Intraoperative Neurovascular Bundle Preservation with Hyaluronic Acid during Radical Brachytherapy for Localized Prostate Cancer: Technique and MicroMosfet In Vivo Dosimetry
Abstract
1. Introduction
2. Material and Methods
2.1. Study Model
- ■
- The rectal dose was calculated at the anterior edge of the TRUS probe and was limited to ≤75% of the prescription dose.
- ■
- The dose to any segment of the urethra was limited to ≤110% of the prescription dose. V120 and D100 of the prostatic urethra were determined (volume that received a dose of 120% and dose delivered to 100% of the urethra).
- ■
- The PTV V90, V100, V150, and V200 (% of PTV receiving 90%, 100%, 150%, and 200% of the PD) were recorded.
- ■
- D90 (dose delivered to 90% of the PTV) was calculated.
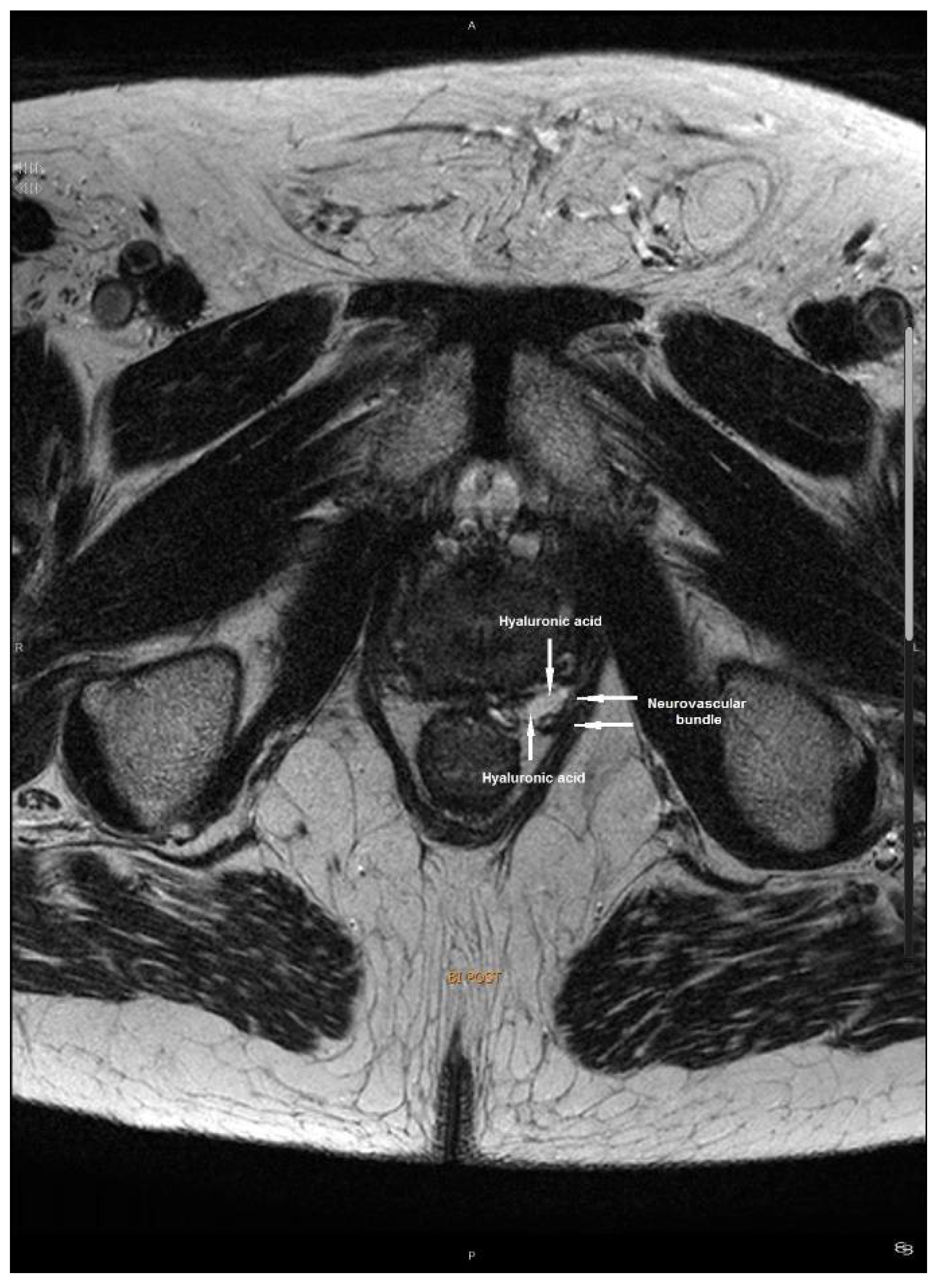
2.2. Technique of Hyaluronic Acid Injection
2.3. Uncertainties
2.4. Hyaluronic Acid
3. Results
3.1. Patient Characteristics
3.2. Radiologic Studies
3.3. MicroMOSFET Analysis
3.4. Tolerance
4. Discussion
- ■
- The first group received brachytherapy alone with I-125
- ■
- The second group received brachytherapy alone with I-125 and rectal protection with HA. HA was injected into perirectal fat to increase the distance between the prostate and the anterior rectal wall.
5. Conclusions
Author Contributions
Funding
Institutional Review Board Statement
Informed Consent Statement
Data Availability Statement
Conflicts of Interest
Abbreviations
| BT | Brachytherapy |
| HDR | High-doserate |
| LDR | Low-dose rate |
| TRUS | Trans-rectal ultrasound |
| MRI | Multiparametric magnetic resonance imaging |
| D90 | The dose that covers 90% volume of CTV |
| D100 urethra | Dose delivered to 100% of the urethra |
| DVH | Dose-volume histogram |
| PTV | Planning target volume |
| PD | Prescribed dose |
| V90-100-150-200 | % of PTV receiving 90%, 100%, 150%, 200% of the PD) |
| V120 urethra | Volume that received a dose of 120% of the urethra |
| TPS | Treatment planning system |
| HA | Hyaluronic acid |
| NB | Neurovascular bundle |
| CF | Calibration factor |
| RSD | Relative standard deviation |
References
- Lee, R.W.; Moughan, J.; Owen, J.; Zelefski, M.J. The 1999 Patterns of care Study of radiotherapy in localized prostatic carcinoma. A comprehensive survey of prostate brachytherapy in the United States. Cancer 2003, 98, 1987–1994. [Google Scholar] [CrossRef] [PubMed]
- Battermann, J.J.; Boon, T.A.; Moerland, A. Results of permanent prostate brachytherapy, 13 years of experience at a single institution. Radiother. Oncol. 2004, 71, 23–28. [Google Scholar] [CrossRef] [PubMed]
- Jang, T.L.; Yossepowitch, O.; Bianco, F.J., Jr.; Scardino, P.T. Low risk prostate cancer in men under age 65: The case for definitive treatment. Urol. Oncol. 2007, 25, 510–514 3. [Google Scholar] [CrossRef] [PubMed][Green Version]
- Merrick, G.S.; Wallner, K.E.; Butler, W.M.; Galbreath, R.W.; Allen, Z.A.; Adamovich, E.; True, L. Brachytherapy in men aged< or = 54 years with clinically localized prostate cancer. BJU Int. 2006, 98, 324–328. [Google Scholar] [PubMed]
- Prada, P.J.; Cardenal, J.; García Blanco, A.; Anchuelo, J.; Ferri, M.; Diaz de Cerio, I.; Vázquez, A.; Pacheco, M.; Ruiz Arrebola, S. Long-term outcomes in patients treated with brachytherapy for prostate cancer younger than 60 years of age. Strahlenther. Und Onkol. 2018, 194, 311–317. [Google Scholar] [CrossRef]
- Burri, R.J.; Ho, A.Y.; Forsythe, K.; Cesaretti, J.A.; Stone, N.N.; Stock, R.G. Young men have equivalent biochemical outcomes compared with older men after treatment with brachytherapy for prostate cancer. Int. J. Radiat. Oncol. Biol. Phys. 2010, 77, 1315–1321. [Google Scholar] [CrossRef]
- Khan, M.A.; Han, M.; Partin, A.W.; Epstein, J.I.; Walsh, P.C. Long-term cancer control of radical prostatectomy in men younger than 50 years of age: Update 2003. Urology 2003, 62, 86–89. [Google Scholar] [CrossRef]
- Zelefsky, M.J.; Marion, C.; Fuks, Z.; Leibel, S.A. Improved biochemical disease-free survival of men younger than 60 years with prostate cancer treated with high dose conformal external beam radiotherapy. J. Urol. 2003, 170, 1828–1832. [Google Scholar] [CrossRef]
- Yamada, Y.; Bhatia, S.; Zaider, M.; Cohen, G.; Donat, M.; Eastham, J.; Rabbani, F.; Schupak, K.; Lee, J.; Mueller, B.; et al. Favorable clinical outcomes of three-dimensional computer-optimized high-dose-rate prostate brachytherapy in the management of localized prostate cancer. Brachytherapy 2006, 5, 157–164. [Google Scholar] [CrossRef]
- Walsh, P.C. Anatomic radical prostatectomy: Evolution of the surgical technique. J. Urol. 1998, 160, 2418–2424. [Google Scholar] [CrossRef]
- Kessler, T.M.; Burkhard, F.C.; Studer, U.E. Nerve-sparing open radical retropubic prostatectomy. Eur. Urol. 2007, 51, 90–97. [Google Scholar] [CrossRef] [PubMed]
- Prada, P.J.; Fernandez, J.; Martinez, A.; de la Rúa, A.; Gonzalez, J.M.; Fernandez, J.M.; Juan, G. Transperineal injection of hyaluronic acid in the anterior peri-rectal fat to decease rectal toxicity from radiation delivered with intensity modulated brachytherapy or EBRT for prostate cancer patients. Int. J. Oncol. Biol. Phys. 2007, 69, 95–102. [Google Scholar] [CrossRef] [PubMed]
- Prada, P.J.; Gonzalez, H.; Menéndez, C.; Llaneza, A.; Fernández, J.; Santamarta, E.; Ricarte, P.P. Transperineal Injection of Hyaluronic Acid in the Anterior Peri-rectal Fat to Decrease Rectal Toxicity from Radiation Delivered with Low Dose Rate Brachytherapy for Prostate Cancer Patients. Brachytherapy 2009, 8, 210–217. [Google Scholar] [CrossRef] [PubMed]
- DeWerd, L.A.; Ibbott, G.S.; Meigooni, A.S.; Mitch, M.G.; Rivard, M.J.; Stump, K.E.; Thomadsen, B.R.; Venselaar, J.L.M. A dosimetric uncertainty analysis for photon-emitting brachytherapy sources: Report of AAPM Task Group No. 138 and GEC-ESTRO. Med. Phys. 2011, 38, 782–801. [Google Scholar] [CrossRef] [PubMed]
- Kirisits, C.; Rivard, M.J.; Baltas, D.; Ballester, F.; de Brabandere, M.; van der Laarse, R.; Niatsetski, Y.; Papagiannis, P.; Hellebust, T.P.; Pérez-Calatayud, J.; et al. Review of clinical brachytherapy uncertainties: Analysis guidelines of GEC-ESTRO and the AAPM. Radiother. Oncol. 2014, 110, 199–212. [Google Scholar] [CrossRef]
- George, E. Intra-articular hyaluronan treatment for osteoarthritis. Ann. Rheum. Dis. 1998, 57, 637–640. [Google Scholar] [CrossRef]
- Wobig, M.; Bach, G.; Beks, P.; Dickhut, A.; Runzheimer, J.; Schwieger, G.; Vetter, G.; Balazs, E. The role of elastoviscosity in the efficacy of viscosupplementation for osteoarthritis of the knee: A comparison of Hyalan G-F20 and a lower molecular weight hyaluronan. Clin. Ther. 1999, 21, 1549–1562. [Google Scholar] [CrossRef]
- Roshau, J.N.; Hintenlang, D.E. Characterization of the angular response of an isotropic MOSFET dosimeter. Health Phys. 2003, 84, 376–379. [Google Scholar] [CrossRef]
- Pollack, A.; Zagars, G.K.; Smith, L.G.; Lee, J.J.; Von Eschenbach, A.C.; Antolak, J.; Starkschall, G.; Rosen, I. Preliminary results of a randomized radiotherapy dose escalation study comparing 70 Gy to 78 Gy for prostate cancer. J. Clin. Oncol. 2000, 18, 3904. [Google Scholar] [CrossRef]
- Hanks, G.E.; Hanlon, A.L.; Pinover, W.H.; Horwitz, E.M.; Price, R.A.; Schultheiss, T. Dose selection for prostate cancer patients based on dose comparison and dose response studies. Int. J. Radiat. Oncol. Biol. Phys. 2000, 46, 823–832. [Google Scholar] [CrossRef]
- Prada, P.J.; Cardenal, J.; Blanco, A.G.; Anchuelo, J.; Ferri, M.; Fernández, G.; Arrojo, E.; Vázquez, A.; Pacheco, M.; Fernández, J. High-dose-rate interstitial brachytherapy as monotherapy in one fraction for the treatment of favorable stage prostate cancer toxicity and long-term biochemical results. Radiother. Oncol. 2016, 119, 411–416. [Google Scholar] [CrossRef] [PubMed]
- Donner, C.S. Pathophysiology and therapy of chronic radiationinduced injury to the colon. Dig. Dis. 1998, 16, 253–261. [Google Scholar] [CrossRef] [PubMed]
- Wallner, K.; Roy, J.; Harrison, L. Tumor control and morbidity following transperineal I-125 implantation for stage Tl/T2 prostatic carcinoma. J. Clin. Oncol. 1996, 14, 449–453. [Google Scholar] [CrossRef] [PubMed]
- Merrick, G.S.; Butler, W.M.; Dorsey, A.T.; Lief, J.H.; Walbert, H.L.; Blatt, H.J. Rectal dosimetric analysis following prostate brachytherapy. Int. J. Radiat. Oncol. Biol. Phys. 1999, 43, 1021–1027. [Google Scholar] [CrossRef]
- Teshima, T.; Hanks, G.E.; Hanlon, A.L.; Peter, R.S.; Schultheiss, T.E. Rectal bleeding after conformal 3D treatment of prostate cancer: Time to occurrence, response to treatment and duration of morbidity. Int. J. Radiat. Oncol. Biol. Phys. 1997, 39, 77–83. [Google Scholar] [CrossRef]


| Patient | Dose Decrease Due to HA | HA Thickness | |||
|---|---|---|---|---|---|
| # | TPS | microMOSFET | US (mm) | ||
| (Gy) | (%) | (Gy) | (%) | ||
| 1 | 6.3 ± 0.4 | 51 ± 4 | 4.1 ± 0.5 | 42 ± 5 | 8.4 ± 0.1 |
| 2 | 4.3 ± 0.2 | 58 ± 4 | 4.3 ± 0.4 | 53 ± 5 | 11.1 ± 0.1 |
| 3 | 8.4 ± 0.5 | 59 ± 4 | 7.3 ± 0.6 | 53 ± 5 | 9.9 ± 0.1 |
| Mean | 6.3 ± 1.2 | 56 ± 2 | 5.2 ± 1.0 | 50 ± 4 | 10 ± 1 |
Publisher’s Note: MDPI stays neutral with regard to jurisdictional claims in published maps and institutional affiliations. |
© 2022 by the authors. Licensee MDPI, Basel, Switzerland. This article is an open access article distributed under the terms and conditions of the Creative Commons Attribution (CC BY) license (https://creativecommons.org/licenses/by/4.0/).
Share and Cite
Prada, P.J.; Ferri, M.; Cardenal, J.; Blanco, A.G.; Arrojo, E.; Anchuelo, J.; de Cerio, I.D.; Lastra, P.; Fernández, A.; Vázquez, A.; et al. Intraoperative Neurovascular Bundle Preservation with Hyaluronic Acid during Radical Brachytherapy for Localized Prostate Cancer: Technique and MicroMosfet In Vivo Dosimetry. Biomedicines 2022, 10, 959. https://doi.org/10.3390/biomedicines10050959
Prada PJ, Ferri M, Cardenal J, Blanco AG, Arrojo E, Anchuelo J, de Cerio ID, Lastra P, Fernández A, Vázquez A, et al. Intraoperative Neurovascular Bundle Preservation with Hyaluronic Acid during Radical Brachytherapy for Localized Prostate Cancer: Technique and MicroMosfet In Vivo Dosimetry. Biomedicines. 2022; 10(5):959. https://doi.org/10.3390/biomedicines10050959
Chicago/Turabian StylePrada, Pedro J., María Ferri, Juan Cardenal, Ana García Blanco, Elisabeth Arrojo, Javier Anchuelo, Ivan Diaz de Cerio, Pedro Lastra, Alejandro Fernández, Andrés Vázquez, and et al. 2022. "Intraoperative Neurovascular Bundle Preservation with Hyaluronic Acid during Radical Brachytherapy for Localized Prostate Cancer: Technique and MicroMosfet In Vivo Dosimetry" Biomedicines 10, no. 5: 959. https://doi.org/10.3390/biomedicines10050959
APA StylePrada, P. J., Ferri, M., Cardenal, J., Blanco, A. G., Arrojo, E., Anchuelo, J., de Cerio, I. D., Lastra, P., Fernández, A., Vázquez, A., & Arrebola, S. R. (2022). Intraoperative Neurovascular Bundle Preservation with Hyaluronic Acid during Radical Brachytherapy for Localized Prostate Cancer: Technique and MicroMosfet In Vivo Dosimetry. Biomedicines, 10(5), 959. https://doi.org/10.3390/biomedicines10050959

