Use of Secondary Metabolites Profiling and Antioxidant Activity to Unravel the Differences between Two Species of Nettle
Abstract
:1. Introduction
2. Results and Discussion
2.1. Optimization of the UAEE
2.2. Determination of the TIC in the Extracts
2.3. Chromatographic Secondary Metabolites Profiling
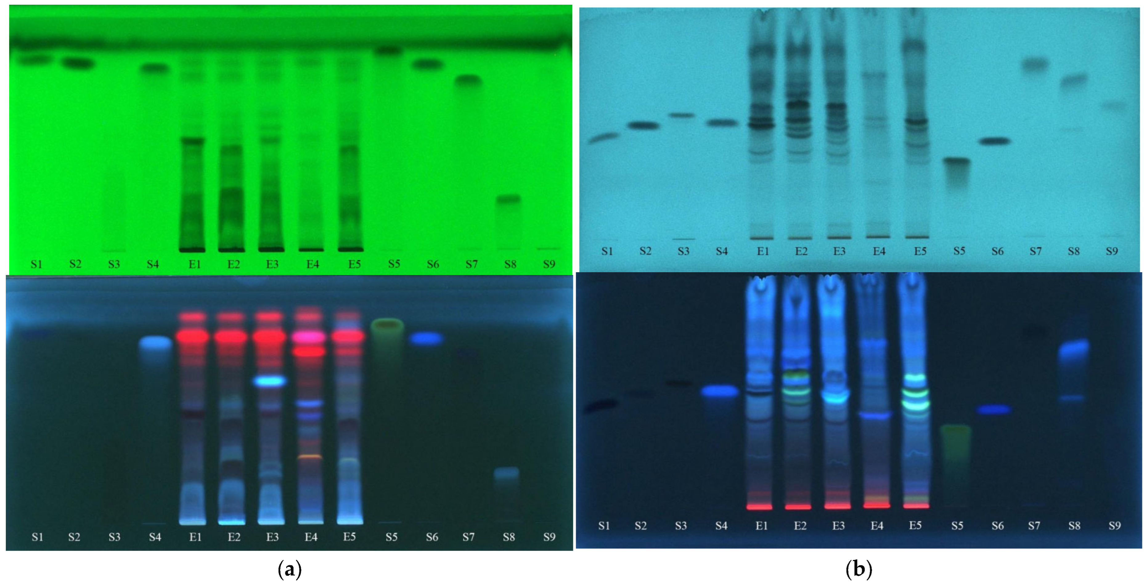
2.3.1. Thin-Layer Chromatography (TLC)
2.3.2. Liquid Chromatography
2.4. Antioxidant Activity
3. Materials and Methods
3.1. Chemical Reagents
3.2. Plant Material
3.3. Optimization of Extraction
3.4. Determination of the Total Iridoids Content in the Extracts
3.5. Chromatographic Secondary Metabolites Profiling
3.5.1. Thin-Layer Chromatography (TLC)
3.5.2. Analysis of Extracts by Liquid Chromatography
3.6. Multivariate Analysis of Chromatographic Data
4. Conclusions
Supplementary Materials
Author Contributions
Funding
Data Availability Statement
Conflicts of Interest
References
- Agatonovic-Kustrin, S.; Morton, D.W. Thin-Layer Chromatography: Fingerprint Analysis of Plant Materials. In Reference Module in Chemistry, Molecular Sciences and Chemical Engineering; Elsevier: Alpharetta, GA, USA, 2017; pp. 1–7. [Google Scholar]
- Fan, X.-H.; Cheng, Y.-Y.; Ye, Z.-L.; Lin, R.-C.; Qian, Z.-Z. Multiple Chromatographic Fingerprinting and its Application to the Quality Control of Herbal Medicines. Anal. Chim. Acta 2006, 555, 217–224. [Google Scholar] [CrossRef]
- Alaerts, G.; Dejaegher, B.; Smeyers-Verbeke, J.; Heyden, Y.V. Recent Developments in Chromatographic Fingerprints from Herbal Products: Set-up and Data Analysis. Comb. Chem. High Throughput Screen. 2010, 13, 900–922. [Google Scholar] [CrossRef] [PubMed]
- WHO. General Guidelines for Methodologies on Research and Evaluation of Traditional Medicine; World Health Organization: Geneva, Switzerland, 2000. [Google Scholar]
- Mehran, M.M.; Norasfard, M.R.; Abedinazade, M.; Khanaki, K. Lamium album or urtica dioica? Which is more effective in decreasing serum glucose, lipid and hepatic enzymes in streptozotocin induced diabetic rats: A comparative study. Afr. J. Tradit. Complement. Altern. Med. 2015, 12, 84–88. [Google Scholar] [CrossRef]
- Arefani, S.; Mehran, M.M.; Moladoust, H.; Norasfard, M.R.; Ghorbani, A.; Abedinzade, M. Effects of standardized extracts of Lamium album and Urtica dioica on rat tracheal smooth muscle contraction. J. Pharmacopunct. 2018, 21, 070–075. [Google Scholar] [CrossRef]
- Salehi, B.; Armstrong, L.; Rescigno, A.; Yeskaliyeva, B.; Seitimova, G.; Beyatli, A.; Sharmeen, J.; Mahomoodally, M.F.; Sharopov, M.; Durazzo, A.; et al. Lamium plants—A comprehensive review on health benefits and biological activities. Molecules 2019, 24, 1913. [Google Scholar] [CrossRef] [PubMed]
- Yordanova, Z.P.; Zhiponova, M.K.; Iakimova, E.T.; Dimitrova, M.A.; Kapchina-Toteva, V.M. Revealing the reviving secret of the white dead nettle (Lamium album L.). Phytochem. Rev. 2014, 13, 375–389. [Google Scholar] [CrossRef]
- Paduch, R.; Wójciak-Kosior, M.; Matysik, G. Investigation of biological activity of Lamii albi flos extracts. J. Ethnopharmacol. 2007, 110, 69–75. [Google Scholar] [CrossRef]
- Pereira, O.R.; Domingues, M.R.M.; Silva, A.M.S.; Cardoso, S.M. Phenolic constituents of Lamium album: Focus on isoscutellareinderivatives. Food. Res. Int. 2012, 48, 330–335. [Google Scholar] [CrossRef]
- Kumar, N.; Singh, B.; Kaul, V.K.; Ahuja, P.S. Chemical and biological aspects of iridoid bearing plants of temperate region. Stud. Nat. Prod. Chem. 2005, 32, 247–302. [Google Scholar]
- Bahareh, S.; Soghra, M.; Hossein, H. A review of the effects of Urtica dioica (nettle) in metabolic syndrome. Iran. J. Basic. Med. Sci. 2022, 25, 543–553. [Google Scholar]
- Devkota, H.P.; Paudel, K.R.; Khanal, S.; Baral, A.; Panth, N.; Adhikari-Devkota, A.; Jha, N.K.; Das, N.; Singh, S.K.; Chellappan, D.K.; et al. Stinging Nettle (Urtica dioica L.): Nutritional Composition, Bioactive Compounds, and Food Functional Properties. Molecules 2022, 27, 5219. [Google Scholar] [CrossRef]
- Jankovic, A.; Chaudhary, G.; Goia, F. Designing the design of experiments (DOE)—An investigation on the influence of different factorial designs on the characterization of complex systems. Energy Build. 2021, 250, 111298. [Google Scholar] [CrossRef]
- Feng, L.; Mao, Y.-D.; Wang, Y.-F.; Raza, A.; Qiu, L.-P.; Xu, X.-Q. Optimization of ultrasonic-assisted enzymatic extraction conditions for improving total phenolic content, antioxidant and antitumor activities in vitro from Trapa quadrispinosa Roxb residues. Molecules 2017, 22, 396. [Google Scholar]
- Cimpoiu, C.; Milna, A.; Danciu, V.; Hosu, A. The influence of assortment of beer on their antioxidant / pro-oxidant capacity and phenolic fingerprint. Stud. Univ. Babes-Bolyai Chem. 2021, LXVI, 23–40. [Google Scholar] [CrossRef]
- David, L.; Hosu, A.; Moldovan, B.; Cimpoiu, C. Evaluation and authentication of red fruits teas by high performance thin-layer chromatographic fingerprinting. J. Liq. Chromatogr. Relat. Technol. 2014, 37, 1644–1653. [Google Scholar] [CrossRef]
- Hosu, A.; Danciu, V.; Cimpoiu, C. Validated HPTLC fingerprinting and antioxidant activity evaluation of twenty-seven Romanian red wines. J. Food Compos. Anal. 2015, 41, 174–180. [Google Scholar] [CrossRef]
- Reich, E.; Schibli, A.; DeBatt, A. Validation protocol: Validation of method for the identification of Feverfew by HPTLC fingerprint. J. AOAC Int. 2008, 91, 13–20. [Google Scholar] [CrossRef]
- Sulborska, A.; Konarska, A.; Matysik-Woźniak, A.; Dmitruk, M.; Weryszko-Chmielewska, E.; Skalska-Kamińska, A.; Rejdak, R. Phenolic Constituents of Lamium album L. subsp. album Flowers: Anatomical, Histochemical, and Phytochemical Study. Molecules 2020, 25, 6025. [Google Scholar]
- Tistaert, C.; Dejaegher, B.; Heyden, Y.V. Chromatographic separation techniques and data handling methods for herbal fingerprints: A review. Anal. Chim. Acta 2011, 690, 148–161. [Google Scholar] [CrossRef]
- Czerwińska, M.E.; Kalinowska, E.; Popowski, D.; Bazylko, A. Lamalbid, Chlorogenic Acid, and Verbascoside as ToolsforStandardization of Lamium album Flowers-Development and Validation of HPLC–DAD Method. Molecules 2020, 25, 1721. [Google Scholar]
- Box, G.E.P.; Behnken, D.W. Some new three level designs for the study of quantitative variables. Tehnometrics 1960, 2, 455–475. [Google Scholar] [CrossRef]
- Trim, A.; Hill, R. The preparation and properties of Aucubin. Biochem. J. 1952, 50, 310–319. [Google Scholar] [CrossRef]
- Do, T.K.T.; De Vaumas, R.; Reich, E. Phytochemical profiling of iridoids by highperformance thin-layer chromatography. JPC J. Planar Chromatogr. Mod. TLC 2021, 34, 361–366. [Google Scholar] [CrossRef]
- Coran, S.A.; Mulas, S.; Vasconi, A. Profiling of components and validated determination of iridoids in Gardenia Jasminoides Ellis fruit by a high-performance-thinlayer-chromatography/mass spectrometry approach. J. Chromatogr. A 2014, 1325, 221–226. [Google Scholar] [CrossRef] [PubMed]
- Konarska, A.; Weryszko-Chmielewska, E.; Matysik-Woźniak, A.; Sulborska, A.; Polak, B.; Dmitruk, M.; Rejdak, R. Histochemical and phytochemical analysis of Lamium album subsp. album L. corolla: Essential oil, triterpenes, and iridoids. Molecules 2021, 26, 4166. [Google Scholar] [CrossRef] [PubMed]












| Level | A—Time (min) | B—Enzyme Concentration (%m) | C—Temperature (°C) |
|---|---|---|---|
| −1 | 20 | 2.5 | 50 |
| 0 | 30 | 3 | 60 |
| +1 | 40 | 3.5 | 70 |
| Experiment | A—Time (min) | B—Enzyme Concentration (%m) | C—Temperature (°C) | Y—TIC (µg/µL) |
|---|---|---|---|---|
| 1 | −1 | −1 | 0 | 0.328 |
| 2 | +1 | −1 | 0 | 0.384 |
| 3 | −1 | +1 | 0 | 0.294 |
| 4 | +1 | +1 | 0 | 0.511 |
| 5 | −1 | 0 | −1 | 0.237 |
| 6 | +1 | 0 | −1 | 0.530 |
| 7 | −1 | 0 | +1 | 0.306 |
| 8 | +1 | 0 | +1 | 0.346 |
| 9 | 0 | −1 | −1 | 0.387 |
| 10 | 0 | −1 | −1 | 0.397 |
| 11 | 0 | +1 | +1 | 0.362 |
| 12 | 0 | +1 | +1 | 0.336 |
| 13 | 0 | 0 | 0 | 0.516 |
| 14 | 0 | 0 | 0 | 0.522 |
| 15 | 0 | 0 | 0 | 0.511 |
| Source | DF* | F*-Value | Fcrit*-Value | p*-Value |
|---|---|---|---|---|
| Model | 9 | 30.02 | 2.6458 | 0.001 |
| Linear | 3 | 32.99 | 0.001 | |
| A | 1 | 88.82 | 4.6001 | 0.000 |
| B | 1 | 7.60 | 4.6001 | 0.040 |
| C | 1 | 2.57 | 4.6001 | 0.170 |
| Square | 3 | 39.56 | 0.001 | |
| A2 | 1 | 29.42 | 4.6001 | 0.003 |
| B2 | 1 | 38.23 | 4.6001 | 0.002 |
| C2 | 1 | 68.20 | 4.6001 | 0.000 |
| 2-Way interaction | 3 | 17.49 | 0.004 | |
| AB | 1 | 12.58 | 4.6001 | 0.016 |
| AC | 1 | 30.99 | 4.6001 | 0.003 |
| BC | 1 | 8.91 | 4.6001 | 0.031 |
| Error | 5 | |||
| Total | 14 |
| Extract | DPPH• | ABTS•+ | ||
|---|---|---|---|---|
| Silica Gel | RP-18 | Silica Gel | RP-18 | |
| E1—L. album from Satu Mare | 4838 | 9017 | 5618 | 6447 |
| E2—L. album from Cluj-Napoca | 5363 | 9123 | 5107 | 7228 |
| E3—L. album from Dej | 3706 | 9029 | 5398 | 6897 |
| E4—U. dioica tea | 3587 | 6091 | 5235 | 6345 |
| E5—L. album tea | 6364 | 8891 | 6316 | 6126 |
Disclaimer/Publisher’s Note: The statements, opinions and data contained in all publications are solely those of the individual author(s) and contributor(s) and not of MDPI and/or the editor(s). MDPI and/or the editor(s) disclaim responsibility for any injury to people or property resulting from any ideas, methods, instructions or products referred to in the content. |
© 2023 by the authors. Licensee MDPI, Basel, Switzerland. This article is an open access article distributed under the terms and conditions of the Creative Commons Attribution (CC BY) license (https://creativecommons.org/licenses/by/4.0/).
Share and Cite
Baumli, J.; Antal, N.; Casoni, D.; Cimpoiu, C. Use of Secondary Metabolites Profiling and Antioxidant Activity to Unravel the Differences between Two Species of Nettle. Plants 2023, 12, 3233. https://doi.org/10.3390/plants12183233
Baumli J, Antal N, Casoni D, Cimpoiu C. Use of Secondary Metabolites Profiling and Antioxidant Activity to Unravel the Differences between Two Species of Nettle. Plants. 2023; 12(18):3233. https://doi.org/10.3390/plants12183233
Chicago/Turabian StyleBaumli, Julia, Norbert Antal, Dorina Casoni, and Claudia Cimpoiu. 2023. "Use of Secondary Metabolites Profiling and Antioxidant Activity to Unravel the Differences between Two Species of Nettle" Plants 12, no. 18: 3233. https://doi.org/10.3390/plants12183233
APA StyleBaumli, J., Antal, N., Casoni, D., & Cimpoiu, C. (2023). Use of Secondary Metabolites Profiling and Antioxidant Activity to Unravel the Differences between Two Species of Nettle. Plants, 12(18), 3233. https://doi.org/10.3390/plants12183233

