The Prognostic Value of Proliferative Activity in Cutaneous Melanoma: A Pilot Study Evaluating the Mitotic Rate and Ki67 Index to Predict Patient Outcomes
Abstract
1. Introduction
2. Materials and Methods
- A histopathologically confirmed diagnosis of cutaneous melanoma with a Breslow index between 2 and 4 mm (stage pT3) or over 4 mm (stage pT4), regardless of lymph node invasion;
- The performance of imaging investigations (cranial, thoracic, and abdominopelvic computerized tomography) immediately after the initial diagnosis to detect possible metastatic lesions;
- Patient follow-up for a minimum of 5 years or until the patient’s death to evaluate progression-free survival (PFS) or overall survival (OS).
- Invasion depth measured in millimeters (Breslow index);
- Number of mitoses/mm2;
- Others: melanoma subtype, the presence of regression, ulceration, microsatelliets, tumor necrosis, lympho-vascular invasion, and perineural invasion.
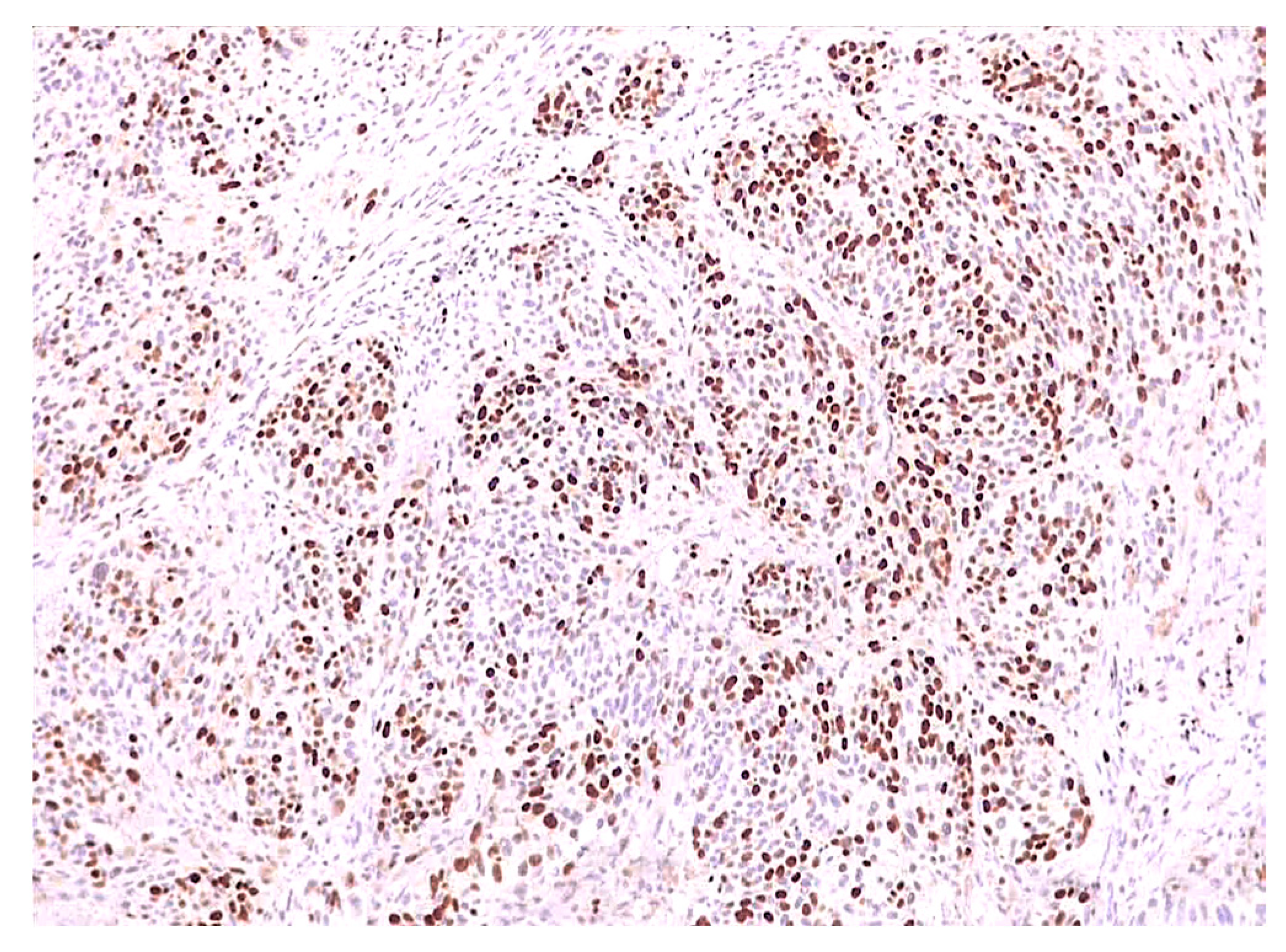
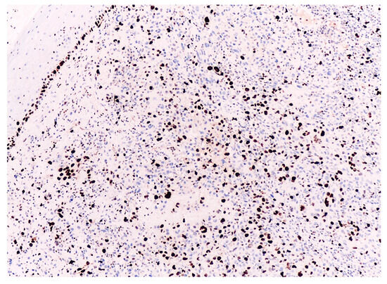
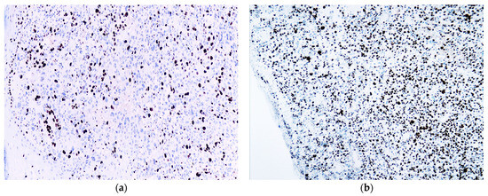
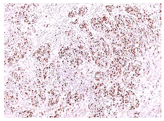
- Evaluation of the entire section overall at a 10× objective magnification to identify areas with the highest proliferative activity;
- Five photographs taken of the areas with the highest proliferative activity at a 40× objective magnification;
- Printing of the photos and counting 100 cells within each;
- Determination of the number of Ki67-positive cells out of every 100 cells counted;
- For a cell to be considered positive, it must exhibit intense nuclear Ki67 expression;
- Calculation of the mean Ki67 index by summing the values obtained for each photo and dividing by 5.
3. Results
4. Discussion
5. Conclusions
Author Contributions
Funding
Institutional Review Board Statement
Informed Consent Statement
Data Availability Statement
Acknowledgments
Conflicts of Interest
References
- Buja, A.; Bardin, A.; Damiani, G.; Zorzi, M.; De Toni, C.; Fusinato, R.; Spina, R.; Vecchiato, A.; Del Fiore, P.; Mocellin, S.; et al. Prognosis for Cutaneous Melanoma by Clinical and Pathological Profile: A Population-Based Study. Front Oncol. 2021, 11, 737399. [Google Scholar] [CrossRef] [PubMed]
- Gershenwald, J.E.; Scolyer, R.A.; Hess, K.R.; Thompson, J.F.; Long, G.V.; Ross, M.I.; Lazar, A.J.; Atkins, M.B.; Balch, C.M.; Barnhill, R.L.; et al. AJCC Cancer Staging Manual, 8th ed.; Springer International Publishing: Cham, Switzerland, 2017; pp. 563–585. [Google Scholar]
- Gao, M.; Wu, B.; Bai, X. Establishment and validation of a nomogram model for predicting the specific mortality risk of melanoma in upper limbs based on the SEER database. Sci. Rep. 2024, 14, 9623. [Google Scholar] [CrossRef] [PubMed]
- Stassen, R.C.; Maas, C.C.H.M.; van der Veldt, A.A.M.; Lo, S.N.; Saw, R.P.M.; Varey, A.H.R.; Scolyer, R.A.; Long, G.V.; Thompson, J.F.; Rutkowski, P.; et al. Development and validation of a novel model to predict recurrence-free survival and melanoma-specific survival after sentinel lymph node biopsy in patients with melanoma: An international, retrospective, multicentre analysis. Lancet Oncol. 2024, 25, 509–517. [Google Scholar] [CrossRef] [PubMed]
- Matrakool, P.; Chaisrisawadisuk, S.; Vongviriyangkoon, T. Prognostic Factors and Outcomes of Cutaneous Malignant Melanoma: A 174-Patient Cohort Study in a Tertiary Hospital in Thailand. Ann. Plast. Surg. 2023, 90, 621–625. [Google Scholar] [CrossRef] [PubMed]
- Niebling, M.G.; Haydu, L.E.; Lo, S.N.; Rawson, R.V.; Lamboo, L.G.E.; Stollman, J.T.; Karim, R.Z.; Thompson, J.F.; Scolyer, R.A. The prognostic significance of microsatellites in cutaneous melanoma. Mod. Pathol. 2020, 33, 1369–1379. [Google Scholar] [CrossRef] [PubMed]
- Buja, A.; Rugge, M.; Cozzolino, C.; Dossi, F.; Zorzi, M.; Vecchiato, A.; de Luca, G.; Del Fiore, P.; Tropea, S.; dall’Olmo, L.; et al. Could the mitotic count improve personalized prognosis in melanoma patients? PLoS ONE 2024, 19, e0302309. [Google Scholar] [CrossRef]
- Țăpoi, D.A.; Gheorghișan-Gălățeanu, A.-A.; Dumitru, A.V.; Ciongariu, A.M.; Furtunescu, A.R.; Marin, A.; Costache, M. Primary Undifferentiated/Dedifferentiated Cutaneous Melanomas—A Review on Histological, Immunohistochemical, and Molecular Features with Emphasis on Prognosis and Treatment. Int. J. Mol. Sci. 2023, 24, 9985. [Google Scholar] [CrossRef] [PubMed]
- Gosman, L.M.; Țăpoi, D.-A.; Costache, M. Cutaneous Melanoma: A Review of Multifactorial Pathogenesis, Immunohistochemistry, and Emerging Biomarkers for Early Detection and Management. Int. J. Mol. Sci. 2023, 24, 15881. [Google Scholar] [CrossRef] [PubMed]
- Vyas, N.S.; Charifa, A.; Desman, G.T.; Goldberg, M.; Singh, R.; Phelps, R.G.; McNiff, J.M. Observational Study Examining the Diagnostic Practice of Ki67 Staining for Melanocytic Lesions. Am. J. Dermatopathol. 2019, 41, 488–491. [Google Scholar] [CrossRef]
- Wu, Q.; Ma, G.; Deng, Y.; Luo, W.; Zhao, Y.; Li, W.; Zhou, Q. Prognostic Value of Ki-67 in Patients With Resected Triple-Negative Breast Cancer: A Meta-Analysis. Front. Oncol. 2019, 9, 1068. [Google Scholar] [CrossRef]
- La Rosa, S. Diagnostic, Prognostic, and Predictive Role of Ki67 Proliferative Index in Neuroendocrine and Endocrine Neoplasms: Past, Present, and Future. Endocr. Pathol. 2023, 34, 79–97. [Google Scholar] [CrossRef] [PubMed]
- La Rosa, S.; Bonzini, M.; Sciarra, A.; Asioli, S.; Maragliano, R.; Arrigo, M.; Foschini, M.P.; Righi, A.; Maletta, F.; Motolese, A.; et al. Exploring the Prognostic Role of Ki67 Proliferative Index in Merkel Cell Carcinoma of the Skin: Clinico-Pathologic Analysis of 84 Cases and Review of the Literature. Endocr. Pathol. 2020, 31, 392–400. [Google Scholar] [CrossRef]
- Fernández-Figueras, M.T.; Puig, L.; Musulen, E.; Gilaberte, M.; Ferrándiz, C.; Lerma, E.; Ariza, A. Prognostic significance of p27Kip1, p45Skp2 and Ki67 expression profiles in Merkel cell carcinoma, extracutaneous small cell carcinoma, and cutaneous squamous cell carcinoma. Histopathology 2005, 46, 614–621. [Google Scholar] [CrossRef] [PubMed]
- Ricci, C.; Morandi, L.; Righi, A.; Gibertoni, D.; Maletta, F.; Ambrosi, F.; Agostinelli, C.; Uccella, S.; Asioli, S.; Sessa, F.; et al. PD-1 (PDCD1) promoter methylation in Merkel cell carcinoma: Prognostic relevance and relationship with clinico-pathological parameters. Mod. Pathol. 2019, 32, 1359–1372. [Google Scholar] [CrossRef]
- Ricci, C.; Morandi, L.; Ambrosi, F.; Righi, A.; Gibertoni, D.; Maletta, F.; Agostinelli, C.; Corradini, A.G.; Uccella, S.; Asioli, S.; et al. Intron 4-5 hTERT DNA Hypermethylation in Merkel Cell Carcinoma: Frequency, Association with Other Clinico-pathological Features and Prognostic Relevance. Endocr. Pathol. 2021, 32, 385–395. [Google Scholar] [CrossRef]
- Koljonen, V.; Tukiainen, E.; Haglund, C.; Böhling, T. Proliferative activity detected by Ki67 correlates with poor outcome in Merkel cell carcinoma. Histopathology 2006, 49, 551–553. [Google Scholar] [CrossRef]
- Kraft, S.; Fernandez-Figueras, M.T.; Richarz, N.A.; Flaherty, K.T.; Hoang, M.P. PDL1 expression in desmoplastic melanoma is associated with tumor aggressiveness and progression. J. Am. Acad. Dermatol. 2017, 77, 534–542. [Google Scholar] [CrossRef]
- Flørenes, V.A.; Maelandsmo, G.M.; Faye, R.; Nesland, J.M.; Holm, R. Cyclin A expression in superficial spreading malignant melanomas correlates with clinical outcome. J. Pathol. 2001, 195, 530–536. [Google Scholar] [CrossRef] [PubMed]
- Lawrence, N.F.; Hammond, M.R.; Frederick, D.T.; Su, Y.; Dias-Santagata, D.; Deng, A.; Selim, M.A.; Mahalingam, M.; Flaherty, K.T.; Hoang, M.P. Ki-67, p53, and p16 expression, and G691S RET polymorphism in desmoplastic melanoma (DM): A clinicopathologic analysis of predictors of outcome. J. Am. Acad. Dermatol. 2016, 75, 595–602. [Google Scholar] [CrossRef]
- Jurmeister, P.; Bockmayr, M.; Treese, C.; Stein, U.; Lenze, D.; Jöhrens, K.; Friedling, F.; Dietel, M.; Klauschen, F.; Marsch, W.; et al. Immunohistochemical analysis of Bcl-2, nuclear S100A4, MITF and Ki67 for risk stratification of early-stage melanoma—A combined IHC score for melanoma risk stratification. J. Dtsch. Dermatol. Ges. 2019, 17, 800–808. [Google Scholar] [CrossRef]
- Patuzzo, R.; Mattavelli, I.; Gallino, G.; Galeone, C.; Valeri, B.; Mocellin, S.; Del Fiore, P.; Ribero, S.; Mandalà, M.; Tauceri, F.; et al. The prognostic role of mitotic rate in cutaneous malignant melanoma: Evidence from a multicenter study on behalf of the Italian Melanoma Intergroup. Cancer 2023, 129, 2331–2340. [Google Scholar] [CrossRef]
- Piñero-Madrona, A.; Ruiz-Merino, G.; Cerezuela Fuentes, P.; Martínez-Barba, E.; Rodríguez-López, J.N.; Cabezas-Herrera, J. Mitotic rate as an important prognostic factor in cutaneous malignant melanoma. Clin. Transl. Oncol. 2019, 21, 1348–1356. [Google Scholar] [CrossRef]
- Buja, A.; Rugge, M.; Damiani, G.; Zorzi, M.; De Toni, C.; Vecchiato, A.; Del Fiore, P.; Spina, R.; Baldo, V.; Brazzale, A.R.; et al. Sex Differences in Cutaneous Melanoma: Incidence, Clinicopathological Profile, Survival, and Costs. J. Womens Health 2022, 31, 1012–1019. [Google Scholar] [CrossRef]
- Li, S.; Yin, C.; Yang, X.; Lu, Y.; Wang, C.; Liu, B. Risk factors and predictive models for early death in patients with advanced melanoma: A population-based study. Medicine 2023, 102, e35380. [Google Scholar] [CrossRef] [PubMed]
- Shannon, C.M.; Mehta, N.K.; Li, H.; Nguyen, S.A.; Koochakzadeh, S.; Elston, D.M.; Kaczmar, J.M.; Day, T.A. Anatomic Region of Cutaneous Melanoma Impacts Survival and Clinical Outcomes: A Population-Based Analysis. Cancers 2023, 15, 1229. [Google Scholar] [CrossRef]
- Segura, S.; Podlipnik, S.; Boada, A.; Martí, R.M.; Sabat, M.; Yélamos, O.; Zarzoso-Muñoz, I.; Azón-Masoliver, A.; López-Castillo, D.; Solà, J.; et al. Melanoma-specific survival in worse in the elderly: A multicentric cohort study. Melanoma Res. 2023, 33, 532–538. [Google Scholar] [CrossRef]
- Baer, S.C.; Schultz, D.; Synnestvedt, M.; Elder, D.E. Desmoplasia and neurotropism. Prognostic variables in patients with stage I melanoma. Cancer 1995, 76, 2242–2247. [Google Scholar] [CrossRef] [PubMed]
- Namikawa, K.; Aung, P.P.; Gershenwald, J.E.; Milton, D.R.; Prieto, V.G. Clinical impact of ulceration width, lymphovascular invasion, microscopic satellitosis, perineural invasion, and mitotic rate in patients undergoing sentinel lymph node biopsy for cutaneous melanoma: A retrospective observational study at a comprehensive cancer center. Cancer Med. 2018, 7, 583–593. [Google Scholar] [PubMed]
- Borges de Barros Primo, R.; Brito Nobre, A.; Santos, B.N.; Nunes, L.F.; Fernandes, R.; Abrão Possik, P.; Santos Bernardes, S. Impact of clinical and histopathological characteristics on the disease-free survival of stage I-II acral melanoma patients. Int. J. Dermatol. 2023, 62, 1281–1288. [Google Scholar] [CrossRef]
- Țăpoi, D.A.; Gheorghișan-Gălățeanu, A.-A.; Gosman, L.M.; Dumitru, A.V.; Ciongariu, A.M.; Costache, M. Prognostic Value of the Width of Invasion in pT3 Cutaneous Melanomas. Int. J. Transl. Med. 2024, 4, 1–14. [Google Scholar] [CrossRef]
- Vița, O.; Jurescu, A.; Văduva, A.; Cornea, R.; Cornianu, M.; Tăban, S.; Szilagyi, D.; Micșescu, C.; Natarâș, B.; Dema, A. Invasive Cutaneous Melanoma: Evaluating the Prognostic Significance of Some Parameters Associated with Lymph Node Metastases. Medicina 2023, 59, 1241. [Google Scholar] [CrossRef] [PubMed]
- Liszkay, G.; Mátrai, Z.; Czirbesz, K.; Jani, N.; Bencze, E.; Kenessey, I. Predictive and Prognostic Value of BRAF and NRAS Mutation of 159 Sentinel Lymph Node Cases in Melanoma—A Retrospective Single-Institute Study. Cancers 2021, 13, 3302. [Google Scholar] [CrossRef] [PubMed]
- Lee, T.L.; Liao, Y.H.; Liau, J.Y.; Sheen, Y.S. Risk factors of recurrence and distant metastasis in primary cutaneous melanoma in Taiwan. Sci. Rep. 2021, 11, 21012. [Google Scholar] [CrossRef] [PubMed]
- Țăpoi, D.A.; Derewicz, D.; Gheorghișan-Gălățeanu, A.-A.; Dumitru, A.V.; Ciongariu, A.M.; Costache, M. The Impact of Clinical and Histopathological Factors on Disease Progression and Survival in Thick Cutaneous Melanomas. Biomedicines 2023, 11, 2616. [Google Scholar] [CrossRef] [PubMed]
- Scolyer, R.A.; Rawson, R.V.; Gershenwald, J.E.; Ferguson, P.M.; Prieto, V.G. Melanoma pathology reporting and staging. Mod. Pathol. 2020, 33, 15–24. [Google Scholar] [CrossRef] [PubMed]
- Blakely, A.M.; Cohen, J.T.; Comissiong, D.S.; Vezeridis, M.P.; Miner, T.J. Prognosis and Management of Thick and Ultrathick Melanoma. Am. J. Clin. Oncol. 2019, 42, 824–829. [Google Scholar] [CrossRef] [PubMed]
- Thompson, J.F.; Soong, S.J.; Balch, C.M.; Gershenwald, J.E.; Ding, S.; Coit, D.G.; Flaherty, K.T.; Gimotty, P.A.; Johnson, T.; Johnson, M.M.; et al. Prognostic significance of mitotic rate in localized primary cutaneous melanoma: An analysis of patients in the multi-institutional American Joint Committee on Cancer melanoma staging database. J. Clin. Oncol. 2011, 29, 2199–2205. [Google Scholar] [CrossRef] [PubMed]
- Evans, J.L.; Vidri, R.J.; MacGillivray, D.C.; Fitzgerald, T.L. Tumor mitotic rate is an independent predictor of survival for nonmetastatic melanoma. Surgery 2018, 164, 589–593. [Google Scholar] [CrossRef] [PubMed]
- Kashani-Sabet, M.; Miller, J.R., 3rd; Lo, S.; Nosrati, M.; Stretch, J.R.; Shannon, K.F.; Spillane, A.J.; Saw, R.P.M.; Cleaver, J.E.; Kim, K.B.; et al. Reappraisal of the prognostic significance of mitotic rate supports its reincorporation into the melanoma staging system. Cancer 2020, 126, 4717–4725. [Google Scholar] [CrossRef]
- Marsch, A.F.; McKee, R.M.; Werbel, T.; Ruo, B.; Hinds, B.R. The Relationship Between Epidermal Mitotic Density, Atypical Mitotic Figure Density, Breslow Depth, Ulceration, and Dermal Mitotic Rate in Cutaneous Melanoma: A Retrospective Cohort Study. Int. J. Surg. Pathol. 2021, 29, 592–599. [Google Scholar] [CrossRef]
- Betti, R.; Santambrogio, R.; Cerri, A.; Vergani, R.; Moneghini, L.; Menni, S. Observational study on the mitotic rate and other prognostic factors in cutaneous primary melanoma arising from naevi and from melanoma de novo. J. Eur. Acad. Dermatol. Venereol. 2014, 28, 1738–1741. [Google Scholar] [CrossRef] [PubMed]
- Yamamoto, M.; Fisher, K.J.; Wong, J.Y.; Koscso, J.M.; Konstantinovic, M.A.; Govsyeyev, N.; Messina, J.L.; Sarnaik, A.A.; Cruse, C.W.; Gonzalez, R.J.; et al. Sentinel lymph node biopsy is indicated for patients with thick clinically lymph node-negative melanoma. Cancer 2015, 121, 1628–1636. [Google Scholar] [CrossRef] [PubMed]
- White, I.; Fortino, J.; Curti, B.; Vetto, J. Clinical impact of sentinel lymph node biopsy in patients with thick (>4 mm) melanomas. Am. J. Surg. 2014, 207, 702–707, discussion 707. [Google Scholar] [CrossRef] [PubMed]
- Aguilar-Romero, E.; Chávez-Hernández, J.D.; Zepeda-Najar, C.; Salcedo-Hernández, R.A.; Lino-Silva, L.S. Prognostic variables in patients with thick melanomas. Analysis of 362 cases. Gac. Med. Mex. 2021, 157, 207–211. [Google Scholar] [CrossRef] [PubMed]
- Ly, C.L.; Blaha, O.; Wei, W.; Galan, A.; Kluger, H.; Ariyan, S.; Olino, K.; Clune, J.E. Predictive accuracy of elevated mitotic rate on lymph node positivity and recurrence in thin melanomas. Front. Oncol. 2023, 12, 1077226. [Google Scholar] [CrossRef]
- Puripat, N.; Loharamtaweethong, K. Phosphohistone H3 (PHH3) as a surrogate of mitotic figure count for grading in meningiomas: A comparison of PHH3 (S10) versus PHH3 (S28) antibodies. Virchows Arch. 2019, 474, 87–96. [Google Scholar] [CrossRef] [PubMed]
- Sathyamoorthy, H.; Mahmood, H.; Zubir, A.Z.A.; Hankinson, P.; Khurram, S.A. Prognostic importance of mitosis quantification and PHH3 expression in oral epithelial dysplasia. Virchows Arch. 2024, 484, 47–59. [Google Scholar] [CrossRef] [PubMed]
- Schimming, T.T.; Grabellus, F.; Roner, M.; Pechlivanis, S.; Sucker, A.; Bielefeld, N.; Moll, I.; Schadendorf, D.; Hillen, U. pHH3 immunostaining improves interobserver agreement of mitotic index in thin melanomas. Am. J. Dermatopathol. 2012, 34, 266–269. [Google Scholar] [CrossRef]
- Tu, T.J.; Ma, M.W.; Monni, S.; Rose, A.E.; Yee, H.; Darvishian, F.; Polsky, D.; Berman, R.S.; Shapiro, R.L.; Pavlick, A.C.; et al. A high proliferative index of recurrent melanoma is associated with worse survival. Oncology 2011, 80, 181–187. [Google Scholar] [CrossRef]
- Liu, Q.; Peng, Z.; Shen, L.; Shen, L. Prognostic and Clinicopathological Value of Ki-67 in Melanoma: A Meta-Analysis. Front. Oncol. 2021, 11, 737760. [Google Scholar] [CrossRef]
- Parra, O.; Ma, W.; Li, Z.; Coffing, B.N.; Linos, K.; LeBlanc, R.E.; Momtahen, S.; Sriharan, A.; Cloutier, J.M.; Wells, W.A.; et al. PRAME expression in cutaneous melanoma does not correlate with disease-specific survival. J. Cutan. Pathol. 2023, 50, 903–912. [Google Scholar] [CrossRef] [PubMed]
- Du, Y.; Li, C.; Mao, L.; Wei, X.; Bai, X.; Chi, Z.; Cui, C.; Sheng, X.; Lian, B.; Tang, B.; et al. A nomogram incorporating Ki67 to predict survival of acral melanoma. J. Cancer Res. Clin. Oncol. 2023, 149, 13077–13085. [Google Scholar] [CrossRef] [PubMed]
- Henrique, R.; Azevedo, R.; Bento, M.J.; Domingues, J.C.; Silva, C.; Jerónimo, C. Prognostic value of Ki-67 expression in localized cutaneous malignant melanoma. J. Am. Acad. Dermatol. 2000, 43, 991–1000. [Google Scholar] [CrossRef] [PubMed]
- Moretti, S.; Spallanzani, A.; Chiarugi, A.; Fabiani, M.; Pinzi, C. Correlation of Ki-67 expression in cutaneous primary melanoma with prognosis in a prospective study: Different correlation according to thickness. J. Am. Acad. Dermatol. 2001, 44, 188–192. [Google Scholar] [CrossRef] [PubMed]
- Gould Rothberg, B.E.; Bracken, M.B.; Rimm, D.L. Tissue biomarkers for prognosis in cutaneous melanoma: A systematic review and meta-analysis. J. Natl. Cancer Inst. 2009, 101, 452–474. [Google Scholar] [CrossRef] [PubMed]
- Robinson, E.M.; Rosenbaum, B.E.; Zhang, Y.; Rogers, R.; Tchack, J.; Berman, R.S.; Darvishian, F.; Osman, I.; Shapiro, R.L.; Shao, Y.; et al. Association between Ki-67 expression and clinical outcomes among patients with clinically node-negative, thick primary melanoma who underwent nodal staging. J. Surg. Oncol. 2018, 118, 150–156. [Google Scholar] [CrossRef]
- Ricci, C.; Dika, E.; Ambrosi, F.; Lambertini, M.; Veronesi, G.; Barbara, C. Cutaneous Melanomas: A Single Center Experience on the Usage of Immunohistochemistry Applied for the Diagnosis. Int. J. Mol. Sci. 2022, 23, 5911. [Google Scholar] [CrossRef]












| Progression-Free Survival | Overall Survival | |||||
|---|---|---|---|---|---|---|
| HR | 95%CI | p | HR | 95%CI | p | |
| Mitotic index | 1.239 | 0.95–1.65 | 0.1049 | 1.1 | 1.29–1.66 | 0.0126 |
| Progression-Free Survival | Overall Survival | |||||
|---|---|---|---|---|---|---|
| HR | 95%CI | p | HR | 95%CI | p | |
| Ki67 index | 1.14 | 1.01–1.36 | 0.0696 | 1.1 | 1.03–1.23 | 0.0302 |
| Entire Group (n = 33) | Progression-Free Survival (n = 12) | Metastatic Group (n = 21) | Deceased Patients (n = 17) | |
|---|---|---|---|---|
| Melanoma subtype | ||||
| Superficial spreading | 30.30% (n = 10) | 66.67% (n = 8) | 9.53% (n = 2) | 11.76% (n = 2) |
| Acral lentiginous | 18.18% (n = 6) | 0 | 28.57% (n = 6) | 35.29% (n = 6) |
| Nodular | 51.52% (n = 17) | 33.33% (n = 4) | 61.9% (n = 13) | 52.95% (n = 9) |
| Ulceration | 72.72% (n = 24) | 41.66% (n = 5) | 90.48% (n = 19) | 94.12% (n = 16) |
| Regression | 6.06% (n = 2) | 8.33% (n = 1) | 4.76% (n = 1) | 5.88% (n = 1) |
| Microsatellites | 15.15% (n = 5) | 0 | 23.81% (n = 5) | 23.53% (n = 4) |
| Necrosis | 48.48% (n = 16) | 25% (n = 3) | 61.9% (n = 13) | 58.82% (n = 10) |
| Lympho-vascular invasion | 39.39% (n = 13) | 25% (n = 3) | 47.62% (n = 10) | 17.65% (n = 3) |
| Perineural invasion | 24.24% (n = 8) | 8.33% (n = 1) | 33.33% (n = 7) | 17.65% (n = 5) |
| Progression-Free Survival | Overall Survival | |||||
|---|---|---|---|---|---|---|
| HR | 95%CI | p | HR | 95%CI | p | |
| Age | 1.038 | 0.99–1.09 | 0.0998 | 1.23 | 1.08–1.51 | 0.0147 |
| Gender (male) | 5.79 | 1.40–26.59 | 0.0171 | 84.46 | 5.31–3744 | 0.0076 |
| Melanoma subtype | ||||||
| Superficial spreading | Ref | |||||
| Acral lentiginous | 9.79 | 0.86–132.2 | 0.0686 | 2.48 | 0.13–75.44 | 0.5652 |
| Nodular | 1.08 | 0.14–9.71 | 0.9405 | 0.08 | 0.003–1.41 | 0.0989 |
| Breslow depth | 1.08 | 1.01–1.15 | 0.0144 | 1.31 | 1.13–1.61 | 0.0018 |
| Ki67 index | 0.99 | 0.96–1.02 | 0.6727 | 0.98 | 0.94–1.02 | 0.4263 |
| Mitotic index | 1.16 | 1.01–1.33 | 0.0276 | 1.31 | 1.05–1.79 | 0.0428 |
| Ulceration | 0.41 | 0.05–2.29 | 0.3421 | 0.4 | 0.008–8.07 | 0.5804 |
| Regression | 0.88 | 0.04–7.079 | 0.9228 | 0.61 | 0.008–18.64 | 0.7985 |
| Microsatellites | 0.55 | 0.09–2.68 | 0.9228 | 0.01 | 0.0001–0.61 | 0.058 |
| Necrosis | 0.26 | 0.05–1.13 | 0.084 | 0.62 | 0.08–3.67 | 0.6032 |
| Lympho-vascular invasion | 1.08 | 0.26–4.56 | 0.9091 | 0.09 | 0.005–1.26 | 0.075 |
| Perineural invasion | 6.45 | 1.48–30.09 | 0.0131 | 35.68 | 2.8–1065 | 0.0167 |
Disclaimer/Publisher’s Note: The statements, opinions and data contained in all publications are solely those of the individual author(s) and contributor(s) and not of MDPI and/or the editor(s). MDPI and/or the editor(s) disclaim responsibility for any injury to people or property resulting from any ideas, methods, instructions or products referred to in the content. |
© 2024 by the authors. Licensee MDPI, Basel, Switzerland. This article is an open access article distributed under the terms and conditions of the Creative Commons Attribution (CC BY) license (https://creativecommons.org/licenses/by/4.0/).
Share and Cite
Tapoi, D.A.; Gheorghișan-Gălățeanu, A.-A.; Gosman, L.M.; Derewicz, D.; Costache, M. The Prognostic Value of Proliferative Activity in Cutaneous Melanoma: A Pilot Study Evaluating the Mitotic Rate and Ki67 Index to Predict Patient Outcomes. Biomedicines 2024, 12, 1318. https://doi.org/10.3390/biomedicines12061318
Tapoi DA, Gheorghișan-Gălățeanu A-A, Gosman LM, Derewicz D, Costache M. The Prognostic Value of Proliferative Activity in Cutaneous Melanoma: A Pilot Study Evaluating the Mitotic Rate and Ki67 Index to Predict Patient Outcomes. Biomedicines. 2024; 12(6):1318. https://doi.org/10.3390/biomedicines12061318
Chicago/Turabian StyleTapoi, Dana Antonia, Ancuța-Augustina Gheorghișan-Gălățeanu, Laura Maria Gosman, Diana Derewicz, and Mariana Costache. 2024. "The Prognostic Value of Proliferative Activity in Cutaneous Melanoma: A Pilot Study Evaluating the Mitotic Rate and Ki67 Index to Predict Patient Outcomes" Biomedicines 12, no. 6: 1318. https://doi.org/10.3390/biomedicines12061318
APA StyleTapoi, D. A., Gheorghișan-Gălățeanu, A.-A., Gosman, L. M., Derewicz, D., & Costache, M. (2024). The Prognostic Value of Proliferative Activity in Cutaneous Melanoma: A Pilot Study Evaluating the Mitotic Rate and Ki67 Index to Predict Patient Outcomes. Biomedicines, 12(6), 1318. https://doi.org/10.3390/biomedicines12061318

