontal disease in mice. Clin. Oral Investig. 2016, 20, 1203–1216. [Google Scholar] [CrossRef]
- Abe, T.; Hajishengallis, G. Optimization of the ligature-induced periodontitis model in mice. J. Immunol. Methods 2013, 394, 49. [Google Scholar] [CrossRef]
- Shimauchi, H.; Nemoto, E.; Ishihata, H.; Shimomura, M. Possible functional scaffolds for periodontal regeneration. Jpn. Dent. Sci. Rev. 2013, 49, 118–130. [Google Scholar] [CrossRef]
- Caddick, L.R.; Wilkin, P.; Rudall, P.J.; Hedderson, T.A.J.; Chase, M.W. Yams reclassified: A recircumscription of Dioscoreaceae and Dioscoreales. Taxon 2002, 51, 103–114. [Google Scholar] [CrossRef]
- Tsami, K.; Barda, C.; Ladopoulos, G.; Didaras, N.A.; Grafakou, M.-E.; Heilmann, J.; Mossialos, D.; Rallis, M.C.; Skaltsa, H. Chemical profile and in vitro evaluation of the antibacterial activity of Dioscorea communis berry juice. Sci 2022, 4, 21. [Google Scholar] [CrossRef]
- De Cortes Sánchez-Mata, M.; Tardío, J. Mediterranean Wild Edible Plants: Ethnobotany and Food Composition Tables; Springer: New York, NY, USA, 2016. [Google Scholar] [CrossRef]
- Ferrer-Gallego, P.P.; Boisset, F. Typification of Dioscorea communis and its synonym Tamus communis var. subtriloba (Dioscoreaceae). Phytotaxa 2016, 260, 258–266. [Google Scholar] [CrossRef]
- Wynn, S.G.; Fougere, B.J. Veterinary Herbal Medicine; Mosby Elsevier: St. Louis, MO, USA, 2007. [Google Scholar] [CrossRef]
- Boudjada, A.; Touil, A.; Bensouici, C.; Bendif, H.; Rhouati, S. Phenanthrene and dihydrophenanthrene derivatives from Dioscorea communis with anticholinesterase and antioxidant activities. Nat. Prod. Res. 2019, 33, 3278–3282. [Google Scholar] [CrossRef]
- Vazquez-Zapien, G.J.; Martinez-Cuazitl, A.; Granados-Jimenez, A.; Sanchez-Brito, M.; Guerrero-Ruiz, M.; Camacho-Ibarra, A.; Miranda-Ruiz, M.A.; Dox-Aguillón, I.S.; Ramirez-Torres, J.A.; Mata-Miranda, M.M. Skin wound healing improvement in diabetic mice through FTIR microspectroscopy after implanting pluripotent stem cells. APL Bioeng. 2023, 7, 1. [Google Scholar] [CrossRef]
- Rocha, D.M.; Zenóbio, E.G.; Van Dyke, T.; Silva, K.S.; Costa, F.O.; Soares, R.V. Differential expression of salivary glycoproteins in aggressive and chronic periodontitis. J. Appl. Oral Sci. 2012, 20, 180–185. [Google Scholar] [CrossRef]
- Bandeira, C.C.S.; Madureira, K.C.R.; Rossi, M.B.; Gallo, J.F.; da Silva, A.P.M.A.; Torres, V.L.; de Lima, V.A.; Júnior, N.K.; Almeida, J.D.; Zerbinati, R.M.; et al. Micro-Fourier-transform infrared reflectance spectroscopy as a tool for probing IgG glycosylation in COVID-19 patients. Sci. Rep. 2022, 12, 4269. [Google Scholar] [CrossRef]
- Valko, M.; Leibfritz, D.; Moncol, J.; Cronin, M.T.; Mazur, M.; Telser, J. Free radicals and antioxidants in normal physiological functions and human disease. Int. J. Biochem. Cell Biol. 2007, 39, 44–84. [Google Scholar] [CrossRef]
- Curtis, M.A.; Diaz, P.I.; Van Dyke, T.E. The role of the microbiota in periodontal disease. Periodontol. 2000 2020, 83, 14–25. [Google Scholar] [CrossRef]
- Adomėnienė, A.; Venskutonis, P.R. Dioscorea spp.: Comprehensive Review of Antioxidant Properties and Their Relation to Phytochemicals and Health Benefits. Molecules 2022, 27, 2530. [Google Scholar] [CrossRef]
- Wang, Y.; Yu, D.; Zhu, S.; Du, X.; Wang, X. The genus Dioscorea L. (Dioscoreaceae): A review of traditional uses, phytochemistry, pharmacology, and toxicity. J. Ethnopharmacol. 2024, 329, 118069. [Google Scholar] [CrossRef] [PubMed]
- Slavova, I.; Tomova, T.; Kusovska, S.; Chukova, Y.; Argirova, M. Phytochemical Constituents and Pharmacological Potential of Tamus communis Rhizomes. Molecules 2022, 27, 1851. [Google Scholar] [CrossRef] [PubMed]
- Nazir, M.A. Prevalence of periodontal disease, its association with systemic diseases and prevention. Int. J. Health Sci. 2017, 11, 72. [Google Scholar]
- Hajishengallis, G.; Chavakis, T. Local and systemic mechanisms linking periodontal disease and inflammatory comorbidities. Nat. Rev. Immunol. 2021, 21, 426–440. [Google Scholar] [CrossRef] [PubMed]
- Cameron, A.C.; Widmer, R.P. Handbook of Pediatric Dentistry: Children with Special Needs; Elsevier: St. Louis, MI, USA, 2013. [Google Scholar] [CrossRef]






| Trade name | INCI name | Function | %w/w |
|---|---|---|---|
| Sorbitol 70% | Sorbitol | Humectant | 39.70 |
| Sodium Benzoate | Sodium Benzoate | Preservative | 0.50 |
| Titanium Oxide | Titanium Oxide | Opacifier/Colorant | 0.50 |
| Carbopol Ultrez 10 | Carbomer | Thickening Agent | 1.00 |
| Tixosil 73 | Hydrated Silica | Abrasive/Thickening Agent | 14.00 |
| Tixosil 43 | Hydrated Silica | Abrasive/Thickening Agent | 8.00 |
| D. communis berry juice | 3 or 7 | ||
| Water | Aqua | Solvent | q.s |
Disclaimer/Publisher’s Note: The statements, opinions and data contained in all publications are solely those of the individual author(s) and contributor(s) and not of MDPI and/or the editor(s). MDPI and/or the editor(s) disclaim responsibility for any injury to people or property resulting from any ideas, methods, instructions or products referred to in the content. |
© 2025 by the authors. Licensee MDPI, Basel, Switzerland. This article is an open access article distributed under the terms and conditions of the Creative Commons Attribution (CC BY) license (https://creativecommons.org/licenses/by/4.0/).
Share and Cite
Papantonaki, A.-I.; Georgakopoulou, E.; Barda, C.; Loumou, P.; Sfiniadakis, I.; Anastassopoulou, J.; Vitsos, A.; Rallis, M.C. Exploring the Non-Toxic Therapeutic Potential of Dioscorea communis in Combating Oral Pathogenic Bacteria and Their Effects on Hard and Soft Oral Tissues. Biomedicines 2025, 13, 983. https://doi.org/10.3390/biomedicines13040983
Papantonaki A-I, Georgakopoulou E, Barda C, Loumou P, Sfiniadakis I, Anastassopoulou J, Vitsos A, Rallis MC. Exploring the Non-Toxic Therapeutic Potential of Dioscorea communis in Combating Oral Pathogenic Bacteria and Their Effects on Hard and Soft Oral Tissues. Biomedicines. 2025; 13(4):983. https://doi.org/10.3390/biomedicines13040983
Chicago/Turabian StylePapantonaki, Anastasia-Ioanna, Eleni Georgakopoulou, Christina Barda, Panagiota Loumou, Ioannis Sfiniadakis, Jane Anastassopoulou, Andreas Vitsos, and Michail Christou Rallis. 2025. "Exploring the Non-Toxic Therapeutic Potential of Dioscorea communis in Combating Oral Pathogenic Bacteria and Their Effects on Hard and Soft Oral Tissues" Biomedicines 13, no. 4: 983. https://doi.org/10.3390/biomedicines13040983
APA StylePapantonaki, A.-I., Georgakopoulou, E., Barda, C., Loumou, P., Sfiniadakis, I., Anastassopoulou, J., Vitsos, A., & Rallis, M. C. (2025). Exploring the Non-Toxic Therapeutic Potential of Dioscorea communis in Combating Oral Pathogenic Bacteria and Their Effects on Hard and Soft Oral Tissues. Biomedicines, 13(4), 983. https://doi.org/10.3390/biomedicines13040983

