Pathological Approach to Kidney Allograft Infection
Abstract
1. Introduction
2. Bacterial Pyelonephritis
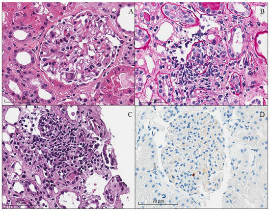
3. BK and JC Polyomavirus Infection
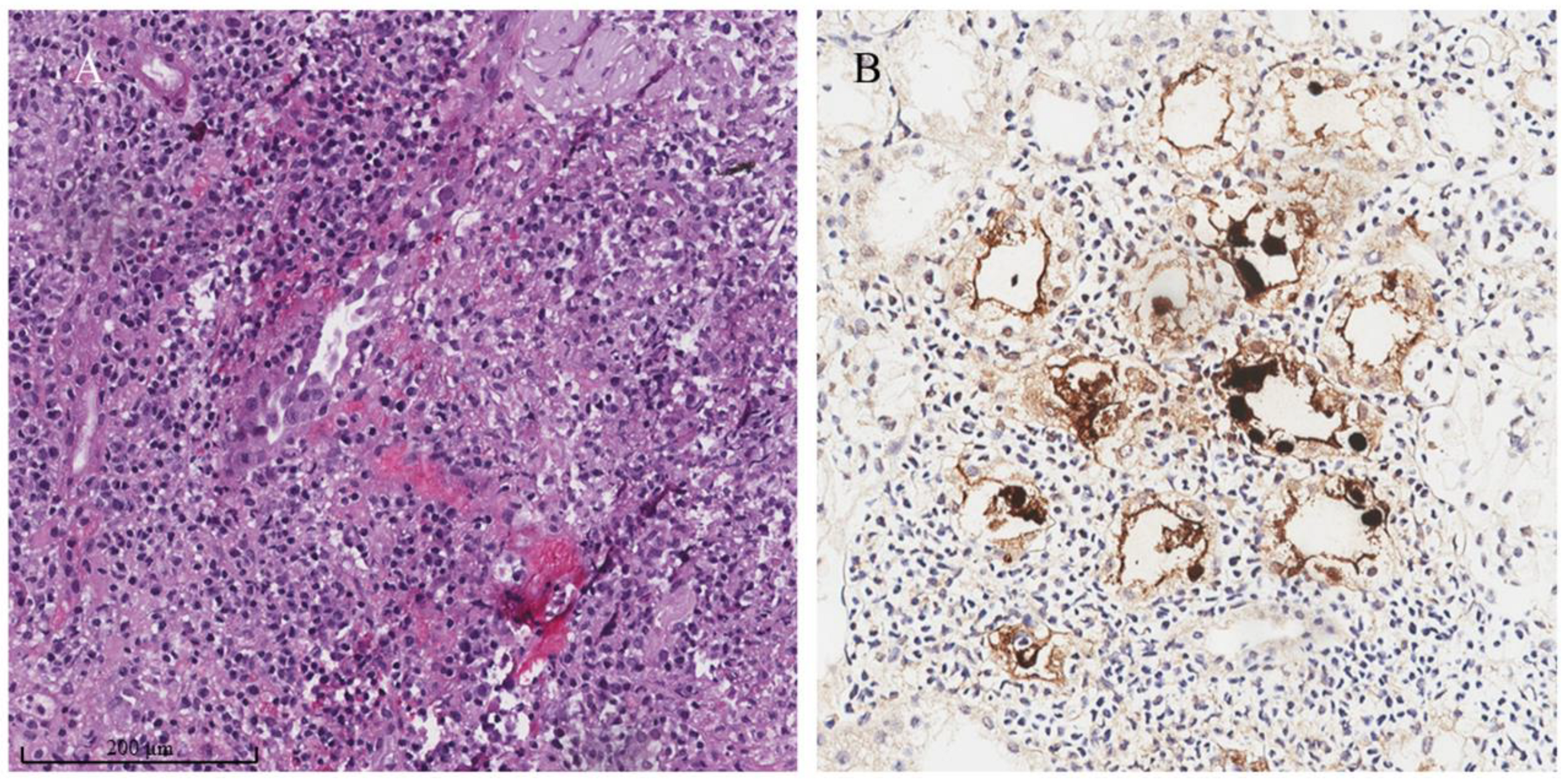
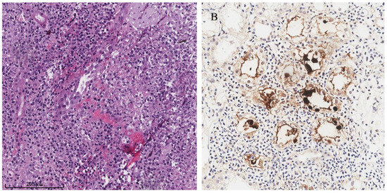
4. Adenovirus Nephritis
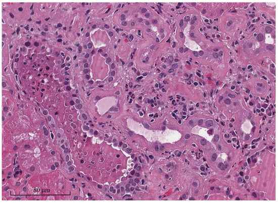
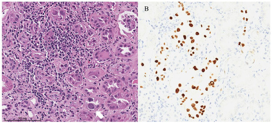
5. Cytomegalovirus Infection
6. Other Differential Diagnoses of Kidney Allograft Interstitial Cell Infiltration
7. Conclusions
Author Contributions
Funding
Informed Consent Statement
Data Availability Statement
Conflicts of Interest
References
- Tonelli, M.; Wiebe, N.; Knoll, G.; Bello, A.; Browne, S.; Jadhav, D.; Klarenbach, S.; Gill, J. Systematic review: Kidney transplantation compared with dialysis in clinically relevant outcomes. Am. J. Transplant. 2011, 11, 2093–2109. [Google Scholar] [CrossRef]
- Masutani, K. Viral infections directly involved in kidney allograft function. Nephrology 2018, 23 (Suppl. S2), 31–37. [Google Scholar] [CrossRef]
- Vanichanan, J.; Udomkarnjananun, S.; Avihingsanon, Y.; Jutivorakool, K. Common viral infections in kidney transplant recipients. Kidney Res. Clin. Pract. 2018, 37, 323–337. [Google Scholar] [CrossRef] [PubMed]
- Mella, A.; Mariano, F.; Dolla, C.; Gallo, E.; Manzione, A.M.; Di Vico, M.C.; Cavallo, R.; De Rosa, F.G.; Costa, C.; Biancone, L. Bacterial and Viral Infection and Sepsis in Kidney Transplanted Patients. Biomedicines 2022, 10, 701. [Google Scholar] [CrossRef] [PubMed]
- Agrawal, A.; Ison, M.G.; Danziger-Isakov, L. Long-Term Infectious Complications of Kidney Transplantation. Clin. J. Am. Soc. Nephrol. 2022, 17, 286–295. [Google Scholar] [CrossRef] [PubMed]
- Jagannathan, G.; Weins, A.; Daniel, E.; Crew, R.J.; Swanson, S.J.; Markowitz, G.S.; D’Agati, V.D.; Andeen, N.K.; Rennke, H.G.; Batal, I. The pathologic spectrum of adenovirus nephritis in the kidney allograft. Kidney Int. 2023, 103, 378–390. [Google Scholar] [CrossRef] [PubMed]
- Drachenberg, C.B.; Papadimitriou, J.C.; Chaudhry, M.R.; Ugarte, R.; Mavanur, M.; Thomas, B.; Cangro, C.; Costa, N.; Ramos, E.; Weir, M.R.; et al. Histological Evolution of BK Virus-Associated Nephropathy: Importance of Integrating Clinical and Pathological Findings. Am. J. Transplant. 2017, 17, 2078–2091. [Google Scholar] [CrossRef]
- Fogo, A.B.; Lusco, M.A.; Najafian, B.; Alpers, C.E. AJKD Atlas of Renal Pathology: Cytomegalovirus Infection. Am. J. Kidney Dis. 2016, 68, e35–e36. [Google Scholar] [CrossRef]
- Wiegley, N.; Walavalkar, V.; Aujla, H.; Chen, L.X.; Huang, Y.; Lee, B.K.; Jen, K.Y. Clinicopathologic Characteristics of JC Virus Nephropathy in Kidney Transplant Recipients. Transplantation 2021, 105, 1069–1076. [Google Scholar] [CrossRef]
- Santithanmakorn, C.; Vanichanan, J.; Townamchai, N.; Jutivorakool, K.; Wattanatorn, S.; Sutherasan, M.; Opanuruk, J.; Kerr, S.J.; Praditpornsilpa, K.; Avihingsanon, Y.; et al. Bacterial Urinary Tract Infection and Early Asymptomatic Bacteriuria in Kidney Transplantation Still Negatively Affect Kidney Transplant Outcomes in the Era of Modern Immunosuppression and Cotrimoxazole Prophylaxis. Biomedicines 2022, 10, 2984. [Google Scholar] [CrossRef]
- Graham, L.; Orenstein, J.M. Processing tissue and cells for transmission electron microscopy in diagnostic pathology and research. Nat. Protoc. 2007, 2, 2439–2450. [Google Scholar] [CrossRef]
- Sadeghipour, A.; Babaheidarian, P. Making Formalin-Fixed, Paraffin Embedded Blocks. Methods Mol. Biol. 2019, 1897, 253–268. [Google Scholar] [CrossRef]
- Fiorentino, M.; Pesce, F.; Schena, A.; Simone, S.; Castellano, G.; Gesualdo, L. Updates on urinary tract infections in kidney transplantation. J. Nephrol. 2019, 32, 751–761. [Google Scholar] [CrossRef] [PubMed]
- Suárez Fernández, M.L.; Ridao Cano, N.; Álvarez Santamarta, L.; Gago Fraile, M.; Blake, O.; Díaz Corte, C. A Current Review of the Etiology, Clinical Features, and Diagnosis of Urinary Tract Infection in Renal Transplant Patients. Diagnostics 2021, 11, 1456. [Google Scholar] [CrossRef] [PubMed]
- Goldman, J.D.; Julian, K. Urinary tract infections in solid organ transplant recipients: Guidelines from the American Society of Transplantation Infectious Diseases Community of Practice. Clin. Transplant. 2019, 33, e13507. [Google Scholar] [CrossRef] [PubMed]
- Parasuraman, R.; Julian, K. Urinary tract infections in solid organ transplantation. Am. J. Transplant. 2013, 13 (Suppl. S4), 327–336. [Google Scholar] [CrossRef] [PubMed]
- Brune, J.E.; Dickenmann, M.; Wehmeier, C.; Sidler, D.; Walti, L.; Golshayan, D.; Manuel, O.; Hadaya, K.; Neofytos, D.; Schnyder, A.; et al. Impact of different urinary tract infection phenotypes within the first year post-transplant on renal allograft outcomes. Am. J. Transplant. 2022, 22, 1823–1833. [Google Scholar] [CrossRef]
- Etta, P. Urinary tract infections in kidney transplantation: An emerging crisis of drug resistance. Indian J. Transplant. 2020, 14, 283–287. [Google Scholar] [CrossRef]
- Zhang, X.; Gao, H.; Fu, J.; Lin, F.; Khaledi, A. Overview on urinary tract infection, bacterial agents, and antibiotic resistance pattern in renal transplant recipients. J. Res. Med. Sci. 2021, 26, 26. [Google Scholar] [CrossRef]
- Lyerová, L.; Lácha, J.; Skibová, J.; Teplan, V.; Vítko, S.; Schück, O. Urinary tract infection in patients with urological complications after renal transplantation with respect to long-term function and allograft survival. Ann. Transplant. 2001, 6, 19–20. [Google Scholar]
- Abbott, K.C.; Swanson, S.J.; Richter, E.R.; Bohen, E.M.; Agodoa, L.Y.; Peters, T.G.; Barbour, G.; Lipnick, R.; Cruess, D.F. Late urinary tract infection after renal transplantation in the United States. Am. J. Kidney Dis. 2004, 44, 353–362. [Google Scholar] [CrossRef]
- Pellé, G.; Vimont, S.; Levy, P.P.; Hertig, A.; Ouali, N.; Chassin, C.; Arlet, G.; Rondeau, E.; Vandewalle, A. Acute pyelonephritis represents a risk factor impairing long-term kidney graft function. Am. J. Transplant. 2007, 7, 899–907. [Google Scholar] [CrossRef] [PubMed]
- Papasotiriou, M.; Savvidaki, E.; Kalliakmani, P.; Papachristou, E.; Marangos, M.; Fokaefs, E.; Maroulis, I.; Karavias, D.; Goumenos, D.S. Predisposing factors to the development of urinary tract infections in renal transplant recipients and the impact on the long-term graft function. Ren. Fail. 2011, 33, 405–410. [Google Scholar] [CrossRef] [PubMed]
- Ariza-Heredia, E.J.; Beam, E.N.; Lesnick, T.G.; Cosio, F.G.; Kremers, W.K.; Razonable, R.R. Impact of urinary tract infection on allograft function after kidney transplantation. Clin. Transplant. 2014, 28, 683–690. [Google Scholar] [CrossRef]
- Ghelichi Ghojogh, M.; Salarilak, S.; Taghizadeh Afshari, A.; Khalkhali, H.R.; Mohammadi-Fallah, M.R.; Makhdoomi, K. The effect of urinary tract infection on patient and graft survival rate in a group of kidney transplanted patients. J. Ren. Inj. Prev. 2018, 7, 292–296. [Google Scholar] [CrossRef]
- Fonseca, L.E., Jr.; Shapiro, R.; Randhawa, P.S. Occurrence of urinary tract infection in patients with renal allograft biopsies showing neutrophilic tubulitis. Mod. Pathol. 2003, 16, 281–285. [Google Scholar] [CrossRef]
- Zhou, X.J.; Laszik, Z.G.; Nadasdy, T.; D’Agati, V.D. (Eds.) Silva’s Diagnostic Renal Pathology, 2nd ed.; Cambridge University Press: Cambridge, UK, 2017. [Google Scholar] [CrossRef]
- Fogo, A.B.; Kashgarian, M. Diagnostic Atlas of Renal Pathology; Elsevier: Amsterdam, The Netherlands, 2021. [Google Scholar]
- Origüen, J.; López-Medrano, F.; Fernández-Ruiz, M.; Polanco, N.; Gutiérrez, E.; González, E.; Mérida, E.; Ruiz-Merlo, T.; Morales-Cartagena, A.; Pérez-Jacoiste Asín, M.A.; et al. Should Asymptomatic Bacteriuria Be Systematically Treated in Kidney Transplant Recipients? Results From a Randomized Controlled Trial. Am. J. Transplant. 2016, 16, 2943–2953. [Google Scholar] [CrossRef] [PubMed]
- Antonio, M.E.E.; Cassandra, B.G.C.; Emiliano, R.J.D.; Guadalupe, O.L.M.; Lilian, R.E.A.; Teresa, T.G.M.; Mario, G.G.; Ivan, R.C.G.; Mercedes, R.V.; Alfredo, C.W.; et al. Treatment of asymptomatic bacteriuria in the first 2 months after kidney transplant: A controlled clinical trial. Transpl. Infect. Dis. 2022, 24, e13934. [Google Scholar] [CrossRef]
- Gardner, S.D.; Field, A.M.; Coleman, D.V.; Hulme, B. New human papovavirus (B.K.) isolated from urine after renal transplantation. Lancet 1971, 1, 1253–1257. [Google Scholar] [CrossRef]
- Bohl, D.L.; Brennan, D.C. BK virus nephropathy and kidney transplantation. Clin. J. Am. Soc. Nephrol. 2007, 2 (Suppl. S1), S36–S46. [Google Scholar] [CrossRef]
- Cohen-Bucay, A.; Ramirez-Andrade, S.E.; Gordon, C.E.; Francis, J.M.; Chitalia, V.C. Advances in BK Virus Complications in Organ Transplantation and Beyond. Kidney Med. 2020, 2, 771–786. [Google Scholar] [CrossRef] [PubMed]
- Kant, S.; Dasgupta, A.; Bagnasco, S.; Brennan, D.C. BK Virus Nephropathy in Kidney Transplantation: A State-of-the-Art Review. Viruses 2022, 14, 1616. [Google Scholar] [CrossRef] [PubMed]
- Bohl, D.L.; Storch, G.A.; Ryschkewitsch, C.; Gaudreault-Keener, M.; Schnitzler, M.A.; Major, E.O.; Brennan, D.C. Donor origin of BK virus in renal transplantation and role of HLA C7 in susceptibility to sustained BK viremia. Am. J. Transplant. 2005, 5, 2213–2221. [Google Scholar] [CrossRef]
- Schmitt, C.; Raggub, L.; Linnenweber-Held, S.; Adams, O.; Schwarz, A.; Heim, A. Donor origin of BKV replication after kidney transplantation. J. Clin. Virol. 2014, 59, 120–125. [Google Scholar] [CrossRef]
- Funahashi, Y. BK Virus-Associated Nephropathy after Renal Transplantation. Pathogens 2021, 10, 150. [Google Scholar] [CrossRef] [PubMed]
- Demey, B.; Tinez, C.; François, C.; Helle, F.; Choukroun, G.; Duverlie, G.; Castelain, S.; Brochot, E. Risk factors for BK virus viremia and nephropathy after kidney transplantation: A systematic review. J. Clin. Virol. 2018, 109, 6–12. [Google Scholar] [CrossRef]
- Wunderink, H.F.; van der Meijden, E.; van der Blij-de Brouwer, C.S.; Mallat, M.J.; Haasnoot, G.W.; van Zwet, E.W.; Claas, E.C.; de Fijter, J.W.; Kroes, A.C.; Arnold, F.; et al. Pretransplantation Donor-Recipient Pair Seroreactivity Against BK Polyomavirus Predicts Viremia and Nephropathy After Kidney Transplantation. Am. J. Transplant. 2017, 17, 161–172. [Google Scholar] [CrossRef]
- Ambalathingal, G.R.; Francis, R.S.; Smyth, M.J.; Smith, C.; Khanna, R. BK Polyomavirus: Clinical Aspects, Immune Regulation, and Emerging Therapies. Clin. Microbiol. Rev. 2017, 30, 503–528. [Google Scholar] [CrossRef]
- Udomkarnjananun, S.; Kerr, S.J.; Francke, M.I.; Avihingsanon, Y.; van Besouw, N.M.; Baan, C.C.; Hesselink, D.A. A systematic review and meta-analysis of enzyme-linked immunosorbent spot (ELISPOT) assay for BK polyomavirus immune response monitoring after kidney transplantation. J. Clin. Virol. 2021, 140, 104848. [Google Scholar] [CrossRef]
- Lusco, M.A.; Fogo, A.B.; Najafian, B.; Alpers, C.E. AJKD Atlas of Renal Pathology: Polyomavirus Nephropathy. Am. J. Kidney Dis. 2016, 68, e37–e38. [Google Scholar] [CrossRef]
- Hirsch, H.H.; Randhawa, P. BK polyomavirus in solid organ transplantation. Am. J. Transplant. 2013, 13 (Suppl. S4), 179–188. [Google Scholar] [CrossRef] [PubMed]
- Nickeleit, V.; Singh, H.K.; Randhawa, P.; Drachenberg, C.B.; Bhatnagar, R.; Bracamonte, E.; Chang, A.; Chon, W.J.; Dadhania, D.; Davis, V.G.; et al. The Banff Working Group Classification of Definitive Polyomavirus Nephropathy: Morphologic Definitions and Clinical Correlations. J. Am. Soc. Nephrol. 2018, 29, 680–693. [Google Scholar] [CrossRef] [PubMed]
- Wang, M.; Zhou, Q.; Wang, H.; Chen, Y.; Chen, J. An application of the 2018 Banff Classification for BK polyomavirus-associated nephropathy in renal transplantation. Transpl. Infect. Dis. 2021, 23, e13557. [Google Scholar] [CrossRef] [PubMed]
- Nickeleit, V.; Singh, H.K.; Dadhania, D.; Cornea, V.; El-Husseini, A.; Castellanos, A.; Davis, V.G.; Waid, T.; Seshan, S.V. The 2018 Banff Working Group classification of definitive polyomavirus nephropathy: A multicenter validation study in the modern era. Am. J. Transplant. 2021, 21, 669–680. [Google Scholar] [CrossRef]
- Chen, X.T.; Deng, R.H.; Yang, S.C.; Hou, X.T.; Li, J.; Chen, Y.Y.; Yang, H.F.; Wang, Z.Y.; Wang, C.X.; Qiu, J.; et al. Pathological characteristics of BK polyomavirus-associated nephropathy with glomerular involvement. Ann. Transl. Med. 2020, 8, 923. [Google Scholar] [CrossRef]
- Binari, L.A.; Kapp, M.E.; Schaefer, H.M.; Concepcion, B.P. Polyomavirus nephropathy with crescent formation. Kidney Int. 2021, 100, 953. [Google Scholar] [CrossRef]
- Hirsch, H.H.; Randhawa, P.S. BK polyomavirus in solid organ transplantation-Guidelines from the American Society of Transplantation Infectious Diseases Community of Practice. Clin. Transplant. 2019, 33, e13528. [Google Scholar] [CrossRef]
- Singh, G.; Swamy, A.; Kumari, K.; Brijwal, M.; Damle, N.A.; Das, C.J.; Bhowmik, D. The Case|Mass in nonfunctioning first renal allograft in a recipient of 2 transplant kidneys. Kidney Int. 2019, 95, 1001–1002. [Google Scholar] [CrossRef]
- Chesters, P.M.; Heritage, J.; McCance, D.J. Persistence of DNA sequences of BK virus and JC virus in normal human tissues and in diseased tissues. J. Infect. Dis. 1983, 147, 676–684. [Google Scholar] [CrossRef]
- Drachenberg, C.B.; Hirsch, H.H.; Papadimitriou, J.C.; Gosert, R.; Wali, R.K.; Munivenkatappa, R.; Nogueira, J.; Cangro, C.B.; Haririan, A.; Mendley, S.; et al. Polyomavirus BK versus JC replication and nephropathy in renal transplant recipients: A prospective evaluation. Transplantation 2007, 84, 323–330. [Google Scholar] [CrossRef]
- Storsley, L.; Gibson, I.W. Adenovirus interstitial nephritis and rejection in an allograft. J. Am. Soc. Nephrol. 2011, 22, 1423–1427. [Google Scholar] [CrossRef]
- Al-Heeti, O.M.; Cathro, H.P.; Ison, M.G. Adenovirus Infection and Transplantation. Transplantation 2022, 106, 920–927. [Google Scholar] [CrossRef]
- Florescu, D.F.; Schaenman, J.M. Adenovirus in solid organ transplant recipients: Guidelines from the American Society of Transplantation Infectious Diseases Community of Practice. Clin. Transplant. 2019, 33, e13527. [Google Scholar] [CrossRef] [PubMed]
- La Rosa, C.; Diamond, D.J. The immune response to human CMV. Future Virol. 2012, 7, 279–293. [Google Scholar] [CrossRef] [PubMed]
- Kotton, C.N.; Kumar, D.; Caliendo, A.M.; Huprikar, S.; Chou, S.; Danziger-Isakov, L.; Humar, A. The Third International Consensus Guidelines on the Management of Cytomegalovirus in Solid-organ Transplantation. Transplantation 2018, 102, 900–931. [Google Scholar] [CrossRef]
- Hellemans, R.; Abramowicz, D. Cytomegalovirus after kidney transplantation in 2020: Moving towards personalized prevention. Nephrol. Dial. Transplant. 2022, 37, 810–816. [Google Scholar] [CrossRef]
- De Keyzer, K.; Van Laecke, S.; Peeters, P.; Vanholder, R. Human cytomegalovirus and kidney transplantation: A clinician’s update. Am. J. Kidney Dis. 2011, 58, 118–126. [Google Scholar] [CrossRef]
- Pascual, J.; Berger, S.P.; Witzke, O.; Tedesco, H.; Mulgaonkar, S.; Qazi, Y.; Chadban, S.; Oppenheimer, F.; Sommerer, C.; Oberbauer, R.; et al. Everolimus with Reduced Calcineurin Inhibitor Exposure in Renal Transplantation. J. Am. Soc. Nephrol. 2018, 29, 1979–1991. [Google Scholar] [CrossRef] [PubMed]
- Toupance, O.; Bouedjoro-Camus, M.C.; Carquin, J.; Novella, J.L.; Lavaud, S.; Wynckel, A.; Jolly, D.; Chanard, J. Cytomegalovirus-related disease and risk of acute rejection in renal transplant recipients: A cohort study with case-control analyses. Transpl. Int. 2000, 13, 413–419. [Google Scholar] [CrossRef]
- Sagedal, S.; Hartmann, A.; Nordal, K.P.; Osnes, K.; Leivestad, T.; Foss, A.; Degré, M.; Fauchald, P.; Rollag, H. Impact of early cytomegalovirus infection and disease on long-term recipient and kidney graft survival. Kidney Int. 2004, 66, 329–337. [Google Scholar] [CrossRef]
- López-Oliva, M.O.; Flores, J.; Madero, R.; Escuin, F.; Santana, M.J.; Bellón, T.; Selgas, R.; Jiménez, C. Cytomegalovirus infection after kidney transplantation and long-term graft loss. Nefrologia 2017, 37, 515–525. [Google Scholar] [CrossRef]
- Udomkarnjananun, S.; Naiyarakseree, N.; Townamchai, N.; Surinrat, E.; Tiankanon, K.; Banjongjit, A.; Vanichanan, J.; Jutivorakool, K.; Putcharoen, O.; Suankratay, C.; et al. The first report of kidney transplantation in a human immunodeficiency virus-positive recipient in Thailand and literature review: Encouragement for developing countries in Southeast Asia. SAGE Open Med. Case Rep. 2021, 9, 2050313x211024471. [Google Scholar] [CrossRef] [PubMed]
- Udomkarnjananun, S.; Phulkerd, T.; Thammathiwat, T.; Townamchai, N.; Surinrat, E.; Tiankanon, K.; Surintrspanont, J.; Iampenkhae, K.; Vanichanan, J.; Jutivorakool, K.; et al. Cytomegalovirus tubulo-glomerulitis and intratubular granuloma: Key histopathological findings in allograft cytomegalovirus infection. Nephrology 2021, 26, 369–370. [Google Scholar] [CrossRef] [PubMed]
- Swanson, K.J.; Djamali, A.; Jorgenson, M.R.; Misch, E.A.; Ghaffar, A.; Zhong, W.; Aziz, F.; Garg, N.; Mohamed, M.; Mandelbrot, D.; et al. Cytomegalovirus nephritis in kidney transplant recipients: Epidemiology and outcomes of an uncommon diagnosis. Transpl. Infect. Dis. 2021, 23, e13702. [Google Scholar] [CrossRef] [PubMed]
- Callemeyn, J.; Lamarthée, B.; Koenig, A.; Koshy, P.; Thaunat, O.; Naesens, M. Allorecognition and the spectrum of kidney transplant rejection. Kidney Int. 2022, 101, 692–710. [Google Scholar] [CrossRef]
- Rampersad, C.; Balshaw, R.; Gibson, I.W.; Ho, J.; Shaw, J.; Karpinski, M.; Goldberg, A.; Birk, P.; Rush, D.N.; Nickerson, P.W.; et al. The negative impact of T cell-mediated rejection on renal allograft survival in the modern era. Am. J. Transplant. 2022, 22, 761–771. [Google Scholar] [CrossRef]
- Udomkarnjananun, S.; Kerr, S.J.; Townamchai, N.; van Besouw, N.M.; Hesselink, D.A.; Baan, C.C. Donor-specific ELISPOT assay for predicting acute rejection and allograft function after kidney transplantation: A systematic review and meta-analysis. Clin. Biochem. 2021, 94, 1–11. [Google Scholar] [CrossRef]
- Mehta, R.B.; Melgarejo, I.; Viswanathan, V.; Zhang, X.; Pittappilly, M.; Randhawa, P.; Puttarajappa, C.; Sood, P.; Wu, C.; Sharma, A.; et al. Long-term immunological outcomes of early subclinical inflammation on surveillance kidney allograft biopsies. Kidney Int. 2022, 102, 1371–1381. [Google Scholar] [CrossRef]
- Loupy, A.; Haas, M.; Roufosse, C.; Naesens, M.; Adam, B.; Afrouzian, M.; Akalin, E.; Alachkar, N.; Bagnasco, S.; Becker, J.U.; et al. The Banff 2019 Kidney Meeting Report (I): Updates on and clarification of criteria for T cell- and antibody-mediated rejection. Am. J. Transplant. 2020, 20, 2318–2331. [Google Scholar] [CrossRef]
- Bishop, G.A.; Hall, B.M.; Duggin, G.G.; Horvath, J.S.; Sheil, A.G.; Tiller, D.J. Immunopathology of renal allograft rejection analyzed with monoclonal antibodies to mononuclear cell markers. Kidney Int. 1986, 29, 708–717. [Google Scholar] [CrossRef]
- Jeong, H.J.; Hong, S.W.; Kim, Y.S.; Kim, M.S.; Choi, I.H.; Park, K.; Choi, I.J. Interstitial mononuclear cell infiltrates in chronic rejection of the kidney and correlation with peripheral blood. J. Korean Med. Sci. 1996, 11, 489–494. [Google Scholar] [CrossRef] [PubMed]
- Girlanda, R.; Kleiner, D.E.; Duan, Z.; Ford, E.A.; Wright, E.C.; Mannon, R.B.; Kirk, A.D. Monocyte infiltration and kidney allograft dysfunction during acute rejection. Am. J. Transplant. 2008, 8, 600–607. [Google Scholar] [CrossRef]
- Desvaux, D.; Le Gouvello, S.; Pastural, M.; Abtahi, M.; Suberbielle, C.; Boeri, N.; Rémy, P.; Salomon, L.; Lang, P.; Baron, C. Acute renal allograft rejections with major interstitial oedema and plasma cell-rich infiltrates: High gamma-interferon expression and poor clinical outcome. Nephrol. Dial. Transplant. 2004, 19, 933–939. [Google Scholar] [CrossRef] [PubMed]
- Josephson, M.A.; Chiu, M.Y.; Woodle, E.S.; Thistlethwaite, J.R.; Haas, M. Drug-induced acute interstitial nephritis in renal allografts: Histopathologic features and clinical course in six patients. Am. J. Kidney Dis. 1999, 34, 540–548. [Google Scholar] [CrossRef] [PubMed]
- Dierickx, D.; Habermann, T.M. Post-Transplantation Lymphoproliferative Disorders in Adults. N. Engl. J. Med. 2018, 378, 549–562. [Google Scholar] [CrossRef]
- Francis, A.; Johnson, D.W.; Teixeira-Pinto, A.; Craig, J.C.; Wong, G. Incidence and predictors of post-transplant lymphoproliferative disease after kidney transplantation during adulthood and childhood: A registry study. Nephrol. Dial. Transplant. 2018, 33, 881–889. [Google Scholar] [CrossRef]
- Sprangers, B.; Riella, L.V.; Dierickx, D. Posttransplant Lymphoproliferative Disorder Following Kidney Transplantation: A Review. Am. J. Kidney Dis. 2021, 78, 272–281. [Google Scholar] [CrossRef]
- Dharnidharka, V.R.; Webster, A.C.; Martinez, O.M.; Preiksaitis, J.K.; Leblond, V.; Choquet, S. Post-transplant lymphoproliferative disorders. Nat. Rev. Dis. Primers 2016, 2, 15088. [Google Scholar] [CrossRef]






| Biopsy-Proven BKVAN Class 1 | Biopsy-Proven BKVAN Class 2 | Biopsy-Proven BKVAN Class 3 | |||
|---|---|---|---|---|---|
| pvl | ci | pvl | ci | pvl | ci |
| 1 (viral replication ≤ 1% of all tubules) | 0–1 (interstitial fibrosis ≤ 5% of cortical area) | 1 (viral replication ≤ 1% of all tubules) | 2–3 (interstitial fibrosis > 25% of cortical area) | - | - |
| - | - | 2 (viral replication > 1% to ≤10% of all tubules) | 0–3 (any interstitial fibrosis) | - | - |
| - | - | 3 (viral replication > 10% of all tubules) | 0–1 (interstitial fibrosis ≤ 5% of cortical area) | 3 (viral replication > 10% of all tubules) | 2–3 (interstitial fibrosis > 25% of cortical area) |
| Conditions | Incidence | Clinical Presentation | Kidney Allograft Pathology | Treatment |
|---|---|---|---|---|
| Bacterial pyelonephritis | 20–70% of KTR. | Fever, dysuria, allograft pain, allograft dysfunction. | Neutrophilic tubulitis and interstitial inflammation; PMN casts in tubular lumen. | Antibiotics |
| BKVAN | 1–10% of KTR (BK viremia in 10–20% of KTR). | Allograft dysfunction, usually no systemic symptoms, can present with hematuria or hemorrhagic cystitis. | Mononuclear cell infiltration, viral nuclear inclusion changes (typically enlarged dense basophilic smudgy nuclear inclusions), positive SV40 IHC, 40 nm viral particle from EM. | Immunosuppressive medication reduction is the mainstay treatment. Second-line treatments include switching MPA to mTORi or leflunomide, switching tacrolimus to CsA, IVIG, or cidofovir. |
| JCV-associated nephropathy | Rare (true incidence is unknown, probably less than 1% of KTR). | Chronic allograft dysfunction, present with later post-transplant period compared to BKVAN. | Indistinguishable from BKVAN; the literature shows higher degree of chronicity in the allograft tissue than in BKVAN, positive SV40 IHC, and 40 nm viral particle from EM. | Immunosuppressive medication reduction is the mainstay treatment. |
| CMV nephritis | Rare (approximately 0.2% of KTR). | Allograft dysfunction, fever, diarrhea, leukopenia, presence of high level CMV viremia or CMV disease in other organs such as pneumonitis, hepatitis, or colitis. | Mononuclear interstitial inflammation, typical peri-nuclear halo (owl’s eye) inclusion, viral inclusion in both nuclei and cytoplasm, viral cytopathic change in glomeruli (infected endothelial cells), 150–200 nm viral particle from EM. | Ganciclovir or valganciclovir are the first-line treatment, with a reduction in immunosuppressive medications. Foscarnet or cidofovir are used for drug resistant CMV infection. |
| Adenovirus nephritis | Rare (true incidence is unknown, probably less than 0.5% of KTR). | Allograft dysfunction, fever, gross or microscopic hematuria, can present with systemic involvement such as hemorrhagic cystitis, pneumonia, hepatitis. | Marked tubular necrosis and interstitial inflammation with mononuclear cell infiltration, mimicking cortical necrosis, hemorrhagic interstitial nephritis, granuloma formation, viral nuclear inclusion changes, and 70–80 nm viral particle from EM. | Immunosuppressive medication reduction is the mainstay treatment. Second-line treatments include IVIG or cidofovir. |
| Drug-induced interstitial nephritis | The true incidence is unknown. | Allograft dysfunction or subclinical inflammation, eosinophilia, or skin rash (not always present), suspected drug such as sulfa, antibiotics, NSAIDs, PPIs, or allopurinol. | High number of eosinophilic interstitial inflammation, requiring the exclusion of other diseases. | Stop potentially offending medications; short-course corticosteroid can be considered. |
| TCMR | From 5 to 15% (clinical TCMR) to 30% of KTR (including subclinical TCMR) in the first transplant year. | Allograft dysfunction or subclinical inflammation, usually without systemic symptoms. | Mononuclear cell infiltration in the interstitial area with tubulitis or intimal arteritis. | Corticosteroid, anti-thymocyte globulin, intensification of maintenance immunosuppression. |
| PTLD | 5-year cumulative incidence 0.8% 25-year cumulative incidence 3.3%. | Allograft dysfunction, EBV-negative recipient serology (early-onset PTLD tends to be EBV-driven and involves the allograft), unrecognized or prolonged fever, weight loss. | Monomorphic mononuclear cell infiltration in the interstitium, with absence or minimal tubulitis and classification based on the World Health Organization’s classification of PTLD. | Immunosuppressive medication reduction, rituximab in CD20+ PTLD, chemotherapy. |
Disclaimer/Publisher’s Note: The statements, opinions and data contained in all publications are solely those of the individual author(s) and contributor(s) and not of MDPI and/or the editor(s). MDPI and/or the editor(s) disclaim responsibility for any injury to people or property resulting from any ideas, methods, instructions or products referred to in the content. |
© 2023 by the authors. Licensee MDPI, Basel, Switzerland. This article is an open access article distributed under the terms and conditions of the Creative Commons Attribution (CC BY) license (https://creativecommons.org/licenses/by/4.0/).
Share and Cite
Udomkarnjananun, S.; Iampenkhae, K. Pathological Approach to Kidney Allograft Infection. Biomedicines 2023, 11, 1902. https://doi.org/10.3390/biomedicines11071902
Udomkarnjananun S, Iampenkhae K. Pathological Approach to Kidney Allograft Infection. Biomedicines. 2023; 11(7):1902. https://doi.org/10.3390/biomedicines11071902
Chicago/Turabian StyleUdomkarnjananun, Suwasin, and Kroonpong Iampenkhae. 2023. "Pathological Approach to Kidney Allograft Infection" Biomedicines 11, no. 7: 1902. https://doi.org/10.3390/biomedicines11071902
APA StyleUdomkarnjananun, S., & Iampenkhae, K. (2023). Pathological Approach to Kidney Allograft Infection. Biomedicines, 11(7), 1902. https://doi.org/10.3390/biomedicines11071902

