Involvement of the Superior Colliculus in SIDS Pathogenesis
Abstract
1. Introduction
2. Materials and Methods
2.1. Study Subjects
2.1.1. SIDS Group
2.1.2. Control Group
2.2. Risk Factor Information
2.3. Neuropathological Examination
2.4. Statistical Methods
2.5. Consent
3. Results
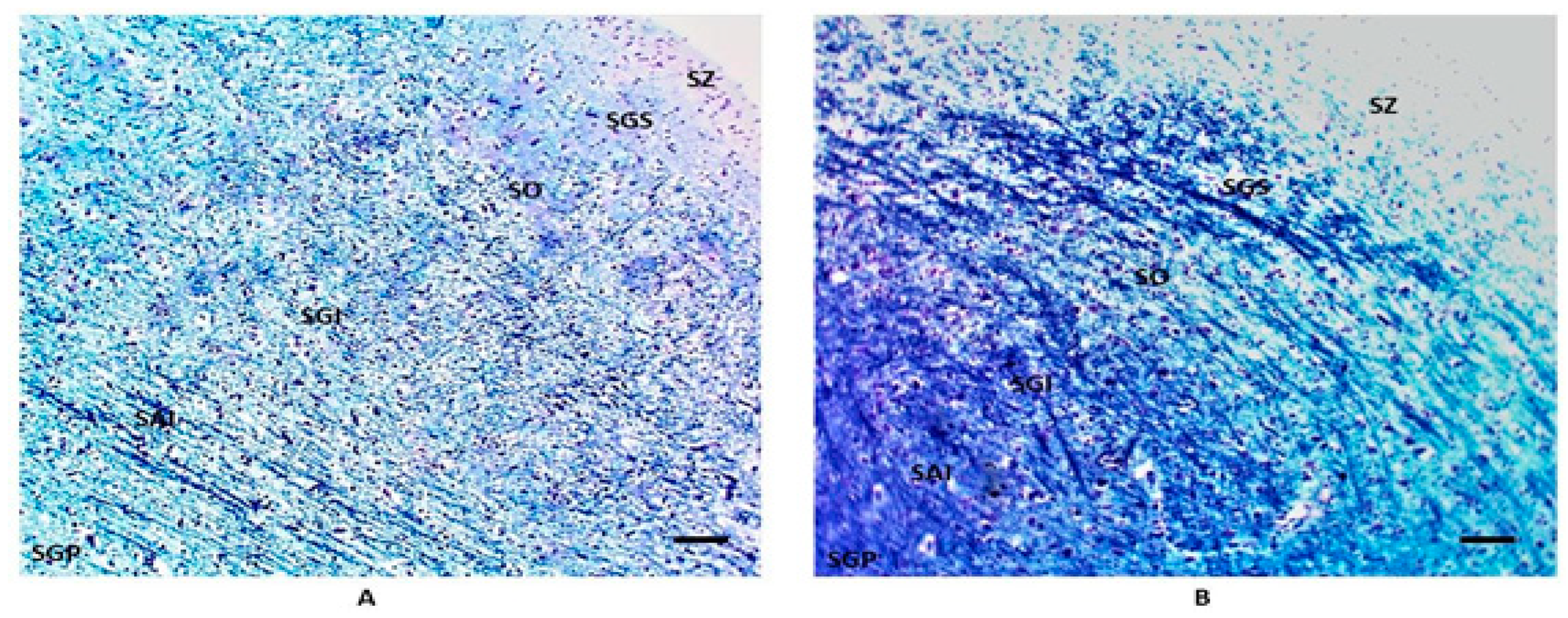
3.1. Morphological Examination of the SC
3.2. Correlation between SC Abnormalities and Preventable Risk Factors
4. Discussion
4.1. Smoking, a Universally Recognized Risk Factor for SIDS
4.2. Interpretation of the Histological Changes
5. Conclusions
Author Contributions
Funding
Institutional Review Board Statement
Informed Consent Statement
Data Availability Statement
Acknowledgments
Conflicts of Interest
Abbreviations
References
- Krous, H.F.; Beckwith, J.B.; Byard, R.W.; Rognum, T.O.; Bajanowski, T.; Corey, T.; Cutz, E.; Hanzlick, R.; Keens, T.G.; Mitchell, E.A. Sudden infant death syndrome and unclassified sudden infant deaths: A definitional and diagnostic approach. Pediatrics 2004, 114, 234–238. [Google Scholar] [CrossRef] [PubMed]
- AAP (American Academy of Pediatrics). Task Force on Infant Positioning and SIDS. Pediatrics 1992, 89, 1120–1126. [Google Scholar] [CrossRef]
- Guntheroth, W.G.; Spiers, P.S. Sleeping prone and the risk of sudden infant death syndrome. JAMA 1992, 267, 2359–2362. [Google Scholar] [CrossRef]
- Willinger, M.; Hoffman, H.J.; Hartford, R.B. Infant sleep position and risk for sudden infant death syndrome: Report of meeting held January 13 and 14, 1994, National Institutes of Health, Bethesda, MD. Pediatrics 1994, 93, 814–819. [Google Scholar] [CrossRef]
- American Academy of Pediatrics Task Force on Infant Positioning and SIDS. Positioning and sudden infant death syndrome (SIDS): Update. Pediatrics 1996, 98 Pt 1, 1216–1218. [Google Scholar] [CrossRef]
- Carpenter, R.; Fleming, P.J.; Bacon, C.; Taylor, E.; Smith, I.; Morley, C.; Blair, P.S.P.; Bensley, D. ECAS European Concerted Action on SIDS. An. Españoles De Pediatr. 1997, 92, 21. [Google Scholar]
- Bergma, N.J. Proposal for mechanisms of protection of supine sleep against sudden infant death syndrome: An integrated mechanism review. Pediatr. Res. 2015, 77, 10–19. [Google Scholar] [CrossRef] [PubMed]
- Bednarczu, k.N.; Milner, A.; Greenough, A. The Role of Maternal Smoking in Sudden Fetal and Infant Death Pathogenesis. Front Neurol. 2020, 11, 586068. [Google Scholar] [CrossRef]
- Lijowska, A.S.; Reed, N.W.; Chiodini, B.A.; Thach, B.T. Sequential arousal and airway-defensive behavior of infants in asphyxial sleep environments. J. Appl. Physiol. 1997, 83, 219–228. [Google Scholar] [CrossRef]
- Kahn, A.; Groswasser, J.; Franco, P.; Scaillet, S.; Sawaguchi, T.; Kelmanson, I.; Dan, B. Sudden infant deaths: Stress, arousal and SIDS. Early Hum. Dev. 2003, 75, S147–S166. [Google Scholar] [CrossRef]
- Kato, I.; Franco, P.; Groswasser, J.; Scaillet, S.; Kelmanson, I.; Togari, H.; Kahn, A. Incomplete arousal processes in infants who were victims of sudden death. Am. J. Respir. Crit. Care Med. 2003, 168, 1298–1303. [Google Scholar] [CrossRef]
- Hunt, C.E. Impaired arousal from sleep: Relationship to sudden infant death syndrome. J. Perinatol. 1989, 9, 184–187. [Google Scholar] [PubMed]
- Lavezzi, A.M. Altered Development of Mesencephalic Dopaminergic Neurons in SIDS: New Insights into Understanding Sudden Infant Death Pathogenesis. Biomedicines 2021, 9, 1534. [Google Scholar] [CrossRef]
- Hilaire, G. Endogenous noradrenaline affects the maturation and function of the respiratory network: Possible implication for SIDS. Auton. Neurosci. 2006, 126–127, 320–331. [Google Scholar] [CrossRef] [PubMed]
- Lavezzi, A.M.; Weese-Mayer, D.E.; Yu, M.Y.; Jenning, L.J.; Corna, M.F.; Casale, V.; Oneda, R.; Matturri, L. Developmental alterations of the respiratory human retrotrapezoid nucleus in sudden unexplained fetal and infant death. Auton. Neurosci. 2012, 170, 12–19. [Google Scholar] [CrossRef] [PubMed]
- Obonai, T.; Yasuhara, M.; Nakamura, T.; Takashima, S. Catecholamine neurons alteration in the brainstem of sudden infant death syndrome victims. Pediatrics 1998, 101, 285–288. [Google Scholar] [CrossRef] [PubMed]
- Bright, F.M.; Vink, R.; Byard, R.W. Brainstem Neuropathology in Sudden Infant Death Syndrome. In SIDS Sudden Infant and Early Childhood Death: The Past, the Present and the Future; Duncan, J.R., Byard, R.W., Eds.; University of Adelaide Press: Adelaide, Australia, 2018; Chapter 26. [Google Scholar]
- Haynes, R. Serotonin Abnormalities in the Brainstem of Sudden Infant Death Syndrome. In Diagnostic Pediatric Pathology; Cohen, M., Scheimberg, I., Beckwith, J., Hauck, F., Investigation of Sudden Infant Death Syndrome, Eds.; Cambridge University Press: Cambridge, UK, 2019; pp. 195–206. [Google Scholar]
- Zubricky, R.D.; Das, M.J. Neuroanatomy, Superior Colliculus. In StatPearls [Internet]; StatPearls Publishing: Treasure Island, FL, USA, 2022. Available online: https://www.ncbi.nlm.nih.gov/books/NBK544224/ (accessed on 25 July 2022).
- Gandhi, N.J.; Katnani, H.A. Motor functions of the superior colliculus. Annu Rev Neurosci. 2011, 34, 205–231. [Google Scholar] [CrossRef]
- May, P.J. The mammalian superior colliculus: Laminar structure and connections. Prog. Brain Res. 2006, 151, 321–378. [Google Scholar]
- Moschovakis, A.K. The superior colliculus and eye movement control. Curr. Opin. Neurobiol. 1996, 6, 811–816. [Google Scholar] [CrossRef]
- Sparks, D.L. Translation of sensory signals into commands for control of saccadic eye movements: Role of primate superior colliculus. Physiol. Rev. 1986, 66, 118–171. [Google Scholar] [CrossRef]
- Corneil, B.D.; Olivier, E.; Munoz, D.P. Neck muscle responses to stimulation of monkey superior colliculus. I. Topography and manipulation of stimulation parameters. J. Neurophysiol. 2002, 88, 1980–1999. [Google Scholar] [CrossRef] [PubMed]
- Müller-Ribeiro, F.C.; Goodchild, A.K.; McMullan, S.; Fonte, M.A.; Dampney, R.A. Coordinated autonomic and respiratory responses evoked by alerting stimuli: Role of the midbrain colliculi. Respir. Physiol. Neurobiol. 2016, 226, 87–93. [Google Scholar] [CrossRef] [PubMed]
- Keay, K.A.; Redgrave, P.; Dean, P. Cardiovascular and respiratory changes elicited by stimulation of rat superior colliculus. Brain Res. Bull. 1988, 20, 13–26. [Google Scholar] [CrossRef] [PubMed]
- Cohen, J.D.; Castro-Alamancos, M.A. Neural correlates of active avoidance behavior in superior colliculus. J. Neurosci. 2010, 30, 8502–8511. [Google Scholar] [CrossRef] [PubMed]
- Westby, G.W.; Keay, K.A.; Redgrave, P.; Dean, P.; Bannister, M. Output pathways from the rat superior colliculus mediating approach and avoidance have different sensory properties. Exp. Brain Res. 1990, 81, 626–638. [Google Scholar] [CrossRef] [PubMed]
- Dean, P.; Redgrave, P.; Westby, G.W. Event or emergency? Two response systems in the mammalian superior colliculus. Trends Neurosci. 1989, 12, 137–147. [Google Scholar] [CrossRef] [PubMed]
- Guntheroth, W.G. The Sudden Infant Death Syndrome; Futura Pub, Co.: Armonk, NY, USA, 1995; p. 201. [Google Scholar]
- Klüver, H.; Barrera, E. A method for the combined staining of cells and fibers in the nervous system. J. Neuropathol. Exp. Neurol. 1953, 12, 400–403. [Google Scholar] [CrossRef]
- Lavezzi, A.M.; Ferrero, S.; Roncati, L.; Matturri, L.; Pusiol, T. Impaired orexin receptor expression in the Kölliker-Fuse nucleus in sudden infant death syndrome: Possible involvement of this nucleus in arousal pathophysiology. Neurol. Res. 2016, 38, 706–716. [Google Scholar] [CrossRef]
- Lavezzi, A.M.; Ferrero, S.; Paradiso, B.; Chamitava, L.; Piscioli, F.; Pusiol, T. Neuropathology of Early Sudden Infant Death Syndrome-Hypoplasia of the Pontine Kolliker-Fuse Nucleus: A Possible Marker of Unexpected Collapse during Skin-to-Skin Care. Am. J. Perinatol. 2019, 36, 460–471. [Google Scholar] [CrossRef]
- Lavezzi, A.M.; Poloniato, A.; Rovelli, R.; Lorioli, L.; Iasi, G.A.; Pusiol, T.; Barera, G.; Ferrero, S. Massive Amniotic Fluid Aspiration in a Case of Sudden Neonatal Death with Severe Hypoplasia of the Retrotrapezoid/Parafacial Respiratory Group. Front. Pediatr. 2019, 7, 116. [Google Scholar]
- Landis, R.J.; Koch, G.G. The measurement of observer agreement for categorical data. Biometrics 1977, 33, 159–174. [Google Scholar] [CrossRef] [PubMed]
- Constitution of the Italian Republic, Law n. 31. Regulations for diagnostic post-mortem investigation in victims of sudden infant death syndrome (SIDS) and unexpected fetal death. Off. Gaz. Ital. Repub. Gen. Ser. 2006, 34, 4. Available online: http://users.unimi.it/centrolinorossi/files/gazz_ufficiale.pdf (accessed on 6 February 2006).
- Kanesaki, T.; Sprague, J.M. Anatomical organization of pretectal nuclei and tectal laminae in the cat. J. Comp. Neurol. 1974, 158, 319–338. [Google Scholar] [CrossRef]
- King, A.J. The superior colliculus. Curr. Biol. 2004, 14, R335–R338. [Google Scholar] [CrossRef] [PubMed]
- Basso, M.A.; Bickford, M.E.; Cang, J. Unraveling circuits of visual perception and cognition through the superior colliculus. Neuron 2021, 109, 918–937. [Google Scholar] [CrossRef]
- Basso, M.A.; May, P.J. Circuits for Action and Cognition: A View from the Superior Colliculus. Annu. Rev. Vis. Sci. 2017, 3, 197–226. [Google Scholar] [CrossRef]
- Méndez, C.A.; Celeghin, A.; Diano, M.; Orsenigo, D.; Ocak, B.; Tamietto, M. A deep neural network model of the primate superior colliculus for emotion recognition. Philos. Trans. R. Soc. Lond B Biol. Sci. 2022, 377, 20210512. [Google Scholar] [CrossRef]
- Jure, R. Autism Pathogenesis: The Superior Colliculus. Front. Neurosci. 2019, 12, 1029. [Google Scholar] [CrossRef]
- Jure, R. The “Primitive Brain Dysfunction” Theory of Autism: The Superior Colliculus Role. Front. Integr. Neurosci. 2022, 16, 797391. [Google Scholar] [CrossRef]
- May, P.J.; Porter, J.D. The laminar distribution of macaque tectobulbar and tectospinal neurons. Vis. Neurosci. 1992, 8, 257–276. [Google Scholar] [CrossRef]
- Perkins, E.; Warren, S.; May, P.J. The mesencephalic reticular formation as a conduit for primate collicular gaze control: Tectal inputs to neurons targeting the spinal cord and medulla. Anat. Rec. 2009, 292, 1162–1181. [Google Scholar] [CrossRef] [PubMed]
- Mitchell, E.A.; Ford, R.P.; Stewart, A.W.; Taylor, B.J.; Becroft, D.M.; Thompson, J.M.; Scragg, R.; Hassall, I.B.; Barry, D.M.; Allen, E.M.; et al. Smoking and the sudden infant death syndrome. Pediatrics 1993, 91, 893–896. [Google Scholar] [CrossRef] [PubMed]
- Schoendorf, K.C.; Kiely, J.L. Relationship of sudden infant death syndrome to maternal smoking during and after pregnancy. Pediatrics 1992, 90, 905–908. [Google Scholar] [CrossRef] [PubMed]
- Slotkin, T.A.; Lappi, S.E.; McCook, E.C.; Lorber, B.A.; Seidler, F.J. Loss of neonatal hypoxia tolerance after prenatal nicotine exposure: Implications for sudden infant death syndrome. Brain Res. Bull. 1995, 38, 69–75. [Google Scholar] [CrossRef]
- Anderson, T.M.; Lavista Ferres, J.M.; Ren, S.Y.; Moon, R.Y.; Goldstein, R.D.; Ramirez, J.M.; Mitchell, E.A. Maternal Smoking Before and During Pregnancy and the Risk of Sudden Unexpected Infant Death. Pediatrics 2019, 143, e20183325. [Google Scholar] [CrossRef]
- Ernst, A.; Zibrak, J.D. Carbon monoxide poisoning. N. Engl. J. Med. 1998, 339, 1603–1608. [Google Scholar] [CrossRef]
- Palmeri, R.; Gupta, V. Carboxyhemoglobin Toxicity. In StatPearls [Internet]; StatPearls Publishing: Treasure Island, FL, USA, 2022. [Google Scholar]
- Patel, S.; Jose, A.; Mohiuddin, S.S. Physiology, Oxygen Transport and Carbon Dioxide Dissociation Curve. In StatPearls [Internet]; StatPearls Publishing: Treasure Island, FL, USA, 2022. [Google Scholar]
- Raub, J.A.; Benignus, V.A. Carbon monoxide and the nervous system. Neurosci. Biobehav. Rev. 2002, 26, 925–940. [Google Scholar] [CrossRef]
- Celio, M.R.; Spreafico, R.; De Biasi, S.; Vitellaro-Zuccarello, L. Perineuronal nets: Past and present. Trends Neurosci. 1998, 21, 510–515. [Google Scholar] [CrossRef]
- Thach, B.T.; Lijowska, A. Arousals in infants. Sleep 1996, 19 (Suppl. S10), S271–S273. [Google Scholar] [CrossRef]
- Lavezzi, A.M.; Pusiol, T.; Matturri, L. Cytoarchitectural and functional abnormalities of the inferior colliculus in sudden unexplained perinatal death. Medicine 2015, 94, e487. [Google Scholar] [CrossRef]
- Lavezzi, A.M.; Ottaviani, G.; Matturri, L. Developmental alterations of the auditory brainstem centers--pathogenetic implications in Sudden Infant Death Syndrome. J. Neurol. Sci. 2015, 357, 257–263. [Google Scholar] [CrossRef] [PubMed]
- Redgrave, P.; Coizet, V.; Comoli, E.; McHaffie, J.G.; Leriche, M.; Vautrelle, N.; Hayes, L.M.; Overton, P. Interactions between the Midbrain Superior Colliculus and the Basal Ganglia. Front. Neuroanat. 2010, 4, 132. [Google Scholar] [CrossRef] [PubMed]
- Lord, C.; Elsabbagh, M.; Baird, G.; Veenstra-Vanderweele, J. Autism spectrum disorder. Lancet 2018, 392, 508–520. [Google Scholar] [CrossRef]
- Faraone, S.V.; Asherson, P.; Banaschewski, T.; Biederman, J.; Buitelaar, J.K.; Ramos-Quiroga, J.A.; Rohde, L.A.; Sonuga-Barke, E.J.; Tannock, R.; Franke, B. Attention-deficit/hyperactivity disorder. Nat. Rev. Dis. Prim. 2015, 1, 15020. [Google Scholar] [CrossRef] [PubMed]
- Gold, W.A.; Krishnarajy, R.; Ellaway, C.; Christodoulou, J. Rett Syndrome: A Genetic Update and Clinical Review Focusing on Comorbidities. ACS Chem. Neurosci. 2018, 9, 167–176. [Google Scholar] [CrossRef] [PubMed]
- Thompson, J.; Lovicu, F.; Ziman, M. The role of Pax7 in determining the cytoarchitecture of the superior colliculus. Dev. Growth Differ. 2004, 46, 213–218. [Google Scholar] [CrossRef]
- Filiano, J.J.; Kinney, H.C. A perspective on neuropathologic findings in victims of the sudden infant death syndrome: The triple-risk model. Biol. Neonate 1994, 65, 194–197. [Google Scholar] [CrossRef]




| Variables | SIDS | Control | Total | p-Value | 
|---|---|---|---|---|
| SC cytoarchitecture | ||||
| Normal | 8 | 18 | 26 | <0.05 | 
| Alterations | 18 | 0 | 18 | |
| Maternal smoking | ||||
| Smoker | 15 | 3 | 18 | 0.006 | 
| Non-smoker | 11 | 15 | 26 | |
| Sleep position | ||||
| Prone | 19 | 0 | 19 | <0.05 | 
| Supine | 6 | 8 | 14 | |
| On their side | 0 | 1 | 1 | |
| Other situation | 1 | 9 | 10 | |
| Disclaimer/Publisher’s Note: The statements, opinions and data contained in all publications are solely those of the individual author(s) and contributor(s) and not of MDPI and/or the editor(s). MDPI and/or the editor(s) disclaim responsibility for any injury to people or property resulting from any ideas, methods, instructions or products referred to in the content. | 
© 2023 by the authors. Licensee MDPI, Basel, Switzerland. This article is an open access article distributed under the terms and conditions of the Creative Commons Attribution (CC BY) license (https://creativecommons.org/licenses/by/4.0/).
Share and Cite
Lavezzi, A.M.; Mehboob, R.; Piscioli, F.; Pusiol, T. Involvement of the Superior Colliculus in SIDS Pathogenesis. Biomedicines 2023, 11, 1689. https://doi.org/10.3390/biomedicines11061689
Lavezzi AM, Mehboob R, Piscioli F, Pusiol T. Involvement of the Superior Colliculus in SIDS Pathogenesis. Biomedicines. 2023; 11(6):1689. https://doi.org/10.3390/biomedicines11061689
Chicago/Turabian StyleLavezzi, Anna M., Riffat Mehboob, Francesco Piscioli, and Teresa Pusiol. 2023. "Involvement of the Superior Colliculus in SIDS Pathogenesis" Biomedicines 11, no. 6: 1689. https://doi.org/10.3390/biomedicines11061689
APA StyleLavezzi, A. M., Mehboob, R., Piscioli, F., & Pusiol, T. (2023). Involvement of the Superior Colliculus in SIDS Pathogenesis. Biomedicines, 11(6), 1689. https://doi.org/10.3390/biomedicines11061689
 
        

 
       