Clinical Significance of Whole-Body Computed Tomography Scans in Pediatric Out-of-Hospital Cardiac Arrest Patients Without Prehospital Return of Spontaneous Circulation
Abstract
1. Introduction
2. Materials and Methods
2.1. Subjects
2.2. CT Scanning
2.3. CT Image Evaluation
2.4. Evaluation Process
2.5. Study Period Considerations
2.6. Statistical Analysis
3. Results
3.1. Clinical Information
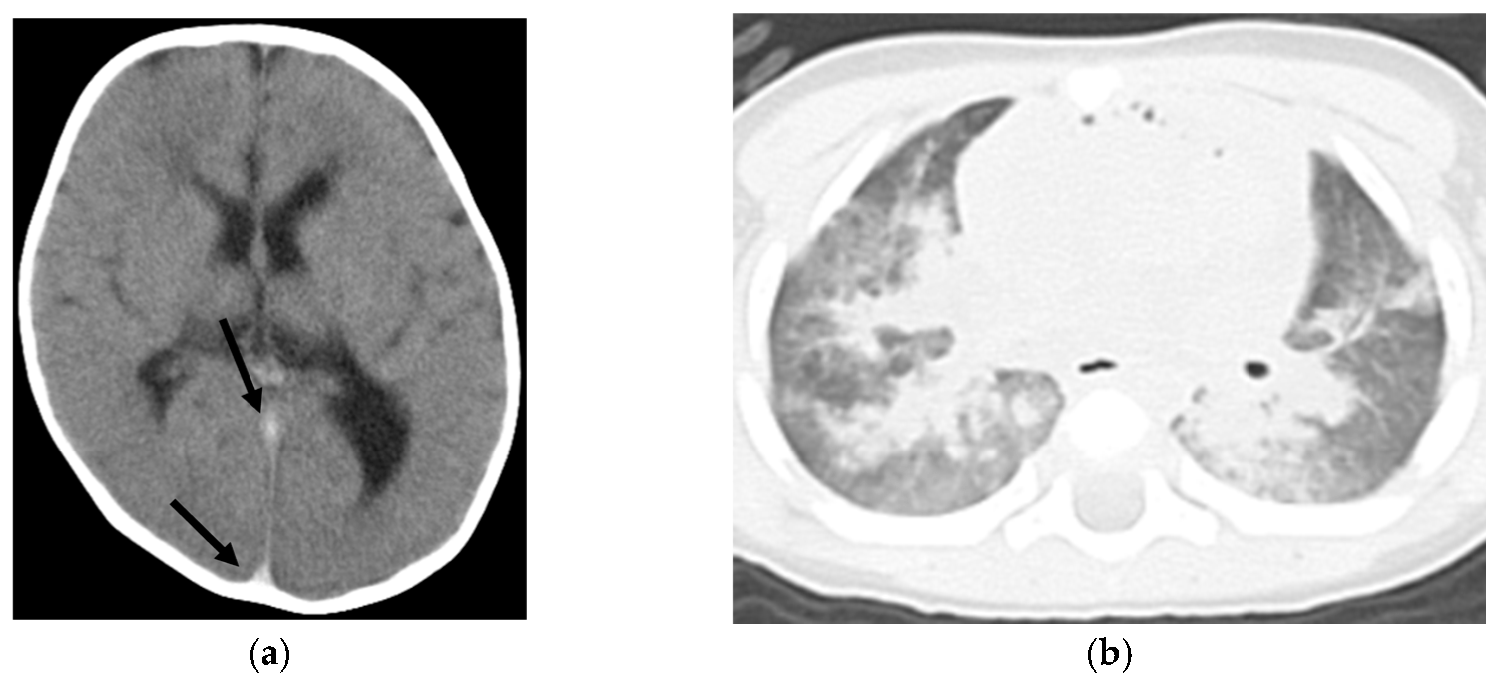
3.2. Evaluation of WBCT Findings
3.3. Hospital Stay Duration
4. Discussion
5. Conclusions
Supplementary Materials
Author Contributions
Funding
Institutional Review Board Statement
Informed Consent Statement
Data Availability Statement
Conflicts of Interest
References
- Tokyo Households and Population (by Town/Village and Age) by Basic Resident Ledger; Statistics Division, Bureau of General Affairs, Tokyo Metropolitan Government. 2024. Available online: https://www.toukei.metro.tokyo.lg.jp/juukiy/2024/jy24qf0001.pdf (accessed on 25 August 2024).
- Current Status of Emergency Services 2022; Tokyo Fire Department. 2023. Available online: https://www.tfd.metro.tokyo.lg.jp/hp-kyuukanka/katudojitai/data/pdf/R2_2.pdf (accessed on 25 August 2024).
- Numaguchi, A.; Mizoguchi, F.; Aoki, Y.; An, B.; Ishikura, A.; Ichikawa, K.; Ito, Y.; Uchida, Y.; Umemoto, M.; Ogawa, Y.; et al. Epidemiology of Child Mortality and Challenges in Child Death Review in Japan: The Committee on Child Death Review: A Committee Report: The Committee on Child Death Review: A Committee Report. Pediatr. Int. 2022, 64, e15068. [Google Scholar] [CrossRef] [PubMed]
- Kreutz, J.; Patsalis, N.; Müller, C.; Chatzis, G.; Syntila, S.; Sassani, K.; Betz, S.; Schieffer, B.; Markus, B. EPOS-OHCA: Early Predictors of Outcome and Survival after Non-Traumatic Out-of-Hospital Cardiac Arrest. Resusc. Plus 2024, 19, 100728. [Google Scholar] [CrossRef] [PubMed]
- Survey on the Search for Causes of Pediatric Out-of-Hospital Cardiac Arrest; Japan Pediatric Association. Available online: https://www.jpeds.or.jp/uploads/files/20240729_ingai_hokoku.pdf (accessed on 25 August 2024). (In Japanese).
- Trimarchi, G.; Pizzino, F.; Paradossi, U.; Gueli, I.A.; Palazzini, M.; Gentile, P.; Di Spigno, F.; Ammirati, E.; Garascia, A.; Tedeschi, A.; et al. Charting the Unseen: How Non-Invasive Imaging Could Redefine Cardiovascular Prevention. J. Cardiovasc. Dev. Dis. 2024, 11, 245. [Google Scholar] [CrossRef] [PubMed]
- Adel, J.; Akin, M.; Garcheva, V.; Vogel-Claussen, J.; Bauersachs, J.; Napp, L.C.; Schäfer, A. Computed-Tomography as First-Line Diagnostic Procedure in Patients with Out-of-Hospital Cardiac Arrest. Front. Cardiovasc. Med. 2022, 9, 799446. [Google Scholar] [CrossRef] [PubMed]
- Chelly, J.; Mongardon, N.; Dumas, F.; Varenne, O.; Spaulding, C.; Vignaux, O.; Carli, P.; Charpentier, J.; Pène, F.; Chiche, J.D.; et al. Benefit of an Early and Systematic Imaging Procedure After Cardiac Arrest: Insights from the PROCAT (Parisian RegionOut of Hospital Cardiac Arrest) Registry. Resuscitation 2012, 83, 1444–1450. [Google Scholar] [CrossRef]
- Christ, M.; von Auenmueller, K.I.; Noelke, J.P.; Sasko, B.; Amirie, S.; Trappe, H.J. Early Computed Tomography in Victims of Non-Traumatic Out-of-Hospital Cardiac Arrest. Intern. Emerg. Med. 2016, 11, 237–243. [Google Scholar] [CrossRef]
- Viniol, S.; Thomas, R.P.; König, A.M.; Betz, S.; Mahnken, A.H. Early Whole-Body CT for Treatment Guidance in Patients with Return of Spontaneous Circulation After Cardiac Arrest. Emerg. Radiol. 2020, 27, 23–29. [Google Scholar] [CrossRef]
- Barnard, E.B.G.; Sandbach, D.D.; Nicholls, T.L.; Wilson, A.W.; Ercole, A. Prehospital Determinants of Successful Resuscitation After Traumatic and Non-Traumatic Out-of-Hospital Cardiac Arrest. Emerg. Med. J. 2019, 36, 333–339. [Google Scholar] [CrossRef]
- Hayashi, M.; Shimizu, W.; Albert, C.M. The Spectrum of Eepidemiology Underlying Sudden Cardiac Death. Circ. Res. 2015, 116, 1887–1906. [Google Scholar] [CrossRef]
- Ishida, M.; Gonoi, W.; Okuma, H.; Shirota, G.; Shintani, Y.; Abe, H.; Takazawa, Y.; Fukayama, M.; Ohtomo, K. Common Postmortem Computed Tomography Findings Following Atraumatic Death: Differentiation Between Normal Postmortem Changes and Pathologic Lesions. Korean J. Radiol. 2015, 16, 798–809. [Google Scholar] [CrossRef]
- Ishida, M.; Gonoi, W.; Abe, H.; Ushiku, T.; Abe, O. Essence of Postmortem Computed Tomography for In-Hospital Deaths: What Clinical Radiologists Should Know. Jpn. J. Radiol. 2023, 41, 1039–1050. [Google Scholar] [CrossRef] [PubMed]
- Japan Resuscitation Council. JRC Guidelines for Resuscitation 2020; Igaku-Shoin Ltd.: Tokyo, Japan, 2021. (In Japanese) [Google Scholar]
- Shiotani, S.; Kohno, M.; Ohashi, N.; Yamazaki, K.; Nakayama, H.; Ito, Y.; Kaga, K.; Ebashi, T.; Itai, Y. Hyperattenuating Aortic Wall on Postmortem Computed Tomography (PMCT). Radiat. Med. 2002, 20, 201–206. [Google Scholar] [PubMed]
- Takahashi, N.; Higuchi, T.; Hirose, Y.; Yamanouchi, H.; Takatsuka, H.; Funayama, K. Changes in Aortic Shape and Diameters After Death: Comparison of Early Postmortem Computed Tomography with Antemortem Computed Tomography. Forensic Sci. Int. 2013, 225, 27–31. [Google Scholar] [CrossRef]
- Shirota, G.; Gonoi, W.; Ishida, M.; Okuma, H.; Shintani, Y.; Abe, H.; Takazawa, Y.; Ikemura, M.; Fukayama, M.; Ohtomo, K. Brain Swelling and Loss of Gray and White Matter Differentiation in Human Postmortem Cases by Computed Tomography. PLoS ONE. 2015, 10, e0143848. [Google Scholar] [CrossRef] [PubMed]
- Shiotani, S.; Kohno, M.; Ohashi, N.; Atake, S.; Yamazaki, K.; Nakayama, H. Cardiovascular Gas on Non-Traumatic Postmortem Computed Tomography (PMCT): The Influence of Cardiopulmonary Resuscitation. Radiat. Med. 2005, 23, 225–229. [Google Scholar] [PubMed]
- Ishida, M.; Gonoi, W.; Hagiwara, K.; Takazawa, Y.; Akahane, M.; Fukayama, M.; Ohtomo, K. Intravascular Gas Distribution in the Upper Abdomen of Non-Traumatic In-Hospital Death Cases on Postmortem Computed Tomography. Leg. Med. 2011, 13, 174–179. [Google Scholar] [CrossRef]
- Yamaki, T.; Ando, S.; Ohta, K.; Kubota, T.; Kawasaki, K.; Hirama, M. CT Demonstration of Massive Cerebral Air Embolism from Pulmonary Barotrauma due to Cardiopulmonary Resuscitation. J. Comput. Assist. Tomogr. 1989, 13, 313–315. [Google Scholar] [CrossRef]
- Barber, J.L.; Kiho, L.; Sebire, N.J.; Arthurs, O.J. Interpretation of Intravascular Gas on Postmortem CT in Children. J. Forensic Radiol. Imaging 2015, 3, 174–179. [Google Scholar] [CrossRef]
- Takahashi, N.; Satou, C.; Higuchi, T.; Shiotani, M.; Maeda, H.; Hirose, Y. Quantitative Analysis of Intracranial Hypostasis: Comparison of Early Postmortem and Antemortem CT Findings. AJR Am. J. Roentgenol. 2010, 195, 388–393. [Google Scholar] [CrossRef]
- Gould, S.W.; Harty, M.P.; Givler, N.E.; Christensen, T.E.; Curtin, R.N.; Harcke, H.T. Pediatric Postmortem Computed Tomography: Initial Experience at a Children’s Hospital in The United States. Pediatr. Radiol. 2019, 49, 1113–1129. [Google Scholar] [CrossRef]
- Krentz, B.V.; Alamo, L.; Grimm, J.; Dédouit, F.; Bruguier, C.; Chevallier, C.; Egger, C.; Da Silva, L.F.F.; Grabherr, S. Performance of Post-Mortem CT Compared to Autopsy in Children. Int. J. Leg. Med. 2016, 130, 1089–1099. [Google Scholar] [CrossRef] [PubMed]
- Oyake, Y.; Aoki, T.; Shiotani, S.; Kohno, M.; Ohashi, N.; Akutsu, H.; Yamazaki, K. Postmortem Computed Tomography for Detecting Causes of Sudden Death in Infants and Children: Retrospective Review of Cases. Radiat. Med. 2006, 24, 493–502. [Google Scholar] [CrossRef] [PubMed]
- van Rijn, R.R.; Beek, E.J.; van de Putte, E.M.; Teeuw, A.H.; Nikkels, P.G.J.; Duijst, W.L.J.M.; Nievelstein, R.A.; Dutch NODO Group. The Value of Postmortem Computed Tomography in Paediatric Natural Cause of Death: A Dutch Observational Study. Pediatr. Radiol. 2017, 47, 1514–1522. [Google Scholar] [CrossRef] [PubMed]
- Speelman, A.C.; Engel-Hills, P.C.; Martin, L.J.; van Rijn, R.R.; Offiah, A.C. Postmortem Computed Tomography Plus Forensic Autopsy for Determining the Cause of Death in Child Fatalities. Pediatr. Radiol. 2022, 52, 2620–2629. [Google Scholar] [CrossRef] [PubMed]
- Sieswerda-Hoogendoorn, T.; Soerdjbalie-Maikoe, V.; de Bakker, H.; van Rijn, R.R. Postmortem CT Compared to Autopsy in Children; Concordance in a Forensic Setting. Int. J. Leg. Med. 2014, 128, 957–965. [Google Scholar] [CrossRef]
- Proisy, M.; Marchand, A.J.; Loget, P.; Bouvet, R.; Roussey, M.; Pelé, F.; Rozel, C.; Treguier, C.; Darnault, P.; Bruneau, B. Whole-Body Post Mortem Computed Tomography Compared with Autopsy in the Investigation of Unexpected Death in Infants and Children. Eur. Radiol. 2013, 23, 1711–1719. [Google Scholar] [CrossRef]
- Noda, Y.; Yoshimura, K.; Tsuji, S.; Ohashi, A.; Kawasaki, H.; Kaneko, K.; Ikeda, S.; Kurokawa, H.; Tanigawa, N. Postmortem Computed Tomography Imaging in the Investigation of Nontraumatic Death in Infants and Children. BioMed Res. Int. 2013, 2013, 327903. [Google Scholar] [CrossRef]
- Ishida, M.; Gonoi, W.; Shirota, G.; Abe, H.; Shintani-Domoto, Y.; Ikemura, M.; Ushiku, T.; Abe, O. Utility of Unenhanced Postmortem Computed Tomography for Investigation of In-Hospital Nontraumatic Death in Children up to 3 Years of Age at a Single Japanese Tertiary Care Hospital. Medicine 2020, 99, e20130. [Google Scholar] [CrossRef]
- Garstang, J.; Griffiths, F.; Sidebotham, P. What do bereaved parents want from professionals after the sudden death of their child: A systematic review of the literature. BMC Pediatr. 2014, 14, 269. [Google Scholar] [CrossRef]
- Porcedda, G.; Brambilla, A.; Favilli, S.; Spaziani, G.; Mascia, G.; Giaccardi, M. Frequent Ventricular Premature Beats in Children and Adolescents: Natural History and Relationship with Sport Activity in a Long-Term Follow-Up. Pediatr. Cardiol. 2020, 41, 123–128. [Google Scholar] [CrossRef]
- Vincent, T.; Lefebvre, T.; Martinez, M.; Debaty, G.; Noto-Campanella, C.; Canon, V.; Tazarourte, K.; Benhamed, A.; RéAC Investigators. Association between Emergency Medical Services Intervention Volume and Out-of-Hospital Cardiac Arrest Survival: A Propensity Score Matching Analysis. J. Emerg. Med. 2024; in press. [Google Scholar] [CrossRef] [PubMed]



| non-ROSC (n = 19) | ROSC (n = 8) | p (Mann–Whitney U Test) | |
|---|---|---|---|
| Age (mean month, range) | 13.2 (1–108) | 14.3 (0.4–166) | 0.735 |
| Sex (m:f) | 10:9 | 4:4 | 0.938 |
| Past history (−:+) | 13:6 | 7:1 | 0.449 |
| Whether or not the home of the place of discovery (−:+) | 18:1 | 5:3 | 0.198 |
| Whether found after bedtime (−:+) | 18:1 | 1:7 | <0.001 |
| Estimated time from the last sighting to discovery (mean minutes, range) | 254.8 (0–560) | 17.3 (0–115) | <0.001 |
| Bystander CPR (+:−) | 7:12 | 3:5 | 0.979 |
| Number of Positive Cases | |||
|---|---|---|---|
| CT Findings | non-ROSC (n = 19) | ROSC (n = 8) | p (Fisher’s Exact Test) |
| Head | |||
| Brain swelling | 16 | 1 | <0.001 |
| Loss of cerebral gray-white matter differentiation | 14 | 3 | 0.033 |
| Hyperdense intracranial venous sinus | 6 | 0 | 0.136 |
| Lung | |||
| Symmetrical consolidation/ground-glass opacity | 18 | 4 | 0.017 |
| Asymmetrical consolidation/ground-glass opacity | 2 | 2 | 0.558 |
| Mediastinum | |||
| Cardiomegaly | 16 | 2 | 0.006 |
| Pericardial effusion | 0 | 0 | n/a |
| Hyperdense aortic wall | 16 | 0 | <0.001 |
| Narrowed aorta | 19 | 0 | <0.001 |
| Gas in the cardiac cavity, aorta, and superior vena cava | 15 | 0 | <0.001 |
| Abdomen and pelvis | |||
| Hepatomegaly | 15 | 1 | 0.002 |
| Dilated inferior vena cava | 3 | 2 | 0.616 |
| Dilated gastrointestinal tract | 17 | 5 | 0.136 |
| Gas in the upper abdominal organs | 8 | 0 | 0.061 |
| Soft tissue | |||
| Subcutaneous fatty edema | 0 | 0 | n/a |
Disclaimer/Publisher’s Note: The statements, opinions and data contained in all publications are solely those of the individual author(s) and contributor(s) and not of MDPI and/or the editor(s). MDPI and/or the editor(s) disclaim responsibility for any injury to people or property resulting from any ideas, methods, instructions or products referred to in the content. |
© 2024 by the authors. Licensee MDPI, Basel, Switzerland. This article is an open access article distributed under the terms and conditions of the Creative Commons Attribution (CC BY) license (https://creativecommons.org/licenses/by/4.0/).
Share and Cite
Ishida, M.; Tanaka, T.; Morichi, S.; Uesugi, H.; Nakazawa, H.; Watanabe, S.; Nakai, M.; Yamanaka, G.; Homma, H.; Saito, K. Clinical Significance of Whole-Body Computed Tomography Scans in Pediatric Out-of-Hospital Cardiac Arrest Patients Without Prehospital Return of Spontaneous Circulation. Diseases 2024, 12, 261. https://doi.org/10.3390/diseases12100261
Ishida M, Tanaka T, Morichi S, Uesugi H, Nakazawa H, Watanabe S, Nakai M, Yamanaka G, Homma H, Saito K. Clinical Significance of Whole-Body Computed Tomography Scans in Pediatric Out-of-Hospital Cardiac Arrest Patients Without Prehospital Return of Spontaneous Circulation. Diseases. 2024; 12(10):261. https://doi.org/10.3390/diseases12100261
Chicago/Turabian StyleIshida, Masanori, Taro Tanaka, Shinichiro Morichi, Hirotaka Uesugi, Haruka Nakazawa, Shun Watanabe, Motoki Nakai, Gaku Yamanaka, Hiroshi Homma, and Kazuhiro Saito. 2024. "Clinical Significance of Whole-Body Computed Tomography Scans in Pediatric Out-of-Hospital Cardiac Arrest Patients Without Prehospital Return of Spontaneous Circulation" Diseases 12, no. 10: 261. https://doi.org/10.3390/diseases12100261
APA StyleIshida, M., Tanaka, T., Morichi, S., Uesugi, H., Nakazawa, H., Watanabe, S., Nakai, M., Yamanaka, G., Homma, H., & Saito, K. (2024). Clinical Significance of Whole-Body Computed Tomography Scans in Pediatric Out-of-Hospital Cardiac Arrest Patients Without Prehospital Return of Spontaneous Circulation. Diseases, 12(10), 261. https://doi.org/10.3390/diseases12100261

