Intervening Effects and Molecular Mechanism of Quercitrin on PCV2-Induced Histone Acetylation, Oxidative Stress and Inflammatory Response in 3D4/2 Cells
Abstract
:1. Introduction
2. Materials and Methods
2.1. Reagents
2.2. Viruses and Cells
2.3. Methods
2.3.1. The Determination of 3D4/2 Cell Viability with CCK8
The Determination of QUE on the Viability of 3D4/2 Cells with CCK8
The Determination of QUE on the Viability of PCV2-Infected 3D4/2 Cells with CCK8 Method
2.3.2. DCFH-DA Detection for ROS Levels in 3D4/2 Cells
2.3.3. ELISA Detection for the Activity of Acetylase in 3D4/2 Cells
2.3.4. q-PCR Detection for the Expression Levels of mRNA in 3D4/2
2.3.5. Western Blot Detection for the Expression Levels of Proteins in 3D4/2
2.4. Data Processing and Analysis
3. Results
3.1. Effect of QUE on the Proliferative Activity of PCV2-Infected 3D4/2 Cells
3.2. Effect of Quercitrin on ROS Levels in PCV2-Infected 3D4/2 Cells In Vitro and the Regulation of Histone Acetylation Modification
3.3. Effect of QUE on the Expression of Genes Related to the Induction of Oxidative Stress and Inflammatory Response in PCV2-Infected 3D4/2 Cells
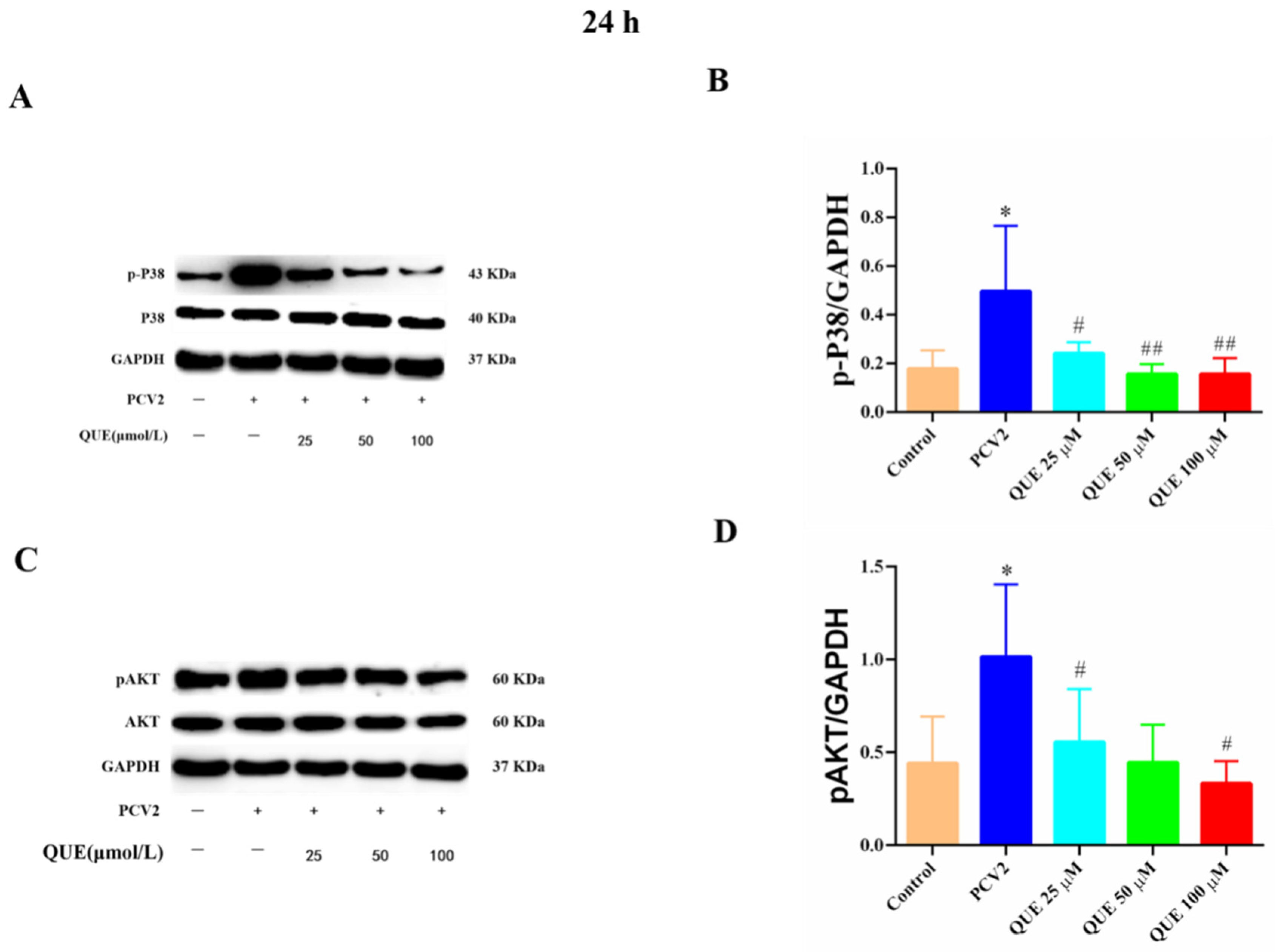
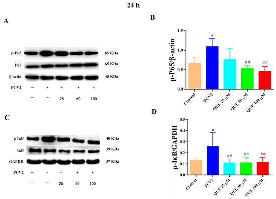
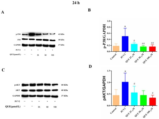
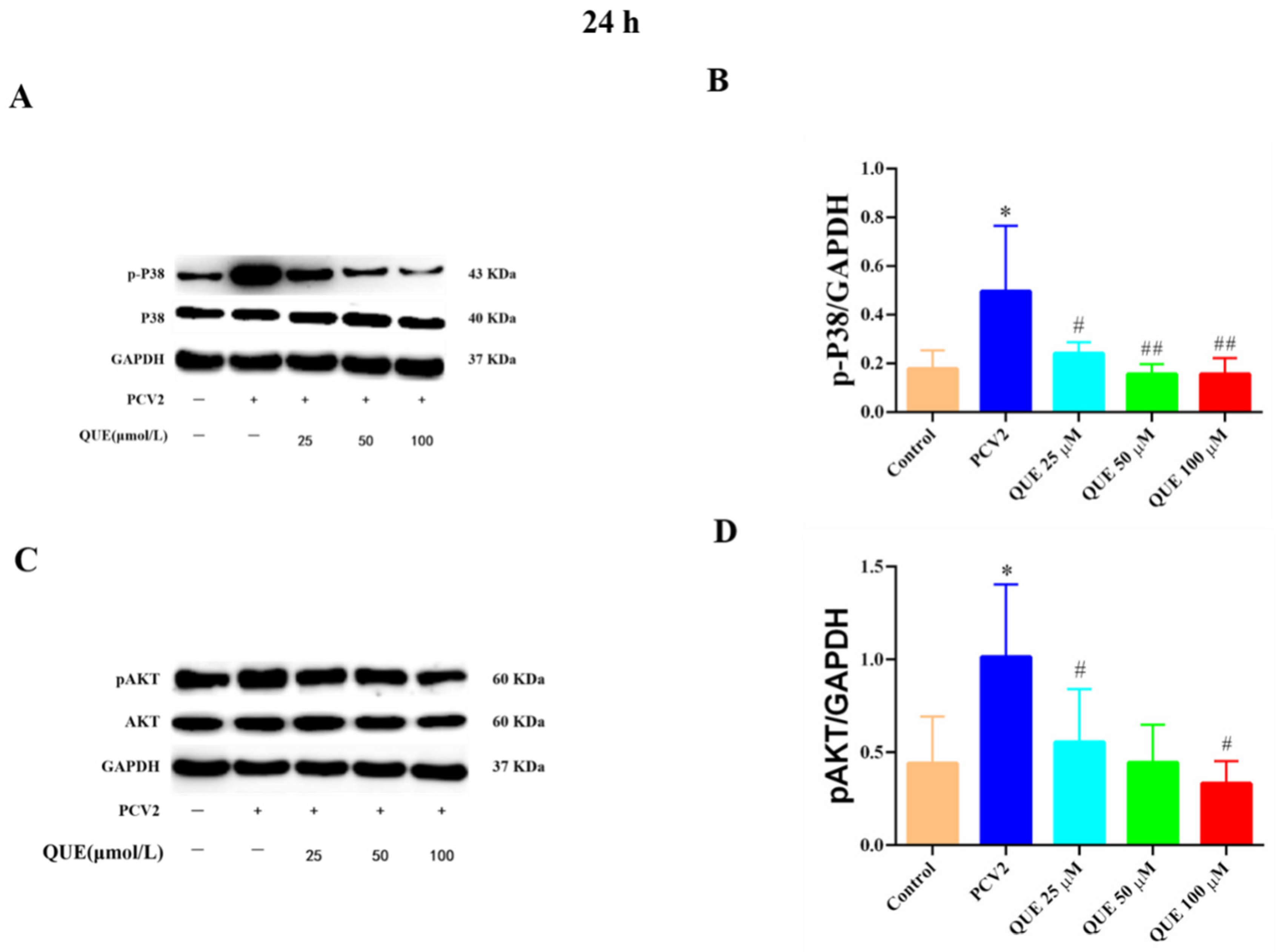
3.4. Effect of QUE on Signaling Pathways Related to Oxidative Stress and Inflammatory Response in PCV2-Infected 3D4/2 Cells
4. Discussion
5. Conclusions
Supplementary Materials
Author Contributions
Funding
Institutional Review Board Statement
Informed Consent Statement
Data Availability Statement
Conflicts of Interest
References
- Tischer, I.; Gelderblom, H.; Vettermann, W.; Koch, M.A. A very small porcine virus with circular single-stranded DNA. Nature 1982, 295, 64–66. [Google Scholar] [CrossRef]
- Ellis, J.; Hassard, L.; Clark, E.; Harding, J.; Allan, G.; Willson, P. Isolation of circovirus from lesions of pigs with postweaning multisystemic wasting syndrome. Can. Vet. J. 1998, 39, 44–51. [Google Scholar]
- Chae, C. A review of porcine circovirus 2-associated syndromes and diseases. Vet. J. 2005, 169, 326–336. [Google Scholar] [CrossRef]
- Oaks, Z.; Perl, A. Metabolic control of the epigenome in systemic Lupus erythematosus. Autoimmunity 2014, 47, 256–264. [Google Scholar] [CrossRef] [Green Version]
- Mastrantonio, R.; Cervelli, M.; Pietropaoli, S.; Mariottini, P.; Colasanti, M.; Persichini, T. HIV-Tat Induces the Nrf2/ARE Pathway through NMDA Receptor-Elicited Spermine Oxidase Activation in Human Neuroblastoma Cells. PLoS ONE 2016, 11, e0149802. [Google Scholar] [CrossRef]
- Yang, J.; Tan, H.L.; Gu, L.Y.; Song, M.L.; Wu, Y.Y.; Peng, J.B.; Lan, Z.B.; Wei, Y.Y.; Hu, T.J. Sophora subprosrate polysaccharide inhibited cytokine/chemokine secretion via suppression of histone acetylation modification and NF-κb activation in PCV2 infected swine alveolar macrophage. Int. J. Biol. Macromol. 2017, 104, 900–908. [Google Scholar] [CrossRef]
- Sun, R.; Sun, S.; Zhang, Y.; Zhou, Y.; Shan, Y.; Li, X.; Fang, W. PCV2 Induces Reactive Oxygen Species To Promote Nucleocytoplasmic Translocation of the Viral DNA Binding Protein HMGB1 To Enhance Its Replication. J. Virol. 2020, 94, e00238-20. [Google Scholar] [CrossRef]
- Yi, Y.S. Regulatory Roles of Flavonoids on Inflammasome Activation during Inflammatory Responses. Mol. Nutr. Food Res. 2018, 62, e1800147. [Google Scholar] [CrossRef]
- Panche, A.N.; Diwan, A.D.; Chandra, S.R. Flavonoids: An overview. J. Nutr. Sci. 2016, 5, e47. [Google Scholar] [CrossRef] [Green Version]
- Song, M.; Lee, S.Y.; Kim, M.; Park, S.; Park, J.; Kwon, Y. Saururus chinensis-controlled allergic pulmonary disease through NF-κB/COX-2 and PGE2 pathways. PeerJ 2020, 8, e10043. [Google Scholar] [CrossRef]
- BinMowyna, M.N.; AlFaris, N.A. Kaempferol suppresses acetaminophen-induced liver damage by upregulation/activation of SIRT1. Pharm. Biol. 2021, 59, 146–156. [Google Scholar] [CrossRef]
- Li, Y.; Li, Y.; Fang, Z.; Huang, D.; Yang, Y.; Zhao, D. The effect of Malus doumeri leaf flavonoids on oxidative stress injury induced by hydrogen peroxide (H2O2) in human embryonic kidney 293 T cells. BMC Complement. Med. Ther. 2020, 20, 276. [Google Scholar] [CrossRef]
- Maleki, S.J.; Crespo, J.F.; Cabanillas, B. Anti-inflammatory effects of flavonoids. Food Chem. 2019, 299, 125124. [Google Scholar] [CrossRef]
- Wang, Q.H.; Kuang, N.; Hu, W.Y.; Yin, D.; Wei, Y.Y.; Hu, T.J. The effect of Panax notoginseng saponins on oxidative stress induced by PCV2 infection in immune cells: In vitro and in vivo studies. J. Vet. Sci. 2020, 21, e61. [Google Scholar] [CrossRef]
- Reed, L.J.; Muench, H.A. A Simple Method of Estimating Fifty Per Cent Endpoints. Am. J. Trop. Med. Hyg. 1937, 27, 493–497. [Google Scholar]
- Sarrafchi, A.; Bahmani, M.; Shirzad, H.; Rafieian-Kopaei, M. Oxidative stress and Parkinson’s disease: New hopes in treatment with herbal antioxidants. Curr. Pharm. Des. 2016, 22, 238–246. [Google Scholar] [CrossRef] [Green Version]
- DesJarlais, R.; Tummino, P.J. Role of Histone-Modifying Enzymes and Their Complexes in Regulation of Chromatin Biology. Biochemistry 2016, 55, 1584–1599. [Google Scholar] [CrossRef]
- Feng, D.; Sangster-Guity, N.; Stone, R.; Korczeniewska, J.; Mancl, M.E.; Fitzgerald-Bocarsly, P. Differential requirement of histone acetylase and deacetylase activities for IRF5-mediated proinflammatory cytokine expression. J. Immunol. 2010, 185, 6003–6012. [Google Scholar] [CrossRef] [Green Version]
- Chen, H.L.; Tan, H.L.; Yang, J.; Song, M.L.; Kuang, N.; Hu, W.Y. Inhibitory effect of polysaccharide of Sargassum weizhouense on PCV2 induced inflammation in mice by suppressing histone acetylation. Biomed. Pharmacother. 2019, 112, 108741. [Google Scholar] [CrossRef]
- Wang, S.W.; Chen, Y.R.; Chow, J.M.; Chien, M.H.; Yang, S.F.; Wen, Y.C. Stimulation of Fas/FasL-mediated apoptosis by luteolin through enhancement of histone H3 acetylation and c-Jun activation in HL-60 leukemia cells. Mol. Carcinog. 2018, 57, 866–877. [Google Scholar] [CrossRef]
- Wang, Q.Y.; Zhong, H.; Chen, F.Y.; Zhang, M.Y.; Cai, J.Y.; Zhong, J.H. A preliminary study on epigenetic regulation of Acanthopanax senticosus in leukemia cell lines. Exp. Hematol. 2016, 44, 466–473. [Google Scholar] [CrossRef] [PubMed]
- Chang, H.W.; Jeng, C.R.; Lin, T.L.; Liu, J.J.; Chiou, M.T.; Tsai, Y.C. Immunopathological effects of porcine circovirus type 2 (PCV2) on swine alveolar macrophages by in vitro inoculation. Vet. Immunol. Immunopathol. 2006, 110, 207–219. [Google Scholar] [CrossRef] [PubMed]
- Tang, J.; Diao, P.; Shu, X.; Li, L.; Xiong, L. Quercetin and Quercitrin Attenuates the Inflammatory Response and Oxidative Stress in LPS-Induced RAW264.7 Cells: In Vitro Assessment and a Theoretical Model. BioMed Res. Int. 2019, 2019, 7039802. [Google Scholar] [CrossRef] [PubMed] [Green Version]
- Camuesco, D.; Comalada, M.; Rodríguez-Cabezas, M.E.; Nieto, A.; Lorente, M.D.; Concha, A. The intestinal anti-inflammatory effect of quercitrin is associated with an inhibition in iNOS expression. Br. J. Pharmacol. 2004, 143, 908–918. [Google Scholar] [CrossRef] [PubMed] [Green Version]
- Guo, H.; Yin, W.; Zou, Z.; Zhang, C.; Sun, M.; Min, L. Quercitrin alleviates cartilage extracellular matrix degradation and delays ACLT rat osteoarthritis development: An in vivo and in vitro study. J. Adv. Res. 2020, 28, 255–267. [Google Scholar] [CrossRef] [PubMed]
- Portugal, M.; Barak, V.; Ginsburg, I.; Kohen, R. Interplay among oxidants, antioxidants, and cytokines in skin disorders: Present status and future considerations. Biomed. Pharmacother. 2007, 61, 412–422. [Google Scholar] [CrossRef]
- Yu, X.H.; Zheng, X.L.; Tang, C.K. Nuclear Factor-κB Activation as a Pathological Mechanism of Lipid Metabolism and Atherosclerosis. Adv. Clin. Chem. 2015, 70, 1–30. [Google Scholar] [CrossRef]
- Teng, P.; Liu, Y.; Dai, Y.; Zhang, H.; Liu, W.T.; Hu, J. Nicotine Attenuates Osteoarthritis Pain and Matrix Metalloproteinase-9 Expression via the α7 Nicotinic Acetylcholine Receptor. J. Immunol. 2019, 203, 485–492. [Google Scholar] [CrossRef]
- Cuevas, B.D.; Abell, A.N.; Johnson, G.L. Role of mitogen-activated protein kinase kinase kinases in signal integration. Oncogene 2007, 26, 3159–3171. [Google Scholar] [CrossRef] [Green Version]
- Kumar, S.; Boehm, J.; Lee, J.C. p38 MAP kinases: Key signalling molecules as therapeutic targets for inflammatory diseases. Nature reviews. Drug Discov. 2003, 2, 717–726. [Google Scholar] [CrossRef]
- Xu, L.; Zhang, X.; Li, Y.; Lu, S.; Lu, S.; Li, J. Neferine induces autophagy of human ovarian cancer cells via p38 MAPK/ JNK activation. Tumour Biol. 2016, 37, 8721–8729. [Google Scholar] [CrossRef] [PubMed]
- Ono, K.; Han, J. The p38 signal transduction pathway activation and function. Cell. Signal. 2000, 12, 1–13. [Google Scholar] [CrossRef]
- Heeba, G.H.; Mahmoud, M.E.; El Hanafy, A.A. Anti-inflammatory potential of curcumin and quercetin in rats: Role of oxidative stress, heme oxygenase-1 and TNF-α. Toxicol. Ind. Health 2014, 30, 551–560. [Google Scholar] [CrossRef] [PubMed]
- Shi, F.; Li, Q.; Liu, S.; Liu, F.; Wang, J.; Cui, D. Porcine circovirus type 2 upregulates endothelial-derived IL-8 production in porcine iliac artery endothelial cells via the RIG-I/MDA-5/MAVS/JNK signaling pathway. BMC Vet. Res. 2020, 16, 265. [Google Scholar] [CrossRef] [PubMed]
- Chae, J.S.; Choi, K.S. Proinflammatory cytokine expression in the lung of pigs with porcine circovirus type 2-associated respiratory disease. Res. Vet. Sci. 2011, 90, 321–323. [Google Scholar] [CrossRef] [PubMed]
- Mollace, V.; Muscoli, C.; Masini, E.; Cuzzocrea, S.; Salvemini, D. Modulation of prostaglandin biosynthesis by nitric oxide and nitric oxide donors. Pharmacol. Rev. 2005, 57, 217–252. [Google Scholar] [CrossRef] [Green Version]
- Zheng, H.; Liang, W.; He, W.; Huang, C.; Chen, Q.; Yi, H. Ghrelin attenuates sepsis-induced acute lung injury by inhibiting the NF-κB, iNOS, and Akt signaling in alveolar macrophages. Am. J. Physiol. Lung Cell. Mol. Physiol. 2019, 317, L381–L391. [Google Scholar] [CrossRef]
- Natarajan, K.; Abraham, P.; Kota, R.; Isaac, B. NF-κB-iNOS-COX2-TNF α inflammatory signaling pathway plays an important role in methotrexate induced small intestinal injury in rats. Food Chem. Toxicol. 2018, 118, 766–783. [Google Scholar] [CrossRef]
- Ali, F.; Azouz, A.A.; Bakr, A.G.; Abo-Youssef, A.M.; Hemeida, R. Hepatoprotective effects of diosmin and/or sildenafil against cholestatic liver cirrhosis: The role of Keap-1/Nrf-2 and P38-MAPK/NF-κB/iNOS signaling pathway. Food Chem. Toxicol. 2018, 120, 294–304. [Google Scholar] [CrossRef]
- Bryan, H.K.; Olayanju, A.; Goldring, C.E.; Park, B.K. The Nrf2 cell defence pathway: Keap1-dependent and -independent mechanisms of regulation. Biochem. Pharmacol. 2013, 85, 705–717. [Google Scholar] [CrossRef] [Green Version]
- Krajka-Kuźniak, V.; Paluszczak, J.; Baer-Dubowska, W. The Nrf2-ARE signaling pathway: An update on its regulation and possible role in cancer prevention and treatment. Pharmacol. Rep. PR 2017, 69, 393–402. [Google Scholar] [CrossRef] [PubMed]
- Pang, C.; Zheng, Z.; Shi, L.; Sheng, Y.; Wei, H.; Wang, Z. Caffeic acid prevents acetaminophen-induced liver injury by activating the Keap1-Nrf2 antioxidative defense system. Free Radic. Biol. Med. 2016, 91, 236–246. [Google Scholar] [CrossRef]
- Nguyen, T.; Nioi, P.; Pickett, C.B. The Nrf2-antioxidant response element signaling pathway and its activation by oxidative stress. J. Biol. Chem. 2009, 284, 13291–13295. [Google Scholar] [CrossRef] [Green Version]
- Murray, J.R.; de la Vega, L.; Hayes, J.D.; Duan, L.; Penning, T.M. Induction of the Antioxidant Response by the Transcription Factor NRF2 Increases Bioactivation of the Mutagenic Air Pollutant 3-Nitrobenzanthrone in Human Lung Cells. Chem. Res. Toxicol. 2019, 32, 2538–2551. [Google Scholar] [CrossRef]
- Garrington, T.P.; Johnson, G.L. Organization and regulation of mitogen-activated protein kinase signaling pathways. Curr. Opin. Cell Biol. 1999, 11, 211–218. [Google Scholar] [CrossRef]
- Hua, X.; Chi, W.; Su, L.; Li, J.; Zhang, Z.; Yuan, X. ROS-induced Oxidative Injury involved in Pathogenesis of Fungal Keratitis via p38 MAPK Activation. Sci. Rep. 2017, 7, 10421. [Google Scholar] [CrossRef]
- Waetzig, G.H.; Seegert, D.; Rosenstiel, P.; Nikolaus, S.; Schreiber, S. p38 mitogen-activated protein kinase is activated and linked to TNF-alpha signaling in inflammatory bowel disease. J. Immunol. 2002, 168, 5342–5351. [Google Scholar] [CrossRef] [Green Version]
- Waetzig, G.H.; Rosenstiel, P.; Nikolaus, S.; Seegert, D.; Schreiber, S. Differential p38 mitogen-activated protein kinase target phosphorylation in responders and nonresponders to infliximab. Gastroenterology 2003, 125, 633–636. [Google Scholar] [CrossRef]
- Du, Q.; Huang, Y.; Wang, T.; Zhang, X.; Chen, Y.; Cui, B. Porcine circovirus type 2 activates PI3K/Akt and p38 MAPK pathways to promote interleukin-10 production in macrophages via Cap interaction of gC1qR. Oncotarget 2016, 7, 17492–17507. [Google Scholar] [CrossRef] [Green Version]









| Groups | Treatments |
|---|---|
| Control group | 2.5% FBS–DMEM medium |
| 0.05% DMSO group | Containing 0.05% DMSO medium |
| QUE 12.5 μmol/L | 12.5 μmol/L QUE |
| QUE 25 μmol/L | 25 μmol/L QUE |
| QUE 50 μmol/L | 50 μmol/L QUE |
| QUE 100 μmol/L | 100 μmol/L QUE |
| QUE 200 μmol/L | 200 μmol/L QUE |
| QUE 400 μmol/L | 400 μmol/L QUE |
| Groups | Treatments of Virus | Treatments |
|---|---|---|
| Control group | Serum-free medium | 2.5% FBS–DMEM medium |
| 0.05% DMSO | PCV2 MOI = 1.0 | Containing 0.05% DMSO medium |
| PCV2 group | PCV2 MOI = 1.0 | 2.5% FBS–DMEM medium |
| PCV2 + QUE 12.5 μmol/L | PCV2 MOI = 1.0 | 12.5 μmol/L QUE |
| PCV2 + QUE 25 μmol/L | PCV2 MOI = 1.0 | 25 μmol/L QUE |
| PCV2 + QUE 50 μmol/L | PCV2 MOI = 1.0 | 50 μmol/L QUE |
| PCV2 + QUE 100 μmol/L | PCV2 MOI = 1.0 | 100 μmol/L QUE |
| PCV2 + QUE 200 μmol/L | PCV2 MOI = 1.0 | 200 μmol/L QUE |
| PCV2 + QUE 400 μmol/L | PCV2 MOI = 1.0 | 200 μmol/L QUE |
| Groups | Treatments of Virus | Treatments |
|---|---|---|
| Control group | Serum-free medium | 2.5% FBS–DMEM medium |
| PCV2 group | PCV2 MOI = 1.0 | 2.5% FBS–DMEM medium |
| PCV2 + QUE 25 μmol/L | PCV2 MOI = 1.0 | 25 μmol/L QUE |
| PCV2 + QUE 50 μmol/L | PCV2 MOI = 1.0 | 50 μmol/L QUE |
| PCV2 + QUE 100 μmol/L | PCV2 MOI = 1.0 | 100 μmol/L QUE |
| NAC 1 mmol/mL | PCV2 MOI = 1.0 | 1 mmol/mL NAC |
| Groups | Treatments of Virus | Treatments |
|---|---|---|
| Control group | Serum-free medium | 2.5% FBS–DMEM medium |
| PCV2 group | PCV2 MOI = 1 | 2.5% FBS–DMEM medium |
| PCV2 + QUE 25 μmol/L | PCV2 MOI = 1 | 25 μmol/L QUE |
| PCV2 + QUE 50 μmol/L | PCV2 MOI = 1 | 50 μmol/L QUE |
| PCV2 + QUE 100 μmol/L | PCV2 MOI = 1 | 100 μmol/L QUE |
Publisher’s Note: MDPI stays neutral with regard to jurisdictional claims in published maps and institutional affiliations. |
© 2022 by the authors. Licensee MDPI, Basel, Switzerland. This article is an open access article distributed under the terms and conditions of the Creative Commons Attribution (CC BY) license (https://creativecommons.org/licenses/by/4.0/).
Share and Cite
Chen, Q.; Wei, Y.; Zhao, Y.; Xie, X.; Kuang, N.; Wei, Y.; Yu, M.; Hu, T. Intervening Effects and Molecular Mechanism of Quercitrin on PCV2-Induced Histone Acetylation, Oxidative Stress and Inflammatory Response in 3D4/2 Cells. Antioxidants 2022, 11, 941. https://doi.org/10.3390/antiox11050941
Chen Q, Wei Y, Zhao Y, Xie X, Kuang N, Wei Y, Yu M, Hu T. Intervening Effects and Molecular Mechanism of Quercitrin on PCV2-Induced Histone Acetylation, Oxidative Stress and Inflammatory Response in 3D4/2 Cells. Antioxidants. 2022; 11(5):941. https://doi.org/10.3390/antiox11050941
Chicago/Turabian StyleChen, Qi, Yuheng Wei, Yi Zhao, Xiaodong Xie, Na Kuang, Yingyi Wei, Meiling Yu, and Tingjun Hu. 2022. "Intervening Effects and Molecular Mechanism of Quercitrin on PCV2-Induced Histone Acetylation, Oxidative Stress and Inflammatory Response in 3D4/2 Cells" Antioxidants 11, no. 5: 941. https://doi.org/10.3390/antiox11050941
APA StyleChen, Q., Wei, Y., Zhao, Y., Xie, X., Kuang, N., Wei, Y., Yu, M., & Hu, T. (2022). Intervening Effects and Molecular Mechanism of Quercitrin on PCV2-Induced Histone Acetylation, Oxidative Stress and Inflammatory Response in 3D4/2 Cells. Antioxidants, 11(5), 941. https://doi.org/10.3390/antiox11050941

