Perivascular Epithelioid Cell Tumor (PEComa) of the Pancreas in a Patient with Ulcerative Colitis: A Case Report and Review of the Literature
Abstract
1. Introduction
2. Case Report
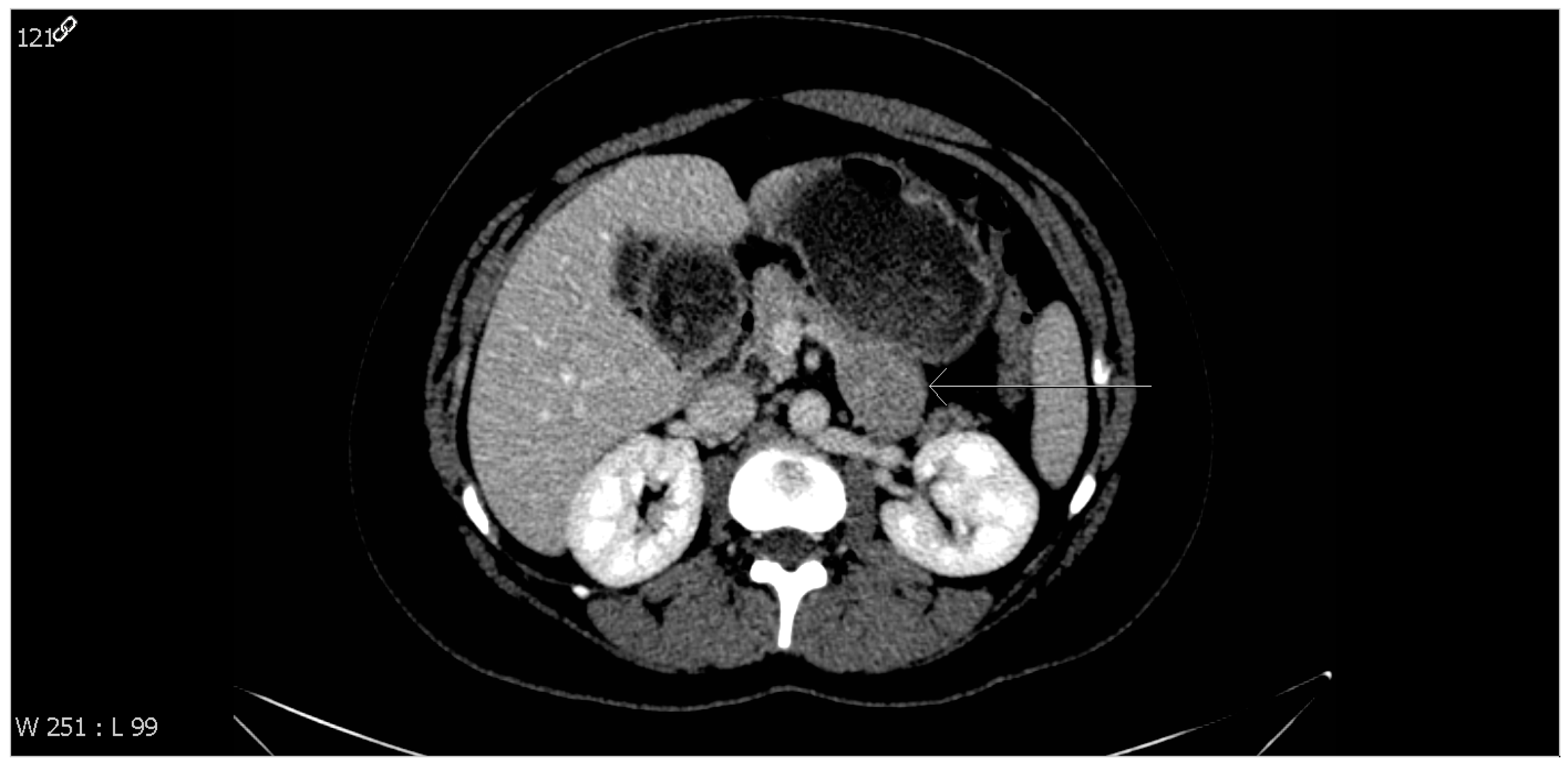
2.1. Clinical History
2.2. Pathological Findings
3. Discussion
4. Conclusions
Author Contributions
Funding
Institutional Review Board Statement
Informed Consent Statement
Data Availability Statement
Conflicts of Interest
References
- Bonetti, F.; Pea, M.; Martignoni, G.; Zamboni, G. PEC and sugar. Letter to the editor. Am. J. Surg. Pathol. 1992, 16, 307–308. [Google Scholar] [CrossRef]
- Bonetti, F.; Pea, M.; Martignoni, G.; Zamboni, G.; Capelli, P.; Doglioni, C.; Rimondi, P.; Andrion, A. Clear cell (“sugar”) tumor of the lung is a lesion strictly related to angiomyolipoma–the concept of a family of lesions characterized by the presence of the perivascular epithelioid cells (PEC). Pathology 1994, 26, 230–236. [Google Scholar] [CrossRef]
- Bonetti, F.; Pen, M.; Martignoni, G.; Zamboni, G.; Manirin, E.; Colombari, R.; Mariuzzi, G.M. The perivascular epithelioid cell and related lesions. Adv. Anat. Pathol. 1997, 4, 343–358. [Google Scholar] [CrossRef]
- Zamboni, G.; Pea, M.; Martignoni, G.; Zancanaro, C.; Faccioli, G.; Gilioli, E.; Pederzoli, P.; Bonetti, F. Clear cell sugar tumor of the pancreas. A novel member of the family of lesions characterized by the presence of perivascular epithelioid cells. Am. J. Surg. Pathol. 1996, 20, 722–730. [Google Scholar] [CrossRef]
- Folpe, A.L.; Goodman, Z.D.; Ishak, K.G.; Paulino, A.F.G.; Taboada, E.M.; Meehan, S.A.; Weiss, S.W. Clear cell myomelanocytic tumor of the falciform ligament/ligamentum teres. A novel member of the perivascular epithelioid clear cell family of tumors with a predilection for children and young adults. Am. J. Surg. Pathol. 2000, 24, 1239–1246. [Google Scholar] [CrossRef]
- Fadare, O. Perivascular epithelioid cell tumor (PEComa) of the uterus. An outcome-based clinicopathologic Analysis of 41 reported cases. Adv. Anat. Pathol. 2008, 15, 63–75. [Google Scholar] [CrossRef]
- Doyle, L.A.; Hornick, J.L.; Fletcher, C.D.M. PEComa of the gastrointestinal tract. Clinicopathologic study of 35 cases with evaluation of prognostic parameters. Am. J. Surg. Pathol. 2013, 37, 1769–1782. [Google Scholar] [CrossRef]
- Chen, Z.; Han, S.; Wu, J.; Xiong, M.; Huang, Y.; Chen, J.; Yuan, Y.; Peng, J.; Song, W. A systemic review: Perivascular epithelioid tumor of gastrointestinal tract. Medicine 2016, 95, e393. [Google Scholar]
- Zimmermann, A.; von der Brelie, C.; Berger, B.; Kappeler, A.; Candinas, D. Primary perivascular epithelioid cell tumor of the liver not related to hepatic ligaments: Hepatic PEComa as an emerging entity. Histol. Histopathol. 2008, 23, 1185–1193. [Google Scholar]
- Folpe, A.L.; Mentzel, T.; Lehr, H.; Fisher, C.; Balzer, B.L.; Weiss, S.W. Perivascular epithelioid cell neoplasms of soft tissue and gynecologic origin, A clinicopathologic study of 26 cases and review of the literature. Am. J. Surg. Pathol. 2005, 29, 1558–1575. [Google Scholar] [CrossRef]
- Yamashita, K.; Fletcher, C.D.M. PEComa presenting in bone: Clinicopathologic analysis of 6 cases and literature review. Am. J. Surg. Pathol. 2010, 34, 1622–1629. [Google Scholar] [CrossRef] [PubMed]
- Liegl, B.; Hornick, J.L.; Fletcher, C.D.M. Primary cutaneous PEComa: Distinctive clear cell lesions of skin. Am. J. Surg. Pathol. 2008, 32, 608–614. [Google Scholar] [CrossRef]
- Heywood, G.; Smyrk, T.C.; Donohue, J.H. Primary angiomyolipoma of the pancreas. Pancreas 2004, 28, 443–445. [Google Scholar] [CrossRef] [PubMed]
- Ramuz, O.; Lelong, B.; Giovannini, M.; Delpero, J.; Rochaix, P.; Xerri, L.; Hassoun, J.; Flejou, J.; Monges, G. Sugar tumor of the pancreas: A rare entity that is diagnosable on preoperative fine-needle biopsies. Virchows Arch. 2005, 446, 555–559. [Google Scholar] [CrossRef]
- Périgny, M.; Larochelle, O.; Hammel, P.; Sauvanet, A.; Dokmak, S.; Belghiti, J.; Ruszniewski, P.; Vilgrain, V.; Bedossa, P.; Couvelard, A. Pancreatic perivascular epithelioid cell tumor (PEComa). Ann. Pathol. 2008, 28, 138–142. [Google Scholar] [CrossRef]
- Baez, J.C.; Landry, J.M.; Saltzman, J.R.; Qian, X.; Zinner, M.J.; Mortelé, K.J. Pancreatic PEComa (sugar tumor): MDCT and EUS features. J. Pancreas 2009, 10, 679–682. [Google Scholar]
- Irabayashi, K.; Nakamura, N.; Kajiwara, H.; Hori, S.; Kawaguchi, Y.; Yamashita, T.; Dowaki, S.; Imaizumi, T.; Osamura, R.Y. Perivascular epithelioid cell tumor (PEComa) of the pancreas: Immunoelectron microscopy and review of the literature. Pathol. Int. 2009, 59, 650–655. [Google Scholar] [CrossRef]
- Zemet, R.; Mazeh, H.; Neuman, T.; Freund, H.R.; Eid, A. Asymptomatic pancreatic perivascular epithelial cell tumor (PEComa) in a male patient: Report and literature review. J. Pancreas 2011, 12, 55–58. [Google Scholar]
- Nagata, S.; Yuki, M.; Tomoeda, M.; Kubo, C.; Yoshizawa, H.; Kitamura, M.; Uehara, H.; Katayama, K.; Nakayama, H.; Okamoto, Y.; et al. Perivascular epithelioid cell neoplasm (PEComa) originating from the pancreas and metastasizing to the liver. Pancreas 2011, 40, 1155–1157. [Google Scholar] [CrossRef]
- Xie, F.L.; Song, Y.N.; Qu, L.J.; Yu, Y.H.; Zheng, Z.Y. Clinicopathologic features of perivascular epithelioid cell tumor of the pancreas. Shijie Huaren Xiaohua Zazhi (World Chin. J. Digestol.) 2011, 19, 964–968. [Google Scholar]
- Finzi, G.; Micello, D.; Wizemann, G.; Sessa, F.; Capella, C. Pancreatic PEComa: A case report with ultrastructural localization of HMB-45 within melanosomes. Ultrastruct. Pathol. 2012, 36, 124–129. [Google Scholar] [CrossRef]
- Al-Haddad, M.; Cramer, H.M.; Muram, T.; Wang, X.; Pitt, H.A. Perivascular epithelioid cell tumor: An unusual pancreatic mass diagnosed by EUS-FNA. Gastrointestinal Endoscopy 2013, 78, 165–167. [Google Scholar] [CrossRef]
- Mourra, N.; Lazure, T.; Colas, C.; Arrive, L.; de Gramont, A. Perivascular epithelioid cell tumor: The first malignant case report in the pancreas. Appl. Immunohistochem. Mol. Morphol. 2013, 21, e1–e4. [Google Scholar] [CrossRef]
- Okuwaki, K.; Kida, M.; Masutani, H.; Yamauchi, H.; Katagiri, H.; Mikami, T.; Miyazawa, S.; Iwai, T.; Takezawa, M.; Imaizumi, H.; et al. A resected perivascular epithelioid cell tumor (PEComa) of the pancreas diagnosed using endoscopic ultrasound-guided fine-needle aspiration. Intern. Med. 2013, 52, 2061–2066. [Google Scholar] [CrossRef] [PubMed]
- Kim, J.Y.; Song, J.S.; Park, H.; Byun, J.H.; Song, K.; Kim, K.; Kim, S.C.; Hong, S. Primary mesenchymal tumors of the pancreas: Single-center experience over 16 years. Pancreas 2014, 43, 959–968. [Google Scholar] [CrossRef] [PubMed]
- Petrides, C.; Neofytou, K.; Khan, A.Z. Pancreatic perivascular epithelioid cell tumour presenting with upper gastrointestinal bleeding. Case Rep. Oncol. Med. 2015, 2015, 2015–431215. [Google Scholar] [CrossRef]
- Kiriyama, Y.; Tsukamoto, T.; Mizoguchi, Y.; Ishihara, S.; Horiguchi, A.; Tokoro, T.; Kato, Y.; Sugioka, A.; Kuroda, M. Intrahepatic peribiliary perivascular epithelioid cell tumor (PEComa) associated with heterotopic pancreas: A case report. Diagn. Pathol. 2016, 11, 81. [Google Scholar] [CrossRef] [PubMed]
- Mizuuchi, Y.; Nishihara, K.; Hayashi, A.; Tamiya, S.; Toyoshima, S.; Oda, Y.; Nakano, T. perivascular epithelial cell tumor (PEComa) of the pancreas: A case report and review of previous literatures. Surg. Case Rep. 2016, 2, 59. [Google Scholar] [CrossRef]
- Hartley, C.P.; Kwiatkowski, D.J.; Hamieh, L.; Lefferts, J.A.; Smith, K.D.; Lisovsky, M. Pancreatic PEComa is a novel member of the family of tuberous sclerosis complex-associated tumors: Case report and review of the literature. Virchows Arch. 2016, 469, 707–710. [Google Scholar] [CrossRef]
- Jiang, H.; Ta, N.; Huang, X.; Zhang, M.; Xu, J.; Zheng, K.; Jin, G.; Zheng, J. Pancreatic perivascular epithelioid cell tumor: A case report with clinicopathological features and a literature review. World J. Gastroenterol. 2016, 22, 3693–3700. [Google Scholar] [CrossRef]
- Collins, K.; Buckley, T.; Anderson, K.; Karasik, M. Ligato, S. Perivascular epithelioid cell tumor (PEComa) of pancreas diagnosed preoperatively by endoscopic ultrasound-guided fine-needle aspiration: A case report and review of literature. Diagn. Cytopathol. 2017, 45, 59–65. [Google Scholar] [CrossRef]
- Zhang, S.; Chen, F.; Huang, X.; Jiang, Q.; Zhao, Y.; Chen, Y.; Zhang, J.; Ma, J.; Yuan, W.; Xu, Q.; et al. “Perivascular epithelial cell tumor (PEComa) of the pancreas A case report and review of literature. Medicine 2017, 96, e7050. [Google Scholar] [CrossRef]
- Zizzo, M.; Ugoletti, L.; Tumiati, D.; Castro Ruiz, C.; Bonacini, S.; Panebianco, M.; Sereni, G.; Manenti, A.; Lococo, F.; Carlinfante, G.; et al. Primary pancreatic perivascular epithelioid cell tumor (PEComa): A surgical enigma. A systematic review of the literature. Pancreatology 2018, 18, 238–245. [Google Scholar] [CrossRef]
- Sangiorgio, V.; Daniele, L.; Gallo, T.; Rocca, R.; Fava, C.; Campisi, P.; De Rosa, G. Ultrasound-guided fine needle aspiration cytology in the diagnosis of hepatic and pancreatic perivascular epithelioid cell tumors: A case series. Diagn. Cytopathol. 2019, 47, 315–319. [Google Scholar] [CrossRef]
- Gondran, H.; Thebaud, E.; Moreau, A.; Le Rhun, M.; Touchefeu, Y.; Regenet, N.; Musquer, N. First pancreatic perivascular epithelioid cell tumor (PEComa) treated by mTOR inhibitor. Pancreatology 2019, 19, 566–568. [Google Scholar] [CrossRef]
- Uno, K.; Shimizu, S.; Hayashi, K.; Yamada, T.; Kusakabe, A.; Kanie, H.; Mizuno, Y.; Nagao, K.; Araki, H.; Toyohara, T.; et al. Perivascular epithelial cell tumor of the pancreas diagnosed preoperatively by endoscopic ultrasound-guided fine-needle aspiration. Intern. Med. 2019, 58, 2515–2521. [Google Scholar] [CrossRef]
- Ulrich, J.D.; Specht, K.; Schlitter, A.M.; Ceyhan, G.O.; Quante, M.; Schmid, R.M.; Schlag, C. A rare case of perivascular epithelioid cell tumor (PEComa) of the pancreas diagnosed by endoscopic ultrasound. Endosc. Int. Open 2020, 8, E25–E28. [Google Scholar] [CrossRef]
- Rodríguez, A.C.; Kempin, J.C.; Higueras, E.Q.; Botella, E.R.; Castillo, J. Pancreatic perivascular epithelial cell tumour (PECOma). Case report and literature review. Gastroenterol. Hepatol. 2020, 43, 257–259. [Google Scholar] [CrossRef]
- Hornick, J.L.; Pan, C.C. WHO Classification of Tumours of Soft Tissue and Bone, 4th ed.; International Agency for Research on Cancer: Lyon, France, 2013; pp. 230–231. [Google Scholar]
- Hornick, J.L.; Fletcher, C.D.M. PEComa: What do we know so far? Histopathology 2006, 48, 75–82. [Google Scholar] [CrossRef]
- Thway, K.; Fisher, C. PEComa: Morphology and genetics of a complex tumor family. Ann. Diagn. Pathol. 2015, 19, 359–368. [Google Scholar] [CrossRef]
- Cook, M.G.; Goligher, J.C. Carcinoma and epithelial dysplasia complicating ulcerative colitis. Gastroenterology 1975, 68, 1127–1136. [Google Scholar] [CrossRef]
- Von Herbay, A.; Herfarth, C.; Otto, H.F. Cancer and dysplasia in ulcerative colitis: A histologic study of 301 surgical specimens. Z. Gastroenterol. 1994, 32, 382–388. [Google Scholar]
- Wee, A.; Ludwig, J.; Coffey, J.; LaRusso, N.F.; Wiesner, R.H. Hepatobiliary carcinoma associated with primary sclerosing cholangitis and chronic ulcerative colitis. Hum. Pathol. 1985, 16, 719–726. [Google Scholar] [CrossRef]
- Chtourou, L.; Ayedi, L.; Rejab, H.; Boudabous, M.; Minf, L.; Grati, A.; Boudaouara, T.; Mzali, R.; Amouri, A.; Tahri, N. Iatrogenic colorectal Kaposi’s sarcoma complicating a refractory ulcerative colitis in a human immunodeficiency negative-virus patient. Pathologica 2017, 109, 371–374. [Google Scholar]
- Shepherd, N.A.; Hall, P.A.; Williams, G.T.; Codling, B.W.; Jones, E.L.; Levison, D.A.; Morson, B.C. Primary malignant lymphoma of the large intestine complicating chronic inflammatory bowel disease. Histopathology 1989, 15, 325–337. [Google Scholar] [CrossRef]
- Thompson, A.I.; Lees, C.W. Genetics of ulcerative colitis. Inflamm. Bowel Dis. 2011, 17, 831–848. [Google Scholar] [CrossRef] [PubMed]
- Suzuki, S.; Nakamura, S.; Ishida, H.; Sakaguchi, T.; Serizawa, A.; Konno, H.; Baba, S.; Muro, H.; Kosugi, I.; Gu, E. Hepatic angiomyolipoma developing during the follow-up of ulcerative colitis: Report of a case and review of the literature. Surg. Today 1996, 26, 635–639. [Google Scholar] [CrossRef]
- Prasad, M.L.; Keating, J.P.; Teoh, H.H.; McCarthy, S.W.; Battifora, H.; Wasef, E.; Rosai, J. Pleomorphic angiomyolipoma of digestive tract: A heretofore unrecognized entity. Int. J. Surg. Pathol. 2000, 8, 67–72. [Google Scholar] [CrossRef]
- Leong, S.; Keeling, A.N.; McGrath, F.P.; Lee, M.J. Transcatheter embolisation of renal angiomyolipoma. Ir. J. Med. Sci. 2010, 179, 21. [Google Scholar] [CrossRef] [PubMed]



| No. | Author, Year, (Reference) | Age/Sex | Symptoms | Location of Tumor in Pancreas | Size in cm | FNA | Operation | Margin | Histologic Type | Follow upMonths/Mets or Recurrence |
|---|---|---|---|---|---|---|---|---|---|---|
| 1. | Zamboni, 1996 [4] | 60/F | Abdominal pain | Body | 2 | Yes | DP | Free | Epithelioid Clear Cell Sugar Tumor | 3/Negative |
| 2. | Heywood, 2004 [13] | 74/F | Abdominal pain | Uncinate process | 4.7 | No | PPPD | Free | Epithelioid Angiomyolipoma | 69/Negative |
| 3. | Ramuz, 2005 [14] | 31/F | Abdominal pain | Body | 1.5 | Yes | SPDP | Free | Epithelioid Sugar Tumor | 9/Negative |
| 4. | Perigny, 2008 [15] | 46/F | Diarrhea | Body | 1.7 | No | Excision | NAD | Epithelioid- Spindle PEComa | 3/Negative |
| 5. | Baez, 2009 [16] | 60/F | Abdominal “bulge” | Body | 3.5 | Yes | DP | Free | Epithelioid- spindle PEComa (Sugar Tumor) | 7/Negative |
| 6. | Hirabyashi, 2009 [17] | 47/F | Abdominal pain | Head | 1.7 | No | PPPD | NAD | Spindle PEComa | 13/Negative |
| 7. | Zemet, 2011 [18] | 49/M | Fever, cough, malaise. History of Hodgkin lymphoma. | Head | 4 | Yes | PPPD | Free | Epithelioid- spindle PEComa | 10/Negative |
| 8. | Nagata, 2011 [19] | 52/M | Abdominal pain | Head | 4 | No | PD | Positive | Malignant Epithelioid PEComa | 39/Liver metastasis |
| 9. | Xie, 2011 [20] | 58/F | Upper abdominal pain, dyspepsia | Head | 2.2 | No | PD | Free | Epithelioid Angiomyolipoma (PEComa) | 5/Negative |
| 10. | Finzi, 2012 [21] | 62/F | Incidental during follow up of liver hemangiomas | Posterior part of head | 2.5 | Yes | Total surgical resection | NAD | Epithelioid PEComa | 5/Negative |
| 11. | Al Haddad, 2013 [22] | 38/F | Abdominal pain | Uncinate process | 1.8 | Yes | PD | NAD | Epithelioid PEComa | NAD |
| 12. | Mourra, 2013 [23] | 51/F | Jaundice, right hypochondriac pain, pruritus | Head | 6 | Yes | PD | Free | Malignant Epithelioid PEComa | 6/Liver metastasis |
| 13. | Okuwaki, 2013 [24] | 43/F | Abdominal pain | Body | 10 | Yes | DP with splenectomy and partial gastrectomy | NAD | Spindle PEComa | 7/Negative |
| 14. | Kim, 2014 [25] | 31/F | Incidental finding | Tail | 3.3 | No | DP | NAD | Angiomyolipoma | NAD |
| 15. | Petrides, 2015 [26] | 17/F | Melena, anemia | Head | 4.2 | Yes | PPPD | Free | Epithelioid and Spindle PEComa | 18/Negative |
| 16. | Kiriyama, 2016 [27] | 57/M | Low back pain | Intrahepatic heterotopic pancreas | 0.38 | No | Left hemi-hepatectomy | Free | Spindle PEComa | 56/Negative |
| 17. | Mizuuchi, 2016 [28] | 61/F | Abdominal pain | Head and body | 6 | No | PD | Free | Epithelioid PEComa | 144/Negative |
| 18. | Hartley, 2016 [29] | 31/F | Incidental finding. History of tuberous sclerosis. | Tail. Three small sized PEComas, and other tumors | 0.12, 0.2, and 0.6 | Yes | DP for three PEComas and other tumors | Free | Epithelioid PEComas | NAD |
| 19. | Jiang, 2016 [30] | 50/F | Incidental finding on US | Head | 2 | Yes | PPPD | Free | Epithelioid PEComa | 14/Negative |
| 20. | Collins, 2017 [31] | 54/F | Right upper quadrant abdominal pain | Body | 2.6 | Yes | MP | Free | Epithelioid PEComa | 23/Negative |
| 21. | Zhang, 2017 [32] | 34/F | Abdominal pain | Head | 11.5 | No | PD and partial hepatectomy | NAD | Malignant Epithelioid PEComa | 13/Negative Patient received chemotherapy |
| 22. | Zizzo, 2018 [33] | 68/M | Abdominal pain | Head | 2.8 | Yes | No surgery | NA | PEComa diagnosed via FNA | 20/Alive with disease |
| 23. | Sangiorgio, 2019 [34] Case 1 | 47/F | NAD | Isthmus | 3 | Yes | No surgery | NA | PEComa diagnosed via FNA | NAD |
| 24. | Sangiorgio, 2019 [34] Case 2 | 70/F | NAD | Body | 2 | Yes | No surgery | NA | PEComa diagnosed via FNA | NAD |
| 25. | Gondran, 2019 [35] | 17/M | Weight loss, asthenia, and flu-like syndrome | Head | 5.5 | Yes | No surgery Treated with Sirolimus (mTOR inhibitor) | NA | Malignant Epithelioid PEComa | 42/Marked reduction in tumor size |
| 26. | Uno, 2019 [36] | 49/F | Incidentally discovered on abdominal US | Tail | 4.3 | Yes | DP | Free | Spindle Cell PEComa | 12/Negative |
| 27. | Ulrich, 2020 [37] | 49/F | Epigastric pain and intermittent diarrhea | Body | 2.5 | Yes | Left-sided pancreat-ectomy and splenectomy | Free | PEComa | NAD |
| 28. | Rodríguez, 2020 [38] | 50/F | Abdominal pain | Body | 1.3 | Yes | DP with splenectomy | NA | PEComa | 18/Negative |
| 29. | Almousa et al., 2023, (Current Case) | 27/F | Epigastric pain | Tail | 4.2 | No | DP | Positive | Epithelioid PEComa | 84/Negative |
| No. | Author, Year (Reference) | Age/Sex | Organ | Size cm | PEComa Family Type | Histologic Type | Treatment | Duration of UC | Follow Up |
|---|---|---|---|---|---|---|---|---|---|
| 1. | Suzuki, 1996 [47] | 38/Male | Liver | 7.5 | Angiomyolipoma | Classic | Hepatic lobectomy | 12 years | Discharged in one month |
| 2. | Prasad, 2000 [48] | 22/Female | Cecum | 3 | Angiomyolipoma | Pleomorphic | Right hemi-colectomy | 14 years | Postop bowel obstruction. Free for 5 months post treatment |
| 3. | Leong, 2010 [49] | 39/Male | Kidney | 20 | Angiomyolipoma | Classic | Embolization | NAD | 30 months. Smaller size |
| 4. | Sangiorgio, 2019 Case 4 [34] | 41/Female | Liver, left lobe | 1.6 | PEComa | NAD | NAD | NAD | NAD |
| 5. | Almousa, 2023 Current case | 27/Female | Pancreas | 4.2 | PEComa | Spindle cell type | Distal pancreatectomy | 11 years | 84 months. No recurrence or metastasis |
Disclaimer/Publisher’s Note: The statements, opinions and data contained in all publications are solely those of the individual author(s) and contributor(s) and not of MDPI and/or the editor(s). MDPI and/or the editor(s) disclaim responsibility for any injury to people or property resulting from any ideas, methods, instructions or products referred to in the content. |
© 2023 by the authors. Licensee MDPI, Basel, Switzerland. This article is an open access article distributed under the terms and conditions of the Creative Commons Attribution (CC BY) license (https://creativecommons.org/licenses/by/4.0/).
Share and Cite
Almousa, M.A.; Alnashwan, Y.A.; Amr, S.S. Perivascular Epithelioid Cell Tumor (PEComa) of the Pancreas in a Patient with Ulcerative Colitis: A Case Report and Review of the Literature. Healthcare 2023, 11, 547. https://doi.org/10.3390/healthcare11040547
Almousa MA, Alnashwan YA, Amr SS. Perivascular Epithelioid Cell Tumor (PEComa) of the Pancreas in a Patient with Ulcerative Colitis: A Case Report and Review of the Literature. Healthcare. 2023; 11(4):547. https://doi.org/10.3390/healthcare11040547
Chicago/Turabian StyleAlmousa, Maryam A., Yara A. Alnashwan, and Samir S. Amr. 2023. "Perivascular Epithelioid Cell Tumor (PEComa) of the Pancreas in a Patient with Ulcerative Colitis: A Case Report and Review of the Literature" Healthcare 11, no. 4: 547. https://doi.org/10.3390/healthcare11040547
APA StyleAlmousa, M. A., Alnashwan, Y. A., & Amr, S. S. (2023). Perivascular Epithelioid Cell Tumor (PEComa) of the Pancreas in a Patient with Ulcerative Colitis: A Case Report and Review of the Literature. Healthcare, 11(4), 547. https://doi.org/10.3390/healthcare11040547

