Investigation on the Effect of Oral Breathing on Cognitive Activity Using Functional Brain Imaging
Abstract
1. Introduction
2. Materials and Methods
2.1. Participants and Data Acquisition
2.2. Breathing Control
2.3. Stimulation Paradigm for fMRI
2.4. Data Analysis
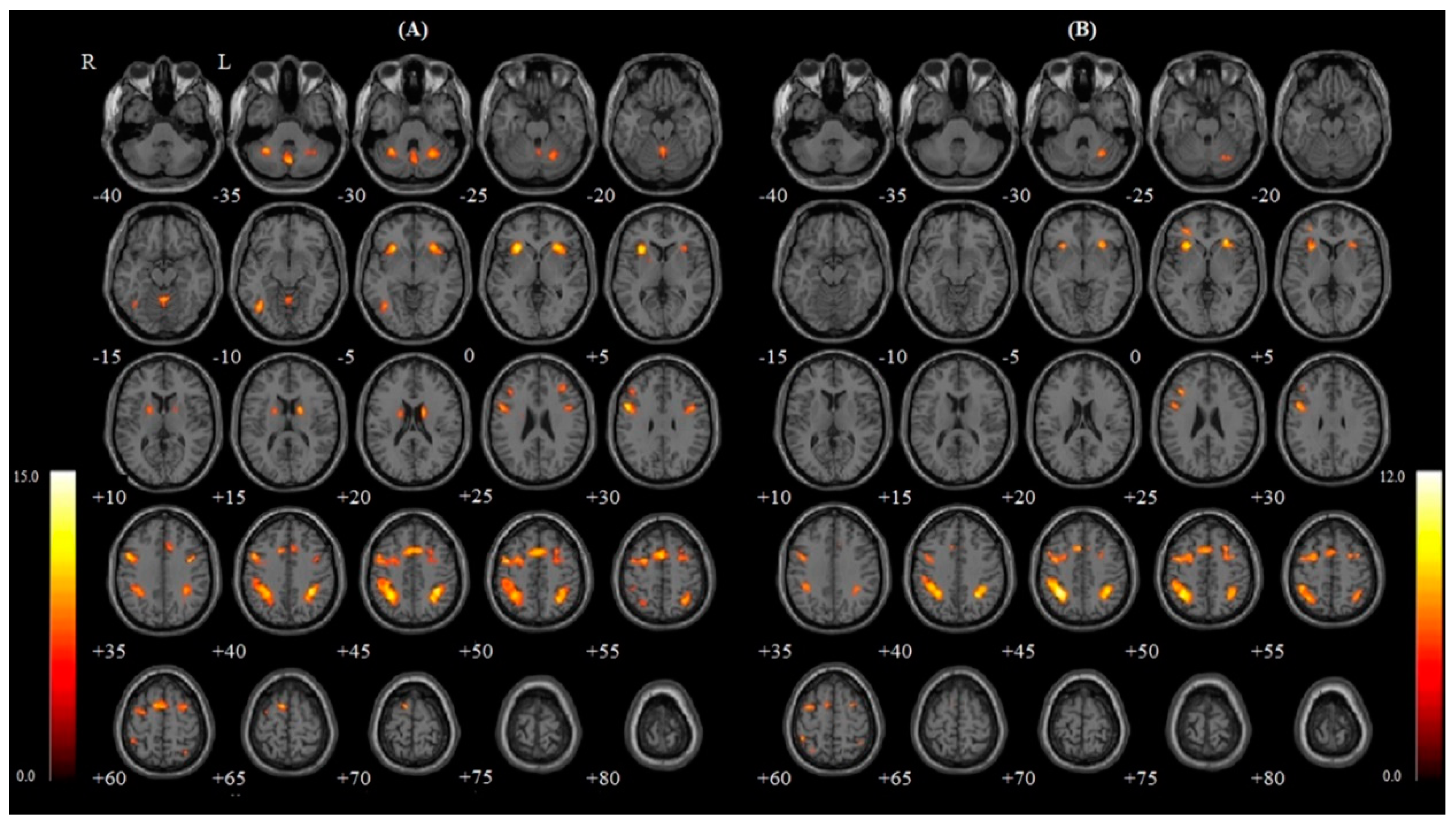
3. Results
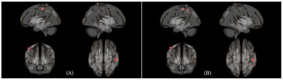
4. Discussion
5. Conclusions
Supplementary Materials
Author Contributions
Funding
Institutional Review Board Statement
Informed Consent Statement
Data Availability Statement
Acknowledgments
Conflicts of Interest
References
- Pevernagie, D.A.; De Meyer, M.M.; Claeys, S. Sleep, Breathing and the Nose. Sleep Med. Rev. 2005, 9, 437–451. [Google Scholar] [CrossRef]
- Tamkin, J. Impact of Airway Dysfunction on Dental Health. Bioinformation 2020, 16, 26–29. [Google Scholar] [CrossRef]
- Frenkel, E.S.; Ribbeck, K. Salivary Mucins Protect Surfaces from Colonization by Cariogenic Bacteria. Appl. Environ. Microbiol. 2015, 81, 332–338. [Google Scholar] [CrossRef]
- Bakor, S.F.; Enlow, D.H.; Pontes, P.; Biase, N.G.D. Craniofacial Growth Variations in Nasal-Breathing, Oral-Breathing, and Tracheotomized Children. Am. J. Orthod. Dentofac. Orthop. 2011, 140, 486–492. [Google Scholar] [CrossRef] [PubMed]
- Cuccia, A.M.; Lotti, M.; Caradonna, D. Oral Breathing and Head Posture. Angle Orthod. 2008, 78, 77–82. [Google Scholar] [CrossRef]
- Ucar, F.I.; Ekizer, A.; Uysal, T. Comparison of Craniofacial Morphology, Head Posture and Hyoid Bone Position with Different Breathing Patterns. Saudi Dent. J. 2012, 24, 135–141. [Google Scholar] [CrossRef] [PubMed]
- Zicari, A.M.; Albani, F.; Ntrekou, P.; Rugiano, A.; Duse, M.; Mattei, A.; Marzo, G. Oral Breathing and Dental Malocclusions. Eur. J. Pediat. Dent. 2009, 10, 6. [Google Scholar]
- Morton, A.R.; King, K.; Papalia, S.; Goodman, C.; Turley, K.R.; Wilmore, J.H. Comparison of Maximal Oxygen Consumption with Oral and Nasal Breathing. Aust. J. Sci. Med. Sport 1995, 27, 51–55. [Google Scholar] [PubMed]
- Hallani, M.; Wheatley, J.R.; Amis, T.C. Enforced Mouth Breathing Decreases Lung Function in Mild Asthmatics. Respirology 2008, 13, 553–558. [Google Scholar] [CrossRef]
- Kang, J.M.; Cho, S.-J.; Lee, Y.J.; Kim, J.-E.; Shin, S.-H.; Park, K.H.; Kim, S.T.; Kang, S.-G. Comparison of Psychiatric Symptoms in Patients with Obstructive Sleep Apnea, Simple Snoring, and Normal Controls. Psychosom. Med. 2018, 80, 193–199. [Google Scholar] [CrossRef]
- Niaki, E.A.; Chalipa, J.; Taghipoor, E. Evaluation of Oxygen Saturation by Pulse-Oximetry in Mouth Breathing Patients. Acta Med. Iran. 2010, 48, 9–11. [Google Scholar]
- Lee, K.-J.; Park, C.-A.; Lee, Y.-B.; Kim, H.-K.; Kang, C.-K. EEG Signals during Mouth Breathing in a Working Memory Task. Int. J. Neurosci. 2020, 130, 425–434. [Google Scholar] [CrossRef]
- Kuroishi, R.C.S.; Garcia, R.B.; Valera, F.C.P.; Anselmo-Lima, W.T.; Fukuda, M.T.H. Deficits in Working Memory, Reading Comprehension and Arithmetic Skills in Children with Mouth Breathing Syndrome: Analytical Cross-Sectional Study. Sao Paulo Med. J. 2014, 133, 78–83. [Google Scholar] [CrossRef] [PubMed]
- Tsubamoto-Sano, N.; Ohtani, J.; Ueda, H.; Kaku, M.; Tanne, K.; Tanimoto, K. Influences of Mouth Breathing on Memory and Learning Ability in Growing Rats. J. Oral Sci. 2019, 61, 119–124. [Google Scholar] [CrossRef]
- Arshamian, A.; Iravani, B.; Majid, A.; Lundström, J.N. Respiration Modulates Olfactory Memory Consolidation in Humans. J. Neurosci. 2018, 38, 10286–10294. [Google Scholar] [CrossRef]
- Sano, M.; Sano, S.; Oka, N.; Yoshino, K.; Kato, T. Increased Oxygen Load in the Prefrontal Cortex from Mouth Breathing: A Vector-Based near-Infrared Spectroscopy Study. NeuroReport 2013, 24, 935–940. [Google Scholar] [CrossRef]
- Lundberg, J.O.; Settergren, G.; Gelinder, S.; Lundberg, J.M.; Alving, K.; Weitzberg, E. Inhalation of Nasally Derived Nitric Oxide Modulates Pulmonary Function in Humans. Acta Physiol. Scand. 1996, 158, 343–347. [Google Scholar] [CrossRef] [PubMed]
- Park, C.-A.; Kang, C.-K. Sensing the Effects of Mouth Breathing by Using 3-Tesla MRI. J. Korean Phys. Soc. 2017, 70, 1070–1076. [Google Scholar] [CrossRef]
- Jung, J.-Y.; Park, C.-A.; Lee, Y.-B.; Kang, C.-K. Investigation of Functional Connectivity Differences between Voluntary Respirations via Mouth and Nose Using Resting State FMRI. Brain Sci. 2020, 10, 704. [Google Scholar] [CrossRef] [PubMed]
- Baddeley, A. The Episodic Buffer: A New Component of Working Memory? Trends Cogn. Sci. 2000, 4, 417–423. [Google Scholar] [CrossRef]
- Brosch, J.R.; Talavage, T.M.; Ulmer, J.L.; Nyenhuis, J.A. Simulation of Human Respiration in FMRI with a Mechanical Model. IEEE Trans. Biomed. Eng. 2002, 49, 700–707. [Google Scholar] [CrossRef]
- Yoshikawa, A.; Masaoka, Y.; Yoshida, M.; Koiwa, N.; Honma, M.; Watanabe, K.; Kubota, S.; Natsuko, I.; Ida, M.; Izumizaki, M. Heart Rate and Respiration Affect the Functional Connectivity of Default Mode Network in Resting-State Functional Magnetic Resonance Imaging. Front. Neurosci. 2020, 14. [Google Scholar] [CrossRef] [PubMed]
- Jaeggi, S.; Buschkuehl, M.; Perrig, W.; Meier, B. The Concurrent Validity of the N -Back Task as a Working Memory Measure. Memory 2010, 18, 394–412. [Google Scholar] [CrossRef]
- Rolls, E.T.; Joliot, M.; Tzourio-Mazoyer, N. Implementation of a New Parcellation of the Orbitofrontal Cortex in the Automated Anatomical Labeling Atlas. NeuroImage 2015, 122, 1–5. [Google Scholar] [CrossRef] [PubMed]
- Yaple, Z.A.; Stevens, W.D.; Arsalidou, M. Meta-Analyses of the n-Back Working Memory Task: FMRI Evidence of Age-Related Changes in Prefrontal Cortex Involvement across the Adult Lifespan. NeuroImage 2019, 196, 16–31. [Google Scholar] [CrossRef] [PubMed]
- Chan, P.-Y.S.; Cheng, C.-H.; Wu, Y.-T.; Wu, C.W.; Liu, H.-L.A.; Shaw, F.-Z.; Liu, C.-Y.; Davenport, P.W. Cortical and Subcortical Neural Correlates for Respiratory Sensation in Response to Transient Inspiratory Occlusions in Humans. Front Physiol. 2018, 9, 1804. [Google Scholar] [CrossRef] [PubMed]
- Chen, C.-J.; Wu, C.-H.; Liao, Y.-P.; Hsu, H.-L.; Tseng, Y.-C.; Liu, H.-L.; Chiu, W.-T. Working Memory in Patients with Mild Traumatic Brain Injury: Functional MR Imaging Analysis. Radiology 2012, 264, 844–851. [Google Scholar] [CrossRef] [PubMed]
- Owen, A.M.; McMillan, K.M.; Laird, A.R.; Bullmore, E. N-Back Working Memory Paradigm: A Meta-Analysis of Normative Functional Neuroimaging Studies. Hum. Brain Mapp. 2005, 25, 46–59. [Google Scholar] [CrossRef]
- Küper, M.; Kaschani, P.; Thürling, M.; Stefanescu, M.R.; Burciu, R.G.; Göricke, S.; Maderwald, S.; Ladd, M.E.; Hautzel, H.; Timmann, D. Cerebellar FMRI Activation Increases with Increasing Working Memory Demands. Cerebellum 2016, 15, 322–335. [Google Scholar] [CrossRef]
- Rottschy, C.; Langner, R.; Dogan, I.; Reetz, K.; Laird, A.R.; Schulz, J.B.; Fox, P.T.; Eickhoff, S.B. Modelling Neural Correlates of Working Memory: A Coordinate-Based Meta-Analysis. NeuroImage 2012, 60, 830–846. [Google Scholar] [CrossRef]
- Yaple, Z.; Arsalidou, M. N-Back Working Memory Task: Meta-Analysis of Normative FMRI Studies with Children. Child Dev. 2018, 89, 2010–2022. [Google Scholar] [CrossRef] [PubMed]
- Parsons, L.M.; Egan, G.; Liotti, M.; Brannan, S.; Denton, D.; Shade, R.; Robillard, R.; Madden, L.; Abplanalp, B.; Fox, P.T. Neuroimaging Evidence Implicating Cerebellum in the Experience of Hypercapnia and Hunger for Air. Proc. Natl. Acad. Sci. USA 2001, 98, 2041–2046. [Google Scholar] [CrossRef] [PubMed]
- Park, C.; Park, C.-A.; Kang, C.-K. Evaluation of Brain Function during Different Types of Breathing Using FDG-PET Compared with Using BOLD-FMRI. J. Korean Phys. Soc. 2021. [Google Scholar] [CrossRef]
- Baldo, J.V.; Dronkers, N.F. The Role of Inferior Parietal and Inferior Frontal Cortex in Working Memory. Neuropsychology 2006, 20, 529–538. [Google Scholar] [CrossRef] [PubMed]



| Parameter | Breathing | Median (IQR) | Z | p |
|---|---|---|---|---|
| Response time (s) | Oral | 0.595 (0.525–0.741) | −0.373 a | 0.709 |
| Nasal | 0.627 (0.527–0.726) | |||
| Accuracy (%) | Oral | 97.44 (94.87–100) | −1.927 b | 0.054 |
| Nasal | 100 (97.44–100) |
| Condition | L/R/M | Region | Cluster (KE) | Peak | Peak | Peak MNI Coordinate | ||
|---|---|---|---|---|---|---|---|---|
| T | Z score | X | Y | Z | ||||
| Nasal | R | Inferior parietal gyrus | 801 | 15.18 | 7.15 | 36 | −44 | 44 |
| Caudate nucleus | 133 | 11.33 | 7.15 | 16 | 2 | 18 | ||
| Insula | 291 | 11.26 | 6.34 | 30 | 22 | 0 | ||
| Cerebellum | 229 | 10.44 | 6.13 | 28 | −58 | −28 | ||
| Precentral gyrus | 184 | 10.17 | 6.05 | 38 | 0 | 34 | ||
| Middle frontal gyrus | 265 | 8.66 | 5.59 | 32 | 6 | 58 | ||
| M | Vermis | 413 | 9.89 | 5.97 | 0 | −66 | −34 | |
| L | Insula | 338 | 14.49 | 7.03 | −30 | 20 | 4 | |
| Precentral gyrus | 888 | 12.68 | 6.67 | −50 | 8 | 32 | ||
| Inferior parietal gyrus | 1295 | 12.68 | 6.67 | −30 | −48 | 44 | ||
| Inferior occipital gyrus | 177 | 11.42 | 6.38 | −40 | −62 | −8 | ||
| Supplementary motor area | 865 | 11.33 | 6.36 | 0 | 10 | 54 | ||
| Cerebellum | 127 | 10.39 | 6.11 | −30 | −54 | −30 | ||
| Middle frontal gyrus | 59 | 8.53 | 5.55 | −44 | 30 | 32 | ||
| Putamen | 153 | 8.24 | 5.45 | −20 | 4 | 12 | ||
| Oral | R | Inferior parietal gyrus | 568 | 11.48 | 6.39 | 36 | −46 | 46 |
| Putamen | 191 | 10.85 | 6.23 | 26 | 26 | 2 | ||
| Cerebellum | 102 | 8.81 | 5.64 | 26 | −62 | −28 | ||
| Superior frontal gyrus | 181 | 8.37 | 5.49 | 26 | 4 | 58 | ||
| L | Inferior parietal gyrus | 1201 | 13.89 | 6.92 | −32 | −48 | 46 | |
| Insula | 191 | 10.95 | 6.26 | −30 | 22 | 2 | ||
| Middle frontal gyrus | 73 | 10.61 | 6.17 | −30 | 44 | 2 | ||
| Supplementary motor area | 284 | 9.34 | 5.81 | 0 | 12 | 52 | ||
| Precentral gyrus | 655 | 9.15 | 5.75 | −46 | 4 | 30 | ||
| Inferior frontal gyrus, triangular part | 59 | 8.72 | 5.61 | −36 | 26 | 26 | ||
| Condition | Seed | Region | Cluster (KE) | Peak | Peak | Peak MNI Coordinate | ||
|---|---|---|---|---|---|---|---|---|
| T | Z Score | X | Y | Z | ||||
| Nasal > Oral | Cerebellum 6 (L) | Cerebellum 8 (R) | 240 | 5.538 | 4.771 | 36 | −58 | −44 |
| Inferior parietal gyrus (R) | Parietal operculum cortex (R) | 179 | 4.944 | 4.364 | 52 | −34 | 26 | |
| Postcentral gyrus (L) | 114 | 4.617 | 4.129 | −36 | −26 | 48 | ||
| Cerebellum 6 (R) | 115 | 4.241 | 3.847 | 24 | −54 | −24 | ||
| Inferior parietal gyrus (L) | Postcentral gyrus (L) | 239 | 4.927 | 4.352 | −34 | −28 | 48 | |
| Middle frontal gyrus (L) | Anterior cingulate gyrus | 146 | 4.571 | 4.095 | −2 | 14 | 32 | |
| Lateral occipital cortex, (superior division) (L) | 202 | 4.312 | 3.901 | −20 | −88 | 38 | ||
| Oral > Nasal | Inferior frontal gyrus, triangular part (L) | Postcentral gyrus (R) | 123 | 4.620 | 4.131 | 50 | −32 | 56 |
| Middle frontal gyrus (L) | Postcentral gyrus (R) | 215 | 4.449 | 4.004 | 50 | −30 | 54 | |
Publisher’s Note: MDPI stays neutral with regard to jurisdictional claims in published maps and institutional affiliations. |
© 2021 by the authors. Licensee MDPI, Basel, Switzerland. This article is an open access article distributed under the terms and conditions of the Creative Commons Attribution (CC BY) license (https://creativecommons.org/licenses/by/4.0/).
Share and Cite
Jung, J.-Y.; Kang, C.-K. Investigation on the Effect of Oral Breathing on Cognitive Activity Using Functional Brain Imaging. Healthcare 2021, 9, 645. https://doi.org/10.3390/healthcare9060645
Jung J-Y, Kang C-K. Investigation on the Effect of Oral Breathing on Cognitive Activity Using Functional Brain Imaging. Healthcare. 2021; 9(6):645. https://doi.org/10.3390/healthcare9060645
Chicago/Turabian StyleJung, Ju-Yeon, and Chang-Ki Kang. 2021. "Investigation on the Effect of Oral Breathing on Cognitive Activity Using Functional Brain Imaging" Healthcare 9, no. 6: 645. https://doi.org/10.3390/healthcare9060645
APA StyleJung, J.-Y., & Kang, C.-K. (2021). Investigation on the Effect of Oral Breathing on Cognitive Activity Using Functional Brain Imaging. Healthcare, 9(6), 645. https://doi.org/10.3390/healthcare9060645

