NSD3::NUTM1 Fusion Sarcoma Mimicking Malignant Peripheral Nerve Sheath Tumor with Prolonged Survival
Abstract
1. Introduction
2. Case Presentation
2.1. Clinical History
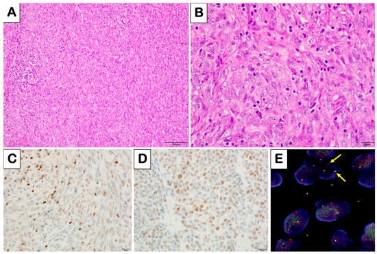
2.2. Morphologic and Immunohistochemical Overview of Tumor Recurrences
2.3. Advanced Immunohistochemical Analysis
2.4. Genetic Testing
2.4.1. Karyotype (Performed on Recurrence #6)
2.4.2. Fluorescence In Situ Hybridization (FISH) (Performed on Recurrences #2, #5, and #6)
2.4.3. Germline Assessment (Performed on Recurrence #5)
2.4.4. Next-Generation Sequencing (NGS)
2.4.5. Methylation Profiling Testing
3. Discussion
Supplementary Materials
Author Contributions
Funding
Institutional Review Board Statement
Informed Consent Statement
Data Availability Statement
Acknowledgments
Conflicts of Interest
References
- Agaimy, A.; Tögel, L.; Stoehr, R.; Meidenbauer, N.; Semrau, S.; Hartmann, A.; Mantsopoulos, K. NSD3-NUTM1-rearranged carcinoma of the median neck/thyroid bed developing after recent thyroidectomy for sclerosing mucoepidermoid carcinoma with eosinophilia: Report of an extraordinary case. Virchows Arch. 2021, 479, 1095–1099. [Google Scholar] [CrossRef] [PubMed]
- Agaimy, A.; Haller, F.; Renner, A.; Niedermeyer, J.; Hartmann, A.; French, C.A. Misleading Germ Cell Phenotype in Pulmonary NUT Carcinoma Harboring the ZNF532-NUTM1 Fusion. Am. J. Surg. Pathol. 2022, 46, 281–288. [Google Scholar] [CrossRef] [PubMed]
- Allison, D.B.; Rueckert, J.; Cornea, V.; Lee, C.Y.; Dueber, J.; Bocklage, T. Thyroid Carcinoma with NSD3::NUTM1 Fusion: A Case with Thyrocyte Differentiation and Colloid Production. Endocr. Pathol. 2022, 33, 315–326. [Google Scholar] [CrossRef] [PubMed]
- French, C.A.; Rahman, S.; Walsh, E.M.; Kühnle, S.; Grayson, A.R.; Lemieux, M.E.; Grunfeld, N.; Rubin, B.P.; Antonescu, C.R.; Zhang, S.; et al. NSD3-NUT fusion oncoprotein in NUT midline carcinoma: Implications for a novel oncogenic mechanism. Cancer Discov. 2014, 4, 928–941. [Google Scholar] [CrossRef] [PubMed]
- French, C. NUT midline carcinoma. Nat. Rev. Cancer 2014, 14, 149–150. [Google Scholar] [CrossRef] [PubMed]
- Somatilaka, B.N.; Sadek, A.; McKay, R.M.; Le, L.Q. Malignant peripheral nerve sheath tumor: Models, biology, and translation. Oncogene 2022, 41, 2405–2421. [Google Scholar] [CrossRef] [PubMed]
- Nielsen, P.; Chi, P. WHO Classification of Tumours of Soft Tissue and Bone, 5th ed.; International Agency for Research on Cancer: Lyon, France, 2022. [Google Scholar]
- Yao, C.; Zhou, H.; Dong, Y.; Alhaskawi, A.; Hasan Abdullah Ezzi, S.; Wang, Z.; Lai, J.; Goutham Kota, V.; Hasan Abdulla Hasan Abdulla, M.; Lu, H. Malignant Peripheral Nerve Sheath Tumors: Latest Concepts in Disease Pathogenesis and Clinical Management. Cancers 2023, 15, 1077. [Google Scholar] [CrossRef] [PubMed]
- Chen, Z.; Liu, C.; Patel, A.J.; Liao, C.P.; Wang, Y.; Le, L.Q. Cells of origin in the embryonic nerve roots for NF1-associated plexiform neurofibroma. Cancer Cell 2014, 26, 695–706. [Google Scholar] [CrossRef] [PubMed]
- Charlab, R.; Racz, R. The expanding universe of NUTM1 fusions in pediatric cancer. Clin. Transl. Sci. 2023, 16, 1331–1339. [Google Scholar] [CrossRef] [PubMed]
- McEvoy, C.R.; Fox, S.B.; Prall, O.W.J. Emerging entities in NUTM1-rearranged neoplasms. Genes Chromosomes Cancer 2020, 59, 375–385. [Google Scholar] [CrossRef] [PubMed]
- Moreno, V.; Saluja, K.; Pina-Oviedo, S. NUT Carcinoma: Clinicopathologic Features, Molecular Genetics and Epigenetics. Front. Oncol. 2022, 12, 860830. [Google Scholar] [CrossRef] [PubMed]
- Chau, N.G.; Ma, C.; Danga, K.; Al-Sayegh, H.; Nardi, V.; Barrette, R.; Lathan, C.S.; DuBois, S.G.; Haddad, R.I.; Shapiro, G.I.; et al. An Anatomical Site and Genetic-Based Prognostic Model for Patients with Nuclear Protein in Testis (NUT) Midline Carcinoma: Analysis of 124 Patients. JNCI Cancer Spectr. 2020, 4, pkz094. [Google Scholar] [CrossRef] [PubMed]
- Wang, H.; Weiss, V.L.; Hoffman, R.D.; Abel, T.; Ho, R.H.; Borinstein, S.C.; Mannion, K.; Bridge, J.A.; Black, J.; Liang, J. Salivary Gland NUT Carcinoma with Prolonged Survival in Children: Case Illustration and Systematic Review of Literature. Head Neck Pathol. 2021, 15, 236–243. [Google Scholar] [CrossRef] [PubMed]
- Lei, X.X.; Wang, S.L.; Xia, Y.; Yan, M.; He, B.; Wang, B.; Long, Z.J.; Liu, Q. SOX1 acts as a tumor hypnotist rendering nasopharyngeal carcinoma cells refractory to chemotherapy. Cell Death Discov. 2023, 9, 194. [Google Scholar] [CrossRef] [PubMed]
- Liu, Z.; Piao, L.; Zhuang, M.; Qiu, X.; Xu, X.; Zhang, D.; Liu, M.; Ren, D. Silencing of histone methyltransferase NSD3 reduces cell viability in osteosarcoma with induction of apoptosis. Oncol. Rep. 2017, 38, 2796–2802. [Google Scholar] [CrossRef] [PubMed]
- Xiu, S.; Chi, X.; Jia, Z.; Shi, C.; Zhang, X.; Li, Q.; Gao, T.; Zhang, L.; Liu, Z. NSD3: Advances in cancer therapeutic potential and inhibitors research. Eur. J. Med. Chem. 2023, 256, 115440. [Google Scholar] [CrossRef] [PubMed]
- Le Loarer, F.; Laffont, S.; Lesluyes, T.; Tirode, F.; Antonescu, C.; Baglin, A.C.; Delespaul, L.; Soubeyran, I.; Hostein, I.; Pérot, G.; et al. Clinicopathologic and Molecular Features of a Series of 41 Biphenotypic Sinonasal Sarcomas Expanding Their Molecular Spectrum. Am. J. Surg. Pathol. 2019, 43, 747–754. [Google Scholar] [CrossRef] [PubMed]



| Tumors | H&E Morphology | Mitosis (Count/mm2) | Necrosis | Immunohistochemistry | Genetic Tests | Treatment |
|---|---|---|---|---|---|---|
| Initial tumor at 13 months | Not recorded | Not recorded | None | Not recorded | Not performed | Resection |
| Recurrence #1 at age 6 | Not recorded | Not recorded | None | Positive for neurofilament, collagen IV, Leu 7, and vimentin; negative for S-100, EMA CD99, desmin, and keratin | Not performed | Resection and EBRT |
| Recurrence #2 at age 12 | Mix of plump spindled and epithelioid tumor cells in sheets | 5 | None | Negative for NUT; H3K27me3 weakly patchy positive | Not performed | Resection and EBRT; enrolled in COG D9903 |
| Recurrence #3 at age 20 | Mix of plump epithelioid and spindled cells in sheets | 4 | None | Not performed | Not performed | Resection and XRT 6100 cGy |
| Recurrence #4 at age 22 | Large cells with vesicular nuclei | 15 | None | Not performed | Not performed | Resection |
| Recurrence #5 at age 23 | Small round cells with patchy rhabdoid cells | 12 | None | Negative for S-100, SOX10, HMB45, and Melan-A | Negative for NF1 alterations by Invitae; Whole Genome NGS by CARIS Life Sciences | Resection and expectant management |
| Recurrence #6 at age 26 | Mix of small round blue cells and rhabdoid cells in a myxoid background | 13 | <50% geographic necrosis | Positive for vimentin; patchy positive for NUT, S-100, and SOX10; INI1 retained; focal positive for neurofilament; patchy positive for H3K27me3 | Whole Genome NGS by ORIEN AVATAR | Incomplete resection |
Disclaimer/Publisher’s Note: The statements, opinions and data contained in all publications are solely those of the individual author(s) and contributor(s) and not of MDPI and/or the editor(s). MDPI and/or the editor(s) disclaim responsibility for any injury to people or property resulting from any ideas, methods, instructions or products referred to in the content. |
© 2024 by the authors. Licensee MDPI, Basel, Switzerland. This article is an open access article distributed under the terms and conditions of the Creative Commons Attribution (CC BY) license (https://creativecommons.org/licenses/by/4.0/).
Share and Cite
Di, J.; Alhaidary, A.M.; Wang, C.; Liu, J.; Wei, S.; Valentino, J.; Bocklage, T.J. NSD3::NUTM1 Fusion Sarcoma Mimicking Malignant Peripheral Nerve Sheath Tumor with Prolonged Survival. Biomedicines 2024, 12, 1709. https://doi.org/10.3390/biomedicines12081709
Di J, Alhaidary AM, Wang C, Liu J, Wei S, Valentino J, Bocklage TJ. NSD3::NUTM1 Fusion Sarcoma Mimicking Malignant Peripheral Nerve Sheath Tumor with Prolonged Survival. Biomedicines. 2024; 12(8):1709. https://doi.org/10.3390/biomedicines12081709
Chicago/Turabian StyleDi, Jing, Ali M. Alhaidary, Chi Wang, Jinge Liu, Sainan Wei, Joseph Valentino, and Therese J. Bocklage. 2024. "NSD3::NUTM1 Fusion Sarcoma Mimicking Malignant Peripheral Nerve Sheath Tumor with Prolonged Survival" Biomedicines 12, no. 8: 1709. https://doi.org/10.3390/biomedicines12081709
APA StyleDi, J., Alhaidary, A. M., Wang, C., Liu, J., Wei, S., Valentino, J., & Bocklage, T. J. (2024). NSD3::NUTM1 Fusion Sarcoma Mimicking Malignant Peripheral Nerve Sheath Tumor with Prolonged Survival. Biomedicines, 12(8), 1709. https://doi.org/10.3390/biomedicines12081709

