Therapeutic Potential of Peucedanum japonicum Thunb. and Its Active Components in a Delayed Corneal Wound Healing Model Following Blue Light Irradiation-Induced Oxidative Stress
Abstract
1. Introduction
2. Materials and Methods
2.1. Blue Light Irradiation Device
2.2. Sample Preparation and High-Performance Liquid Chromatography (HPLC) Analysis
2.3. Human Corneal Epithelial Cell (HCEC) Culture
2.4. Scratch Wound Healing Assay
2.5. Cell Viability
2.6. ROS Assay
2.7. Real-Time Polymerase Chain Reaction (PCR)
2.8. Experimental Animals
2.9. Pharmacokinetic Analysis of PJE
2.10. Evaluation of the Acute Toxicity Induced by a Single Oral Dose of PJE
2.11. Animal Grouping and Dosing
2.12. Statistical Analysis
3. Results
3.1. HPLC Analysis of PJE
3.2. PJE Improved the Migration Activity of and ROS Production in HCECs during Blue Light Irradiation
3.3. Pharmacokinetic Analysis of PJE in Rat Plasma and Acute Toxicity Study
3.4. PJE Enhanced Wound Healing and Tear Secretion in Model Rats with Delayed Corneal Wound Healing Induced by Blue Light Irradiation
3.5. Effects of PJE on Corneal Histological Changes
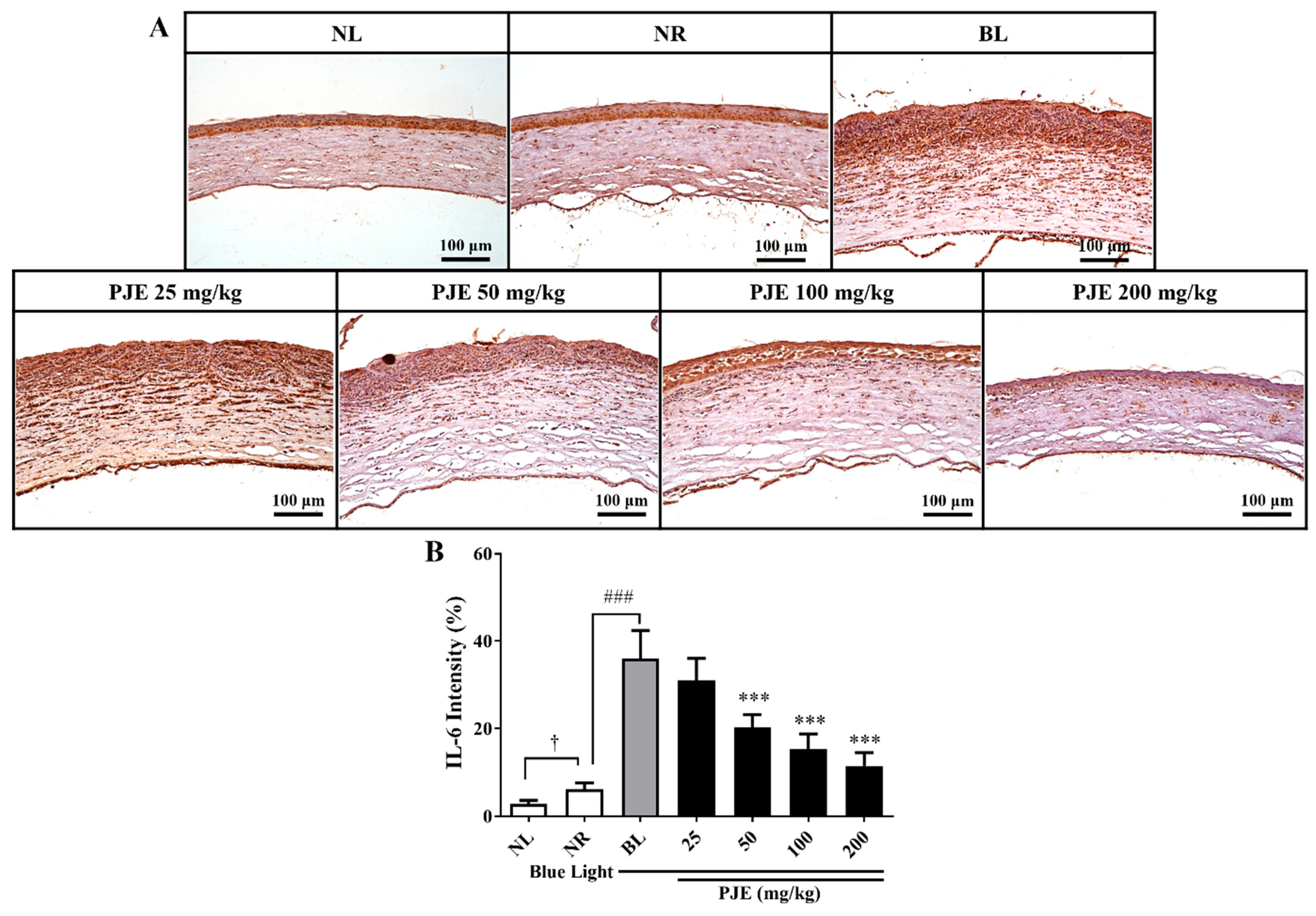
3.6. PJE Inhibited Corneal IL-6 Expression Induced by Blue Light
3.7. PJE Inhibited Corneal Apoptosis Induced by Blue Light
3.8. PJE Solvent Fractionation and the Effects of the Fractions on HCEC Wound Healing under Blue Light Irradiation
3.9. Fractionation of the PJE Water (PJE/W) Fraction by Open Column Chromatography
3.10. Effects of the Major Components of PJE on HCEC Wound Healing and ROS Production under Blue Light Irradiation
3.11. Effects of PJE Extract and Its Major Compounds on the mRNA Expression of Antioxidant Genes in HCECs under Blue Light Irradiation
4. Discussion
5. Conclusions
Supplementary Materials
Author Contributions
Funding
Institutional Review Board Statement
Informed Consent Statement
Data Availability Statement
Acknowledgments
Conflicts of Interest
References
- Pulli, T.; Dönsberg, T.; Poikonen, T.; Manoocheri, F.; Kärhä, P.; Ikonen, E. Advantages of white LED lamps and new detector technology in photometry. Light Sci. Appl. 2015, 4, e332. [Google Scholar] [CrossRef]
- Nanishi, Y. The birth of the blue LED. Nat. Photonics 2014, 8, 884–886. [Google Scholar] [CrossRef]
- Downer, G. Artificial Lighting and Eyesight. Aircr. Eng. Aerosp. Technol. 1940, 12, 286. [Google Scholar] [CrossRef]
- Behar-Cohen, F.; Martinsons, C.; Viénot, F.; Zissis, G.; Barlier-Salsi, A.; Cesarini, J.; Enouf, O.; Garcia, M.; Picaud, S.; Attia, D. Light-emitting diodes (LED) for domestic lighting: Any risks for the eye? Prog. Retin. Eye Res. 2011, 30, 239–257. [Google Scholar] [CrossRef]
- Zhao, Z.-C.; Zhou, Y.; Tan, G.; Li, J. Research progress about the effect and prevention of blue light on eyes. Int. J. Ophthalmol. 2018, 11, 1999. [Google Scholar] [CrossRef]
- Lee, J.-B.; Kim, S.-H.; Lee, S.-C.; Kim, H.-G.; Ahn, H.-G.; Li, Z.; Yoon, K.C. Blue light–induced oxidative stress in human corneal epithelial cells: Protective effects of ethanol extracts of various medicinal plant mixtures. Investig. Ophthalmol. Vis. Sci. 2014, 55, 4119–4127. [Google Scholar] [CrossRef]
- Zheng, Q.; Ren, Y.; Reinach, P.S.; Xiao, B.; Lu, H.; Zhu, Y.; Qu, J.; Chen, W. Reactive oxygen species activated NLRP3 inflammasomes initiate inflammation in hyperosmolarity stressed human corneal epithelial cells and environment-induced dry eye patients. Exp. Eye Res. 2015, 134, 133–140. [Google Scholar] [CrossRef]
- Lee, H.S.; Cui, L.; Li, Y.; Choi, J.S.; Choi, J.-H.; Li, Z.; Kim, G.E.; Choi, W.; Yoon, K.C. Influence of light emitting diode-derived blue light overexposure on mouse ocular surface. PLoS ONE 2016, 11, e0161041. [Google Scholar] [CrossRef]
- Nan, L.; Zhang, Y.; Song, H.; Ye, Y.; Jiang, Z.; Zhao, S. Influence of Light-EmittingDiode-Derived Blue Light Overexposure on Rat Ocular Surface. J. Ophthalmol. 2023, 1097704. [Google Scholar] [CrossRef]
- Xie, C.; Li, X.; Tong, J.; Gu, Y.; Shen, Y. Effects of white light-emitting diode (LED) light exposure with different Correlated Color Temperatures (CCT s) on human lens epithelial cells in culture. Photochem. Photobiol. 2014, 90, 853–859. [Google Scholar] [CrossRef]
- Hu, Z.; Zhang, Y.; Wang, J.; Mao, P.; Lv, X.; Yuan, S.; Huang, Z.; Ding, Y.; Xie, P.; Liu, Q. Knockout of Ccr2 alleviates photoreceptor cell death in rodent retina exposed to chronic blue light. Cell Death Dis. 2016, 7, e2468. [Google Scholar] [CrossRef] [PubMed]
- Chen, P.; Lai, Z.; Wu, Y.; Xu, L.; Cai, X.; Qiu, J.; Yang, P.; Yang, M.; Zhou, P.; Zhuang, J. Retinal neuron is more sensitive to blue light-induced damage than glia cell due to DNA double-strand breaks. Cells 2019, 8, 68. [Google Scholar] [CrossRef]
- del Olmo-Aguado, S.; Núñez-Álvarez, C.; Osborne, N.N. Blue light action on mitochondria leads to cell death by necroptosis. Neurochem. Res. 2016, 41, 2324–2335. [Google Scholar] [CrossRef]
- O’hagan, J.; Khazova, M.; Price, L. Low-energy light bulbs, computers, tablets and the blue light hazard. Eye 2016, 30, 230–233. [Google Scholar] [CrossRef] [PubMed]
- Sasaki, M.; Yuki, K.; Kurihara, T.; Miyake, S.; Noda, K.; Kobayashi, S.; Ishida, S.; Tsubota, K.; Ozawa, Y. Biological role of lutein in the light-induced retinal degeneration. J. Nutr. Biochem. 2012, 23, 423–429. [Google Scholar] [CrossRef] [PubMed]
- Nomi, Y.; Iwasaki-Kurashige, K.; Matsumoto, H. Therapeutic effects of anthocyanins for vision and eye health. Molecules 2019, 24, 3311. [Google Scholar] [CrossRef]
- Pescosolido, N.; Giannotti, R.; Plateroti, A.M.; Pascarella, A.; Nebbioso, M. Curcumin: Therapeutical potential in ophthalmology. Planta Med. 2014, 80, 249–254. [Google Scholar] [CrossRef]
- Channa, R.; Zafar, S.N.; Canner, J.K.; Haring, R.S.; Schneider, E.B.; Friedman, D.S. Epidemiology of eye-related emergency department visits. JAMA Ophthalmol. 2016, 134, 312–319. [Google Scholar] [CrossRef]
- May, D.R.; Kuhn, F.P.; Morris, R.E.; Witherspoon, C.D.; Danis, R.; Matthews, G.; Mann, L. The epidemiology of serious eye injuries from the United States Eye Injury Registry. Graefe’s Arch. Clin. Exp. Ophthalmol. 2000, 238, 153–157. [Google Scholar] [CrossRef]
- Danjo, Y.; Gipson, I.K. Specific transduction of the leading edge cells of migrating epithelia demonstrates that they are replaced during healing. Exp. Eye Res. 2002, 74, 199–204. [Google Scholar] [CrossRef]
- Gekka, M.; Miyata, K.; Nagai, Y.; Nemoto, S.; Sameshima, T.; Tanabe, T.; Maruoka, S.; Nakahara, M.; Kato, S.; Amano, S. Corneal epithelial barrier function in diabetic patients. Cornea 2004, 23, 35–37. [Google Scholar] [CrossRef]
- Núñez-Álvarez, C.; Osborne, N.N. Enhancement of corneal epithelium cell survival, proliferation and migration by red light: Relevance to corneal wound healing. Exp. Eye Res. 2019, 180, 231–241. [Google Scholar] [CrossRef] [PubMed]
- World Health Organization. Medicinal Plants in the Republic of Korea: Information on 150 Commonly Used Medicinal Plants; WHO Regional Office for the Western Pacific: Manila, Philippines, 1998. [Google Scholar]
- Hong, M.J.; Kim, J. Determination of the absolute configuration of khellactone esters from Peucedanum japonicum Roots. J. Nat. Prod. 2017, 80, 1354–1360. [Google Scholar] [CrossRef]
- Hisamoto, M.; Kikuzaki, H.; Nakatani, N. Constituents of the leaves of Peucedanum japonicum Thunb. and their biological activity. J. Agric. Food Chem. 2004, 52, 445–450. [Google Scholar] [CrossRef]
- Nugara, R.N.; Inafuku, M.; Takara, K.; Iwasaki, H.; Oku, H. Pteryxin: A coumarin in Peucedanum japonicum Thunb leaves exerts antiobesity activity through modulation of adipogenic gene network. Nutrition 2014, 30, 1177–1184. [Google Scholar] [CrossRef]
- Chun, J.M.; Lee, A.R.; Kim, H.S.; Lee, A.Y.; Gu, G.J.; Moon, B.C.; Kwon, B.-I. Peucedanum japonicum extract attenuates allergic airway inflammation by inhibiting Th2 cell activation and production of pro-inflammatory mediators. J. Ethnopharmacol. 2018, 211, 78–88. [Google Scholar] [CrossRef]
- Taira, J.; Ogi, T. Induction of antioxidant protein HO-1 through Nrf2-ARE signaling due to pteryxin in Peucedanum japonicum Thunb in RAW264. 7 macrophage cells. Antioxidants 2019, 8, 621. [Google Scholar] [CrossRef] [PubMed]
- Kim, S.H.; Jong, H.S.; Yoon, M.H.; Oh, S.H.; Jung, K.T. Antinociceptive effect of intrathecal sec-O-glucosylhamaudol on the formalin-induced pain in rats. Korean J. Pain 2017, 30, 98–103. [Google Scholar] [CrossRef]
- Hisamoto, M.; Kikuzaki, H.; Ohigashi, H.; Nakatani, N. Antioxidant compounds from the leaves of Peucedanum japonicum Thunb. J. Agric. Food Chem. 2003, 51, 5255–5261. [Google Scholar] [CrossRef] [PubMed]
- Kang, W.S.; Choi, H.; Lee, K.H.; Kim, E.; Kim, K.J.; Kim, J.S.; Na, C.-S.; Kim, S. Peucedanum japonicum Thunberg and its active components mitigate oxidative stress, inflammation and apoptosis after urban particulate matter-induced ocular surface damage. Antioxidants 2021, 10, 1717. [Google Scholar] [CrossRef]
- Zhu, C.; Hu, W.; Wu, H.; Hu, X. No evident dose-response relationship between cellular ROS level and its cytotoxicity–a paradoxical issue in ROS-based cancer therapy. Sci. Rep. 2014, 4, 5029. [Google Scholar] [CrossRef]
- Kang, W.S.; Choi, H.; Jang, G.; Lee, K.H.; Kim, E.; Kim, K.J.; Jeong, G.-Y.; Kim, J.S.; Na, C.-S.; Kim, S. Long-term exposure to urban particulate matter on the ocular surface and the incidence of deleterious changes in the cornea, conjunctiva and retina in rats. Int. J. Mol. Sci. 2020, 21, 4976. [Google Scholar] [CrossRef]
- Chen, Y.; Mehta, G.; Vasiliou, V. Antioxidant defenses in the ocular surface. Ocul. Surf. 2009, 7, 176–185. [Google Scholar] [CrossRef]
- Čejková, J.; Štípek, S.; Crkovska, J.; Ardan, T.; Pláteník, J.; Čejka, Č.; Midelfart, A. UV rays, the prooxidant/antioxidant imbalance in the cornea and oxidative eye damage. Physiol. Res. 2004, 53, 1–10. [Google Scholar] [CrossRef] [PubMed]
- Masson-Meyers, D.S.; Bumah, V.V.; Enwemeka, C.S. Blue light does not impair wound healing in vitro. J. Photochem. Photobiol. B Biol. 2016, 160, 53–60. [Google Scholar] [CrossRef] [PubMed]
- James, R.H.; Landry, R.J.; Walker, B.N.; Ilev, I.K. Evaluation of the potential optical radiation hazards with LED lamps intended for home use. Health Phys. 2017, 112, 11–17. [Google Scholar] [CrossRef] [PubMed]
- Zhang, X.; Chen, W.; De Paiva, C.S.; Corrales, R.M.; Volpe, E.A.; McClellan, A.J.; Farley, W.J.; Li, D.-Q.; Pflugfelder, S.C. Interferon-γ exacerbates dry eye–induced apoptosis in conjunctiva through dual apoptotic pathways. Investig. Ophthalmol. Vis. Sci. 2011, 52, 6279–6285. [Google Scholar] [CrossRef]
- Nakamura, S.; Shibuya, M.; Nakashima, H.; Hisamura, R.; Masuda, N.; Imagawa, T.; Uehara, M.; Tsubota, K. Involvement of oxidative stress on corneal epithelial alterations in a blink-suppressed dry eye. Investig. Ophthalmol. Vis. Sci. 2007, 48, 1552–1558. [Google Scholar] [CrossRef]
- Kovacs, I.; Berbel, D.; Sesma, J.; Luna, C.L.; Quirce, S.; Belmonte, C.; Acosta, M.C.; Gallar, J. Delayed corneal epithelial wound healing in an experimental model of lacrimo-deficient dry eye. Investig. Ophthalmol. Vis. Sci. 2011, 52, 3780. [Google Scholar]
- Li, Z.; Burns, A.R.; Smith, C.W. Two waves of neutrophil emigration in response to corneal epithelial abrasion: Distinct adhesion molecule requirements. Investig. Ophthalmol. Vis. Sci. 2006, 47, 1947–1955. [Google Scholar] [CrossRef]
- Marrazzo, G.; Bellner, L.; Halilovic, A.; Li Volti, G.; Drago, F.; Dunn, M.W.; Schwartzman, M.L. The role of neutrophils in corneal wound healing in HO-2 null mice. PLoS ONE 2011, 6, e21180. [Google Scholar] [CrossRef] [PubMed]
- Li, Z.; Burns, A.R.; Han, L.; Rumbaut, R.E.; Smith, C.W. IL-17 and VEGF are necessary for efficient corneal nerve regeneration. Am. J. Pathol. 2011, 178, 1106–1116. [Google Scholar] [CrossRef]
- Li, S.; Li, B.; Jiang, H.; Wang, Y.; Qu, M.; Duan, H.; Zhou, Q.; Shi, W. Macrophage depletion impairs corneal wound healing after autologous transplantation in mice. PLoS ONE 2013, 8, e61799. [Google Scholar] [CrossRef] [PubMed]
- Bellner, L.; Marrazzo, G.; van Rooijen, N.; Dunn, M.W.; Abraham, N.G.; Schwartzman, M.L. Heme oxygenase-2 deletion impairs macrophage function: Implication in wound healing. FASEB J. 2015, 29, 105–115. [Google Scholar] [CrossRef]
- Lim, H.; Kim, I.; Jeong, Y. Antioxidant activities of Peucedanum japonicum Thunberg root extracts. J. Korean Soc. Food Sci. Nutr. 2019, 48, 32–39. [Google Scholar] [CrossRef]
- Kim, J.-K.; Kang, H.-M.; Jang, D.-C.; Na, J.-K.; Choi, K.-Y. Effect of Light Intensity and Temperature on the Growth and Functional Compounds in the Baby Leaf Vegetable Plant Peucedanum japonicum Thunb. Hortic. Sci. Technol. 2020, 38, 822–829. [Google Scholar] [CrossRef]
- Liang, N.; Kitts, D.D. Role of chlorogenic acids in controlling oxidative and inflammatory stress conditions. Nutrients 2015, 8, 16. [Google Scholar] [CrossRef] [PubMed]
- Mubarak, A.; Bondonno, C.P.; Liu, A.H.; Considine, M.J.; Rich, L.; Mas, E.; Croft, K.D.; Hodgson, J.M. Acute effects of chlorogenic acid on nitric oxide status, endothelial function, and blood pressure in healthy volunteers: A randomized trial. J. Agric. Food Chem. 2012, 60, 9130–9136. [Google Scholar] [CrossRef]
- Salomone, F.; Galvano, F.; Li Volti, G. Molecular bases underlying the hepatoprotective effects of coffee. Nutrients 2017, 9, 85. [Google Scholar] [CrossRef]
- Larsson, S.C.; Virtamo, J.; Wolk, A. Coffee consumption and risk of stroke in women. Stroke 2011, 42, 908–912. [Google Scholar] [CrossRef]
- Meng, S.; Cao, J.; Feng, Q.; Peng, J.; Hu, Y. Roles of chlorogenic acid on regulating glucose and lipids metabolism: A review. Evid.-Based Complement. Altern. Med. 2013, 2013, 801457. [Google Scholar] [CrossRef] [PubMed]
- Bagdas, D.; Etoz, B.C.; Gul, Z.; Ziyanok, S.; Inan, S.; Turacozen, O.; Gul, N.Y.; Topal, A.; Cinkilic, N.; Tas, S. In vivo systemic chlorogenic acid therapy under diabetic conditions: Wound healing effects and cytotoxicity/genotoxicity profile. Food Chem. Toxicol. 2015, 81, 54–61. [Google Scholar] [CrossRef] [PubMed]
- Napolitano, G.; Fasciolo, G.; Venditti, P. Mitochondrial management of reactive oxygen species. Antioxidants 2021, 10, 1824. [Google Scholar] [CrossRef] [PubMed]












| Gene Symbol | Accession Number | Forward Primer | Reverse Primer |
|---|---|---|---|
| SOD1 | NM_000454.5 | GGTGGGCCAAAGGATGAAGAG | CCACAAGCCAAACGACTTCC |
| CAT | NM_001752.4 | TGGAGCTGGTAACCCAGTAGG | CCTTTGCCTTGGAGTATTTGGTA |
| HO-1 | NM_002133.3 | AAGACTGCGTTCCTGCTCAAC | AAAGCCCTACAGCAACTGTCG |
| GPX1 | NM_000581.4 | CAGTCGGTGTATGCCTTCTCG | GAGGGACGCCACATTCTCG |
| TRXR1 | NM_182729.3 | ATATGGCAAGAAGGTGATGGTCC | GGGCTTGTCCTAACAAAGCTG |
| GSTM1 | NM_000561.4 | TCTGCCCTACTTGATTGATGGG | TCCACACGAATCTTCTCCTCT |
| GSTP1 | NM_000852.4 | TTGGGCTCTATGGGAAGGAC | GGGAGATGTATTTGCAGCGGA |
| β-actin | NM_001101.5 | CTCACCCTGAAGTACCCCATC | GGATAGCACAGCCTGGATAGCA |
| Sex | Dose | No. of Animals | Parameter | Day 1 | Day 2 | Day 4 | Day 8 | Day 15 |
|---|---|---|---|---|---|---|---|---|
| Male | 0 mg/kg | 5 | Weight | 173.1 ± 4.4 | 189.8 ± 5.3 | 211.6 ± 5.1 | 254.1 ± 7.5 | 322.9 ± 17.7 |
| Clinical sign | NOA * | NOA * | NOA * | NOA * | NOA * | |||
| 5000 mg/kg | 5 | Weight | 171.8 ± 2.3 | 193.4 ± 4.2 | 214.7 ± 4.3 | 256.1 ± 7.6 | 325.0 ± 18.8 | |
| Clinical sign | NOA * | NOA * | NOA * | NOA * | NOA * | |||
| Female | 0 mg/kg | 5 | Weight | 135.7 ± 3.5 | 151.5 ± 2.7 | 163.7 ± 8.6 | 180.0 ± 7.4 | 215.0 ± 7.8 |
| Clinical sign | NOA * | NOA * | NOA * | NOA * | NOA * | |||
| 5000 mg/kg | 5 | Weight | 135.6 ± 5.3 | 150.1 ± 6.3 | 161.8 ± 6.0 | 182.8 ± 8.4 | 214.7 ± 10.4 | |
| Clinical sign | NOA * | NOA * | NOA * | NOA * | NOA * |
| 0 h | 12 h | 24 h | 36 h | 48 h | |||||||
|---|---|---|---|---|---|---|---|---|---|---|---|
| Average | p Value | Average | p Value | Average | p-Value | Average | p-Value | Average | p-Value | ||
| PJE (mg/kg) | NR | 5.2 | 20.8 | 69.6 | 96.3 | 99.4 | |||||
| BL | 2.7 | 0.066 | 14.0 | 0.013 # | 35.8 | <0.001 ### | 61.7 | <0.001 ### | 66.0 | <0.001 ### | |
| 25 | 3.9 | 0.456 | 17.7 | 0.108 | 50.0 | 0.053 | 69.5 | 0.251 | 84.5 | 0.048 * | |
| 50 | 1.3 | 0.197 | 15.1 | 0.519 | 50.5 | 0.024 * | 70.4 | 0.302 | 86.2 | 0.022 * | |
| 100 | 3.5 | 0.598 | 10.3 | 0.074 | 43.4 | 0.189 | 74.6 | 0.037 * | 87.7 | 0.003 ** | |
| 200 | 4.6 | 0.075 | 10.2 | 0.051 | 40.2 | 0.457 | 79.2 | 0.005 ** | 92.4 | 0.004 ** | |
Disclaimer/Publisher’s Note: The statements, opinions and data contained in all publications are solely those of the individual author(s) and contributor(s) and not of MDPI and/or the editor(s). MDPI and/or the editor(s) disclaim responsibility for any injury to people or property resulting from any ideas, methods, instructions or products referred to in the content. |
© 2023 by the authors. Licensee MDPI, Basel, Switzerland. This article is an open access article distributed under the terms and conditions of the Creative Commons Attribution (CC BY) license (https://creativecommons.org/licenses/by/4.0/).
Share and Cite
Kang, W.S.; Kim, E.; Choi, H.; Lee, K.H.; Kim, K.J.; Lim, D.; Choi, S.-y.; Kim, Y.; Son, S.a.; Kim, J.S.; et al. Therapeutic Potential of Peucedanum japonicum Thunb. and Its Active Components in a Delayed Corneal Wound Healing Model Following Blue Light Irradiation-Induced Oxidative Stress. Antioxidants 2023, 12, 1171. https://doi.org/10.3390/antiox12061171
Kang WS, Kim E, Choi H, Lee KH, Kim KJ, Lim D, Choi S-y, Kim Y, Son Sa, Kim JS, et al. Therapeutic Potential of Peucedanum japonicum Thunb. and Its Active Components in a Delayed Corneal Wound Healing Model Following Blue Light Irradiation-Induced Oxidative Stress. Antioxidants. 2023; 12(6):1171. https://doi.org/10.3390/antiox12061171
Chicago/Turabian StyleKang, Wan Seok, Eun Kim, Hakjoon Choi, Ki Hoon Lee, Kyeong Jo Kim, Dosung Lim, Su-young Choi, Youngbae Kim, Seon ah Son, Jin Seok Kim, and et al. 2023. "Therapeutic Potential of Peucedanum japonicum Thunb. and Its Active Components in a Delayed Corneal Wound Healing Model Following Blue Light Irradiation-Induced Oxidative Stress" Antioxidants 12, no. 6: 1171. https://doi.org/10.3390/antiox12061171
APA StyleKang, W. S., Kim, E., Choi, H., Lee, K. H., Kim, K. J., Lim, D., Choi, S.-y., Kim, Y., Son, S. a., Kim, J. S., & Kim, S. (2023). Therapeutic Potential of Peucedanum japonicum Thunb. and Its Active Components in a Delayed Corneal Wound Healing Model Following Blue Light Irradiation-Induced Oxidative Stress. Antioxidants, 12(6), 1171. https://doi.org/10.3390/antiox12061171

