Combination of Pembrolizumab and Stereotactic Body Radiation Therapy in Recurrent Metastatic Penile Squamous Cell Carcinoma: A Case Study
Abstract
1. Introduction
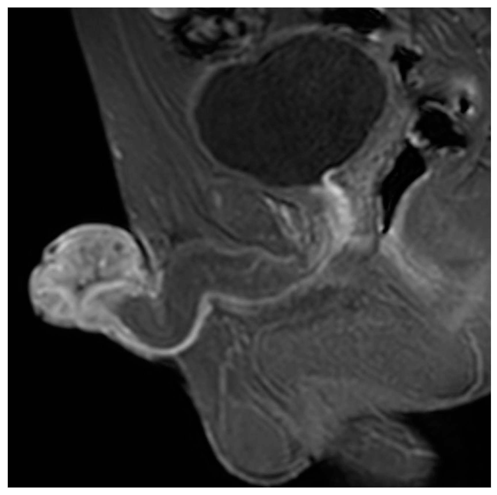
2. Case
3. Discussion
4. Conclusions
Author Contributions
Funding
Institutional Review Board Statement
Informed Consent Statement
Data Availability Statement
Conflicts of Interest
References
- American Cancer Society. Survival Rates for Penile Cancer. Available online: https://www.cancer.org/cancer/penile-cancer/detection-diagnosis-staging/survival-rates.html (accessed on 28 February 2022).
- National Cancer Center Network (NCCN) Guidelines. Penile Cancer (Version 1. 2019). Available online: https://www.nccn.org/login?ReturnURL=https://www.nccn.org/professionals/physician_gls/pdf/penile.pdf (accessed on 6 October 2022).
- Baweja, A.; Mar, N. Metastatic penile squamous cell carcinoma with dramatic response to combined checkpoint blockade with ipilimumab and nivolumab. J. Oncol. Pharm. Pract. 2021, 27, 212–215. [Google Scholar] [CrossRef] [PubMed]
- Chahoud, J.; Skelton, W.P.I.; Spiess, P.E.; Walko, C.; Dhillon, J.; Gage, K.L.; Johnstone, P.A.S.; Jain, R.K. Case Report: Two Cases of Chemotherapy Refractory Metastatic Penile Squamous Cell Carcinoma with Extreme Durable Response to Pembrolizumab. Front. Oncol. 2020, 10, 615298. [Google Scholar] [CrossRef]
- Hui, G.; Ghafouri, S.N.; Shen, J.; Liu, S.; Drakaki, A. Treating Penile Cancer in the Immunotherapy and Targeted Therapy Era. Case Rep. Oncol. Med. 2019, 2019, 1–4. [Google Scholar] [CrossRef] [PubMed]
- Su, X.; Zhang, J.; Fu, C.; Xiao, M.; Wang, C. Recurrent Metastatic Penile Cancer Patient with Positive PD-L1 Expression Obtained Significant Benefit from Immunotherapy: A Case Report and Literature Review. OncoTargets Ther. 2020, 13, 3319–3324. [Google Scholar] [CrossRef] [PubMed]
- Hahn, A.W.; Chahoud, J.; Campbell, M.T.; Karp, D.D.; Wang, J.; Stephen, B.; Tu, S.-M.; Pettaway, C.A.; Naing, A. Pembrolizumab for advanced penile cancer: A case series from a phase II basket trial. Investig. New Drugs 2021, 39, 1405–1410. [Google Scholar] [CrossRef]
- Tang, C.; Welsh, J.W.; de Groot, P.; Massarelli, E.; Chang, J.Y.; Hess, K.R.; Basu, S.; Curran, M.A.; Cabanillas, M.E.; Subbiah, V.; et al. Ipilimumab with Stereotactic Ablative Radiation Therapy: Phase I Results and Im-munologic Correlates from Peripheral T Cells. Clin. Cancer Res. 2017, 23, 1388–1396. [Google Scholar] [CrossRef]
- Welsh, J.; Menon, H.; Chen, D.; Verma, V.; Tang, C.; Altan, M.; Hess, K.; de Groot, P.; Nguyen, Q.-N.; Varghese, R.; et al. Pembrolizumab with or without radiation therapy for metastatic non-small cell lung cancer: A randomized phase I/II trial. J. Immunother. Cancer 2020, 8, e001001. [Google Scholar] [CrossRef]
- Callaghan, C.M.; Seyedin, S.N.; Mohiuddin, I.H.; Hawkes, K.L.; Petronek, M.S.; Anderson, C.M.; Buatti, J.M.; Milhem, M.M.; Monga, V.; Allen, B.G. The Effect of Concurrent Stereotactic Body Radiation and Anti-PD-1 Therapy for Recurrent Metastatic Sarcoma. Radiat. Res. 2020, 194, 124–132. [Google Scholar] [CrossRef]
- Ribera-Cortada, I.; Guerrero-Pineda, J.; Trias, I.; Veloza, L.; Garcia, A.; Marimon, L.; Diaz-Mercedes, S.; Alamo, J.R.; Rodrigo-Calvo, M.T.; Vega, N.; et al. Pathogenesis of Penile Squamous Cell Carcinoma: Molecular Update and Systematic Review. Int. J. Mol. Sci. 2021, 23, 251. [Google Scholar] [CrossRef]
- Grossman, J.E.; Vasudevan, D.; Joyce, C.E.; Hildago, M. Is PD-L1 a consistent biomarker for anti-PD-1 therapy? The model of bal-stilimab in a virally-driven tumor. Oncogene 2021, 40, 1393–1395. [Google Scholar] [CrossRef]
- Klempner, S.J.; Fabrizio, D.; Bane, S.; Reinhart, M.; Peoples, T.; Ali, S.M.; Sokol, E.S.; Frampton, G.; Schrock, A.B.; Anhorn, R.; et al. Tumor Mutational Burden as a Predictive Biomarker for Response to Immune Checkpoint Inhibitors: A Review of Current Evidence. Oncologist 2020, 25, e147–e159. [Google Scholar] [CrossRef] [PubMed]
- Yamamoto, H.; Imai, K. An updated review of microsatellite instability in the era of next-generation sequencing and precision medicine. Semin. Oncol. 2019, 46, 261–270. [Google Scholar] [CrossRef] [PubMed]
- Mar, N.; Uchio, E.; Kalebasty, A.R. Use of immunotherapy in clinical management of genitourinary cancers—A review. Cancer Treat. Res. Commun. 2022, 31, 100564. [Google Scholar] [CrossRef] [PubMed]
- Galon, J.; Bruni, D. Approaches to treat immune hot, altered and cold tumours with combination immunotherapies. Nat. Rev. Drug Discov. 2019, 18, 197–218. [Google Scholar] [CrossRef] [PubMed]
- Cheng, W.; Fu, D.; Xu, F.; Zhang, Z. Unwrapping the genomic characteristics of urothelial bladder cancer and successes with im-mune checkpoint blockade therapy. Oncogenesis 2018, 7, 2. [Google Scholar] [CrossRef]
- Bonaventura, P.; Shekarian, T.; Alcazer, V.; Valladeau-Guilemond, J.; Valsesia-Wittmann, S.; Amigorena, S.; Caux, C.; Depil, S. Cold Tumors: A Therapeutic Challenge for Immunotherapy. Front. Immunol. 2019, 10, 168. [Google Scholar] [CrossRef]
- Chahoud, J.; Netto, F.; Segura, R.L.; Cuentas, E.R.P.; Lu, X.; Rao, P.; Wistuba, I.I.; Pickering, C.R.; Pettaway, C.A. Tumor immune microenvironment alterations in penile squamous cell carcinoma using multiplex immunofluorescence and image analysis approaches. J. Clin. Oncol. 2020, 38, 4. [Google Scholar] [CrossRef]
- Cereceda, K.; Bravo, N.; Jorquera, R.; González-Stegmaier, R.; Villarroel-Espíndola, F. The prognostic value of immune factors in the tumor microenvi-ronment of penile squamous cell carcinoma. Front Immunol. 2018, 9, 1253. [Google Scholar]
- Vassallo, J.; Campos, A.H.J.F.M.; Rocha, R.M.; da Cunha, I.W.; Zequi, S.C.; Guimarães, G.C.; da Fonseca, F.P.; Lopes, A.; Cubilla, A.; Soares, F.A.; et al. Pathologic and immunohistochemical characterization of tu-moral inflammatory cell infiltrate in invasive penile squamous cell carcinomas: Fox-P3 expression is an independent predictor of recurrence. Tumour Biol. 2015, 36, 2509–2516. [Google Scholar] [CrossRef]
- Golden, E.B.; Marciscano, A.E.; Formenti, S.C. Radiation Therapy and the In Situ Vaccination Approach. Int. J. Radiat. Oncol. 2020, 108, 891–898. [Google Scholar] [CrossRef]
- Ferris, R.L.; Gonçalves, A.; Baxi, S.S.; Martens, U.M.; Gauthier, H.; Langenberg, M.; Spanos, W.C.; Leidner, R.S.; Kang, H.; Russell, J. An open-label, multicohort, phase 1/2 study in patients with virus-associated cancers (CheckMate 358): Safety and efficacy of neoadjuvant nivolumab in squamous cell carcinoma of the head and neck (SCCHN). Ann. Oncol. 2017, 28, 628–629. [Google Scholar] [CrossRef]
- Uppaluri, R.; Campbell, K.M.; Egloff, A.M.; Zolkind, P.; Skidmore, Z.L.; Nussenbaum, B.; Paniello, R.C.; Rich, J.T.; Jackson, R.; Pipkorn, P.; et al. Neoadjuvant and Adjuvant Pembrolizumab in Resectable Locally Advanced, Human Papillomavirus-Unrelated Head and Neck Cancer: A Multicenter, Phase 2 Trial. Clin. Cancer Res. 2020, 26, 5140–5152. [Google Scholar] [CrossRef] [PubMed]
- Schoenfeld, J.D.; Hanna, G.J.; Jo, V.Y.; Rawal, B.; Chen, Y.H.; Catalano, P.S.; Lako, A.; Ciantra, Z.; Weirather, J.L.; Criscitiello, S.; et al. Neoadjuvant nivolumab or nivolumab plus ipilimumab in untreated oral cavity squamous cell carcinoma: A phase 2 open-label randomized clinical trial. JAMA Oncol. 2020, 6, 1563–1570. [Google Scholar] [CrossRef] [PubMed]
- Ferrarotto, R.; Bell, D.; Rubin, M.L.; Hutcheson, K.A.; Johnson, J.M.; Goepfert, R.P.; Phan, J.; Elamin, Y.Y.; Torman, D.K.; Warneke, C.L.; et al. Impact of Neoadjuvant Durvalumab with or without Tremelimumab on CD8+ Tumor Lymphocyte Density, Safety, and Efficacy in Patients with Oropharynx Cancer: CIAO Trial Results. Clin. Cancer Res. 2020, 26, 3211–3219. [Google Scholar] [CrossRef] [PubMed]
- Leidner, R.; Crittenden, M.; Young, K.; Xiao, H.; Wu, Y.; A Couey, M.; A Patel, A.; Cheng, A.C.; Watters, A.L.; Bifulco, C.; et al. Neoadjuvant immunoradiotherapy results in high rate of complete pathological response and clinical to pathological downstaging in locally advanced head and neck squamous cell carcinoma. J. Immunother. Cancer 2021, 9, e002485. [Google Scholar] [CrossRef]
- Robinson, R.; Marconi, L.; MacPepple, E.; Hakenberg, O.W.; Watkin, N.; Yuan, Y.; Lam, T.; MacLennan, S.; Adewuyi, T.E.; Coscione, A.; et al. Risks and Benefits of Adjuvant Radiotherapy After Inguinal Lymphadenectomy in Node-positive Penile Cancer: A Systematic Review by the European Association of Urology Penile Cancer Guidelines Panel. Eur. Urol. 2018, 74, 76–83. [Google Scholar] [CrossRef]
- Bandini, M.; Ross, J.S.; Zhu, Y.; Ye, D.; Ornellas, A.A.; Watkin, N.; Ayres, B.A.; Hakenberg, O.W.; Heidenreich, A.; Salvioni, R.; et al. Association between human papillomavirus infection and outcome of preoperative nodal radiotherapy for penile carcinoma. Eur. Urol. Oncol. 2021, 4, 802–810. [Google Scholar] [CrossRef]
- Yuan, Z.; Naghavi, A.O.; Tang, D.; Kim, Y.; Ahmed, K.A.; Dhillon, J.; Giuliano, A.R.; Spiess, P.E.; Johnstone, P.A. The relationship between HPV status and chemoradiotherapy in the locoregional control of penile cancer. World J. Urol. 2018, 36, 1431–1440. [Google Scholar] [CrossRef]
- Hui, C.; Chau, B.; Gan, G.; Stokes, W.; Karam, S.D.; Amini, A. Overcoming Resistance to Immunotherapy in Head and Neck Cancer Using Radiation: A Review. Front. Oncol. 2021, 11, 802–810. [Google Scholar] [CrossRef]







Publisher’s Note: MDPI stays neutral with regard to jurisdictional claims in published maps and institutional affiliations. |
© 2022 by the authors. Licensee MDPI, Basel, Switzerland. This article is an open access article distributed under the terms and conditions of the Creative Commons Attribution (CC BY) license (https://creativecommons.org/licenses/by/4.0/).
Share and Cite
Kaakour, D.; Seyedin, S.; Houshyar, R.; Mar, N. Combination of Pembrolizumab and Stereotactic Body Radiation Therapy in Recurrent Metastatic Penile Squamous Cell Carcinoma: A Case Study. Biomedicines 2022, 10, 3033. https://doi.org/10.3390/biomedicines10123033
Kaakour D, Seyedin S, Houshyar R, Mar N. Combination of Pembrolizumab and Stereotactic Body Radiation Therapy in Recurrent Metastatic Penile Squamous Cell Carcinoma: A Case Study. Biomedicines. 2022; 10(12):3033. https://doi.org/10.3390/biomedicines10123033
Chicago/Turabian StyleKaakour, Dalia, Steven Seyedin, Roozbeh Houshyar, and Nataliya Mar. 2022. "Combination of Pembrolizumab and Stereotactic Body Radiation Therapy in Recurrent Metastatic Penile Squamous Cell Carcinoma: A Case Study" Biomedicines 10, no. 12: 3033. https://doi.org/10.3390/biomedicines10123033
APA StyleKaakour, D., Seyedin, S., Houshyar, R., & Mar, N. (2022). Combination of Pembrolizumab and Stereotactic Body Radiation Therapy in Recurrent Metastatic Penile Squamous Cell Carcinoma: A Case Study. Biomedicines, 10(12), 3033. https://doi.org/10.3390/biomedicines10123033

