Spontaneous Pulmonary Hematoma: Case Report of a Giant Post-COVID-19 Hematoma and Literature Review
Abstract
1. Introduction
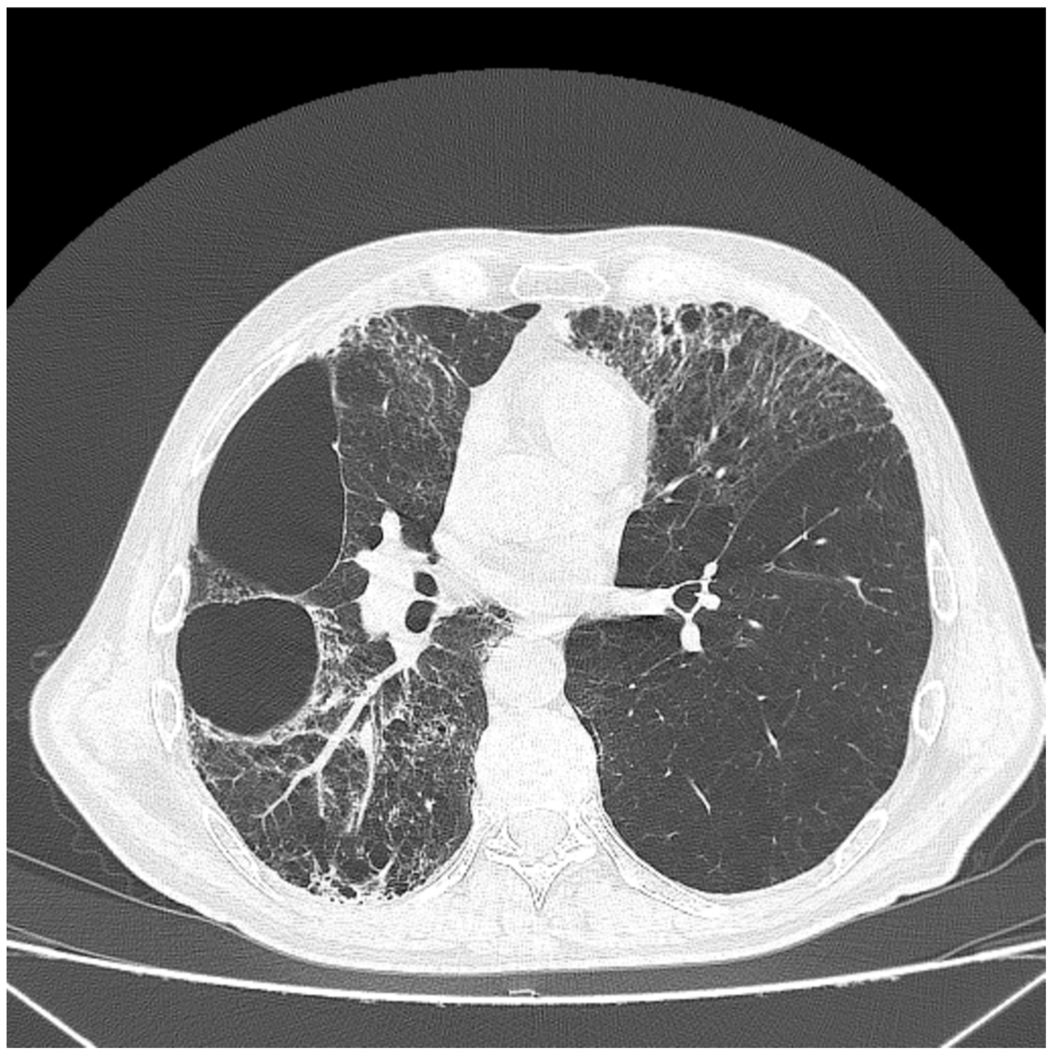
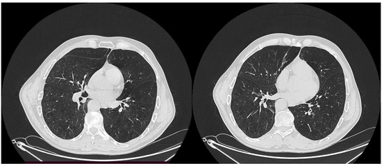
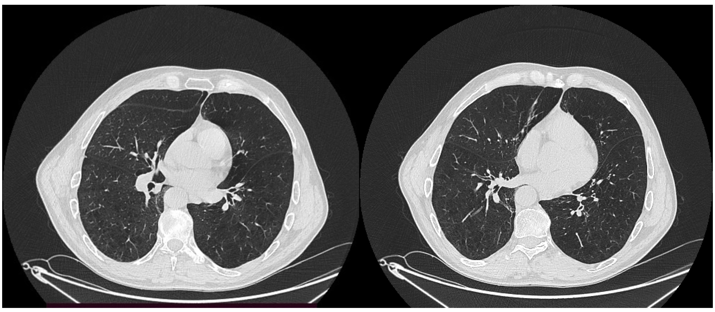
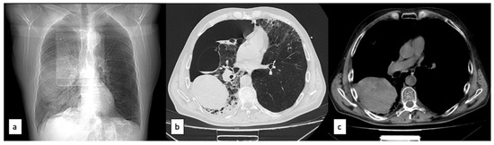
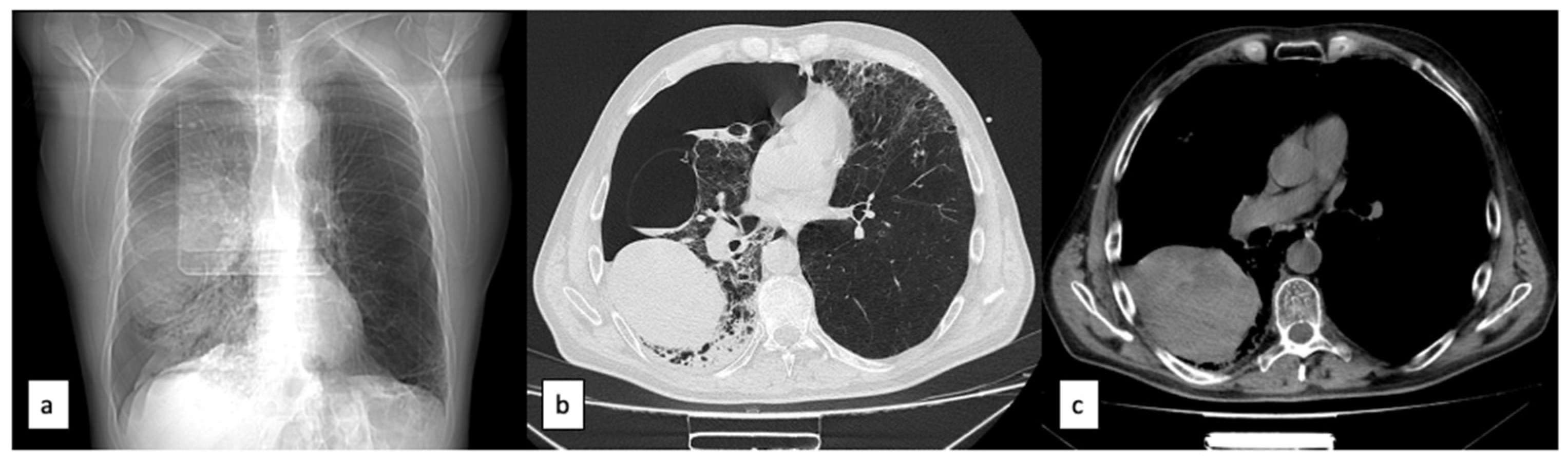
2. Case Report
3. Discussions
3.1. Etiopathogenesis
3.2. Imaging Diagnosis
3.3. Clinical Course and Treatment
4. Conclusions
Author Contributions
Funding
Institutional Review Board Statement
Informed Consent Statement
Data Availability Statement
Conflicts of Interest
References
- Williams, J.R. The vanishing lung tumor; pulmonary hematoma. Am. J. Roentgenol. Radium Ther. Nucl. Med. 1959, 81, 296–302. [Google Scholar] [PubMed]
- Lee, E.J.; Park, S.H.; Park, H.H.; Park, S.H.; Lee, J.Y.; Lee, W.S.; Yoon, S.-Y. Spontaneous Pulmonary Hematoma with No Underlying Causes: A Case Report. Tuberc. Respir. Dis. 2015, 78, 363–365. [Google Scholar] [CrossRef] [PubMed]
- Robu, M.; Marian, D.R.; Vasile, R.; Radulescu, B.; Stegaru, A.; Voica, C.; Nica, C.; Gheorghita, D.; Zaharia, O.; Iulian, A. Delayed Surgical Management of Acute Type A Aortic Dissection in a Patient with Recent COVID-19 Infection and Post-COVID-19 Bronchopneumonia—Case Report and Review of Literature. Med.-Lith. 2022, 58, 1357. [Google Scholar] [CrossRef] [PubMed]
- Nistor, C.-E.; Pantile, D.; Stanciu-Gavan, C.; Ciuche, A.; Moldovan, H. Diagnostic and Therapeutic Characteristics in Patients with Pneumotorax Associated with COVID-19 versus Non-COVID-19 Pneumotorax. Med.-Lith. 2022, 58, 1242. [Google Scholar] [CrossRef] [PubMed]
- Riachy, M.; Mal, H.; Taillé, C.; Dauriat, G.; Groussard, O.; Cazals-Hatem, D.; Biondi, G.; Fournier, M. Non-traumatic pulmonary haematoma complicating oral anticoagulation therapy. Respirology 2007, 12, 614–616. [Google Scholar] [CrossRef]
- Hansen, L.G.; Nielsen, D. Pulmonary haematoma as a complication of oral anticoagulant treatment. Ugeskrift Laeger 1985, 147, 4014–4015. [Google Scholar]
- Kent, D.C. Bleeding into pulmonary cyst associated with anticoagulant therapy. Am. Rev. Respir. Dis. 1965, 92, 108–112. [Google Scholar]
- Balala, I.G. Case of traumatic lung “cyst”, complicated by intrapulmonary hematoma. Case Reports Vestn Rentgen. Radiol. 1974, 4, 89–90. [Google Scholar]
- Stephen, J.J.; Waldemar, G.; Johanson, W.G., Jr. Massive Intrapulmonary Hemorrhage: An Uncommon Complication of Bullous Emphysema. Am. Rev. Respir. Dis. 1974, 110, 497–501. [Google Scholar] [CrossRef]
- Ribeiro, L.; Silva, J.; Pinto, C.S. Spontaneous Pulmonary Hematoma as a Complication of Anticoagulant Therapy–Case reports. Arch. Bronconeumol. 2018, 54, 528–529. [Google Scholar] [CrossRef]
- Mikubo, M.; Sonoda, D.; Yamazaki, H.; Naito, M.; Matsui, Y.; Shiomi, K.; Satoh, Y. Spontaneous non-traumatic mediastinal hematoma associated with oral anticoagulant therapy: A case report and literature review. Int. J. Surg. Case Rep. 2017, 39, 221–224. [Google Scholar] [CrossRef]
- Chakraborty, A.K.; Dreisin, R.B. Pulmonary hematoma secondary to anticoagulant therapy. Ann. Intern. Med. 1982, 96, 67–69. [Google Scholar] [CrossRef]
- Mrug, M.; Mishra, P.; Lusane, H.; Cunningham, J.M.; Alpert, M.A. Hemothorax and retroperitoneal hematoma after anticoagulation with enoxaparin. South Med. J. 2002, 95, 936–938. [Google Scholar]
- Cankaya, B.Y.; Alper, F.; Karaman, A.; Akgun, M. Hemorrhagic lesions associated with anticoagulant therapy: A pictorial review. Rev. J. Thromb. Thrombolysis 2021, 51, 1067–1077. [Google Scholar] [CrossRef] [PubMed]
- Vlaovic, J.; Voga, G. Spontaneous pulmonary hematoma in a patient with sepsis treated with dual antiplatelet therapy. Wien. Klin. Wochenschr. 2016, 128, 553–555. [Google Scholar] [CrossRef]
- Petreanu, C.A.; Constantin, T.; Iosifescu, R.; Gibu, A.; Zariosu, A.; Croitoru, A. Necrotizing fasciitis of the chest wall: A clinical case report and literature review. Exp. Ther. Med. 2022, 23, 90. [Google Scholar] [CrossRef]
- Kok, L.C.; Sugihara, J.; Druger, G. First case report of spontaneous pulmonary hemorrhage following heparin therapy in acute myocardial infarction. Hawaii Med. J. 1996, 55, 83–846. [Google Scholar]
- Hauser, G.; Tomulić, V.; Jakljević, T.; Zaputović, L. Solitary pulmonary hematoma—Unusual complication of thrombolytic treatment. Wien Klin Wochenschr 2006, 118, 265. [Google Scholar] [CrossRef] [PubMed]
- Kaira, K.; Takei, Y.; Matsuura, M.; Saito, R. Case Reports, Pulmonary hematoma resulting from anticoagulant therapy. Am. J. Roentgenol. 2003, 180, 1740. [Google Scholar] [CrossRef]
- Luna, M.A.; William, V.L.; Bao, S. Pulmonary Hematoma Associated with Thrombocytopenia. Chest 1970, 57, 487–489. [Google Scholar] [CrossRef]
- Wang, H.-W.; Lu, J.-Y.; Sun, J.-Z.; Xiao, Y.; Wen, B. Massive hemoptysis and hemothorax: A rare but fatal complication of intralobar sequestration. Chin. Med. J. 2012, 125, 2638–2640. [Google Scholar] [PubMed]
- Katsuda, R.; Mochizuki, Y.; Nakahara, Y.; Kawamura, T.; Sasaki, S.; Mayumi, T. A case of ruptured bronchial artery aneurysm with hemothorax and mediastinal hematoma. Rev. Nihon Kokyuki Gakkai Zasshi 2009, 47, 895–899. [Google Scholar]
- Kalemci, S.; Kizilay, F.; Ergun, K. A case of retroperitoneal hematoma and hemorrhagic shock caused by spontaneous intraparenchymal renal artery aneurysm rupture. Ital. J. Emerg. Med. 2021, 10, 165–167. [Google Scholar] [CrossRef]
- Sersar, I.S.; Ismaeil, M.F.; Mageed, N.A.; Elsaeid, M.M. Rapidly accumulating spontaneous pulmonary hematoma complicating a small parenchymal aneurysm. Interact. Cardiovasc. Thorac. Surg. 2004, 3, 243–244. [Google Scholar] [CrossRef] [PubMed]
- Tanaka, T.; Ohkawa, Y.; Hashimoto, M.; Ishida, N.; Matsumoto, K. Surgical treatment for ruptured descending thoracic aortic aneurysm with the left lung hematoma; report of a case. Jpn. J. Thorac. Surg. 2002, 55, 595–597. [Google Scholar]
- Cosío-Pascal, M.; Cardoso, M. Rupture of the aorta into the left lung (aortopulmonary fistula with lung hematoma formation): Report of a case of successful treatment by operation. J. Thorac. Cardiovasc. Surg. 1966, 51, 834–838. [Google Scholar] [CrossRef]
- Gerloni, R.; Artusi, N.; Cernic, S. Spontaneous Intraparenchymal Lung Haematoma with Active Bleeding, Associated with S. Aureus. Acta Med. Acad. 2018, 47, 92–931. [Google Scholar] [CrossRef]
- Antón, E.; Loperena, J.; Lejarcegui, J.T. A 75-year-old woman with a lung nodule—A spontaneous pulmonary haematoma associated with bronchiectasis. Age Ageing 2005, 34, 310–311. [Google Scholar] [CrossRef]
- Shindo, G.; Endo, T.; Onda, M.; Shimada, T.; Inou, T.; Hiruta, H. Pulmonary large cell carcinoma contiguous to bullae with massive bullous hematoma and hemoptysis; with special reference to 20 cases of Japanese reports. Jpn. J. Thorac. Surg. 2005, 58, 787–793. [Google Scholar]
- Markus, H.S.; Clark, J.V. Pulmonary haemorrhage in Henoch-Schönlein purpura–Review. Thorax 1989, 44, 525–526. [Google Scholar] [CrossRef]
- Tomita, E.; Matsuo, S.; Tsukamoto, Y.; Fukuhara, K.; Akashi, A. Diffuse Alveolar Septal Amyloidosis With Wild-Type Transthyretin With Spontaneous Lung Hematoma. Ann. Thorac. Surg. 2019, 107, e131–e133. [Google Scholar] [CrossRef]
- Matsushita, A.; Takayanagi, N.; Ishiguro, T.; Harasawa, K.; Tsuchiya, N.; Yoneda, K.; Miyahara, Y.; Yamaguchi, S.; Yano, R.; Tokunaga, D.; et al. A case of Ehlers-Danlos syndrome suspected from pulmonary hematoma due to disruption of the lung, Case Reports. Nihon Kokyuki Gakkai Zasshi 2009, 47, 704–710. [Google Scholar] [PubMed]
- Sonokawa, T.; Matsui, T.; Takegahara, K.; Inoue, T.; Kashiwada, T.; Terasaki, Y.; Usuda, J. Spontaneous pulmonary hematoma with diffuse pulmonary ossification requiring emergency treatment: A case report. Surg. Case Rep. 2019, 5, 27. [Google Scholar] [CrossRef] [PubMed]
- Mizukami, Y.; Ueda, N.; Adachi, H.; Arikura, J. Visceral subpleural hematoma of the left diaphragmatic surface following left upper division segmentectomy. J. Cardiothorac. Surg. 2017, 12, 92. [Google Scholar] [CrossRef]
- Sakuma, T.; Takayashiki, N.; Iguchi, K.; Kagohashi, K.; Satoh, H.; Nakazawa, K.; Hizawa, N. Chronic expanding hematoma in the chest: A case report. Exp. Ther. Med. 2018, 15, 5457–5460. [Google Scholar] [CrossRef]
- Kwon, Y.S.; Koh, W.J.; Kim, T.S.; Lee, K.S.; Kim, B.T.; Shim, Y.M. Chronic Expanding Hematoma of the Thorax. Yonsei Med. J. 2007, 48, 337–340. [Google Scholar] [CrossRef] [PubMed]
- Fujiwara-Kuroda, A.; Iwashiro, N.; Ohara, M.; Kaga, K. Successful Treatment for a Large Chronic Expanding Hematoma Treated by Pneumonectomy after Arterial Embolization. Case Rep. Pulmonol. 2022, 2022, 1932420. [Google Scholar] [CrossRef]
- Pappin, A.; Shenker, N.; Hack, M.; Redline, R.W. Extensive intraalveolar pulmonary hemorrhage in infants dying after surfactant therapy. J. Pediatr. 1994, 124, 621–626. [Google Scholar] [CrossRef]
- Nakae, M.; Mizoguchi, H.; Yoshitatsu, M.; Toda, K.; Sawa, Y. Successful surgical case of refractory chronic expanding intrapericardial hematoma treated with preoperative coil embolization of the feeding vessels. Clin. Case Rep. 2019, 7, 1526–1528. [Google Scholar] [CrossRef]
- Hajian, A. A Case Series of Life-Threatening Hemorrhagic Events in Patients with COVID-19. Indian J. Surg. 2022, 84, 418–424. [Google Scholar] [CrossRef] [PubMed]
- Brogna, B.; Romano, A.; Tibullo, L.; Montuori, M.; Nunziata, M.; Russo, G.; Musto, A.L. Rare findings of spontaneous hemothorax and small subpleural lung hematoma in a COVID-19 patient: A case report. Acta Radiol. Open 2021, 10, 20584601211028149. [Google Scholar] [CrossRef]
- Lozano, C.; González, A.; Andreu, M.; Castañer, E. Spontaneous pulmonary hematoma in patients with COVID-19. Radiologia 2022. [Google Scholar] [CrossRef]
- Nakawatase, S.; Asae, Y.; Miyamoto, Y.; Miyamoto, M.; Okumoto, Y.; Mizoguchi, H.; Sakaki, M.; Kimura, K. A Rare Case of Chronic Expanding Intrapericardial Hematoma with Refractory Right-sided Heart Failure 30 Years after the Surgical Repair of Tetralogy of Fallot. Intern. Med. 2021, 60, 2627–2631. [Google Scholar] [CrossRef]
- Wagner, R.B.; Crawford, W.O., Jr.; Schimpf, P.P. Classification of parenchymal injuries of the lung. Radiology 1988, 167, 77–82. [Google Scholar] [CrossRef] [PubMed]
- Kaira, K.; Ishizuka, T.; Yanagitani, N.; Sunaga, N.; Hisada, T.; Mori, M. Pulmonary traumatic pneumatocele and hematoma. Jpn. J. Radiol. 2009, 27, 100–102. [Google Scholar] [CrossRef] [PubMed]
- Westermark, N. A roentgenological investigation into traumatic lung changes arisen through blast violence to the thorax. Acta Radiol. 1941, 22, 331. [Google Scholar] [CrossRef]
- Graham, J.M.; Mattox Kl Beall, A.C. Penetrating trauma of the lung. J. Trauma 1979, 19, 655. [Google Scholar] [CrossRef]
- Brezean, I.; Moldovan, H.; Ferechide, D.; Vilcu, M.; Petrea, S. Self-harm in the prison system. Rom. J. Leg. Med. 2016, 24, 194–198. [Google Scholar] [CrossRef]
- Svane, S. Multiple persistent circumscribed pulmonary hematomas due to a blunt chest trauma. Ann. Thorac. Surg. 2001, 72, 1752–1753. [Google Scholar] [CrossRef] [PubMed]
- Santos, G.H.; Mahendra, T. Traumatic pulmonary pseudocysts. Ann. Thorac. Surg. 1979, 27, 359. [Google Scholar] [CrossRef]
- Savu, C.; Petreanu, C.; Melinte, A.; Posea, R.; Balescu, I.; Iliescu, L.; Diaconu, C.; Galie, N.; Bacalbasa, N. Persistent left superior vena cava–accidental finding. In Vivo 2020, 34, 935–941. [Google Scholar] [CrossRef] [PubMed]
- Požgain, Z.; Dulić, G.; Kristek, J.; Rajc, J.; Bogović, S.; Rimac, M.; Kiš, I. Giant primary pleomorphic adenoma of the lung presenting as a post-traumatic pulmonary hematoma: A case report. J. Cardiothorac. Surg. 2016, 11, 18. [Google Scholar] [CrossRef] [PubMed]
- Olcay, A.L.; Besim, A.; Senocak, M.E.; Gocmen, A.; Buyukpamukcu, M.; Kale, G.; Cetin, M.; Gurgey, A. Hydatid cyst mimicking pulmonary hematoma in a patient with hemophilia. A Turk. J. Pediatr. 1998, 40, 425–429. [Google Scholar] [PubMed]
- Komatsu, T.; Date, N.; Fujinaga, T.; Hara, A.; Kato, T. Solitary Pulmonary Hematoma Radiographically Indistinguishable from Mediastinal Tumor. Case Rep. Surg. 2020, 2020, 8821137. [Google Scholar] [CrossRef]
- Rist, N. Solitary pulmonary hematoma. Chest J. 1962, 42, 267. [Google Scholar] [CrossRef]
- Savu, C.; Grigorie, V.; Alexandru, M.; Camelia, D.; Laura, I.; Mihai, D.; Irina, B.; Nicolae, B. Giant intrathoracic Schwannoma: A case report. In Vivo 2020, 34, 3527–3532. [Google Scholar] [CrossRef]
- Galie, N.; Vasile, R.; Savu, C.; Petreanu, C.; Grigorie, V.; Tabacu, E. Superior vena cava syndrome—Surgical solution–case report. Chirurgia 2010, 105, 835–838. [Google Scholar] [PubMed]
- Bard, R.; Hassani, N. Crescent Sign in Pulmonary Hematoma. Respiration 1975, 32, 247–251. [Google Scholar] [CrossRef] [PubMed]
- Dekeyzer, S.; De Kock, I.; Smet, B.; Van Meerbeeck, S. Pulmonary hematoma presenting as pseudotumor. JBR-BTR 2013, 96, 399. [Google Scholar] [CrossRef] [PubMed]
- Takahashi, N.; Murakami, J.; Murayama, S.; Sakai, S.; Masuda, K.; Ishida, T. MR evaluation of intrapulmonary hematom. J. Comput. Assist. Tomogr. 1995, 19, 125–127. [Google Scholar] [CrossRef]
- Akata, S.; Ohkubo, Y.; Jinho, P.; Saito, K.; Yamagishi, T.; Yoshimura, M.; Kotake, F.; Kakizaki, D.; Abe, K. MR features of a case of chronic expanding hematoma. Clin. Imaging 2000, 24, 44–46. [Google Scholar] [CrossRef]
- Lee, K.; Sasaki, M.; Kakimoto, T.; Morinaga, S.; Yamamoto, T.; Iwamaru, A.; Ogata, K.; Minematsua, N. Pulmonary sclerosing pneumocytoma demonstrating intratumoral hematoma. Respir. Med. Case Rep. 2019, 28, 100870. [Google Scholar] [CrossRef]
- Kamal; Mansour, A.; Philipp; Bongiorno, F. Blunt Trauma: Chest Wall, Lung, Pleura, Heart, Great Vessels, Thoracic Duct and Esophagus–Thoracic Surgery, F Griffith Pearson and All, 2nd ed.; Churcill Livingstone: London, UK, 2002; Chapter 68; pp. 1832–1849. [Google Scholar]
- Iliuta, L.; Rac-Albu, M.; Rac-Albu, M.E.; Andronesi, A. Impact of Pulmonary Hypertension on Mortality after Surgery for Aortic Stenosis. Medicina 2022, 58, 1231. [Google Scholar] [CrossRef] [PubMed]
- Chiarelli, M.; Gerosa, M.; Guttadauro, A.; Gabrielli, F.; Vertemati, G.; Cazzaniga, M.; Fumagalli, L.; De Simone, M.; Cioffi, U. Urgent pulmonary lobectomy for blunt chest trauma: Report of three cases without mortality. J. Thorac. Dis. 2016, 8, 1825–1829. [Google Scholar] [CrossRef] [PubMed]
- Withey, S.; Tamimi, A. Spontaneous pulmonary haemorrhage into an existing emphysematous bulla. BMJ Case Rep. 2016, 2016, bcr2015213144. [Google Scholar] [CrossRef] [PubMed]





| Oral Anticoagulants | Heparine Derivates | Thrombolytic Agent | |
|---|---|---|---|
| Goran et al. [18] | + | + | |
| Riachy et al. [5] | + | ||
| Hansen et al. [6] | + | ||
| Kent et al. [7] | + | ||
| Balala et al. [8] | + | ||
| Ribeiro et al. [10] | + | ||
| Chakraborty et al. [12] | + | + | |
| Kok et al. [17] | + | ||
| Vlaovic and all [15] | + + |
Disclaimer/Publisher’s Note: The statements, opinions and data contained in all publications are solely those of the individual author(s) and contributor(s) and not of MDPI and/or the editor(s). MDPI and/or the editor(s) disclaim responsibility for any injury to people or property resulting from any ideas, methods, instructions or products referred to in the content. |
© 2023 by the authors. Licensee MDPI, Basel, Switzerland. This article is an open access article distributed under the terms and conditions of the Creative Commons Attribution (CC BY) license (https://creativecommons.org/licenses/by/4.0/).
Share and Cite
Petreanu, C.A.; Vlăsceanu, S.; Zaharia, D.; Jipa, D.; Moldovan, H.; Gheorghiță, D.; Iliuță, L.; Rădulescu, B.; Bădărău, I.A.; Savu, C.F. Spontaneous Pulmonary Hematoma: Case Report of a Giant Post-COVID-19 Hematoma and Literature Review. Healthcare 2023, 11, 527. https://doi.org/10.3390/healthcare11040527
Petreanu CA, Vlăsceanu S, Zaharia D, Jipa D, Moldovan H, Gheorghiță D, Iliuță L, Rădulescu B, Bădărău IA, Savu CF. Spontaneous Pulmonary Hematoma: Case Report of a Giant Post-COVID-19 Hematoma and Literature Review. Healthcare. 2023; 11(4):527. https://doi.org/10.3390/healthcare11040527
Chicago/Turabian StylePetreanu, Cornel Adrian, Silviu Vlăsceanu, Dragoș Zaharia, Daniela Jipa, Horațiu Moldovan, Daniela Gheorghiță, Luminița Iliuță, Bogdan Rădulescu, Ioana Anca Bădărău, and Cornel Florentin Savu. 2023. "Spontaneous Pulmonary Hematoma: Case Report of a Giant Post-COVID-19 Hematoma and Literature Review" Healthcare 11, no. 4: 527. https://doi.org/10.3390/healthcare11040527
APA StylePetreanu, C. A., Vlăsceanu, S., Zaharia, D., Jipa, D., Moldovan, H., Gheorghiță, D., Iliuță, L., Rădulescu, B., Bădărău, I. A., & Savu, C. F. (2023). Spontaneous Pulmonary Hematoma: Case Report of a Giant Post-COVID-19 Hematoma and Literature Review. Healthcare, 11(4), 527. https://doi.org/10.3390/healthcare11040527

