The Palliative and Antioxidant Effects of Hesperidin against Lead-Acetate-Induced Testicular Injury in Male Wistar Rats
Abstract
1. Introduction
2. Materials and Methods
2.1. Chemicals and Kits
2.2. Animals and Experimental Design
2.3. Semen Analysis
2.4. Assessment of Oxidative Stress Biomarkers in Testicular Tissues
2.5. Blood Sampling and Hormonal Analysis
2.6. Histopathological Examination
2.7. Statistical Analysis
3. Results
3.1. Effect of Treatment with HSD and/or PbAc on Body Weight (BW) Gain, as Well as Epididymal and Testicular Weights
3.2. Effect of Treatment with HSD and/or PbAc on Semen Analysis
3.3. Effect of Treatment with HSD and/or PbAc on Testicular Oxidative Stress (OS) Biomarkers
3.4. Effect of Treatment with HSD and/or PbAc on Serum Levels of Follicle-Stimulating Hormone (FSH), Luteinizing Hormone (LH), and Testosterone (T)
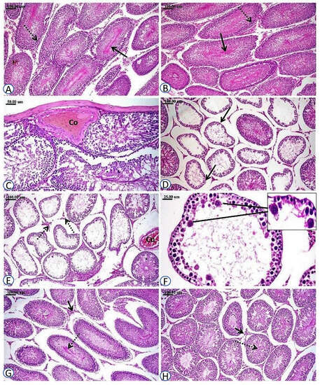
3.5. Effect of Treatment with HSD and/or PbAc on Testicular Histology
4. Discussion
5. Conclusions
Author Contributions
Funding
Institutional Review Board Statement
Informed Consent Statement
Data Availability Statement
Acknowledgments
Conflicts of Interest
References
- Agarwal, A.; Mulgund, A.; Hamada, A.; Chyatte, M.R. A Unique View on Male Infertility around the Globe. Reprod. Biol. Endocrinol. 2015, 13, 37. [Google Scholar] [CrossRef] [PubMed]
- Minhas, S.; Bettocchi, C.; Boeri, L.; Capogrosso, P.; Carvalho, J.; Cilesiz, N.C.; Cocci, A.; Corona, G.; Dimitropoulos, K.; Gül, M.; et al. European Association of Urology Guidelines on Male Sexual and Reproductive Health: 2021 Update on Male Infertility. Eur. Urol. 2021, 80, 603–620. [Google Scholar] [CrossRef] [PubMed]
- Rodprasert, W.; Toppari, J.; Virtanen, H.E. Environmental Toxicants and Male Fertility. Best Pract. Res. Clin. Obstet. Gynaecol. 2023, 86, 102298. [Google Scholar] [CrossRef] [PubMed]
- Kuroda, S.; Usui, K.; Sanjo, H.; Takeshima, T.; Kawahara, T.; Uemura, H.; Yumura, Y. Genetic Disorders and Male Infertility. Reprod. Med. Biol. 2020, 19, 314–322. [Google Scholar] [CrossRef] [PubMed]
- Jafari, H.; Mirzaiinajmabadi, K.; Roudsari, R.L.; Rakhshkhorshid, M. The Factors Affecting Male Infertility: A Systematic Review. Int. J. Reprod. Biomed. 2021, 19, 681–688. [Google Scholar] [CrossRef]
- Choy, J.T.; Eisenberg, M.L. Comprehensive Men’s Health and Male Infertility. Transl. Androl. Urol. 2020, 9, S239–S243. [Google Scholar] [CrossRef]
- Chabchoub, I.; Nouioui, M.A.; Araoud, M.; Mabrouk, M.; Amira, D.; Ben Aribia, M.H.; Mahmoud, K.; Zhioua, F.; Merdassi, G.; Hedhili, A. Effects of Lead, Cadmium, Copper and Zinc Levels on the Male Reproductive Function. Andrologia 2021, 53, e14181. [Google Scholar] [CrossRef]
- Ikokide, E.J.; Oyagbemi, A.A.; Oyeyemi, M.O. Impacts of Cadmium on Male Fertility: Lessons Learnt So Far. Andrologia 2022, 54, e14516. [Google Scholar] [CrossRef]
- Lopez-Botella, A.; Velasco, I.; Acien, M.; Saez-Espinosa, P.; Todoli-Torro, J.L.; Sanchez-Romero, R.; Gómez-Torres, M.J. Impact of Heavy Metals on Human Male Fertility—An Overview. Antioxidants 2021, 10, 1473. [Google Scholar] [CrossRef]
- Filipoiu, D.C.; Bungau, S.G.; Endres, L.; Negru, P.A.; Bungau, A.F.; Pasca, B.; Radu, A.-F.; Tarce, A.G.; Bogdan, M.A.; Behl, T.; et al. Characterization of the Toxicological Impact of Heavy Metals on Human Health in Conjunction with Modern Analytical Methods. Toxics 2022, 10, 716. [Google Scholar] [CrossRef]
- Mohamed Ali, M.; Hossain, D.; Al-Imran; Suzan Khan, M.; Begum, M.; Hasan Osman, M. Environmental pollution with heavy metals: A public health concern. In Heavy Metals—Their Environmental Impacts and Mitigation; Nazal, M.K., Zhao, H., Eds.; IntechOpen: London, UK, 2021; pp. 1–20. [Google Scholar]
- Takeshima, T.; Usui, K.; Mori, K.; Asai, T.; Yasuda, K.; Kuroda, S.; Yumura, Y. Oxidative Stress and Male Infertility. Reprod. Med. Biol. 2021, 20, 41–52. [Google Scholar] [CrossRef] [PubMed]
- Barati, E.; Nikzad, H.; Karimian, M. Oxidative Stress and Male Infertility: Current Knowledge of Pathophysiology and Role of Antioxidant Therapy in Disease Management. Cell. Mol. Life Sci. 2020, 77, 93–113. [Google Scholar] [CrossRef] [PubMed]
- Beigi Harchegani, A.; Rahmani, H.; Tahmasbpour, E.; Shahriary, A. Hyperviscous Semen Causes Poor Sperm Quality and Male Infertility through Induction of Oxidative Stress. Curr. Urol. 2019, 13, 1–6. [Google Scholar] [CrossRef]
- Bhardwaj, J.K.; Panchal, H.; Saraf, P. Cadmium as a Testicular Toxicant: A Review. J. Appl. Toxicol. 2021, 41, 105–117. [Google Scholar] [CrossRef]
- Zhu, Q.; Li, X.; Ge, R.S. Toxicological Effects of Cadmium on Mammalian Testis. Front. Genet. 2020, 11, 527. [Google Scholar] [CrossRef]
- Bhardwaj, J.K.; Paliwal, A.; Saraf, P. Effects of Heavy Metals on Reproduction Owing to Infertility. J. Biochem. Mol. Toxicol. 2021, 35, e22823. [Google Scholar] [CrossRef] [PubMed]
- Hossini, H.; Shafie, B.; Niri, A.D.; Nazari, M.; Esfahlan, A.J.; Ahmadpour, M.; Nazmara, Z.; Ahmadimanesh, M.; Makhdoumi, P.; Mirzaei, N.; et al. A Comprehensive Review on Human Health Effects of Chromium: Insights on Induced Toxicity. Environ. Sci. Pollut. Res. Int. 2022, 29, 70686–70705. [Google Scholar] [CrossRef]
- Pereira, S.C.; Oliveira, P.F.; Oliveira, S.R.; Pereira, M.L.; Alves, M.G. Impact of Environmental and Lifestyle Use of Chromium on Male Fertility: Focus on Antioxidant Activity and Oxidative Stress. Antioxidants 2021, 10, 1365. [Google Scholar] [CrossRef]
- Zhen, L.; Wang, L.; Fu, J.; Li, Y.; Zhao, N.; Li, X. Hexavalent Chromium Affects Sperm Motility by Influencing Protein Tyrosine Phosphorylation in the Midpiece of Boar Spermatozoa. Reprod. Toxicol. 2016, 59, 66–79. [Google Scholar] [CrossRef]
- Moriello, C.; Costabile, M.; Spinelli, M.; Amoresano, A.; Palumbo, G.; Febbraio, F.; Piscopo, M. Altered Expression of Protamine-Like and Their DNA Binding Induced by Cr(Vi): A Possible Risk to Spermatogenesis? Biomolecules 2022, 12, 700. [Google Scholar] [CrossRef]
- Sachdeva, C.; Thakur, K.; Sharma, A.; Sharma, K.K. Lead: Tiny but Mighty Poison. Indian J. Clin. Biochem. 2018, 33, 132–146. [Google Scholar] [CrossRef] [PubMed]
- Obeng-Gyasi, E. Sources of Lead Exposure in Various Countries. Rev. Environ. Health 2019, 34, 25–34. [Google Scholar] [CrossRef]
- Sani, A.H.; Amanabo, M. Lead: A Concise Review of Its Toxicity, Mechanism and Health Effect. GSC Biol. Pharm. Sci. 2021, 15, 55–62. [Google Scholar] [CrossRef]
- Wani, A.L.; Ara, A.; Usmani, J.A. Lead Toxicity: A Review. Interdiscip. Toxicol. 2015, 8, 55–64. [Google Scholar] [CrossRef] [PubMed]
- Singh, N.; Kumar, A.; Gupta, V.K.; Sharma, B. Biochemical and Molecular Bases of Lead-Induced Toxicity in Mammalian Systems and Possible Mitigations. Chem. Res. Toxicol. 2018, 31, 1009–1021. [Google Scholar] [CrossRef]
- Marzec-Wroblewska, U.; Kaminski, P.; Lakota, P.; Szymanski, M.; Wasilow, K.; Ludwikowski, G.; Jerzak, L.; Stuczyński, T.; Wozniak, A.; Buciński, A. Human Sperm Characteristics with Regard to Cobalt, Chromium, and Lead in Semen and Activity of Catalase in Seminal Plasma. Biol. Trace Elem. Res. 2019, 188, 251–260. [Google Scholar] [CrossRef] [PubMed]
- Sukhn, C.; Awwad, J.; Ghantous, A.; Zaatari, G. Associations of Semen Quality with Non-Essential Heavy Metals in Blood and Seminal Fluid: Data from the Environment and Male Infertility (Emi) Study in Lebanon. J. Assist. Reprod. Genet. 2018, 35, 1691–1701. [Google Scholar] [CrossRef]
- Mabrouk, A.; Ben Cheikh, H. Thymoquinone Supplementation Reverses Lead-Induced Oxidative Stress in Adult Rat Testes. Gen. Physiol. Biophys. 2015, 34, 65–72. [Google Scholar] [CrossRef]
- Kehrer, J.P.; Klotz, L.O. Free Radicals and Related Reactive Species as Mediators of Tissue Injury and Disease: Implications for Health. Crit. Rev. Toxicol. 2015, 45, 765–798. [Google Scholar] [CrossRef]
- He, Y.; Zou, L.; Luo, W.; Yi, Z.; Yang, P.; Yu, S.; Liu, N.; Ji, J.; Guo, Y.; Liu, P.; et al. Heavy Metal Exposure, Oxidative Stress and Semen Quality: Exploring Associations and Mediation Effects in Reproductive-Aged Men. Chemosphere 2020, 244, 125498. [Google Scholar] [CrossRef]
- Mendiola, J.; Moreno, J.M.; Roca, M.; Vergara-Juarez, N.; Martinez-Garcia, M.J.; Garcia-Sanchez, A.; Elvira-Rendueles, B.; Moreno-Grau, S.; López-Espín, J.J.; Ten, J.; et al. Relationships between Heavy Metal Concentrations in Three Different Body Fluids and Male Reproductive Parameters: A Pilot Study. Environ. Health 2011, 10, 6. [Google Scholar] [CrossRef] [PubMed]
- Doumouchtsis, K.K.; Doumouchtsis, S.K.; Doumouchtsis, E.K.; Perrea, D.N. The Effect of Lead Intoxication on Endocrine Functions. J. Endocrinol. Investig. 2009, 32, 175–183. [Google Scholar] [CrossRef] [PubMed]
- Yu, T.; Li, Z.; Wang, X.; Niu, K.; Xiao, J.; Li, B. Effect of Lead Exposure on Male Sexual Hormone. Wei Sheng Yan Jiu = J. Hyg. Res. 2010, 39, 413–415. [Google Scholar]
- Ren, J.; Cui, J.; Chen, Q.; Zhou, N.; Zhou, Z.; Zhang, G.-H.; Wu, W.; Yang, H.; Cao, J. Low-Level Lead Exposure Is Associated with Aberrant Sperm Quality and Reproductive Hormone Levels in Chinese Male Individuals: Results from the Marhcs Study Low-Level Lead Exposure Is Associated with Aberrant Sperm Quality. Chemosphere 2020, 244, 125402. [Google Scholar] [CrossRef]
- Wahab, O.A.; Princely, A.C.; Oluwadamilare, A.A.; Ore-Oluwapo, D.O.; Blessing, A.O.; Alfred, E.F. Clomiphene Citrate Ameliorated Lead Acetate-Induced Reproductive Toxicity in Male Wistar Rats. JBRA Assist. Reprod. 2019, 23, 336–343. [Google Scholar]
- Abdel-Emam, R.A.; Ahmed, E.A. Ameliorative Effect of L-Carnitine on Chronic Lead-Induced Reproductive Toxicity in Male Rats. Vet. Med. Sci. 2021, 7, 1426–1435. [Google Scholar] [CrossRef] [PubMed]
- Pham-Huy, L.A.; He, H.; Pham-Huy, C. Free Radicals, Antioxidants in Disease and Health. Int. J. Biomed. Sci. 2008, 4, 89–96. [Google Scholar]
- Kurutas, E.B. The Importance of Antioxidants Which Play the Role in Cellular Response against Oxidative/Nitrosative Stress: Current State. Nutr. J. 2016, 15, 71. [Google Scholar] [CrossRef]
- Saleh, R.A.; Agarwal, A. Oxidative Stress and Male Infertility: From Research Bench to Clinical Practice. J. Androl. 2002, 23, 737–752. [Google Scholar]
- Aitken, R.J.; Sawyer, D. The Human Spermatozoon—Not Waving but Drowning. Adv. Exp. Med. Biol. 2003, 518, 85–98. [Google Scholar]
- Aitken, R.J. Reactive Oxygen Species as Mediators of Sperm Capacitation and Pathological Damage. Mol. Reprod. Dev. 2017, 84, 1039–1052. [Google Scholar] [CrossRef]
- Kowalczyk, A. The Role of the Natural Antioxidant Mechanism in Sperm Cells. Reprod. Sci. 2022, 29, 1387–1394. [Google Scholar] [CrossRef] [PubMed]
- Ali, M.; Martinez, M.; Parekh, N. Are Antioxidants a Viable Treatment Option for Male Infertility? Andrologia 2021, 53, e13644. [Google Scholar] [CrossRef] [PubMed]
- Magdi, Y.; Darwish, E.; Elbashir, S.; Majzoub, A.; Agarwal, A. Effect of Modifiable Lifestyle Factors and Antioxidant Treatment on Semen Parameters of Men with Severe Oligoasthenoteratozoospermia. Andrologia 2017, 49, e12694. [Google Scholar] [CrossRef] [PubMed]
- Majzoub, A.; Agarwal, A. Systematic Review of Antioxidant Types and Doses in Male Infertility: Benefits on Semen Parameters, Advanced Sperm Function, Assisted Reproduction and Live-Birth Rate. Arab. J. Urol. 2018, 16, 113–124. [Google Scholar] [CrossRef]
- Arafa, M.; Agarwal, A.; Majzoub, A.; Panner Selvam, M.K.; Baskaran, S.; Henkel, R.; Elbardisi, H. Efficacy of Antioxidant Supplementation on Conventional and Advanced Sperm Function Tests in Patients with Idiopathic Male Infertility. Antioxidants 2020, 9, 219. [Google Scholar] [CrossRef] [PubMed]
- Asejeje, F.O.; Ogunro, O.B.; Asejeje, G.I.; Adewumi, O.S.; Abolaji, A.O. An Assessment of the Ameliorative Role of Hesperidin in Drosophila Melanogaster Model of Cadmium Chloride-Induced Toxicity. Comp. Biochem. Physiol. C Toxicol. Pharmacol. 2023, 263, 109500. [Google Scholar] [CrossRef]
- Yu, W.; Xu, Z.; Gao, Q.; Xu, Y.; Wang, B.; Dai, Y. Protective Role of Wogonin against Cadmium Induced Testicular Toxicity: Involvement of Antioxidant, Anti-Inflammatory and Anti-Apoptotic Pathways. Life Sci. 2020, 258, 118192. [Google Scholar] [CrossRef]
- Wang, J.; Zhu, H.; Wang, K.; Yang, Z.; Liu, Z. Protective Effect of Quercetin on Rat Testes against Cadmium Toxicity by Alleviating Oxidative Stress and Autophagy. Environ. Sci. Pollut. Res. Int. 2020, 27, 25278–25286. [Google Scholar] [CrossRef]
- Kandemir, F.M.; Caglayan, C.; Aksu, E.H.; Yildirim, S.; Kucukler, S.; Gur, C.; Eser, G. Protective Effect of Rutin on Mercuric Chloride-Induced Reproductive Damage in Male Rats. Andrologia 2020, 52, e13524. [Google Scholar] [CrossRef]
- Guvvala, P.R.; Ravindra, J.P.; Selvaraju, S.; Arangasamy, A.; Venkata, K.M. Ellagic and Ferulic Acids Protect Arsenic-Induced Male Reproductive Toxicity Via Regulating Nfe2l2, Ppargc1a and Star Expressions in Testis. Toxicology 2019, 413, 1–12. [Google Scholar] [CrossRef] [PubMed]
- Susan, A.; Rajendran, K.; Sathyasivam, K.; Krishnan, U.M. An Overview of Plant-Based Interventions to Ameliorate Arsenic Toxicity. Biomed. Pharmacother. 2019, 109, 838–852. [Google Scholar] [CrossRef] [PubMed]
- Almeer, R.S.; Albasher, G.; Kassab, R.B.; Ibrahim, S.R.; Alotibi, F.; Alarifi, S.; Ali, D.; Alkahtani, S.; Abdel Moneim, A.E. Ziziphus Spina-Christi Leaf Extract Attenuates Mercury Chloride-Induced Testicular Dysfunction in Rats. Environ. Sci. Pollut. Res. Int. 2020, 27, 3401–3412. [Google Scholar] [CrossRef]
- Sadek, K.M. Chemotherapeutic Efficacy of an Ethanolic Moringa Oleifera Leaf Extract against Chromium-Induced Testicular Toxicity in Rats. Andrologia 2014, 46, 1047–1054. [Google Scholar] [CrossRef] [PubMed]
- Montano, L.; Maugeri, A.; Volpe, M.G.; Micali, S.; Mirone, V.; Mantovani, A.; Navarra, M.; Piscopo, M. Mediterranean Diet as a Shield against Male Infertility and Cancer Risk Induced by Environmental Pollutants: A Focus on Flavonoids. Int. J. Mol. Sci. 2022, 23, 1568. [Google Scholar] [CrossRef]
- Tejada, S.; Pinya, S.; Martorell, M.; Capo, X.; Tur, J.A.; Pons, A.; Sureda, A. Potential Anti-Inflammatory Effects of Hesperidin from the Genus Citrus. Curr. Med. Chem. 2018, 25, 4929–4945. [Google Scholar] [CrossRef]
- Pyrzynska, K. Hesperidin: A Review on Extraction Methods, Stability and Biological Activities. Nutrients 2022, 14, 2387. [Google Scholar] [CrossRef]
- Selmi, S.; Rtibi, K.; Grami, D.; Sebai, H.; Marzouki, L. Protective Effects of Orange (Citrus sinensis L.) Peel Aqueous Extract and Hesperidin on Oxidative Stress and Peptic Ulcer Induced by Alcohol in Rat. Lipids Health Dis. 2017, 16, 152. [Google Scholar] [CrossRef]
- Parhiz, H.; Roohbakhsh, A.; Soltani, F.; Rezaee, R.; Iranshahi, M. Antioxidant and Anti-Inflammatory Properties of the Citrus Flavonoids Hesperidin and Hesperetin: An Updated Review of Their Molecular Mechanisms and Experimental Models. Phytother. Res. 2015, 29, 323–331. [Google Scholar] [CrossRef]
- Pandey, P.; Khan, F. A Mechanistic Review of the Anticancer Potential of Hesperidin, a Natural Flavonoid from Citrus Fruits. Nutr. Res. 2021, 92, 21–31. [Google Scholar] [CrossRef]
- Sato, M.; Okuno, A.; Ishisono, K.; Yajima, Y.; Toyoda, A. Dietary Hesperidin Suppresses Lipopolysaccharide-Induced Inflammation in Male Mice. Int. J. Tryptophan Res. 2022, 15, 1–7. [Google Scholar] [CrossRef]
- Huang, Y.; Zhou, W.; Sun, J.; Ou, G.; Zhong, N.S.; Liu, Z. Exploring the Potential Pharmacological Mechanism of Hesperidin and Glucosyl Hesperidin against COVID-19 Based on Bioinformatics Analyses and Antiviral Assays. Am. J. Chin. Med. 2022, 50, 351–369. [Google Scholar] [CrossRef] [PubMed]
- Nagasako-Akazome, Y. Safety of high and long-term intake of polyphenols. In Polyphenols in Human Health and Disease; Watson, R.R., Preedy, V.R., Zibadi, S., Eds.; Academic Press: Cambridge, MA, USA, 2014; Volume 1, pp. 747–756. [Google Scholar]
- Sharma, R. Polyphenols in health and disease: Practice and mechanisms of benefits. In Polyphenols in Human Health and Disease; Watson, R.R., Preedy, V.R., Zibadi, S., Eds.; Academic Press: Cambridge, MA, USA, 2014; Volume 1, pp. 757–778. [Google Scholar]
- Garg, A.; Garg, S.; Zaneveld, L.J.; Singla, A.K. Chemistry and Pharmacology of the Citrus Bioflavonoid Hesperidin. Phytother. Res. 2001, 15, 655–669. [Google Scholar] [CrossRef] [PubMed]
- Rabe, E.; Agus, G.B.; Roztocil, K. Analysis of the Effects of Micronized Purified Flavonoid Fraction Versus Placebo on Symptoms and Quality of Life in Patients Suffering from Chronic Venous Disease: From a Prospective Randomized Trial. Int. Angiol. 2015, 34, 428–436. [Google Scholar]
- Olayinka, E.T.; Adewole, K.E. In Vivo and in Silico Evaluation of the Ameliorative Effect of Hesperidin on Finasteride-Induced Testicular Oxidative Stress in Wistar Rats. Toxicol. Mech. Methods 2021, 31, 81–89. [Google Scholar] [CrossRef] [PubMed]
- Afolabi, O.K.; Wusu, A.D.; Ugbaja, R.; Fatoki, J.O. Aluminium Phosphide-Induced Testicular Toxicity through Oxidative Stress in Wistar Rats: Ameliorative Role of Hesperidin. Toxicol. Res. Appl. 2018, 2, 1–11. [Google Scholar] [CrossRef]
- Aksu, E.H.; Kandemir, F.M.; Kucukler, S. Ameliorative Effect of Hesperidin on Streptozotocin-Diabetes Mellitus-Induced Testicular DNA Damage and Sperm Quality Degradation in Sprague-Dawley Rats. J. Food Biochem. 2021, 45, e13938. [Google Scholar] [CrossRef]
- Shokoohi, M.; Khaki, A.; Shoorei, H.; Khaki, A.A.; Moghimian, M.; Abtahi-Eivary, S.H. Hesperidin Attenuated Apoptotic-Related Genes in Testicle of a Male Rat Model of Varicocoele. Andrology 2020, 8, 249–258. [Google Scholar] [CrossRef] [PubMed]
- Hassan, E.; Kahilo, K.; Kamal, T.; Hassan, M.; Saleh Elgawish, M. The Protective Effect of Epigallocatechin-3-Gallate on Testicular Oxidative Stress in Lead-Induced Toxicity Mediated by Cyp19 Gene/Estradiol Level. Toxicology 2019, 422, 76–83. [Google Scholar] [CrossRef]
- Al-Megrin, W.A.; Alomar, S.; Alkhuriji, A.F.; Metwally, D.M.; Mohamed, S.K.; Kassab, R.B.; Abdel Moneim, A.E.; El-Khadragy, M.F. Luteolin Protects against Testicular Injury Induced by Lead Acetate by Activating the Nrf2/Ho-1 Pathway. IUBMB Life 2020, 72, 1787–1798. [Google Scholar] [CrossRef]
- Ileriturk, M.; Benzer, F.; Aksu, E.H.; Yildirim, S.; Kandemir, F.M.; Dogan, T.; Dortbudak, M.B.; Genc, A. Chrysin Protects against Testicular Toxicity Caused by Lead Acetate in Rats with Its Antioxidant, Anti-Inflammatory, and Antiapoptotic Properties. J. Food Biochem. 2021, 45, e13593. [Google Scholar] [CrossRef]
- Hassan, E.; El-Neweshy, M.; Hassan, M.; Noreldin, A. Thymoquinone Attenuates Testicular and Spermotoxicity Following Subchronic Lead Exposure in Male Rats: Possible Mechanisms Are Involved. Life Sci. 2019, 230, 132–140. [Google Scholar] [CrossRef] [PubMed]
- Ayuba, Y.; Ekanem, A.G.S.H.; Garba, S.H. Effect of Oral Administration of Lead Acetate Exposure on the Histology of the Testis and Testicular Sperm Concentration in Wistar Albino Rats. Sch. J. Appl. Med. Sci. 2017, 1, 2337–2344. [Google Scholar]
- Kumar, R.; Akhtar, F.; Rizvi, S.I. Protective Effect of Hesperidin in Poloxamer-407 Induced Hyperlipidemic Experimental Rats. Biol. Futur. 2021, 72, 201–210. [Google Scholar] [CrossRef] [PubMed]
- Raji, Y.; Salman, T.M.; Akinsomisoye, O.S. Reproductive Functions in Male Rats Treated with Methanolic Extract of Alstonia boonei Stem Bark. Afr. J. Biomed. Res. 2005, 8, 105–111. [Google Scholar]
- Wells, M.E.; Awa, O.A. New Technique for Assessing Acrosomal Characteristics of Spermatozoa. J. Dairy Sci. 1970, 53, 227–232. [Google Scholar] [CrossRef]
- Lowry, O.H.; Rosebrough, N.J.; Farr, A.L.; Randall, R.J. Protein Measurement with the Folin Phenol Reagent. J. Biol. Chem. 1951, 193, 265–275. [Google Scholar] [CrossRef]
- Bancroft, J.D.; Gamble, M. Theory and Practice of Histological Techniques, 6th ed.; Churchill Livingstone: London, UK; Elsevier: Philadelphia, PA, USA, 2008. [Google Scholar]
- Bharadwaj, K.K.; Rabha, B.; Pati, S.; Sarkar, T.; Choudhury, B.K.; Barman, A.; Bhattacharjya, D.; Srivastava, A.; Baishya, D.; Edinur, H.A.; et al. Green Synthesis of Gold Nanoparticles Using Plant Extracts as Beneficial Prospect for Cancer Theranostics. Molecules 2021, 26, 6389. [Google Scholar] [CrossRef]
- Mukherjee, A.G.; Ramesh Wanjari, U.; Renu, K.; Vellingiri, B.; Valsala Gopalakrishnan, A. Heavy Metal and Metalloid—Induced Reproductive Toxicity. Environ. Toxicol. Pharmacol. 2022, 92, 103859. [Google Scholar] [CrossRef]
- Massanyi, P.; Massanyi, M.; Madeddu, R.; Stawarz, R.; Lukac, N. Effects of Cadmium, Lead, and Mercury on the Structure and Function of Reproductive Organs. Toxics 2020, 8, 94. [Google Scholar] [CrossRef]
- Behairy, A.; Hashem, M.M.; Abo-El-Sooud, K.; El-Metwally, A.E.; Hassan, B.A.; Abd-Elhakim, Y.M. Quercetin Abates Aluminum Trioxide Nanoparticles and Lead Acetate Induced Altered Sperm Quality, Testicular Oxidative Damage, and Sexual Hormones Disruption in Male Rats. Antioxidants 2022, 11, 2133. [Google Scholar] [CrossRef] [PubMed]
- Kuzu, M.; Kandemir, F.M.; Yildirim, S.; Caglayan, C.; Kucukler, S. Attenuation of Sodium Arsenite-Induced Cardiotoxicity and Neurotoxicity with the Antioxidant, Anti-Inflammatory, and Antiapoptotic Effects of Hesperidin. Environ. Sci. Pollut. Res. 2021, 28, 10818–10831. [Google Scholar] [CrossRef] [PubMed]
- Turk, E.; Kandemir, F.M.; Yildirim, S.; Caglayan, C.; Kucukler, S.; Kuzu, M. Protective Effect of Hesperidin on Sodium Arsenite-Induced Nephrotoxicity and Hepatotoxicity in Rats. Biol. Trace Elem. Res. 2019, 189, 95–108. [Google Scholar] [CrossRef] [PubMed]
- Vijaya Bharathi, B.; Jaya Prakash, G.; Krishna, K.M.; Ravi Krishna, C.H.; Sivanarayana, T.; Madan, K.; Rama Raju, G.A.; Annapurna, A. Protective Effect of Alpha Glucosyl Hesperidin (G-Hesperidin) on Chronic Vanadium Induced Testicular Toxicity and Sperm Nuclear DNA Damage in Male Sprague Dawley Rats. Andrologia 2015, 47, 568–578. [Google Scholar] [CrossRef]
- Famurewa, A.C.; Renu, K.; Eladl, M.A.; Chakraborty, R.; Myakala, H.; El-Sherbiny, M.; Elsherbini, D.M.A.; Vellingiri, B.; Madhyastha, H.; Wanjari, U.R.; et al. Hesperidin and Hesperetin against Heavy Metal Toxicity: Insight on the Molecular Mechanism of Mitigation. Biomed. Pharmacother. 2022, 149, 112914. [Google Scholar] [CrossRef]
- Ali, S.; Al-Derawi, K.H.; Almansour, N.; Monsour, A. Testicular Toxic Effect of Lead Acetate on Adult Male Rats and the Potential Protective Role of Alcoholic Extract of Ginseng (Histological, Histomorphometrical and Physiological). Sci. J. Med. Res. 2018, 2, 87–92. [Google Scholar] [CrossRef]
- Ayoka, A.O.; Ademoye, A.K.; Imafidon, C.E.; Ojo, E.O.; Oladele, A.A. Aqueous Extract of Allium sativum (Linn.) Bulbs Ameliorated Pituitary-Testicular Injury and Dysfunction in Wistar Rats with Pb-Induced Reproductive Disturbances. Open Access Maced. J. Med. Sci. 2016, 4, 200–212. [Google Scholar] [CrossRef]
- Abrigo, J.; Elorza, A.A.; Riedel, C.A.; Vilos, C.; Simon, F.; Cabrera, D.; Estrada, L.; Cabello-Verrugio, C. Role of Oxidative Stress as Key Regulator of Muscle Wasting During Cachexia. Oxid. Med. Cell. Longev. 2018, 2018, 2063179. [Google Scholar] [CrossRef]
- Zhang, H.; Qi, G.; Wang, K.; Yang, J.; Shen, Y.; Yang, X.; Chen, X.; Yao, X.; Gu, X.; Qi, L.; et al. Oxidative Stress: Roles in Skeletal Muscle Atrophy. Biochem. Pharmacol. 2023, 214, 115664. [Google Scholar] [CrossRef]
- Offor, S.J.; Mbagwu, H.O.; Orisakwe, O.E. Improvement of Lead Acetate-Induced Testicular Injury and Sperm Quality Deterioration by Solanum anomalum Thonn. Ex. Schumach Fruit Extracts in Albino Rats. J. Fam. Reprod. Health 2019, 13, 98–108. [Google Scholar]
- Udefa, A.L.; Amama, E.A.; Archibong, E.A.; Nwangwa, J.N.; Adama, S.; Inyang, V.U.; Inyaka, G.U.-U.; Aju, G.J.; Okpa, S.; Inah, I.O. Antioxidant, Anti-Inflammatory and Anti-Apoptotic Effects of Hydro-Ethanolic Extract of Cyperus esculentus L. (Tigernut) on Lead Acetate-Induced Testicular Dysfunction in Wistar Rats. Biomed. Pharmacother. 2020, 129, 110491. [Google Scholar] [PubMed]
- Abd-Elhakim, Y.M.; Ghoneim, M.H.; Ebraheim, L.L.M.; Imam, T.S. Taurine and Hesperidin Rescues Carbon Tetrachloride-Triggered Testicular and Kidney Damage in Rats Via Modulating Oxidative Stress and Inflammation. Life Sci. 2020, 254, 117782. [Google Scholar] [PubMed]
- Dorostghoal, M.; Seyyednejad, S.M.; Nejad, M.N.T. Cichorium intybus L. Extract Ameliorates Testicular Oxidative Stress Induced by Lead Acetate in Male Rats. Clin. Exp. Reprod. Med. 2020, 47, 161–167. [Google Scholar] [CrossRef]
- Ommati, M.M.; Jamshidzadeh, A.; Heidari, R.; Sun, Z.; Zamiri, M.J.; Khodaei, F.; Mousapour, S.; Ahmadi, F.; Javanmard, N.; Yeganeh, B.S. Carnosine and Histidine Supplementation Blunt Lead-Induced Reproductive Toxicity through Antioxidative and Mitochondria-Dependent Mechanisms. Biol. Trace Elem. Res. 2019, 187, 151–162. [Google Scholar] [CrossRef] [PubMed]
- Assi, M.A.; Hezmee, M.N.; Abba, Y.; Yusof, M.S.; Haron, A.W.; Rajion, M.A.; Al-Zuhairy, M.A. Prophylactic Effect of Nigella sativa against Lead Acetate Induced Changes in Spermiogram, Reproductive Hormones and Gonadal Histology of Rats. Vet. World 2016, 9, 1305–1311. [Google Scholar] [PubMed]
- Ronis, M.J.; Badger, T.M.; Shema, S.J.; Roberson, P.K.; Shaikh, F. Reproductive Toxicity and Growth Effects in Rats Exposed to Lead at Different Periods During Development. Toxicol. Appl. Pharmacol. 1996, 136, 361–371. [Google Scholar] [CrossRef] [PubMed]
- Reshma Anjum, M.; Sreenivasula Reddy, P. Recovery of Lead-Induced Suppressed Reproduction in Male Rats by Testosterone. Andrologia 2015, 47, 560–567. [Google Scholar] [CrossRef]
- Asadi, N.; Bahmani, M.; Kheradmand, A.; Rafieian-Kopaei, M. The Impact of Oxidative Stress on Testicular Function and the Role of Antioxidants in Improving It: A Review. J. Clin. Diagn. Res. 2017, 11, IE01–IE05. [Google Scholar]
- Travison, T.G.; Shackelton, R.; Araujo, A.B.; Hall, S.A.; Williams, R.E.; Clark, R.V.; O'Donnell, A.B.; McKinlay, J.B. The Natural History of Symptomatic Androgen Deficiency in Men: Onset, Progression, and Spontaneous Remission. J. Am. Geriatr. Soc. 2008, 56, 831–839. [Google Scholar] [CrossRef]
- Kumar, N.; Singh, A.K. Impact of Environmental Factors on Human Semen Quality and Male Fertility: A Narrative Review. Environ. Sci. Eur. 2022, 34, 6. [Google Scholar]
- Arafa, M.; Agarwal, A.; Al Said, S.; Majzoub, A.; Sharma, R.; Bjugstad, K.B.; AlRumaihi, K.; Elbardisi, H. Semen Quality and Infertility Status Can Be Identified through Measures of Oxidation-Reduction Potential. Andrologia 2018, 50, e12881. [Google Scholar] [CrossRef] [PubMed]
- Nateghian, Z.; Aliabadi, E. Aspects of Environmental Pollutants on Male Fertility and Sperm Parameters. J. Environ. Treat. Tech. 2020, 8, 299–309. [Google Scholar]
- Mishra, P.; Negi, M.P.S.; Srivastava, M.; Singh, K.; Rajender, S. Decline in Seminal Quality in Indian Men over the Last 37 Years. Reprod. Biol. Endocrinol. 2018, 16, 103. [Google Scholar]
- Yallamati, M.B.; Sampath, S.K.; Mary, V.; Khan, M.Z. Ameliorative Effect of Vitis vinifera (Linn.) Seed Extract on Lead Acetate Induced Oxidative Damage on Testis and Sperm Quality in Wistar Rats. J. Exp. Zool. A Ecol. Integr. Physiol. 2023, 339, 210–219. [Google Scholar] [CrossRef] [PubMed]
- Olaniyan, O.T.; Ojewale, O.A.; Dare, A.; Adebayo, O.; Enyojo, J.E.; Okotie, G.E.; Adetunji, C.O.; Mada, B.S.; Okoli, B.J.; Eweoya, O.O. Cocos nucifera L. Oil Alleviates Lead Acetate-Induced Reproductive Toxicity in Sexually-Matured Male Wistar Rats. J. Basic. Clin. Physiol. Pharmacol. 2021, 33, 297–303. [Google Scholar] [CrossRef] [PubMed]
- Dhurvey, V.; Gotmare, B.; Karim, F. Lead Acetate Induced Histological Alterations in Seminal-Vesicle and Prostate Gland of Wistar Rats. J. Indian Soc. Toxicol. 2018, 14, 26–29. [Google Scholar] [CrossRef]
- Noda, T.; Ikawa, M. Physiological Function of Seminal Vesicle Secretions on Male Fecundity. Reprod. Med. Biol. 2019, 18, 241–246. [Google Scholar] [CrossRef]
- Aldaddou, W.A.; Aljohani, A.S.M.; Ahmed, I.A.; Al-Wabel, N.A.; El-Ashmawy, I.M. Ameliorative Effect of Methanolic Extract of Tribulus terrestris L. On Nicotine and Lead-Induced Degeneration of Sperm Quality in Male Rats. J. Ethnopharmacol. 2022, 295, 115337. [Google Scholar] [CrossRef]
- Ayad, B.; Omolaoye, T.S.; Louw, N.; Ramsunder, Y.; Skosana, B.T.; Oyeipo, P.I.; Du Plessis, S.S. Oxidative Stress and Male Infertility: Evidence from a Research Perspective. Front. Reprod. Health 2022, 4, 822257. [Google Scholar]
- Ritchie, C.; Ko, E.Y. Oxidative Stress in the Pathophysiology of Male Infertility. Andrologia 2021, 53, e13581. [Google Scholar] [CrossRef]
- Baskaran, S.; Finelli, R.; Agarwal, A.; Henkel, R. Reactive Oxygen Species in Male Reproduction: A Boon or a Bane? Andrologia 2021, 53, e13577. [Google Scholar] [PubMed]
- Aitken, R.J.; Bromfield, E.G.; Gibb, Z. Oxidative Stress and Reproductive Function: The Impact of Oxidative Stress on Reproduction: A Focus on Gametogenesis and Fertilization. Reproduction 2022, 164, F79–F94. [Google Scholar] [PubMed]
- Chakraborty, S.; Roychoudhury, S. Pathological Roles of Reactive Oxygen Species in Male Reproduction. Adv. Exp. Med. Biol. 2022, 1358, 41–62. [Google Scholar] [PubMed]
- Owumi, S.E.; Arunsi, U.O.; Otunla, M.T.; Oluwasuji, I.O. Exposure to Lead and Dietary Furan Intake Aggravates Hypothalamus-Pituitary-Testicular Axis Toxicity in Chronic Experimental Rats. J. Biomed. Res. 2022, 37, 100–114. [Google Scholar] [PubMed]
- Adesiyan, G.O.; Talabi, T.O.; Kale, O.E.; Ogundare, T.F. Ethyl Acetate Fraction of Spathodea campanulata (Bignoniaceae) Attenuates Lead Acetate Induced Testicular Toxicity in Male Wistar Rats. J. Complement. Integr. Med. 2021, 19, 19–26. [Google Scholar] [CrossRef]
- Ileriturk, M.; Kandemir, O.; Akaras, N.; Simsek, H.; Genc, A.; Kandemir, F.M. Hesperidin Has a Protective Effect on Paclitaxel-Induced Testicular Toxicity through Regulating Oxidative Stress, Apoptosis, Inflammation and Endoplasmic Reticulum Stress. Reprod. Toxicol. 2023, 118, 108369. [Google Scholar]
- Gur, C.; Kandemir, O.; Kandemir, F.M. Investigation of the Effects of Hesperidin Administration on Abamectin-Induced Testicular Toxicity in Rats through Oxidative Stress, Endoplasmic Reticulum Stress, Inflammation, Apoptosis, Autophagy, and Jak2/Stat3 Pathways. Environ. Toxicol. 2022, 37, 401–412. [Google Scholar] [CrossRef]
- Tekin, S.; Çelebi, F. Investigation of the Effect of Hesperidin on Some Reproductive Parameters in Testicular Toxicity Induced by Bisphenol A. Andrologia 2022, 54, e14562. [Google Scholar] [CrossRef]
- Gandhi, J.; Hernandez, R.J.; Chen, A.; Smith, N.L.; Sheynkin, Y.R.; Joshi, G.; Ali Khan, S. Impaired Hypothalamic-Pituitary-Testicular Axis Activity, Spermatogenesis, and Sperm Function Promote Infertility in Males with Lead Poisoning. Zygote 2017, 25, 103–110. [Google Scholar] [CrossRef]
- Lamia, H.; Mounir, T.; Adel, C.; Abdelhamid, K.; Fadhel, N.M.; Rachid, S. Effects of Oral Intoxication by Lead Acetate on Pituitary-Testicular Axis in the Pubertal Rat. Ital. J. Public. Health 2008, 5, 297–303. [Google Scholar]
- Huhtaniemi, I.T.; Themmen, A.P. Mutations in Human Gonadotropin and Gonadotropin-Receptor Genes. Endocrine 2005, 26, 207–217. [Google Scholar] [CrossRef] [PubMed]
- Jonas, K.C.; Oduwole, O.O.; Peltoketo, H.; Rulli, S.B.; Huhtaniemi, I.T. Mouse Models of Altered Gonadotrophin Action: Insight into Male Reproductive Disorders. Reproduction 2014, 148, R63–R70. [Google Scholar] [CrossRef] [PubMed][Green Version]
- Almansour, M.I. Histological Alterations Induced by Lead in the Testes of the Quail Coturnix coturnix. Res. J. Environ. Toxicol. 2009, 3, 24–30. [Google Scholar] [CrossRef][Green Version]
- Oyeyemi, W.A.; Akinola, A.O.; Daramola, O.-O.O.; Aikpitanyi, I.; Durotoluwa, O.T.; Alele, P.-G.O.; Ogieriakhi, I.O.; Okoro, T.D. Vitamin E and Quercetin Attenuated the Reproductive Toxicity Mediated by Lead Acetate in Male Wistar. Bull. Natl. Res. Cent. 2022, 46, 22. [Google Scholar] [CrossRef]
- Saylam, B.; Cayan, S. Do Antioxidants Improve Serum Sex Hormones and Total Motile Sperm Count in Idiopathic Infertile Men? Turk. J. Urol. 2020, 46, 442–448. [Google Scholar] [CrossRef]
- El-Khadragy, M.; Al-Megrin, W.A.; AlSadhan, N.A.; Metwally, D.M.; El-Hennamy, R.E.; Salem, F.E.H.; Kassab, R.B.; Abdel Moneim, A.E. Impact of Coenzyme Q10 Administration on Lead Acetate-Induced Testicular Damage in Rats. Oxid. Med. Cell. Longev. 2020, 2020, 4981386. [Google Scholar] [CrossRef]




| Groups | Count (×106/mL) | Motility (%) | Viability (%) | Abnormality (%) |
|---|---|---|---|---|
| Ctrl | 66.43 ± 3.29 a | 54.21 ± 4.12 a | 63.56 ± 3.91 a | 11.14 ± 1.94 a |
| PbAc | 29.05 ± 2.83 c | 25.51 ± 5.02 c | 23.53 ± 3.84 c | 18.33 ± 2.06 b |
| HSD | 65.16 ± 4.96 a | 53.65 ± 3.78 a | 59.44 ± 4.82 a | 11.52 ± 2.73 a |
| HSD+PbAc | 52.14 ± 3.23 b | 46.37 ± 4.29 b | 49.86 ± 3.79 b | 12.26 ± 2.75 a |
| Groups | CAT | SOD | GSH | MDA |
|---|---|---|---|---|
| (U/mg Protein) | (U/mg Protein) | (mmol/g Tissue) | (nmol/g Tissue) | |
| Ctrl | 2.74 ± 0.14 a | 0.45 ± 0.04 a | 23.86 ± 2.11 a | 20.72 ± 1.87 c |
| PbAc | 1.36 ± 0.19 c | 0.26 ± 0.06 c | 14.43 ± 2.24 b | 38.59 ± 3.15 a |
| HSD | 2.80 ± 0.25 a | 0.41 ± 0.05 ab | 21.94 ± 1.03 a | 18.65 ± 2.32 c |
| HSD+PbAc | 2.16 ± 0.18 b | 0.35 ± 0.07 b | 21.59 ± 0.8 a | 27.44 ± 2.18 b |
Disclaimer/Publisher’s Note: The statements, opinions and data contained in all publications are solely those of the individual author(s) and contributor(s) and not of MDPI and/or the editor(s). MDPI and/or the editor(s) disclaim responsibility for any injury to people or property resulting from any ideas, methods, instructions or products referred to in the content. |
© 2023 by the authors. Licensee MDPI, Basel, Switzerland. This article is an open access article distributed under the terms and conditions of the Creative Commons Attribution (CC BY) license (https://creativecommons.org/licenses/by/4.0/).
Share and Cite
Abu-Khudir, R.; Almutairi, H.H.; Abd El-Rahman, S.S.; El-Said, K.S. The Palliative and Antioxidant Effects of Hesperidin against Lead-Acetate-Induced Testicular Injury in Male Wistar Rats. Biomedicines 2023, 11, 2390. https://doi.org/10.3390/biomedicines11092390
Abu-Khudir R, Almutairi HH, Abd El-Rahman SS, El-Said KS. The Palliative and Antioxidant Effects of Hesperidin against Lead-Acetate-Induced Testicular Injury in Male Wistar Rats. Biomedicines. 2023; 11(9):2390. https://doi.org/10.3390/biomedicines11092390
Chicago/Turabian StyleAbu-Khudir, Rasha, Hayfa Habes Almutairi, Sahar S. Abd El-Rahman, and Karim Samy El-Said. 2023. "The Palliative and Antioxidant Effects of Hesperidin against Lead-Acetate-Induced Testicular Injury in Male Wistar Rats" Biomedicines 11, no. 9: 2390. https://doi.org/10.3390/biomedicines11092390
APA StyleAbu-Khudir, R., Almutairi, H. H., Abd El-Rahman, S. S., & El-Said, K. S. (2023). The Palliative and Antioxidant Effects of Hesperidin against Lead-Acetate-Induced Testicular Injury in Male Wistar Rats. Biomedicines, 11(9), 2390. https://doi.org/10.3390/biomedicines11092390

