An Infrared Energy Device for the Treatment of Facial Skin Aging
Abstract
1. Introduction
2. Material and Methods
2.1. Device Used in the Study
2.2. Participants and Exclusion Criteria
- Use of oral and/or topical retinoids within the last 6 months.
- Excessive tanning.
- Active skin or connective tissue diseases associated with photosensitivity (e.g., systemic lupus erythematosus, porphyria cutanea tarda).
- Active herpes simplex infection.
- Use of drugs or photoreactive cosmetics within the last 6 months, including:
- ▪
- Tetracycline antibiotics.
- ▪
- Immunosuppressive agents (e.g., corticosteroids and derivatives).
- ▪
- Anticoagulants (e.g., dipyridamole, coumarin derivatives).
- ▪
- Cosmetics containing thyme extract or herbal products such as St. John’s wort.
- Immunodeficiency disorders (including active HIV infection).
- Fitzpatrick skin phototype VI.
- Pregnancy (as a precaution).
- Uncontrolled diabetes mellitus.
- Previous cosmetic or esthetic procedures in the treatment area (eligibility determined by the physician depending on the procedure performed).
- Acquired vitiligo or other disorders of melanin production (e.g., hypermelanosis).
- Tattoos in the areas designated for treatment.
- Use of anti-inflammatory medications.
2.3. Treatment Protocol
2.4. Assessment Protocol
2.5. Assessment Methods
- A.
- Clinical assessment

- (1):
- No improvement;
- (2):
- Poor improvement;
- (3):
- Moderate improvement;
- (4):
- Good improvement;
- (5):
- Very good improvement.
- (1):
- No improvement;
- (2):
- Poor improvement;
- (3):
- Moderate improvement;
- (4):
- Good improvement;
- (5):
- Very good improvement.
- B.
- Histological assessment
- 0: not detected;
- 1: up to 25% infiltration;
- 2: 26–49% infiltration;
- 3: 50–75% infiltration;
- 4: 76–100% infiltration.
- 0: loose, regular fibers;
- 1: loose, irregular fibers;
- 2: dense fibers;
- 3: compact, coarse fibers.
- 0: few, thin-walled vessels;
- 1: increased number of vessels with slight wall thickening;
- 2: increased number of vessels with pronounced wall thickening.
- Null hypothesis: the treatment has no effect on the tested parameters.
- Alternative hypothesis: the treatment significantly affects the tested parameters.
3. Results
- A.
- Results of clinical assessment
- 1.
- Skin elasticity measurements
- 2.
- Skin hydration measurements
| Improvment | |||||
|---|---|---|---|---|---|
| Parameter: | Very Good | Good | Moderate | Poor | No |
| Skin tension | 53.33% | 33.33% | 13.33% | – | – |
| Fine wrinkles | 20.00% | 50.00% | 30.00% | – | – |
| Skin structure | – | – | 16.67% | 50.00% | 33.33% |
| Skin color | – | 30.00% | 36.67% | 23.33% | 10.00% |

| Improvement | |||||
|---|---|---|---|---|---|
| Parameter: | Very Good | Good | Moderate | Poor | No |
| Skin tension | 39.52% | 40.95% | 18.57% | 0.95% | – |
| Fine wrinkles | 18.57% | 43.33% | 32.86% | 5.24% | – |
| Skin structure | – | – | 21.43% | 47.14% | 28.10% |
| Skin color | 0.95% | 27.62% | 40.48% | 19.05% | 8.57% |

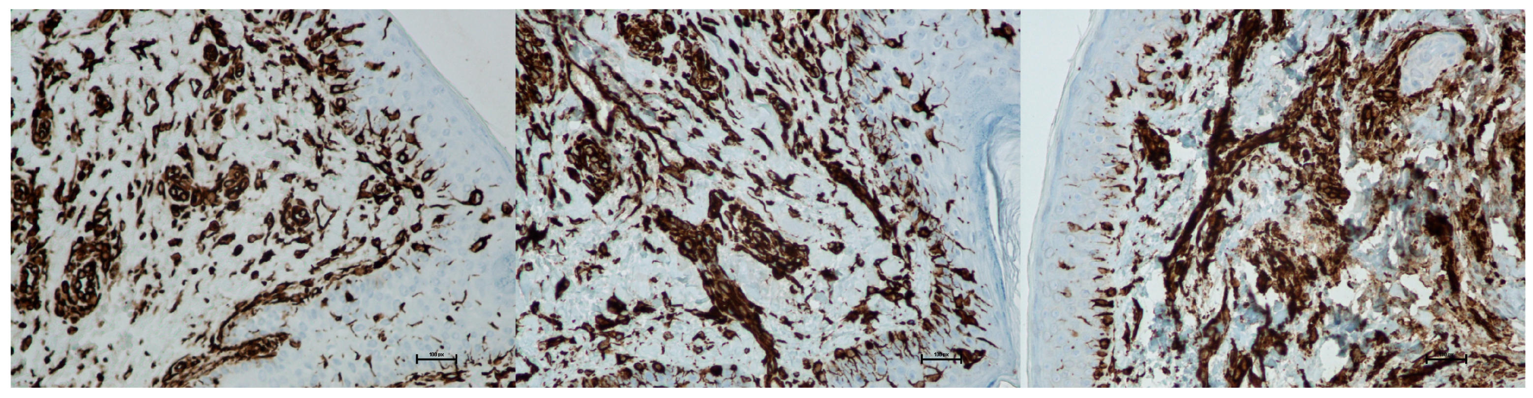
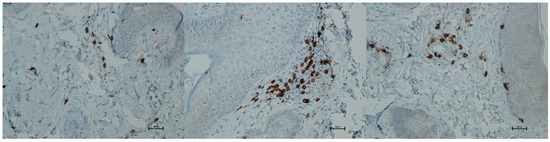
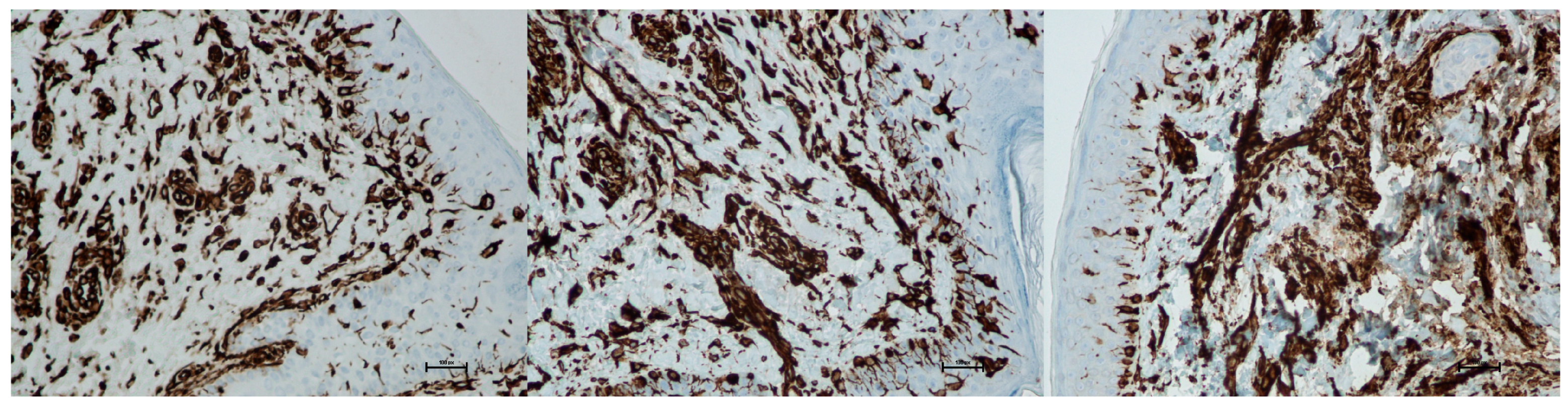
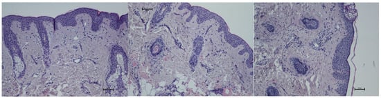
- B.
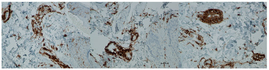
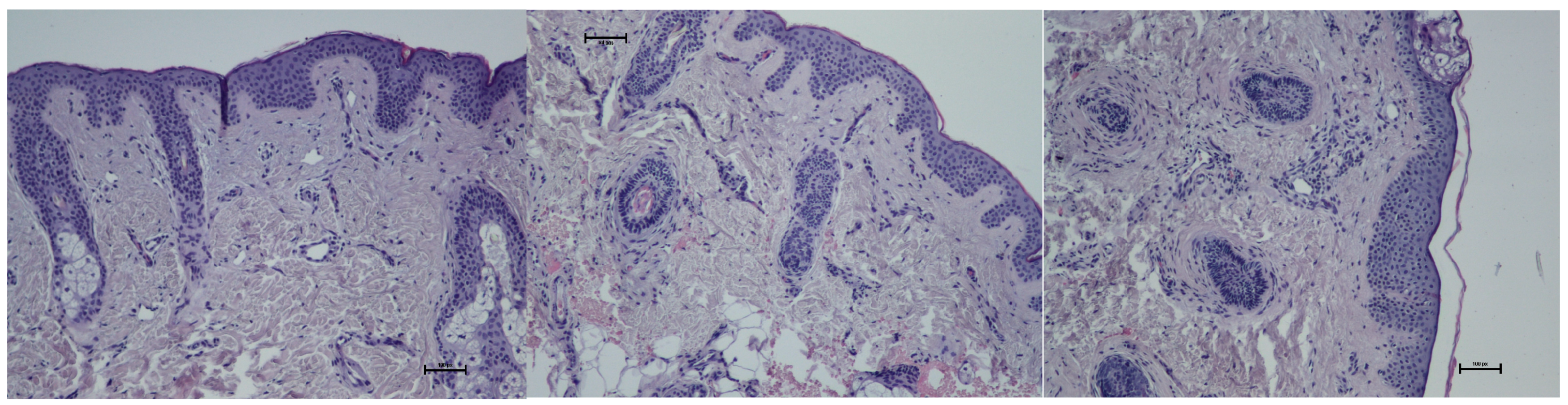
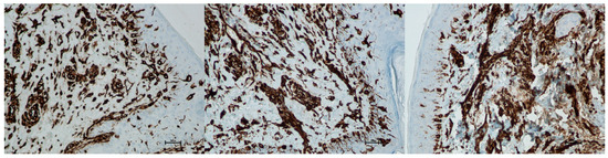
- Results of histological assessment
4. Discussion
5. Conclusions
Author Contributions
Funding
Institutional Review Board Statement
Informed Consent Statement
Data Availability Statement
Conflicts of Interest
References
- Shin, S.H.; Lee, Y.H.; Rho, N.K.; Park, K.Y. Skin aging from mechanisms to interventions: Focusing on dermal aging. Front. Physiol. 2023, 14, 1195272. [Google Scholar] [CrossRef]
- Hussen, N.H.A.; Abdulla, S.K.; Ali, N.M.; Ahmed, V.A.; Hasan, A.H.; Qadir, E.E. Role of antioxidants in skin aging and the molecular mechanism of ROS: A comprehensive review. Asp. Mol. Med. 2025, 5, 100063. [Google Scholar] [CrossRef]
- Schieke, S.M.; Schroeder, P.; Krutmann, J. Cutaneous effects of infrared radiation: From clinical observations to molecular response mechanisms. Photodermatol. Photoimmunol. Photomed. 2003, 19, 228–234. [Google Scholar] [CrossRef] [PubMed]
- Forjaz, D.P. Case Series: Infrared Energy Device for the Treatment of Erythematotelangiectatic Rosacea. J. Appl. Cosmetol. 2023, 41, 142–148. [Google Scholar] [CrossRef]
- Alexiades-Armenakas, M.R.; Dover, J.S.; Arndt, K.A. The spectrum of laser skin resurfacing: Nonablative, fractional, and ablative laser resurfacing. J. Am. Acad. Dermatol. 2008, 58, 719–737. [Google Scholar] [CrossRef]
- Bunin, L.S.; Carniol, P.J. Cervical Facial Skin Tightening with an Infrared Device. Facial Plast. Surg. Clin. N. Am. 2007, 15, 179–184. [Google Scholar] [CrossRef]
- Laser Advancements Transform Skin Rejuvenation. Dermatology Times. August 20, 2024. Available online: https://www.dermatologytimes.com/view/laser-advancements-transform-skin-rejuvenation (accessed on 8 September 2025).
- Haykal, D.; Cartier, H.; Goldberg, D.; Gold, M. Advancements in laser technologies for skin rejuvenation: A comprehensive review of efficacy and safety. J. Cosmet. Dermatol. 2024, 23, 3078–3089. [Google Scholar] [CrossRef]
- Fu, X.B. Growth factors and skin repair and regeneration. Int. J. Cosmet. Sci. 2005, 27, 40–41. [Google Scholar] [CrossRef]
- Escobar, S.; Valois, A.; Nielsen, M.; Closs, B.; Kerob, D. Effectiveness of a formulation containing peptides and vitamin C in treating signs of facial ageing: Three clinical studies. Int. J. Cosmet. Sci. 2021, 43, 131–135. [Google Scholar] [CrossRef]
- Wang, Z.; Zhang, Z.; Hu, J. Progress in Neck Rejuvenation Injection Therapy. Aesthetic Plast. Surg. 2025, 49, 5266–5274. [Google Scholar] [CrossRef]
- Zerbinati, N.; Rauso, R.; Protasoni, M.; D’Este, E.; Esposito, C.; Lotti, T.; Tirant, M.; Van Thuong, N.; Mocchi, R.; Zerbinati, U.; et al. Pegylated hyaluronic acid filler enriched with calcium hydroxyapatite treatment of human skin: Collagen renewal demonstrated through morphometric computerized analysis. J. Biol. Regul. Homeost. Agents 2019, 33, 1967–1971. [Google Scholar] [CrossRef]
- Scarano, A.; Qorri, E.; Sbarbati, A.; Gehrke, S.A.; Frisone, A.; Amuso, D.; Tari, S.R. The efficacy of hyaluronic acid fragments with amino acid in combating facial skin aging: An ultrasound and histological study. J. Ultrasound. 2024, 27, 689–697. [Google Scholar] [CrossRef]
- Scarano, A.; Qorri, E.; Sbarbati, A.; Desiderio, V.; Amuso, D. Mesotherapy with HA and Choline Against Facial Skin Aging: An Open-Label Uncontrolled, Monocentric Study. J. Clin. Med. 2025, 14, 2303. [Google Scholar] [CrossRef]
- De Castro Isalguez, R.F.; Fernández, E.M. Non-crosslinked hyaluronic acid mesotherapy and hydro-exfoliation plus infrared technology: A combination protocol to improve skin quality. J. Appl. Cosmetol. 2024, 42, 3–12. [Google Scholar] [CrossRef]
- Kubik, P.; Jankau, J.; Rauso, R.; Galadari, H.; Protasoni, M.; Gruszczyński, W.; Grzanka, D.; Smolińska, M.; Antosik, P.; Piesiaków, M.-L.; et al. HA PEGylated Filler in Association with an Infrared Energy Device for the Treatment of Facial Skin Aging: 150 Day Follow-Up Data Report. Pharmaceuticals 2022, 15, 1355. [Google Scholar] [CrossRef] [PubMed]
- Sabat, R.; Wolk, K.; Loyal, L.; Döcke, W.D.; Ghoreschi, K. T cell pathology in skin inflammation. Semin. Immunopathol. 2019, 41, 359–377. [Google Scholar] [CrossRef] [PubMed]
- Castillo-González, R.; Cibrian, D.; Fernández-Gallego, N.; Ramírez-Huesca, M.; Saiz, M.L.; Navarro, M.N.; Fresno, M.; de la Fuente, H.; Sánchez-Madrid, F. Galectin-1 Expression in CD8+ T Lymphocytes Controls Inflammation in Contact Hypersensitivity. J. Invest. Dermatol. 2021, 141, 1522–1532.e3. [Google Scholar] [CrossRef] [PubMed]
- Thorpe, R.B.; Gray, A.; Kumar, K.R.; Susa, J.S.; Chong, B.F. Site-Specific Analysis of Inflammatory Markers in Discoid Lupus Erythematosus Skin. Sci. World J. 2014, 2014, 925805. [Google Scholar] [CrossRef]
- Bosello, S.; Angelucci, C.; Lama, G.; Alivernini, S.; Proietti, G.; Tolusso, B.; Sica, G.; Gremese, E.; Ferraccioli, G. Characterization of inflammatory cell infiltrate of scleroderma skin: B cells and skin score progression. Arthritis Res. Ther. 2018, 20, 75. [Google Scholar] [CrossRef]
- Tellechea, A.; Kafanas, A.; Leal, E.C.; Tecilazich, F.; Kuchibhotla, S.; Auster, M.E.; Kontoes, I.; Paolino, J.; Carvalho, E.; Nabzdyk, L.P.; et al. Increased Skin Inflammation and Blood Vessel Density in Human and Experimental Diabetes. Int. J. Low. Extrem. Wounds 2013, 12, 4–11. [Google Scholar] [CrossRef]
- Sliogeryte, K.; Gavara, N. Vimentin Plays a Crucial Role in Fibroblast Ageing by Regulating Biophysical Properties and Cell Migration. Cells 2019, 8, 1164. [Google Scholar] [CrossRef] [PubMed]
- Lee, J.H.; Roh, M.R.; Lee, K.H. Effects of Infrared Radiation on Skin Photo-Aging and Pigmentation. Yonsei Med. J. 2006, 47, 485–490. [Google Scholar] [CrossRef] [PubMed]
- Waibel, J.S.; Schallen, K.P. Non-Ablative Fractional 1940-nm Diode Laser for Skin Resurfacing and Treatment of Benign Pigmented Lesions. Lasers Surg. Med. 2025, 57, 63–70. [Google Scholar] [CrossRef] [PubMed]
- Manstein, D.; Herron, G.S.; Sink, R.K.; Tanner, H.; Anderson, R.R. Fractional Photothermolysis: A New Concept for Cutaneous Remodeling Using Microscopic Patterns of Thermal Injury. Lasers Surg. Med. 2004, 34, 426–438. [Google Scholar] [CrossRef]
- Pavlasova, G.; Mraz, M. The regulation and function of CD20: An “enigma” of B-cell biology and targeted therapy. Haematologica 2020, 105, 1494–1506. [Google Scholar] [CrossRef]
- Tracy, L.E.; Minasian, R.A.; Caterson, E.J. Extracellular Matrix and Dermal Fibroblast Function in the Healing Wound. Adv. Wound Care 2016, 5, 119–136. [Google Scholar] [CrossRef]
- Zelickson, B.D.; Kist, D.; Bernstein, E.; Brown, D.B.; Ksenzenko, S.; Burns, J.; Kilmer, S.; Mehregan, D.; Pope, K. Histological and Ultrastructural Evaluation of the Effects of a Radiofrequency-Based Nonablative Dermal Remodeling Device: A Pilot Study. Arch. Dermatol. 2004, 140, 204–209. [Google Scholar] [CrossRef]
- Goldberg, D.J. Non-ablative subsurface remodeling: Clinical and histologic evaluation of a 1320-nm Nd:YAG laser. J. Cutan. Laser Ther. 1999, 1, 153–157. [Google Scholar] [CrossRef]
- Wunsch, A.; Matuschka, K. A Controlled Trial to Determine the Efficacy of Red and Near-Infrared Light Treatment in Patient Satisfaction, Reduction of Fine Lines, Wrinkles, Skin Roughness, and Intradermal Collagen Density Increase. Photomed. Laser Surg. 2014, 32, 93–100. [Google Scholar] [CrossRef]
- Trelles, M.A.; Alvarez, X.; Martin-Vazquez, M.J.; Trelles, O.; Velez, M.; Levy, J.L.; Allones, I. Assessment of the Efficacy of Nonablative Long-Pulsed 1064-nm Nd:YAG Laser Treatment of Wrinkles Compared at 2, 4, and 6 Months. Facial Plast. Surg. 2005, 21, 145–153. [Google Scholar] [CrossRef]




















| Time Point | Mean ± SD | Δ vs. Baseline (Mean ± SD) | 95% CI of Difference | p-Value |
|---|---|---|---|---|
| Baseline | 58.92 ± 11.57 | – | – | – |
| Day 5 | 68.37 ± 10.97 | +9.44 ± 2.55 | −10.40 to −8.49 | <0.001 |
| Day 21 | 72.11 ± 10.08 | +13.19 ± 2.75 | −14.22 to −12.16 | <0.001 |
| Day 150 | 73.27 ± 9.04 | +14.35 ± 4.32 | −15.96 to −12.73 | <0.001 |
| Time Point | Mean ± SD | Δ vs. Baseline (Mean ± SD) | 95% CI of Difference | p-Value |
|---|---|---|---|---|
| Baseline | 58.76 ± 12.59 | – | – | – |
| Day 5 | 60.23 ± 12.70 | +1.48 ± 3.30 | −2.71 to −0.24 | 0.02 |
| Day 21 | 60.33 ± 12.77 | +1.58 ± 3.78 | −2.99 to −0.17 | 0.03 |
| Day 150 | 59.96 ± 11.61 | +1.20 ± 4.18 | −2.76 to 0.36 | 0.13 |
| Tukey’s Multiple Comparisons Test | Mean Diff. | 95.00% CI of Diff. | Adjusted p-Value |
|---|---|---|---|
| 0 vs. 5 | −0.67 | −2.52 to 1.18 | 0.669 |
| 0 vs. 21 | −0.33 | −2.18 to 1.52 | 0.936 |
| 5 vs. 21 | 0.33 | −1.52 to 2.18 | 0.936 |
| Tukey’s Multiple Comparisons Test | Mean Diff. | 95.00% CI of Diff. | Adjusted p-Value |
|---|---|---|---|
| 0 vs. 5 | −0.67 | −2.52 to 1.18 | 0.669 |
| 0 vs. 21 | −0.33 | −2.18 to 1.52 | 0.936 |
| 5 vs. 21 | 0.33 | −1.52 to 2.18 | 0.936 |
| Tukey’s Multiple Comparisons Test | Mean Diff. | 95.00% CI of Diff. | Adjusted p-Value |
|---|---|---|---|
| 0 vs. 5 | −5.00 | −76.50 to 66.50 | 0.996 |
| 0 vs. 21 | −1.67 | −73.17 to 69.84 | 1.000 |
| 5 vs. 21 | mar.33 | −68.17 to 74.84 | 0.999 |
| Tukey’s Multiple Comparisons Test | Mean Diff. | 95.00% CI of Diff. | Adjusted p-Value |
|---|---|---|---|
| 0 vs. 5 | −2.33 | −11.61 to 6.94 | 0.850 |
| 0 vs. 21 | −1.33 | −10.61 to 7.94 | 0.966 |
| 5 vs. 21 | 1.00 | −8.28 to 10.28 | 0.985 |
| Tukey’s Multiple Comparisons Test | Mean Diff. | 95.00% CI of Diff. | Adjusted p-Value |
|---|---|---|---|
| 0 vs. 5 | 0.00 | −1.31 to 1.31 | >0.999 |
| 0 vs. 21 | 0.00 | −1.31 to 1.31 | >0.999 |
| 5 vs. 21 | 0.00 | −1.31 to 1.31 | >0.999 |
| Tukey’s Multiple Comparisons Test | Mean Diff. | 95.00% CI of Diff. | Adjusted p-Value |
|---|---|---|---|
| 0 vs. 5 | −0.67 | −1.73 to 0.40 | 0.264 |
| 0 vs. 21 | −0.67 | −1.73 to 0.40 | 0.264 |
| 5 vs. 21 | 0.00 | −1.07 to 1.07 | >0.999 |
| Tukey’s Multiple Comparisons Test | Mean Diff. | 95.00% CI of Diff. | Adjusted p-Value |
|---|---|---|---|
| 0 vs. 5 | −0.33 | −2.95 to 2.28 | 0.976 |
| 0 vs. 21 | −0.67 | −3.28 to 1.95 | 0.845 |
| 5 vs. 21 | −0.33 | −2.95 to 2.28 | 0.976 |
| Tukey’s Multiple Comparisons Test | Mean Diff. | 95.00% CI of Diff. | Adjusted p-Value |
|---|---|---|---|
| 0 vs. 5 | −0.24 | −0.41 to −0.08 | 0.0007 (***) |
| 0 vs. 21 | −0.02 | −0.18 to 0.14 | 0.982 (ns) |
| 0 vs. 150 | −0.65 | −0.87 to −0.42 | <0.0001 (****) |
| 0 vs. 5 | −0.24 | −0.41 to −0.08 | 0.0007 (***) |
| 0 vs. 21 | −0.02 | −0.18 to 0.14 | 0.982 (ns) |
| 0 vs. 150 | −0.65 | −0.87 to −0.42 | <0.0001 (****) |
Disclaimer/Publisher’s Note: The statements, opinions and data contained in all publications are solely those of the individual author(s) and contributor(s) and not of MDPI and/or the editor(s). MDPI and/or the editor(s) disclaim responsibility for any injury to people or property resulting from any ideas, methods, instructions or products referred to in the content. |
© 2025 by the authors. Licensee MDPI, Basel, Switzerland. This article is an open access article distributed under the terms and conditions of the Creative Commons Attribution (CC BY) license (https://creativecommons.org/licenses/by/4.0/).
Share and Cite
Kubik, P.; Gruszczyński, W.; Pawłowska, A.; Malinowski, M.; Baran, B.; Pawłowska-Kubik, A.; Kodłubański, Ł.; Łukasik, B. An Infrared Energy Device for the Treatment of Facial Skin Aging. Biomedicines 2025, 13, 2878. https://doi.org/10.3390/biomedicines13122878
Kubik P, Gruszczyński W, Pawłowska A, Malinowski M, Baran B, Pawłowska-Kubik A, Kodłubański Ł, Łukasik B. An Infrared Energy Device for the Treatment of Facial Skin Aging. Biomedicines. 2025; 13(12):2878. https://doi.org/10.3390/biomedicines13122878
Chicago/Turabian StyleKubik, Paweł, Wojciech Gruszczyński, Aleksandra Pawłowska, Maciej Malinowski, Brygida Baran, Agnieszka Pawłowska-Kubik, Łukasz Kodłubański, and Bartłomiej Łukasik. 2025. "An Infrared Energy Device for the Treatment of Facial Skin Aging" Biomedicines 13, no. 12: 2878. https://doi.org/10.3390/biomedicines13122878
APA StyleKubik, P., Gruszczyński, W., Pawłowska, A., Malinowski, M., Baran, B., Pawłowska-Kubik, A., Kodłubański, Ł., & Łukasik, B. (2025). An Infrared Energy Device for the Treatment of Facial Skin Aging. Biomedicines, 13(12), 2878. https://doi.org/10.3390/biomedicines13122878

