The Role of CDK4 in the Pathogenesis of Pancreatic Cancer
Abstract
:1. Introduction
2. Materials and Methods
2.1. Pancreatic Cancer Epidemiology
2.2. CDK4 Expression in Pancreatic Cancer Tissues
2.2.1. FPKM RNA-Seq
2.2.2. Antibody Profiling
2.3. The Normal and Pathological Role of CDK4
3. Results
3.1. Incidence, Mortality and Comparison by HDI of PC in 2020
3.2. FPKM RNA-Seq of CDK4
3.2.1. Descriptive Statistics
3.2.2. Investigating the Correlation between FPKM Expression and Patient Status
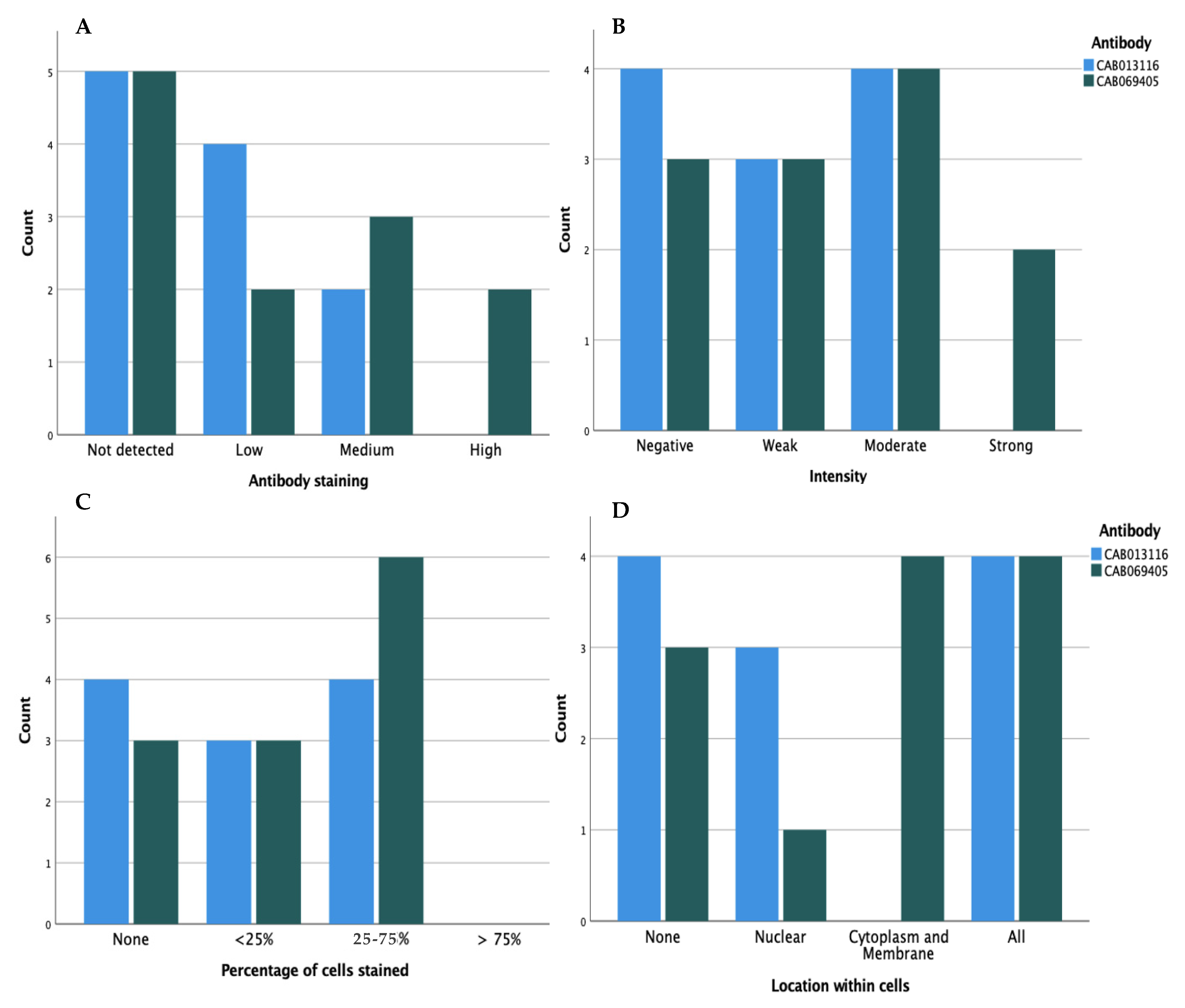
3.3. Antibody Profiling of CDK4 Protein Expression in PDAC Tissues
3.4. KEGG PATHWAY Analysis for CDK4
4. Discussion
4.1. Pancreatic Cancer Epidemiology
4.2. CDK4 Expression in Pancreatic Cancer Patients
4.3. The Role of CDK4 and the Current Use of CDK4/6 Inhibitors in Pancreatic Cancer
5. Conclusions
Supplementary Materials
Author Contributions
Funding
Institutional Review Board Statement
Informed Consent Statement
Data Availability Statement
Conflicts of Interest
References
- Cancer Survival in England: Adult, Stage at Diagnosis and Childhood—Patients Followed Up to 2018. Available online: https://www.ons.gov.uk/peoplepopulationandcommunity/healthandsocialcare/conditionsanddiseases/bulletins/cancersurvivalinengland/stageatdiagnosisandchildhoodpatientsfollowedupto2018 (accessed on 12 June 2021).
- Pereira, S.P.; Oldfield, L.; Ney, A.; Hart, P.A.; Keane, M.G.; Pandol, S.J.; Li, D.; Greenhalf, W.; Jeon, C.Y.; Koay, E.J.; et al. Early detection of pancreatic cancer. Lancet Gastroenterol. Hepatol. 2020, 5, 698–710. [Google Scholar] [CrossRef]
- Yoo, H.J.; You, M.W.; Han, D.Y.; Hwang, J.H.; Park, S.J. Tumor conspicuity significantly correlates with postoperative recurrence in patients with pancreatic cancer: A retrospective observational study. Cancer Imaging 2020, 20, 46. [Google Scholar] [CrossRef]
- McGuigan, A.; Kelly, P.; Turkington, R.C.; Jones, C.; Coleman, H.G.; McCain, R.S. Pancreatic cancer: A review of clinical diagnosis, epidemiology, treatment and outcomes. World J. Gastroenterol. 2018, 24, 4846–4861. [Google Scholar] [CrossRef]
- Puleo, F.; Nicolle, R.; Blum, Y.; Cros, J.; Marisa, L.; Demetter, P.; Quertinmont, E.; Svrcek, M.; Elarouci, N.; Iovanna, J. Stratification of pancreatic ductal adenocarcinomas based on Tumor and microenvironment features. Gastroenterology 2018, 155, 1999–2013. [Google Scholar] [CrossRef] [Green Version]
- Rawla, P.; Sunkara, T.; Gaduputi, V. Epidemiology of pancreatic cancer: Global trends, etiology and risk factors. World J. Oncol. 2019, 10, 10–27. [Google Scholar] [CrossRef]
- Ohki, K.; Igarashi, T.; Ashida, H.; Shiraishi, M.; Nozawa, Y.; Ojiri, H. Differentiation between non-hypervascular pancreatic neuroendocrine tumour and pancreatic ductal adenocarcinoma on dynamic computed tomography and non-enhanced magnetic resonance imaging. Pol. J. Radiol. 2019, 84, e153–e161. [Google Scholar] [CrossRef]
- Peters, M.L.B.; Eckel, A.; Mueller, P.P.; Tramontano, A.C.; Weaver, D.T.; Lietz, A.; Hur, C.; Kong, C.Y.; Pandharipande, P.V. Progression to pancreatic ductal adenocarcinoma from pancreatic intraepithelial neoplasia: Results of a simulation model. Pancreatology 2018, 18, 928–934. [Google Scholar] [CrossRef] [PubMed]
- Jancík, S.; Drábek, J.; Radzioch, D. Clinical relevance of KRAS in human cancers. J. Biomed. Biotechnol. 2010, 2010, 150960. [Google Scholar] [CrossRef] [PubMed] [Green Version]
- Idachaba, S.; Dada, O.; Abimbola, O.; Olayinka, O.; Uma, A.; Olunu, E.; Fakoya, A.O.J. A review of pancreatic cancer: Epidemiology, genetics, screening, and management. Open Access Maced. J. Med. Sci. 2019, 7, 663–671. [Google Scholar] [CrossRef] [PubMed] [Green Version]
- Kim, J.Y.; Hong, S.-M. Precursor lesions of pancreatic cancer. Oncol. Res. Treat. 2018, 41, 603–610. [Google Scholar] [CrossRef]
- Zhang, Q.; Zeng, L.; Chen, Y.; Lian, G.; Qian, C.; Chen, S.; Li, J.; Huang, K. Pancreatic cancer epidemiology, detection, and management. Gastroenterol. Res. Pract. 2016, 2016, 8962321. [Google Scholar] [CrossRef] [PubMed] [Green Version]
- Wood, D.J.; Endicott, J.A. Structural insights into the functional diversity of the CDK–cyclin family. Open Biol. 2018, 8, 180112. [Google Scholar] [CrossRef] [PubMed] [Green Version]
- García-Reyes, B.; Kretz, A.L.; Ruff, J.P.; Karstedt, S.V.; Hilenband, A.; Knippschild, U.; Henne-Bruns, D.; Lemke, J. The emerging role of cyclin-dependent kinases (CDKs) in pancreatic ductal adenocarcinoma. Int. J. Mol. Sci. 2018, 19, 3219. [Google Scholar] [CrossRef] [PubMed] [Green Version]
- Wu, Y.; Zhang, Y.; Pi, H.; Sheng, Y. Current therapeutic progress of CDK4/6 inhibitors in breast cancer. Cancer Manag. Res. 2020, 12, 3477–3487. [Google Scholar] [CrossRef] [PubMed]
- Du, Q.; Guo, X.; Wang, M.; Li, Y.; Sun, X.; Li, Q. The application and prospect of CDK4/6 inhibitors in malignant solid tumors. J. Hematol. Oncol. 2020, 13, 41. [Google Scholar] [CrossRef] [PubMed]
- Ferlay, J.; Ervik, M.; Lam, F.; Colombet, M.; Mery, L.; Piñeros, M.; Znaor, A.; Soerjomamtaram, I.; Bray, F. Global Cancer Observatory: Cancer Today. International Agency for Research on Cancer: Lyon, France, 2020. Available online: https://gco.iarc.fr/today (accessed on 1 June 2021).
- Herrero, C.; Martínez, R.; Villar, A. Population structure and the human development index. Soc. Indic. Res. 2019, 141, 731–763. [Google Scholar] [CrossRef] [Green Version]
- Robson, B.; Purdie, G.; Cram, F.; Simmonds, S. Age standardization—An indigenous standard? Emerg. Themes Epidemiol. 2007, 4, 3. [Google Scholar] [CrossRef] [Green Version]
- Ferlay, J.; Colombet, M.; Bray, F. Cancer Incidence in Five Continents, Vol. XI: IARC Cancer Base No. 9. 2018. Available online: http://ci5.iarc.fr (accessed on 2 June 2021).
- Global Cancer Observatory: Data & Methods. Available online: https://gco.iarc.fr/today/data-sources-methods (accessed on 1 June 2021).
- Uhlen, M.; Zhang, C.; Lee, S.; Sjöstedt, E.; Fagerberg, L.; Bidkhori, G.; Benfeitas, R.; Arif, M.; Liu, Z.; Edfors, F. A pathology atlas of the human cancer transcriptome. Science 2017, 357, eaan2507. [Google Scholar] [CrossRef] [Green Version]
- The Human Protein Atlas. Expression of CDK4 in Pancreatic Cancer. Available online: https://www.proteinatlas.org/ENSG00000135446-CDK4/pathology/pancreatic+cancer (accessed on 6 June 2021).
- The Human Protein Atlas. Immunohistochemical Protocol. The Human Protein Atlas. Available online: https://www.proteinatlas.org/download/IHC_protocol.pdf (accessed on 2 June 2021).
- Kanehisa, M.; Goto, S. KEGG: Kyoto encyclopedia of genes and genomes. Nucleic Acids Res. 2000, 28, 27–30. [Google Scholar] [CrossRef]
- Huang, L.; Jansen, L.; Balavarca, Y.; Babaei, M.; Geest, L.V.D.; Lemmens, V.; Eychken, L.V.; Schutter, H.D.; Johannesen, T.B.; Primic-Žakelj, M.; et al. Stratified survival of resected and overall pancreatic cancer patients in Europe and the USA in the early twenty-first century: A large, international population-based study. BMC Med. 2018, 16, 125. [Google Scholar] [CrossRef] [Green Version]
- Pourshams, A.; Sepanlou, S.G.; Ikuta, K.S.; Bisignano, C.; Sfiri, S.; Roshandel, G.; Sharif, M.; Khatibian, M.; Fitzmaurice, C.; Nixon, M.R.; et al. The global, regional, and national burden of pancreatic cancer and its attributable risk factors in 195 countries and territories, 1990–2017: A systematic analysis for the Global Burden of Disease Study 2017. Lancet Gastroenterol. Hepatol. 2019, 4, 934–947. [Google Scholar] [CrossRef] [Green Version]
- Reitsma, M.B.; Fullman, N.; Ng, M.; Salama, J.S.; Abajobir, A.; Abate, K.H.; Abbafati, C.; Abera, S.F.; Abraham, B.; Abuya, G.Y.; et al. Smoking prevalence and attributable disease burden in 195 countries and territories, 1990–2015: A systematic analysis from the Global Burden of Disease Study 2015. Lancet 2017, 389, 1885–1906. [Google Scholar] [CrossRef] [Green Version]
- Weissman, S.; Takakura, K.; Eibl, G.; Pandol, S.J.; Saruta, M. The diverse involvement of cigarette smoking in pancreatic cancer development and prognosis. Pancreas 2020, 49, 612–620. [Google Scholar] [CrossRef] [PubMed]
- Rajalakshmi, T.R.; AravindhaBabu, N.; Shanmugam, K.T.; Masthan, K.M.K. DNA adducts-chemical addons. J. Pharm. Bioallied Sci. 2015, 7, S197–S199. [Google Scholar] [CrossRef] [PubMed]
- Momi, N.; Kaur, S.; Ponnusamy, M.P.; Kumar, S.; Wittel, U.A.; Batra, S.K. Interplay between smoking-induced genotoxicity and altered signalling in pancreatic carcinogenesis. Carcinogenesis 2012, 33, 1617–1628. [Google Scholar] [CrossRef] [PubMed]
- Lugo, A.; Peveri, G.; Bosetti, C.; Bagnardi, V.; Crippa, A.; Orsini, N.; Rota, M.; Gallus, S. Strong excess risk of pancreatic cancer for low frequency and duration of cigarette smoking: A comprehensive review and meta-analysis. Eur. J. Cancer 2018, 104, 117–126. [Google Scholar] [CrossRef]
- Huang, J.; Lok, V.; Ngai, C.H.; Zhang, L.; Yuan, J.; Lao, X.Q.; Ng, K.; Chong, C.; Zheng, Z.J.; Wong, M.C.S. Worldwide burden of, risk factors for, and trends in pancreatic cancer. Gastroenterology 2021, 160, 744–754. [Google Scholar] [CrossRef]
- McWilliams, R.R.; Maisonneuve, P.; Bamlet, W.R.; Petersen, G.M.; Li, D.; Risch, H.; Yu, H.; Fontham, E.T.H.; Luckett, B.; Bosetti, C.; et al. Risk factors for early-onset and very-early-onset pancreatic adenocarcinoma: A pancreatic cancer case-control consortium (PanC4) analysis. Pancreas 2016, 45, 311–316. [Google Scholar] [CrossRef] [Green Version]
- Maringe, C.; Spicer, J.; Morris, M.; Purushotham, A.; Nolte, E.; Sullivan, R.; Rachet, B. The impact of the COVID-19 pandemic on cancer deaths due to delays in diagnosis in England, UK: A national, population-based, modelling study. Lancet Oncol. 2020, 21, 1023–1034. [Google Scholar] [CrossRef]
- Franco, J.; Witkiewicz, A.K.; Knudsen, E.S. CDK4/6 inhibitors have potent activity in combination with pathway selective therapeutic agents in models of pancreatic cancer. Oncotarget 2014, 5, 6512–6525. [Google Scholar] [CrossRef] [Green Version]
- Asghar, U.; Witkiewicz, A.K.; Turner, N.C.; Knudsen, E.S. The history and future of targeting cyclin-dependent kinases in cancer therapy. Nat. Rev. Drug Discov. 2015, 14, 130–146. [Google Scholar] [CrossRef] [Green Version]
- Di Marco, M.; Di Cicilia, R.; Macchini, M.; Nobili, E.; Vecchiarelli, S.; Brandi, G.; Biasco, G. Metastatic pancreatic cancer: Is gemcitabine still the best standard treatment? Oncol. Rep. 2010, 23, 1183–1192. [Google Scholar] [CrossRef] [PubMed] [Green Version]
- Lee, M.S.; Helms, T.; Feng, N.; Gay, J.; Chang, Q.E.; Tian, F.; Wu, J.Y.; Toniatti, C.; Heffernan, T.P.; Powis, G.; et al. Efficacy of the combination of MEK and CDK4/6 inhibitors in vitro and in vivo in KRAS mutant colorectal cancer models. Oncotarget 2016, 7, 39595–39608. [Google Scholar] [CrossRef] [PubMed] [Green Version]
- Peurala, E.; Koivunen, P.; Haapasaari, K.M.; Bloigu, R.; Jukkola-Vuorinen, A. The prognostic significance and value of cyclin D1, CDK4 and p16 in human breast cancer. Breast Cancer Res. 2013, 15, R5. [Google Scholar] [CrossRef] [Green Version]
- Kosti, I.; Jain, N.; Aran, D.; Butte, A.J.; Sirota, M. Cross-tissue analysis of gene and protein expression in normal and cancer tissues. Sci. Rep. 2016, 6, 24799. [Google Scholar] [CrossRef] [PubMed] [Green Version]
- Hamilton, E.; Infante, J.R. Targeting CDK4/6 in patients with cancer. Cancer Treat. Rev. 2016, 45, 129–138. [Google Scholar] [CrossRef] [PubMed] [Green Version]
- Lerbs, T.; Bisht, S.; Schölch, S.; Pecqueux, M.; Kristiansen, G.; Scheider, M.; Hofmann, B.T.; Welsch, T.; Reissfelder, C.; Rahbari, N.N.; et al. Inhibition of Six1 affects tumour invasion and the expression of cancer stem cell markers in pancreatic cancer. BMC Cancer 2017, 17, 249. [Google Scholar] [CrossRef] [Green Version]
- Li, Z.; Tian, T.; Lv, F.; Chang, Y.; Wang, X.; Zhang, L.; Li, X.; Li, L.; Ma, W.; Wu, J.; et al. Six1 promotes proliferation of pancreatic cancer cells via upregulation of cyclin D1 expression. PLoS ONE 2013, 8, e59203. [Google Scholar] [CrossRef]
- Spring, L.; Bardia, A.; Modi, S. Targeting the cyclin D-cyclin-dependent kinase (CDK) 4/6-retinoblastoma pathway with selective CDK 4/6 inhibitors in hormone receptor-positive breast cancer: Rationale, current status, and future directions. Discov. Med. 2016, 21, 65–74. [Google Scholar] [PubMed]
- Martínez-Carreres, L.; Puyal, J.; Leal-Esteban, L.C.; Orpinell, M.; Castillo-Armengol, J.; Giralt, A.; Dergai, O.; Moret, C.; Barquissau, V.; Nasrallah, A.; et al. CDK4 regulates lysosomal function and mTORC1 activation to promote cancer cell survival. Cancer Res. 2019, 79, 5245–5259. [Google Scholar] [CrossRef] [Green Version]
- Knudsen, E.S.; Kumarasamy, V.; Chung, S.; Ruiz, A.; Vail, P.; Tzetzo, S.; Wu, J.; Nambiar, R.; Seshadri, M.; Abrams, S.; et al. Targeting dual signalling pathways in concert with immune checkpoints for the treatment of pancreatic cancer. Gut 2021, 70, 127–138. [Google Scholar] [CrossRef]
- Singh, A.; Pruett, N.; Pahwa, R.; Mahajan, A.P.; Schrump, D.S.; Hoang, C.D. MicroRNA-206 suppresses mesothelioma progression via the Ras signalling axis. Mol. Ther. Nucleic Acids 2021, 24, 669–681. [Google Scholar] [CrossRef]
- Salvador-Barbero, B.; Álvarez-Fernández, M.; Zapatero-Solana, E.; Bakkali, A.E.; Menéndez, M.D.C.; López-Casas, P.P.; Domenico, T.D.; Xie, T.; VanArsdale, T.; Shields, D.J.; et al. CDK4/6 inhibitors impair recovery from cytotoxic chemotherapy in pancreatic adenocarcinoma. Cancer Cell 2020, 37, 340–353. [Google Scholar] [CrossRef] [PubMed]
- Chou, A.; Froio, D.; Nagrial, A.M.; Parkin, A.; Murphey, K.J.; Chin, V.T.; Wohl, D.; Steinmann, A.; Stark, R.; Drury, A.; et al. Tailored first-line and second-line CDK4-targeting treatment combinations in mouse models of pancreatic cancer. Gut 2018, 67, 2142–2155. [Google Scholar] [CrossRef] [PubMed] [Green Version]
- Kumarasamy, V.; Ruiz, A.; Nambiar, R.; Witkiewicz, A.K.; Knudsen, E.S. Chemotherapy impacts on the cellular response to CDK4/6 inhibition: Distinct mechanisms of interaction and efficacy in models of pancreatic cancer. Oncogene 2020, 39, 1831–1845. [Google Scholar] [CrossRef] [PubMed]









| Population | Estimated Incidence | Estimated Mortality | ||||||||||
| Male | Female | Male | Female | |||||||||
| n | ASR * | Cum. Risk ** | n | ASR * | Cum. Risk ** | n | ASR * | Cum. Risk ** | n | ASR * | Cum. Risk ** | |
| Asia | 129,488 | 4.7 | 1.5 | 104,213 | 3.3 | 1.27 | 123,337 | 4.5 | 1.5 | 100,697 | 3.1 | 1.27 |
| Europe | 70,210 | 9.4 | 2.67 | 6906 | 6.4 | 2.04 | 66,698 | 8.8 | 2.59 | 65,436 | 5.8 | 1.98 |
| Northern America | 32,938 | 9.3 | 2.7 | 29,705 | 6.9 | 2.1 | 27,888 | 7.6 | 2.38 | 25,389 | 5.5 | 1.87 |
| Latin America and the Caribbean | 18,477 | 5 | 1.55 | 18,875 | 4 | 1.36 | 17,897 | 4.9 | 1.53 | 18,133 | 3.8 | 1.33 |
| Africa | 9239 | 2.7 | 0.79 | 7831 | 2 | 0.58 | 8936 | 2.6 | 0.78 | 7613 | 1.9 | 0.58 |
| Oceania | 2513 | 7.3 | 2.37 | 2378 | 6 | 2.03 | 2084 | 6 | 2.04 | 1895 | 4.5 | 1.7 |
| Population | Total | Total | ||||||||||
| n | ASR * | Cum. Risk ** | n | ASR * | Cum. Risk ** | |||||||
| Asia | 233,701 | 4 | 1.38 | 224,034 | 3.8 | 1.38 | ||||||
| Europe | 140,116 | 7.8 | 2.31 | 132,134 | 7.2 | 2.21 | ||||||
| Northern America | 62,643 | 8 | 2.37 | 53,277 | 6.5 | 2.1 | ||||||
| Latin America and the Caribbean | 37,352 | 4.5 | 1.45 | 36,030 | 4.3 | 1.42 | ||||||
| Africa | 17,070 | 2.3 | 0.67 | 165,349 | 2.3 | 0.66 | ||||||
| Oceania | 4891 | 6.6 | 2.19 | 3979 | 5.2 | 1.86 | ||||||
| 495,773 | 466,003 | |||||||||||
| Patient Status | n | Minimum | Maximum | Mean | Std. Deviation |
|---|---|---|---|---|---|
| Age (years) | 173 | 35.00 | 88.00 | 64.7283 | ±10.87033 |
| Expression of FPKM | 173 | 5.80 | 52.10 | 17.5202 | ±5.81957 |
| Time since diagnosis (days) | 173 | 4.00 | 2741.00 | 556.7052 | ±461.29197 |
| Analysis | Age (Years) | Stage | Time Since Diagnosis (Days) | Alive or Dead Status | |
|---|---|---|---|---|---|
| FPKM | Correlation Coefficient | −0.078 | −0.164 * | −0.023 | −0.121 |
| Sig. (2-tailed) | 0.308 | 0.031 * | 0.768 | 0.114 | |
| n | 173 | 173 | 173 | 172 | |
| CDK4 | Cyclin-Dependent Kinase 4 |
|---|---|
| Pathways | (1) Endocrine resistance, (2) Cell Cycle, (3) p53 signalling pathway, (4) P13K-Akt signalling pathway, (5) Cellular senescence, (6) Tight junction, (7) T-cell receptor signalling pathway. (8) AGE-RAGE signalling pathway in diabetic complications, (9) Cushing syndrome, (10) Hepatitis C, (11) Measles, (12) Human cytomegalovirus infection, (13) Influenza A, (14) Human papillomavirus infection, (15) Human T-cell leukaemia virus 1 infection (15) Kaposi sarcoma-associated herpesvirus infection, (16) Epstein-Barr virus infection, (17) Pathways in cancer, (18) Viral carcinogenesis, (19) Pancreatic cancer, (20) Glioma, (21) Melanoma, (22) Bladder cancer, (23) Chronic myeloid leukaemia, (24) Small cell lung cancer, (25) Non-small cell lung cancer, (26) Breast Cancer, (27) Hepatocellular carcinoma |
| Disease | (1) Glioma (amplification) (2) Melanoma (mutation) (3) Cervical cancer (overexpression) |
Publisher’s Note: MDPI stays neutral with regard to jurisdictional claims in published maps and institutional affiliations. |
© 2021 by the authors. Licensee MDPI, Basel, Switzerland. This article is an open access article distributed under the terms and conditions of the Creative Commons Attribution (CC BY) license (https://creativecommons.org/licenses/by/4.0/).
Share and Cite
Jiggens, E.; Mortoglou, M.; Grant, G.H.; Uysal-Onganer, P. The Role of CDK4 in the Pathogenesis of Pancreatic Cancer. Healthcare 2021, 9, 1478. https://doi.org/10.3390/healthcare9111478
Jiggens E, Mortoglou M, Grant GH, Uysal-Onganer P. The Role of CDK4 in the Pathogenesis of Pancreatic Cancer. Healthcare. 2021; 9(11):1478. https://doi.org/10.3390/healthcare9111478
Chicago/Turabian StyleJiggens, Emily, Maria Mortoglou, Guy H. Grant, and Pinar Uysal-Onganer. 2021. "The Role of CDK4 in the Pathogenesis of Pancreatic Cancer" Healthcare 9, no. 11: 1478. https://doi.org/10.3390/healthcare9111478
APA StyleJiggens, E., Mortoglou, M., Grant, G. H., & Uysal-Onganer, P. (2021). The Role of CDK4 in the Pathogenesis of Pancreatic Cancer. Healthcare, 9(11), 1478. https://doi.org/10.3390/healthcare9111478

