Endoscopic and Pathological Examinations of Early-Signet-Ring Carcinoma in the Stomach
Abstract
1. Introduction
2. Data and Methods
2.1. Object
2.2. Data Collection
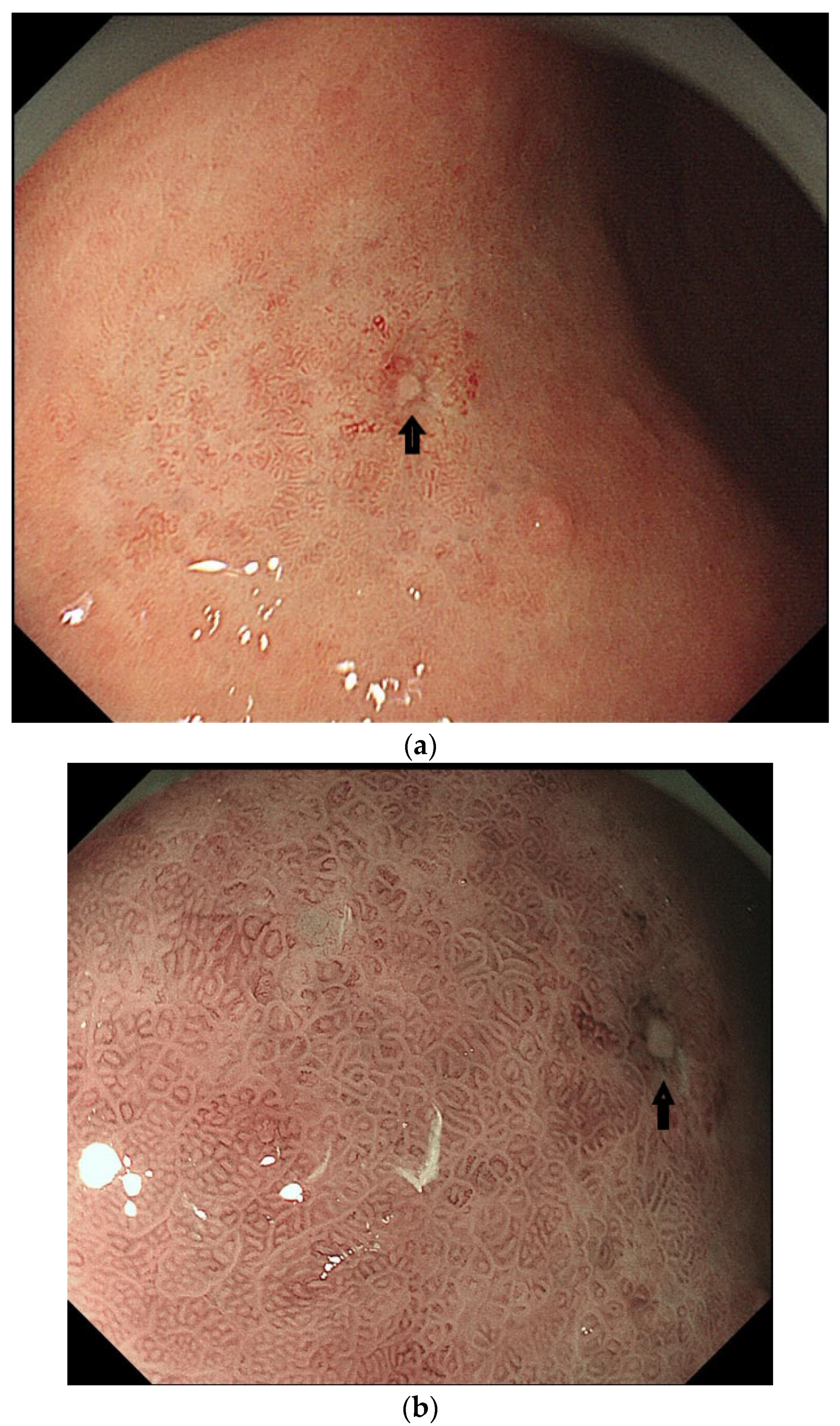
2.3. Methods of Gastroscopy
2.4. Criteria for Judging Observation Indicators
2.5. Statistical Methods
3. Results
3.1. Basic Information of Patients
3.2. Univariate and Multifactorial Results Obtained for Both Gastric SRCC and Gastric NSRCC
3.3. Univariate and Multivariate Analysis Results Obtained for Gastric PSRCC and Gastric MSRCC
4. Discussion
5. Conclusions
Author Contributions
Funding
Institutional Review Board Statement
Informed Consent Statement
Data Availability Statement
Conflicts of Interest
References
- Thrift, A.P.; El-Serag, H.B. Burden of Gastric Cancer. Clin. Gastroenterol. Hepatol. 2020, 18, 534–542. [Google Scholar] [CrossRef]
- Yin, M.; Zhang, R.; Lin, J.; Zhu, S.; Liu, L.; Liu, X.; Lu, J.; Xu, C.; Zhu, J. Identification of gastric signet ring cell carcinoma based on endoscopic images using few-shot learning. Dig. Liver Dis. 2023, 55, 1725–1734. [Google Scholar] [CrossRef] [PubMed]
- Tsuneki, M.; Kanavati, F. Weakly Supervised Learning for Poorly Differentiated Adenocarcinoma Classification in GastricEndoscopic Submucosal Dissection Whole Slide Images. Technol. Cancer Res. Treat. 2022, 21, 15330338221142674. [Google Scholar] [CrossRef]
- Dal Cero, M.; Bencivenga, M.; Liu, D.H.W.; Sacco, M.; Alloggio, M.; Kerckhoffs, K.G.P.; Filippini, F.; Saragoni, L.; Iglesias, M.; Tomezzoli, A.; et al. Clinical Features of Gastric Signet Ring Cell Cancer: Results from a Systematic Review and Meta-Analysis. Cancers 2023, 15, 5191. [Google Scholar] [CrossRef] [PubMed]
- Nagtegaal, I.D.; Odze, R.D.; Klimstra, D.; Paradis, V.; Rugge, M.; Schirmacher, P.; Washington, K.M.; Carneiro, F.; Cree, I.A. The 2019 WHO classification of tumours of the digestive system. Histopathology 2019, 76, 182–188. [Google Scholar] [CrossRef]
- Song, Q.; Wang, X.; Zhu, J.; Shi, H. Diagnostic value of dual-source, dual-energy computed tomography combined with the neutrophil-lymphocyte ratio for discriminating gastric signet ring cell from mixed signet ring cell and non-signet ring cell carcinomas. Abdom. Radiol. 2024, 49, 2996–3002. [Google Scholar] [CrossRef] [PubMed]
- Wang, X.; Li, X.; Yang, P.; Qin, X.; Yu, J.; Cheng, Y.; Zhang, G.; Tang, L. The differences in biological behavior and gene expression characteristics between pure and mixed early gastric signet ring cell carcinomas. Dig. Liver Dis. 2023, 55, 815–822. [Google Scholar] [CrossRef]
- Shiotsuki, K.; Takizawa, K.; Ono, H. Indications of Endoscopic Submucosal Dissection for Undifferentiated Early Gastric Cancer: Current Status and Future Perspectives for Further Expansion. Digestion 2022, 103, 76–82. [Google Scholar] [CrossRef]
- Yang, J.-J.; Wang, X.-Y.; Ma, R.; Chen, M.-H.; Zhang, G.-X.; Li, X. Prediction of lymph node metastasis in early gastric signet-ring cell carcinoma: A real-world retrospective cohort study. World J. Gastroenterol. 2023, 29, 3807–3824. [Google Scholar] [CrossRef]
- Kotelevets, S.M.; Chekh, S.A.; Chukov, S.Z. Updated Kimura-Takemoto classification of atrophic gastritis. World J. Clin. Cases 2021, 9, 3014–3023. [Google Scholar] [CrossRef]
- Mousavi, S.E.; Ilaghi, M.; Elahi Vahed, I.; Nejadghaderi, S.A. Epidemiology and socioeconomic correlates of gastric cancer in Asia: Results from the GLOBOCAN 2020 data and projections from 2020 to 2040. Sci. Rep. 2025, 15, 6529. [Google Scholar] [CrossRef]
- Jain, U.; Saxena, K.; Chauhan, N. Helicobacter pylori induced reactive oxygen Species: A new and developing platform for detection. Helicobacter 2021, 26, e12796. [Google Scholar] [CrossRef]
- Duan, Y.; Xu, Y.; Dou, Y.; Xu, D. Helicobacter pylori and gastric cancer: Mechanisms and new perspectives. J. Hematol. Oncol. 2025, 18, 10. [Google Scholar] [CrossRef]
- Sukri, A.; Hanafiah, A.; Kosai, N.R. The Roles of Immune Cells in Gastric Cancer: Anti-Cancer or Pro-Cancer? Cancers 2022, 14, 3922. [Google Scholar] [CrossRef]
- Ramachandran, R.; Grantham, T.; Parvataneni, S.; Budh, D.; Gollapalli, S.; Reddy, M.; Gaduputi, V. Gastric Cancer: Clinical Features, Screening, Diagnosis, Treatment, and Prevention. J. Community Hosp. Intern. Med. Perspect. 2024, 14, 49. [Google Scholar] [CrossRef]
- Ali, O.; Canakis, A.; Huang, Y.; Patel, H.; Alizadeh, M.; Kim, R.E. Closure of Mucosal Defects Using Endoscopic Suturing Following Endoscopic Submucosal Dissection: A Single-Center Experience. Tech. Innov. Gastrointest. Endosc. 2023, 25, 46–51. [Google Scholar] [CrossRef] [PubMed]
- Horiuchi, Y.; Ida, S.; Yamamoto, N.; Nunobe, S.; Ishizuka, N.; Yoshimizu, S.; Ishiyama, A.; Yoshio, T.; Hirasawa, T.; Tsuchida, T.; et al. Feasibility of further expansion of the indications for endoscopic submucosal dissection in undifferentiated-type early gastric cancer. Gastric Cancer 2019, 23, 285–292. [Google Scholar] [CrossRef] [PubMed]
- Kim, Y.H.; Jung, Y.M.; Park, T.Y.; Jeong, S.J.; Kim, T.H.; Lee, J.; Park, J.; Kim, T.O.; Park, Y.E. Comparisons of pathologic findings and outcomes of gastric cancer patients younger and older than 40: A propensity score matching study in a single center of Korea. JGH Open 2023, 7, 118–127. [Google Scholar] [CrossRef] [PubMed]
- Zhao, B.; Lv, W.; Zhang, J.; Zhang, J.; Huang, B.; Lin, J. Different prognostic significance of signet ring cell histology for early and advanced gastric cancer patients: A systematic review and meta-analysis. Expert Rev. Gastroenterol. Hepatol. 2020, 14, 499–509. [Google Scholar] [CrossRef]
- Torere, B.E.; Aiwuyo, H.O.; Ilerhunmwuwa, N.; Raza, H.M.; Tan, J.; Belousova, T.; Wasifuddin, M. A Rare Case of Metastatic Gastric Signet Ring Cell Adenocarcinoma in a 23-Year-Old Female Presenting as Malignant Pleural Effusion. Cureus 2022, 14, e33085. [Google Scholar] [CrossRef]
- Graziosi, L.; Marino, E.; Natalizi, N.; Donini, A. Prognostic Survival Significance of Signet Ring Cell (SRC) Gastric Cancer: Retrospective Analysis from a Single Western Center. J. Pers. Med. 2023, 13, 1157. [Google Scholar] [CrossRef]
- Zhao, S.; Lv, L.; Zheng, K.; Tian, Y.; Zheng, J.-C.; Jiang, C.-G. Prognosis and Biological Behavior of Gastric Signet-Ring Cell Carcinoma Better or Worse: A Meta-Analysis. Front. Oncol. 2021, 11, 603070. [Google Scholar] [CrossRef]
- Kim, K.; Cho, Y.; Sohn, J.H.; Kim, D.-H.; Do, I.G.; Lee, H.J.; Do, S.-I.; Ahn, S.; Lee, H.W.; Chae, S.W. Clinicopathologic characteristics of early gastric cancer according to specific intragastric location. BMC Gastroenterol. 2019, 19, 24. [Google Scholar] [CrossRef]
- Abuduwaili, M.; Boda, T.; Ito, M.; Takigawa, H.; Kotachi, T.; Matsuo, T.; Oka, S.; Tanaka, S.; Toyokawa, T. Serum Gastrin and Pepsinogen Levels after Administration of Acid Secretion Inhibitors for Ulcers due to Endoscopic Submucosal Dissection in Patients with Early Gastric Cancer. Gastroenterol. Res. Pract. 2022, 2022, 2830227. [Google Scholar] [CrossRef]
- Zaafouri, H.; Jouini, R.; Khedhiri, N.; Khanchel, F.; Cherif, M.; Mesbahi, M.; Daghmouri, A.; Mahmoudi, W.; Akremi, S.; Sabbah, M.; et al. Comparison between signet-ring cell carcinoma and non-signet-ring cell carcinoma of the stomach: Clinicopathological parameters, epidemiological data, outcome, and prognosis—A cohort study of 123 patients from a non-endemic country. World J. Surg. Oncol. 2022, 20, 238. [Google Scholar] [CrossRef] [PubMed]
- Ribaldone, D.G.; Zurlo, C.; Fagoonee, S.; Rosso, C.; Armandi, A.; Caviglia, G.P.; Saracco, G.M.; Pellicano, R. A Retrospective Experience of Helicobacter pylori Histology in a Large Sample of Subjects in Northern Italy. Life 2021, 11, 650. [Google Scholar] [CrossRef] [PubMed]
- Wang, X.; Xia, X.; Xu, E.; Yang, Z.; Shen, X.; Du, S.; Chen, X.; Lu, X.; Jin, W.; Guan, W. Estrogen Receptor Beta Prevents Signet Ring Cell Gastric Carcinoma Progression in Young Patients by Inhibiting Pseudopodia Formation via the mTOR–Arpc1b/EVL Signaling Pathway. Front. Cell Dev. Biol. 2021, 8, 592919. [Google Scholar] [CrossRef]
- Roviello, F.; Marano, L.; Ambrosio, M.R.; Resca, L.; D’Ignazio, A.; Petrelli, F.; Petrioli, R.; Costantini, M.; Polom, K.; Macchiarelli, R.; et al. Signet ring cell percentage in poorly cohesive gastric cancer patients: A potential novel predictor of survival. Eur. J. Surg. Oncol. 2022, 48, 561–569. [Google Scholar] [CrossRef] [PubMed]
- Kim, J.S.; Kang, S.H.; Moon, H.S.; Lee, E.S.; Kim, S.H.; Sung, J.K.; Lee, B.S.; Jeong, H.Y. Accuracy of endoscopic size measurements of early gastric signet ring cell carcinoma. Surg. Endosc. 2020, 35, 2324–2331. [Google Scholar] [CrossRef]
- Zi, M.; Ma, Y.; Chen, J.; Pang, C.; Li, X.; Yuan, L.; Liu, Z.; Yu, P. Clinicopathological characteristics of gastric neuroendocrine neoplasms: A comprehensive analysis. Cancer Med. 2024, 13, e7011. [Google Scholar] [CrossRef]
- Marano, L.; Ambrosio, M.R.; Resca, L.; Carbone, L.; Carpineto Samorani, O.; Petrioli, R.; Savelli, V.; Costantini, M.; Malaspina, L.; Polom, K.; et al. The Percentage of Signet Ring Cells Is Inversely Related to Aggressive Behavior and Poor Prognosis in Mixed-Type Gastric Cancer. Front. Oncol. 2022, 12, 897218. [Google Scholar] [CrossRef] [PubMed]








| Trait | SRCC (n = 93) | NSRCC (n = 331) | OR | p | |
|---|---|---|---|---|---|
| Gender | Male | 48 (52%) | 233 (70%) | 11.456 | 0.001 |
| Female | 45 (48%) | 98 (30%) | |||
| Age | ≥60 | 40 (43%) | 252 (76%) | 38.394 | 0.001 |
| <60 | 53 (57%) | 79 (24%) | |||
| Smoking history | Yes | 26 (28%) | 103 (31%) | 0.343 | 0.611 |
| No | 67 (72%) | 228 (69%) | |||
| Drinking history | Yes | 20 (22%) | 111 (34%) | 0.053 | 0.461 |
| No | 73 (78%) | 220 (66%) | |||
| Family history | Yes | 23 (25%) | 65 (20%) | 1.145 | 0.311 |
| No | 70 (75%) | 266 (80%) | |||
| Kimura–Takemoto classification | CO | 5 (5%) | 18 (5%) | 2.921 | 0.404 |
| C1 | 6 (6%) | 14 (4%) | |||
| C2–C3 | 40 (43%) | 173 (52%) | |||
| O1–O3 | 42 (46%) | 126 (38%) | |||
| Tumor location | Lower 1/3 | 16 (17%) | 59 (18%) | 56.586 | 0.001 |
| Middle 1/3 | 70 (75%) | 114 (34%) | |||
| Upper 1/3 | 7 (8%) | 154 (48%) | |||
| morphologic expression | protrude type | 34 (37%) | 125 (38%) | 9.847 | 0.007 |
| Flat and sunken type | 27 (29%) | 140 (42%) | |||
| mixed type | 32 (34%) | 66 (20%) | |||
| Tumor size | ≥2 cm | 40 (43%) | 145 (44%) | 0.019 | 0.906 |
| <2 cm | 53 (57%) | 186 (56%) | |||
| Penetration depth | M | 53 (57%) | 194 (59%) | 0.261 | 0.878 |
| SM1 | 26 (28%) | 84 (25%) | |||
| SM2 | 14 (15%) | 53 (16%) | |||
| Helicobacter pylori infection | Free of infection | 11 (12%) | 32 (10%) | 0.386 | 0.825 |
| Past infection | 39 (42%) | 140 (42%) | |||
| Active infection | 43 (46%) | 159 (48%) | |||
| Background mucosal atrophy | light | 25 (27%) | 109 (33%) | 0.008 | 0.931 |
| medium | 31 (33%) | 131 (40%) | |||
| high | 37 (40%) | 91 (27%) | |||
| light | 20 (22%) | 98 (30%) | |||
| Enteric classification | medium | 36 (39%) | 114 (34%) | 0.881 | 0.348 |
| high | 37 (39%) | 119 (36%) | |||
| Inflammatory activity | light | 17 (18%) | 112 (34%) | ||
| medium | 52 (56%) | 76 (23%) | 0.492 | 0.483 | |
| high | 24 (26%) | 143 (43%) |
| Variable | B | Wald | p | Exp. | 95% CL |
|---|---|---|---|---|---|
| Model 1 | |||||
| Tumor location | 0.730 | 18.593 | 0.001 | 2.076 | 1.490–2.894 |
| Morphologic expression | −0.338 | 4.886 | 0.027 | 0.714 | 0.529–0.962 |
| Age | 0.037 | 6.676 | 0.010 | 1.038 | 1.009–1.067 |
| Model 2 | |||||
| Tumor location | 0.713 | 17.278 | 0.001 | 2.041 | 1.458–2.857 |
| Morphologic expression | −0.343 | 5.027 | 0.025 | 0.709 | 0.526–0.958 |
| Age | 0.037 | 6.616 | 0.010 | 1.038 | 1.009–1.068 |
| Tumor size | −0.050 | 0.041 | 0.840 | 0.951 | 0.584–1.549 |
| Inflammatory activity | 0.042 | 0.079 | 0.779 | 1.043 | 0.777–1.400 |
| Penetration depth | 0.149 | 1.768 | 0.184 | 1.161 | 0.932–1.447 |
| Model 3 | |||||
| Tumor location | 0.755 | 17.899 | 0.001 | 2.127 | 1.499–3.017 |
| Morphologic expression | −0.324 | 4.268 | 0.039 | 0.723 | 0.531–0.983 |
| Age | 0.040 | 7.700 | 0.006 | 1.041 | 1.012–1.071 |
| Tumor size | −0.111 | 0.190 | 0.663 | 0.895 | 0.542–1.477 |
| Inflammatory activity | 0.035 | 0.051 | 0.822 | 1.036 | 0.763–1.407 |
| Penetration depth | 0.162 | 1.975 | 0.160 | 1.176 | 0.938–1.475 |
| Kimura–Takemoto classification | −0.009 | 0.003 | 0.958 | 0.992 | 0.722–1.363 |
| Enteric classification | −0.251 | 2.394 | 0.122 | 0.778 | 0.566–1.069 |
| Gender | −0.903 | 12.378 | 0.001 | 0.405 | 0.245–0.670 |
| Trait | PSRCC (n = 29) | MSRCC (n = 64) | OR | p | |
|---|---|---|---|---|---|
| Gender | Male | 16 (55%) | 32 (50%) | 0.214 | 0.644 |
| Female | 13 (45%) | 32 (50%) | |||
| Age | ≥60 | 7 (24%) | 33 (52%) | 6.124 | 0.013 |
| <60 | 22 (76%) | 31 (48%) | |||
| Smoking history | Yes | 6 (21%) | 20 (31%) | 1.105 | 0.293 |
| No | 23 (79%) | 44 (69%) | |||
| Drinking history | Yes | 3 (10%) | 17 (27%) | 3.109 | 0.104 |
| No | 26 (90%) | 47 (63%) | |||
| Family history | Yes | 7 (24%) | 16 (25%) | 0.008 | 0.929 |
| No | 22 (76%) | 48 (75%) | |||
| Kimura–Takemoto classification | CO | 4 (14%) | 1 (2%) | 10.721 | 0.013 |
| C1 | 3 (10%) | 3 (5%) | |||
| C2–C3 | 7 (24%) | 33 (52%) | |||
| O1–O3 | 16 (52%) | 26 (41%) | |||
| Tumor location | Lower 1/3 | 6 (21%) | 10 (16%) | 0.965 | 0.617 |
| Middle 1/3 | 20 (69%) | 50 (78%) | |||
| Upper 1/3 | 3 (10%) | 4 (6%) | |||
| Morphologic expression | protrude type | 6 (21%) | 28 (44%) | 10.947 | 0.004 |
| Flat and sunken type | 15 (52%) | 12 (19%) | |||
| mixed type | 8 (27%) | 24 (27%) | |||
| Tumor size | ≥2 cm | 20 (69%) | 20 (31%) | 11.582 | 0.001 |
| <2 cm | 9 (31%) | 44 (69%) | |||
| Penetration depth | M | 19 (66%) | 34 (53%) | 1.378 | 0.502 |
| SM1 | 6 (21%) | 20 (31%) | |||
| SM2 | 4 (13%) | 10 (16%) | |||
| Helicobacter pylori infection | Free of infection | 6 (21%) | 5 (8%) | 17.535 | 0.001 |
| Past infection | 3 (10%) | 36 (56%) | |||
| Active infection | 20 (69%) | 23 (36%) | |||
| Background mucosal atrophy | light | 8 (28%) | 17 (27%) | 0.102 | 0.951 |
| medium | 9 (31%) | 22 (34%) | |||
| high | 12 (41%) | 25 (39%) | |||
| Enteric classification | light | 5 (21%) | 15 (22%) | ||
| medium | 10 (31%) | 26 (36%) | 1.314 | 0.518 | |
| high | 14 (48%) | 23 (42%) | |||
| Inflammatory activity | light | 5 (38%) | 12 (36%) | ||
| medium | 18 (28%) | 34 (30%) | 0.738 | 0.691 | |
| high | 6 (34%) | 18 (34%) |
| Trait | B | Wald | p | Exp. | 95% CL |
|---|---|---|---|---|---|
| Helicobacter pylori infection | 1.790 | 8.442 | 0.104 | 5.989 | 0.791–2.032 |
| Kimura–Takemoto classification (C1) | −1.314 | 1.358 | 0.244 | 0.269 | 0.029–2.450 |
| Morphologic expression (Bulge type) | −0.578 | 0.852 | 0.365 | 0.561 | 0.164–1.914 |
| Age (≥60) | −1.455 | 4.259 | 0.039 | 0.233 | 0.059–0.930 |
| Lower 1/3 | Middle 1/3 | Upper 1/3 | OR | p | |
|---|---|---|---|---|---|
| Age (≥60) | 3 | 27 | 10 | 3.042 | 0.218 |
| Age (<60) | 4 | 43 | 6 |
Disclaimer/Publisher’s Note: The statements, opinions and data contained in all publications are solely those of the individual author(s) and contributor(s) and not of MDPI and/or the editor(s). MDPI and/or the editor(s) disclaim responsibility for any injury to people or property resulting from any ideas, methods, instructions or products referred to in the content. |
© 2025 by the authors. Licensee MDPI, Basel, Switzerland. This article is an open access article distributed under the terms and conditions of the Creative Commons Attribution (CC BY) license (https://creativecommons.org/licenses/by/4.0/).
Share and Cite
Liang, Z.; Zheng, L.; Cao, J. Endoscopic and Pathological Examinations of Early-Signet-Ring Carcinoma in the Stomach. Healthcare 2025, 13, 2689. https://doi.org/10.3390/healthcare13212689
Liang Z, Zheng L, Cao J. Endoscopic and Pathological Examinations of Early-Signet-Ring Carcinoma in the Stomach. Healthcare. 2025; 13(21):2689. https://doi.org/10.3390/healthcare13212689
Chicago/Turabian StyleLiang, Zhao, Liang Zheng, and Jia Cao. 2025. "Endoscopic and Pathological Examinations of Early-Signet-Ring Carcinoma in the Stomach" Healthcare 13, no. 21: 2689. https://doi.org/10.3390/healthcare13212689
APA StyleLiang, Z., Zheng, L., & Cao, J. (2025). Endoscopic and Pathological Examinations of Early-Signet-Ring Carcinoma in the Stomach. Healthcare, 13(21), 2689. https://doi.org/10.3390/healthcare13212689
