Osthole: A Coumarin Derivative Assuage Thiram-Induced Tibial Dyschondroplasia by Regulating BMP-2 and RUNX-2 Expressions in Chickens
Abstract
1. Introduction
2. Materials and Methods
2.1. Animal Ethics
2.2. Experimental Birds, Chemical Reagents, and Medicine
2.3. Experiment Design
2.4. Sample Collection
2.5. Mortality Assay, Production Parameters, and Visceral Organs Indices
2.6. Biochemical and Antioxidants Analyses
2.7. Tibia Bone Parameters
2.8. Hematoxylin and Eosin (H&E) Staining and Immunohistochemistry
2.9. Reverse Transcription Quantitative Polymerase Chain Reaction (RT-qPCR)
2.10. Western Blotting
2.11. Statistical Analyses
3. Results
3.1. Clinical Observations of Thiram–Induced TD
3.2. Chicken Mortality and Survival Rate
3.3. Production Parameters Analysis
3.4. Tibia Parameters Analysis
3.5. Serum Biochemical and Liver Antioxidants Analyses
3.6. Visceral Organs Indices
3.7. Histological Examination of the Tibial Growth Plates
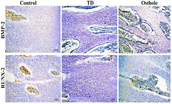
3.8. Immunohistochemical Analysis
3.9. The mRNA and Protein Expressions of BMP-2 and RUNX-2
4. Discussion
5. Conclusions
Author Contributions
Funding
Acknowledgments
Conflicts of Interest
References
- Nnadi, P.; George, S. A cross-sectional survey on parasites of chickens in selected villages in the subhumid zones of South-Eastern Nigeria. J. Parasitol. Res. 2010, 2010. [Google Scholar] [CrossRef] [PubMed][Green Version]
- Farquharson, C.; Jefferies, D. Chondrocytes and longitudinal bone growth: The development of tibial dyschondroplasia. Poult. Sci. 2000, 79, 994–1004. [Google Scholar] [CrossRef] [PubMed]
- Pelicia, K.; Aparecido, I., Jr.; Garcia, E.A.; Molino, A.; Santos, G.; Berto, D.A.; Vieira Filho, J.; Murakami, E.; Montenegro, A.; Silva, A. Evaluation of a radiographic method to detect tibial dyschondroplasia lesions in broilers. Rev. Bras. De Ciência Avícola 2012, 14, 129–135. [Google Scholar] [CrossRef]
- Shahzad, M.; Gao, J.; Qin, P.; Liu, J.; Wang, Z.; Zhang, D.; Li, J. Expression of genes encoding matrilin-3 and cyclin-I during the impairment and recovery of chicken growth plate in tibial dyschondroplasia. Avian Dis. 2014, 58, 468–473. [Google Scholar] [CrossRef] [PubMed]
- Shahzad, M.; Liu, J.; Gao, J.; Wang, Z.; Zhang, D.; Nabi, F.; Li, K.; Li, J. Differential expression of extracellular matrix metalloproteinase inducer (EMMPRIN/CD147) in avian tibial dyschondroplasia. Avian Pathol. 2015, 44, 13–18. [Google Scholar] [CrossRef]
- Zhang, H.; Mehmood, K.; Jiang, X.; Yao, W.; Iqbal, M.; Waqas, M.; Rehman, M.U.; Li, A.; Shen, Y.; Li, J. Effect of tetramethyl thiuram disulfide (thiram) in relation to tibial dyschondroplasia in chickens. Environ. Sci. Pollut. Res. 2018, 25, 28264–28274. [Google Scholar] [CrossRef]
- Singh, B.; Sharma, D.; Gupta, A. The controlled and sustained release of a fungicide from starch and alginate beads. J. Environ. Sci. Health Part B 2009, 44, 113–122. [Google Scholar] [CrossRef]
- Sharma, D.; Gupta, A.; Kashyap, R. Soil Adsorption Study of Thiram on Four Indian Soils by Extractive Spectrophotometry. Res. Rev. A J. Toxicol. 2019, 1, 56–62. [Google Scholar]
- Zhang, H.; Mehmood, K.; Jiang, X.; Li, Z.; Yao, W.; Zhang, J.; Tong, X.; Wang, Y.; Li, A.; Waqas, M. Identification of differentially expressed MiRNAs profile in a thiram-induced tibial dyschondroplasia. Ecotoxicol. Environ. Saf. 2019, 175, 83–89. [Google Scholar] [CrossRef]
- Nabi, F.; Shahzad, M.; Liu, J.; Li, K.; Han, Z.; Zhang, D.; Iqbal, M.K.; Li, J. Hsp90 inhibitor celastrol reinstates growth plate angiogenesis in thiram-induced tibial dyschondroplasia. Avian Pathol. 2016, 45, 187–193. [Google Scholar] [CrossRef][Green Version]
- Gupta, M.; Amma, M. Alterations in hepatic biochemistry of mice intoxicated with MIC, carbaryl and thiram. J. Appl. Toxicol. 1993, 13, 33–37. [Google Scholar] [CrossRef] [PubMed]
- Mehmood, K.; Zhang, H.; Iqbal, M.K.; Rehman, M.U.; Li, K.; Huang, S.; Shahzad, M.; Nabi, F.; Iqbal, M.; Li, J. Tetramethylpyrazine mitigates toxicity and liver oxidative stress in tibial dyschondroplasia chickens. Pak. Vet. J. 2018, 38, 76–80. [Google Scholar] [CrossRef]
- Ming, L.-G.; Zhou, J.; Cheng, G.-Z.; Ma, H.-P.; Chen, K.-M. Osthol, a coumarin isolated from common cnidium fruit, enhances the differentiation and maturation of osteoblasts in vitro. Pharmacology 2011, 88, 33–43. [Google Scholar] [CrossRef] [PubMed]
- Liang, W.; Lin, M.; Li, X.; Li, C.; Gao, B.; Gan, H.; Yang, Z.; Lin, X.; Liao, L.; Yang, M. Icariin promotes bone formation via the BMP-2/Smad4 signal transduction pathway in the hFOB 1.19 human osteoblastic cell line. Int. J. Mol. Med. 2012, 30, 889–895. [Google Scholar] [CrossRef] [PubMed]
- Nojima, J.; Kanomata, K.; Takada, Y.; Fukuda, T.; Kokabu, S.; Ohte, S.; Takada, T.; Tsukui, T.; Yamamoto, T.S.; Sasanuma, H. Dual roles of smad proteins in the conversion from myoblasts to osteoblastic cells by bone morphogenetic proteins. J. Biol. Chem. 2010, 285, 15577–15586. [Google Scholar] [CrossRef] [PubMed]
- Zhang, Z.-R.; Leung, W.; Li, G.; Kong, S.; Lu, X.; Wong, Y.; Chan, C. Osthole enhances osteogenesis in osteoblasts by elevating transcription factor osterix via cAMP/CREB signaling in vitro and in vivo. Nutrients 2017, 9, 588. [Google Scholar] [CrossRef] [PubMed]
- Liu, T.; Gao, Y.; Sakamoto, K.; Minamizato, T.; Furukawa, K.; Tsukazaki, T.; Shibata, Y.; Bessho, K.; Komori, T.; Yamaguchi, A. BMP-2 promotes differentiation of osteoblasts and chondroblasts in Runx2-deficient cell lines. J. Cell. Physiol. 2007, 211, 728–735. [Google Scholar] [CrossRef] [PubMed]
- Yao, W.; Zhang, H.; Jiang, X.; Mehmood, K.; Iqbal, M.; Li, A.; Wang, Y.; Zhang, J.; Waqas, M.; Shen, Y. Effect of Total Flavonoids of Rhizoma drynariae on Tibial Dyschondroplasia by Regulating BMP-2 and Runx2 Expression in Chickens. Front. Pharmacol. 2018, 9, 1251. [Google Scholar] [CrossRef] [PubMed]
- Hsieh, T.-P.; Sheu, S.-Y.; Sun, J.-S.; Chen, M.-H.; Liu, M.-H. Icariin isolated from Epimedium pubescens regulates osteoblasts anabolism through BMP-2, SMAD4, and Cbfa1 expression. Phytomedicine 2010, 17, 414–423. [Google Scholar] [CrossRef] [PubMed]
- Liao, L.; Zhang, S.; Zhou, G.Q.; Ye, L.; Huang, J.; Zhao, L.; Chen, D. Deletion of Runx2 in condylar chondrocytes disrupts TMJ tissue homeostasis. J. Cell. Physiol. 2019, 234, 3436–3444. [Google Scholar] [CrossRef] [PubMed]
- Arumugam, B.; Vishal, M.; Shreya, S.; Malavika, D.; Rajpriya, V.; He, Z.; Partridge, N.; Selvamurugan, N. Parathyroid hormone-stimulation of Runx2 during osteoblast differentiation via the regulation of lnc-SUPT3H-1: 16 (RUNX2-AS1: 32) and miR-6797-5p. Biochimie 2019, 158, 43–52. [Google Scholar] [CrossRef] [PubMed]
- Stein, G.S.; Lian, J.B.; Van Wijnen, A.J.; Stein, J.L.; Montecino, M.; Javed, A.; Zaidi, S.K.; Young, D.W.; Choi, J.-Y.; Pockwinse, S.M. Runx2 control of organization, assembly and activity of the regulatory machinery for skeletal gene expression. Oncogene 2004, 23, 4315. [Google Scholar] [CrossRef] [PubMed]
- Yang, Y.; Chin, A.; Zhang, L.; Lu, J.; Wong, R.W.K. The role of traditional Chinese medicines in osteogenesis and angiogenesis. Phytother. Res. 2014, 28, 1–8. [Google Scholar] [CrossRef] [PubMed]
- Yin, J.; Zhang, H.; Ye, J. Traditional Chinese medicine in treatment of metabolic syndrome. Endocr. Metab. Immune Disord. Drug Targets 2008, 8, 99–111. [Google Scholar] [CrossRef] [PubMed]
- Wang, R.; Liu, Y.; Hu, X.; Pan, J.; Gong, D.; Zhang, G. New insights into the binding mechanism between osthole and β-lactoglobulin: Spectroscopic, chemometrics and docking studies. Food Res. Int. 2019, 120, 226–234. [Google Scholar] [CrossRef] [PubMed]
- Kao, S.-J.; Su, J.-L.; Chen, C.-K.; Yu, M.-C.; Bai, K.-J.; Chang, J.-H.; Bien, M.-Y.; Yang, S.-F.; Chien, M.-H. Osthole inhibits the invasive ability of human lung adenocarcinoma cells via suppression of NF-κB-mediated matrix metalloproteinase-9 expression. Toxicol. Appl. Pharmacol. 2012, 261, 105–115. [Google Scholar] [CrossRef]
- Song, F.; Xie, M.-L.; Zhu, L.-J.; Zhang, K.-P.; Xue, J.; Gu, Z.-L. Experimental study of osthole on treatment of hyperlipidemic and alcoholic fatty liver in animals. World J. Gastroenterol. 2006, 12, 4359. [Google Scholar] [CrossRef]
- Wang, Y.; Zhou, Y.; Wang, X.; Zhen, F.; Chen, R.; Geng, D.; Yao, R. Osthole alleviates MPTP-induced Parkinson’s disease mice by suppressing Notch signaling pathway. Int. J. Neurosci. 2019, 129, 833–841. [Google Scholar] [CrossRef]
- Kordulewska, N.; Cieślińska, A.; Fiedorowicz, E.; Jarmołowska, B.; Kostyra, E. High Expression of IL-1RI and EP2 Receptors in the IL-1β/COX-2 Pathway, and a New Alternative to Non-Steroidal Drugs—Osthole in Inhibition COX-2. Int. J. Mol. Sci. 2019, 20, 186. [Google Scholar] [CrossRef]
- Tao, L.; Gu, X.; Xu, E.; Ren, S.; Zhang, L.; Liu, W.; Lin, X.; Yang, J.; Chen, C. Osthole protects against Ang II-induced endotheliocyte death by targeting NF-κB pathway and Keap-1/Nrf2 pathway. Am. J. Transl. Res. 2019, 11, 142. [Google Scholar]
- Zhang, Z.-R.; Leung, W.N.; Cheung, H.Y.; Chan, C.W. Osthole: A review on its bioactivities, pharmacological properties, and potential as alternative medicine. Evid. Based Complementary Altern. Med. 2015, 2015. [Google Scholar] [CrossRef] [PubMed]
- Mehmood, K.; Zhang, H.; Yao, W.; Jiang, X.; Waqas, M.; Li, A.; Wang, Y.; Lei, L.; Zhang, L.; Qamar, H. Protective effect of Astragaloside IV to inhibit thiram-induced tibial dyschondroplasia. Environ. Sci. Pollut. Res. 2019, 26, 16210–16219. [Google Scholar] [CrossRef] [PubMed]
- Huang, S.; Rehman, M.U.; Lan, Y.; Qiu, G.; Zhang, H.; Iqbal, M.K.; Luo, H.; Mehmood, K.; Zhang, L.; Li, J. Tibial dyschondroplasia is highly associated with suppression of tibial angiogenesis through regulating the HIF-1α/VEGF/VEGFR signaling pathway in chickens. Sci. Rep. 2017, 7, 9089. [Google Scholar] [CrossRef] [PubMed]
- Zhang, Y.; Xie, M.; Zhu, L.; Gu, Z. Therapeutic effect of osthole on hyperlipidemic fatty liver in rats 3. Acta Pharmacol. Sin. 2007, 28, 398–403. [Google Scholar] [CrossRef] [PubMed]
- Zhang, H.; Mehmood, K.; Li, K.; Rehman, M.U.; Jiang, X.; Huang, S.; Wang, L.; Zhang, L.; Tong, X.; Nabi, F. Icariin ameliorate thiram-induced tibial dyschondroplasia via regulation of WNT4 and VEGF expression in broiler chickens. Front. Pharmacol. 2018, 9, 123. [Google Scholar] [CrossRef] [PubMed]
- Jiang, X.; Zhang, H.; Mehmood, K.; Li, K.; Zhang, L.; Yao, W.; Tong, X.; Li, A.; Wang, Y.; Jiang, J. Effect of Anacardic Acid against Thiram Induced Tibial Dyschondroplasia in Chickens via Regulation of Wnt4 Expression. Animals 2019, 9, 82. [Google Scholar] [CrossRef] [PubMed]
- Mehmood, K.; Zhang, H.; Jiang, X.; Yao, W.; Tong, X.; Iqbal, M.K.; Rehman, M.U.; Iqbal, M.; Waqas, M.; Qamar, H. Ligustrazine recovers thiram-induced tibial dyschondroplasia in chickens: Involvement of new molecules modulating integrin beta 3. Ecotoxicol. Environ. Saf. 2019, 168, 205–211. [Google Scholar] [CrossRef] [PubMed]
- Mehmood, K.; Zhang, H.; Li, K.; Wang, L.; Rehman, M.U.; Nabi, F.; Iqbal, M.K.; Luo, H.; Shahzad, M.; Li, J. Effect of tetramethylpyrazine on tibial dyschondroplasia incidence, tibial angiogenesis, performance and characteristics via HIF-1α/VEGF signaling pathway in chickens. Sci. Rep. 2018, 8, 2495. [Google Scholar] [CrossRef]
- Iqbal, M.; Zhang, H.; Mehmood, K.; Li, A.; Jiang, X.; Wang, Y.; Zhang, J.; Iqbal, M.K.; Rehman, M.U.; Yao, W. Icariin: A potential Compound for the Recovery of Tibial Dyschondroplasia Affected Chicken Via Up-Regulating BMP-2 Expression. Biol. Proced. Online 2018, 20, 15. [Google Scholar] [CrossRef]
- Livak, K.J.; Schmittgen, T.D. Analysis of relative gene expression data using real-time quantitative PCR and the 2−ΔΔCT method. Methods 2001, 25, 402–408. [Google Scholar] [CrossRef]
- Herzog, A.; Genin, O.; Hasdai, A.; Shinder, D.; Pines, M. Hsp90 and angiogenesis in bone disorders-lessons from the avian growth plate. Am. J. Physiol.-Heart Circ. Physiol. 2011, 301, 140–147. [Google Scholar] [CrossRef] [PubMed]
- Schiele, F.; Vincent-Viry, M.; Fournier, B.; Starck, M.; Siest, G. Biological effects of eleven combined oral contraceptives on serum triglycerides, γ-glutamyltransferase, alkaline phosphatase, bilirubin and other biochemical variables. Clin. Chem. Lab. Med. 1998, 36, 871–878. [Google Scholar] [CrossRef] [PubMed]
- Ozer, J.; Ratner, M.; Shaw, M.; Bailey, W.; Schomaker, S. The current state of serum biomarkers of hepatotoxicity. Toxicology 2008, 245, 194–205. [Google Scholar] [CrossRef] [PubMed]
- Marchesini, G.; Moscatiello, S.; Di Domizio, S.; Forlani, G. Obesity-associated liver disease. J. Clin. Endocrinol. Metab. 2008, 93, s74–s80. [Google Scholar] [CrossRef] [PubMed]
- Iqbal, M.K.; Nabi, F.; Mehmood, K.; Rehman, M.U.; Huang, S.; Zhang, H.; Zhang, L.; Ahmad, H.I.; Iqbal, M.; Li, J. Healing of Growth Plate Cartilage by Hypoxia Inducible Factor-1a Inhibitor Apigenin on Thiram Induced Tibial Dyschondroplasia. Pak. Vet. J. 2018, 38, 143–148. [Google Scholar] [CrossRef]
- Liu, Y.-W.; Chiu, Y.-T.; Fu, S.-L.; Huang, Y.-T. Osthole ameliorates hepatic fibrosis and inhibits hepatic stellate cell activation. J. Biomed. Sci. 2015, 22, 63. [Google Scholar] [CrossRef]
- Yu, H.-P.; Liu, F.-C.; Tsai, Y.-F.; Hwang, T.-L. Osthole attenuates hepatic injury in a rodent model of trauma-hemorrhage. PLoS ONE 2013, 8, e65916. [Google Scholar] [CrossRef]
- Sies, H. Oxidative stress: Oxidants and antioxidants. Exp. Physiol. 1997, 82, 291–295. [Google Scholar] [CrossRef]
- Ahmad, M.S.; Ali, S.; Ali, A.; Chaubey, K. Epidemiological and etiological study of oral submucous fibrosis among gutkha chewers of Patna, Bihar, India. J. Indian Soc. Pedod. Prev. Dent. 2006, 24, 84. [Google Scholar] [CrossRef]
- Dubey, S.; Shah, S. Effect of Ocimum Sanctum (Tulsi) on Histology of Liver and Kidney of Albino Rat. Plant Arch. 2018, 18, 1416–1420. [Google Scholar]
- Cesaratto, L.; Vascotto, C.; Calligaris, S.; Tell, G. The importance of redox state in liver damage. Ann. Hepatol. 2004, 3, 86–92. [Google Scholar] [CrossRef]
- Younus, H. Therapeutic potentials of superoxide dismutase. Int. J. Health Sci. 2018, 12, 88. [Google Scholar]
- Yasui, K.; Baba, A. Therapeutic potential of superoxide dismutase (SOD) for resolution of inflammation. Inflamm. Res. 2006, 55, 359–363. [Google Scholar] [CrossRef] [PubMed]
- Uikey, A.; Hazarey, V.; Vaidhya, S. Estimation of serum antioxidant enzymes superoxide dismutase and glutathione peroxidase in oral submucous fibrosis: A biochemical study. J. Oral Maxillofac. Pathol. 2003, 7, 44. [Google Scholar]
- Rubio, C.P.; Hernández-Ruiz, J.; Martinez-Subiela, S.; Tvarijonaviciute, A.; Ceron, J.J. Spectrophotometric assays for total antioxidant capacity (TAC) in dog serum: An update. BMC Vet. Res. 2016, 12, 166. [Google Scholar] [CrossRef] [PubMed]
- Marikovsky, M. Thiram inhibits angiogenesis and slows the development of experimental tumours in mice. Br. J. Cancer 2002, 86, 779. [Google Scholar] [CrossRef] [PubMed]
- Nabi, F.; Zhang, H.; Iqbal, M.K.; ur Rehman, M.; Shahzad, M.; Mehmood, K.; Li, J. Salvia Miltiorrhiza Reinstates Growth Plate Width, Reduces Liver Oxidative Stress and Toxicity in Avian Tibial Dyschondroplasia. Pak. J. Zool. 2018, 50, 1–4. [Google Scholar] [CrossRef]
- Perry, J.; Shin, D.; Getzoff, E.; Tainer, J. The structural biochemistry of the superoxide dismutases. Biochim. Et Biophys. Acta (BBA)-Proteins Proteom. 2010, 1804, 245–262. [Google Scholar] [CrossRef]
- Slatter, D.; Bolton, C.; Bailey, A. The importance of lipid-derived malondialdehyde in diabetes mellitus. Diabetologia 2000, 43, 550–557. [Google Scholar] [CrossRef]
- Gaweł, S.; Wardas, M.; Niedworok, E.; Wardas, P. Malondialdehyde (MDA) as a lipid peroxidation marker. Wiad. Lek. 2004, 57, 453–455. [Google Scholar]
- Basnet, P.; Yasuda, I.; Kumagai, N.; Tohda, C.; Nojima, H.; Kuraishi, Y.; Komatsu, K. Inhibition of itch-scratch response by fruits of Cnidium monnieri in mice. Biol. Pharm. Bull. 2001, 24, 1012–1015. [Google Scholar] [CrossRef] [PubMed]
- Niu, S.; Wang, C.; Jia, F.; Jahejo, A.; Li, X.; Ning, G.; Zhang, D.; Ma, H.; Hao, W.; Gao, W. The expression of prostaglandins-related genes in erythrocytes of broiler chicken responds to thiram-induced tibial dyschondroplasia and recombinant glutathione-S-transferase A3 protein. Res. Vet. Sci. 2019, 124, 112–117. [Google Scholar] [CrossRef] [PubMed]
- Wang, P.; Ying, J.; Luo, C.; Jin, X.; Zhang, S.; Xu, T.; Zhang, L.; Mi, M.; Chen, D.; Tong, P. Osthole promotes bone fracture healing through activation of BMP signaling in chondrocytes. Int. J. Biol. Sci. 2017, 13, 996. [Google Scholar] [CrossRef] [PubMed]
- Tang, D.Z.; Hou, W.; Zhou, Q.; Zhang, M.; Holz, J.; Sheu, T.J.; Li, T.F.; Cheng, S.D.; Shi, Q.; Harris, S.E. Osthole stimulates osteoblast differentiation and bone formation by activation of β-catenin–BMP signaling. J. Bone Miner. Res. 2010, 25, 1234–1245. [Google Scholar] [CrossRef] [PubMed]
- Du, G.; Song, Y.; Wei, L.; Li, L.; Wang, X.; Xu, Q.; Zhan, H.; Cao, Y.; Zheng, Y.; Ding, D. Osthole inhibits proliferation and induces catabolism in rat chondrocytes and cartilage tissue. Cell. Physiol. Biochem. 2015, 36, 2480–2493. [Google Scholar] [CrossRef] [PubMed]











| Genes | Accession Number | Primer Sequences (5′–3′) | Product Size (bp) |
|---|---|---|---|
| BMP-2 | XM_015283435.1 | F: 5′-TCAGCTCAGGCCGTTGTTAG-3′ R: 5′-ACCCCACGTCATTGAAGTCC-3′ | 185 |
| RUNX-2 | AF_445419 | F: 5′-TAAAGGTGACGGTGGATGG-3′ R: 5′-TGTGGATTAAAAGGACTTGGTG-3′ | 190 |
| GAPDH | NM_204305.1 | F: 5′-GCCCAGAACATCATCCCA-3′ R: 5′-CGGCAGGTCAGGTCAACA-3′ | 137 |
| Days | Control (n = 80) | TD (n = 80) | Osthole (n = 80) |
|---|---|---|---|
| 1–7 | 2 | 9 | 7 |
| 8–10 | 2 | 5 | 2 |
| 11–14 | 1 | 1 | 0 |
| 15–18 | 0 | 1 | 1 |
| Total dead birds | 5 | 16 | 10 |
© 2019 by the authors. Licensee MDPI, Basel, Switzerland. This article is an open access article distributed under the terms and conditions of the Creative Commons Attribution (CC BY) license (http://creativecommons.org/licenses/by/4.0/).
Share and Cite
Waqas, M.; Wang, Y.; Li, A.; Qamar, H.; Yao, W.; Tong, X.; Zhang, J.; Iqbal, M.; Mehmood, K.; Li, J. Osthole: A Coumarin Derivative Assuage Thiram-Induced Tibial Dyschondroplasia by Regulating BMP-2 and RUNX-2 Expressions in Chickens. Antioxidants 2019, 8, 330. https://doi.org/10.3390/antiox8090330
Waqas M, Wang Y, Li A, Qamar H, Yao W, Tong X, Zhang J, Iqbal M, Mehmood K, Li J. Osthole: A Coumarin Derivative Assuage Thiram-Induced Tibial Dyschondroplasia by Regulating BMP-2 and RUNX-2 Expressions in Chickens. Antioxidants. 2019; 8(9):330. https://doi.org/10.3390/antiox8090330
Chicago/Turabian StyleWaqas, Muhammad, Yaping Wang, Aoyun Li, Hammad Qamar, Wangyuan Yao, Xiaole Tong, Jialu Zhang, Mudassar Iqbal, Khalid Mehmood, and Jiakui Li. 2019. "Osthole: A Coumarin Derivative Assuage Thiram-Induced Tibial Dyschondroplasia by Regulating BMP-2 and RUNX-2 Expressions in Chickens" Antioxidants 8, no. 9: 330. https://doi.org/10.3390/antiox8090330
APA StyleWaqas, M., Wang, Y., Li, A., Qamar, H., Yao, W., Tong, X., Zhang, J., Iqbal, M., Mehmood, K., & Li, J. (2019). Osthole: A Coumarin Derivative Assuage Thiram-Induced Tibial Dyschondroplasia by Regulating BMP-2 and RUNX-2 Expressions in Chickens. Antioxidants, 8(9), 330. https://doi.org/10.3390/antiox8090330

