Role of Autophagy in Haematococcus lacustris Cell Growth under Salinity
Abstract
:1. Introduction
2. Results
2.1. Treatment of Haematococcus lacustris Cells Exposed to 0.2% NaCl with AZD8055 Significantly Enhanced Cell Growth
2.2. Cellular K+/Na+ Ratio Decreased in Salt-Stressed H. lacustris with Increasing NaCl Concentrations
2.3. OJIP-Kinetics in H. lacustris Cells Were Influenced by 0.8% NaCl in Growth Medium
2.4. Addition of AZD Increased Formation of Autophagosomes in Salt-Stressed H. lacustris Cells
2.5. The Levels of Astaxanthin in Salt-Stressed H. lacustris Cells Were Not Affected by AZD8055
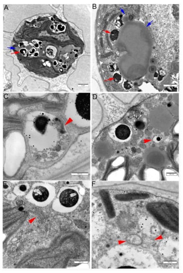
2.6. Autophagosomes and Autolysosomes Were Abundant in H. lacustris Cells Subjected to High Salt Stress
3. Discussion
4. Conclusions
5. Materials and Methods
5.1. Plant Material and Growth Conditions
5.2. Induction of Salinity Stress and Treatment with Inhibitors
5.3. Microscopic Studies
5.4. Determination of Cell Viability
5.5. Determination of Cellular K+ and Na+ Levels
5.6. Chlorophyll (Chl) a Fluorescent Transients
5.7. Immunofluorescence
5.8. Visualization of Autophagosomes Using MCD and of Lipid Droplets Using Nile Red
5.9. Visualization of Autophagosomes Using MCD and of Lipid Droplets Using Nile Red
5.10. TEM Studies
5.11. Determination of Astaxanthin Contents
5.12. Statistics
Author Contributions
Funding
Institutional Review Board Statement
Informed Consent Statement
Data Availability Statement
Acknowledgments
Conflicts of Interest
References
- Shah, M.M.R.; Liang, Y.; Cheng, J.J.; Daroch, M. Astaxanthin-producing green microalga Haematococcus pluvialis: From single cell to high value commercial products. Front. Plant Sci. 2016, 7, 531. [Google Scholar] [CrossRef] [PubMed] [Green Version]
- Wayama, M.; Ota, S.; Matsuura, H.; Nango, N.; Hirata, A.; Kawano, S. Three-dimensional ultrastructural study of oil and astaxanthin accumulation during encystment in the green alga Haematococcus pluvialis. PLoS ONE 2013, 8, e53618. [Google Scholar] [CrossRef] [PubMed]
- He, B.; Hou, L.; Zhang, F.; Cong, X.; Wang, Z.; Guo, Y.; Shi, J.; Jiang, M.; Zhang, X.; Zang, X. Ultrastructural changes of Haematococcus pluvialis (Chlorophyta) in process of astaxanthin accumulation and cell damage under condition of high light with acetate. Algae 2020, 35, 253–262. [Google Scholar] [CrossRef]
- Xu, C.; Fan, J.; Shanklin, J. Metabolic and functional connections between cytoplasmic and chloroplast triacylglycerol storage. Prog. Lipid Res. 2020, 80, 101069. [Google Scholar] [CrossRef]
- Solovchenko, A.E. Recent breakthroughs in the biology of astaxanthin accumulation by microalgal cell. Photosynth. Res. 2015, 125, 437–449. [Google Scholar] [CrossRef]
- Cui, J.; Yu, C.; Zhong, D.B.; Zhao, Y.; Yu, X. Melatonin and calcium act synergistically to enhance the coproduction of astaxanthin and lipids in Haematococcus pluvialis under nitrogen deficiency and high light conditions. Bioresour. Technol. 2020, 305, 123069. [Google Scholar] [CrossRef] [PubMed]
- Chelebieva, E.S.; Dantsyuk, N.V.; Chekanov, K.A.; Chubchikova, I.N.; Drobetskaya, I.V.; Minyuk, G.S.; Lobakova, E.S.; Solovchenko, A.E. Identification and morphological-physiological characterization of Astaxanthin producer strains of Haematococcus pluvialis from the Black Sea Region. Appl. Biochem. Microbiol. 2018, 54, 639–648. [Google Scholar] [CrossRef]
- Sarada, R.; Tripathi, U.; Ravishankar, G.A. Influence of stress on astaxanthin production in Haematococcus pluvialis grown under different culture conditions. Proc. Biochem. 2002, 37, 623–627. [Google Scholar] [CrossRef]
- Cifuentes, A.S.; González, M.A.; Vargas, S.; Hoeneisen, M.; González, N. Optimization of biomass, total carotenoids and astaxanthin production in Haematococcus pluvialis Flotow strain Steptoe (Nevada, USA) under laboratory conditions. Biol. Res. 2003, 36, 343–357. [Google Scholar] [CrossRef] [Green Version]
- Shabala, S.; Demidchik, V.; Shabala, L.; Cuin, T.A.; Smith, S.J.; Miller, A.J.; Davies, J.M.; Newman, I.A. Extracellular Ca2+ ameliorates NaCl-induced K+ loss from Arabidopsis root and leaf cells by controlling plasma membrane K+-permeable channels. Plant Physiol. 2006, 141, 1653–1665. [Google Scholar] [CrossRef] [Green Version]
- Wu, H.; Zhang, X.; Giraldo, J.P.; Shabala, S. It is not all about sodium: Revealing tissue specificity and signalling roles of potassium in plant responses to salt stress. Plant Soil 2018, 431, 1–17. [Google Scholar] [CrossRef]
- Wang, W.; Xing, L.; Xu, K.; Ji, D.; Xu, Y.; Chen, C.; Xie, C. Salt stress-induced H2O2 and Ca2+ mediate K+/Na+ homeostasis in Pyropia haitanensis. J. Appl. Phycol. 2020, 32, 4199–4210. [Google Scholar] [CrossRef]
- Demidchik, V.; Tyutereva, E.V.; Voitsekhovskaja, O.V. The role of ion disequilibrium in induction of root cell death and autophagy by environmental stresses. Funct. Plant. Biol. 2018, 45, 28–46. [Google Scholar] [CrossRef]
- Pérez, M.E.; Florencio, F.J.; Crespo, J.L. Inhibition of target of rapamycin signaling and stress activate autophagy in Chlamydomonas reinhardtii. Plant Physiol. 2010, 152, 1874–1888. [Google Scholar] [CrossRef] [Green Version]
- Pérez-Pérez, M.E.; Couso, I.; Heredia-Martínez, L.G.; Crespo, J.L. Monitoring autophagy in the model green microalga Chlamydomonas reinhardtii. Cells 2017, 6, 36. [Google Scholar] [CrossRef] [Green Version]
- Pérez-Pérez, M.E.; Couso, I.; Crespo, J.L. The TOR Signaling Network in the Model Unicellular Green Alga Chlamydomonas reinhardtii. Biomolecules 2017, 7, 54. [Google Scholar] [CrossRef] [Green Version]
- Khona, D.K.; Shirolikar, S.M.; Gawde, K.K.; Homc, E.; Deodhar, M.A.; D’Souza, J.S. Characterization of salt stress-induced palmelloids in the green alga, Chlamydomonas reinhardtii. Algal Res. 2016, 16, 434–448. [Google Scholar] [CrossRef]
- Couso, I.; Pérez-Pérez, M.E.; Martínez-Force, E.; Kim, H.-S.; He, Y.; Umen, J.G.; Crespo, J.L.; Bozhkov, P. Autophagic flux is required for the synthesis of triacylglycerols and ribosomal protein turnover in Chlamydomonas. J. Exp. Bot. 2017, 69, 1355–1367. [Google Scholar] [CrossRef] [PubMed]
- Pugkaew, W.; Meetam, M.; Ponpuak, M.; Yokthongwattana, K.; Pokethitiyook, P. Role of autophagy in triacylglycerol biosynthesis in Chlamydomonas reinhardtii revealed by chemical inducer and inhibitors. J. Appl. Phycol. 2017, 30, 15–22. [Google Scholar] [CrossRef]
- Imamura, S.; Kawase, Y.; Kobayashi, I.; Sone, T.; Era, A.; Miyagishima, S.Y.; Shimojima, M.; Ohta, H.; Tanaka, K. Target of rapamycin (TOR) plays a critical role in triacylglycerol accumulation in microalgae. Plant Mol. Biol. 2015, 89, 309–318. [Google Scholar] [CrossRef] [PubMed]
- Imamura, S.; Kawase, Y.; Kobayashi, I.; Shimojima, M.; Ohta, H.; Tanaka, K. TOR (target of rapamycin) is a key regulator of triacylglycerol accumulation in microalgae. Plant Signal. Behav. 2016, 11, e1149285. [Google Scholar] [CrossRef] [PubMed] [Green Version]
- Tran, Q.-G.; Yoon, H.R.; Cho, K.; Lee, S.-J.; Crespo, J.L.; Ramanan, R.; Kim, H.-S. Dynamic interactions between autophagosomes and lipid droplets in Chlamydomonas reinhardtii. Cells 2019, 8, 992. [Google Scholar] [CrossRef] [Green Version]
- Nguyen, T.B.; Louie, S.M.; Daniele, J.R.; Tran, Q.; Dillin, A.; Zoncu, R.; Nomura, D.K.; Olzmann, J.A. DGAT1-dependent lipid droplet biogenesis protects mitochondrial function during starvation-induced autophagy. Dev. Cell 2017, 42, 9.e5–21.e5. [Google Scholar] [CrossRef] [PubMed] [Green Version]
- Ford, M.M.; Smythers, A.L.; McConnell, E.W.; Lowery, S.C.; Kolling, D.R.J.; Hicks, L.M. Inhibition of TOR in Chlamydomonas reinhardtii leads to rapid cysteine oxidation reflecting sustained physiological changes. Cells 2019, 8, 1171. [Google Scholar] [CrossRef] [Green Version]
- Fabregas, J.; Dominguez, A.; Regueiro, M.; Maseda, A.; Otero, A. Optimization of culture medium for the continuous cultivation of the microalga Haematococcus pluvialis. Appl. Microbiol. Biotechnol. 2000, 53, 530–535. [Google Scholar] [CrossRef] [PubMed]
- Chresta, C.M.; Davies, B.R.; Hickson, I.; Harding, T.; Cosulich, S.; Critchlow, S.E.; Vincent, J.P.; Ellston, R.; Jones, D.; Sini, P.; et al. AZD8055 is a potent, selective, and orally bioavailable ATP-competitive mammalian target of rapamycin kinase inhibitor with in vitro and in vivo antitumor activity. Cancer Res. 2010, 70, 288–298. [Google Scholar] [CrossRef] [Green Version]
- Yordanova, Z.P.; Woltering, E.J.; Kapchina-Toteva, V.M.; Iakimova, E.T. Mastoparan-induced programmed cell death in the unicellular alga Chlamydomonas reinhardtii. Ann. Bot. 2013, 111, 191–205. [Google Scholar] [CrossRef] [PubMed] [Green Version]
- Stirbet, A.; Lazár, D.; Kromdijk, J.; Govindjee. Chlorophyll a fluorescence induction: Can just a one-second measurement be used to quantify abiotic stress responses? Photosynthetica 2018, 56, 86–104. [Google Scholar] [CrossRef]
- Affenzeller, M.J.; Darehshouri, A.; Andosch, A.; Lütz, C.; Lütz-Meindl, U. Salt stress-induced cell death in the unicellular green alga Micrasterias denticulata. J. Exp. Bot. 2009, 60, 939–954. [Google Scholar] [CrossRef] [PubMed] [Green Version]
- Contento, A.L.; Xiong, Y.; Bassham, D.C. Visualization of autophagy in Arabidopsis using the fluorescent dye monodansylcadaverine and a GFP-AtATG8e fusion protein. Plant J. 2005, 42, 598–608. [Google Scholar] [CrossRef] [PubMed]
- Liu, W.; Guo, C.; Huang, D.; Li, H.; Wang, C. The Papain-like Cysteine Protease HpXBCP3 from Haematococcus pluvialis Involved in the Regulation of Growth, Salt Stress Tolerance and Chlorophyll Synthesis in Microalgae. Int. J. Mol. Sci. 2021, 22, 11539. [Google Scholar] [CrossRef]
- Shemi, A.; Ben-Dor, S.; Vardi, A. Elucidating the composition and conservation of the autophagy pathway in photosynthetic eukaryotes. Autophagy 2015, 11, 701–715. [Google Scholar] [CrossRef] [Green Version]
- Jamsheer, K.M.; Jindal, S.; Laxmi, A. Evolution of TOR–SnRK dynamics in green plants and its integration with phytohormone signaling networks. J. Exp. Bot. 2019, 70, 2239–2259. [Google Scholar] [CrossRef] [PubMed]
- Chekanov, K.; Lobakova, E.; Selyakh, I.; Semenova, L.; Sidorov, R.; Solovchenko, A. Accumulation of astaxanthin by a new Haematococcus pluvialis strain BM1 from the White Sea coastal rocks (Russia). Mar. Drugs 2014, 12, 4504–4520. [Google Scholar] [CrossRef] [Green Version]
- Li, X.; Zhang, X.; Zhao, Y.; Yu, X. Cross-talk between gama-aminobutyric acid and calcium ion regulates lipid biosynthesis in Monoraphidium sp. QLY-1 in response to combined treatment of fulvic acid and salinity stress. Bioresour. Technol. 2020, 315, 123833. [Google Scholar] [CrossRef] [PubMed]
- Kleessen, S.; Irgang, S.; Klie, S.; Giavalisco, P.; Nikoloski, Z. Integration of transcriptomics and metabolomics data specifies the metabolic response of Chlamydomonas to rapamycin treatment. Plant J. 2015, 81, 822–835. [Google Scholar] [CrossRef] [PubMed]
- Xiong, Y.; Contento, A.L.; Nguyen, P.Q.; Bassham, D.C. Degradation of oxidized proteins by autophagy during oxidative stress in Arabidopsis. Plant Physiol. 2007, 143, 291–299. [Google Scholar] [CrossRef] [PubMed] [Green Version]
- Li, Q.; Zhao, Y.; Ding, W.; Han, B.; Geng, S.; Ning, D.; Ma, T.; Yu, X. Gamma-aminobutyric acid facilitates the simultaneous production of biomass, astaxanthin and lipids in Haematococcus pluvialis under salinity and high-light stress conditions. Bioresour. Technol. 2020, 320, 124418. [Google Scholar] [CrossRef] [PubMed]
- Hummel, E.; Guttmann, P.; Werner, S.; Tarek, B.; Schneider, G.; Kunz, M.; Frangakis, A.S.; Westermann, B. 3D Ultrastructural Organization of Whole Chlamydomonas reinhardtii Cells Studied by Nanoscale Soft X-ray Tomography. PLoS ONE 2021, 7, e53293. [Google Scholar] [CrossRef] [PubMed] [Green Version]
- Schmollinger, S.; Chen, S.; Strenkert, D.; Hui, C.; Ralle, M.; Merchant, S.S. Single-cell visualization and quantification of trace metals in Chlamydomonas lysosome-related organelles. Proc. Natl. Acad. Sci. USA 2021, 118, e2026811118. [Google Scholar] [CrossRef] [PubMed]
- Ding, X.; Jiang, X.; Tian, R.; Zhao, P.; Li, L.; Wang, X.; Chen, S.; Zhu, Y.; Mei, M.; Bao, S.; et al. RAB2 regulates the formation of autophagosome and autolysosome in mammalian cells. Autophagy 2019, 15, 1774–1786. [Google Scholar] [CrossRef] [PubMed] [Green Version]
- Plyusnina, T.Y.; Khruschev, S.S.; Riznichenko, G.Y. An analysis of the chlorophyll fluorescence transient by spectral multi-exponential approximation. Biofizika 2015, 60, 392–399. [Google Scholar] [CrossRef]
- Yamano, T.; Fukuzawa, H. Indirect Immunofluorescence Assay in Chlamydomonas reinhardtii. Bio-Protocol 2016, 6, e1864. [Google Scholar] [CrossRef] [Green Version]
- Wong, D.M.; Nguyen, T.T.N.; Franz, A.K. Ethylenediaminetetraacetic acid (EDTA) enhances intracellular lipid staining with Nile red in microalgae Tetraselmis suecica. Algal Res. 2014, 5, 158–163. [Google Scholar] [CrossRef]
- Li, Y.; Miao, F.; Geng, Y.; Lu, D.; Zhang, C.; Zeng, M. Accurate quantification of astaxanthin from Haematococcus crude extract spectrophotometrically. J. Ocean. Univ. China 2012, 30, 627–637. [Google Scholar] [CrossRef]
- R Core Team. R: A language and environment for statistical computing. In R Foundation for Statistical Computing; R Core Team: Vienna, Austria, 2018; Available online: https://www.R-project.org/ (accessed on 21 November 2021).






| Control | 0.2% NaCl | 0.2% NaCl + AZD | 0.8% NaCl | 0.8% NaCl + AZD | |
|---|---|---|---|---|---|
| 1 Day | |||||
| FO | 0.04 ± 0.01 a | 0.05 ± 0.01 ac | 0.06 ± 0.01 bc | 0.06 ± 0.003 bc | 0.08 ± 0.001 b |
| FM | 0.21 ± 0.05 a | 0.20 ± 0.02 ab | 0.21 ± 0.02 a | 0.14 ± 0.004 b | 0.16 ± 0.004 ab |
| φO | 0.81 ± 0.01 a | 0.76 ± 0.03 ab | 0.71 ± 0.01 b | 0.54 ± 0.03 c | 0.51 ± 0.02 c |
| TFM | 114.92 ± 4.90 | 117.46 ± 2.87 | 119.44 ± 0.68 | 111.16 ± 0.47 | 106.9 ± 13.12 |
| SM | 20.17 ± 3.11 a | 18.55 ± 2.08 a | 19.83 ± 0.79 a | 7.22 ± 0.64 b | 8.47 ± 0.06 b |
| VJ | 0.33 ± 0.04 a | 0.39 ± 0.03 a | 0.39 ± 0.04 a | 0.50 ± 0.03 b | 0.50 ± 0.04 b |
| VI | 0.68 ± 0.05 | 0.70 ± 0.06 | 0.68 ± 0.03 | 0.62 ± 0.03 | 0.66 ± 0.07 |
| ψO | 0.67 ± 0.04 a | 0.61 ± 0.03 a | 0.61 ± 0.04 a | 0.50 ± 0.03 b | 0.50 ± 0.04 b |
| 3 Day | |||||
| FO | 0.06 ± 0.01 ab | 0.05 ± 0.007 ab | 0.07 ± 0.001 a | 0.05 ± 0.007 b | 0.07 ± 0.002 a |
| FM | 0.18 ± 0.02 a | 0.19 ± 0.02 a | 0.17 ± 0.005 a | 0.07 ± 0.009 b | 0.10 ± 0.002 b |
| φO | 0.67 ± 0.05 ab | 0.72 ± 0.02 a | 0.62 ± 0.03 b | 0.32 ± 0.03 c | 0.30 ± 0.01 c |
| TFM | 216.67 ± 12.95 ac | 188.4 ± 2.74 ac | 232.54 ± 7.01 abc | 281.8 ± 48.74 ab | 289.39 ± 19.20 b |
| SM | 18.50 ± 3.34 a | 17.99 ± 0.81 a | 15.44 ± 0.96 ab | 12.47 ± 1.44 b | 12.58 ± 1.16 b |
| VJ | 0.42 ± 0.11 a | 0.41 ± 0.02 a | 0.52 ± 0.02 ab | 0.54 ± 0.08 ab | 0.64 ± 0.03 b |
| VI | 0.82 ± 0.02 | 0.82 ± 0.02 | 0.84 ± 0.005 | 0.85 ± 0.09 | 0.88 ± 0.05 |
| ψO | 0.58 ± 0.11 a | 0.59 ± 0.02 a | 0.48 ± 0.02 ab | 0.46 ± 0.08 ab | 0.36 ± 0.03 b |
Publisher’s Note: MDPI stays neutral with regard to jurisdictional claims in published maps and institutional affiliations. |
© 2022 by the authors. Licensee MDPI, Basel, Switzerland. This article is an open access article distributed under the terms and conditions of the Creative Commons Attribution (CC BY) license (https://creativecommons.org/licenses/by/4.0/).
Share and Cite
Zharova, D.A.; Ivanova, A.N.; Drozdova, I.V.; Belyaeva, A.I.; Boldina, O.N.; Voitsekhovskaja, O.V.; Tyutereva, E.V. Role of Autophagy in Haematococcus lacustris Cell Growth under Salinity. Plants 2022, 11, 197. https://doi.org/10.3390/plants11020197
Zharova DA, Ivanova AN, Drozdova IV, Belyaeva AI, Boldina ON, Voitsekhovskaja OV, Tyutereva EV. Role of Autophagy in Haematococcus lacustris Cell Growth under Salinity. Plants. 2022; 11(2):197. https://doi.org/10.3390/plants11020197
Chicago/Turabian StyleZharova, Daria A., Alexandra N. Ivanova, Irina V. Drozdova, Alla I. Belyaeva, Olga N. Boldina, Olga V. Voitsekhovskaja, and Elena V. Tyutereva. 2022. "Role of Autophagy in Haematococcus lacustris Cell Growth under Salinity" Plants 11, no. 2: 197. https://doi.org/10.3390/plants11020197
APA StyleZharova, D. A., Ivanova, A. N., Drozdova, I. V., Belyaeva, A. I., Boldina, O. N., Voitsekhovskaja, O. V., & Tyutereva, E. V. (2022). Role of Autophagy in Haematococcus lacustris Cell Growth under Salinity. Plants, 11(2), 197. https://doi.org/10.3390/plants11020197

