The Alleviation of Dextran Sulfate Sodium (DSS)-Induced Colitis Correlate with the logP Values of Food-Derived Electrophilic Compounds
Abstract
1. Introduction
2. Materials and Methods
2.1. Chemicals and Primary Detection Kits
2.2. Animals and Grouping
2.3. Evaluation of the DAI
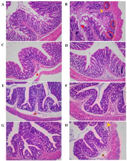
2.4. Histopathological Analysis
2.5. Measurement of Inflammatory Cytokines and Antioxidant Levels
2.6. RNA Isolation and Quantitative Real-Time PCR Analysis
2.7. Western Blotting
2.8. Calculation of Electrophilic Index, n-Octanol/Water Partition Coefficient (logP)
2.9. Molecular Docking
2.10. Correlation Analysis
2.11. Statistical Analysis
3. Results
3.1. FECs Supplementation Attenuated Colitis Differentially in DSS-Induced Mice
3.2. Molecular Characteristic Calculation of FECs
3.3. FECs Altered the Levels of Inflammatory and Oxidative Indicators in DSS-Induced Colitis Mice
3.4. FECs Supplementation Regulated the Nrf2 Pathway in the Colon of Mice with Colitis
3.5. Correlation of Molecular Characteristics of FECs with DAI Scores, Inflammatory and Oxidative Indicators, and Nrf2 Pathway in DSS-Induced Colitis Mice
4. Discussion
5. Conclusions
Supplementary Materials
Author Contributions
Funding
Institutional Review Board Statement
Informed Consent Statement
Data Availability Statement
Acknowledgments
Conflicts of Interest
References
- Sairenji, T.; Collins, K.L.; Evans, D.V. An Update on Inflammatory Bowel Disease. Prim. Care 2017, 44, 673–692. [Google Scholar] [CrossRef] [PubMed]
 - Ng, S.C.; Shi, H.Y.; Hamidi, N.; Underwood, F.E.; Tang, W.; Benchimol, E.I.; Panaccione, R.; Ghosh, S.; Wu, J.C.Y.; Chan, F.K.L.; et al. Worldwide incidence and prevalence of inflammatory bowel disease in the 21st century: A systematic review of population-based studies. Lancet 2017, 390, 2769–2778. [Google Scholar] [CrossRef] [PubMed]
 - Keshteli, A.H.; van den Brand, F.F.; Madsen, K.L.; Mandal, R.; Valcheva, R.; Kroeker, K.I.; Han, B.; Bell, R.C.; Cole, J.; Hoevers, T.; et al. Dietary and metabolomic determinants of relapse in ulcerative colitis patients: A pilot prospective cohort study. World J. Gastroenterol. 2017, 23, 3890–3899. [Google Scholar] [CrossRef] [PubMed]
 - Ungaro, R.; Mehandru, S.; Allen, P.B.; Peyrin-Biroulet, L.; Colombel, J.F. Ulcerative colitis. Lancet 2017, 389, 1756–1770. [Google Scholar] [CrossRef]
 - Tian, T.; Wang, Z.L.; Zhang, J.H. Pathomechanisms of Oxidative Stress in Inflammatory Bowel Disease and Potential Antioxidant Therapies. Oxidative Med. Cell Longev. 2017, 2017, 18. [Google Scholar] [CrossRef]
 - Liu, H.; Johnston, L.J.; Wang, F.L.; Ma, X. Triggers for the Nrf2/ARE Signaling Pathway and Its Nutritional Regulation: Potential Therapeutic Applications of Ulcerative Colitis. Int. J. Mol. Sci. 2021, 22, 11411. [Google Scholar] [CrossRef]
 - Sajadimajd, S.; Khazaei, M. Oxidative Stress and Cancer: The Role of Nrf2. Curr. Cancer Drug Targets 2018, 18, 538–557. [Google Scholar] [CrossRef]
 - Yamamoto, M.; Kensler, T.W.; Motohashi, H. The KEAP1-NRF2 system: A thiol-based sensor-effector apparatus for maintaining redox homeostasis. Physiol. Rev. 2018, 98, 1169–1203. [Google Scholar] [CrossRef]
 - Tu, W.J.; Wang, H.; Li, S.; Liu, Q.; Sha, H. The Anti-Inflammatory and Anti-Oxidant Mechanisms of the Keap1/Nrf2/ARE Signaling Pathway in Chronic Diseases. Aging Dis. 2019, 10, 637–651. [Google Scholar] [CrossRef]
 - Zhang, Y.B.; Yan, T.T.; Sun, D.X.; Xie, C.; Wang, T.X.; Liu, X.Y.; Wang, J.; Wang, Q.; Luo, Y.H.; Wang, P.; et al. Rutaecarpine inhibits KEAP1-NRF2 interaction to activate NRF2 and ameliorate dextran sulfate sodium-induced colitis. Free Radic. Biol. Med. 2020, 148, 33–41. [Google Scholar] [CrossRef]
 - Khor, T.O.; Huang, M.T.; Kwon, K.H.; Chan, J.Y.; Reddy, B.S.; Kong, A.N. Nrf2-deficient mice have an increased susceptibility to dextran sulfate sodium-induced colitis. Cancer Res. 2006, 66, 11580–11584. [Google Scholar] [CrossRef] [PubMed]
 - Gersch, M.; Kreuzer, J.; Sieber, S.A. Electrophilic natural products and their biological targets. Nat. Prod. Rep. 2012, 29, 659–682. [Google Scholar] [CrossRef] [PubMed]
 - Dinkova-Kostova, A.T.; Fahey, J.W.; Kostov, R.V.; Kensler, T.W. KEAP1 and done? Targeting the NRF2 pathway with sulforaphane. Trends Food Sci. Technol. 2017, 69, 257–269. [Google Scholar] [CrossRef] [PubMed]
 - Yahya, M.A.; Alshammari, G.M.; Osman, M.A.; Al-Harbi, L.N.; Yagoub, A.A.; Al Sedairy, S.A. Isoliquiritigenin attenuates high-fat diet-induced intestinal damage by suppressing inflammation and oxidative stress and through activating Nrf2. J. Funct. Food. 2022, 92, 13. [Google Scholar] [CrossRef]
 - Moghe, A.; Ghare, S.; Lamoreau, B.; Mohammad, M.; Barve, S.; McClain, C.; Joshi-Barve, S. Molecular Mechanisms of Acrolein Toxicity: Relevance to Human Disease. Toxicol. Sci. 2015, 143, 242–255. [Google Scholar] [CrossRef] [PubMed]
 - Baird, L.; Yamamoto, M. The Molecular Mechanisms Regulating the KEAP1-NRF2 Pathway. Mol. Cell. Biol. 2020, 40, 23. [Google Scholar] [CrossRef]
 - Yang, L.; Palliyaguru, D.L.; Kensler, T.W. Frugal chemoprevention: Targeting Nrf2 with foods rich in sulforaphane. Semin. Oncol. 2016, 43, 146–153. [Google Scholar] [CrossRef]
 - Wahab, S.; Annadurai, S.; Abullais, S.S.; Das, G.; Ahmad, W.; Ahmad, M.F.; Kandasamy, G.; Vasudevan, R.; Ali, M.S.; Amir, M. Glycyrrhiza glabra (Licorice): A Comprehensive Review on Its Phytochemistry, Biological Activities, Clinical Evidence and Toxicology. Plants 2021, 10, 2751. [Google Scholar] [CrossRef]
 - Todeschini, R.; Consonni, V. Handbook of Molecular Descriptors; Mannhold, R., Kubinyi, H., Timmerman, H., Eds.; John Wiley & Sons: Hoboken, NJ, USA, 2008; Volume 11. [Google Scholar]
 - Moriwaki, H.; Tian, Y.S.; Kawashita, N.; Takagi, T. Mordred: A molecular descriptor calculator. J. Cheminform. 2018, 10, 14. [Google Scholar] [CrossRef]
 - Consonni, V.; Todeschini, R. Molecular Descriptors; Springer: Dordrecht, The Netherlands, 2010. [Google Scholar]
 - Jackson, P.A.; Widen, J.C.; Harki, D.A.; Brummond, K.M. Covalent Modifiers: A Chemical Perspective on the Reactivity of alpha,beta-Unsaturated Carbonyls with Thiols via Hetero-Michael Addition Reactions. J. Med. Chem. 2017, 60, 839–885. [Google Scholar] [CrossRef]
 - Gong, Z.; Zhao, S.; Zhou, J.; Yan, J.; Wang, L.; Du, X.; Li, H.; Chen, Y.; Cai, W.; Wu, J. Curcumin alleviates DSS-induced colitis via inhibiting NLRP3 inflammsome activation and IL-1 beta production. Mol. Immunol. 2018, 104, 11–19. [Google Scholar] [CrossRef] [PubMed]
 - Cho, J.-M.; Yun, S.-M.; Choi, Y.-H.; Heo, J.; Kim, N.-J.; Kim, S.-H.; Kim, E.-H. Xanthohumol prevents dextran sulfate sodium-induced colitis via inhibition of IKK beta/NF-kappa Bsignaling in mice. Oncotarget 2018, 9, 866–880. [Google Scholar] [CrossRef] [PubMed]
 - Hagenlocher, Y.; Satzinger, S.; Civelek, M.; Feilhauer, K.; Koeninger, J.; Bischoff, S.C.; Lorentz, A. Cinnamon reduces inflammatory response in intestinal fibroblasts in vitro and in colitis in vivo leading to decreased fibrosis. Mol. Nutr. Food Res. 2017, 61. [Google Scholar] [CrossRef] [PubMed]
 - He, C.X.; Gao, M.F.; Zhang, X.H.; Lei, P.; Yang, H.T.; Qing, Y.P.; Zhang, L.A. The Protective Effect of Sulforaphane on Dextran Sulfate Sodium-Induced Colitis Depends on Gut Microbial and Nrf2-Related Mechanism. Front. Nutr. 2022, 9, 15. [Google Scholar] [CrossRef]
 - Choi, Y.H.; Bae, J.-K.; Chae, H.-S.; Choi, Y.O.; Nhoek, P.; Choi, J.-S.; Chin, Y.-W. Isoliquiritigenin ameliorates dextran sulfate sodium-induced colitis through the inhibition of MAPK pathway. Int. Immunopharmacol. 2016, 31, 223–232. [Google Scholar] [CrossRef]
 - Mei, Y.; Wang, Z.; Zhang, Y.; Wan, T.; Xue, J.; He, W.; Luo, Y.; Xu, Y.; Bai, X.; Wang, Q.; et al. FA-97, a New Synthetic Caffeic Acid Phenethyl Ester Derivative, Ameliorates DSS-Induced Colitis Against Oxidative Stress by Activating Nrf2/HO-1 Pathway. Front. Immunol. 2020, 10. [Google Scholar] [CrossRef]
 - Zhang, Y.; Tan, L.; Li, C.; Wu, H.; Zhang, Z. Sulforaphane alter the microbiota and mitigate colitis severity on mice ulcerative colitis induced by DSS. AMB Express 2020, 10, 119. [Google Scholar] [CrossRef]
 - Cheng, X.R.; Tu, P.H.; Dong, W.L.; Yu, B.T.; Xia, S.F.; Muskat, M.N.; Guan, B. Electrophilic thymol isobutyrate from Inula nervosa Wall. (Xiaoheiyao) ameliorates steatosis in HepG2 cells via Nrf2 activation. J. Funct. Foods 2022, 88, 11. [Google Scholar] [CrossRef]
 - Cheng, T.J.; Zhao, Y.; Li, X.; Lin, F.; Xu, Y.; Zhang, X.L.; Li, Y.; Wang, R.X.; Lai, L.H. Computation of octanol-water partition coefficients by guiding an additive model with knowledge. J. Chem. Inf. Model. 2007, 47, 2140–2148. [Google Scholar] [CrossRef]
 - Corbeil, C.R.; Williams, C.I.; Labute, P. Variability in docking success rates due to dataset preparation. J. Comput. Aided Mol. Des. 2012, 26, 775–786. [Google Scholar] [CrossRef]
 - Parthasarathi, R.; Subramanian, V.; Roy, D.R.; Chattaraj, P.K. Electrophilicity index as a possible descriptor of biological activity. Bioorg. Med. Chem. 2004, 12, 5533–5543. [Google Scholar] [CrossRef] [PubMed]
 - Kobayashi, E.H.; Suzuki, T.; Funayama, R.; Nagashima, T.; Hayashi, M.; Sekine, H.; Tanaka, N.; Moriguchi, T.; Motohashi, H.; Nakayama, K.; et al. Nrf2 suppresses macrophage inflammatory response by blocking proinflammatory cytokine transcription. Nat. Commun. 2016, 7, 14. [Google Scholar] [CrossRef] [PubMed]
 - McAllister, P.; Zheng, H.R.; Bond, R.; Moorhead, A. Combining deep residual neural network features with supervised machine learning algorithms to classify diverse food image datasets. Comput. Biol. Med. 2018, 95, 217–233. [Google Scholar] [CrossRef] [PubMed]
 - LoPachin, R.M.; Gavin, T.; DeCaprio, A.; Barber, D.S. Application of the Hard and Soft, Acids and Bases (HSAB) Theory to Toxicant-Target Interactions. Chem. Res. Toxicol. 2012, 25, 239–251. [Google Scholar] [CrossRef]
 - Lameira, J.; Medeiros, I.G.; Reis, M.; Santos, A.S.; Alves, C.N. Structure-activity relationship study of flavone compounds with anti-HIV-1 integrase activity: A density functional theory study. Bioorg. Med. Chem. 2006, 14, 7105–7112. [Google Scholar] [CrossRef]
 - Morris, C.J.; Della Corte, D. Using molecular docking and molecular dynamics to investigate protein-ligand interactions. Mod. Phys. Lett. B 2021, 35, 15. [Google Scholar] [CrossRef]
 - Yao, J.; Zhang, B.X.; Ge, C.P.; Peng, S.J.; Fang, J.G. Xanthohumol, a Polyphenol Chalcone Present in Hops, Activating Nrf2 Enzymes To Confer Protection against Oxidative Damage in PC12 Cells. J. Agric. Food Chem. 2015, 63, 1521–1531. [Google Scholar] [CrossRef]
 - Liu, X.T.; Zhou, W.; Zhang, X.; Lu, P.; Du, Q.M.; Tao, L.; Ding, Y.; Wang, Y.J.; Hu, R. Dimethyl fumarate ameliorates dextran sulfate sodium-induced murine experimental colitis by activating Nrf2 and suppressing NLRP3 inflammasome activation. Biochem. Pharmacol. 2016, 112, 37–49. [Google Scholar] [CrossRef]
 - Dinkova-Kostova, A.T.; Talalay, P. Direct and indirect antioxidant properties of inducers of cytoprotective proteins. Mol. Nutr. Food Res. 2008, 52, S128–S138. [Google Scholar] [CrossRef]
 - Wagner, A.E.; Will, O.; Sturm, C.; Lipinski, S.; Rosenstiel, P.; Rimbach, G. DSS-induced acute colitis in C57BL/6 mice is mitigated by sulforaphane pre-treatment. J. Nutr. Biochem. 2013, 24, 2085–2091. [Google Scholar] [CrossRef]
 - Bartalis, J.; Halaweish, F.T. Relationship between cucurbitacins reversed-phase high-performance liquid chromatography hydrophobicity index and basal cytotoxicity on HepG2 cells. J. Chromatogr. B 2005, 818, 159–166. [Google Scholar] [CrossRef] [PubMed]
 - Filipowska, A.; Filipowski, W.; Tkacz, E.; Nowicka, G.; Struga, M. Statistical Analysis of the Impact of Molecular Descriptors on Cytotoxicity of Thiourea Derivatives Incorporating 2-Aminothiazole Scaffold. Chem. Pharm. Bull. 2016, 64, 1196–1202. [Google Scholar] [CrossRef]
 - Endo, Y.; Yamamoto, K.; Kagechika, H. Utility of boron clusters for drug design. Relation between estrogen receptor binding affinity and hydrophobicity of phenols bearing various types of carboranyl groups. Bioorg. Med. Chem. Lett. 2003, 13, 4089–4092. [Google Scholar] [CrossRef] [PubMed]
 - Kumar, M.R.; Gideon, D.A.; Mariadasse, R.; Nirusimhan, V.; Rosita, A.S.; Edward, J.C.; Jeyaraman, J.; Dhayabaran, V.V. In silico evaluation of isatin-based derivatives with RNA-dependent RNA polymerase of the novel coronavirus SARS-CoV-2. J. Biomol. Struct. Dyn. 2022, 40, 6710–6724. [Google Scholar] [CrossRef]
 - Santos, S.C.; Fortes, G.A.C.; Camargo, L.; Camargo, A.J.; Ferri, P.H. Antioxidant effects of polyphenolic compounds and structure-activity relationship predicted by multivariate regression tree. LWT-Food Sci. Technol. 2021, 137, 8. [Google Scholar] [CrossRef]
 - Rastija, V.; Medic-Saric, M. QSAR study of antioxidant activity of wine polyphenols. Eur. J. Med. Chem. 2009, 44, 400–408. [Google Scholar] [CrossRef]
 - Joko, S.; Watanabe, M.; Fuda, H.; Takeda, S.; Furukawa, T.; Hui, S.P.; Shrestha, R.; Chiba, H. Comparison of chemical structures and cytoprotection abilities between direct and indirect antioxidants. J. Funct. Food. 2017, 35, 245–255. [Google Scholar] [CrossRef]
 - Gonthier, M.P.; Verny, M.A.; Besson, C.; Remesy, C.; Scalbert, A. Chlorogenic acid bioavailability largely depends on its metabolism by the gut microflora in rats. J. Nutr. 2003, 133, 1853–1859. [Google Scholar] [CrossRef]
 







| Gene | Forward Primer | Reverse Primer | Accession Number | 
|---|---|---|---|
| β-actin | GGCTGTATTCCCCTCCATCG | CCAGTTGGTAACAATGCCAT | NM_007393 | 
| Nrf2 | TCTTGGAGTAAGTCGAGAAGTG | GTTGAAACTGAGCGAAAAAGGC | NM_010902 | 
| NQO1 | AGGATGGGAGGTACTCGAATC | AGGCGTCCTTCCTTATATGCT | NM_008706 | 
| HO-1 | AAGCCGAGAATGCTGAGTTCA | GCCGTGTAGATATGGTACAAG | NM_010442 | 
| Compound Name | LogP Value | Keap1 Affinity Energy (kcal/mol) | Electrophilic Index (ω) | 
|---|---|---|---|
| FMA | −0.34 | −3.5 | 1.92 | 
| ISO | 3.18 | −4.4 | 2.35 | 
| CA | 1.9 | −3.6 | 2.31 | 
| FA | 1.51 | −3.5 | 1.87 | 
| SFN | 1.41 | −2.7 | 1.11 | 
| CGA | −0.42 | −4.5 | 1.97 | 
Publisher’s Note: MDPI stays neutral with regard to jurisdictional claims in published maps and institutional affiliations.  | 
© 2022 by the authors. Licensee MDPI, Basel, Switzerland. This article is an open access article distributed under the terms and conditions of the Creative Commons Attribution (CC BY) license (https://creativecommons.org/licenses/by/4.0/).
Share and Cite
Cheng, X.-R.; Yu, B.-T.; Song, J.; Ma, J.-H.; Chen, Y.-Y.; Zhang, C.-X.; Tu, P.-H.; Muskat, M.N.; Zhu, Z.-G. The Alleviation of Dextran Sulfate Sodium (DSS)-Induced Colitis Correlate with the logP Values of Food-Derived Electrophilic Compounds. Antioxidants 2022, 11, 2406. https://doi.org/10.3390/antiox11122406
Cheng X-R, Yu B-T, Song J, Ma J-H, Chen Y-Y, Zhang C-X, Tu P-H, Muskat MN, Zhu Z-G. The Alleviation of Dextran Sulfate Sodium (DSS)-Induced Colitis Correlate with the logP Values of Food-Derived Electrophilic Compounds. Antioxidants. 2022; 11(12):2406. https://doi.org/10.3390/antiox11122406
Chicago/Turabian StyleCheng, Xiang-Rong, Bu-Tao Yu, Jie Song, Jia-Hui Ma, Yu-Yao Chen, Chen-Xi Zhang, Piao-Han Tu, Mitchell N. Muskat, and Ze-Gang Zhu. 2022. "The Alleviation of Dextran Sulfate Sodium (DSS)-Induced Colitis Correlate with the logP Values of Food-Derived Electrophilic Compounds" Antioxidants 11, no. 12: 2406. https://doi.org/10.3390/antiox11122406
APA StyleCheng, X.-R., Yu, B.-T., Song, J., Ma, J.-H., Chen, Y.-Y., Zhang, C.-X., Tu, P.-H., Muskat, M. N., & Zhu, Z.-G. (2022). The Alleviation of Dextran Sulfate Sodium (DSS)-Induced Colitis Correlate with the logP Values of Food-Derived Electrophilic Compounds. Antioxidants, 11(12), 2406. https://doi.org/10.3390/antiox11122406
        