Blockade of Inflammatory Markers Attenuates Cardiac Remodeling and Fibrosis in Rats with Supravalvular Aortic Stenosis
Abstract
1. Introduction
2. Materials and Methods
2.1. Animal Care
2.2. Aortic Stenosis Surgery
2.3. Maximal Exercise Capacity Test
2.4. Echocardiography Assessment
2.5. Experimental Groups
2.6. Characterization of Heart Failure and Tissue Harvesting
2.7. Analysis of the Inflammatory Markers
2.8. Histological Analysis
2.9. Statistical Analysis
3. Results
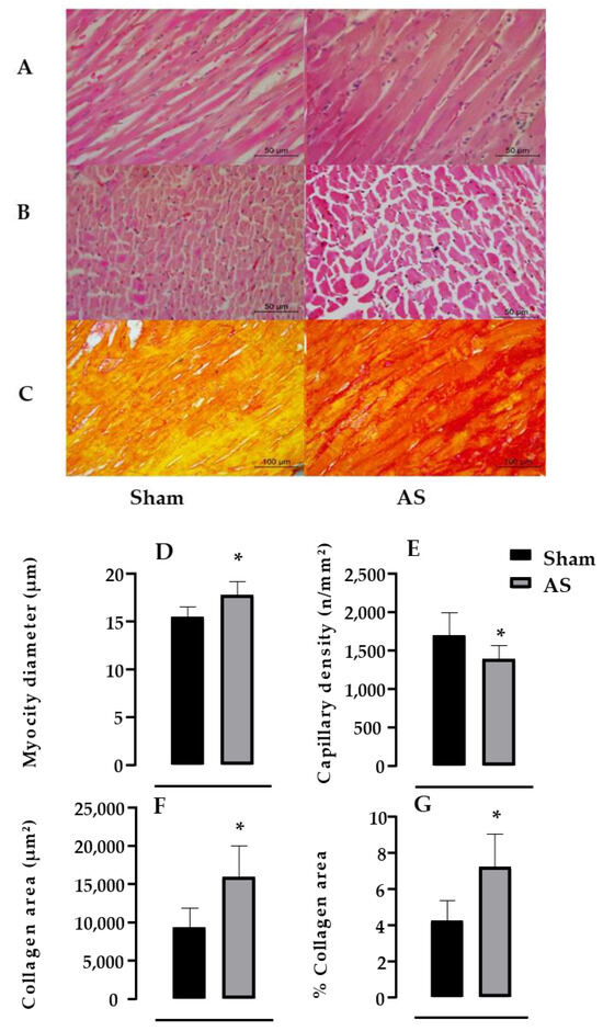
3.1. Aortic Stenosis Surgery Promoted Changes in the Survival Curve, Exercise Tolerance and Cardiac Structure and Function
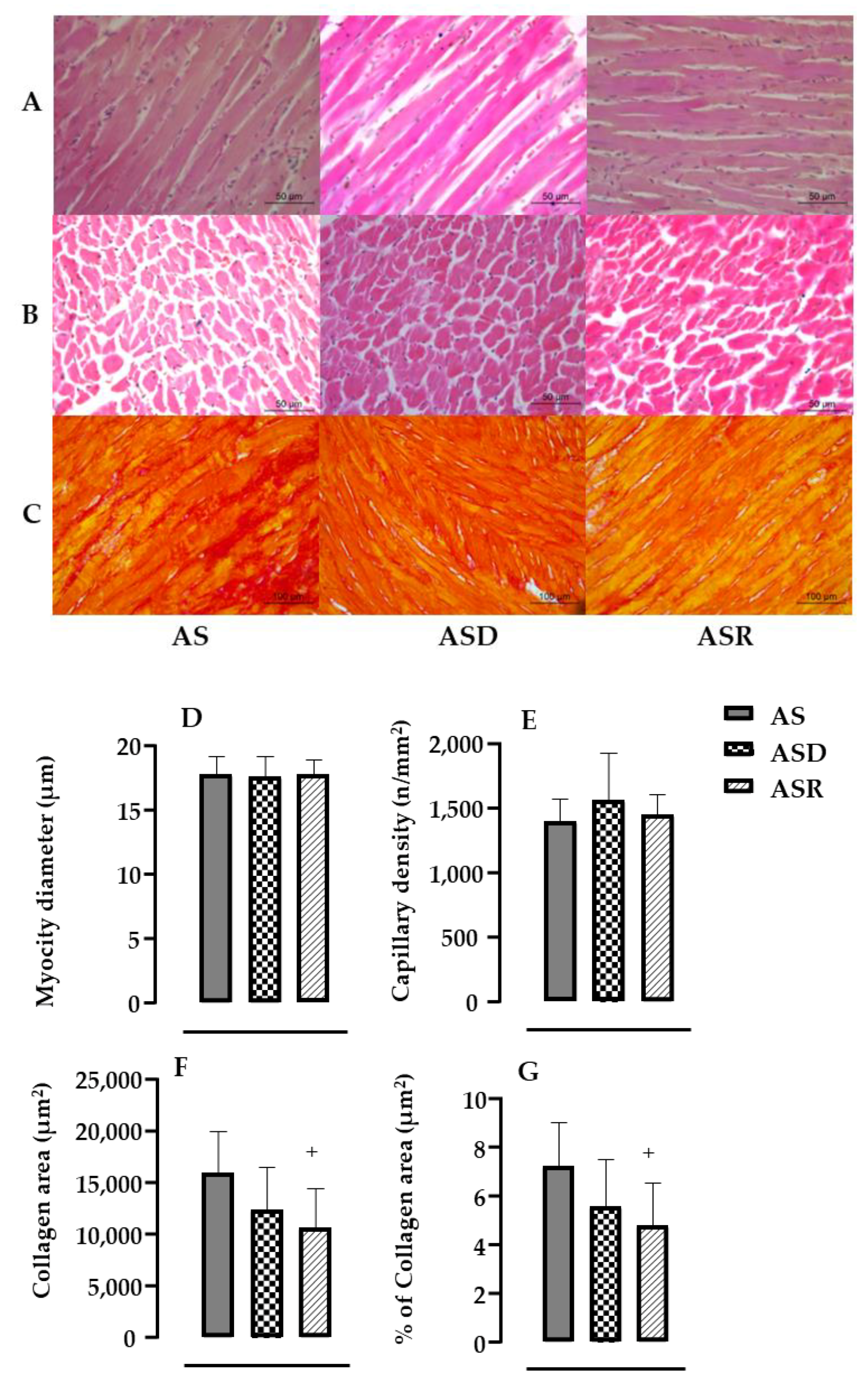
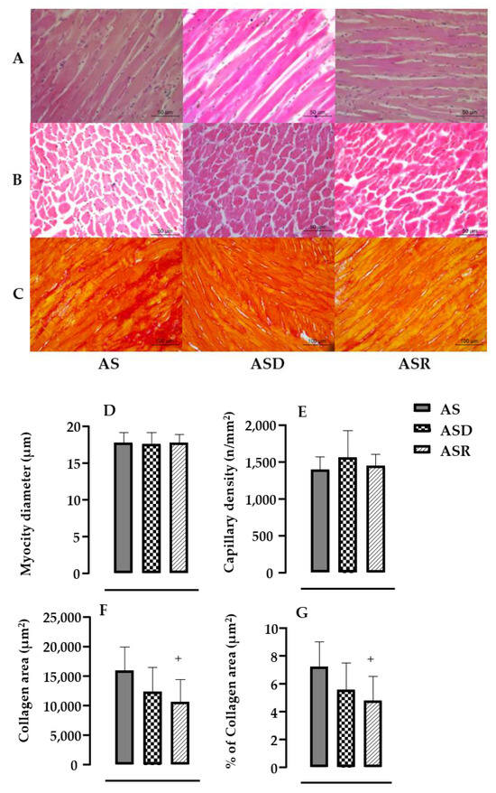
3.2. DEX Treatment Attenuated Cardiac Hypertrophy While Ramipril Treatment Improves Collagen Deposition and Both Treatments Improve Cardiac Inflammatory Profile
4. Discussion
5. Conclusions
Author Contributions
Funding
Institutional Review Board Statement
Data Availability Statement
Conflicts of Interest
References
- Hanna, A.; Frangogiannis, N.G. Inflammatory Cytokines and Chemokines as Therapeutic Targets in Heart Failure. Cardiovasc. Drugs Ther. 2020, 34, 849–863. [Google Scholar] [CrossRef]
- Ain, Q.U.; Sarfraz, M.; Prasesti, G.K.; Dewi, T.I.; Kurniati, N.F. Confounders in Identification and Analysis of Inflammatory Biomarkers in Cardiovascular Diseases. Biomolecules 2021, 11, 1464. [Google Scholar] [CrossRef] [PubMed]
- Litwin, S.E.; Katz, S.E.; Weinberg, E.O.; Lorell, B.H.; Aurigemma, G.P.; Douglas, P.S. Serial echocardiographic-Doppler assessment of left ventricular geometry and function in rats with pressure-overload hypertrophy. Chronic angiotensin-converting enzyme inhibition attenuates the transition to heart failure. Circulation 1995, 91, 2642–2654. [Google Scholar] [CrossRef] [PubMed]
- Okoshi, K.; Ribeiro, H.B.; Okoshi, M.P.; Matsubara, B.B.; Goncalves, G.; Barros, R.; Cicogna, A.C. Improved systolic ventricular function with normal myocardial mechanics in compensated cardiac hypertrophy. Jpn Heart J. 2004, 45, 647–656. [Google Scholar] [CrossRef] [PubMed]
- Mendes, O.C.; Sugizaki, M.M.; Campos, D.S.; Damatto, R.L.; Leopoldo, A.S.; Lima-Leopoldo, A.P.; Baldissera, V.; Padovani, C.R.; Okoshi, K.; Cicogna, A.C. Exercise tolerance in rats with aortic stenosis and ventricular diastolic and/or systolic dysfunction. Arq. Bras. Cardiol. 2013, 100, 44–51. [Google Scholar] [CrossRef] [PubMed][Green Version]
- Mendes Ode, C.; Campos, D.H.; Damatto, R.L.; Sugizaki, M.M.; Padovani, C.R.; Okoshi, K.; Cicogna, A.C. Cardiac remodeling: Serial analysis and indexes for early detection of ventricular dysfunction. Arq. Bras. Cardiol. 2010, 94, 62–70. [Google Scholar] [CrossRef][Green Version]
- Ribeiro, H.B.; Okoshi, K.; Cicogna, A.C.; Bregagnollo, E.A.; Rodrigues, M.A.; Padovani, C.R.; Aragon, F.F.; Jamas, E.; Okoshi, M.P. Follow-up study of morphology and cardiac function in rats undergoing induction of supravalvular aortic stenosis. Arq. Bras. Cardiol. 2003, 81, 569–575. [Google Scholar] [CrossRef]
- Silveira, C.; Campos, D.H.S.; Freire, P.P.; Deus, A.F.; Okoshi, K.; Padovani, C.R.; Cicogna, A.C. Importance of SERCA2a on early isolated diastolic dysfunction induced by supravalvular aortic stenosis in rats. Braz. J. Med. Biol. Res. 2017, 50, e5742. [Google Scholar] [CrossRef]
- Bakaeen, F.G.; Rosengart, T.K.; Carabello, B.A. Aortic Stenosis. Ann. Intern. Med. 2017, 166, ITC1–ITC16. [Google Scholar] [CrossRef]
- Sant’Ana, P.G.; Batah, S.S.; Leao, P.S.; Teodoro, W.R.; de Souza, S.L.B.; Ferreira Mota, G.A.; Vileigas, D.F.; da Silva, V.L.; de Campos, D.H.S.; Okoshi, K.; et al. Heart remodeling produced by aortic stenosis promotes cardiomyocyte apoptosis mediated by collagen V imbalance. Pathophysiol. Off. J. Int. Soc. Pathophysiol. 2018, 25, 373–379. [Google Scholar] [CrossRef]
- de Souza, S.L.B.; Mota, G.A.F.; da Silva, V.L.; Sant’Ana, P.G.; Vileigas, D.F.; de Campos, D.H.S.; Padovani, C.R.; Rodrigues, M.A.M.; do Nascimento, A.F.; Sugizaki, M.M.; et al. Adjustments in beta-Adrenergic Signaling Contribute to the Amelioration of Cardiac Dysfunction by Exercise Training in Supravalvular Aortic Stenosis. Cell. Physiol. Biochem. Int. J. Exp. Cell. Physiol. Biochem. Pharmacol. 2020, 54, 665–681. [Google Scholar] [CrossRef]
- Abbate, A.; Salloum, F.N.; Vecile, E.; Das, A.; Hoke, N.N.; Straino, S.; Biondi-Zoccai, G.G.; Houser, J.E.; Qureshi, I.Z.; Ownby, E.D.; et al. Anakinra, a recombinant human interleukin-1 receptor antagonist, inhibits apoptosis in experimental acute myocardial infarction. Circulation 2008, 117, 2670–2683. [Google Scholar] [CrossRef]
- Harouki, N.; Nicol, L.; Remy-Jouet, I.; Henry, J.P.; Dumesnil, A.; Lejeune, A.; Renet, S.; Golding, F.; Djerada, Z.; Wecker, D.; et al. The IL-1beta Antibody Gevokizumab Limits Cardiac Remodeling and Coronary Dysfunction in Rats with Heart Failure. JACC Basic Transl. Sci. 2017, 2, 418–430. [Google Scholar] [CrossRef]
- Hwang, M.W.; Matsumori, A.; Furukawa, Y.; Ono, K.; Okada, M.; Iwasaki, A.; Hara, M.; Miyamoto, T.; Touma, M.; Sasayama, S. Neutralization of interleukin-1beta in the acute phase of myocardial infarction promotes the progression of left ventricular remodeling. J. Am. Coll. Cardiol. 2001, 38, 1546–1553. [Google Scholar] [CrossRef]
- Buckley, L.F.; Abbate, A. Interleukin-1 blockade in cardiovascular diseases: A clinical update. Eur. Heart J. 2018, 39, 2063–2069. [Google Scholar] [CrossRef]
- Di Raimondo, D.; Tuttolomondo, A.; Butta, C.; Miceli, S.; Licata, G.; Pinto, A. Effects of ACE-inhibitors and angiotensin receptor blockers on inflammation. Curr. Pharm. Des. 2012, 18, 4385–4413. [Google Scholar] [CrossRef]
- Markousis-Mavrogenis, G.; Tromp, J.; Ouwerkerk, W.; Devalaraja, M.; Anker, S.D.; Cleland, J.G.; Dickstein, K.; Filippatos, G.S.; van der Harst, P.; Lang, C.C.; et al. The clinical significance of interleukin-6 in heart failure: Results from the BIOSTAT-CHF study. Eur. J. Heart Fail. 2019, 21, 965–973. [Google Scholar] [CrossRef]
- Ridker, P.M.; Rane, M. Interleukin-6 Signaling and Anti-Interleukin-6 Therapeutics in Cardiovascular Disease. Circ. Res. 2021, 128, 1728–1746. [Google Scholar] [CrossRef]
- Neri Serneri, G.G.; Boddi, M.; Modesti, P.A.; Coppo, M.; Cecioni, I.; Toscano, T.; Papa, M.L.; Bandinelli, M.; Lisi, G.F.; Chiavarelli, M. Cardiac angiotensin II participates in coronary microvessel inflammation of unstable angina and strengthens the immunomediated component. Circ. Res. 2004, 94, 1630–1637. [Google Scholar] [CrossRef]
- Kumar, S.; Wang, G.; Zheng, N.; Cheng, W.; Ouyang, K.; Lin, H.; Liao, Y.; Liu, J. HIMF (Hypoxia-Induced Mitogenic Factor)-IL (Interleukin)-6 Signaling Mediates Cardiomyocyte-Fibroblast Crosstalk to Promote Cardiac Hypertrophy and Fibrosis. Hypertension 2019, 73, 1058–1070. [Google Scholar] [CrossRef]
- Filho, A.G.; Kinote, A.; Pereira, D.J.; Renno, A.; dos Santos, R.C.; Ferreira-Melo, S.E.; Velloso, L.A.; Bordin, S.; Anhe, G.F.; Moreno Junior, H. Infliximab prevents increased systolic blood pressure and upregulates the AKT/eNOS pathway in the aorta of spontaneously hypertensive rats. Eur. J. Pharmacol. 2013, 700, 201–209. [Google Scholar] [CrossRef] [PubMed]
- Muller-Ehmsen, J.; Schwinger, R.H. TNF and congestive heart failure: Therapeutic possibilities. Expert Opin. Ther. Targets 2004, 8, 203–209. [Google Scholar] [CrossRef] [PubMed]
- Sinagra, E.; Perricone, G.; Romano, C.; Cottone, M. Heart failure and anti tumor necrosis factor-alpha in systemic chronic inflammatory diseases. Eur. J. Intern. Med. 2013, 24, 385–392. [Google Scholar] [CrossRef] [PubMed][Green Version]
- Miao, K.; Zhou, L.; Ba, H.; Li, C.; Gu, H.; Yin, B.; Wang, J.; Yang, X.P.; Li, Z.; Wang, D.W. Transmembrane tumor necrosis factor alpha attenuates pressure-overload cardiac hypertrophy via tumor necrosis factor receptor 2. PLoS Biol. 2020, 18, e3000967. [Google Scholar] [CrossRef] [PubMed]
- Palaniyandi, S.S.; Ferreira, J.C.; Brum, P.C.; Mochly-Rosen, D. PKCbetaII inhibition attenuates myocardial infarction induced heart failure and is associated with a reduction of fibrosis and pro-inflammatory responses. J. Cell. Mol. Med. 2011, 15, 1769–1777. [Google Scholar] [CrossRef] [PubMed]
- Westermann, D.; Lindner, D.; Kasner, M.; Zietsch, C.; Savvatis, K.; Escher, F.; von Schlippenbach, J.; Skurk, C.; Steendijk, P.; Riad, A.; et al. Cardiac inflammation contributes to changes in the extracellular matrix in patients with heart failure and normal ejection fraction. Circulation. Heart Fail. 2011, 4, 44–52. [Google Scholar] [CrossRef] [PubMed]
- Zhu, X.; Huang, Y.; Li, S.; Ge, N.; Li, T.; Wang, Y.; Liu, K.; Liu, C. Glucocorticoids Reverse Diluted Hyponatremia Through Inhibiting Arginine Vasopressin Pathway in Heart Failure Rats. J. Am. Heart Assoc. 2020, 9, e014950. [Google Scholar] [CrossRef]
- Bregagnollo, E.A.; Okoshi, K.; Bregagnollo, I.F.; Padovani, C.R.; Okoshi, M.P.; Cicogna, A.C. Effects of the prolonged inhibition of the angiotensin-converting enzyme on the morphological and functional characteristics of left ventricular hypertrophy in rats with persistent pressure overload. Arq. Bras. Cardiol. 2005, 84, 225–232. [Google Scholar] [CrossRef]
- Duchatsch, F.; Tardelli, L.P.; Herrera, N.A.; Ruiz, T.F.R.; Vicentini, C.A.; Okoshi, K.; Santos, C.F.; Amaral, S.L. Dexamethasone and Training-Induced Cardiac Remodeling Improve Cardiac Function and Arterial Pressure in Spontaneously Hypertensive Rats. J. Cardiovasc. Pharmacol. Ther. 2021, 26, 189–199. [Google Scholar] [CrossRef]
- de Salvi Guimaraes, F.; de Moraes, W.M.; Bozi, L.H.; Souza, P.R.; Antonio, E.L.; Bocalini, D.S.; Tucci, P.J.; Ribeiro, D.A.; Brum, P.C.; Medeiros, A. Dexamethasone-induced cardiac deterioration is associated with both calcium handling abnormalities and calcineurin signaling pathway activation. Mol. Cell. Biochem. 2017, 424, 87–98. [Google Scholar] [CrossRef]
- Xia, Q.G.; Na, T.; Guo, Y.M.; Bi, Y.T.; Zhang, H.Y.; Dai, D.Z. Improvement of chronic heart failure by dexamethasone is not associated with downregulation of leptin in rats. Acta Pharmacol. Sin. 2007, 28, 202–210. [Google Scholar] [CrossRef] [PubMed][Green Version]
- Tao, Z.; Loo, S.; Su, L.; Abdurrachim, D.; Lalic, J.; Lee, T.H.; Chen, X.; Tan, R.S.; Zhang, J.; Ye, L. Dexamethasone inhibits regeneration and causes ventricular aneurysm in the neonatal porcine heart after myocardial infarction. J. Mol. Cell. Cardiol. 2020, 144, 15–23. [Google Scholar] [CrossRef] [PubMed]
- Wang, H.; Yao, X.; Huang, K.; Zhang, J.; Xiao, J.; Guo, J.; Wei, D.; Xiang, B. Low-dose dexamethasone in combination with luteolin improves myocardial infarction recovery by activating the antioxidative response. Biomed. Pharmacother. 2022, 151, 113121. [Google Scholar] [CrossRef] [PubMed]
- Cheng, X.; Zhang, R.; Wei, S.; Huang, J.; Zhai, K.; Li, Y.; Gao, B. Dexamethasone Alleviates Myocardial Injury in a Rat Model of Acute Myocardial Infarction Supported by Venoarterial Extracorporeal Membrane Oxygenation. Front. Public Health 2022, 10, 900751. [Google Scholar] [CrossRef]
- Heidenreich, P.A.; Bozkurt, B.; Aguilar, D.; Allen, L.A.; Byun, J.J.; Colvin, M.M.; Deswal, A.; Drazner, M.H.; Dunlay, S.M.; Evers, L.R.; et al. 2022 AHA/ACC/HFSA Guideline for the Management of Heart Failure: A Report of the American College of Cardiology/American Heart Association Joint Committee on Clinical Practice Guidelines. Circulation 2022, 145, e895–e1032. [Google Scholar] [CrossRef] [PubMed]
- Yang, W.; Cai, J.; Shen, S.; Gao, J.; Yu, J.; Hu, S.; Jiang, H.; Fang, Y.; Liang, C.; Ju, X.; et al. Pulse therapy with vincristine and dexamethasone for childhood acute lymphoblastic leukaemia (CCCG-ALL-2015): An open-label, multicentre, randomised, phase 3, non-inferiority trial. Lancet Oncol. 2021, 22, 1322–1332. [Google Scholar] [CrossRef] [PubMed]
- Chimenti, C.; Russo, M.A.; Frustaci, A. Immunosuppressive therapy in virus-negative inflammatory cardiomyopathy: 20-year follow-up of the TIMIC trial. Eur. Heart J. 2022, 43, 3463–3473. [Google Scholar] [CrossRef]
- Yang, Z.; Li, Y.; Liu, C. Prednisone for inflammatory cardiomyopathy: More than just an immunosuppressive agent. Eur. Heart J. 2023, 44, 1374–1375. [Google Scholar] [CrossRef]
- Ochiai, T.; Saito, S.; Yamanaka, F.; Shishido, K.; Tanaka, Y.; Yamabe, T.; Shirai, S.; Tada, N.; Araki, M.; Naganuma, T.; et al. Renin-angiotensin system blockade therapy after transcatheter aortic valve implantation. Heart 2018, 104, 644–651. [Google Scholar] [CrossRef]
- Fielitz, J.; Hein, S.; Mitrovic, V.; Pregla, R.; Zurbrugg, H.R.; Warnecke, C.; Schaper, J.; Fleck, E.; Regitz-Zagrosek, V. Activation of the cardiac renin-angiotensin system and increased myocardial collagen expression in human aortic valve disease. J. Am. Coll. Cardiol. 2001, 37, 1443–1449. [Google Scholar] [CrossRef]
- Dweck, M.R.; Joshi, S.; Murigu, T.; Alpendurada, F.; Jabbour, A.; Melina, G.; Banya, W.; Gulati, A.; Roussin, I.; Raza, S.; et al. Midwall fibrosis is an independent predictor of mortality in patients with aortic stenosis. J. Am. Coll. Cardiol. 2011, 58, 1271–1279. [Google Scholar] [CrossRef] [PubMed]
- Guan, Y.; Kong, X.; Zhu, H.; Li, H.; Zhao, L.; Guo, F.; Lv, Q. Association of renin-angiotensin system inhibitors use with short- and long-term mortality in patients with aortic stenosis: A systematic review and meta-analysis. Front. Cardiovasc. Med. 2022, 9, 917064. [Google Scholar] [CrossRef] [PubMed]
- Rudi, W.S.; Molitor, M.; Garlapati, V.; Finger, S.; Wild, J.; Munzel, T.; Karbach, S.H.; Wenzel, P. ACE Inhibition Modulates Myeloid Hematopoiesis after Acute Myocardial Infarction and Reduces Cardiac and Vascular Inflammation in Ischemic Heart Failure. Antioxidants 2021, 10, 396. [Google Scholar] [CrossRef] [PubMed]
- Serneri, G.G.; Boddi, M.; Cecioni, I.; Vanni, S.; Coppo, M.; Papa, M.L.; Bandinelli, B.; Bertolozzi, I.; Polidori, G.; Toscano, T.; et al. Cardiac angiotensin II formation in the clinical course of heart failure and its relationship with left ventricular function. Circ. Res. 2001, 88, 961–968. [Google Scholar] [CrossRef] [PubMed]
- McDonagh, T.A.; Metra, M.; Adamo, M.; Gardner, R.S.; Baumbach, A.; Bohm, M.; Burri, H.; Butler, J.; Celutkiene, J.; Chioncel, O.; et al. 2021 ESC Guidelines for the diagnosis and treatment of acute and chronic heart failure. Eur. Heart J. 2021, 42, 3599–3726. [Google Scholar] [CrossRef] [PubMed]
- Mazeto, I.F.S.; Okoshi, K.; Silveira, C.; Sant’Ana, P.G.; Silva, V.L.D.; Mota, G.A.F.; Souza, S.L.B.; Vileigas, D.F.; Padovani, C.R.; Cicogna, A.C. Calcium homeostasis behavior and cardiac function on left ventricular remodeling by pressure overload. Braz. J. Med. Biol. Res. 2021, 54, e10138. [Google Scholar] [CrossRef] [PubMed]
- Heart Failure Society of America; Lindenfeld, J.; Albert, N.M.; Boehmer, J.P.; Collins, S.P.; Ezekowitz, J.A.; Givertz, M.M.; Katz, S.D.; Klapholz, M.; Moser, D.K.; et al. HFSA 2010 Comprehensive Heart Failure Practice Guideline. J. Card. Fail. 2010, 16, e1–e194. [Google Scholar] [CrossRef]
- Bernardo, B.C.; Weeks, K.L.; Pretorius, L.; McMullen, J.R. Molecular distinction between physiological and pathological cardiac hypertrophy: Experimental findings and therapeutic strategies. Pharmacol. Ther. 2010, 128, 191–227. [Google Scholar] [CrossRef]
- Suthahar, N.; Meijers, W.C.; Sillje, H.H.W.; de Boer, R.A. From Inflammation to Fibrosis-Molecular and Cellular Mechanisms of Myocardial Tissue Remodelling and Perspectives on Differential Treatment Opportunities. Curr. Heart Fail. Rep. 2017, 14, 235–250. [Google Scholar] [CrossRef]
- Szabo-Fresnais, N.; Lefebvre, F.; Germain, A.; Fischmeister, R.; Pomerance, M. A new regulation of IL-6 production in adult cardiomyocytes by beta-adrenergic and IL-1 beta receptors and induction of cellular hypertrophy by IL-6 trans-signalling. Cell. Signal. 2010, 22, 1143–1152. [Google Scholar] [CrossRef]
- Huo, S.; Shi, W.; Ma, H.; Yan, D.; Luo, P.; Guo, J.; Li, C.; Lin, J.; Zhang, C.; Li, S.; et al. Alleviation of Inflammation and Oxidative Stress in Pressure Overload-Induced Cardiac Remodeling and Heart Failure via IL-6/STAT3 Inhibition by Raloxifene. Oxidative Med. Cell. Longev. 2021, 2021, 6699054. [Google Scholar] [CrossRef]
- Li, S.; Zhao, Q.; Zhen, Y.; Li, L.; Mi, Y.; Li, T.; Liu, K.; Liu, C. The Impact of Glucocorticoid Therapy on Guideline-Directed Medical Treatment Titration in Patients Hospitalized for Heart Failure with Low Blood Pressure: A Retrospective Study. Int. J. Gen. Med. 2021, 14, 6693–6701. [Google Scholar] [CrossRef] [PubMed]
- Dodic, M.; Samuel, C.; Moritz, K.; Wintour, E.M.; Morgan, J.; Grigg, L.; Wong, J. Impaired cardiac functional reserve and left ventricular hypertrophy in adult sheep after prenatal dexamethasone exposure. Circ. Res. 2001, 89, 623–629. [Google Scholar] [CrossRef] [PubMed]
- Muangmingsuk, S.; Ingram, P.; Gupta, M.P.; Arcilla, R.A.; Gupta, M. Dexamethasone induced cardiac hypertrophy in newborn rats is accompanied by changes in myosin heavy chain phenotype and gene transcription. Mol. Cell. Biochem. 2000, 209, 165–173. [Google Scholar] [CrossRef] [PubMed]
- Tardelli, L.P.; Duchatsch, F.; Herrera, N.A.; Vicentini, C.A.; Okoshi, K.; Amaral, S.L. Differential effects of dexamethasone on arterial stiffness, myocardial remodeling and blood pressure between normotensive and spontaneously hypertensive rats. J. Appl. Toxicol. JAT 2021, 41, 1673–1686. [Google Scholar] [CrossRef] [PubMed]
- Liakopoulos, O.J.; Schmitto, J.D.; Kazmaier, S.; Brauer, A.; Quintel, M.; Schoendube, F.A.; Dorge, H. Cardiopulmonary and systemic effects of methylprednisolone in patients undergoing cardiac surgery. Ann. Thorac. Surg. 2007, 84, 110–118. [Google Scholar] [CrossRef] [PubMed]
- Kumar, R.; Joy, K.P. Stress hormones modulate lipopolysaccharide stimulation of head kidney interleukin-6 production in the catfish Heteropneustes fossilis: In vivo and in vitro studies. Gen. Comp. Endocrinol. 2019, 279, 109–113. [Google Scholar] [CrossRef]
- Li, Y.Y.; Feng, Y.Q.; Kadokami, T.; McTiernan, C.F.; Draviam, R.; Watkins, S.C.; Feldman, A.M. Myocardial extracellular matrix remodeling in transgenic mice overexpressing tumor necrosis factor alpha can be modulated by anti-tumor necrosis factor alpha therapy. Proc. Natl. Acad. Sci. USA 2000, 97, 12746–12751. [Google Scholar] [CrossRef]
- Nian, M.; Lee, P.; Khaper, N.; Liu, P. Inflammatory cytokines and postmyocardial infarction remodeling. Circ. Res. 2004, 94, 1543–1553. [Google Scholar] [CrossRef]
- He, F.; Chu, J.F.; Chen, H.W.; Lin, W.; Lin, S.; Chen, Y.Q.; Peng, J.; Chen, K.J. Qingxuan Jiangya Decoction () Prevents Blood Pressure Elevation and Ameliorates Vascular Structural Remodeling via Modulating TGF-beta 1/Smad Pathway in Spontaneously Hypertensive Rats. Chin. J. Integr. Med. 2020, 26, 180–187. [Google Scholar] [CrossRef]






| S (n = 12) | AS (n = 9) | |
|---|---|---|
| Delta body weight (g)—(26°–1° weeks) | 341 ± 15 | 335 ± 14 |
| Tibia bone length (cm) | 4.217 ± 0.024 | 4.211 ± 0.035 |
| Liver (w/d) | 3.083 ± 0.054 | 2.903 ± 0.073 |
| •Lung (w/d) | 4.512 ± 0.169 | 4.763 ± 0.058 |
| Heart/tibia (g/cm) | 0.343 ± 0.027 | 0.573 ± 0.040 * |
| LV/tibia (g/cm) | 0.216 ± 0.012 | 0.341 ± 0.015 * |
| RV/tibia (g/cm) | 0.087 ± 0.013 | 0.119 ± 0.012 * |
| Atrium/tibia (g/cm) | 0.033 ± 0.003 | 0.095 ± 0.018 * |
| Tibialis Anterior/tibia (g/cm) | 0.189 ± 0.007 | 0.162 ± 0.009 * |
| •Adrenal gland/tibia (g/cm) | 0.014 ± 0.001 | 0.020 ± 0.002 * |
| S (n = 12) | AS (n = 9) | |
|---|---|---|
| •HR (bpm) | 277 ± 15 | 274 ± 5 |
| LVDD (mm) | 8.382 ± 0.305 | 8.464 ± 0.368 |
| LVSD (mm) | 4.368 ± 0.339 | 4.107 ± 0.423 |
| PWT (mm) | 1.313 ± 0.009 | 2.166 ± 0.102 * |
| SWT (mm) | 1.314 ± 0.009 | 2.166 ± 0.102 * |
| LA (mm) | 5.663 ± 0.164 | 8.144 ± 0.404 * |
| •LA/AO | 1.343 ± 0.025 | 1.956 ± 0.099 * |
| RWT | 0.316 ± 0.008 | 0.515 ± 0.024 * |
| LVM (g) | 0.785 ± 0.058 | 1.601 ± 0.183 * |
| LVMI (g/kg) | 1.667 ± 0.099 | 3.532 ± 0.332 * |
| •EFS % | 48.479 ± 2.053 | 52.346 ± 2.847 |
| •MFS % | 28.780 ± 1.348 | 30.362 ± 1.476 |
| •PWSV (mm/s) | 39.899 ± 1.666 | 32.812 ± 1.692 * |
| EF % | 0.856 ± 0.018 | 0.882 ± 0.022 |
| •Tei index | 0.484 ± 0.020 | 0.556 ± 0.042 |
| Mitral E (cm/s) | 74.636 ± 2.248 | 106.778 ± 11.289 * |
| Mitral A (cm/s) | 45.545 ± 2.538 | 49.000 ± 8.949 |
| E/A | 1.686 ± 0.098 | 3.298 ± 0.819 * |
| •IVRT (ms) | 27.250 ± 0.946 | 23.222 ± 2.165 |
| AS (n = 9) | ASD (n = 9) | ASR (n = 8) | |
|---|---|---|---|
| Δ body weight (g) treatment period | −8 ± 3 | −55 ± 4 +++ | −16 ± 4 # |
| Tibia bone length (cm) | 4.211 ± 0.035 | 4.189 ± 0.039 | 4.188 ± 0.030 |
| Liver (w/d) | 2.903 ± 0.073 | 2.975 ± 0.072 | 3.064 ± 0.114 |
| Lung (w/d) | 4.763 ± 0.058 | 4.432 ± 0.180 | 4.172 ± 0.176 ++ |
| Heart/tibia (g/cm) | 0.573 ± 0.040 | 0.491 ± 0.047 | 0.542 ± 0.050 |
| •LV/tibia (g/cm) | 0.341 ± 0.015 | 0.309 ± 0.014 | 0.345 ± 0.019 |
| RV/tibia (g/cm) | 0.119 ± 0.012 | 0.093 ± 0.015 | 0.103 ± 0.013 |
| Atrium/tibia (g/cm) | 0.095 ± 0.018 | 0.077 ± 0.018 | 0.098 ± 0.020 |
| Tibialis Anterior/tibia (g/cm) | 0.162 ± 0.009 | 0.144 ± 0.008 | 0.151 ± 0.005 |
| •Adrenal gland/tibia (g/cm) | 0.020 ± 0.002 | 0.011 ± 0.001 +++ | 0.015 ± 0.001 + |
| AS (n = 9) | ASD (n = 9) | ASR (n = 8) | |
|---|---|---|---|
| •HR (bpm) | 274 ± 5 | 280 ± 11 | 262 ± 13 |
| LVDD (mm) | 8.464 ± 0.368 | 8.291 ± 0.378 | 7.775 ± 0.293 |
| LVSD (mm) | 4.107 ± 0.423 | 3.750 ± 0.550 | 4.043 ± 0.612 |
| PWT (mm) | 2.166 ± 0.102 | 1.758 ± 0.045 + | 2.234 ± 0.086 |
| SWT (mm) | 2.166 ± 0.102 | 1.758 ± 0.045 + | 2.234 ± 0.086 |
| •LA (mm) | 8.144 ± 0.404 | 7.753 ± 0.471 | 8.329 ± 0.684 |
| •LA/AO | 1.956 ± 0.099 | 1.889 ± 0.101 | 2.053 ± 0.162 |
| RWT | 0.515 ± 0.024 | 0.428 ± 0.013 + | 0.576 ± 0.016 # |
| LVM (g) | 1.601 ± 0.183 | 1.146 ± 0.120 | 1.455 ± 0.147 |
| LVMI (g/kg) | 3.532 ± 0.332 | 2.903 ± 0.258 | 3.405 ± 0.306 |
| •EFS % | 52.346 ± 2.847 | 56.116 ± 4.273 | 49.253 ± 6.436 |
| •MFS % | 30.362 ± 1.476 | 32.850 ± 3.008 | 26.710 ± 4.154 |
| •PWSV (mm/s) | 32.812 ± 1.692 | 33.867 ± 2.729 | 29.529 ± 1.821 |
| EF % | 0.882 ± 0.022 | 0.896 ± 0.029 | 0.824 ± 0.059 |
| •Tei index | 0.556 ± 0.042 | 0.561 ± 0.042 | 0.502 ± 0.017 |
| Mitral E (cm/s) | 106.778 ± 11.289 | 99.444 ± 12.721 | 93.875 ± 12.190 |
| •Mitral A (cm/s) | 49.000 ± 8.949 | 61.333 ± 11.438 | 36.375 ± 7.646 |
| E/A | 3.298 ± 0.819 | 2.795 ± 0.965 | 3.977 ± 1.060 |
| •IVRT (ms) | 23.222 ± 2.165 | 22.444 ± 1.796 | 21.125 ± 1.575 |
Disclaimer/Publisher’s Note: The statements, opinions and data contained in all publications are solely those of the individual author(s) and contributor(s) and not of MDPI and/or the editor(s). MDPI and/or the editor(s) disclaim responsibility for any injury to people or property resulting from any ideas, methods, instructions or products referred to in the content. |
© 2023 by the authors. Licensee MDPI, Basel, Switzerland. This article is an open access article distributed under the terms and conditions of the Creative Commons Attribution (CC BY) license (https://creativecommons.org/licenses/by/4.0/).
Share and Cite
Duchatsch, F.; Miotto, D.S.; Tardelli, L.P.; Dionísio, T.J.; Campos, D.S.; Santos, C.F.; Okoshi, K.; Amaral, S.L. Blockade of Inflammatory Markers Attenuates Cardiac Remodeling and Fibrosis in Rats with Supravalvular Aortic Stenosis. Biomedicines 2023, 11, 3219. https://doi.org/10.3390/biomedicines11123219
Duchatsch F, Miotto DS, Tardelli LP, Dionísio TJ, Campos DS, Santos CF, Okoshi K, Amaral SL. Blockade of Inflammatory Markers Attenuates Cardiac Remodeling and Fibrosis in Rats with Supravalvular Aortic Stenosis. Biomedicines. 2023; 11(12):3219. https://doi.org/10.3390/biomedicines11123219
Chicago/Turabian StyleDuchatsch, Francine, Danyelle S. Miotto, Lidieli P. Tardelli, Thiago J. Dionísio, Dijon S. Campos, Carlos F. Santos, Katashi Okoshi, and Sandra L. Amaral. 2023. "Blockade of Inflammatory Markers Attenuates Cardiac Remodeling and Fibrosis in Rats with Supravalvular Aortic Stenosis" Biomedicines 11, no. 12: 3219. https://doi.org/10.3390/biomedicines11123219
APA StyleDuchatsch, F., Miotto, D. S., Tardelli, L. P., Dionísio, T. J., Campos, D. S., Santos, C. F., Okoshi, K., & Amaral, S. L. (2023). Blockade of Inflammatory Markers Attenuates Cardiac Remodeling and Fibrosis in Rats with Supravalvular Aortic Stenosis. Biomedicines, 11(12), 3219. https://doi.org/10.3390/biomedicines11123219

