3D-Printed Overlay Template for Diagnosis and Planning Complete Arch Implant Prostheses
Abstract
1. Introduction
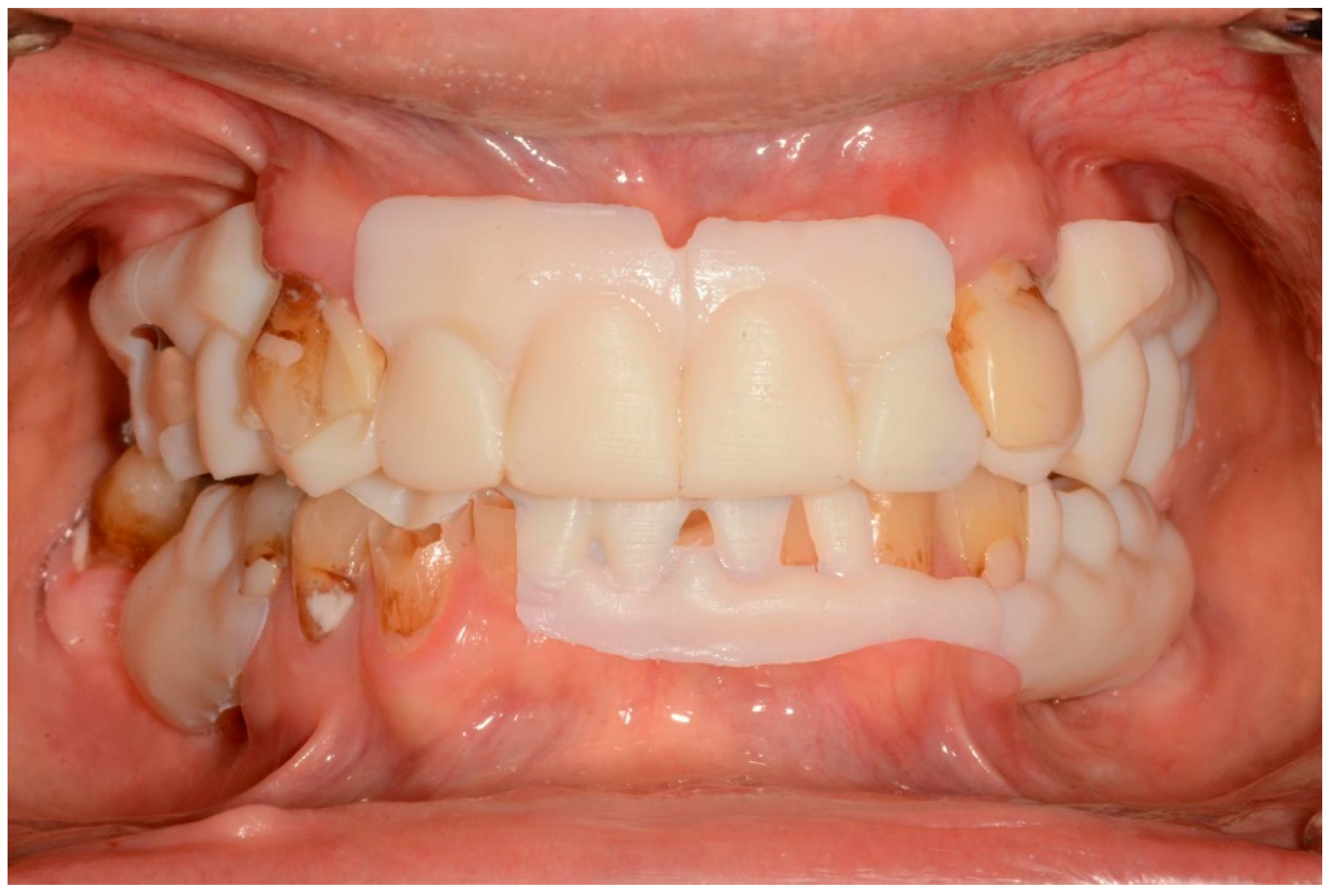
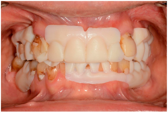
2. Materials and Methods
3. Results
4. Discussion
5. Conclusions
Author Contributions
Funding
Institutional Review Board Statement
Informed Consent Statement
Data Availability Statement
Acknowledgments
Conflicts of Interest
References
- French, D.; Ofec, R.; Levin, L. Long term clinical performance of 10 871 dental implants with up to 22 years of follow-up: A cohort study in 4247 patients. Clin. Implant. Dent. Relat. Res. 2021, 23, 289–297. [Google Scholar] [CrossRef] [PubMed]
- Jensen, O.T.; Adams, M.W.; Cottam, J.R.; Parel, S.M.; Phillips, W.R. The All-on-4 shelf: Maxilla. J. Oral. Maxillofac. Surg. 2010, 68, 2520–2527. [Google Scholar] [CrossRef] [PubMed]
- Jensen, O.T.; Adams, M.W.; Cottam, J.R.; Parel, S.M.; Phillips, W.R. The all on 4 shelf: Mandible. J. Oral. Maxillofac. Surg. 2011, 69, 175–181. [Google Scholar] [CrossRef] [PubMed]
- Tallarico, M.; Scrascia, R.; Annucci, M.; Meloni, S.M.; Lumbau, A.I.; Koshovari, A.; Xhanari, E.; Martinolli, M. Errors in Implant Positioning Due to Lack of Planning: A Clinical Case Report of New Prosthetic Materials and Solutions. Materials 2020, 13, 1883. [Google Scholar] [CrossRef]
- van Assche, N.; Vercruyssen, M.; Coucke, W.; Teughels, W.; Jacobs, R.; Quirynen, M. Accuracy of computer-aided implant placement. Clin. Oral. Implants Res. 2012, 23, 112–123. [Google Scholar] [CrossRef]
- Bidra, A.S. Three-dimensional esthetic analysis in treatment planning for implant-supported fixed prosthesis in the edentulous maxilla: Review of the esthetics literature. J. Esthet. Restor. Dent. 2011, 23, 219–236. [Google Scholar] [CrossRef]
- Bidra, A.S. Technique for systematic bone reduction for fixed implant-supported prosthesis in the edentulous maxilla. J. Prosthet. Dent. 2015, 113, 520–523. [Google Scholar] [CrossRef]
- Bidra, A.S.; Agar, J.R. A classification system of patients for esthetic fixed implant-supported prostheses in the edentulous maxilla. Compend. Contin. Educ. Dent. 2010, 31, 366–368, 370, 372–374 passim. [Google Scholar]
- Engelmeier, R.L.; Phoenix, R.D.P. Patient evaluation and treatment planning for complete-denture therapy. Dent. Clin. North. Am. 1996, 40, 1–18. [Google Scholar] [CrossRef]
- Lynn, B.D. The significance of anatomical landmarks in complete dentures service. J. Prosthet Dent 1964, 14, 456–459. [Google Scholar] [CrossRef]
- Seals, R.R.; Kuebker, W.A.; Stewart, K.L. Immediate complete dentures. Dental Clinics of North. America 1996, 40, 151–167. [Google Scholar] [CrossRef] [PubMed]
- Vig, R.G.; Brundo, G.C. The kinetics of anterior tooth display. J. Prosthet. Dent. 1978, 39, 502–504. [Google Scholar] [CrossRef] [PubMed]
- Tjan, A.H.L.; Miller, G.D.; The, J.G.P. Some esthetic factors in a smile. J. Prosthet. Dent. 1984, 51, 24–28. [Google Scholar] [CrossRef] [PubMed]
- Curtis, D.A.; Sharma, A.B.; Finzen, F.C. The use of dental implants to improve quality of life for edentulous patients. J. Calif. Dent. Assoc. 2008, 36, 275–280. [Google Scholar] [CrossRef]
- Turkyilmaz, I.; Company, A.M.; McGlumphy, E.A. Should edentulous patients be constrained to removable complete dentures? The use of dental implants to improve the quality of life for edentulous patients. Gerodontology 2010, 27, 3–10. [Google Scholar] [CrossRef]
- Ülkü, S.Z.; Acun Kaya, F.; Uysal, E.; Gulsun, B. Clinical Evaluation of Complications in Implant-Supported Dentures: A 4-Year Retrospective Study. Med. Sci. Monit. 2017, 23, 6137–6143. [Google Scholar] [CrossRef]
- Lopes, A.; Maló, P.; de Araújo Nobre, M.; Sánchez-Fernández, E.; Gravito, I. The NobelGuide® All-on-4® Treatment Concept for Rehabilitation of Edentulous Jaws: A Retrospective Report on the 7-Years Clinical and 5-Years Radiographic Outcomes. Clin. Implant. Dent. Relat. Res. 2017, 19, 233–244. [Google Scholar] [CrossRef]
- Agliardi, E.L.; Pozzi, A.; Romeo, D.; Del Fabbro, M. Clinical outcomes of full-arch immediate fixed prostheses supported by two axial and two tilted implants: A retrospective cohort study with 12–15 years of follow-up. Clin. Oral. Implants Res. 2023; online ahead of print. [Google Scholar] [CrossRef]
- Albrektsson, T.; Wennerberg, A. On osseointegration in relation to implant surfaces. Clin. Implant. Dent. Relat. Res. 2019, 21, 4–7. [Google Scholar] [CrossRef]
- Suganna, M.; Kausher, H.; Tarek Ahmed, S.; Sultan Alharbi, H.; Faraj Alsubaie, B.; Ds, A.; Haleem, S.; Meer Rownaq Ali, A.B. Contemporary Evidence of CAD-CAM in Dentistry: A Systematic Review. Cureus 2022, 14, e31687. [Google Scholar] [CrossRef]
- Van Noort, R. The future of dental devices is digital. Dent. Mater. 2012, 28, 3–12. [Google Scholar] [CrossRef]
- Revilla-León, M.; Özcan, M. Additive Manufacturing Technologies Used for Processing Polymers: Current Status and Potential Application in Prosthetic Dentistry. J. Prosthodont. 2019, 28, 146–158. [Google Scholar] [CrossRef] [PubMed]
- Shen, C.; Rawls, H.R.; Esquivel-Upshaw, J. Phillips’ Science of Dental Materials, 13th ed.; Elsevier: Amsterdam, The Netherlands, 2022. [Google Scholar]
- Piedra-Cascón, W.; Meyer, M.J.; Methani, M.M.; Revilla-León, M. Accuracy (trueness and precision) of a dual-structured light facial scanner and interexaminer reliability. J. Prosthet. Dent. 2020, 124, 567–574. [Google Scholar] [CrossRef] [PubMed]
- Ceylan, G.; Emir, F. Evaluating the accuracy of CAD/CAM optimized stones compared to conventional type IV stones. PLoS ONE 2023, 18, e0282509. [Google Scholar] [CrossRef] [PubMed]
- Fu, X.; Peng, C.; Li, Z.; Liu, S.; Tan, M.; Song, J. The application of multi-baseline digital close-range photogrammetry in three-dimensional imaging and measurement of dental casts. PLoS ONE 2017, 12, e0178858. [Google Scholar] [CrossRef] [PubMed]
- Jurado, C.A.; Parachuru, V.; Villalobos Tinoco, J.; Guzman-Perez, G.; Tsujimoto, A.; Javvadi, R.; Afrashtehfar, K.I. Diagnostic Mock-Up as a Surgical Reduction Guide for Crown Lengthening: Technique Description and Case Report. Medicina 2022, 58, 1360. [Google Scholar] [CrossRef]
- An, X.; Chui, Z.; Yang, H.-W.; Choi, B.-H. Digital workflow for fabricating an overdenture by using an implant surgical template and intraoral scanner. J. Prosthet. Dent. 2020, 123, 675–679. [Google Scholar] [CrossRef]
- Da Silva, B.P.; Stanley, K.; Gardee, J. Laminate veneers: Preplanning and treatment using digital guided tooth preparation. J. Esthet. Restor. Dent. 2020, 32, 150–160. [Google Scholar] [CrossRef]
- Jurado, C.A.; AlResayes, S.; Sayed, M.E.; Villalobos-Tinoco, J.; Llanes-Urias, N.; Tsujimoto, A. A customized metal guide for controllable modification of anterior teeth contour prior to minimally invasive preparation. Saudi Dent. J. 2021, 33, 518–523. [Google Scholar] [CrossRef]
- Gao, J.; Li, J.; Liu, C.; Fan, L.; Yu, J.; Yu, H. A stereolithographic template for computer-assisted teeth preparation in dental esthetic ceramic veneer treatment. J. Esthet. Restor. Dent. 2020, 32, 763–769. [Google Scholar] [CrossRef]
- Heller, H.; Sreter, D.; Arieli, A.; Beitlitum, I.; Pilo, R.; Levartovsky, S. Survival and Success Rates of Monolithic Zirconia Restorations Supported by Teeth and Implants in Bruxer versus Non-Bruxer Patients: A Retrospective Study. Materials 2022, 15, 833. [Google Scholar] [CrossRef]
- Bidra, A.S.; Tischler, M.; Patch, C. Survival of 2039 complete arch fixed implant-supported zirconia prostheses: A retrospective study. J. Prosthet. Dent. 2018, 119, 220–224. [Google Scholar] [CrossRef] [PubMed]
- Azpiazu-Flores, F.X.; Knobloch, L.A.; Larsen, P.E. Interdisciplinary Management of a Patient with Dentinogenesis Imperfecta Type II Using a Combination of CAD-CAM and Analog Techniques: A Clinical Report. J. Prosthodont. 2022, 31, 647–654. [Google Scholar] [CrossRef] [PubMed]
- Azpiazu-Flores, F.X.; Lee, D.; Jurado, C.A.; Afrashtehfar, K.I.; Alhotan, A.; Tsujimoto, A. Full-Mouth Rehabilitation of a Patient with Sjogren’s Syndrome with Maxillary Titanium-Zirconia and Mandibular Monolithic Zirconia Implant Prostheses Fabricated with CAD/CAM Technology: A Clinical Report. JFB 2023, 14, 174. [Google Scholar] [CrossRef]
- Levartovsky, S.; Pilo, R.; Shadur, A.; Matalon, S.; Winocur, E. Complete rehabilitation of patients with bruxism by veneered and non-veneered zirconia restorations with an increased vertical dimension of occlusion: An observational case-series study. J. Prosthodont. Res. 2019, 63, 440–446. [Google Scholar] [CrossRef] [PubMed]












Disclaimer/Publisher’s Note: The statements, opinions and data contained in all publications are solely those of the individual author(s) and contributor(s) and not of MDPI and/or the editor(s). MDPI and/or the editor(s) disclaim responsibility for any injury to people or property resulting from any ideas, methods, instructions or products referred to in the content. |
© 2023 by the authors. Licensee MDPI, Basel, Switzerland. This article is an open access article distributed under the terms and conditions of the Creative Commons Attribution (CC BY) license (https://creativecommons.org/licenses/by/4.0/).
Share and Cite
Azpiazu-Flores, F.X.; Lee, D.J.; Jurado, C.A.; Nurrohman, H. 3D-Printed Overlay Template for Diagnosis and Planning Complete Arch Implant Prostheses. Healthcare 2023, 11, 1062. https://doi.org/10.3390/healthcare11081062
Azpiazu-Flores FX, Lee DJ, Jurado CA, Nurrohman H. 3D-Printed Overlay Template for Diagnosis and Planning Complete Arch Implant Prostheses. Healthcare. 2023; 11(8):1062. https://doi.org/10.3390/healthcare11081062
Chicago/Turabian StyleAzpiazu-Flores, Francisco X., Damian J. Lee, Carlos A. Jurado, and Hamid Nurrohman. 2023. "3D-Printed Overlay Template for Diagnosis and Planning Complete Arch Implant Prostheses" Healthcare 11, no. 8: 1062. https://doi.org/10.3390/healthcare11081062
APA StyleAzpiazu-Flores, F. X., Lee, D. J., Jurado, C. A., & Nurrohman, H. (2023). 3D-Printed Overlay Template for Diagnosis and Planning Complete Arch Implant Prostheses. Healthcare, 11(8), 1062. https://doi.org/10.3390/healthcare11081062

