Oxidative Stress in a Mother Consuming Alcohol during Pregnancy and in Her Newborn: A Case Report
Abstract
1. Introduction
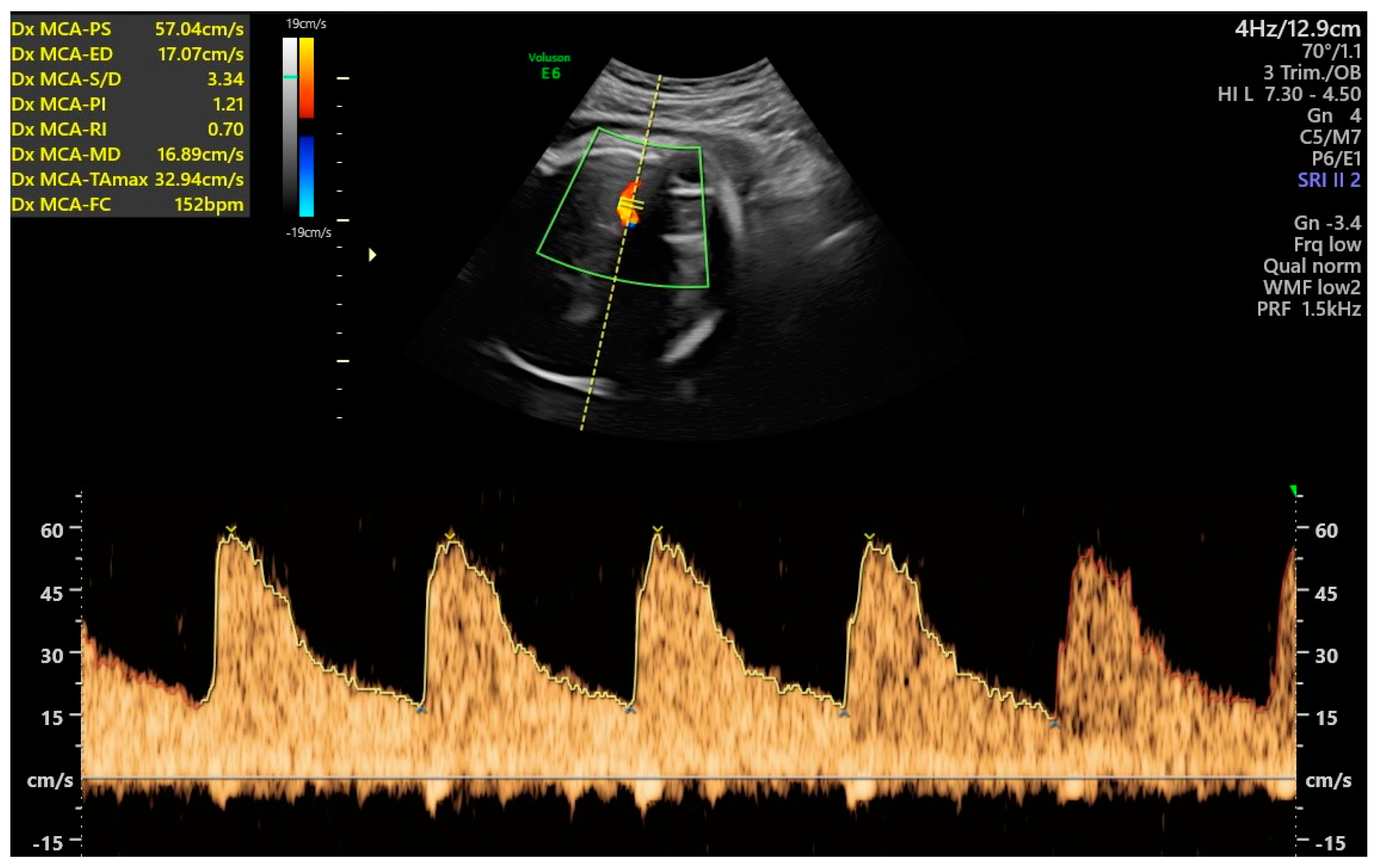
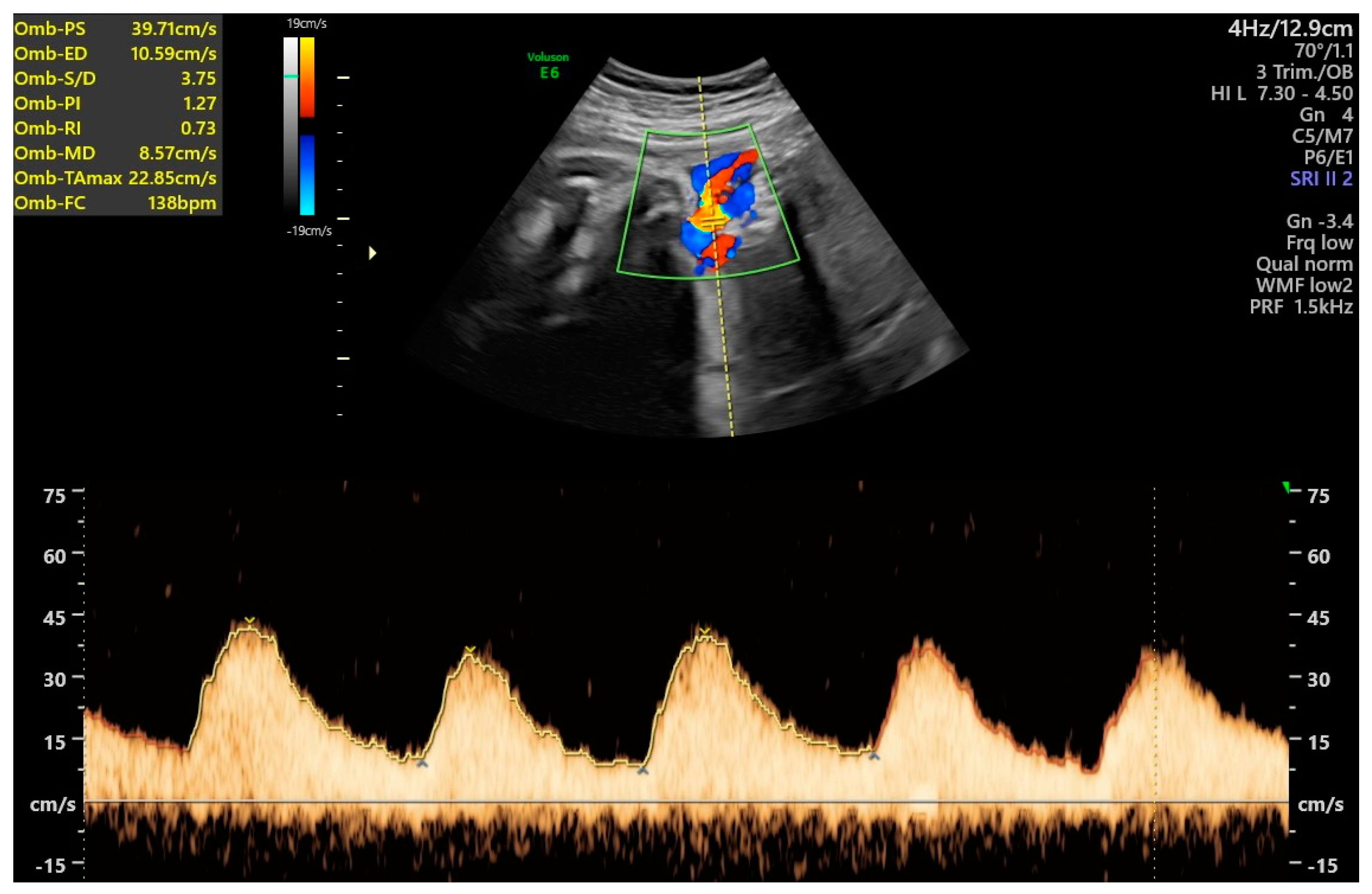
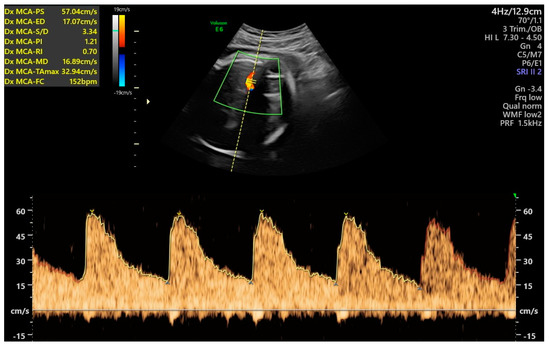
2. Case Report
3. Experimental Methods and Results
3.1. FORT (Free Oxygen Radicals Test) Investigation
3.2. Maternal Hair EtG, Nicotine/Cotinine, and Cocaine Analyses
3.3. EtG Determination in Maternal Urine Sample
3.4. EtG Determination in Neonatal Meconium
4. Discussion
5. Conclusions
Author Contributions
Funding
Institutional Review Board Statement
Informed Consent Statement
Data Availability Statement
Acknowledgments
Conflicts of Interest
References
- Chudley, A.E.; Conry, J.; Cook, J.L.; Loock, C.; Rosales, T.; LeBlanc, N. Fetal alcohol spectrum disorder: Canadian guidelines for diagnosis. CMAJ 2005, 172, S1–S21. [Google Scholar] [CrossRef] [PubMed]
- Manning, M.A.; Eugene Hoyme, H. Fetal alcohol spectrum disorders: A practical clinical approach to diagnosis. Neurosci. Biobehav. Rev. 2007, 31, 230–238. [Google Scholar] [CrossRef] [PubMed]
- Walker, D.S.; Edwards, W.E.R.; Herrington, C. Fetal alcohol spectrum disorders: Prevention, identification, and intervention. Nurse Pract. 2016, 41, 28–34. [Google Scholar] [CrossRef] [PubMed]
- Brems, C.; Johnson, M.E.; Metzger, J.S.; Dewane, S.L. College students’ knowledge about Fetal Alcohol Spectrum Disorder. J. Popul. Ther. Clin. Pharmacol. 2014, 21, e159–e166. [Google Scholar]
- Lange, S.; Probst, C.; Gmel, G.; Rehm, J.; Burd, L.; Popova, S. Global prevalence of fetal alcohol spectrum disorder among children and youth: A systematic review and meta-analysis. JAMA Pediatr. 2017, 171, 948–956. [Google Scholar] [CrossRef]
- Hoyme, H.E.; Kalberg, W.O.; Elliott, A.J.; Blankenship, J.; Buckley, D.; Marais, A.S.; Manning, M.A.; Robinson, L.K.; Adam, M.P.; Abdul-Rahman, O.; et al. Updated clinical guidelines for diagnosing fetal alcohol spectrum disorders. Pediatrics 2016, 138, e20154256. [Google Scholar] [CrossRef]
- Gupta, K.K.; Gupta, V.K.; Shirasaka, T. An Update on Fetal Alcohol Syndrome—Pathogenesis, Risks, and Treatment. Alcohol. Clin. Exp. Res. 2016, 40, 1594–1602. [Google Scholar] [CrossRef]
- Burd, L.; Blair, J.; Dropps, K. Prenatal alcohol exposure, blood alcohol concentrations and alcohol elimination rates for the mother, fetus and newborn. J. Perinatol. 2012, 32, 652–659. [Google Scholar] [CrossRef]
- Guerri, C.; Sanchis, R. Acetaldehyde and alcohol levels in pregnant rats and their fetuses. Alcohol 1985, 2, 267–270. [Google Scholar] [CrossRef]
- Tanaka, H.; Suzuki, N.; Arima, M. Experimental studies on the influence of male alcoholism on fetal development. Brain Dev. 1982, 4, 1–6. [Google Scholar] [CrossRef]
- Pikkarainen, P.H. Metabolism of ethanol and acetaldehyde in perfused human fetal liver. Life Sci. 1971, 10, 1359–1364. [Google Scholar] [CrossRef]
- Kaufman, M.H. The teratogenic effects of alcohol following exposure during pregnancy, and its influence on the chromosome constitution of the pre-ovulatory egg. Alcohol Alcohol. 1997, 32, 113–128. [Google Scholar] [CrossRef] [PubMed]
- Micangeli, G.; Menghi, M.; Profeta, G.; Tarani, F.; Mariani, A.; Petrella, C.; Barbato, C.; Ferraguti, G.; Ceccanti, M.; Tarani, L.; et al. The Impact of Oxidative Stress on Pediatrics Syndromes. Antioxidants 2022, 11, 1983. [Google Scholar] [CrossRef] [PubMed]
- Fiore, M.; Petrella, C.; Coriale, G.; Rosso, P.; Fico, E.; Ralli, M.; Greco, A.; De Vincentiis, M.; Minni, A.; Polimeni, A.; et al. Markers of Neuroinflammation in the Serum of Prepubertal Children with Fetal Alcohol Spectrum Disorders. CNS Neurol. Disord.-Drug Targets 2022, 21, 854–868. [Google Scholar] [CrossRef] [PubMed]
- Rahman, I.; Biswas, S.K.; Kode, A. Oxidant and antioxidant balance in the airways and airway diseases. Eur. J. Pharmacol. 2006, 533, 222–239. [Google Scholar] [CrossRef] [PubMed]
- Cartwright, M.M.; Smith, S.M. Stage-Dependent Effects of Ethanol on Cranial Neural Crest Cell Development: Partial Basis for the Phenotypic Variations Observed in Fetal Alcohol Syndrome. Alcohol. Clin. Exp. Res. 1995, 19, 1454–1462. [Google Scholar] [CrossRef] [PubMed]
- Sari, Y.; Zhou, F.C. Prenatal alcohol exposure causes long-term serotonin neuron deficit in mice. Alcohol. Clin. Exp. Res. 2004, 28, 941–948. [Google Scholar] [CrossRef]
- May, P.A.; Baete, A.; Russo, J.; Elliott, A.J.; Blankenship, J.; Kalberg, W.O.; Buckley, D.; Brooks, M.; Hasken, J.; Abdul-Rahman, O.; et al. Prevalence and Characteristics of Fetal Alcohol Spectrum Disorders. Pediatrics 2014, 134, 855–866. [Google Scholar] [CrossRef]
- Rasmussen, C.; Horne, K.; Witol, A. Neurobehavioral functioning in children with fetal alcohol spectrum disorder. Child Neuropsychol. 2006, 12, 453–468. [Google Scholar] [CrossRef]
- Coriale, G.; Fiorentino, D.; Lauro, F.D.I.; Marchitelli, R.; Scalese, B.; Fiore, M.; Maviglia, M.; Ceccanti, M. Fetal Alcohol Spectrum Disorder (FASD): Neurobehavioral profile, indications for diagnosis and treatment. Rivista di Psichiatria 2013, 48, 359–369. [Google Scholar] [CrossRef]
- Williams, J.F.; Smith, V.C. Fetal Alcohol Spectrum Disorders. Pediatrics 2015, 136, e1395–e1406. [Google Scholar] [CrossRef] [PubMed]
- Murawski, N.J.; Moore, E.M.; Thomas, J.D.; Riley, E.P. Advances in diagnosis and treatment of fetal alcohol spectrum disorders: From animal models to human studies. Alcohol Res. Curr. Rev. 2015, 37, 97–108. [Google Scholar]
- Zhang, S.; Wang, L.; Yang, T.; Chen, L.; Zhao, L.; Wang, T.; Chen, L.; Ye, Z.; Zheng, Z.; Qin, J. Parental alcohol consumption and the risk of congenital heart diseases in offspring: An updated systematic review and meta-analysis. Eur. J. Prev. Cardiol. 2020, 27, 410–421. [Google Scholar] [CrossRef] [PubMed]
- Terracina, S.; Ferraguti, G.; Tarani, L.; Messina, M.P.; Lucarelli, M.; Vitali, M.; De Persis, S.; Greco, A.; Minni, A.; Polimeni, A.; et al. Transgenerational Abnormalities Induced by Paternal Preconceptual Alcohol Drinking. Findings from Humans and Animal Models. Curr. Neuropharmacol. 2021, 19, 1158–1173. [Google Scholar] [CrossRef] [PubMed]
- Yang, J.; Qiu, H.; Qu, P.; Zhang, R.; Zeng, L.; Yan, H. Prenatal alcohol exposure and congenital heart defects: A meta-analysis. PLoS ONE 2015, 10, e0130681. [Google Scholar] [CrossRef] [PubMed]
- Wilhoit, L.F.; Scott, D.A.; Simecka, B.A. Fetal Alcohol Spectrum Disorders: Characteristics, Complications, and Treatment. Community Ment. Health J. 2017, 53, 711–718. [Google Scholar] [CrossRef] [PubMed]
- Ojeda, M.L.; Nogales, F.; Romero-Herrera, I.; Carreras, O. Fetal programming is deeply related to maternal selenium status and oxidative balance; experimental offspring health repercussions. Nutrients 2021, 13, 2085. [Google Scholar] [CrossRef]
- Himmelreich, M.; Lutke, C.J.; Hargrove, E.T. The lay of the land: Fetal alcohol spectrum disorder (FASD) as a whole-body diagnosis. In The Routledge Handbook of Social Work and Addictive Behaviors; Routledge: Oxfordshire, UK, 2020; pp. 191–215. ISBN 9780429203121. [Google Scholar]
- Panda, S.; Jayalakshmi, M.; Shashi Kumari, G.; Mahalakshmi, G.; Srujan, Y.; Anusha, V. Oligoamnios and Perinatal Outcome. J. Obstet. Gynecol. India 2017, 67, 104–108. [Google Scholar] [CrossRef]
- Yang, M.; Zhou, X.; Tan, X.; Huang, X.; Yuan, L.; Zhang, Z.; Yang, Y.; Xu, M.; Wan, Y.; Li, Z. The Status of Oxidative Stress in Patients with Alcohol Dependence: A Meta-Analysis. Antioxidants 2022, 11, 1919. [Google Scholar] [CrossRef]
- McDonough, K.H. The role of alcohol in the oxidant antioxidant balance in heart. Front. Biosci. 1999, 4, d601. [Google Scholar] [CrossRef]
- Roberts, D.; Dalziel, S. Antenatal corticosteroids for accelerating fetal lung maturation for women at risk of preterm birth. Cochrane Database Syst. Rev. 2006, 3, CD004454. [Google Scholar] [CrossRef]
- Lees, C.; Marlow, N.; Arabin, B.; Bilardo, C.M.; Brezinka, C.; Derks, J.B.; Duvekot, J.; Frusca, T.; Diemert, A.; Ferrazzi, E.; et al. Perinatal morbidity and mortality in early-onset fetal growth restriction: Cohort outcomes of the trial of randomized umbilical and fetal flow in Europe (TRUFFLE). Ultrasound Obstet. Gynecol. 2013, 42, 400–408. [Google Scholar] [CrossRef] [PubMed]
- Palmieri, B.; Sblendorio, V. Oxidative stress tests: Overview on reliability and use. Part II. Eur. Rev. Med. Pharmacol. Sci. 2007, 11, 383–399. [Google Scholar] [PubMed]
- Lopatynska-mazurek, M.; Komsta, L.; Gibula-tarlowska, E.; Kotlinska, J.H. Aversive learning deficits and depressive-like behaviors are accompanied by an increase in oxidative stress in a rat model of fetal alcohol spectrum disorders: The protective effect of rapamycin. Int. J. Mol. Sci. 2021, 22, 7083. [Google Scholar] [CrossRef] [PubMed]
- Petrella, C.; Carito, V.; Carere, C.; Ferraguti, G.; Ciafrè, S.; Natella, F.; Bello, C.; Greco, A.; Ralli, M.; Mancinelli, R.; et al. Oxidative stress inhibition by resveratrol in alcohol-dependent mice. Nutrition 2020, 79–80, 110783. [Google Scholar] [CrossRef]
- Mattia, A.; Moschella, C.; David, M.C.; Fiore, M.; Gariglio, S.; Salomone, A.; Vincenti, M. Development and Validation of a GC-EI-MS/MS Method for Ethyl Glucuronide Quantification in Human Hair. Front. Chem. 2022, 10, 858205. [Google Scholar] [CrossRef]
- Ferraguti, G.; Merlino, L.; Battagliese, G.; Piccioni, M.G.; Barbaro, G.; Carito, V.; Messina, M.P.; Scalese, B.; Coriale, G.; Fiore, M.; et al. Fetus morphology changes by second-trimester ultrasound in pregnant women drinking alcohol. Addict. Biol. 2020, 25, e12724. [Google Scholar] [CrossRef]
- Ceci, F.M.; Fiore, M.; Agostinelli, E.; Tahara, T.; Greco, A.; Ralli, M.; Polimeni, A.; Lucarelli, M.; Colletti, R.; Angeloni, A.; et al. Urinary Ethyl Glucuronide for the Assessment of Alcohol Consumption During Pregnancy: Comparison between Biochemical Data and Screening Questionnaires. Curr. Med. Chem. 2021, 29, 3125–3141. [Google Scholar] [CrossRef]
- La Maida, N.; Di Trana, A.; Mannocchi, G.; Zaami, S.; Busardò, F.P. Sensitive and reliable gas chromatography tandem mass spectrometry assay for ethyl glucuronide in neonatal meconium. J. Pharm. Biomed. Anal. 2019, 175, 112743. [Google Scholar] [CrossRef]
- American Academy of Forensic Science. Standard Practices for Method Validation in Forensic Toxicology. Available online: https://www.aafs.org/asb-standard/standard-practices-method-validation-forensic-toxicology (accessed on 23 May 2023).
- La Maida, N.; Di Giorgi, A.; Pellegrini, M.; Ceccanti, M.; Caruso, S.; Ricci, G.; Neri, I.; Lana, S.; Minutillo, A.; Berretta, P.; et al. Reduced prevalence of fetal exposure to alcohol in Italy: A nationwide survey. Am. J. Obstet. Gynecol. MFM 2023, 5, 100944. [Google Scholar] [CrossRef]
- Murillo-Fuentes, M.L.; Artillo, R.; Ojeda, M.L.; Delgado, M.J.; Murillo, M.L.; Carreras, O. Effects of prenatal or postnatal ethanol consumption on zinc intestinal absorption and excretion in rats. Alcohol Alcohol. 2007, 42, 3–10. [Google Scholar] [CrossRef] [PubMed]
- Zaichkin, J.; Houston, R.F. The drug-exposed mother and infant: A regional center experience. Neonatal Netw. 1993, 12, 41–49. [Google Scholar] [PubMed]
- Jacobson, J.L.; Jacobson, S.W.; Sokol, R.J.; Martier, S.S.; Ager, J.W.; Shankaran, S. Effects of alcohol use, smoking, and illicit drug use on fetal growth in black infants. J. Pediatr. 1994, 124, 757–764. [Google Scholar] [CrossRef] [PubMed]
- Knight, E.M.; James, H.; Edwards, C.H.; Spurlock, B.G.; Oyemade, U.J.; Johnson, A.A.; West, W.L.; Cole, O.J.; Westney, L.S.; Westney, O.E.; et al. Relationships of serum illicit drug concentrations during pregnancy to maternal nutritional status. J. Nutr. 1994, 124, 973S–980S. [Google Scholar] [CrossRef] [PubMed]
- Harsham, J.; Keller, J.H.; Disbrow, D. Growth patterns of infants exposed to cocaine and other drugs in utero. J. Am. Diet. Assoc. 1994, 94, 999–1007. [Google Scholar] [CrossRef] [PubMed]
- Mahony, D.L.; Murphy, J.M. Neonatal drug exposure: Assessing a specific population and services provided by visiting nurses. Pediatr. Nurs. 1999, 25, 27–34, 108. [Google Scholar]
- Saha, P.S.; Knecht, T.M.; Arrick, D.M.; Watt, M.J.; Scholl, J.L.; Mayhan, W.G. Prenatal exposure to alcohol impairs responses of cerebral arterioles to activation of potassium channels: Role of oxidative stress. Alcohol. Clin. Exp. Res. 2023, 47, 87–94. [Google Scholar] [CrossRef]
- Chang, G. Reducing Prenatal Alcohol Exposure and the Incidence of FASD: Is the Past Prologue? Alcohol Res. 2023, 43, 2. [Google Scholar] [CrossRef]
- Glass, L.; Moore, E.M.; Mattson, S.N. Current considerations for fetal alcohol spectrum disorders: Identification to intervention. Curr. Opin. Psychiatry 2023, 36, 249–256. [Google Scholar] [CrossRef]
- Basavarajappa, B.S. Epigenetics in fetal alcohol spectrum disorder. Prog. Mol. Biol. Transl. Sci. 2023, 197, 211–239. [Google Scholar] [CrossRef]
- Popova, S.; Dozet, D.; Shield, K.; Rehm, J.; Burd, L. Alcohol’s impact on the fetus. Nutrients 2021, 13, 3452. [Google Scholar] [CrossRef] [PubMed]
- Nutt, D.; Hayes, A.; Fonville, L.; Zafar, R.; Palmer, E.O.C.; Paterson, L.; Lingford-Hughes, A. Alcohol and the brain. Nutrients 2021, 13, 3938. [Google Scholar] [CrossRef] [PubMed]
- McCormack, J.C.; Chu, J.T.W.; Marsh, S.; Bullen, C. Knowledge, attitudes, and practices of fetal alcohol spectrum disorder in health, justice, and education professionals: A systematic review. Res. Dev. Disabil. 2022, 131, 104354. [Google Scholar] [CrossRef] [PubMed]
- Popova, S.; Charness, M.E.; Burd, L.; Crawford, A.; Hoyme, H.E.; Mukherjee, R.A.S.; Riley, E.P.; Elliott, E.J. Fetal alcohol spectrum disorders. Nat. Rev. Dis. Prim. 2023, 9, 11. [Google Scholar] [CrossRef]
- Bastons-Compta, A.; Astals, M.; Andreu-Fernandez, V.; Navarro-Tapia, E.; Garcia-Algar, O. Postnatal nutritional treatment of neurocognitive deficits in fetal alcohol spectrum disorder. Biochem. Cell Biol. 2018, 96, 213–221. [Google Scholar] [CrossRef]
- Petrelli, B.; Bendelac, L.; Hicks, G.G.; Fainsod, A. Insights into retinoic acid deficiency and the induction of craniofacial malformations and microcephaly in fetal alcohol spectrum disorder. Genesis 2019, 57, e23278. [Google Scholar] [CrossRef]
- Siqueira, M.; Stipursky, J. Blood brain barrier as an interface for alcohol induced neurotoxicity during development. Neurotoxicology 2022, 90, 145–157. [Google Scholar] [CrossRef]
- del Campo, M.; Jones, K.L. A review of the physical features of the fetal alcohol spectrum disorders. Eur. J. Med. Genet. 2017, 60, 55–64. [Google Scholar] [CrossRef]
- Kurose, I.; Higuchi, H.; Kato, S.; Miura, S.; Ishii, H. Ethanol-induced oxidative stress in the liver. Alcohol. Clin. Exp. Res. 1996, 20, 77A–85A. [Google Scholar] [CrossRef]
- Bukiya, A.N. Fetal cerebral artery mitochondrion as target of prenatal alcohol exposure. Int. J. Environ. Res. Public Health 2019, 16, 1586. [Google Scholar] [CrossRef]
- Xi, Q.; Cheranov, S.Y.; Jaggar, J.H. Mitochondria-derived reactive oxygen species dilate cerebral arteries by activating Ca2+ sparks. Circ. Res. 2005, 97, 354–362. [Google Scholar] [CrossRef] [PubMed]
- Carvalho, C.; Moreira, P.I. Oxidative stress: A major player in cerebrovascular alterations associated to neurodegenerative events. Front. Physiol. 2018, 9, 806. [Google Scholar] [CrossRef]
- Ciafrè, S.; Ferraguti, G.; Greco, A.; Polimeni, A.; Ralli, M.; Ceci, F.M.; Ceccanti, M.; Fiore, M. Alcohol as an early life stressor: Epigenetics, metabolic, neuroendocrine and neurobehavioral implications. Neurosci. Biobehav. Rev. 2020, 118, 654–668. [Google Scholar] [CrossRef] [PubMed]
- Carito, V.; Ceccanti, M.; Ferraguti, G.; Coccurello, R.; Ciafrè, S.; Tirassa, P.; Fiore, M. NGF and BDNF Alterations by Prenatal Alcohol Exposure. Curr. Neuropharmacol. 2019, 17, 308–317. [Google Scholar] [CrossRef] [PubMed]
- Boschen, K.E.; Klintsova, A.Y. Neurotrophins in the Brain: Interaction With Alcohol Exposure During Development. Vitam. Horm. 2017, 104, 197–242. [Google Scholar] [CrossRef] [PubMed]
- D’Angelo, A.; Ceccanti, M.; Petrella, C.; Greco, A.; Tirassa, P.; Rosso, P.; Ralli, M.; Ferraguti, G.; Fiore, M.; Messina, M.P. Role of neurotrophins in pregnancy, delivery and postpartum. Eur. J. Obstet. Gynecol. Reprod. Biol. 2020, 247, 32–41. [Google Scholar] [CrossRef]


Disclaimer/Publisher’s Note: The statements, opinions and data contained in all publications are solely those of the individual author(s) and contributor(s) and not of MDPI and/or the editor(s). MDPI and/or the editor(s) disclaim responsibility for any injury to people or property resulting from any ideas, methods, instructions or products referred to in the content. |
© 2023 by the authors. Licensee MDPI, Basel, Switzerland. This article is an open access article distributed under the terms and conditions of the Creative Commons Attribution (CC BY) license (https://creativecommons.org/licenses/by/4.0/).
Share and Cite
Derme, M.; Piccioni, M.G.; Brunelli, R.; Crognale, A.; Denotti, M.; Ciolli, P.; Scomparin, D.; Tarani, L.; Paparella, R.; Terrin, G.; et al. Oxidative Stress in a Mother Consuming Alcohol during Pregnancy and in Her Newborn: A Case Report. Antioxidants 2023, 12, 1216. https://doi.org/10.3390/antiox12061216
Derme M, Piccioni MG, Brunelli R, Crognale A, Denotti M, Ciolli P, Scomparin D, Tarani L, Paparella R, Terrin G, et al. Oxidative Stress in a Mother Consuming Alcohol during Pregnancy and in Her Newborn: A Case Report. Antioxidants. 2023; 12(6):1216. https://doi.org/10.3390/antiox12061216
Chicago/Turabian StyleDerme, Martina, Maria Grazia Piccioni, Roberto Brunelli, Alba Crognale, Marika Denotti, Paola Ciolli, Debora Scomparin, Luigi Tarani, Roberto Paparella, Gianluca Terrin, and et al. 2023. "Oxidative Stress in a Mother Consuming Alcohol during Pregnancy and in Her Newborn: A Case Report" Antioxidants 12, no. 6: 1216. https://doi.org/10.3390/antiox12061216
APA StyleDerme, M., Piccioni, M. G., Brunelli, R., Crognale, A., Denotti, M., Ciolli, P., Scomparin, D., Tarani, L., Paparella, R., Terrin, G., Di Chiara, M., Mattia, A., Nicotera, S., Salomone, A., Ceccanti, M., Messina, M. P., Maida, N. L., Ferraguti, G., Petrella, C., & Fiore, M. (2023). Oxidative Stress in a Mother Consuming Alcohol during Pregnancy and in Her Newborn: A Case Report. Antioxidants, 12(6), 1216. https://doi.org/10.3390/antiox12061216

