Muscle and Muscle-like Autoantigen Expression in Myasthenia Gravis Thymus: Possible Molecular Hint for Autosensitization
Abstract
1. Introduction
2. Results
2.1. Altered Expression of Muscle Autoantigens in Hyperplastic and Thymoma MG Thymuses
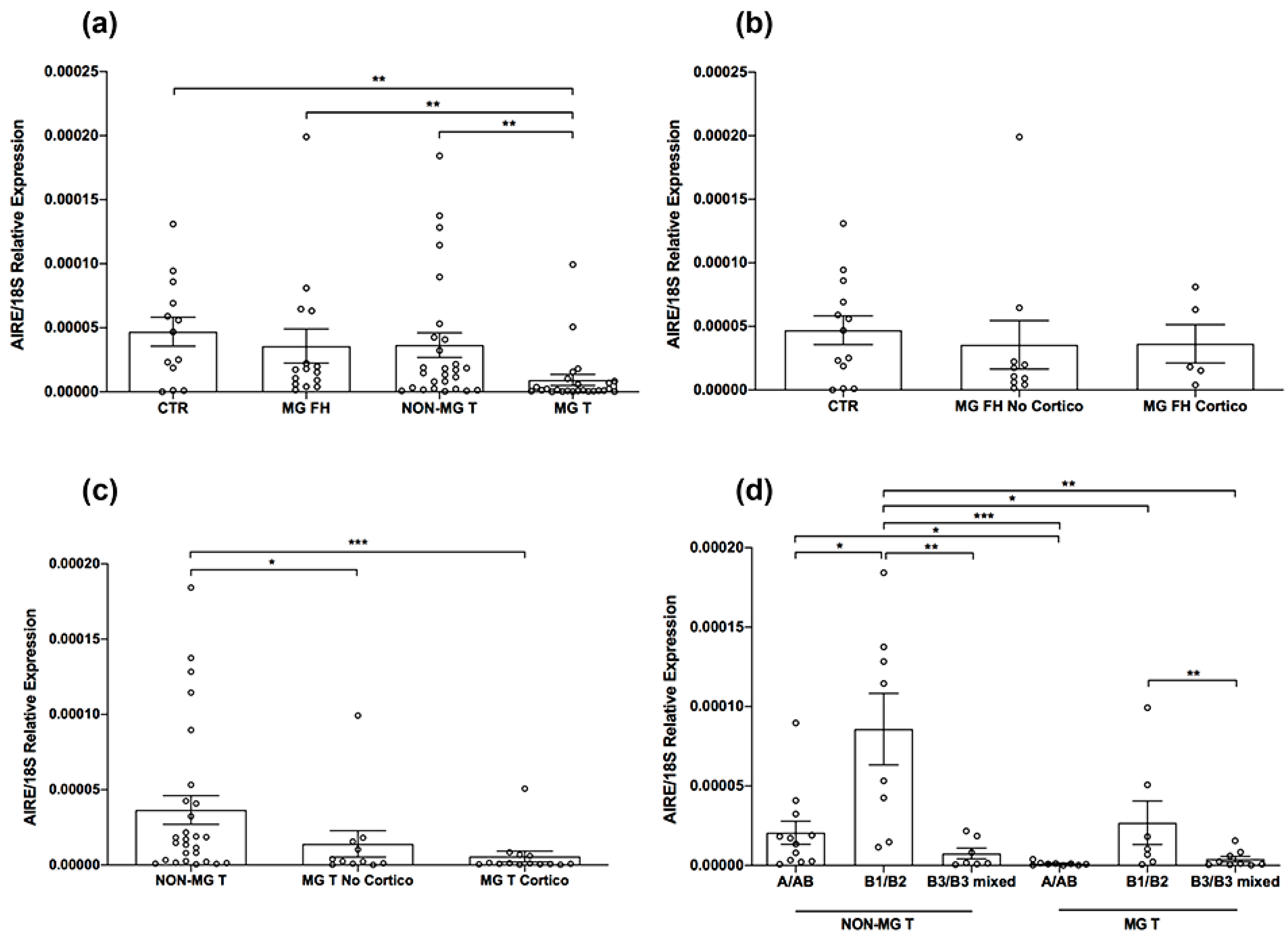
2.2. Decreased Expression of AIRE in MG Thymomas
2.3. NEFM, RYR3, and HSP60 as Potential Muscle-like Autoantigens Underlying Molecular Mimicry in MG Thymus
2.4. Heatmap of Muscle and Muscle-like Autoantigenes in MG and Control Thymuses
2.5. Autoantibody Status and Intra-Thymic Muscle and Muscle-like Autoantigen Expression
3. Discussion
4. Conclusions
5. Materials and Methods
5.1. Patients and Biological Samples
5.2. RNA Isolation
5.3. Reverse Transcription and Real-Time PCR
5.4. Quantification of Anti-AChR, -RYR1, -TTN, and -HSP60 Antibodies
5.5. Statistical Analysis
Author Contributions
Funding
Institutional Review Board Statement
Informed Consent Statement
Data Availability Statement
Conflicts of Interest
References
- Gilhus, N.E.; Tzartos, S.; Evoli, A.; Palace, J.; Burns, T.M.; Verschuuren, J.J.G.M. Myasthenia Gravis. Nat. Rev. Dis. Prim. 2019, 5, 30. [Google Scholar] [CrossRef] [PubMed]
- Lazaridis, K.; Tzartos, S.J. Autoantibody Specificities in Myasthenia Gravis; Implications for Improved Diagnostics and Therapeutics. Front. Immunol. 2020, 11, 212. [Google Scholar] [CrossRef] [PubMed]
- Cron, M.A.; Maillard, S.; Villegas, J.; Truffault, F.; Sudres, M.; Dragin, N.; Berrih-Aknin, S.; Le Panse, R. Thymus involvement in early-onset myasthenia gravis. Ann. N. Y. Acad. Sci. 2018, 1412, 137–145. [Google Scholar] [CrossRef] [PubMed]
- Marx, A.; Willcox, N.; Leite, M.I.; Chuang, W.Y.; Schalke, B.; Nix, W.; Ströbel, P. Thymoma and paraneoplastic myasthenia gravis. Autoimmunity 2010, 43, 413–427. [Google Scholar] [CrossRef]
- Wolfe, G.I.; Kaminski, H.J.; Aban, I.B.; Minisman, G.; Kuo, H.C.; Marx, A.; Ströbel, P.; Mazia, C.; Oger, J.; Cea, J.G.; et al. Randomized trial of thymectomy in myasthenia gravis. N. Engl. J. Med. 2016, 375, 511–522. [Google Scholar] [CrossRef]
- Wolfe, G.I.; Kaminski, H.J.; Aban, I.B.; Minisman, G.; Kuo, H.C.; Marx, A.; Ströbel, P.; Mazia, C.; Oger, J.; Cea, J.G.; et al. Long-term effect of thymectomy plus prednisone versus prednisone alone in patients with non-thymomatous myasthenia gravis: 2-year extension of the MGTX randomised trial. Lancet Neurol. 2019, 18, 259–268. [Google Scholar] [CrossRef]
- Müller-Hermelink, H.K.; Marx, A.; Kirchner, T. Thymus. In Anderson’s Pathology; Damianov, I., Lindner, J., Eds.; Mosby Year-Book: St. Louis, MI, USA, 1996; Volume I, pp. 1218–1243. [Google Scholar]
- Berrih-Aknin, S. Role of the thymus in autoimmune myasthenia gravis. Clin. Exp. Neuroimmunol. 2016, 7, 226–237. [Google Scholar] [CrossRef]
- Cavalcante, P.; Le Panse, R.; Berrih-Aknin, S.; Maggi, L.; Antozzi, C.; Baggi, F.; Bernasconi, P.; Mantegazza, R. The thymus in myasthenia gravis: Site of “innate autoimmunity”? Muscle Nerve 2011, 44, 467–484. [Google Scholar] [CrossRef]
- Mesnard-Roullier, L.; Bismuth, J.; Wakkach, A.; Poëa-Guyon, S.; Berrih-Aknin, S. Thymic myoid cells express high levels of muscle genes. J. Neuroimmunol. 2004, 14, 97–105. [Google Scholar] [CrossRef]
- Schluep, M.; Willcox, N.; Vincent, A.; Dhoot, G.K.; Newsom-Davis, J. Acetylcholine receptors in human thymic myoid cells in situ: An immunohistological study. Ann. Neurol. 1987, 22, 212–222. [Google Scholar] [CrossRef]
- Marx, A.; Osborn, M.; Tzartos, S.; Geuder, K.I.; Schalke, B.; Nix, W.; Kirchner, T.; Müller-Hermelink, H.K. A striational muscle antigen and myasthenia gravis-associated thymomas share an acetylcholine-receptor epitope. Dev. Immunol. 1992, 2, 77–84. [Google Scholar] [CrossRef] [PubMed]
- Romi, F.; Bø, L.; Skeie, G.O.; Myking, A.; Aarli, J.A.; Gilhus, N.E. Titin and ryanodine receptor epitopes are expressed in cortical thymoma along with costimulatory molecules. J. Neuroimmunol. 2002, 128, 82–89. [Google Scholar] [CrossRef] [PubMed]
- Siara, J.; Rüdel, R.; Marx, A. Absence of acetylcholine-induced current in epithelial cells from thymus glands and thymomas of myasthenia gravis patients. Neurology 1991, 41, 128. [Google Scholar] [CrossRef] [PubMed]
- Wakkach, A.; Guyon, T.; Bruand, C.; Tzartos, S.; Cohen-Kaminsky, S.; Berrih-Aknin, S. Expression of acetylcholine receptor genes in human thymic epithelial cells: Implications for myasthenia gravis. J. Immunol. 1996, 157, 3752–3760. [Google Scholar] [CrossRef] [PubMed]
- Kyewski, B.; Klein, L. A central role for central tolerance. Annu. Rev. Immunol. 2006, 24, 571–606. [Google Scholar] [CrossRef] [PubMed]
- Villadangos, J.A.; Heath, W.R.; Carbone, F.R. Outside looking in: The inner workings of the cross-presentation pathway within dendritic cells. Trends Immunol. 2007, 28, 45–47. [Google Scholar] [CrossRef] [PubMed]
- Giraud, M.; Taubert, R.; Vandiedonck, C.; Ke, X.; Lévi-Strauss, M.; Pagani, F.; Baralle, F.E.; Eymard, B.; Tranchant, C.; Gajdos, P.; et al. An IRF8-binding promoter variant and AIRE control CHRNA1 promiscuous expression in thymus. Nature 2007, 448, 934–937. [Google Scholar] [CrossRef]
- Maggi, L.; Andreetta, F.; Antozzi, C.; Baggi, F.; Bernasconi, P.; Cavalcante, P.; Cornelio, F.; Muscolino, G.; Novellino, L.; Mantegazza, R. Thymoma-associated myasthenia gravis: Outcome, clinical and pathological correlations in 197 on a 20-year experience. J. Neuroimmunol. 2008, 201–202, 237–244. [Google Scholar] [CrossRef]
- Bernard, C.; Frih, H.; Pasquet, F.; Kerever, S.; Jamilloux, Y.; Tronc, F.; Guibert, B.; Isaac, S.; Devouassoux, M.; Chalabreysse, L.; et al. Thymoma associated with autoimmune diseases: 85 cases and literature review. Autoimmun. Rev. 2016, 15, 82–92. [Google Scholar] [CrossRef]
- Okumura, M.; Shiono, H.; Minami, M.; Inoue, M.; Utsumi, T.; Kadota, Y.; Sawa, Y. Clinical and pathological aspects of thymic epithelial tumors. Gen. Thorac. Cardiovasc. Surg. 2008, 56, 10–16. [Google Scholar] [CrossRef]
- Marx, A.; Ströbel, P.; Badve, S.S.; Chalabreysse, L.; Chan, J.K.C.; Chen, G.; de Leval, L.; Detterbeck, F.; Girard, N.; Huang, J.; et al. ITMIG consensus statement on the use of the WHO histological classification of thymoma and thymic carcinoma: Refined definitions, histological criteria, and reporting. J. Thorac. Oncol. 2014, 9, 596–611. [Google Scholar] [CrossRef] [PubMed]
- Travis, W.D.; Brambilla, E.; Burke, A.P.; Marx, A.; Nicholson, A.G. Introduction to the 2015 World Health Organization Classification of Tumors of the Lung, Pleura, Thymus, and Heart. J. Thorac. Oncol. 2015, 10, 1240–1242. [Google Scholar] [CrossRef] [PubMed]
- Marx, A.; Porubsky, S.; Belharazem, D.; Saruhan-Direskeneli, G.; Schalke, B.; Ströbel, P.; Weis, C.A. Thymoma related myasthenia gravis in humans and potential animal models. Exp. Neurol. 2015, 270, 55–65. [Google Scholar] [CrossRef] [PubMed]
- Liu, Y.; Zhang, H.; Zhang, P.; Meng, F.; Chen, Y.; Wang, Y.; Yao, Y.; Qi, B. Autoimmune regulator expression in thymomas with or without autoimmune disease. Immunol. Lett. 2014, 161, 50–56. [Google Scholar] [CrossRef] [PubMed]
- Romi, F.; Skeie, G.O.; Gilhus, N.E.; Aarli, J.A. Striational antibodies in myasthenia gravis: Reactivity and possible clinical significance. Arch. Neurol. 2005, 62, 442–446. [Google Scholar] [CrossRef]
- Radovich, M.; Pickering, C.R.; Felau, I.; Ha, G.; Zhang, H.; Jo, H.; Hoadley, K.A.; Anur, P.; Zhang, J.; McLellan, M.; et al. The Integrated Genomic Landscape of Thymic Epithelial Tumors. Cancer Cell 2018, 33, 244–258. [Google Scholar] [CrossRef]
- Marx, A.; Wilisch, A.; Schultz, A.; Greiner, A.; Magi, B.; Pallini, V.; Schalke, B.; Toyka, K.; Nix, W.; Kirchner, T.; et al. Expression of neurofilaments and of a titin epitope in thymic epithelial tumors. Implications for the pathogenesis of myasthenia gravis. Am. J. Pathol. 1996, 148, 1839–1850. [Google Scholar]
- Schultz, A.; Hoffacker, V.; Wilisch, A.; Nix, W.; Gold, R.; Schalke, B.; Tzartos, S.; Muller-Hermelink, H.K.; Marx, A. Neurofilament is an autoantigenic determinant in myasthenia gravis. Ann. Neurol. 1999, 46, 167–175. [Google Scholar] [CrossRef]
- Marino Gammazza, A.; Bucchieri, F.; Grimaldi, L.M.E.; Benigno, A.; de Macario, E.C.; Macario, A.J.L.; Zummo, G.; Cappello, F. The molecular anatomy of human Hsp60 and its similarity with that of bacterial orthologs and acetylcholine receptor reveal a potential pathogenetic role of anti-chaperonin immunity in myasthenia gravis. Cell. Mol. Neurobiol. 2012, 32, 943–947. [Google Scholar] [CrossRef]
- Dragin, N.; Bismuth, J.; Cizeron-Clairac, G.; Biferi, M.G.; Berthault, C.; Serraf, A.; Nottin, R.; Klatzmann, D.; Cumano, A.; Barkats, M.; et al. Estrogen-mediated downregulation of AIRE influences sexual dimorphism in autoimmune diseases. J. Clin. Investig. 2016, 126, 1525–1537. [Google Scholar] [CrossRef]
- Kondo, K.; Takada, K.; Takahama, Y. Antigen processing and presentation in the thymus: Implications for T cell repertoire selection. Curr. Opin. Immunol. 2017, 46, 53–57. [Google Scholar] [CrossRef] [PubMed]
- Bruserud, Ø.; Oftedal, B.E.; Wolff, A.B.; Husebye, E.S. AIRE-mutations and autoimmune disease. Curr. Opin. Immunol. 2016, 43, 8–15. [Google Scholar] [CrossRef] [PubMed]
- Cavalcante, P.; Cufi, P.; Mantegazza, R.; Berrih-Aknin, S.; Bernasconi, P.; Le Panse, R. Etiology of myasthenia gravis: Innate immunity signature in pathological thymus. Autoimmun. Rev. 2013, 12, 863–874. [Google Scholar] [CrossRef] [PubMed]
- Cordiglieri, C.; Marolda, R.; Franzi, S.; Cappelletti, C.; Giardina, C.; Motta, T.; Baggi, F.; Bernasconi, P.; Mantegazza, R.; Cavalcante, P. Innate immunity in myasthenia gravis thymus: Pathogenic effects of Toll-like receptor 4 signaling on autoimmunity. J. Autoimmun. 2014, 52, 74–89. [Google Scholar] [CrossRef]
- Cufi, P.; Dragin, N.; Ruhlmann, N.; Weiss, J.M.; Fadel, E.; Serraf, A.; Berrih-Aknin, S.; Le Panse, R. Central role of interferon-beta in thymic events leading to myasthenia gravis. J. Autoimmun. 2014, 52, 44–52. [Google Scholar] [CrossRef]
- Cavalcante, P.; Barzago, C.; Baggi, F.; Antozzi, C.; Maggi, L.; Mantegazza, R.; Bernasconi, P. Toll-like receptors 7 and 9 in myasthenia gravis thymus: Amplifiers of autoimmunity? Ann. N. Y. Acad. Sci. 2018, 1413, 11–24. [Google Scholar] [CrossRef]
- Robinet, M.; Maillard, S.; Cron, M.A.; Berrih-Aknin, S.; Le Panse, R. Review on Toll-Like Receptor Activation in Myasthenia Gravis: Application to the Development of New Experimental Models. Clin. Rev. Allergy Immunol. 2017, 52, 133–147. [Google Scholar] [CrossRef]
- Guo, F.; Wang, C.Y.; Wang, S.; Zhang, J.; Yan, Y.J.; Guan, Z.Y.; Meng, F.J. Alteration in gene expression profile of thymomas with or without myasthenia gravis linked with the nuclear factor-kappaB/autoimmune regulator pathway to myasthenia gravis pathogenesis. Thorac. Cancer 2019, 10, 564–570. [Google Scholar] [CrossRef]
- Chia, R.; Saez-Atienzar, S.; Murphy, N.; Chiò, A.; Blauwendraat, C.; Roda, R.H.; Tienari, P.J.; Kaminski, H.J.; Ricciardi, R.; Guida, M. Identification of genetic risk loci and prioritization of genes and pathways for myasthenia gravis: A genome-wide association study. Proc. Natl. Acad. Sci. USA 2022, 119, e2108672119. [Google Scholar] [CrossRef]
- Truffault, F.; de Montpreville, V.; Eymard, B.; Sharshar, T.; Le Panse, R.; Berrih-Aknin, S. Thymic Germinal Centers and Corticosteroids in Myasthenia Gravis: An Immunopathological Study in 1035 Cases and a Critical Review. Clin. Rev. Allergy Immunol. 2017, 52, 108–124. [Google Scholar] [CrossRef]
- Tang, Y.; Zhou, Y.; Fan, S.; Wen, Q. The multiple roles and therapeutic potential of HSP60 in cancer. Biochem. Pharmacol. 2022, 201, 115096. [Google Scholar] [CrossRef] [PubMed]
- Coelho, V.; Faria, A.M.C. HSP60: Issues and Insights on Its Therapeutic Use as an Immunoregulatory Agent. Front. Immunol. 2011, 2, 97. [Google Scholar] [CrossRef]
- Yamada, Y.; Weis, C.A.; Thelen, J.; Sticht, C.; Schalke, B.; Ströbel, P.; Marx, A. Thymoma Associated Myasthenia Gravis (TAMG): Differential Expression of Functional Pathways in Relation to MG Status in Different Thymoma Histotypes. Front. Immunol. 2020, 11, 664. [Google Scholar] [CrossRef] [PubMed]
- Yamano, T.; Nedjic, J.; Hinterberger, M.; Steinert, M.; Koser, S.; Pinto, S.; Gerdes, N.; Lutgens, E.; Ishimaru, N.; Busslinger, M.; et al. Thymic B Cells Are Licensed to Present Self Antigens for Central T Cell Tolerance Induction. Immunity 2015, 6, 1048–1061. [Google Scholar] [CrossRef]
- Roberts, N.A.; Adams, B.D.; McCarthy, N.I.; Tooze, R.M.; Parnell, S.M.; Anderson, G.M.; Kaech, S.; Horsley, V. Prdm1 regulates thymic epithelial function to prevent autoimmunity. J. Immunol. 2017, 199, 1250–1260. [Google Scholar] [CrossRef] [PubMed]
- Yanfei, Q.I.; Zhang, R.; Lu, Y.; Zou, X.; Yang, W. Aire and Fezf2, two regulators in medullary thymic epithelial cells, control autoimmune diseases by regulating TSAs: Partner or complementer? Front. Immunol. 2022, 13, 948259. [Google Scholar]
- Yasumizu, Y.; Ohkura, N.; Murata, H.; Kinoshita, M.; Funaki, S.; Nojima, S.; Kido, K.; Kohara, M.; Motooka, D.; Okuzaki, D.; et al. Myasthenia gravis-specific aberrant neuromuscular gene expression by medullary thymic epithelial cells in thymoma. Nat. Commun. 2022, 13, 4230. [Google Scholar] [CrossRef]







| Control Thymuses (n = 15) 1 | Hyperplastic MG Thymuses (n = 18) | Non-MG Thymomas (n = 33) | MG Thymomas (n = 30) | |
|---|---|---|---|---|
| Sex (F:M) | 5:10 | 15:3 | 11:22 | 14:16 |
| EOMG:LOMG 2 | - | 18:0 | - | 10:20 |
| Age at surgery (years, mean ± SD) | 43.5 ± 24.11 3 | 28.61 ± 8.32 | 57.42 ± 13.65 | 51.85 ± 11.94 |
| Corticosteroid-treated patients | None | 8 | None | 10 |
| WHO types A AB B1 B2 B1/B2 mixed B3 B2/B3 mixed | - | - | 3 10 4 1 5 5 5 | 4 6 2 5 3 8 2 |
Disclaimer/Publisher’s Note: The statements, opinions and data contained in all publications are solely those of the individual author(s) and contributor(s) and not of MDPI and/or the editor(s). MDPI and/or the editor(s) disclaim responsibility for any injury to people or property resulting from any ideas, methods, instructions or products referred to in the content. |
© 2023 by the authors. Licensee MDPI, Basel, Switzerland. This article is an open access article distributed under the terms and conditions of the Creative Commons Attribution (CC BY) license (https://creativecommons.org/licenses/by/4.0/).
Share and Cite
Iacomino, N.; Scandiffio, L.; Conforti, F.; Salvi, E.; Tarasco, M.C.; Bortone, F.; Marcuzzo, S.; Simoncini, O.; Andreetta, F.; Pistillo, D.; et al. Muscle and Muscle-like Autoantigen Expression in Myasthenia Gravis Thymus: Possible Molecular Hint for Autosensitization. Biomedicines 2023, 11, 732. https://doi.org/10.3390/biomedicines11030732
Iacomino N, Scandiffio L, Conforti F, Salvi E, Tarasco MC, Bortone F, Marcuzzo S, Simoncini O, Andreetta F, Pistillo D, et al. Muscle and Muscle-like Autoantigen Expression in Myasthenia Gravis Thymus: Possible Molecular Hint for Autosensitization. Biomedicines. 2023; 11(3):732. https://doi.org/10.3390/biomedicines11030732
Chicago/Turabian StyleIacomino, Nicola, Letizia Scandiffio, Fabio Conforti, Erika Salvi, Maria Cristina Tarasco, Federica Bortone, Stefania Marcuzzo, Ornella Simoncini, Francesca Andreetta, Daniela Pistillo, and et al. 2023. "Muscle and Muscle-like Autoantigen Expression in Myasthenia Gravis Thymus: Possible Molecular Hint for Autosensitization" Biomedicines 11, no. 3: 732. https://doi.org/10.3390/biomedicines11030732
APA StyleIacomino, N., Scandiffio, L., Conforti, F., Salvi, E., Tarasco, M. C., Bortone, F., Marcuzzo, S., Simoncini, O., Andreetta, F., Pistillo, D., Voulaz, E., Alloisio, M., Antozzi, C., Mantegazza, R., De Pas, T. M., & Cavalcante, P. (2023). Muscle and Muscle-like Autoantigen Expression in Myasthenia Gravis Thymus: Possible Molecular Hint for Autosensitization. Biomedicines, 11(3), 732. https://doi.org/10.3390/biomedicines11030732

