Safe Subunit Green Vaccines Confer Robust Immunity and Protection against Mucosal Brucella Infection in Mice
Abstract
1. Introduction
2. Materials and Methods
2.1. Chemicals, Reagents, and Antibodies
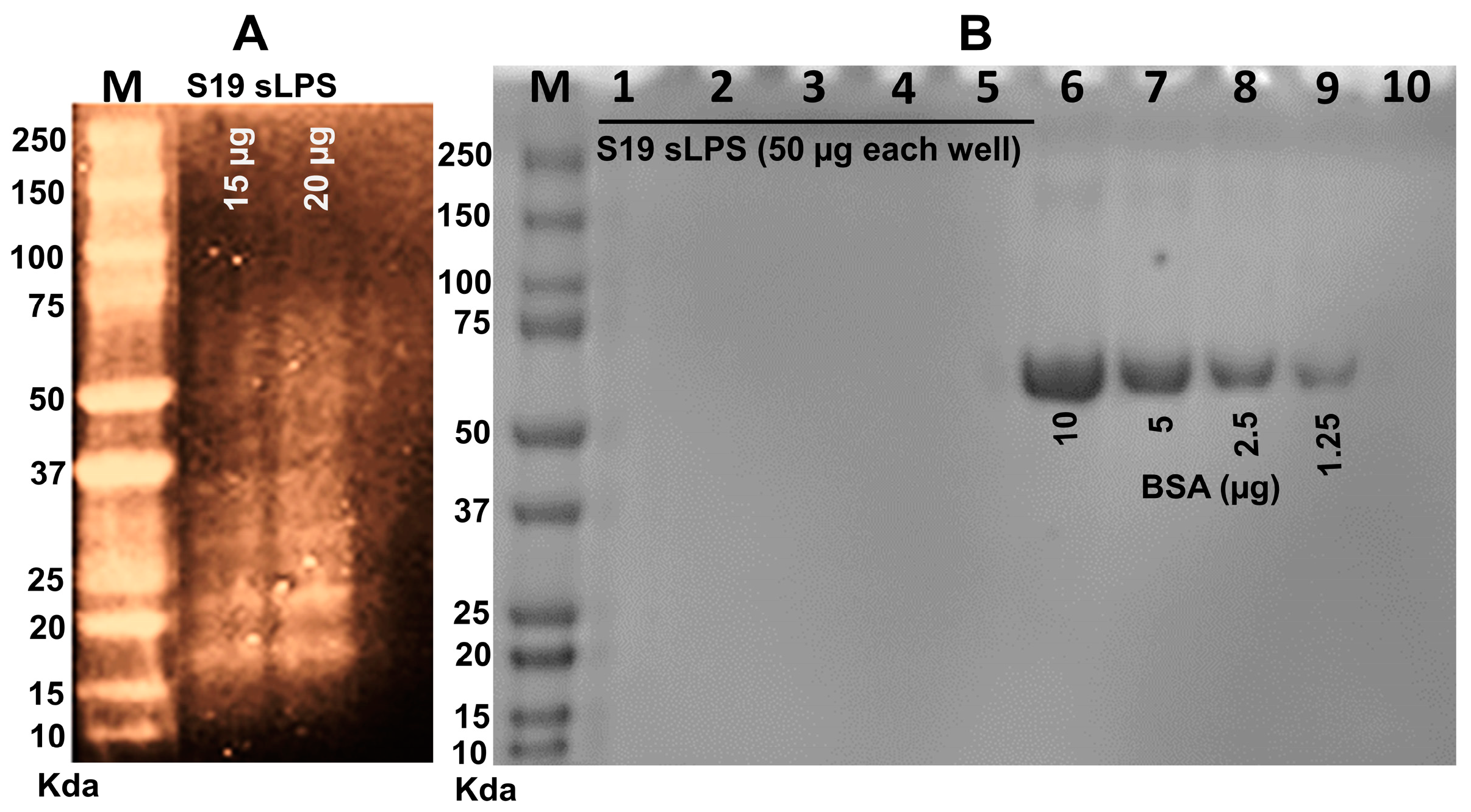
2.2. Smooth LPS Extraction
2.3. sLPS Characterization and Analysis
2.4. Cytotoxicity Assay
2.5. Hemolysis Assay
2.6. Vaccine Formulation
2.7. Mice Immunization and Challenge
2.8. Blood and Bronchoalveolar Lavage Sampling
2.9. Serology
2.10. Bacterial Enumeration
2.11. Statistical Analysis
3. Results
3.1. Characteristics and Purity of the Extracted LPS
3.2. In Vitro and In Vivo Assessment Studies Ensured Safety of the Vaccine Components
3.3. Qs and Qs-X Modulate the Kinetics of Humoral Immune Responses to Brucella sLPS
3.4. Qs and Qs-X in Tandem with sLPS Enhance Protection against Mucosal Brucella Infection in Mice
4. Discussion
5. Conclusions
Author Contributions
Funding
Institutional Review Board Statement
Data Availability Statement
Acknowledgments
Conflicts of Interest
References
- Pappas, G.; Papadimitriou, P.; Akritidis, N.; Christou, L.; Tsianos, E.V. The New Global Map of Human Brucellosis. Lancet Infect. Dis. 2006, 6, 91–99. [Google Scholar] [CrossRef] [PubMed]
- Signs and Symptoms | Brucellosis | CDC. Available online: https://www.cdc.gov/brucellosis/symptoms/index.html (accessed on 14 November 2020).
- Yagupsky, P.; Morat, P.; Colmenero, J.D. Laboratory Diagnosis of Human Brucellosis. Clin. Microbiol. Rev. 2020, 33, e00073-19. [Google Scholar] [CrossRef] [PubMed]
- Abdelbaset, A.E.; Abushahba, M.F.N.; Hamed, M.I.; Rawy, M.S. Sero-Diagnosis of Brucellosis in Sheep and Humans in Assiut and El-Minya Governorates, Egypt. Int. J. Vet. Sci. Med. 2018, 6, S63–S67. [Google Scholar] [CrossRef] [PubMed]
- Pei, M.; Dong, A.; Ma, X.; Li, S.; Guo, Y.; Li, M.; Wang, Z.; Wang, H.; Zhu, L.; Pan, C.; et al. Identification of Potential Antigenic Peptides of Brucella through Proteome and Peptidome. Vet. Med. Sci. 2023, 9, 523. [Google Scholar] [CrossRef]
- Solera, J. Update on Brucellosis: Therapeutic Challenges. Int. J. Antimicrob. Agents 2010, 36, S18–S20. [Google Scholar] [CrossRef]
- Hasanjani Roushan, M.R.; Moulana, Z.; Mohseni Afshar, Z.; Ebrahimpour, S. Risk Factors for Relapse of Human Brucellosis. Glob. J. Health Sci. 2015, 8, 77–82. [Google Scholar] [CrossRef]
- Seleem, M.N.; Boyle, S.M.; Sriranganathan, N. Brucellosis: A Re-Emerging Zoonosis. Vet. Microbiol. 2010, 140, 392–398. [Google Scholar] [CrossRef]
- McDermott, J.; Grace, D.; Zinsstag, J. Economics of Brucellosis Impact and Control in Low-Income Countries. Rev. Sci. Tech. 2013, 32, 249–261. [Google Scholar] [CrossRef]
- Constable, P.; Hinchcliff, K.; Done, S.; Grünberg, W. Diseases Primarily Affecting the Reproductive System. In Veterinary Medicine; Elsevier: Amsterdam, The Netherlands, 2017; pp. 1758–1829. [Google Scholar]
- Dorneles, E.M.S.; Sriranganathan, N.; Lage, A.P. Recent Advances in Brucella Abortus Vaccines. Vet. Res. 2015, 46, 76. [Google Scholar] [CrossRef]
- Negrón, M.E.; Kharod, G.A.; Bower, W.A.; Walke, H. Notes from the Field: Human Brucella Abortus RB51 Infections Caused by Consumption of Unpasteurized Domestic Dairy Products United States, 2017–2019. MMWR Morb. Mortal. Wkly. Rep. 2019, 68, 185. [Google Scholar] [CrossRef]
- Palmer, M.V.; Cheville, N.F.; Jensen, A.E. Experimental Infection of Pregnant Cattle with the Vaccine Candidate Brucella Abortus Strain RB51: Pathologic, Bacteriologic, and Serologic Findings. Vet. Pathol. 1996, 33, 682–691. [Google Scholar] [CrossRef] [PubMed]
- Dougherty, A.M.F.; Cornish, T.E.; O’Toole, D.; Boerger-Fields, A.M.; Henderson, O.L.; Mills, K.W. Abortion and Premature Birth in Cattle Following Vaccination with Brucella Abortus Strain RB51. J. Vet. Diagnostic Investig. 2013, 25, 630–635. [Google Scholar] [CrossRef] [PubMed]
- Blasco, J.M. A Review of the Use of B. Melitensis Rev 1 Vaccine in Adult Sheep and Goats. Prev. Vet. Med. 1997, 31, 275–283. [Google Scholar] [CrossRef] [PubMed]
- Neutra, M.; Kozlowski, P. Mucosal Vaccines: The Promise and the Challenge. Nat. Rev. Immunol. 2006, 6, 148–158. [Google Scholar] [CrossRef]
- López-Santiago, R.; Sánchez-Argáez, A.B.; De Alba-Núñez, L.G.; Baltierra-Uribe, S.L.; Moreno-Lafont, M.C. Immune Response to Mucosal Brucella Infection. Front. Immunol. 2019, 10, 1759. [Google Scholar] [CrossRef]
- Zhang, F.; Li, Z.; Jia, B.; Zhu, Y.; Pang, P.; Zhang, C.; Ding, J. The Immunogenicity of OMP31 Peptides and Its Protection Against Brucella Melitensis Infection in Mice. Sci. Rep. 2019, 9, 1–7. [Google Scholar] [CrossRef]
- Demars, A.; Lison, A.; Machelart, A.; Van Vyve, M.; Potemberg, G.; Vanderwinden, J.M.; De Bolle, X.; Letesson, J.J.; Muraille, E. Route of Infection Strongly Impacts the Host-Pathogen Relationship. Front. Immunol. 2019, 10, 1589. [Google Scholar] [CrossRef]
- Lycke, N. Recent Progress in Mucosal Vaccine Development: Potential and Limitations. Nat. Rev. Immunol. 2012, 12, 592–605. [Google Scholar] [CrossRef]
- Pasquevich, K.A.; Ibañez, A.E.; Coria, L.M.; Samartino, C.G.; Estein, S.M.; Zwerdling, A.; Barrionuevo, P.; Oliveira, F.S.; Seither, C.; Warzecha, H.; et al. An Oral Vaccine Based on U-Omp19 Induces Protection against B. Abortus Mucosal Challenge by Inducing an Adaptive IL-17 Immune Response in Mice. PLoS ONE 2011, 6, e16203. [Google Scholar] [CrossRef]
- Cid, R.; Bolívar, J. Platforms for Production of Protein-Based Vaccines: From Classical to Next-Generation Strategies. Biomolecules 2021, 11, 1072. [Google Scholar] [CrossRef]
- Heidary, M.; Dashtbin, S.; Ghanavati, R.; Mahdizade Ari, M.; Bostanghadiri, N.; Darbandi, A.; Navidifar, T.; Talebi, M. Evaluation of Brucellosis Vaccines: A Comprehensive Review. Front. Vet. Sci. 2022, 9, 925773. [Google Scholar] [CrossRef] [PubMed]
- Goldstein, J.; Hoffman, T.; Frasch, C.; Lizzio, E.F.; Beining, P.R.; Hochstein, D.; Lee, Y.L.; Angus, R.D.; Golding, B. Lipopolysaccharide (LPS) from Brucella Abortus Is Less Toxic than That from Escherichia Coli, Suggesting the Possible Use of B. Abortus or LPS from B. Abortus as a Carrier in Vaccines. Infect. Immun. 1992, 60, 1385–1389. [Google Scholar] [CrossRef] [PubMed]
- Kianmehr, Z.; Ardestani, S.K.; Soleimanjahi, H.; Fotouhi, F.; Alamian, S.; Ahmadian, S. Comparison of Biological and Immunological Characterization of Lipopolysaccharides from Brucella Abortus RB51 and S19. Jundishapur J. Microbiol. 2015, 8, e24853. [Google Scholar] [CrossRef] [PubMed]
- Bhattacharjee, A.K.; Van De Verg, L.; Izadjoo, M.J.; Yuan, L.; Hadfield, T.L.; Zollinger, W.D.; Hoover, D.L. Protection of Mice against Brucellosis by Intranasal Immunization with Brucella Melitensis Lipopolysaccharide as a Noncovalent Complex with Neisseria Meningitidis Group B Outer Membrane Protein. Infect. Immun. 2002, 70, 3324–3329. [Google Scholar] [CrossRef]
- Vyas, S.; Dhoble, S.; Ghodake, V.; Patravale, V. Xyloglucan Based Mucosal Nanovaccine for Immunological Protection against Brucellosis Developed by Supercritical Fluid Technology. Int. J. Pharm. X 2020, 2, 100053. [Google Scholar] [CrossRef]
- Nguyen, T.T.; Jittanit, W.; Srichamnong, W. Production of Xyloglucan Component Extracted from Tamarind (Tamarindus Indica) Seeds Using Microwave Treatment for Seed Decortication. J. Food Process. Preserv. 2019, 43, e14055. [Google Scholar] [CrossRef]
- Do Rosário, M.M.T.; Kangussu-Marcolino, M.M.; Do Amaral, A.E.; Noleto, G.R.; Petkowicz, C.L.D.O. Storage Xyloglucans: Potent Macrophages Activators. Chem. Biol. Interact. 2011, 189, 127–133. [Google Scholar] [CrossRef]
- Periasamy, S.; Lin, C.H.; Nagarajan, B.; Sankaranarayanan, N.V.; Desai, U.R.; Liu, M.Y. Mucoadhesive Role of Tamarind Xyloglucan on Inflammation Attenuates Ulcerative Colitis. J. Funct. Foods 2018, 47, 1–10. [Google Scholar] [CrossRef]
- Marciani, D.J. Elucidating the Mechanisms of Action of Saponin-Derived Adjuvants. Trends Pharmacol. Sci. 2018, 39, 573–585. [Google Scholar] [CrossRef]
- Cibulski, S.P.; Silveira, F.; Mourglia-Ettlin, G.; Teixeira, T.F.; dos Santos, H.F.; Yendo, A.C.; de Costa, F.; Fett-Neto, A.G.; Gosmann, G.; Roehe, P.M. Quillaja Brasiliensis Saponins Induce Robust Humoral and Cellular Responses in a Bovine Viral Diarrhea Virus Vaccine in Mice. Comp. Immunol. Microbiol. Infect. Dis. 2016, 45, 1–8. [Google Scholar] [CrossRef]
- Rajput, Z.I.; Hu, S.H.; Xiao, C.W.; Arijo, A.G. Adjuvant Effects of Saponins on Animal Immune Responses. J. Zhejiang Univ. Sci. B. 2007, 8, 153–161. [Google Scholar] [CrossRef]
- Kenji, O.; Matsuda, H.; Murakami, T.; Katayama, S.; Ohgitani, T.; Yoshikawa, M. Adjuvant and Haemolytic Activities of 47 Saponins Derived from Medicinal and Food Plants. Biol. Chem. 2000, 381, 67–74. [Google Scholar] [CrossRef]
- Clapp, B.; Yang, X.; Thornburg, T.; Walters, N.; Pascual, D.W. Nasal Vaccination Stimulates CD8(+) T Cells for Potent Protection against Mucosal Brucella Melitensis Challenge. Immunol. Cell Biol. 2016, 94, 496–508. [Google Scholar] [CrossRef]
- Wang, H.; Hoffman, C.; Yang, X.; Clapp, B.; Pascual, D.W. Targeting Resident Memory T Cell Immunity Culminates in Pulmonary and Systemic Protection against Brucella Infection. PLoS Pathog. 2020, 16, e1008176. [Google Scholar] [CrossRef] [PubMed]
- Goodwin, Z.I.; Yang, X.; Hoffman, C.; Pascual, D.W. Live Mucosal Vaccination Stimulates Potent Protection via Varied CD4+ and CD8+ T Cell Subsets against Wild-Type Brucella Melitensis 16M Challenge. Front. Immunol. 2022, 13, 995327. [Google Scholar] [CrossRef] [PubMed]
- Clapp, B.; Skyberg, J.A.; Yang, X.; Thornburg, T.; Walters, N.; Pascual, W. pascual Protective Live Oral Brucellosis Vaccines Stimulate Th1 and Th17 Cell Responses. Infect. Immun. 2011, 79, 4165–4174. [Google Scholar] [CrossRef] [PubMed]
- Nielsen, K.; Kelly, L.; Mallory, M. Standardization of Smooth Lipopolysaccharide Preparations for Use in Diagnostic Serological Tests for Bovine Antibody Brucella Abortus. J. Immunoassay 1998, 19, 239–250. [Google Scholar] [CrossRef]
- Fomsgaard, A.; Freudenberg, M.A.; Galanos, C. Modification of the Silver Staining Technique to Detect Lipopolysaccharide in Polyacrylamide Gels. J. Clin. Microbiol. 1990, 28, 2627–2631. [Google Scholar] [CrossRef]
- Cibulski, S.P.; Mourglia-Ettlin, G.; Teixeira, T.F.; Quirici, L.; Roehe, P.M.; Ferreira, F.; Silveira, F. Novel ISCOMs from Quillaja Brasiliensis Saponins Induce Mucosal and Systemic Antibody Production, T-Cell Responses and Improved Antigen Uptake. Vaccine 2016, 34, 1162–1171. [Google Scholar] [CrossRef]
- Arabski, M.; Wȩgierek-Ciuk, A.; Czerwonka, G.; Lankoff, A.; Kaca, W. Effects of Saponins against Clinical E. Coli Strains and Eukaryotic Cell Line. J. Biomed. Biotechnol. 2012, 2012, 1–6. [Google Scholar] [CrossRef]
- Khatuntseva, E.A.; Men’shov, V.M.; Shashkov, A.S.; Tsvetkov, Y.E.; Stepanenko, R.N.; Vlasenko, R.Y.; Shults, E.E.; Tolstikov, G.A.; Tolstikova, T.G.; Baev, D.S.; et al. Triterpenoid Saponins from the Roots of Acanthophyllum Gypsophiloides Regel. Beilstein J. Org. Chem. 2012, 8, 763. [Google Scholar] [CrossRef]
- Charan, J.; Kantharia, N. How to Calculate Sample Size in Animal Studies? J. Pharmacol. Pharmacother. 2013, 4, 303. [Google Scholar] [CrossRef]
- Jacob, J.M.; Curtiss, R. Characterization of Brucella Abortus S19 as a Challenge Strain for Use in a Mouse Model of Brucellosis. Microbes Infect. 2021, 23, 104809. [Google Scholar] [CrossRef] [PubMed]
- Golde, W.T.; Gollobin, P.; Rodriguez, L.L. A Rapid, Simple, and Humane Method for Submandibular Bleeding of Mice Using a Lancet. Lab Anim. (N. Y.) 2005, 34, 39–43. [Google Scholar] [CrossRef]
- Classen, D.C.; Morningstar, J.M.; Shanley, J.D. Detection of Antibody to Murine Cytomegalovirus by Enzyme-Linked Immunosorbent and Indirect Immunofluorescence Assays. J. Clin. Microbiol. 1987, 25, 600–604. [Google Scholar] [CrossRef]
- Dadelahi, A.S.; Lacey, C.A.; Chambers, C.A.; Ponzilacqua-Silva, B.; Skyberg, J.A. B Cells Inhibit CD4+ T Cell-Mediated Immunity to Brucella Infection in a Major Histocompatibility Complex Class II-Dependent Manner. Infect. Immun. 2020, 88, e00075-20. [Google Scholar] [CrossRef] [PubMed]
- Lowry, J.E.; Isaak, D.D.; Leonhardt, J.A.; Vernati, G.; Pate, J.C.; Andrews, G.P. Vaccination with Brucella Abortus Recombinant In Vivo-Induced Antigens Reduces Bacterial Load and Promotes Clearance in a Mouse Model for Infection. PLoS ONE 2011, 6, e17425. [Google Scholar] [CrossRef] [PubMed]
- Rezania, S.; Amirmozaffari, N.; Tabarraei, B.; Jeddi-Tehrani, M.; Zarei, O.; Alizadeh, R.; Masjedian, F.; Zarnani, A.H. Extraction, Purification and Characterization of Lipopolysaccharide from Escherichia Coli and Salmonella Typhi. Avicenna J. Med. Biotechnol. 2011, 3, 3. [Google Scholar] [PubMed]
- Spellman, J.M.; Reed, N.D. Immune and Mitogenic Responses by BALB/c, C3H/HeJ, and Nude Mice to Brucella Abortus Bacterin and Lipopolysaccharide. Infect. Immun. 1979, 24, 371–378. [Google Scholar] [CrossRef]
- Moreno, E.; Kurtz, R.S.; Berman, D.T. Induction of Immune and Adjuvant Immunoglobulin G Responses in Mice by Brucella Lipopolysaccharide. Infect. Immun. 1984, 46, 74–80. [Google Scholar] [CrossRef]
- Pakzad, I.; Rezaee, A.; Rasaee, M.J.; Hosseini, A.Z.; Tabbaraee, B.; Ghafurian, S.; Abdulamir, A.S.; Abu Bakar, F.; Raftari, M. Novel Approach of Vaccination against Brucella Abortus 544 Based on a Combination of Fusion Proteins, Human Serum Albumin and Brucella Abortus Lipopolysaccharides. J. Biol. Sci. 2010, 10, 767–772. [Google Scholar] [CrossRef]
- Kianmehr, Z.; Soleimanjahi, H.; Ardestani, S.K.; Fotouhi, F.; Abdoli, A. Influence of Brucella Abortus Lipopolysaccharide as an Adjuvant on the Immunogenicity of HPV-16 L1VLP Vaccine in Mice. Med. Microbiol. Immunol. 2015, 204, 205–213. [Google Scholar] [CrossRef] [PubMed]
- Lalsiamthara, J.; Won, G.; Lee, J.H. Effect of Immunization Routes and Protective Efficacy of Brucella Antigens Delivered via Salmonella Vector Vaccine. J. Vet. Sci. 2018, 19, 416. [Google Scholar] [CrossRef] [PubMed]
- Maleki, M.; Salouti, M. Immunization Effect of Lipopolysaccharide Antigen in Conjugation with PLGA Nanoparticles as a Nanovaccine against Brucella Melitensis Infection. Biologicals 2021, 72, 10–17. [Google Scholar] [CrossRef] [PubMed]
- Pietrzak, B.; Tomela, K.; Olejnik-Schmidt, A.; Mackiewicz, A.; Schmidt, M. Secretory IgA in Intestinal Mucosal Secretions as an Adaptive Barrier against Microbial Cells. Int. J. Mol. Sci. 2020, 21, 9254. [Google Scholar] [CrossRef]
- Fujimaki, H.; Ohmori, T.; Ushio, H.; Saneyoshi, K. Timing of Low-Level NO2 Exposure Alters Antigen-Specific IgE, IgG, and IgG(2a) Antibody Production in Mice. Inhal. Toxicol. 1998, 10, 1079–1093. [Google Scholar] [CrossRef]
- Watanabe, H.; Numata, K.; Ito, T.; Takagi, K.; Matsukawa, A. Innate Immune Response in Th1- and Th2-Dominant Mouse Strains. Shock 2004, 22, 460–466. [Google Scholar] [CrossRef]
- Betts, M.; Beining, P.; Brunswick, M.; Inman, J.; Angus, R.D.; Hoffman, T.; Golding, B. Lipopolysaccharide from Brucella Abortus Behaves as a T-Cell-Independent Type 1 Carrier in Murine Antigen-Specific Antibody Responses. Infect. Immun. 1993, 61, 1722–1729. [Google Scholar] [CrossRef]
- Ko, J.; Splitter, G.A. Molecular Host-Pathogen Interaction in Brucellosis: Current Understanding and Future Approaches to Vaccine Development for Mice and Humans. Clin. Microbiol. Rev. 2003, 16, 65–78. [Google Scholar] [CrossRef]





Disclaimer/Publisher’s Note: The statements, opinions and data contained in all publications are solely those of the individual author(s) and contributor(s) and not of MDPI and/or the editor(s). MDPI and/or the editor(s) disclaim responsibility for any injury to people or property resulting from any ideas, methods, instructions or products referred to in the content. |
© 2023 by the authors. Licensee MDPI, Basel, Switzerland. This article is an open access article distributed under the terms and conditions of the Creative Commons Attribution (CC BY) license (https://creativecommons.org/licenses/by/4.0/).
Share and Cite
Abushahba, M.F.; Dadelahi, A.S.; Lemoine, E.L.; Skyberg, J.A.; Vyas, S.; Dhoble, S.; Ghodake, V.; Patravale, V.B.; Adamovicz, J.J. Safe Subunit Green Vaccines Confer Robust Immunity and Protection against Mucosal Brucella Infection in Mice. Vaccines 2023, 11, 546. https://doi.org/10.3390/vaccines11030546
Abushahba MF, Dadelahi AS, Lemoine EL, Skyberg JA, Vyas S, Dhoble S, Ghodake V, Patravale VB, Adamovicz JJ. Safe Subunit Green Vaccines Confer Robust Immunity and Protection against Mucosal Brucella Infection in Mice. Vaccines. 2023; 11(3):546. https://doi.org/10.3390/vaccines11030546
Chicago/Turabian StyleAbushahba, Mostafa F., Alexis S. Dadelahi, Emily L. Lemoine, Jerod A. Skyberg, Swati Vyas, Sagar Dhoble, Vinod Ghodake, Vandana B. Patravale, and Jeffrey J. Adamovicz. 2023. "Safe Subunit Green Vaccines Confer Robust Immunity and Protection against Mucosal Brucella Infection in Mice" Vaccines 11, no. 3: 546. https://doi.org/10.3390/vaccines11030546
APA StyleAbushahba, M. F., Dadelahi, A. S., Lemoine, E. L., Skyberg, J. A., Vyas, S., Dhoble, S., Ghodake, V., Patravale, V. B., & Adamovicz, J. J. (2023). Safe Subunit Green Vaccines Confer Robust Immunity and Protection against Mucosal Brucella Infection in Mice. Vaccines, 11(3), 546. https://doi.org/10.3390/vaccines11030546

