Frequency of Androgen Receptor Positivity in Tumors: A Study Evaluating More Than 18,000 Tumors
Abstract
1. Introduction
2. Material and Methods
3. Results
3.1. Technical Issues
3.2. AR Immunostaining in Normal Tissues
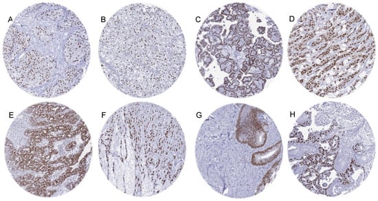
3.3. AR Immunostaining in Neoplastic Tissues
3.4. AR Immunostaining, Tumor Phenotype, and Prognosis
3.5. AR Immunostaining, Gender and Age Distribution
4. Discussion
5. Conclusions
Supplementary Materials
Author Contributions
Funding
Institutional Review Board Statement
Informed Consent Statement
Data Availability Statement
Acknowledgments
Conflicts of Interest
References
- Chang, C.; Saltzman, A.; Yeh, S.; Young, W.; Keller, E.; Lee, H.J.; Wang, C.; Mizokami, A. Androgen receptor: An overview. Crit. Rev. Eukaryot. Gene Expr. 1995, 5, 97–125. [Google Scholar] [CrossRef]
- Eder, I.E.; Culig, Z.; Putz, T.; Nessler-Menardi, C.; Bartsch, G.; Klocker, H. Molecular biology of the androgen receptor: From molecular understanding to the clinic. Eur. Urol. 2001, 40, 241–251. [Google Scholar] [CrossRef] [PubMed]
- Kousteni, S.; Bellido, T.; Plotkin, L.I.; O’Brien, C.A.; Bodenner, D.L.; Han, L.; Han, K.; DiGregorio, G.B.; Katzenellenbogen, J.A.; Katzenellenbogen, B.S.; et al. Nongenotropic, sex-nonspecific signaling through the estrogen or androgen receptors: Dissociation from transcriptional activity. Cell 2001, 104, 719–730. [Google Scholar] [CrossRef] [PubMed]
- Rana, K.; Davey, R.A.; Zajac, J.D. Human androgen deficiency: Insights gained from androgen receptor knockout mouse models. Asian J. Androl. 2014, 16, 169–177. [Google Scholar] [CrossRef] [PubMed]
- Chang, C.; Lee, S.O.; Yeh, S.; Chang, T.M. Androgen receptor (AR) differential roles in hormone-related tumors including prostate, bladder, kidney, lung, breast and liver. Oncogene 2014, 33, 3225–3234. [Google Scholar] [CrossRef] [PubMed]
- Mir, C.; Shariat, S.F.; van der Kwast, T.H.; Ashfaq, R.; Lotan, Y.; Evans, A.; Skeldon, S.; Hanna, S.; Vajpeyi, R.; Kuk, C.; et al. Loss of androgen receptor expression is not associated with pathological stage, grade, gender or outcome in bladder cancer: A large multi-institutional study. BJU Int. 2011, 108, 24–30. [Google Scholar] [CrossRef] [PubMed]
- Williams, E.M.; Higgins, J.P.; Sangoi, A.R.; McKenney, J.K.; Troxell, M.L. Androgen receptor immunohistochemistry in genitourinary neoplasms. Int. Urol. Nephrol. 2015, 47, 81–85. [Google Scholar] [CrossRef] [PubMed]
- Necchi, A.; Lo Vullo, S.; Giannatempo, P.; Raggi, D.; Perrone, F.; Nicolai, N.; Catanzaro, M.; Biasoni, D.; Torelli, T.; Piva, L.; et al. Association of Androgen Receptor Expression on Tumor Cells and PD-L1 Expression in Muscle-Invasive and Metastatic Urothelial Carcinoma: Insights for Clinical Research. Clin. Genitourin. Cancer 2018, 16, e403–e410. [Google Scholar] [CrossRef] [PubMed]
- Boorjian, S.; Ugras, S.; Mongan, N.P.; Gudas, L.J.; You, X.; Tickoo, S.K.; Scherr, D.S. Androgen receptor expression is inversely correlated with pathologic tumor stage in bladder cancer. Urology 2004, 64, 383–388. [Google Scholar] [CrossRef]
- van Boxtel, W.; Uijen, M.J.M.; Verhaegh, G.W.; Willems, S.M.; Jonker, M.A.; Group, P.; Schalken, J.A.; van Engen-van Grunsven, I.C.H.; van Herpen, C.M.L. Prognostic value of PSMA, c-MET and E-cadherin in salivary duct carcinoma. Oral Oncol. 2020, 110, 105018. [Google Scholar] [CrossRef]
- Xu, B.; Dogan, S.; Haroon Al Rasheed, M.R.; Ghossein, R.; Katabi, N. Androgen receptor immunohistochemistry in salivary duct carcinoma: A retrospective study of 188 cases focusing on tumoral heterogeneity and temporal concordance. Hum. Pathol. 2019, 93, 30–36. [Google Scholar] [CrossRef] [PubMed]
- Mueller, S.A.; Gauthier, M.A.; Blackburn, J.; Grady, J.P.; Kraitsek, S.; Hajdu, E.; Dettmer, M.S.; Dahlstrom, J.E.; Lee, C.S.; Luk, P.P.; et al. Molecular patterns in salivary duct carcinoma identify prognostic subgroups. Mod. Pathol. 2020, 33, 1896–1909. [Google Scholar] [CrossRef] [PubMed]
- Villepelet, A.; Lefevre, M.; Verillaud, B.; Janot, F.; Garrel, R.; Vergez, S.; Bertolus, C.; Malard, O.; de Gabory, L.; Mauvais, O.; et al. Salivary duct carcinoma: Prospective multicenter study of 61 cases of the Reseau d’Expertise Francais des Cancers ORL Rares. Head Neck 2019, 41, 584–591. [Google Scholar] [CrossRef] [PubMed]
- Gargano, S.M.; Senarathne, W.; Feldman, R.; Florento, E.; Stafford, P.; Swensen, J.; Vranic, S.; Gatalica, Z. Novel therapeutic targets in salivary duct carcinoma uncovered by comprehensive molecular profiling. Cancer Med. 2019, 8, 7322–7329. [Google Scholar] [CrossRef] [PubMed]
- Bourlond, F.; Velter, C.; Cribier, B. Androgen receptor expression in epidermal and adnexal tumours. Ann. Dermatol. Venereol. 2021, 148, 116–121. [Google Scholar] [CrossRef] [PubMed]
- Arits, A.H.; Van Marion, A.M.; Lohman, B.G.; Thissen, M.R.; Steijlen, P.M.; Nelemans, P.J.; Kelleners-Smeets, N.W. Differentiation between basal cell carcinoma and trichoepithelioma by immunohistochemical staining of the androgen receptor: An overview. Eur. J. Dermatol. 2011, 21, 870–873. [Google Scholar] [CrossRef] [PubMed]
- Astarci, H.M.; Unsal, G.; Sengul, D.; Hucumenoglu, S.; Kocer, U.; Ustun, H. Significance of androgen receptor and CD10 expression in cutaneous basal cell carcinoma and trichoepithelioma. Oncol. Lett. 2015, 10, 3466–3470. [Google Scholar] [CrossRef]
- Izikson, L.; Bhan, A.; Zembowicz, A. Androgen receptor expression helps to differentiate basal cell carcinoma from benign trichoblastic tumors. Am. J. Dermatopathol. 2005, 27, 91–95. [Google Scholar] [CrossRef]
- Adnan, Y.; Ali, S.M.A.; Awan, M.S.; Idress, R.; Awan, M.O.; Farooqui, H.A.; Kayani, H.A. Hormone receptors AR, ER, PR and growth factor receptor Her-2 expression in oral squamous cell carcinoma: Correlation with overall survival, disease-free survival and 10-year survival in a high-risk population. PLoS ONE 2022, 17, e0267300. [Google Scholar] [CrossRef]
- Tomasovic-Loncaric, C.; Fucic, A.; Andabak, A.; Andabak, M.; Ceppi, M.; Bruzzone, M.; Vrdoljak, D.; Vucicevic-Boras, V. Androgen Receptor as a Biomarker of Oral Squamous Cell Carcinoma Progression Risk. Anticancer Res. 2019, 39, 4285–4289. [Google Scholar] [CrossRef]
- Marocchio, L.S.; Giudice, F.; Correa, L.; Pinto Junior Ddos, S.; de Sousa, S.O. Oestrogens and androgen receptors in oral squamous cell carcinoma. Acta Odontol. Scand. 2013, 71, 1513–1519. [Google Scholar] [CrossRef] [PubMed]
- Wu, T.F.; Luo, F.J.; Chang, Y.L.; Huang, C.M.; Chiu, W.J.; Weng, C.F.; Hsu, Y.K.; Yuan, T.C. The oncogenic role of androgen receptors in promoting the growth of oral squamous cell carcinoma cells. Oral Dis. 2015, 21, 320–327. [Google Scholar] [CrossRef] [PubMed]
- Desai, K.; McManus, J.M.; Sharifi, N. Hormonal Therapy for Prostate Cancer. Endocr. Rev. 2021, 42, 354–373. [Google Scholar] [CrossRef]
- Chen, Y.; Zhou, Q.; Hankey, W.; Fang, X.; Yuan, F. Second generation androgen receptor antagonists and challenges in prostate cancer treatment. Cell Death Dis. 2022, 13, 632. [Google Scholar] [CrossRef] [PubMed]
- Tripathi, A.; Gupta, S. Androgen receptor in bladder cancer: A promising therapeutic target. Asian J. Urol. 2020, 7, 284–290. [Google Scholar] [CrossRef] [PubMed]
- Weaver, A.N.; Lakritz, S.; Mandair, D.; Ulanja, M.B.; Bowles, D.W. A molecular guide to systemic therapy in salivary gland carcinoma. Head Neck 2023, 45, 1315–1326. [Google Scholar] [CrossRef]
- Traina, T.A.; Miller, K.; Yardley, D.A.; Eakle, J.; Schwartzberg, L.S.; O’Shaughnessy, J.; Gradishar, W.; Schmid, P.; Winer, E.; Kelly, C.; et al. Enzalutamide for the Treatment of Androgen Receptor-Expressing Triple-Negative Breast Cancer. J. Clin. Oncol. 2018, 36, 884–890. [Google Scholar] [CrossRef]
- Hickey, T.E.; Selth, L.A.; Chia, K.M.; Laven-Law, G.; Milioli, H.H.; Roden, D.; Jindal, S.; Hui, M.; Finlay-Schultz, J.; Ebrahimie, E.; et al. The androgen receptor is a tumor suppressor in estrogen receptor-positive breast cancer. Nat. Med. 2021, 27, 310–320. [Google Scholar] [CrossRef] [PubMed]
- Downes, M.R.; Torlakovic, E.E.; Aldaoud, N.; Zlotta, A.R.; Evans, A.J.; van der Kwast, T.H. Diagnostic utility of androgen receptor expression in discriminating poorly differentiated urothelial and prostate carcinoma. J. Clin. Pathol. 2013, 66, 779–786. [Google Scholar] [CrossRef]
- Asadi-Amoli, F.; Khoshnevis, F.; Haeri, H.; Jahanzad, I.; Pazira, R.; Shahsiah, R. Comparative examination of androgen receptor reactivity for differential diagnosis of sebaceous carcinoma from squamous cell and basal cell carcinoma. Am. J. Clin. Pathol. 2010, 134, 22–26. [Google Scholar] [CrossRef]
- Quinn, C.M.; D’Arcy, C.; Wells, C. Apocrine lesions of the breast. Virchows Arch. 2022, 480, 177–189. [Google Scholar] [CrossRef] [PubMed]
- Tozbikian, G.H.; Zynger, D.L. A combination of GATA3 and SOX10 is useful for the diagnosis of metastatic triple-negative breast cancer. Hum. Pathol. 2019, 85, 221–227. [Google Scholar] [CrossRef]
- Reiswich, V.; Schmidt, C.E.; Lennartz, M.; Hoflmayer, D.; Hube-Magg, C.; Weidemann, S.; Fraune, C.; Buscheck, F.; Moller, K.; Bernreuther, C.; et al. GATA3 Expression in Human Tumors: A Tissue Microarray Study on 16,557 Tumors. Pathobiology 2023, 90, 219–232. [Google Scholar] [CrossRef] [PubMed]
- Dieci, M.V.; Tsvetkova, V.; Griguolo, G.; Miglietta, F.; Mantiero, M.; Tasca, G.; Cumerlato, E.; Giorgi, C.A.; Giarratano, T.; Faggioni, G.; et al. Androgen Receptor Expression and Association With Distant Disease-Free Survival in Triple Negative Breast Cancer: Analysis of 263 Patients Treated With Standard Therapy for Stage I–III Disease. Front. Oncol. 2019, 9, 452. [Google Scholar] [CrossRef]
- Jahan, N.; Jones, C.; Rahman, R.L. Androgen receptor expression in breast cancer: Implications on prognosis and treatment, a brief review. Mol. Cell Endocrinol. 2021, 531, 111324. [Google Scholar] [CrossRef] [PubMed]
- Pistelli, M.; Caramanti, M.; Biscotti, T.; Santinelli, A.; Pagliacci, A.; De Lisa, M.; Ballatore, Z.; Ridolfi, F.; Maccaroni, E.; Bracci, R.; et al. Androgen receptor expression in early triple-negative breast cancer: Clinical significance and prognostic associations. Cancers 2014, 6, 1351–1362. [Google Scholar] [CrossRef] [PubMed]
- Miyamoto, H.; Yao, J.L.; Chaux, A.; Zheng, Y.; Hsu, I.; Izumi, K.; Chang, C.; Messing, E.M.; Netto, G.J.; Yeh, S. Expression of androgen and oestrogen receptors and its prognostic significance in urothelial neoplasm of the urinary bladder. BJU Int. 2012, 109, 1716–1726. [Google Scholar] [CrossRef] [PubMed]
- Mumtaz, S.; Hussain, Z.; Janjua, T.K.; Hashmi, A.A.; Qureshi, S.S.; Tariq, M.U.; Faridi, N. Androgen Receptor: Evaluation and Correlation with Recurrence and Clinicopathological Parameters in Papillary Urothelial Carcinomas of the Urinary Bladder. Cureus 2020, 12, e6715. [Google Scholar] [CrossRef] [PubMed]
- Tuygun, C.; Kankaya, D.; Imamoglu, A.; Sertcelik, A.; Zengin, K.; Oktay, M.; Sertcelik, N. Sex-specific hormone receptors in urothelial carcinomas of the human urinary bladder: A comparative analysis of clinicopathological features and survival outcomes according to receptor expression. Urol. Oncol. 2011, 29, 43–51. [Google Scholar] [CrossRef]
- Hata, S.; Ise, K.; Azmahani, A.; Konosu-Fukaya, S.; McNamara, K.M.; Fujishima, F.; Shimada, K.; Mitsuzuka, K.; Arai, Y.; Sasano, H.; et al. Expression of AR, 5alphaR1 and 5alphaR2 in bladder urothelial carcinoma and relationship to clinicopathological factors. Life Sci. 2017, 190, 15–20. [Google Scholar] [CrossRef]
- Zhu, G.; Liang, L.; Li, L.; Dang, Q.; Song, W.; Yeh, S.; He, D.; Chang, C. The expression and evaluation of androgen receptor in human renal cell carcinoma. Urology 2014, 83, 510.e19–510.e24. [Google Scholar] [CrossRef] [PubMed]
- Yuan, P.; Ge, Y.; Liu, X.; Wang, S.; Ye, Z.; Xu, H.; Chen, Z. The Association of Androgen Receptor Expression with Renal Cell Carcinoma Risk: A Systematic Review and Meta-Analysis. Pathol. Oncol. Res. 2020, 26, 605–614. [Google Scholar] [CrossRef] [PubMed]
- Choupani, E.; Mahmoudi Gomari, M.; Zanganeh, S.; Nasseri, S.; Haji-Allahverdipoor, K.; Rostami, N.; Hernandez, Y.; Najafi, S.; Saraygord-Afshari, N.; Hosseini, A. Newly Developed Targeted Therapies Against the Androgen Receptor in Triple-Negative Breast Cancer: A Review. Pharmacol. Rev. 2023, 75, 309–327. [Google Scholar] [CrossRef] [PubMed]
- Imamura, Y.; Kiyota, N.; Tahara, M.; Hanai, N.; Asakage, T.; Matsuura, K.; Ota, I.; Saito, Y.; Sano, D.; Kodaira, T.; et al. Systemic therapy for salivary gland malignancy: Current status and future perspectives. Jpn. J. Clin. Oncol. 2022, 52, 293–302. [Google Scholar] [CrossRef]
- Yeoh, C.C.; Dabab, N.; Rigby, E.; Chhikara, R.; Akaev, I.; Gomez, R.S.; Fonseca, F.; Brennan, P.A.; Rahimi, S. Androgen receptor in salivary gland carcinoma: A review of an old marker as a possible new target. J. Oral Pathol. Med. 2018, 47, 691–695. [Google Scholar] [CrossRef] [PubMed]
- Limaye, S.; Kumar, P.; Pragya, R.; Sambath, J.; Patil, D.; Srinivasan, A.; Apurva, S.; Srivastava, N.; Patil, S.; Patil, R.; et al. Addendum: A case report of androgen receptor inhibitor therapy in recurrent high-grade serous ovarian cancer. Oncotarget 2022, 13, 982. [Google Scholar] [CrossRef]
- Kourbanhoussen, K.; McMartin, C.; Lodde, M.; Zlotta, A.; Bryan, R.T.; Toren, P. Switching Cancers: A Systematic Review Assessing the Role of Androgen Suppressive Therapy in Bladder Cancer. Eur. Urol. Focus 2021, 7, 1044–1051. [Google Scholar] [CrossRef] [PubMed]
- van Boxtel, W.; Locati, L.D.; van Engen-van Grunsven, A.C.H.; Bergamini, C.; Jonker, M.A.; Fiets, E.; Cavalieri, S.; Tooten, S.; Bos, E.; Quattrone, P.; et al. Adjuvant androgen deprivation therapy for poor-risk, androgen receptor-positive salivary duct carcinoma. Eur. J. Cancer 2019, 110, 62–70. [Google Scholar] [CrossRef]
- Boon, E.; van Boxtel, W.; Buter, J.; Baatenburg de Jong, R.J.; van Es, R.J.J.; Bel, M.; Fiets, E.; Oosting, S.F.; Slingerland, M.; Hoeben, A.; et al. Androgen deprivation therapy for androgen receptor-positive advanced salivary duct carcinoma: A nationwide case series of 35 patients in The Netherlands. Head Neck 2018, 40, 605–613. [Google Scholar] [CrossRef]
- Quintero, J.C.; Diaz, N.F.; Rodriguez-Dorantes, M.; Camacho-Arroyo, I. Cancer Stem Cells and Androgen Receptor Signaling: Partners in Disease Progression. Int. J. Mol. Sci. 2023, 24, 15085. [Google Scholar] [CrossRef]
- Chen, J.; Huang, C.P.; Quan, C.; Zu, X.; Ou, Z.; Tsai, Y.C.; Messing, E.; Yeh, S.; Chang, C. The androgen receptor in bladder cancer. Nat. Rev. Urol. 2023, 20, 560–574. [Google Scholar] [CrossRef] [PubMed]
- Ravaioli, S.; Maltoni, R.; Pasculli, B.; Parrella, P.; Giudetti, A.M.; Vergara, D.; Tumedei, M.M.; Pirini, F.; Bravaccini, S. Androgen receptor in breast cancer: The “5W” questions. Front. Endocrinol. 2022, 13, 977331. [Google Scholar] [CrossRef] [PubMed]
- Hay, C.W.; Watt, K.; Hunter, I.; Lavery, D.N.; MacKenzie, A.; McEwan, I.J. Negative regulation of the androgen receptor gene through a primate-specific androgen response element present in the 5′ UTR. Horm. Cancer 2014, 5, 299–311. [Google Scholar] [CrossRef] [PubMed]
- Uhlen, M.; Bandrowski, A.; Carr, S.; Edwards, A.; Ellenberg, J.; Lundberg, E.; Rimm, D.L.; Rodriguez, H.; Hiltke, T.; Snyder, M.; et al. A proposal for validation of antibodies. Nat. Methods 2016, 13, 823–827. [Google Scholar] [CrossRef] [PubMed]
- Consortium, G.T. The Genotype-Tissue Expression (GTEx) project. Nat. Genet. 2013, 45, 580–585. [Google Scholar] [CrossRef] [PubMed]
- Uhlen, M.; Bjorling, E.; Agaton, C.; Szigyarto, C.A.; Amini, B.; Andersen, E.; Andersson, A.C.; Angelidou, P.; Asplund, A.; Asplund, C.; et al. A human protein atlas for normal and cancer tissues based on antibody proteomics. Mol. Cell. Proteom. 2005, 4, 1920–1932. [Google Scholar] [CrossRef]
- Uhlen, M.; Fagerberg, L.; Hallstrom, B.M.; Lindskog, C.; Oksvold, P.; Mardinoglu, A.; Sivertsson, A.; Kampf, C.; Sjostedt, E.; Asplund, A.; et al. Proteomics. Tissue-based map of the human proteome. Science 2015, 347, 1260419. [Google Scholar] [CrossRef]




| Tumor Entity | AR Immunostaining | ||||||
|---|---|---|---|---|---|---|---|
| On TMA (n) | Int. (n) | Neg. (%) | Weak (%) | Mod. (%) | Str. (%) | ||
| Tumors of the Skin | Pilomatricoma | 35 | 22 | 86.4 | 13.6 | 0.0 | 0.0 |
| Basal cell carcinoma | 88 | 67 | 35.8 | 50.7 | 10.4 | 3.0 | |
| Benign nevus | 29 | 18 | 100.0 | 0.0 | 0.0 | 0.0 | |
| Squamous cell carcinoma of the skin | 90 | 78 | 88.5 | 10.3 | 1.3 | 0.0 | |
| Malignant melanoma | 46 | 38 | 100.0 | 0.0 | 0.0 | 0.0 | |
| Malignant melanoma lymph node metastasis | 86 | 84 | 97.6 | 2.4 | 0.0 | 0.0 | |
| Merkel cell carcinoma | 46 | 33 | 97.0 | 3.0 | 0.0 | 0.0 | |
| Tumors of the head and neck | Squamous cell carcinoma of the larynx | 109 | 81 | 77.8 | 22.2 | 0.0 | 0.0 |
| Squamous cell carcinoma of the pharynx | 60 | 60 | 80.0 | 13.3 | 1.7 | 5.0 | |
| Oral squamous cell carcinoma (floor of the mouth) | 130 | 115 | 88.7 | 9.6 | 0.9 | 0.9 | |
| Pleomorphic adenoma of the parotid gland | 50 | 33 | 69.7 | 27.3 | 0.0 | 3.0 | |
| Warthin tumor of the parotid gland | 104 | 75 | 100.0 | 0.0 | 0.0 | 0.0 | |
| Adenocarcinoma, NOS (papillary cystadenocarcinoma) | 14 | 8 | 100.0 | 0.0 | 0.0 | 0.0 | |
| Salivary duct carcinoma | 15 | 10 | 30.0 | 0.0 | 10.0 | 60.0 | |
| Acinic cell carcinoma of the salivary gland | 181 | 100 | 97.0 | 1.0 | 1.0 | 1.0 | |
| Adenocarcinoma NOS of the salivary gland | 109 | 58 | 87.9 | 1.7 | 3.4 | 6.9 | |
| Adenoid cystic carcinoma of the salivary gland | 180 | 99 | 94.9 | 5.1 | 0.0 | 0.0 | |
| Basal cell adenocarcinoma of the salivary gland | 25 | 15 | 93.3 | 0.0 | 0.0 | 6.7 | |
| Basal cell adenoma of the salivary gland | 101 | 62 | 87.1 | 12.9 | 0.0 | 0.0 | |
| Epithelial–myoepithelial carcinoma of the salivary gland | 53 | 42 | 88.1 | 11.9 | 0.0 | 0.0 | |
| Mucoepidermoid carcinoma of the salivary gland | 343 | 281 | 86.5 | 2.8 | 1.4 | 9.3 | |
| Myoepithelial carcinoma of the salivary gland | 21 | 16 | 93.8 | 6.3 | 0.0 | 0.0 | |
| Myoepithelioma of the salivary gland | 11 | 9 | 88.9 | 11.1 | 0.0 | 0.0 | |
| Oncocytic carcinoma of the salivary gland | 12 | 6 | 83.3 | 16.7 | 0.0 | 0.0 | |
| Polymorphous adenocarcinoma, low grade, of the salivary gland | 41 | 21 | 100.0 | 0.0 | 0.0 | 0.0 | |
| Pleomorphic adenoma of the salivary gland | 53 | 35 | 80.0 | 14.3 | 2.9 | 2.9 | |
| Tumors of the lung, pleura, and thymus | Adenocarcinoma of the lung | 196 | 100 | 96.0 | 2.0 | 2.0 | 0.0 |
| Squamous cell carcinoma of the lung | 80 | 37 | 86.5 | 10.8 | 2.7 | 0.0 | |
| Small cell carcinoma of the lung | 16 | 8 | 75.0 | 12.5 | 12.5 | 0.0 | |
| Mesothelioma, epithelioid | 39 | 19 | 78.9 | 21.1 | 0.0 | 0.0 | |
| Mesothelioma, biphasic | 76 | 38 | 84.2 | 13.2 | 0.0 | 2.6 | |
| Thymoma | 29 | 21 | 85.7 | 9.5 | 0.0 | 4.8 | |
| Lung, neuroendocrine tumor (NET) | 19 | 16 | 87.5 | 6.3 | 6.3 | 0.0 | |
| Tumors of the female genital tract | Squamous cell carcinoma of the vagina | 78 | 49 | 83.7 | 12.2 | 4.1 | 0.0 |
| Squamous cell carcinoma of the vulva | 130 | 115 | 87.8 | 10.4 | 0.0 | 1.7 | |
| Squamous cell carcinoma of the cervix | 128 | 112 | 94.6 | 4.5 | 0.9 | 0.0 | |
| Adenocarcinoma of the cervix | 21 | 20 | 80.0 | 15.0 | 0.0 | 5.0 | |
| Endometrioid endometrial carcinoma | 236 | 200 | 47.0 | 21.0 | 12.5 | 19.5 | |
| Endometrial serous carcinoma | 82 | 54 | 38.9 | 29.6 | 7.4 | 24.1 | |
| Carcinosarcoma of the uterus | 48 | 44 | 75.0 | 15.9 | 4.5 | 4.5 | |
| Endometrial carcinoma, high grade, G3 | 13 | 12 | 33.3 | 41.7 | 8.3 | 16.7 | |
| Endometrial clear cell carcinoma | 8 | 7 | 85.7 | 0.0 | 0.0 | 14.3 | |
| Endometrioid carcinoma of the ovary | 110 | 83 | 41.0 | 28.9 | 12.0 | 18.1 | |
| Serous carcinoma of the ovary | 559 | 338 | 37.0 | 29.9 | 12.7 | 20.4 | |
| Mucinous carcinoma of the ovary | 96 | 65 | 93.8 | 3.1 | 0.0 | 3.1 | |
| Clear cell carcinoma of the ovary | 50 | 37 | 97.3 | 0.0 | 2.7 | 0.0 | |
| Carcinosarcoma of the ovary | 47 | 39 | 51.3 | 25.6 | 10.3 | 12.8 | |
| Granulosa cell tumor of the ovary | 37 | 35 | 2.9 | 14.3 | 28.6 | 54.3 | |
| Leydig cell tumor of the ovary | 4 | 4 | 25.0 | 25.0 | 0.0 | 50.0 | |
| Sertoli cell tumor of the ovary | 1 | 1 | 0.0 | 0.0 | 100.0 | 0.0 | |
| Sertoli Leydig cell tumor of the ovary | 3 | 3 | 0.0 | 0.0 | 0.0 | 100.0 | |
| Steroid cell tumor of the ovary | 3 | 3 | 33.3 | 0.0 | 66.7 | 0.0 | |
| Brenner tumor | 41 | 36 | 30.6 | 44.4 | 16.7 | 8.3 | |
| Tumors of the breast | Invasive breast carcinoma of no special type | 1764 | 1507 | 16.3 | 16.3 | 12.6 | 54.7 |
| Lobular carcinoma of the breast | 363 | 277 | 5.1 | 19.5 | 16.6 | 58.8 | |
| Medullary carcinoma of the breast | 34 | 32 | 65.6 | 9.4 | 6.3 | 18.8 | |
| Tubular carcinoma of the breast | 29 | 14 | 14.3 | 21.4 | 14.3 | 50.0 | |
| Mucinous carcinoma of the breast | 65 | 45 | 26.7 | 20.0 | 15.6 | 37.8 | |
| Phyllodes tumor of the breast | 50 | 42 | 14.3 | 14.3 | 7.1 | 64.3 | |
| Tumors of the digestive system | Adenomatous polyp, low-grade dysplasia | 50 | 41 | 95.1 | 4.9 | 0.0 | 0.0 |
| Adenomatous polyp, high-grade dysplasia | 50 | 47 | 97.9 | 0.0 | 2.1 | 0.0 | |
| Adenocarcinoma of the colon | 2482 | 1927 | 98.1 | 1.5 | 0.2 | 0.2 | |
| Gastric adenocarcinoma, diffuse type | 176 | 148 | 100.0 | 0.0 | 0.0 | 0.0 | |
| Gastric adenocarcinoma, intestinal type | 174 | 165 | 98.8 | 0.0 | 0.6 | 0.6 | |
| Gastric adenocarcinoma, mixed type | 62 | 57 | 100.0 | 0.0 | 0.0 | 0.0 | |
| Adenocarcinoma of the esophagus | 83 | 76 | 100.0 | 0.0 | 0.0 | 0.0 | |
| Squamous cell carcinoma of the esophagus | 76 | 70 | 97.1 | 0.0 | 1.4 | 1.4 | |
| Squamous cell carcinoma of the anal canal | 89 | 74 | 89.2 | 8.1 | 1.4 | 1.4 | |
| Cholangiocarcinoma | 113 | 95 | 96.8 | 2.1 | 1.1 | 0.0 | |
| Gallbladder adenocarcinoma | 31 | 29 | 96.6 | 3.4 | 0.0 | 0.0 | |
| Gallbladder Klatskin tumor | 41 | 33 | 100.0 | 0.0 | 0.0 | 0.0 | |
| Hepatocellular carcinoma | 300 | 284 | 84.5 | 9.9 | 2.8 | 2.8 | |
| Ductal adenocarcinoma of the pancreas | 612 | 376 | 99.2 | 0.8 | 0.0 | 0.0 | |
| Pancreatic/ampullary adenocarcinoma | 89 | 62 | 98.4 | 1.6 | 0.0 | 0.0 | |
| Acinar cell carcinoma of the pancreas | 16 | 16 | 93.8 | 6.3 | 0.0 | 0.0 | |
| Gastrointestinal stromal tumor (GIST) | 50 | 45 | 68.9 | 28.9 | 0.0 | 2.2 | |
| Appendix, neuroendocrine tumor (NET) | 22 | 9 | 88.9 | 11.1 | 0.0 | 0.0 | |
| Colorectal, neuroendocrine tumor (NET) | 12 | 5 | 100.0 | 0.0 | 0.0 | 0.0 | |
| Ileum, neuroendocrine tumor (NET) | 49 | 36 | 100.0 | 0.0 | 0.0 | 0.0 | |
| Pancreas, neuroendocrine tumor (NET) | 97 | 87 | 92.0 | 6.9 | 1.1 | 0.0 | |
| Colorectal, neuroendocrine carcinoma (NEC) | 12 | 5 | 100.0 | 0.0 | 0.0 | 0.0 | |
| Gallbladder, neuroendocrine carcinoma (NEC) | 4 | 2 | 100.0 | 0.0 | 0.0 | 0.0 | |
| Pancreas, neuroendocrine carcinoma (NEC) | 14 | 14 | 92.9 | 7.1 | 0.0 | 0.0 | |
| Tumors of the urinary system | Non-invasive papillary urothelial carcinoma, pTa G2 low grade | 177 | 115 | 45.2 | 32.2 | 8.7 | 13.9 |
| Non-invasive papillary urothelial carcinoma, pTa G2 high grade | 141 | 95 | 56.8 | 18.9 | 8.4 | 15.8 | |
| Non-invasive papillary urothelial carcinoma, pTa G3 | 219 | 152 | 51.3 | 28.3 | 6.6 | 13.8 | |
| Urothelial carcinoma, pT2-4 G3 | 735 | 575 | 72.3 | 17.0 | 5.0 | 5.6 | |
| Squamous cell carcinoma of the bladder | 22 | 20 | 100.0 | 0.0 | 0.0 | 0.0 | |
| Small cell neuroendocrine carcinoma of the bladder | 23 | 19 | 73.7 | 15.8 | 10.5 | 0.0 | |
| Sarcomatoid urothelial carcinoma | 25 | 11 | 81.8 | 18.2 | 0.0 | 0.0 | |
| Urothelial carcinoma of the kidney pelvis | 62 | 56 | 69.6 | 25.0 | 1.8 | 3.6 | |
| Clear cell renal cell carcinoma | 1287 | 1186 | 58.2 | 20.8 | 11.1 | 9.9 | |
| Papillary renal cell carcinoma | 368 | 338 | 37.3 | 18.6 | 14.2 | 29.9 | |
| Clear cell (tubulo) papillary renal cell carcinoma | 26 | 24 | 54.2 | 8.3 | 8.3 | 29.2 | |
| Chromophobe renal cell carcinoma | 170 | 160 | 84.4 | 10.6 | 1.9 | 3.1 | |
| Oncocytoma | 257 | 244 | 80.7 | 9.4 | 4.1 | 5.7 | |
| Tumors of the male genital organs | Adenocarcinoma of the prostate, Gleason 3 + 3 | 83 | 82 | 12.2 | 8.5 | 7.3 | 72.0 |
| Adenocarcinoma of the prostate, Gleason 4 + 4 | 80 | 79 | 0.0 | 1.3 | 3.8 | 94.9 | |
| Adenocarcinoma of the prostate, Gleason 5 + 5 | 85 | 84 | 0.0 | 3.6 | 1.2 | 95.2 | |
| Adenocarcinoma of the prostate (recurrence) | 258 | 196 | 2.6 | 3.1 | 2.6 | 91.8 | |
| Small cell neuroendocrine carcinoma of the prostate | 19 | 10 | 80.0 | 10.0 | 0.0 | 10.0 | |
| Seminoma | 621 | 595 | 88.9 | 10.4 | 0.7 | 0.0 | |
| Embryonal carcinoma of the testis | 50 | 44 | 97.7 | 2.3 | 0.0 | 0.0 | |
| Leydig cell tumor of the testis | 30 | 30 | 0.0 | 6.7 | 10.0 | 83.3 | |
| Sertoli cell tumor of the testis | 2 | 2 | 0.0 | 0.0 | 0.0 | 100.0 | |
| Sex cord stromal tumor of the testis | 1 | 1 | 0.0 | 0.0 | 0.0 | 100.0 | |
| Spermatocytic tumor of the testis | 1 | 1 | 100.0 | 0.0 | 0.0 | 0.0 | |
| Yolk sac tumor | 50 | 37 | 91.9 | 8.1 | 0.0 | 0.0 | |
| Teratoma | 50 | 35 | 40.0 | 25.7 | 11.4 | 22.9 | |
| Squamous cell carcinoma of the penis | 80 | 74 | 82.4 | 12.2 | 4.1 | 1.4 | |
| Tumors of endocrine organs | Adenoma of the thyroid gland | 113 | 96 | 85.4 | 14.6 | 0.0 | 0.0 |
| Papillary thyroid carcinoma | 391 | 241 | 93.8 | 5.4 | 0.0 | 0.8 | |
| Follicular thyroid carcinoma | 154 | 114 | 86.0 | 8.8 | 2.6 | 2.6 | |
| Medullary thyroid carcinoma | 111 | 88 | 71.6 | 22.7 | 2.3 | 3.4 | |
| Parathyroid gland adenoma | 43 | 42 | 97.6 | 2.4 | 0.0 | 0.0 | |
| Anaplastic thyroid carcinoma | 45 | 39 | 84.6 | 10.3 | 5.1 | 0.0 | |
| Adrenal cortical adenoma | 50 | 48 | 100.0 | 0.0 | 0.0 | 0.0 | |
| Adrenal cortical carcinoma | 26 | 24 | 100.0 | 0.0 | 0.0 | 0.0 | |
| Pheochromocytoma | 50 | 48 | 100.0 | 0.0 | 0.0 | 0.0 | |
| Lymphoma | Hodgkin’s lymphoma | 45 | 27 | 100.0 | 0.0 | 0.0 | 0.0 |
| Tumors of soft tissue and bone | Tendosynovial giant cell tumor | 45 | 25 | 100.0 | 0.0 | 0.0 | 0.0 |
| Granular cell tumor | 53 | 27 | 59.3 | 25.9 | 14.8 | 0.0 | |
| Leiomyoma | 50 | 45 | 51.1 | 26.7 | 13.3 | 8.9 | |
| Leiomyosarcoma | 87 | 72 | 66.7 | 20.8 | 2.8 | 9.7 | |
| Liposarcoma | 132 | 80 | 82.5 | 15.0 | 2.5 | 0.0 | |
| Malignant peripheral nerve sheath tumor (MPNST) | 13 | 10 | 80.0 | 20.0 | 0.0 | 0.0 | |
| Myofibrosarcoma | 26 | 26 | 80.8 | 15.4 | 3.8 | 0.0 | |
| Angiosarcoma | 73 | 43 | 100.0 | 0.0 | 0.0 | 0.0 | |
| Angiomyolipoma | 91 | 60 | 85.0 | 11.7 | 0.0 | 3.3 | |
| Dermatofibrosarcoma protuberans | 21 | 12 | 100.0 | 0.0 | 0.0 | 0.0 | |
| Ganglioneuroma | 14 | 14 | 100.0 | 0.0 | 0.0 | 0.0 | |
| Neurofibroma | 117 | 104 | 76.0 | 23.1 | 0.0 | 1.0 | |
| Sarcoma, not otherwise specified (NOS) | 74 | 62 | 85.5 | 12.9 | 1.6 | 0.0 | |
| Paraganglioma | 41 | 41 | 97.6 | 2.4 | 0.0 | 0.0 | |
| Ewing sarcoma | 23 | 8 | 100.0 | 0.0 | 0.0 | 0.0 | |
| Rhabdomyosarcoma | 6 | 5 | 80.0 | 0.0 | 20.0 | 0.0 | |
| Schwannoma | 121 | 114 | 98.2 | 1.8 | 0.0 | 0.0 | |
| Synovial sarcoma | 12 | 8 | 100.0 | 0.0 | 0.0 | 0.0 | |
| Osteosarcoma | 43 | 23 | 82.6 | 17.4 | 0.0 | 0.0 | |
| Chondrosarcoma | 38 | 10 | 70.0 | 30.0 | 0.0 | 0.0 | |
| Rhabdoid tumor | 5 | 5 | 80.0 | 20.0 | 0.0 | 0.0 | |
| AR IHC Result | p | |||||||
|---|---|---|---|---|---|---|---|---|
| n | Neg. (%) | Weak (%) | Mod. (%) | Str. (%) | ||||
| Breast cancer of no special type | Tumor stage | pT1 | 688 | 11.5 | 13.5 | 12.1 | 62.9 | <0.0001 |
| pT2 | 582 | 18.0 | 18.2 | 12.9 | 50.9 | |||
| pT3-4 | 120 | 26.7 | 23.3 | 9.2 | 40.8 | |||
| Grade | G1 | 169 | 5.3 | 11.8 | 8.9 | 74.0 | <0.0001 | |
| G2 | 746 | 10.2 | 17.3 | 12.9 | 59.7 | |||
| G3 | 512 | 27.1 | 17.2 | 12.3 | 43.4 | |||
| Nodal stage | pN0 | 635 | 12.4 | 15.6 | 12.9 | 59.1 | <0.0001 | |
| pN1 | 302 | 16.2 | 16.9 | 13.2 | 53.6 | |||
| pN2 | 112 | 20.5 | 22.3 | 14.3 | 42.9 | |||
| pN3 | 64 | 23.4 | 34.4 | 14.1 | 28.1 | |||
| HER2 status | Negative | 795 | 15.6 | 13.7 | 10.1 | 60.6 | 0.0050 | |
| Positive | 112 | 8.0 | 15.2 | 20.5 | 56.3 | |||
| ER status | Negative | 188 | 46.8 | 17.6 | 10.6 | 25.0 | <0.0001 | |
| Positive | 680 | 6.3 | 12.2 | 11.9 | 69.6 | |||
| PR status | Negative | 367 | 30.2 | 17.2 | 13.1 | 39.5 | <0.0001 | |
| Positive | 535 | 4.7 | 11.0 | 10.7 | 73.6 | |||
| Triple negative | No | 718 | 7.0 | 13.1 | 12.7 | 67.3 | <0.0001 | |
| Yes | 125 | 63.2 | 16.8 | 4.8 | 15.2 | |||
| Urinary bladder cancer | Tumor stage | pTa G2 low | 115 | 45.2 | 32.2 | 8.7 | 13.9 | <0.0001 |
| pTa G2 high | 95 | 56.8 | 18.9 | 8.4 | 15.8 | |||
| pTa G3 | 122 | 51.6 | 26.2 | 5.7 | 16.4 | |||
| pT2 | 122 | 69.7 | 19.7 | 4.1 | 6.6 | 0.9943 | ||
| pT3 | 207 | 72.9 | 17.9 | 3.9 | 5.3 | |||
| pT4 | 96 | 74.0 | 16.7 | 4.2 | 5.2 | |||
| Nodal stage | pN0 | 248 | 78.6 | 14.1 | 3.2 | 4.0 | 0.0052 | |
| pN+ | 170 | 62.3 | 24.7 | 4.5 | 8.4 | |||
| Clear cell renal cell cancers | ISUP stage | 1 | 262 | 53.8 | 25.6 | 11.5 | 9.2 | <0.0001 |
| 2 | 398 | 54.3 | 18.6 | 15.6 | 11.6 | |||
| 3 | 262 | 64.9 | 21.4 | 7.3 | 6.5 | |||
| 4 | 77 | 77.9 | 13.0 | 7.8 | 1.3 | |||
| Fuhrman grade | G1 | 65 | 40 | 32.3 | 16.9 | 10.8 | <0.0001 | |
| G2 | 672 | 54 | 20.7 | 12.8 | 12.5 | |||
| G3 | 293 | 65.9 | 21.2 | 7.2 | 5.8 | |||
| G4 | 92 | 76.1 | 12.0 | 9.8 | 2.2 | |||
| Thoenes grade | G1 | 349 | 52.7 | 23.8 | 11.5 | 12.0 | <0.0001 | |
| G2 | 484 | 63.8 | 18.6 | 10.1 | 7.4 | |||
| G3 | 101 | 81.2 | 12.9 | 4.0 | 2.0 | |||
| UICC stage | 1 | 336 | 49.4 | 25.0 | 14.6 | 11.0 | <0.0001 | |
| 2 | 37 | 83.8 | 10.8 | 2.7 | 2.7 | |||
| 3 | 90 | 75.6 | 16.7 | 4.4 | 3.3 | |||
| 4 | 73 | 84.9 | 13.7 | 1.4 | 0.0 | |||
| pT stage | pT1 | 677 | 46.2 | 23.9 | 15.7 | 14.2 | <0.0001 | |
| pT2 | 127 | 78.7 | 15.0 | 3.1 | 3.1 | |||
| pT3-4 | 323 | 74.9 | 15.8 | 5.9 | 3.4 | |||
| Nodal stage | pN0 | 168 | 71.4 | 13.7 | 8.3 | 6.5 | 0.3279 | |
| pN ≥ 1 | 27 | 85.2 | 3.7 | 7.4 | 3.7 | |||
| Distant mets stage | pM0 | 111 | 61.3 | 18.0 | 12.6 | 8.1 | 0.0075 | |
| pM ≥ 1 | 92 | 77.2 | 17.4 | 4.3 | 1.1 | |||
| Tumor Set | Sex | AR Neg. (%) | AR Weak (%) | AR Mod. (%) | AR Strong (%) | p |
|---|---|---|---|---|---|---|
| All tumors * | Female (n = 2868) | 86.9 | 8.8 | 2.3 | 2 | p < 0.0001 |
| Male (n = 4329) | 74.1 | 13.7 | 5.2 | 7 | ||
| Tumors of the urinary bladder | Female (n = 474) | 83.8 | 12.4 | 3.2 | 0.6 | p < 0.0001 |
| Male (n = 1584) | 74.1 | 18.8 | 5.3 | 1.9 | ||
| Tumors of the kidney | Female (n = 585) | 72 | 17.1 | 7.4 | 3.6 | p < 0.0001 |
| Male (n = 1262) | 53.4 | 18.7 | 11.4 | 16.5 | ||
| Tumors of the colon | Female (n = 375) | 98.7 | 1.3 | 0 | 0 | p = 0.1085 |
| Male (n = 475) | 96.8 | 2.7 | 0 | 0.4 |
Disclaimer/Publisher’s Note: The statements, opinions and data contained in all publications are solely those of the individual author(s) and contributor(s) and not of MDPI and/or the editor(s). MDPI and/or the editor(s) disclaim responsibility for any injury to people or property resulting from any ideas, methods, instructions or products referred to in the content. |
© 2024 by the authors. Licensee MDPI, Basel, Switzerland. This article is an open access article distributed under the terms and conditions of the Creative Commons Attribution (CC BY) license (https://creativecommons.org/licenses/by/4.0/).
Share and Cite
Viehweger, F.; Hoop, J.; Tinger, L.-M.; Bernreuther, C.; Büscheck, F.; Clauditz, T.S.; Hinsch, A.; Jacobsen, F.; Luebke, A.M.; Steurer, S.; et al. Frequency of Androgen Receptor Positivity in Tumors: A Study Evaluating More Than 18,000 Tumors. Biomedicines 2024, 12, 957. https://doi.org/10.3390/biomedicines12050957
Viehweger F, Hoop J, Tinger L-M, Bernreuther C, Büscheck F, Clauditz TS, Hinsch A, Jacobsen F, Luebke AM, Steurer S, et al. Frequency of Androgen Receptor Positivity in Tumors: A Study Evaluating More Than 18,000 Tumors. Biomedicines. 2024; 12(5):957. https://doi.org/10.3390/biomedicines12050957
Chicago/Turabian StyleViehweger, Florian, Jennifer Hoop, Lisa-Marie Tinger, Christian Bernreuther, Franziska Büscheck, Till S. Clauditz, Andrea Hinsch, Frank Jacobsen, Andreas M. Luebke, Stefan Steurer, and et al. 2024. "Frequency of Androgen Receptor Positivity in Tumors: A Study Evaluating More Than 18,000 Tumors" Biomedicines 12, no. 5: 957. https://doi.org/10.3390/biomedicines12050957
APA StyleViehweger, F., Hoop, J., Tinger, L.-M., Bernreuther, C., Büscheck, F., Clauditz, T. S., Hinsch, A., Jacobsen, F., Luebke, A. M., Steurer, S., Hube-Magg, C., Kluth, M., Marx, A. H., Krech, T., Lebok, P., Fraune, C., Burandt, E., Sauter, G., Simon, R., & Minner, S. (2024). Frequency of Androgen Receptor Positivity in Tumors: A Study Evaluating More Than 18,000 Tumors. Biomedicines, 12(5), 957. https://doi.org/10.3390/biomedicines12050957

