Tetraselmis jejuensis sp. nov. (Chlorodendrophyceae), a Euryhaline Microalga Found in Supralittoral Tide Pools at Jeju Island, Korea
Abstract
1. Introduction
2. Results
2.1. Morphological Analysis of Tetraselmis jejuensis
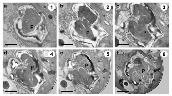
2.2. Ultrastructural Characterization of Tetraselmis jejuensis
2.3. Morphological Characterization of Tetraselmis jejuensis at Different Life Stages
2.4. Phylogenetic Analysis of Tetraselmis jejuensis
3. Discussion
4. Materials and Methods
4.1. Sample Collection and Strain Setup
4.2. Microscopy
4.3. DNA Extraction and PCR Amplification
4.4. Phylogenetic Analysis
5. Conclusions
Taxonomic Summary
Holotype
Author Contributions
Funding
Data Availability Statement
Acknowledgments
Conflicts of Interest
References
- Williams, P.J.L.B.; Laurens, L.M. Microalgae as biodiesel & biomass feedstocks: Review & analysis of the biochemistry, energetics & economics. Energy Environ. Sci. 2010, 3, 554–590. [Google Scholar]
- Da Silva Vaz, B.; Moreira, J.B.; de Morais, M.G.; Costa, J.A.V. Microalgae as a new source of bioactive compounds in food supplements. Curr. Opin. Food Sci. 2016, 7, 73–77. [Google Scholar]
- Martínez Andrade, K.A.; Lauritano, C.; Romano, G.; Ianora, A. Marine microalgae with anti-cancer properties. Mar. Drugs 2018, 16, 165. [Google Scholar] [CrossRef]
- Borowitzka, M.A. Algal biotechnology products and processes—Matching science and economics. J. Appl. Phycol. 1992, 4, 267–279. [Google Scholar] [CrossRef]
- Tredici, M.; Materassi, R. From open ponds to vertical alveolar panels: The Italian experience in the development of reactors for the mass cultivation of phototrophic microorganisms. J. Appl. Phycol. 1992, 4, 221–231. [Google Scholar] [CrossRef]
- Pate, R.; Klise, G.; Wu, B. Resource demand implications for US algae biofuels production scale-up. Appl. Energy 2011, 88, 3377–3388. [Google Scholar] [CrossRef]
- Isdepsky, A.; Borowitzka, M.A. In-pond strain selection of euryhaline Tetraselmis sp. strains for reliable long-term outdoor culture as potential sources of biofuel and other products. J. Appl. Phycol. 2019, 31, 3359–3370. [Google Scholar] [CrossRef]
- Lee, Y.-K. Microalgal mass culture systems and methods: Their limitation and potential. J. Appl. Phycol. 2001, 13, 307–315. [Google Scholar] [CrossRef]
- Bartley, M.L.; Boeing, W.J.; Corcoran, A.A.; Holguin, F.O.; Schaub, T. Effects of salinity on growth and lipid accumulation of biofuel microalga Nannochloropsis salina and invading organisms. Biomass Bioenergy 2013, 54, 83–88. [Google Scholar] [CrossRef]
- Fon-Sing, S.; Borowitzka, M. Isolation and screening of euryhaline Tetraselmis spp. suitable for large-scale outdoor culture in hypersaline media for biofuels. J. Appl. Phycol. 2016, 28, 1–14. [Google Scholar] [CrossRef]
- Montero, M.F.; Aristizábal, M.; Reina, G.G. Isolation of high-lipid content strains of the marine microalga Tetraselmis suecica for biodiesel production by flow cytometry and single-cell sorting. J. Appl. Phycol. 2011, 23, 1053–1057. [Google Scholar] [CrossRef][Green Version]
- Grierson, S.; Strezov, V.; Bray, S.; Mummacari, R.; Danh, L.T.; Foster, N. Assessment of bio-oil extraction from Tetraselmis chui microalgae comparing supercritical CO2, solvent extraction, and thermal processing. Energy Fuels 2012, 26, 248–255. [Google Scholar] [CrossRef]
- Pereira, H.; Gangadhar, K.N.; Schulze, P.S.; Santos, T.; De Sousa, C.B.; Schueler, L.M.; Custódio, L.; Malcata, F.X.; Gouveia, L.; Varela, J.C. Isolation of a euryhaline microalgal strain, Tetraselmis sp. CTP4, as a robust feedstock for biodiesel production. Sci. Rep. 2016, 6, 35663. [Google Scholar] [CrossRef]
- Kirst, G. Salinity tolerance of eukaryotic marine algae. Annu. Rev. Plant Biol. 1990, 41, 21–53. [Google Scholar] [CrossRef]
- Guillou, L.; Eikrem, W.; Chrétiennot-Dinet, M.-J.; Le Gall, F.; Massana, R.; Romari, K.; Pedrós-Alió, C.; Vaulot, D. Diversity of picoplanktonic prasinophytes assessed by direct nuclear SSU rDNA sequencing of environmental samples and novel isolates retrieved from oceanic and coastal marine ecosystems. Protist 2004, 155, 193–214. [Google Scholar] [CrossRef]
- Melkonian, M. Phylum chlorophyta class Prasinophyceae. In Handbook of Protoctista; Margulis, L., Corliss, J.O., Melkonian, M., Chapman, D.J., Eds.; Jones and Bartlett Publishers: Boston, MA, USA, 1990; pp. 600–607. [Google Scholar]
- Massjuk, N. Chlorodendrophyceae class nov. (Chlorophyta, Viridiplantae) in the Ukrainian flora: I. The volume, phylogenetic relations and taxonomical status. Ukr. Bot. J. 2006, 63, 601–614. [Google Scholar]
- Leliaert, F.; Smith, D.R.; Moreau, H.; Herron, M.D.; Verbruggen, H.; Delwiche, C.F.; De Clerck, O. Phylogeny and molecular evolution of the green algae. Crit. Rev. Plant Sci. 2012, 31, 1–46. [Google Scholar] [CrossRef]
- Nakayama, T.; Marin, B.; Kranz, H.D.; Surek, B.; Huss, V.A.; Inouye, I.; Melkonian, M. The basal position of scaly green flagellates among the green algae (Chlorophyta) is revealed by analyses of nuclear-encoded SSU rRNA sequences. Protist 1998, 149, 367–380. [Google Scholar] [CrossRef]
- Marin, B. Nested in the Chlorellales or independent class? Phylogeny and classification of the Pedinophyceae (Viridiplantae) revealed by molecular phylogenetic analyses of complete nuclear and plastid-encoded rRNA operons. Protist 2012, 163, 778–805. [Google Scholar] [CrossRef] [PubMed]
- Turmel, M.; de Cambiaire, J.-C.; Otis, C.; Lemieux, C. Distinctive architecture of the chloroplast genome in the chlorodendrophycean green algae Scherffelia dubia and Tetraselmis sp. CCMP 881. PLoS ONE 2016, 11, e0148934. [Google Scholar] [CrossRef] [PubMed]
- Norris, R.E.; Hori, T.; Chihara, M. Revision of the genus Tetraselmis (class Prasinophyceae). Bot. Mag. Shokubutsu Gaku Zasshi 1980, 93, 317–339. [Google Scholar] [CrossRef]
- Mattox, K. Classification of the green algae: A concept based on comparative cytology. In Systematics of the Green Algae; Irvine, D.E.G., John, D.M., Eds.; Academic Press: London, UK, 1984; pp. 29–72. [Google Scholar]
- Garrity, S.D. Some adaptations of gastropods to physical stress on a tropical rocky shore. Ecology 1984, 65, 559–574. [Google Scholar] [CrossRef]
- Ahmad, I.; Hellebust, J.A. Osmoregulation in the extremely euryhaline marine micro-alga Chlorella autotrophica. Plant Physiol. 1984, 74, 1010–1015. [Google Scholar] [CrossRef] [PubMed]
- Kwun, H.J.; Park, J.; Kim, H.S.; Bae, H. Preliminary report on fish diversity in the tidal pools of Jeju Island, Korea. Mar. Biodivers. 2017, 47, 957–963. [Google Scholar] [CrossRef]
- Blackwell, J.R.; Gilmour, D.J. Stress tolerance of the tidal pool chlorophyte, Chlorococcum submarinum. Br. Phycol. J. 1991, 26, 141–147. [Google Scholar] [CrossRef]
- Lee, J.-B. Growth Charateristics of Five Microalgal Species Isolated from Jeju Island and Four Microalgal stock Strans in Hatchery. Algae 2002, 17, 117–125. [Google Scholar] [CrossRef]
- Kylin, J.H. Über Rhodomonas, Platymonas und Prasinocladus. K. Fysiogr. Sällsk. Lund Förh 1935, 5, 1–13. [Google Scholar]
- Proskauer, J. On Prasinocladus. Am. J. Bot. 1950, 37, 59–66. [Google Scholar] [CrossRef]
- Butcher, R.W. An introductory account of the smaller algae of British coastal waters Part I. Introduction and Chlorophyceae. Fish Investig. 1959, 4, 1–74. [Google Scholar]
- Parke, M.; Manton, I. The specific identity of the algal symbiont in Convoluta roscoffensis. J. Mar. Biol. Assoc. UK 1967, 47, 445–464. [Google Scholar] [CrossRef]
- Melkonian, M. An ultrastructural study of the flagellateTetraselmis cordiformis Stein (Chlorophyceae) with emphasis on the flagellar apparatus. Protoplasma 1979, 98, 139–151. [Google Scholar] [CrossRef]
- Hori, T.; Norris, R.E.; Chihara, M. Studies on the ultrastructure and taxonomy of the genus Tetraselmis (Prasinophyceae). I. Subgenus Tetraselmis. Bot. Mag. Shokubutsu Gaku Zasshi 1982, 95, 49–61. [Google Scholar] [CrossRef]
- Hori, T.; Norris, R.E.; Chihara, M. Studies on the ultrastructure and taxonomy of the genus Tetraselmis (Prasinophyceae). III. Subgenus Parviselmis. Bot. Mag. Shokubutsu Gaku Zasshi 1986, 99, 123–135. [Google Scholar] [CrossRef]
- Moestrup, Ø.; Throndsen, J. Light and electron microscopical studies on Pseudoscourfieldia marina, a primitive scaly green flagellate (Prasinophyceae) with posterior flagella. Can. J. Bot. 1988, 66, 1415–1434. [Google Scholar] [CrossRef]
- Lee, H.-J.; Hur, S.-B. Genetic relationships among multiple strains of the genus Tetraselmis based on partial 18S rDNA sequences. Algae 2009, 24, 205–212. [Google Scholar] [CrossRef]
- El-Kassas, H.Y.; El-Sheekh, M.M. Induction of the synthesis of bioactive compounds of the marine alga Tetraselmis tetrathele (West) Butcher grown under salinity stress. Egypt. J. Aquat. Res. 2016, 42, 385–391. [Google Scholar] [CrossRef]
- Pugkaew, W.; Meetam, M.; Yokthongwattana, K.; Leeratsuwan, N.; Pokethitiyook, P. Effects of salinity changes on growth, photosynthetic activity, biochemical composition, and lipid productivity of marine microalga Tetraselmis suecica. J. Appl. Phycol. 2019, 31, 969–979. [Google Scholar] [CrossRef]
- Becker, D.; Becker, B.; Satir, P.; Melkonian, M. Isolation, purification, and characterization of flagellar scales from the green flagellateTetraselmis striata (Prasinophyceae). Protoplasma 1990, 156, 103–112. [Google Scholar] [CrossRef]
- Arora, M.; Anil, A.C.; Leliaert, F.; Delany, J.; Mesbahi, E. Tetraselmis indica (Chlorodendrophyceae, Chlorophyta), a new species isolated from salt pans in Goa, India. Eur. J. Phycol. 2013, 48, 61–78. [Google Scholar] [CrossRef]
- McLachlan, J.; Parke, M. Platymonas impellucida sp. nov. from Puerto Rico. J. Mar. Biol. Assoc. UK 1967, 47, 723–733. [Google Scholar] [CrossRef]
- Mackinder, L.C.; Meyer, M.T.; Mettler-Altmann, T.; Chen, V.K.; Mitchell, M.C.; Caspari, O.; Rosenzweig, E.S.F.; Pallesen, L.; Reeves, G.; Itakura, A. A repeat protein links Rubisco to form the eukaryotic carbon-concentrating organelle. Proc. Natl. Acad. Sci. USA 2016, 113, 5958–5963. [Google Scholar] [CrossRef]
- Rosenzweig, E.S.F.; Xu, B.; Cuellar, L.K.; Martinez-Sanchez, A.; Schaffer, M.; Strauss, M.; Cartwright, H.N.; Ronceray, P.; Plitzko, J.M.; Förster, F. The eukaryotic CO2-concentrating organelle is liquid-like and exhibits dynamic reorganization. Cell 2017, 171, 148–162. [Google Scholar] [CrossRef]
- Gonzalez, M.A.; Aguayo, P.A.; Inostroza, I.D.L.; Castro, P.A.; Fuentes, G.A.; Gomez, P.I. Ultrastructural and molecular characterization of Tetraselmis strains (Chlorodendrophyceae, Chlorophyta) isolated from Chile/Caracterización ultraestructural y molecular de cepas de Tetraselmis (Chlorodendrophyceae, Chlorophyta) aisladas de Chile. Gayana. Bot. 2015, 72, 47. [Google Scholar] [CrossRef][Green Version]
- Hori, T.; Norris, R.E.; Chihara, M. Studies on the ultrastructure and taxonomy of the genus Tetraselmis (Prasino physeae). II: Subgenus Prasinocladia. Shokubutsugaku Zasshi 1983, 96, 385–392. [Google Scholar] [CrossRef]
- Silflow, C.D.; Lefebvre, P.A. Assembly and motility of eukaryotic cilia and flagella. Lessons from Chlamydomonas Reinhardtii. Plant Physiol. 2001, 127, 1500–1507. [Google Scholar] [PubMed]
- Wingfield, J.L.; Lechtreck, K.-F. Chlamydomonas basal bodies as flagella organizing centers. Cells 2018, 7, 79. [Google Scholar] [CrossRef] [PubMed]
- Melkonian, M.; Robenek, H. The eyespot of the flagellate Tetraselmis cordiformis stein (Chlorophyceae): Structural spezialization of the outer chloroplast membrane and its possible significance in phototaxis of green algae. Protoplasma 1979, 100, 183–197. [Google Scholar] [CrossRef]
- Calliari, D.; Antezana, T. Diel feeding rhythm of copepod size-fractions from Coliumo Bay, Central Chile. Sci. Mar. 2001, 65, 269–274. [Google Scholar] [CrossRef]
- Melkonian, M.; McFadden, G.I.; Reize, I.B.; Becker, D. Secretion of organic scales in green algae: Secretory products are transported through the Golgi apparatus by cisternal progression. Ber. Der Dtsch. Bot. Ges. 1986, 99, 263–280. [Google Scholar]
- Reize, I.; Melkonian, M. Flagellar regeneration in the scaly green flagellate Tetraselmis striata (Prasinophyceae): Regeneration kinetics and effect of inhibitors. Helgoländer Meeresunters. 1987, 41, 149–164. [Google Scholar] [CrossRef]
- Fabregas, J.; Abalde, J.; Herrero, C.; Cabezas, B.; Veiga, M. Growth of the marine microalga Tetraselmis suecica in batch cultures with different salinities and nutrient concentrations. Aquaculture 1984, 42, 207–215. [Google Scholar] [CrossRef]
- Guillard, R.R.; Ryther, J.H. Studies of marine planktonic diatoms: I. Cyclotella nana Hustedt, and Detonula confervacea (Cleve) Gran. Can. J. Microbiol. 1962, 8, 229–239. [Google Scholar] [CrossRef] [PubMed]
- Medlin, L.; Elwood, H.J.; Stickel, S.; Sogin, M.L. The characterization of enzymatically amplified eukaryotic 16S-like rRNA-coding regions. Gene 1988, 71, 491–499. [Google Scholar] [CrossRef]
- Litaker, R.W.; Vandersea, M.W.; Kibler, S.R.; Reece, K.S.; Stokes, N.A.; Steidinger, K.A.; Millie, D.F.; Bendis, B.J.; Pigg, R.J.; Tester, P.A. Identification of Pfiesteria Piscicida (Dinophyceae) and Pfiesteria-Like Organisms Using Internal Transcribed Spacer-Specific PCR Assays 1. J. Phycol. 2003, 39, 754–761. [Google Scholar] [CrossRef]
- Weekers, P.; Gast, R.J.; Fuerst, P.A.; Byers, T.J. Sequence variations in small-subunit ribosomal RNAs of Hartmannella vermiformis and their phylogenetic implications. Mol. Biol. Evol. 1994, 11, 684–690. [Google Scholar]
- Giovannoni, S.J.; DeLong, E.F.; Olsen, G.J.; Pace, N.R. Phylogenetic group-specific oligodeoxynucleotide probes for identification of single microbial cells. J. Bacteriol. 1988, 170, 720–726. [Google Scholar] [CrossRef]
- Daugbjerg, N.; Hansen, G.; Larsen, J.; Moestrup, Ø. Phylogeny of some of the major genera of dinoflagellates based on ultrastructure and partial LSU rDNA sequence data, including the erection of three new genera of unarmoured dinoflagellates. Phycologia 2000, 39, 302–317. [Google Scholar] [CrossRef]
- Pruesse, E.; Peplies, J.; Glöckner, F.O. SINA: Accurate high-throughput multiple sequence alignment of ribosomal RNA genes. Bioinformatics 2012, 28, 1823–1829. [Google Scholar] [CrossRef]
- Kumar, S.; Stecher, G.; Tamura, K. MEGA7: Molecular evolutionary genetics analysis version 7.0 for bigger datasets. Mol. Biol. Evol. 2016, 33, 1870–1874. [Google Scholar] [CrossRef]
- Reichenbach, H.G. Conspectus Regni Vegetabilis per Gradus Naturales Evoluti; Carolum Cnobloch: Leipzig, Germany, 1828. [Google Scholar]
- Oltmanns, F. Morphologie und Biologie der Algen. 1. Spezieller Teil; Verlag von Gustav Fischer: Jena, Germany, 1904; p. 733. [Google Scholar]











| Species | Location and Type of Habitat | Cell Shape and Size | Regular Subunit Pattern | Specific Scales on the Cell Surface | Pyrenoid Matrix and Subgenus | Eyespot (Stigma) | Nuclear Position | Chloroplast | Golgi Bodies | References |
|---|---|---|---|---|---|---|---|---|---|---|
| Tetraselmis jejuensis | Jeju Island, Korea; supralittoral tide pools | Compressed, elliptical, and four creases obviously showing in both broad and narrow lateral views; 13.0–20.8 × 6.5–16.3 × 9.8–13.0 µm | Observed, honeycomb-like structure | Observed, a shallow dent-like shape, measuring a maximum of 0.58 µm | Present in the lower part of the cell body adjacent to the antapical base, surrounded by starch plates; Tetrathele | Numerous eyespot globules, mostly located on the lower part of the cell body and spread out in the chloroplast | Located in the upper part of cell body near the flagellar base | Cup shaped, enclosed by the outer plate membrane | 2–4, around the flagellar base | This study |
| T. alacris | Europe and North America; rock pools | Compressed, broadly ovoid; 9.5–12 × 8.0–8.5 × 6.5–7.0 μm | ND | ND | Small, spheroidal, central, surrounded by concave-convex starch grains; Parviselmis | Inconspicuous, located around the pyrenoid | Central | Finely lobed in the posterior | 2, around the flagellar base | [31,35] |
| T. apiculata | France; estuaries | Slightly compressed, broadly elliptical to narrowly oval, 7.5–10.5 × 6.5 × 4.5–5 μm | ND | ND | Basal, spherical | Single, located in the upper part of the cell | ND | Deeply bilobed at the anterior end | ND | [31] |
| T. ascus | Pacific coast of North America and Japan; small tide pools | Elliptical, 19–30 × 8–16 μm | ND | ND | Large, circular, located near the center of the cell, surrounded by lens-shaped starch grains; Tetraselmis | Located in the anterior third of the chloroplast, 1.5 to 2.0 µm indiameter, a single region composed of two or three layers of lipid granules | ND | Four lobes in the anterior | 5, surrounding the basal body | [34] |
| T. astigmatica | Pacific coast of North America; salt marsh | Spherical, 11–19 × 7–16 μm | ND | ND | Large, located in the posterior part of the cell surrounded by lens-shaped starch grains; Tetraselmis | Not present | ND | Large, invaginated with cytoplasmic canaliculi in the posterior | 4, surrounding the basal body | [34] |
| T. carteriiformis | Scotland; rock pools | Compressed, ovoid in front view, 12–14 × 9–10 × 7–8 μm | ND | ND | Large, basal, irregularly rounded, with a starch sheath | Single, sub-median, in the region of the pyrenoid | Central | Narrowly four-lobed, in the region of the pyrenoid | ND | [31] |
| T. chuii | Europe and North America; tide pools and estuaries | Compressed, elliptical to obovate, 12–16 × 7–10 μm | ND | ND | Small, irregular in shape, located far from the nucleus surrounded by concave-convex starch grains | Conspicuous, a single region composed of two layers of osmiophilic granules, 1.3–2.5 µm in size, located usually in the upper region of the pyrenoid, but variable in position | At the anterior half of the cell body | Finely lobed | 2, around the flagellar base | [35] |
| T. contracta | UK; marine | Compressed, broadly elliptical, 25 × 17 × 11 μm | ND | ND | Oval, medium, basal | Single, conspicuous, central to anterior | ND | Two large and two small apical lobes | ND | [31] |
| T. convolutae | Europe and Japan; marine | Compressed, shape variable, occasionally curved, 8–13 × 6–10 × 4–6 μm | ND | ND | Conspicuous, 2–4 μm, in the posterior, appearing eccentric with ring-shaped starch | Exceptionally large, 1–2.3 μm, located in the anterior third of the body, a single region composed of two layers of osmiophilic granules | Central | Four lobes extending forward from just behind the middle of the body | 2–4, around the flagellar base | [32] |
| T. cordiformis | Freshwater | Compressed, obovate, 17–19 × 13–16 × 8–11 μm | ND | ND | Large, located directly beneath the nucleus surrounded by biconvex-shaped starch grains; the matrix penetrated from all directions with canaliculi | Located near the middle of one of the broad sides, but considerably variable in position, approximately 1.5 μm in diameter | ND | Large, highly reticulate in the posterior | 2–4, around the flagellar base | [33,34] |
| T. gracilis | Europe; marine | Compressed, broadly to narrowly elliptical, 8–9 × 5.5–7.5 × 5–6.5 μm | ND | ND | Large, spherical, sub-basal, with a U-shaped starch sheath | Single, conspicuous, situated in the anterior half of the cell | ND | Uniformly and markedly rugose, axile | ND | [31] |
| T. hazeni | Europe: Spain, and USA; marine | Compressed, elliptical to oval, 13–17 × 7–8 × 4–5 μm | ND | ND | Basal, cup shaped, rather large | Small, single, situated in the upper part of the pyrenoid | ND | Cup shaped, with 4 anterior lobes but non-posterior | ND | [31] |
| T. helgolandica | Helgoland; marine | Compressed, oval, 21–24 × 14–15 × 7–9 μm | ND | ND | Conspicuous, spherical, sub-central to sub-basal, with large starch grains | 3–6 | ND | A shorter posterior lobe, and two longitudinal lateral lobes | ND | [31] |
| T. impellucida | Puerto Rico; marine | Slightly compressed, shape variable, 14–23 × 8–17 μm | ND | ND | Absence of a starch sheath around the pyrenoid, lying posterior to nucleus | Conspicuous, composed of two layers | Located subapically below the apical trough | Cup shaped, covering the peripheral region with a slit from the cell apex to the middle of the body | ND | [42] |
| T. inconspicua | Europe; marine | Slightly compressed, oval in front, elliptical in lateral view, 4.5–7 × 4.5–6 × 3.5–4 μm | ND | ND | Basal, very small, globular, with a continuous starch sheath | Single, conspicuous, in the region of pyrenoid | ND | Anterior two lobed to the center of the cell | ND | [31] |
| T. indica | India (Goa); hypersaline to marine | Slightly compressed, elliptical, and a folded line faintly observed in the broad lateral views; 10–25 × 7–20 × 6.5–18 μm | ND | Observed, a hollow rim-like shape | Central, hardly observed starch plates | Conspicuous, one or sometimes several, situated below the pyrenoid | Present in the anterior half of the cell | Cup shaped with 4–8 lobes | 2–8, around the flagellar base | [41] |
| T. levis | England; salt marsh | Compressed, ovate, 9–12 × 6–7.5 μm | ND | ND | Irregular in shape, located sub-centrally, surrounded by biconvex starch grains; Parviselmis | Not conspicuous, located in the region of the pyrenoid | Near the flagellar base | Finely lobed in the posterior end | 2 | [35] |
| T. maculata | Europe, collected from salt marsh pools and apparently not common; marine | Slightly compressed, ovate in front, elliptical in lateral view, 8–9 × 5.5–7.5 × 5–6.5 μm | ND | ND | Basal, medium, or small, with a discontinuous starch sheath | Single, conspicuous, close to the pyrenoid | ND | Finely granular, anterior two lobes | ND | [31] |
| T. marina | Europe, North America and Japan; marine | Plants unicellular or colonial with a septate stalk, cells elliptical, 16–20 × 7–8 μm | ND | ND | Large, almost spherical, with concave starch grains | Conspicuous, a single region composed of two layers, located peripherally at a level between the nucleus and pyrenoid | ND | Massive, cup shaped, located peripherally with 4 anterior lobes | 5, near the anterior end of the nucleus | [22] |
| T. rubens | Europe; marine | Compressed, 8–11 × 5–8 × 4.5–5 μm | ND | ND | Basal, medium, globular with a U-shaped starch sheath | Single, conspicuous, in the anterior to the middle | ND | Anterior deeply 2 lobed | ND | [31] |
| T. striata | Europe and Japan; brackish water and tide pools | Compressed, elliptical, 7–11 × 5.5–7.2 μm | ND | ND | Small, located sub-basally, surrounded by biconvex starch grains; Parviselmis | Conspicuous, a single region composed of one or two layers, larger than the pyrenoid matrix, 1.7–3 µm in diameter, located lateral to the pyrenoid in the posterior half | Central | Dorsiventrally lobed into two posterior sections | 2 | [35] |
| T. subcordiformis | Norway; marine | Compressed, elliptical, 11–17 × 8–10 μm | ND | ND | Large, spherical, sub-central to sub-basal | Single, in lower part of the cell near the pyrenoid | ND | A shorter posterior lobe and two lateral lobes | ND | [31] |
| T. suecica | Brackish, marine | Compressed, elliptical to obovate, 6–11 × 4–8.5 μm | ND | ND | Spheroidal, located near the base, surrounded by concave-convex shaped starch grains; Parviselmis | Not conspicuous, located near the pyrenoid | Central | Cup shaped, usually simple, rarely bilobed in the posterior part | 2 | [35] |
| T. tetrathele | Europe; marine | Compressed, elliptical, 10–16 × 8–11 × 4.2–5 μm | ND | ND | Large, spherical, sub-central to sub-basal | Single, sub-median, usually situated in the region of the upper part of the pyrenoid | ND | Axile with a narrow sinus reaching the pyrenoid, a shorter posterior lobe and two lateral lobes | ND | [31] |
| T. verrucosa | Europe and Japan;brackish water | Compressed, elliptical in front view with a deep apical furrow in lateral view, 8.5–10 × 6–6.5 × 4.5–6 μm | ND | ND | Small, spherical, sub-basal or central, with a starch sheath | Single, conspicuous, and variable in position | Scattered irregularly | Massive, with 2 anterior lobes near the pyrenoid and 4 or more sublobes in the anterior region, not lobed posteriorly | 2–3 | [31] |
| Accession Number | FJ559384 | FJ559380 | DQ207405 | MK541745 | U05039 |
|---|---|---|---|---|---|
| Species | T. carteriiformis | T. subcordiformis | T. chuii | T. suecica | T. convolutae |
| Tetraselmis sp. DJ 2-1 | 22 (1.38) | 21 (1.31) | 18 (1.11) | 17 (1.05) | 29 (1.79) |
| Tetraselmis sp. DJ 2-4 | 23 (1.48) | 22 (1.41) | 20 (1.28) | 19 (1.22) | 31 (1.98) |
| Tetraselmis sp. DJ 2-5 | 24 (1.50) | 23 (1.44) | 20 (1.25) | 19 (1.19) | 31 (1.93) |
| Tetraselmis sp. DJ 2-2 | 29 (1.85) | 28 (1.78) | 25 (1.59) | 24 (1.53) | 36 (2.28) |
| Tetraselmis sp. YO 3-4 | 22 (1.43) | 21 (1.36) | 18 (1.17) | 17 (1.10) | 29 (1.87) |
| Tetraselmis sp. YO 3-3 | 25 (1.56) | 24 (1.50) | 21 (1.31) | 18 (1.13) | 32 (1.99) |
| Tetraselmis sp. YO 3-5 | 25 (1.53) | 24 (1.47) | 22 (1.32) | 17 (1.06) | 34 (2.03) |
| Tetraselmis sp. YO 3-2 | 25 (1.53) | 24 (1.47) | 21 (1.27) | 17 (1.05) | 33 (1.98) |
| Tetraselmis sp. YO 3-1 | 25 (1.53) | 24 (1.47) | 18 (1.07) | 17 (1.05) | 33 (1.96) |
| Tetraselmis sp. YO 4-1 | 22 (1.36) | 21 (1.30) | 18 (1.10) | 17 (1.04) | 29 (1.77) |
| Tetraselmis sp. YO 4-2 | 22 (1.36) | 21 (1.30) | 18 (1.11) | 17 (1.05) | 29 (1.79) |
| Tetraselmis sp. YO 5-5 | 24 (1.48) | 23 (1.42) | 23 (1.39) | 17 (1.06) | 35 (2.11) |
| Tetraselmis sp. YO 3-11 | 10 (0.98) | 9 (0.88) | 9 (0.88) | 6 (0.60) | 13 (1.27) |
| Tetraselmis sp. YO 3-12 | 26 (1.61) | 25 (1.55) | 22 (1.37) | 19 (1.19) | 33 (2.04) |
| Tetraselmis sp. YO 3-14 | 13 (1.22) | 12 (1.13) | 15 (1.39) | 11 (1.06) | 19 (1.76) |
| Tetraselmis sp. YO 2 | 3 (0.19) | 2 (0.13) | 21 (1.32) | 20 (1.26) | 28 (1.75) |
| Strains | Sampling Date | Salinity (%) | Temperature (°C) | Location | Latitude | Longitude |
|---|---|---|---|---|---|---|
| Tetraselmis sp. DJ 2-1 | 11 Apr 2019 | 0.5 | 19.0 | Daejeong | 33.2126 | 126.2948 |
| Tetraselmis sp. DJ 2-4 | 0.5 | 19.0 | Daejeong | 33.2126 | 126.2948 | |
| Tetraselmis sp. DJ 2-5 | 0.5 | 19.0 | Daejeong | 33.2126 | 126.2948 | |
| Tetraselmis sp. DJ 2-2 | 0.5 | 19.0 | Daejeong | 33.2126 | 126.2948 | |
| Tetraselmis sp. YO 3-4 | 0.3 | 20.8 | Yongduam | 33.5159 | 126.5120 | |
| Tetraselmis sp. YO 3-3 | 0.3 | 20.8 | Yongduam | 33.5159 | 126.5120 | |
| Tetraselmis sp. YO 3-5 | 0.3 | 20.8 | Yongduam | 33.5159 | 126.5120 | |
| Tetraselmis sp. YO 3-2 | 0.3 | 20.8 | Yongduam | 33.5159 | 126.5120 | |
| Tetraselmis sp. YO 3-1 | 0.3 | 20.8 | Yongduam | 33.5159 | 126.5120 | |
| Tetraselmis sp. YO 4-1 | 16 Jun 2019 | 0.8 | 29.9 | Yongduam | 33.5159 | 126.5120 |
| Tetraselmis sp. YO 4-2 | 0.8 | 29.9 | Yongduam | 33.5159 | 126.5120 | |
| Tetraselmis sp. YO 5-5 | 1.6 | 30.4 | Yongduam | 33.5159 | 126.5120 | |
| Tetraselmis sp. YO 3-11 | 3.1 | 29.4 | Yongduam | 33.5159 | 126.5120 | |
| Tetraselmis sp. YO 3-12 | 3.1 | 29.4 | Yongduam | 33.5159 | 126.5120 | |
| Tetraselmis sp. YO 3-14 | 3.1 | 29.4 | Yongduam | 33.5159 | 126.5120 | |
| Tetraselmis sp. YO 2 | 3.9 | 29.5 | Yongduam | 33.5159 | 126.5120 |
| Primer Name | Primer Region | Sequence (5'–3') | Reference |
|---|---|---|---|
| EukA | Forward, SSU | AACCTGGTTGATCCTGCCAG | [55] |
| G18R | Reverse, SSU | GCATCACAGACCTGTTATTG | [56] |
| 570F | Forward, SSU | GTAATTCCAGCTCCAATAGC | [57] |
| EukB | Reverse, SSU | TGATCCTTCTGCAGGTTCACCTAC | [55] |
| ITSF2 | Forward, ITS | TACGTCCCTGCCCTTTGTAC | [56] |
| LSUB | Reverse, LSU | ACGAACGATTTGCACGTCAG | [56] |
| LSU500R | Reverse, LSU | CCCTCATGCTACTTGTTTGC | [56] |
| LSU500F | Foward, LSU | GCAAACAAGTACCATGAGGG | [56] |
| Euk1209F | Forward, ITS | GGGCATCACAGACCTG | [58] |
| ITSFR2 | Reverse, ITS | TCCCTGTTCATTCGCCATTAC | [56] |
| 1483R | Reverse, LSU | GCAAACAAGTACCATGAGGG | [59] |
Publisher’s Note: MDPI stays neutral with regard to jurisdictional claims in published maps and institutional affiliations. |
© 2021 by the authors. Licensee MDPI, Basel, Switzerland. This article is an open access article distributed under the terms and conditions of the Creative Commons Attribution (CC BY) license (https://creativecommons.org/licenses/by/4.0/).
Share and Cite
Hyung, J.-H.; Kim, E.-J.; Moon, S.-J.; Kang, N.S.; Park, J. Tetraselmis jejuensis sp. nov. (Chlorodendrophyceae), a Euryhaline Microalga Found in Supralittoral Tide Pools at Jeju Island, Korea. Plants 2021, 10, 1289. https://doi.org/10.3390/plants10071289
Hyung J-H, Kim E-J, Moon S-J, Kang NS, Park J. Tetraselmis jejuensis sp. nov. (Chlorodendrophyceae), a Euryhaline Microalga Found in Supralittoral Tide Pools at Jeju Island, Korea. Plants. 2021; 10(7):1289. https://doi.org/10.3390/plants10071289
Chicago/Turabian StyleHyung, Jun-Ho, Eun-Joo Kim, Seung-Joo Moon, Nam Seon Kang, and Jaeyeon Park. 2021. "Tetraselmis jejuensis sp. nov. (Chlorodendrophyceae), a Euryhaline Microalga Found in Supralittoral Tide Pools at Jeju Island, Korea" Plants 10, no. 7: 1289. https://doi.org/10.3390/plants10071289
APA StyleHyung, J.-H., Kim, E.-J., Moon, S.-J., Kang, N. S., & Park, J. (2021). Tetraselmis jejuensis sp. nov. (Chlorodendrophyceae), a Euryhaline Microalga Found in Supralittoral Tide Pools at Jeju Island, Korea. Plants, 10(7), 1289. https://doi.org/10.3390/plants10071289

