Understanding the Real Needs and Expectations of French Patients with Amelogenesis Imperfecta Through Facebook Content: A Qualitative Thematic Analysis
Abstract
1. Introduction
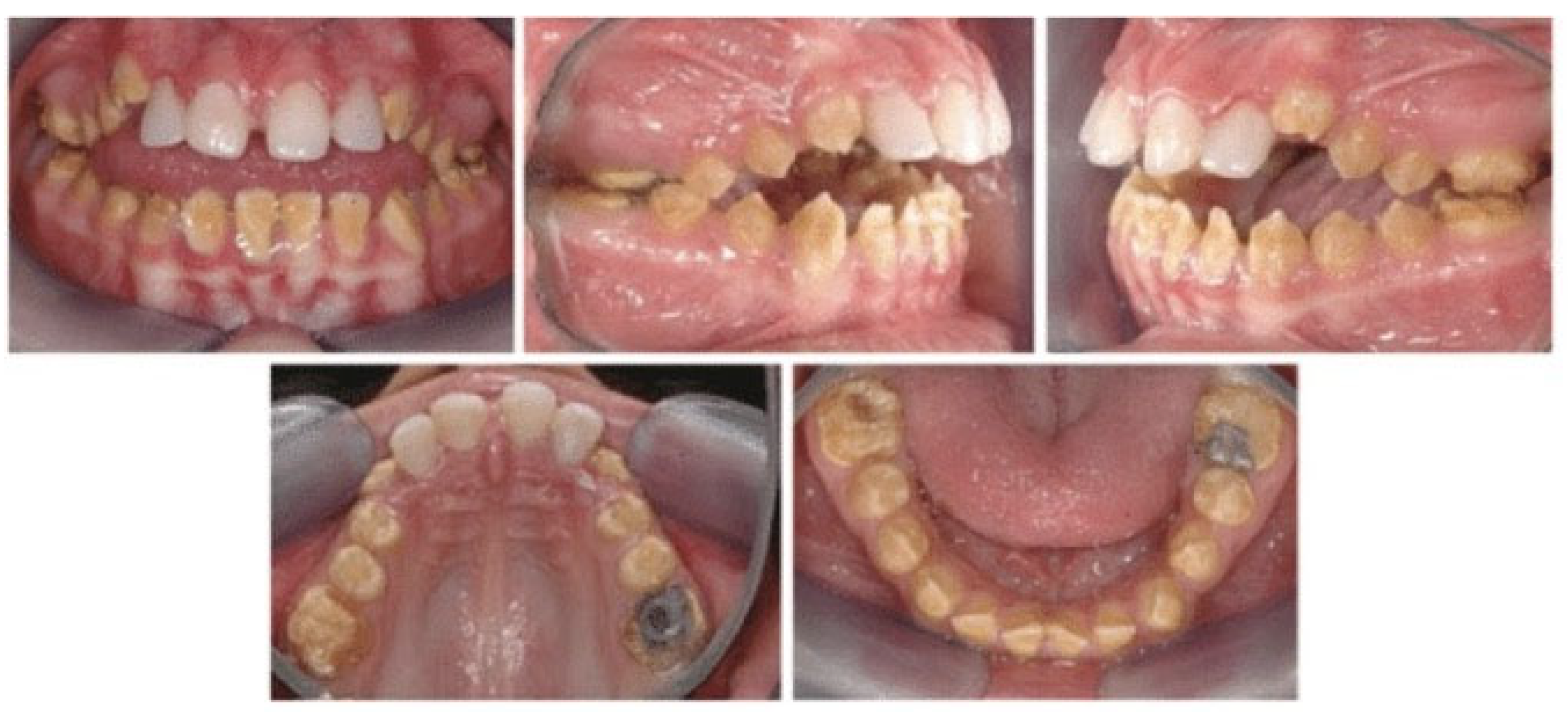
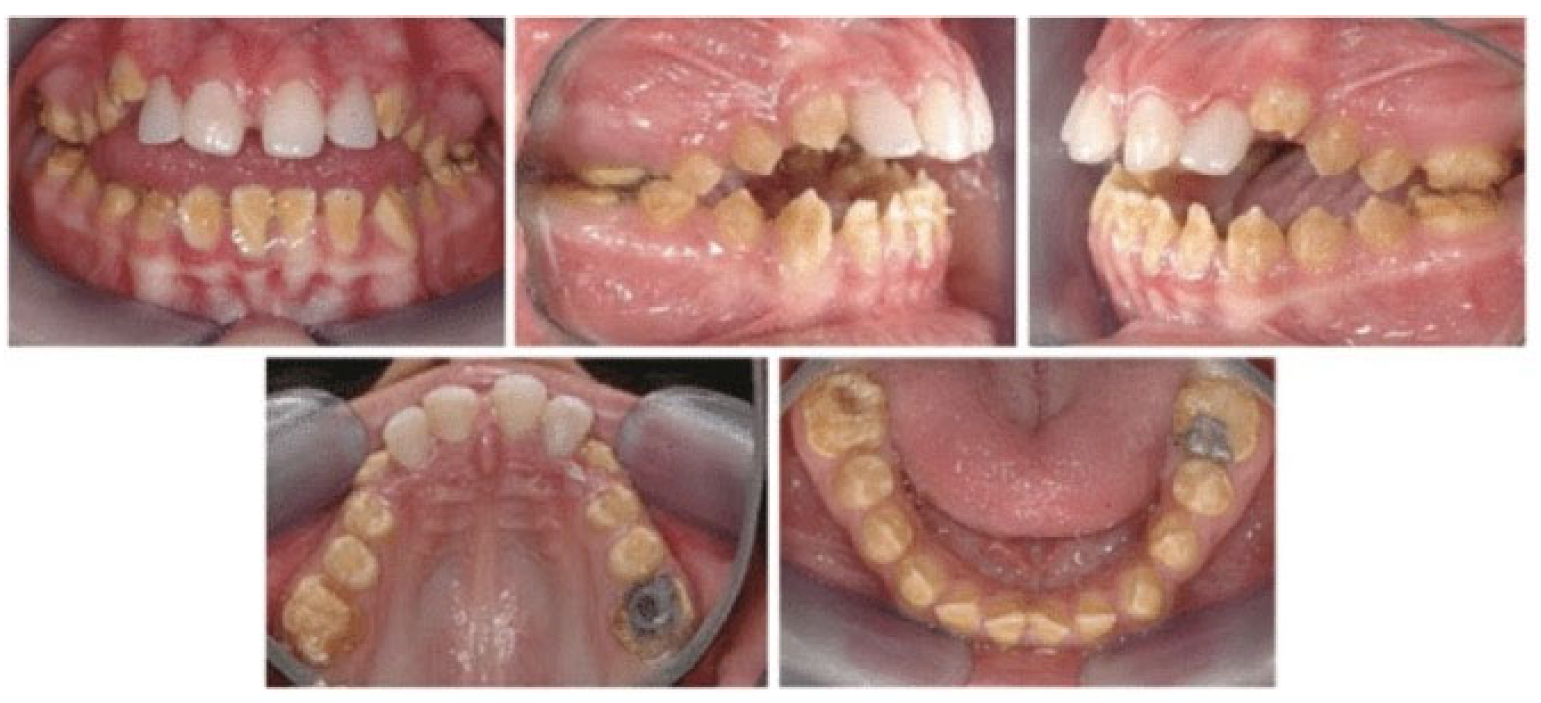
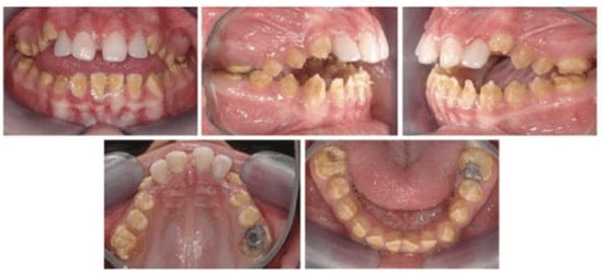
1.1. Amelogenesis Imperfecta (AI) and Its Consequences

1.2. Advantages of Online Social Network for Patients
1.3. Limitations of Previous Studies and Our Objectives
2. Materials and Methods
2.1. The French Facebook Group Amelogenesis Imperfecta
2.2. Design and Tools
2.2.1. Data Extraction
2.2.2. Data Analysis
- Similarity analysis. This analysis, based on graph theory, is often used by social representations researchers. It allows to identify the words co-occurrences, providing information on the words connectivity thus helping to identify the structure of a text corpus content. It also allows us to identify the shared parts and specificity according to the descriptive variables identified in the analysis.
- Method of Descending Hierarchical Analysis (DHA). The content and text segments are clustered according to their vocabularies and distributed according to the reduced forms frequencies. Using matrices that cross reduced forms with textual segments, the DHA method allows you to obtain a definitive classification. It is aimed at obtaining clusters with similar vocabulary within, but different from other segments. A dendrogram will be displayed showing clusters relations. The software calculates descriptive results of each cluster conforming to its main vocabulary (lexic) and words with asterisk (variables). Furthermore, it provides the users with another way of presenting data, derived from a correspondence factor analysis. Based on the chosen clusters, the software calculates and provides the most typical TS of each cluster, giving context to them.
2.3. Ethics
3. Results
3.1. Similarity Analysis and Clustering
- The word “dent” (tooth) forms the central lexical node, with numerous connections to everyday terms such as “fils” (son), “fille” (daughter), “mettre” (put), “perdre” (lose), “petit” (small), “problème” (problem), indicating real-life, family-centered experiences related to dental symptoms. This cluster is strongly linked to “dentiste” (dentist), which is in turn connected to terms like “traitement” (treatment), “rendez-vous” (appointment), “avis” (opinion), “diagnostiquer” (diagnose), highlighting the central role of healthcare and professional consultations.
- A second semantic hub is organized around “maladie” (disease), connected to “génétique” (genetic), “enfant” (child), “rare”, “connaître” (to know). This reflects a medicalized view of the condition, often framed in terms of inheritance, diagnosis, and rarity. The presence of terms such as “pétition” (petition), “centre” (center), “changer” (change), “donner” (give) suggests a broader collective or advocacy dimension, possibly parental or patient-led efforts seeking recognition or policy change.
- Finally, the word “amélogenèse” (amelogenesis) appears in direct connection with “imparfait” (imperfect), “atteindre” (affect), “association”, reflecting the shared awareness of the condition’s name and the need for information-sharing and support, as seen in related terms like “photo”, “groupe”, “partager” (share).
3.2. Correspondence Analysis and Factorization
- Factor 1 (horizontal axis): Explains 49.34% of the variance. This factor 1 distinguishes Clinical vs. Activist Dimension. The right side (Red/Green/Blue) focuses on clinical, genetic, and symptom-based discourse; the left side (Purple) focuses on community, activism, media, and public communication This axis opposes individual/medical experience to collective/social mobilization.
- Factor 2 (vertical axis): Explains 23.26% of the variance. This factor 2 distinguishes Technical vs. Personal/Descriptive Dimension. The top (blue) is related to lexicon rich in concrete dental symptoms and care (e.g., “molaire”, “résine”, “douleur”); the bottom (red/green) emphasizes institutional, procedural, or psychological aspects (e.g., “rendez-vous”, “médecin”, “traitement”, “hôpital”).
3.3. Thematic Analysis of Comments and Exchanges
- Class 1 (in red): Medical Professionals and Access to Care (21%), with the following top words: “spécialiste”, “docteur”, “rendez-vous”, “dentiste”, “médecin”, “hôpital”, “centre”, “travail”, “connaître”, “répondre”. This class reflects a discourse focused on accessing the healthcare system: it centers around interactions with specialists, doctors, and institutions. The presence of location-specific terms (e.g., Lyon, Bordeaux, Montpellier) and verbs like répondre, prendre suggest issues related to appointments, delays, and logistics. We propose to label this class “Healthcare navigation and access difficulties”.
- Class 2 (in green): Genetic and Clinical Nature of the Disease (19%), with the following top words: “génétique”, “maladie”, “imparfaite”, “gène”, “enfant”, “atteindre”, “test”, “amélogenèse”, “transmettre”. This class reflects a biomedical perspective of the condition. It includes genetic terms and refers to the transmission, testing, and emotional impact of amelogenesis imperfecta. Words like “chance”, “vivre”, “courage” suggest some existential or emotional framing of the diagnosis. We propose to label this class “Genetic disease framing and family impact”.
- Class 3 (in blue): Description of Dental Symptoms (29.1%), with the following top words: “dent”, “molaire”, “couronne”, “lait”, “toucher”, “poser”, “incisive”, “fils”, “carie”, “abîmer”, “jaune”. This is the most concrete and symptom-centered class, focusing on dental manifestations and terminology. It includes references to deciduous teeth (“lait”), materials (“résine”), stages (“sortie”), and treatments (“couronne”). This suggests parents or individuals are detailing clinical signs and treatment attempts. we propose to label this class “Dental symptoms and treatment experiences”;
- Class 4 (in purple): Advocacy, Community, and Visibility (31%), with the following top words: “com”, “pétition”, “partager”, “association”, “signature”, “signer”, “reconnaissance”, “député”, “participer”, “article”. This class stands apart as a collective, activist discourse. It includes words related to online engagement, petitioning, awareness-raising, and media participation. The use of “com”, “admin”, “signature”, “député” suggests efforts to gain recognition for the disease and mobilize institutional support. We propose to label this class “Community mobilization and advocacy”.
4. Discussion
4.1. Methodological Considerations
4.2. Discussion of Results and Perspectives
5. Conclusions
Author Contributions
Funding
Institutional Review Board Statement
Informed Consent Statement
Data Availability Statement
Acknowledgments
Conflicts of Interest
References
- Chirumamilla, S.; Gulati, M. Patient education and engagement through social media. Curr. Cardiol. Rev. 2021, 17, 137–143. [Google Scholar] [CrossRef]
- Gupta, P.; Khan, A.; Kumar, A. Social media use by patients in health care: A scoping review. Int. J. Healthc. Manag. 2022, 15, 121–131. [Google Scholar] [CrossRef]
- Long, J.C.; Best, S.; Easpaig, B.N.; Hatem, S.; Fehlberg, Z.; Christodoulou, J.; Braithwaite, J. Needs of people with rare diseases that can be supported by electronic resources: A scoping review. BMJ Open 2022, 12, e060394. [Google Scholar] [CrossRef] [PubMed]
- Doyle, T.A.; Vershaw, S.L.; Conboy, E.; Halverson, C.M. Improving social media-based support groups for the rare disease community: Interview study with patients and parents of children with rare and undiagnosed diseases. JMIR Hum. Factors 2024, 11, e57833. [Google Scholar] [CrossRef] [PubMed]
- Chen, J.; Wang, Y. Social media use for health purposes: Systematic review. J. Med. Internet Res. 2021, 23, e17917. [Google Scholar] [CrossRef]
- Liddy, C.; Hunter, Z.; Mihan, A.; Keely, E. Use of Facebook as part of a social media strategy for patient engagement. Can. Fam. Physician 2017, 63, 251–252. [Google Scholar]
- Stewart, S.A.; Abidi, S.S.R. Applying social network analysis to understand the knowledge sharing behaviour of practitioners in a clinical online discussion forum. J. Med. Internet Res. 2012, 14, e1982. [Google Scholar] [CrossRef]
- Eysenbach, G.; Powell, J.; Englesakis, M.; Rizo, C.; Stern, A. Health related virtual communities and electronic support groups: Systematic review of the effects of online peer to peer interactions. BMJ 2004, 328, 1166. [Google Scholar] [CrossRef]
- Jacobs, W.; Amuta, A.O.; Jeon, K.C. Health information seeking in the digital age: An analysis of health information seeking behavior among US adults. Cogent Soc. Sci. 2017, 3, 1302785. [Google Scholar] [CrossRef]
- Wang, X.; Shi, J.; Kong, H. Online health information seeking: A review and meta-analysis. Health Commun. 2021, 36, 1163–1175. [Google Scholar] [CrossRef]
- Aldred, M.; Savarirayan, R.; Crawford, P. Amelogenesis imperfecta: A classification and catalogue for the 21st century. Oral Dis. 2003, 9, 19–23. [Google Scholar] [CrossRef]
- Koruyucu, M.; Bayram, M.; Tuna, E.B.; Gencay, K.; Seymen, F. Clinical findings and long-term managements of patients with amelogenesis imperfecta. Eur. J. Dent. 2014, 8, 546–552. [Google Scholar] [CrossRef] [PubMed]
- Appelstrand, S.; Robertson, A.; Sabel, N. Patient-reported outcome measures in individuals with amelogenesis imperfecta: A systematic review. Eur. Arch. Paediatr. Dent. 2022, 23, 885–895. [Google Scholar] [CrossRef] [PubMed]
- Pousette Lundgren, G.; Karsten, A.; Dahllöf, G. Oral health-related quality of life before and after crown therapy in young patients with amelogenesis imperfecta. Health Qual. Life Outcomes 2015, 13, 197. [Google Scholar] [CrossRef] [PubMed]
- Martin, M.; Gowda, S.; Foster Page, L.; Thomson, W.M. Oral health-related quality of life in Northland Māori children and adolescents with Polynesian amelogenesis imperfecta. Front Dent Med. 2024, 5, 1485419. [Google Scholar] [CrossRef]
- Coffield, K.D.; Phillips, C.; Brady, M.; Roberts, M.W.; Strauss, R.P.; Wright, J.T. The psychosocial impact of developmental dental defects in people with hereditary amelogenesis imperfecta. J. Am. Dent. Assoc. 2005, 136, 620–630. [Google Scholar] [CrossRef]
- Parekh, S.; Almehateb, M.; Cunningham, S.J. How do children with amelogenesis imperfecta feel about their teeth? Int. J. Paediatr. Dent. 2014, 24, 326–335. [Google Scholar] [CrossRef]
- Lyne, A.; Parekh, S.; Patel, N.; Lafferty, F.; Brown, C.; Rodd, H.; Monteiro, J. Patient-reported outcome measure for children and young people with amelogenesis imperfecta. Br. Dent. J. 2021. [Google Scholar] [CrossRef]
- Herath, C.; Perera, I.; Jayasooriya, P.; Perera, M. Experiences of mothers of affected children on family impact of amelogenesis imperfecta: Findings of a qualitative explorative study from Sri Lanka. Interv. Pediatr. Dent. Open Access J. 2021, 6, 573–580. [Google Scholar]
- Alqadi, A.; O’Connell, A.C. Parental perception of children affected by amelogenesis imperfecta (AI) and dentinogenesis imperfecta (DI): A qualitative study. Dent. J. 2018, 6, 65. [Google Scholar] [CrossRef]
- Duarte-Rodrigues, L.; Corrêa-Faria, P.; Costa, L.R.; Paiva, S.M.; Ramos-Jorge, M.L.; Martins-Júnior, P.A. Oral disorders associated with the experience of verbal bullying among Brazilian school-aged children: A case-control study. J. Am. Dent. Assoc. 2020, 151, 399–406. [Google Scholar] [CrossRef] [PubMed]
- Borges, T.S.; Vargas-Ferreira, F.; Kramer, P.F.; Feldens, C.A. Impact of traumatic dental injuries on oral health-related quality of life of preschool children: A systematic review and meta-analysis. PLoS ONE 2017, 12, e0172235. [Google Scholar] [CrossRef] [PubMed]
- Hashem, A.; Kelly, A.; O’Connell, B.; O’Sullivan, M. Impact of moderate and severe hypodontia and amelogenesis imperfecta on quality of life and self-esteem of adult patients. J. Dent. 2013, 41, 689–694. [Google Scholar] [CrossRef] [PubMed]
- Trentesaux, T.; Rousset, M.; Dehaynin, E.; Laumaillé, M.; Delfosse, C. 15-year follow-up of a case of amelogenesis imperfecta: Importance of psychological aspect and impact on quality of life. Eur. Arch. Paediatr. Dent. 2013, 14, 47–51. [Google Scholar] [CrossRef]
- Scheffel, D.L.S.; Jeremias, F.; Fragelli, C.M.B.; Dos Santos-Pinto, L.; Hebling, J.; De Oliveira, O.B. Esthetic dental anomalies as motive for bullying in schoolchildren. Eur. J. Dent. 2014, 8, 124–128. [Google Scholar] [CrossRef]
- Broutin, A.; Blanchet, I.; Canceill, T.; Noirrit-Esclassan, E. Association between dentofacial features and bullying from childhood to adulthood: A systematic review. Children 2023, 10, 934. [Google Scholar] [CrossRef]
- Oz, U.; Altug, A.T.; Arikan, V.; Orhan, K. Radiographic evaluation of craniofacial structures associated with amelogenesis imperfecta in a Turkish population: A controlled trial study. Oral Radiol. 2010, 26, 89–94. [Google Scholar] [CrossRef]
- Vasilica, C.; Martin, R.D.; Platt, G.; Nettleton, C.; Crowe, S. Identifying information needs of patients with IgA nephropathy using an innovative social media–stepped analytical approach. Kidney Int. Rep. 2021, 6, 1317–1325. [Google Scholar] [CrossRef]
- Titgemeyer, S.C.; Schaaf, C.P. Facebook support groups for rare pediatric diseases: Quantitative analysis. JMIR Pediatr. Parent. 2020, 3, e21694. [Google Scholar] [CrossRef]
- Cimiano, P.; Collins, B.; De Vuono, M.C.; Escudier, T.; Gottowik, J.; Hartung, M.; Leddin, M.; Neupane, B.; Rodriguez-Esteban, R.; Schmidt, A.L.; et al. Patient listening on social media for patient-focused drug development: A synthesis of considerations from patients, industry and regulators. Front. Med. 2024, 11, 1274688. [Google Scholar] [CrossRef]
- Yabumoto, M.; Miller, E.; Rao, A.; Tabor, H.K.; Ormond, K.E.; Halley, M.C. Perspectives of rare disease social media group participants on engaging with genetic counselors: Mixed methods study. J. Med. Internet Res. 2022, 24, e42084. [Google Scholar] [CrossRef] [PubMed]
- Glivenko, I.; Yaroslavska, O.; Demchuk, A.; Poberezhets, V.; Mostovoy, Y. Use of online questionnaires, social networks and messengers for quick collecting epidemiological data among young people. Eur. Respir. J. 2020, 56 (Suppl. S64), 1366. [Google Scholar] [CrossRef]
- David, C.C.; San Pascual, M.R.S.; Torres, M.E.S. Reliance on Facebook for news and its influence on political engagement. PLoS ONE 2019, 14, e0212263. [Google Scholar] [CrossRef] [PubMed]
- Khawaja, Z.A.; Ali, K.I.; Khan, S. Using Facebook for sexual health social marketing in conservative Asian countries: A systematic examination. J. Health Commun. 2017, 22, 111–123. [Google Scholar] [CrossRef] [PubMed]
- Cohen, G.; Bessin, M.; Gaymard, S. Social representations, media, and iconography: A semiodiscursive analysis of Facebook posts related to the COVID-19 pandemic. Eur. J. Commun. 2022, 37, 629–645. [Google Scholar] [CrossRef] [PubMed]
- Rhaiem, M.; Chalbi, M.; Bousaid, S.; Zouaoui, W.; Chemli, M.A. Dental treatment approaches of amelogenesis imperfecta in children and young adults: A systematic review of the literature. J. Esthet. Restor. Dent. 2024, 36, 881–891. [Google Scholar] [CrossRef]
- Lindunger, A.; Smedberg, J.I. A retrospective study of the prosthodontic management of patients with amelogenesis imperfecta. Int. J. Prosthodont. 2005, 18, 189–194. [Google Scholar]
- Gaddy, A.; Topf, J. Facebook groups can provide support for patients with rare diseases and reveal truths about the secret lives of patients. Kidney Int. Rep. 2021, 6, 1205–1207. [Google Scholar] [CrossRef]
- Brough, P. Advanced Research Methods for Applied Psychology; Routledge: London, UK, 2018. [Google Scholar]
- Braun, V.; Clarke, V. Using thematic analysis in psychology. Qual. Res. Psychol. 2006, 3, 77–101. [Google Scholar] [CrossRef]
- Neuendorf, K.A. Content analysis and thematic analysis. In Advanced Research Methods for Applied Psychology; Brough, P., Ed.; Routledge: London, UK, 2018; pp. 211–223. [Google Scholar]
- Mennani, M.; Attak, E. An overview of using IRaMuTeQ software in qualitative analysis designs. In Principles of Conducting Qualitative Research in Multicultural Settings; IGI Global: Hershey, PA, USA, 2024; pp. 149–170. [Google Scholar]
- Apostolidis, T. Représentations sociales et triangulation: Enjeux théorico-méthodologiques. In Méthodes D’étude Des Représentations Sociales; Érès: Toulouse, France, 2007; pp. 13–35. [Google Scholar]
- Moorhead, S.A.; Hazlett, D.E.; Harrison, L.; Carroll, J.K.; Irwin, A.; Hoving, C. A new dimension of health care: Systematic review of the uses, benefits, and limitations of social media for health communication. J. Med. Internet Res. 2013, 15, e1933. [Google Scholar] [CrossRef]
- Gruebner, O.; van Haasteren, A.; Hug, A.; Elayan, S.; Sykora, M.; Albanese, E.; Naslund, J.; Wolf, M.; Fadda, M.; von Rhein, M. Digital platform uses for help and support seeking of parents with children affected by disabilities: Scoping review. J. Med. Internet Res. 2022, 24, e37972. [Google Scholar] [CrossRef]
- Pelenstov, L.; O’Shaughnessy, P.; Laws, T.; Esterman, A. Parenting a Child with a Rare Genetic Disorder; Nova Science Publishers: New York, NY, USA, 2016. [Google Scholar]
- Eysenbach, G.; Till, J.E. Ethical issues in qualitative research on internet communities. BMJ 2001, 323, 1103–1105. [Google Scholar] [CrossRef]
- Pomare, C.; Long, J.C.; Churruca, K.; Ellis, L.A.; Braithwaite, J. Social network research in health care settings: Design and data collection. Soc. Networks 2022, 69, 14–21. [Google Scholar] [CrossRef]
- Abdi, H.; Valentin, D. Multiple correspondence analysis. In Encyclopedia of Measurement and Statistics; SAGE Publications, Inc.: Thousand Oaks, CA, USA, 2007; Volume 1, pp. 652–657. [Google Scholar]
- Oprescu, F.; Campo, S.; Lowe, J.; Andsager, J.; Morcuende, J.A. Online information exchanges for parents of children with a rare health condition: Key findings from an online support community. J. Med. Internet Res. 2013, 15, e2423. [Google Scholar] [CrossRef]
- Molster, C.; Urwin, D.; Di Pietro, L.; Fookes, M.; Petrie, D.; Van Der Laan, S.; Dawkins, H. Survey of healthcare experiences of Australian adults living with rare diseases. Orphanet J. Rare Dis. 2016, 11, 30. [Google Scholar] [CrossRef] [PubMed]




| Disclaimer/Publisher’s Note: The statements, opinions and data contained in all publications are solely those of the individual author(s) and contributor(s) and not of MDPI and/or the editor(s). MDPI and/or the editor(s) disclaim responsibility for any injury to people or property resulting from any ideas, methods, instructions or products referred to in the content. | 
© 2025 by the authors. Licensee MDPI, Basel, Switzerland. This article is an open access article distributed under the terms and conditions of the Creative Commons Attribution (CC BY) license (https://creativecommons.org/licenses/by/4.0/).
Share and Cite
Mailloux, A.; Dinet, J.; Filloux, J.; Lanuel, Y. Understanding the Real Needs and Expectations of French Patients with Amelogenesis Imperfecta Through Facebook Content: A Qualitative Thematic Analysis. Healthcare 2025, 13, 2740. https://doi.org/10.3390/healthcare13212740
Mailloux A, Dinet J, Filloux J, Lanuel Y. Understanding the Real Needs and Expectations of French Patients with Amelogenesis Imperfecta Through Facebook Content: A Qualitative Thematic Analysis. Healthcare. 2025; 13(21):2740. https://doi.org/10.3390/healthcare13212740
Chicago/Turabian StyleMailloux, Aurelie, Jérôme Dinet, Jules Filloux, and Yann Lanuel. 2025. "Understanding the Real Needs and Expectations of French Patients with Amelogenesis Imperfecta Through Facebook Content: A Qualitative Thematic Analysis" Healthcare 13, no. 21: 2740. https://doi.org/10.3390/healthcare13212740
APA StyleMailloux, A., Dinet, J., Filloux, J., & Lanuel, Y. (2025). Understanding the Real Needs and Expectations of French Patients with Amelogenesis Imperfecta Through Facebook Content: A Qualitative Thematic Analysis. Healthcare, 13(21), 2740. https://doi.org/10.3390/healthcare13212740
 
        

