Endoscopic Transsphenoidal Surgery with a Layered Peel Strategy for Cushing’s Disease Treatment: A Case Series
Abstract
1. Introduction
2. Materials and Methods
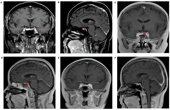
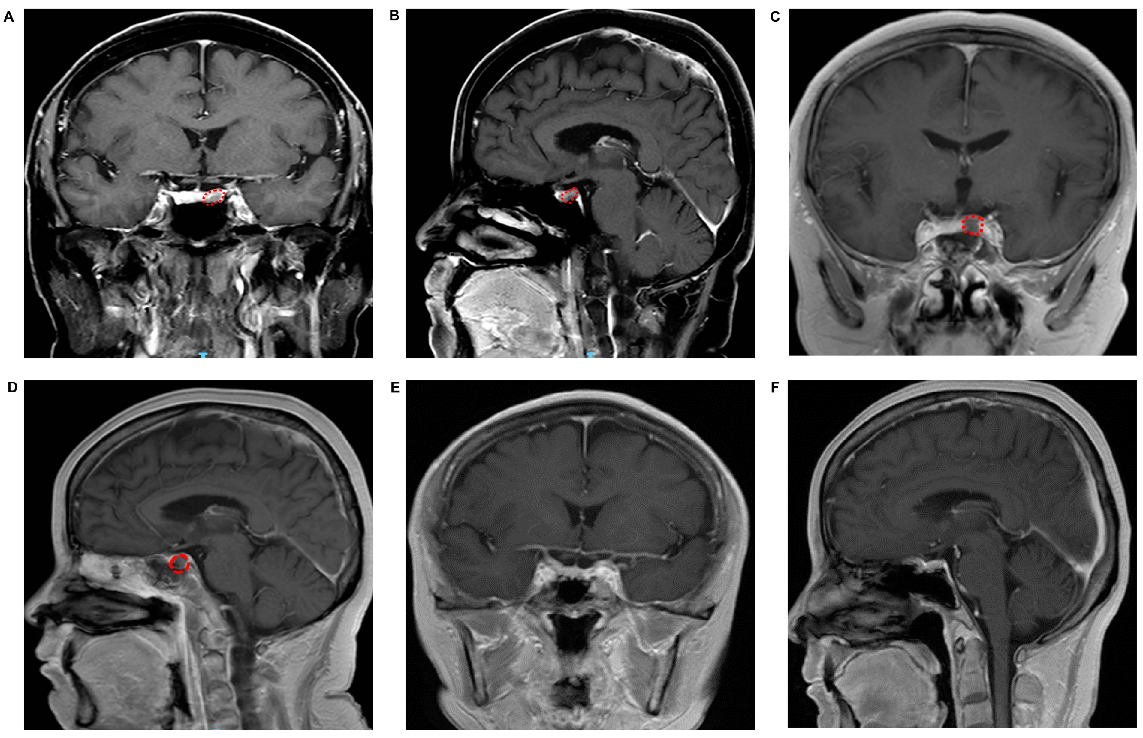
3. Results
4. Discussion
5. Conclusions
Supplementary Materials
Author Contributions
Funding
Institutional Review Board Statement
Informed Consent Statement
Data Availability Statement
Conflicts of Interest
References
- Hakami, O.A.; Ahmed, S.; Karavitaki, N. Epidemiology and mortality of Cushing’s syndrome. Best Pract. Res. Clin. Endocrinol. Metab. 2021, 35, 101521. [Google Scholar] [CrossRef]
- Tritos, N.A.; Biller, B.M.K. Current management of Cushing’s disease. J. Intern. Med. 2019, 286, 526–541. [Google Scholar] [CrossRef]
- Qiao, N. Outcome of endoscopic vs microsurgical transsphenoidal resection for Cushing’s disease. Endocr. Connect. 2018, 7, R26–R37. [Google Scholar] [CrossRef]
- Brady, Z.; Garrahy, A.; Carthy, C.; O’Reilly, M.W.; Thompson, C.J.; Sherlock, M.; Agha, A.; Javadpour, M. Outcomes of endoscopic transsphenoidal surgery for Cushing’s disease. BMC Endocr. Disord. 2021, 21, 36. [Google Scholar] [CrossRef] [PubMed]
- Nieman, L.K.; Biller, B.M.; Findling, J.W.; Murad, M.H.; Newell-Price, J.; Savage, M.O.; Tabarin, A. Treatment of Cushing’s Syndrome: An Endocrine Society Clinical Practice Guideline. J. Clin. Endocrinol. Metab. 2015, 100, 2807–2831. [Google Scholar] [CrossRef] [PubMed]
- Rollin, G.A.; Ferreira, N.P.; Junges, M.; Gross, J.L.; Czepielewski, M.A. Dynamics of serum cortisol levels after transsphenoidal surgery in a cohort of patients with Cushing’s disease. J. Clin. Endocrinol. Metab. 2004, 89, 1131–1139. [Google Scholar] [CrossRef]
- Pereira, A.M.; van Aken, M.O.; van Dulken, H.; Schutte, P.J.; Biermasz, N.R.; Smit, J.W.; Roelfsema, F.; Romijn, J.A. Long-term predictive value of postsurgical cortisol concentrations for cure and risk of recurrence in Cushing’s disease. J. Clin. Endocrinol. Metab. 2003, 88, 5858–5864. [Google Scholar] [CrossRef]
- Hofmann, B.M.; Hlavac, M.; Martinez, R.; Buchfelder, M.; Müller, O.A.; Fahlbusch, R. Long-term results after microsurgery for Cushing disease: Experience with 426 primary operations over 35 years. J. Neurosurg. 2008, 108, 9–18. [Google Scholar] [CrossRef] [PubMed]
- Baig, M.Z.; Laghari, A.A.; Darbar, A.; Abdullah, U.E.H.; Abbasi, S. Endoscopic Transsphenoidal Surgery for Cushing’s Disease: A Review. Cureus 2019, 11, e5254. [Google Scholar] [CrossRef]
- Sumisławski, P.; Piffko, A.; Huckhagel, T.; Ryba, A.; Burkhardt, T.; Aberle, J.; Saeger, W.; Flitsch, J.; Rotermund, R. Exoscopic vs. microscopic transsphenoidal surgery for Cushing’s disease: A retrospective single-center study on 388 patients. Neurosurg. Rev. 2022, 45, 3675–3681. [Google Scholar] [CrossRef]
- Chen, S.; Xu, S.; Lin, F.; Zhang, X.; Liu, F.; Dong, M.; Li, X.; Ma, X. Endoscopic surgical treatment of Cushing’s disease: A single-center experience of cauterization of peritumoral tissues. Exp. Ther. Med. 2019, 18, 4420–4426. [Google Scholar] [CrossRef] [PubMed]
- Petersenn, S.; Beckers, A.; Ferone, D.; van der Lely, A.; Bollerslev, J.; Boscaro, M.; Brue, T.; Bruzzi, P.; Casanueva, F.F.; Chanson, P.; et al. Therapy of endocrine disease: Outcomes in patients with Cushing’s disease undergoing transsphenoidal surgery: Systematic review assessing criteria used to define remission and recurrence. Eur. J. Endocrinol. 2015, 172, R227–R239. [Google Scholar] [CrossRef] [PubMed]
- Fleseriu, M.; Auchus, R.; Bancos, I.; Ben-Shlomo, A.; Bertherat, J.; Biermasz, N.R.; Boguszewski, C.L.; Bronstein, M.D.; Buchfelder, M.; Carmichael, J.D.; et al. Consensus on diagnosis and management of Cushing’s disease: A guideline update. Lancet Diabetes Endocrinol. 2021, 9, 847–875. [Google Scholar] [CrossRef] [PubMed]
- Yap, L.B.; Turner, H.E.; Adams, C.B.; Wass, J.A. Undetectable postoperative cortisol does not always predict long-term remission in Cushing’s disease: A single centre audit. Clin. Endocrinol. 2002, 56, 25–31. [Google Scholar] [CrossRef]
- Wagenmakers, M.A.; Boogaarts, H.D.; Roerink, S.H.; Timmers, H.J.; Stikkelbroeck, N.M.; Smit, J.W.; van Lindert, E.J.; Netea-Maier, R.T.; Grotenhuis, J.A.; Hermus, A.R. Endoscopic transsphenoidal pituitary surgery: A good and safe primary treatment option for Cushing’s disease, even in case of macroadenomas or invasive adenomas. Eur. J. Endocrinol. 2013, 169, 329–337. [Google Scholar] [CrossRef]
- Dehdashti, A.R.; Gentili, F. Current state of the art in the diagnosis and surgical treatment of Cushing disease: Early experience with a purely endoscopic endonasal technique. Neurosurg. Focus 2007, 23, E9. [Google Scholar] [CrossRef]
- Alexandraki, K.I.; Kaltsas, G.A.; Isidori, A.M.; Storr, H.L.; Afshar, F.; Sabin, I.; Akker, S.A.; Chew, S.L.; Drake, W.M.; Monson, J.P.; et al. Long-term remission and recurrence rates in Cushing’s disease: Predictive factors in a single-centre study. Eur. J. Endocrinol. 2013, 168, 639–648. [Google Scholar] [CrossRef]
- Thakur, J.D.; Corlin, A.; Mallari, R.J.; Yawitz, S.; Eisenberg, A.; Sivakumar, W.; Griffiths, C.; Carrau, R.L.; Rettinger, S.; Cohan, P.; et al. Complication avoidance protocols in endoscopic pituitary adenoma surgery: A retrospective cohort study in 514 patients. Pituitary 2021, 24, 930–942. [Google Scholar] [CrossRef]
- Storr, H.L.; Drake, W.M.; Evanson, J.; Matson, M.; Berney, D.M.; Grossman, A.B.; Akker, S.A.; Monson, J.P.; Alusi, G.; Savage, M.O.; et al. Endonasal endoscopic transsphenoidal pituitary surgery: Early experience and outcome in paediatric Cushing’s disease. Clin. Endocrinol. 2014, 80, 270–276. [Google Scholar] [CrossRef]
- Sarkar, S.; Rajaratnam, S.; Chacko, G.; Mani, S.; Hesargatta, A.S.; Chacko, A.G. Pure endoscopic transsphenoidal surgery for functional pituitary adenomas: Outcomes with Cushing’s disease. Acta Neurochir. 2016, 158, 77–86; discussion 86. [Google Scholar] [CrossRef]
- Todeschini, A.B.; Santos, A.R.L.D.; Dolci, R.L.L.; Lima Junior, J.V.; Scalissi, N.M.; Lazarini, P.R. Long Term Follow-up after Endoscopic Endonasal Approach for the Treatment of Cushing’s Disease. J. Neurol. Surg. B Skull Base 2019, 80, 306–309. [Google Scholar] [CrossRef] [PubMed]
- Masui, K.; Wajima, D.; Aketa, S.; Nishimura, F. Efficacy of endoscopic transsphenoidal surgery for cushing’s disease: Case series and review of the literature. Neurol. India 2020, 68, 403–406. [Google Scholar] [PubMed]
- Atkinson, A.B.; Kennedy, A.; Wiggam, M.I.; McCance, D.R.; Sheridan, B. Long-term remission rates after pituitary surgery for Cushing’s disease: The need for long-term surveillance. Clin. Endocrinol. 2005, 63, 549–559. [Google Scholar] [CrossRef]
- Broersen, L.H.A.; van Haalen, F.M.; Biermasz, N.R.; Lobatto, D.J.; Verstegen, M.J.T.; van Furth, W.R.; Dekkers, O.M.; Pereira, A.M. Microscopic versus endoscopic transsphenoidal surgery in the Leiden cohort treated for Cushing’s disease: Surgical outcome, mortality, and complications. Orphanet J. Rare Dis. 2019, 14, 64. [Google Scholar] [CrossRef] [PubMed]
- Jakimovski, D.; Bonci, G.; Attia, M.; Shao, H.; Hofstetter, C.; Tsiouris, A.J.; Anand, V.K.; Schwartz, T.H. Incidence and significance of intraoperative cerebrospinal fluid leak in endoscopic pituitary surgery using intrathecal fluorescein. World Neurosurg. 2014, 82, e513–e523. [Google Scholar] [CrossRef] [PubMed]
- Broersen, L.H.A.; Biermasz, N.R.; van Furth, W.R.; de Vries, F.; Verstegen, M.J.T.; Dekkers, O.M.; Pereira, A.M. Endoscopic vs. microscopic transsphenoidal surgery for Cushing’s disease: A systematic review and meta-analysis. Pituitary 2018, 21, 524–534. [Google Scholar] [CrossRef]
- Cascio, F.; Cacciola, A.; Portaro, S.; Basile, G.A.; Rizzo, G.; Felippu, A.W.D.; Felippu, A.W.D.; Bruschetta, A.; Anfuso, C.; Cascio, F.; et al. In Vivo Computed Tomography Direct Volume Rendering of the Anterior Ethmoidal Artery: A Descriptive Anatomical Study. Int. Arch. Otorhinolaryngol. 2020, 24, e38–e46. [Google Scholar] [CrossRef]
- Costello, R.T. Subclinical Adenoma of the Pituitary Gland. Am. J. Pathol. 1936, 12, 205–216.1. [Google Scholar]
- Oldfield, E.H.; Vortmeyer, A.O. Development of a histological pseudocapsule and its use as a surgical capsule in the excision of pituitary tumors. J. Neurosurg. 2006, 104, 7–19. [Google Scholar] [CrossRef]
- Qu, X.; Xu, G.; Qu, Y.; Song, T. The pseudocapsule surrounding a pituitary adenoma and its clinical significance. J. Neuro-Oncol. 2011, 101, 171–178. [Google Scholar] [CrossRef]
- Monteith, S.J.; Starke, R.M.; Jane, J.A., Jr.; Oldfield, E.H. Use of the histological pseudocapsule in surgery for Cushing disease: Rapid postoperative cortisol decline predicting complete tumor resection. J. Neurosurg. 2012, 116, 721–727. [Google Scholar] [CrossRef] [PubMed]
- Nagata, Y.; Takeuchi, K.; Yamamoto, T.; Ishikawa, T.; Kawabata, T.; Shimoyama, Y.; Inoshita, N.; Wakabayashi, T. Peel-off resection of the pituitary gland for functional pituitary adenomas: Pathological significance and impact on pituitary function. Pituitary 2019, 22, 507–513. [Google Scholar] [CrossRef] [PubMed]
- Zhou, Y.; Wei, J.; Feng, F.; Wang, J.; Jia, P.; Yang, S.; Gao, D. Pseudocapsule-Based Resection for Pituitary Adenomas via the Endoscopic Endonasal Approach. Front. Oncol. 2022, 11, 812468. [Google Scholar] [CrossRef] [PubMed]
- Wang, X.B.; Han, T.Y.; Ma, J.G.; He, C.; Xue, L.; Zhang, X.; Wu, Z.B. Pseudocapsule and pseudocapsule-based extracapsular resection in pituitary neuroendocrine tumors. Front. Endocrinol. 2022, 13, 1056327. [Google Scholar] [CrossRef] [PubMed]
- Gilis-Januszewska, A.; Bogusławska, A.; Rzepka, E.; Ziaja, W.; Hubalewska-Dydejczyk, A. Individualized medical treatment options in Cushing disease. Front. Endocrinol. 2022, 13, 1060884. [Google Scholar] [CrossRef]
- Pivonello, R.; De Leo, M.; Cozzolino, A.; Colao, A. The Treatment of Cushing’s Disease. Endocr. Rev. 2015, 36, 385–486. [Google Scholar] [CrossRef]


| Characteristics | Mean (SD) (Min–Max) or N (%) |
|---|---|
| Age (year) | 32.58 (10.81) (18.00–50.00) |
| Hypertension | 8 (66.67%) |
| Diabetes | 3 (25.00%) |
| Dyslipidemia | 2 (16.67%) |
| Weight gain | 12 (100.00%) |
| Central obesity | 12 (100.00%) |
| Headache | 2 (16.67%) |
| Round face | 10 (83.33%) |
| Backache | 1 (8.33%) |
| Fatigue | 1 (8.33%) |
| Hair loss | 2 (16.67%) |
| Hyperpigmentation | 8 (66.67%) |
| Skin purple striae | 10 (83.33%) |
| Thin skin | 9 (75.00%) |
| Hirsutism (women) | 4 (40.00%) |
| Infertility (women) | 1 (10%) |
| Menstrual irregularities (women) | 5 (50.00%) |
| Acne | 9 (75.00%) |
| Sleep disorders | 2 (16.67%) |
| Nephrolithiasis | 4 (33.33%) |
| Depression | 1 (8.33%) |
| Osteoporosis | 2 (16.67%) |
| Complications | N (%) |
|---|---|
| Transient DI | 2 (16.67%) |
| Hypopituitarism | 1 (8.33%) |
| CSF rhinorrhea | 1 (8.33%) |
| Carotid artery injury | 0 (0%) |
| Epistaxis | 0 (0%) |
| Hematoma | 0 (0%) |
| Visual disturbance | 0 (0%) |
| Intracranial infection | 0 (0%) |
Disclaimer/Publisher’s Note: The statements, opinions and data contained in all publications are solely those of the individual author(s) and contributor(s) and not of MDPI and/or the editor(s). MDPI and/or the editor(s) disclaim responsibility for any injury to people or property resulting from any ideas, methods, instructions or products referred to in the content. |
© 2023 by the authors. Licensee MDPI, Basel, Switzerland. This article is an open access article distributed under the terms and conditions of the Creative Commons Attribution (CC BY) license (https://creativecommons.org/licenses/by/4.0/).
Share and Cite
Shao, C.; Wang, J.; Wang, P.; Wu, N. Endoscopic Transsphenoidal Surgery with a Layered Peel Strategy for Cushing’s Disease Treatment: A Case Series. Brain Sci. 2023, 13, 671. https://doi.org/10.3390/brainsci13040671
Shao C, Wang J, Wang P, Wu N. Endoscopic Transsphenoidal Surgery with a Layered Peel Strategy for Cushing’s Disease Treatment: A Case Series. Brain Sciences. 2023; 13(4):671. https://doi.org/10.3390/brainsci13040671
Chicago/Turabian StyleShao, Chuan, Junwei Wang, Pan Wang, and Nan Wu. 2023. "Endoscopic Transsphenoidal Surgery with a Layered Peel Strategy for Cushing’s Disease Treatment: A Case Series" Brain Sciences 13, no. 4: 671. https://doi.org/10.3390/brainsci13040671
APA StyleShao, C., Wang, J., Wang, P., & Wu, N. (2023). Endoscopic Transsphenoidal Surgery with a Layered Peel Strategy for Cushing’s Disease Treatment: A Case Series. Brain Sciences, 13(4), 671. https://doi.org/10.3390/brainsci13040671

