Alterations of Thalamic Nuclei Volumes and the Intrinsic Thalamic Structural Network in Patients with Multiple Sclerosis-Related Fatigue
Abstract
1. Introduction
2. Materials and Methods
2.1. Study Population
2.2. MRI Acquisition
2.3. Cerebrospinal Fluid (CSF) Examination
2.4. Automatic Lesion Segmentation and Filling
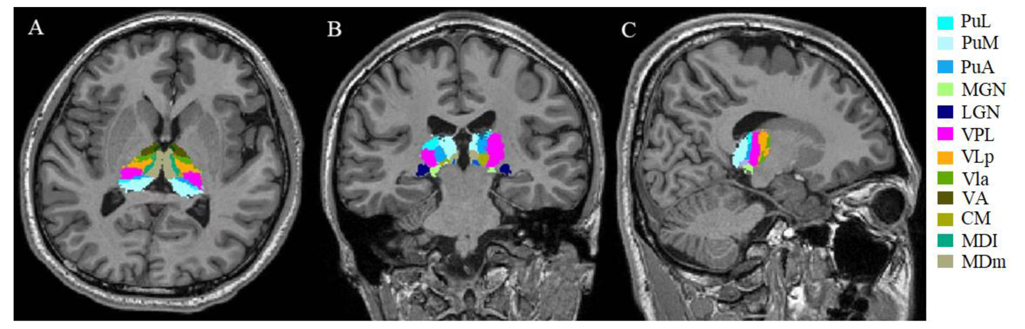
2.5. Thalamic Nuclei Volume Analysis
2.6. Graph Theoretical Analysis of the Intrinsic Thalamic Network
2.7. Statistical Analysis
3. Results
3.1. Demographic and Clinical Characteristics
3.2. Thalamic Nuclei Volumes
3.3. Intrinsic Thalamic Global Network
3.4. Intrinsic Thalamic Regional Network
3.5. Correlation Analysis
4. Discussion
5. Conclusions
Author Contributions
Funding
Institutional Review Board Statement
Informed Consent Statement
Data Availability Statement
Conflicts of Interest
References
- Van Kessel, K.; Moss-Morris, R. Understanding multiple sclerosis fatigue: A synthesis of biological and psychological factors. J. Psychosom. Res. 2006, 61, 583–585. [Google Scholar] [CrossRef] [PubMed]
- MacAllister, W.S.; Krupp, L.B. Multiple sclerosis-related fatigue. Phys. Med. Rehabil. Clin. North Am. 2005, 16, 483–502. [Google Scholar] [CrossRef]
- Bobholz, J.A.; Rao, S.M. Cognitive dysfunction in multiple sclerosis: A review of recent developments. Curr. Opin. Neurol. 2003, 16, 283–288. [Google Scholar] [CrossRef]
- Kos, D.; Kerckhofs, E.; Nagels, G.; D’Hooghe, M.B.; Ilsbroukx, S. Origin of fatigue in multiple sclerosis: Review of the literature. Neurorehabilit. Neural Repair 2008, 22, 91–100. [Google Scholar] [CrossRef] [PubMed]
- Mills, R.J.; Young, C.A. The relationship between fatigue and other clinical features of multiple sclerosis. Mult. Scler. 2011, 17, 604–612. [Google Scholar] [CrossRef]
- Krupp, L.B.; Serafin, D.J.; Christodoulou, C. Multiple sclerosis-associated fatigue. Expert Rev. Neurother. 2010, 10, 1437–1447. [Google Scholar] [CrossRef] [PubMed]
- Chaudhuri, A.; Behan, P.O. Fatigue and basal ganglia. J. Neurol. Sci. 2000, 179, 34–42. [Google Scholar] [CrossRef]
- Arm, J.; Ribbons, K.; Lechner-Scott, J.; Ramadan, S. Evaluation of MS related central fatigue using MR neuroimaging methods: Scoping review. J. Neurol. Sci. 2019, 400, 52–71. [Google Scholar] [CrossRef]
- Capone, F.; Collorone, S.; Cortese, R.; Di Lazzaro, V.; Moccia, M. Fatigue in multiple sclerosis: The role of thalamus. Mult. Scler. 2020, 26, 6–16. [Google Scholar] [CrossRef]
- Bernitsas, E.; Yarraguntla, K.; Bao, F.; Sood, R.; Santiago-Martinez, C.; Govindan, R.; Khan, O.; Seraji-Bozorgzad, N. Structural and Neuronal Integrity Measures of Fatigue Severity in Multiple Sclerosis. Brain Sci. 2017, 7, 102. [Google Scholar] [CrossRef]
- Wilting, J.; Rolfsnes, H.O.; Zimmermann, H.; Behrens, M.; Fleischer, V.; Zipp, F.; Gröger, A. Structural correlates for fatigue in early relapsing remitting multiple sclerosis. Eur. Radiol. 2016, 26, 515–523. [Google Scholar] [CrossRef] [PubMed]
- Derache, N.; Grassiot, B.; Mézenge, F.; Emmanuelle Dugué, A.; Desgranges, B.; Constans, J.M.; Defer, G.L. Fatigue is associated with metabolic and density alterations of cortical and deep gray matter in Relapsing-Remitting-Multiple Sclerosis patients at the earlier stage of the disease: A PET/MR study. Mult. Scler. Relat. Disord. 2013, 2, 362–369. [Google Scholar] [CrossRef] [PubMed]
- Conforti, R.; Cirillo, M.; Sardaro, A.; Caiazzo, G.; Negro, A.; Paccone, A.; Sacco, R.; Sparaco, M.; Gallo, A.; Lavorgna, L.; et al. Dilated perivascular spaces and fatigue: Is there a link? Magnetic resonance retrospective 3Tesla study. Neuroradiology 2016, 58, 859–866. [Google Scholar] [CrossRef]
- Stuke, H.; Hanken, K.; Hirsch, J.; Klein, J.; Wittig, F.; Kastrup, A.; Hildebrandt, H. Cross-Sectional and Longitudinal Relationships between Depressive Symptoms and Brain Atrophy in MS Patients. Front. Hum. Neurosci. 2016, 10, 622. [Google Scholar] [CrossRef] [PubMed]
- Azevedo, C.J.; Cen, S.Y.; Khadka, S.; Liu, S.; Kornak, J.; Shi, Y.; Zheng, L.; Hauser, S.L.; Pelletier, D. Thalamic atrophy in multiple sclerosis: A magnetic resonance imaging marker of neurodegeneration throughout disease. Ann. Neurol. 2018, 83, 223–234. [Google Scholar] [CrossRef] [PubMed]
- Schoonheim, M.M.; Hulst, H.E.; Brandt, R.B.; Strik, M.; Wink, A.M.; Uitdehaag, B.M.; Barkhof, F.; Geurts, J.J. Thalamus structure and function determine severity of cognitive impairment in multiple sclerosis. Neurology 2015, 84, 776–783. [Google Scholar] [CrossRef]
- Rojas, J.I.; Murphy, G.; Sanchez, F.; Patrucco, L.; Fernandez, M.C.; Miguez, J.; Funes, J.; Golimstok, A.; Cristiano, E. Thalamus volume change and cognitive impairment in early relapsing-remitting multiple sclerosis patients. Neuroradiol. J. 2018, 31, 350–355. [Google Scholar] [CrossRef]
- Rivel, M.; Achiron, A.; Dolev, M.; Stern, Y.; Zeilig, G.; Defrin, R. Central Neuropathic Pain in Multiple Sclerosis Is Associated with Impaired Innocuous Thermal Pathways and Neuronal Hyperexcitability. Pain Med. 2021, 22, 2311–2323. [Google Scholar] [CrossRef]
- Shin, K.J.; Lee, H.J.; Park, K.M. Alterations of individual thalamic nuclei volumes in patients with migraine. J. Headache Pain 2019, 20, 112. [Google Scholar] [CrossRef]
- Park, J.; Park, K.M.; Jo, G.; Lee, H.; Choi, B.S.; Shin, K.J.; Ha, S.; Park, S.; Lee, H.J.; Kim, H.Y. An investigation of thalamic nuclei volumes and the intrinsic thalamic structural network based on motor subtype in drug naïve patients with Parkinson’s disease. Park. Relat. Disord. 2020, 81, 165–172. [Google Scholar] [CrossRef]
- Lee, H.J.; Seo, S.A.; Lee, B.I.; Kim, S.E.; Park, K.M. Thalamic nuclei volumes and network in juvenile myoclonic epilepsy. Acta Neurol. Scand. 2020, 141, 271–278. [Google Scholar] [CrossRef] [PubMed]
- Xia, M.; He, Y. Magnetic resonance imaging and graph theoretical analysis of complex brain networks in neuropsychiatric disorders. Brain Connect. 2011, 1, 349–365. [Google Scholar] [CrossRef]
- Vecchio, F.; Miraglia, F.; Porcaro, C.; Cottone, C.; Cancelli, A.; Rossini, P.M.; Tecchio, F. Electroencephalography-Derived Sensory and Motor Network Topology in Multiple Sclerosis Fatigue. Neurorehabilit. Neural. Repair. 2017, 31, 56–64. [Google Scholar] [CrossRef]
- Thompson, A.J.; Banwell, B.L.; Barkhof, F.; Carroll, W.M.; Coetzee, T.; Comi, G.; Correale, J.; Fazekas, F.; Filippi, M.; Freedman, M.S.; et al. Diagnosis of multiple sclerosis: 2017 revisions of the McDonald criteria. Lancet. Neurol. 2018, 17, 162–173. [Google Scholar] [CrossRef]
- Herlofson, K.; Larsen, J.P. Measuring fatigue in patients with Parkinson’s disease—The Fatigue Severity Scale. Eur. J. Neurol. 2002, 9, 595–600. [Google Scholar] [CrossRef] [PubMed]
- Gastaldi, M.; Zardini, E.; Leante, R.; Ruggieri, M.; Costa, G.; Cocco, E.; De Luca, G.; Cataldo, I.; Biagioli, T.; Ballerini, C.; et al. Cerebrospinal fluid analysis and the determination of oligoclonal bands. Neurol. Sci. Off. J. Ital. Neurol. Soc. Ital. Soc. Clin. Neurophysiol. 2017, 38, 217–224. [Google Scholar] [CrossRef] [PubMed]
- Schmidt, P.; Gaser, C.; Arsic, M.; Buck, D.; Förschler, A.; Berthele, A.; Hoshi, M.; Ilg, R.; Schmid, V.J.; Zimmer, C.; et al. An automated tool for detection of FLAIR-hyperintense white-matter lesions in Multiple Sclerosis. NeuroImage 2012, 59, 3774–3783. [Google Scholar] [CrossRef]
- Iglesias, J.E.; Insausti, R.; Lerma-Usabiaga, G.; Bocchetta, M.; Van Leemput, K.; Greve, D.N.; van der Kouwe, A.; Fischl, B.; Caballero-Gaudes, C.; Paz-Alonso, P.M. A probabilistic atlas of the human thalamic nuclei combining ex vivo MRI and histology. NeuroImage 2018, 183, 314–326. [Google Scholar] [CrossRef]
- Zhang, J.; Wang, J.; Wu, Q.; Kuang, W.; Huang, X.; He, Y.; Gong, Q. Disrupted brain connectivity networks in drug-naive, first-episode major depressive disorder. Biol. Psychiatry 2011, 70, 334–342. [Google Scholar] [CrossRef]
- Deppe, M.; Krämer, J.; Tenberge, J.G.; Marinell, J.; Schwindt, W.; Deppe, K.; Groppa, S.; Wiendl, H.; Meuth, S.G. Early silent microstructural degeneration and atrophy of the thalamocortical network in multiple sclerosis. Hum. Brain Mapp. 2016, 37, 1866–1879. [Google Scholar] [CrossRef]
- Marrie, R.A.; Fisher, E.; Miller, D.M.; Lee, J.C.; Rudick, R.A. Association of fatigue and brain atrophy in multiple sclerosis. J. Neurol. Sci. 2005, 228, 161–166. [Google Scholar] [CrossRef] [PubMed]
- Zivadinov, R.; Bergsland, N.; Dolezal, O.; Hussein, S.; Seidl, Z.; Dwyer, M.G.; Vaneckova, M.; Krasensky, J.; Potts, J.A.; Kalincik, T.; et al. Evolution of cortical and thalamus atrophy and disability progression in early relapsing-remitting MS during 5 years. AJNR. Am. J. Neuroradiol. 2013, 34, 1931–1939. [Google Scholar] [CrossRef] [PubMed]
- Dieterich, M.; Kirsch, V.; Brandt, T. Right-sided dominance of the bilateral vestibular system in the upper brainstem and thalamus. J. Neurol. 2017, 264, 55–62. [Google Scholar] [CrossRef]
- Vertes, R.P.; Albo, Z.; Viana Di Prisco, G. Theta-rhythmically firing neurons in the anterior thalamus: Implications for mnemonic functions of Papez’s circuit. Neuroscience 2001, 104, 619–625. [Google Scholar] [CrossRef]
- Żakowski, W. Neurochemistry of the Anterior Thalamic Nuclei. Mol. Neurobiol. 2017, 54, 5248–5263. [Google Scholar] [CrossRef]
- Lengenfelder, J.; Bryant, D.; Diamond, B.J.; Kalmar, J.H.; Moore, N.B.; DeLuca, J. Processing speed interacts with working memory efficiency in multiple sclerosis. Arch. Clin. Neuropsychol. Off. J. Natl. Acad. Neuropsychol. 2006, 21, 229–238. [Google Scholar] [CrossRef]
- DeLuca, J.; Genova, H.M.; Hillary, F.G.; Wylie, G. Neural correlates of cognitive fatigue in multiple sclerosis using functional MRI. J. Neurol. Sci. 2008, 270, 28–39. [Google Scholar] [CrossRef]
- Schiff, N.D. Central thalamic deep brain stimulation to support anterior forebrain mesocircuit function in the severely injured brain. J. Neural Transm. 2016, 123, 797–806. [Google Scholar] [CrossRef]
- Baker, J.L.; Ryou, J.W.; Wei, X.F.; Butson, C.R.; Schiff, N.D.; Purpura, K.P. Robust modulation of arousal regulation, performance, and frontostriatal activity through central thalamic deep brain stimulation in healthy nonhuman primates. J. Neurophysiol. 2016, 116, 2383–2404. [Google Scholar] [CrossRef]
- Stoppe, M.; Meyer, K.; Schlingmann, M.; Olbrich, S.; Then Bergh, F. Hyperstable arousal regulation in multiple sclerosis. Psychoneuroendocrinology 2019, 110, 104417. [Google Scholar] [CrossRef]
- Zikopoulos, B.; Barbas, H. Prefrontal projections to the thalamic reticular nucleus form a unique circuit for attentional mechanisms. J. Neurosci. Off. J. Soc. Neurosci. 2006, 26, 7348–7361. [Google Scholar] [CrossRef]
- Vanduffel, W.; Tootell, R.B.; Orban, G.A. Attention-dependent suppression of metabolic activity in the early stages of the macaque visual system. Cereb. Cortex 2000, 10, 109–126. [Google Scholar] [CrossRef]
- Pinkston, J.B.; Kablinger, A.; Alekseeva, N. Multiple sclerosis and behavior. Int. Rev. Neurobiol. 2007, 79, 323–339. [Google Scholar] [CrossRef]
- LaPointe, L.L.; Maitland, C.G.; Blanchard, A.A.; Kemker, B.E.; Stierwalt, J.A.; Heald, G.R. The effects of auditory distraction on visual cognitive performance in multiple sclerosis. J. Neuro-Ophthalmol. Off. J. N. Am. Neuro-Ophthalmol. Soc. 2005, 25, 92–94. [Google Scholar] [CrossRef]
- Aldughmi, M.; Bruce, J.; Siengsukon, C.F. Relationship Between Fatigability and Perceived Fatigue Measured Using the Neurological Fatigue Index in People with Multiple Sclerosis. Int. J. MS Care 2017, 19, 232–239. [Google Scholar] [CrossRef]
- Shipp, S. The functional logic of cortico-pulvinar connections. Philos. Trans. R. Soc. London. Ser. B Biol. Sci. 2003, 358, 1605–1624. [Google Scholar] [CrossRef]
- Guedj, C.; Vuilleumier, P. Functional connectivity fingerprints of the human pulvinar: Decoding its role in cognition. NeuroImage 2020, 221, 117162. [Google Scholar] [CrossRef]
- Mizzi, R.; Michael, G.A. The role of the collicular pathway in the salience-based progression of visual attention. Behav. Brain Res. 2014, 270, 330–338. [Google Scholar] [CrossRef]
- Krauzlis, R.J.; Lovejoy, L.P.; Zénon, A. Superior colliculus and visual spatial attention. Annu. Rev. Neurosci. 2013, 36, 165–182. [Google Scholar] [CrossRef]
- Riccitelli, G.; Rocca, M.A.; Forn, C.; Colombo, B.; Comi, G.; Filippi, M. Voxelwise assessment of the regional distribution of damage in the brains of patients with multiple sclerosis and fatigue. AJNR. Am. J. Neuroradiol. 2011, 32, 874–879. [Google Scholar] [CrossRef]
- Rocca, M.A.; Parisi, L.; Pagani, E.; Copetti, M.; Rodegher, M.; Colombo, B.; Comi, G.; Falini, A.; Filippi, M. Regional but not global brain damage contributes to fatigue in multiple sclerosis. Radiology 2014, 273, 511–520. [Google Scholar] [CrossRef]
- Filippi, M.; Rocca, M.A.; Colombo, B.; Falini, A.; Codella, M.; Scotti, G.; Comi, G. Functional magnetic resonance imaging correlates of fatigue in multiple sclerosis. NeuroImage 2002, 15, 559–567. [Google Scholar] [CrossRef]
- Cruz Gómez, Á.J.; Ventura Campos, N.; Belenguer, A.; Ávila, C.; Forn, C. Regional brain atrophy and functional connectivity changes related to fatigue in multiple sclerosis. PLoS ONE 2013, 8, e77914. [Google Scholar] [CrossRef]
- Cogliati Dezza, I.; Zito, G.; Tomasevic, L.; Filippi, M.M.; Ghazaryan, A.; Porcaro, C.; Squitti, R.; Ventriglia, M.; Lupoi, D.; Tecchio, F. Functional and structural balances of homologous sensorimotor regions in multiple sclerosis fatigue. J. Neurol. 2015, 262, 614–622. [Google Scholar] [CrossRef]
- Li, X.; Lei, D.; Niu, R.; Li, L.; Suo, X.; Li, W.; Yang, C.; Yang, T.; Ren, J.; Pinaya, W.H.L.; et al. Disruption of gray matter morphological networks in patients with paroxysmal kinesigenic dyskinesia. Hum. Brain Mapp. 2021, 42, 398–411. [Google Scholar] [CrossRef]
- Hawkins, R.; Shatil, A.S.; Lee, L.; Sengupta, A.; Zhang, L.; Morrow, S.; Aviv, R.I. Reduced Global Efficiency and Random Network Features in Patients with Relapsing-Remitting Multiple Sclerosis with Cognitive Impairment. AJNR. Am. J. Neuroradiol. 2020, 41, 449–455. [Google Scholar] [CrossRef]
- Zhu, Q.; Zheng, Q.; Luo, D.; Peng, Y.; Yan, Z.; Wang, X.; Chen, X.; Li, Y. The Application of Diffusion Kurtosis Imaging on the Heterogeneous White Matter in Relapsing-Remitting Multiple Sclerosis. Front. Neurosci. 2022, 16, 849425. [Google Scholar] [CrossRef]
- Yusuf, F.; Wijnands, J.M.; Kingwell, E.; Zhu, F.; Evans, C.; Fisk, J.D.; Zhao, Y.; Sutherland, J.M.; Patrick, D.M.; Marrie, R.A.; et al. Fatigue, sleep disorders, anaemia and pain in the multiple sclerosis prodrome. Mult. Scler. 2021, 27, 290–302. [Google Scholar] [CrossRef]



| F-MS | NF-MS | HCs | p Value | p Value | p Value | p Value | ||
|---|---|---|---|---|---|---|---|---|
| All Groups | F-MS vs. HCs | NF-MS vs. HCs | F-MS vs. NF-MS | |||||
| N | 25 | 25 | 40 | - | - | - | - | |
| Female/male | 16/9 | 17/8 | 26/14 | 0.952 a | 0.935 a | 0.804 a | 0.692 a | |
| OB (+)/OB (-) | 11/14 | 15/10 | - | - | - | - | 0.258 a | |
| Age (y) | Median (IQR) | 33 (25.5) | 29.5 (24) | 28 (25) | 0.242 b | - | - | 0.247 c |
| Education (y) | Median (IQR) | 12 (9) | 14(11.2) | 13 (9) | 0.183 b | - | - | 0.152 c |
| EDSS | Median (IQR) | 2.5 (1) | 2 (1.5) | - | - | - | - | 0.600 c |
| MoCA | Median (IQR) | 27 (26.7) | 28 (27) | 28 (27) | 0.095 b | - | - | 0.112 c |
| BDI-II | Median (IQR) | 7.5 (3.7) | 4.5 (3) | 4 (3) | 0.118 b | - | - | 0.106 c |
| FSS | Median (IQR) | 4.8(4.2) | 2.7 (2.3) | 2.3 (1.9) | 0.000 b | 0.000 b | 0.335 b | 0.000 b |
| PSQI | Median (IQR) | 6 (5) | 5 (2.8) | 5 (4) | 0.130 b | - | - | 0.147 c |
| Lesion volume (mL) | Median (IQR) | 6.3 (2.6) | 6.4 (2.1) | - | - | - | - | 0.381 c |
| Disease duration (y) | Median (IQR) | 2.5 (1.5) | 1.7 (1.4) | - | - | - | - | 0.619 c |
| CortVol (mL) | Mean (SD) | 470.05 ± 38.87 | 463.43 ± 58.04 | 489.64 ± 47.32 | 0.102 d | 0.376 d | 0.169 d | 1.000 d |
| SubCortGrayVol (mL) | Mean (SD) | 56.44 ± 7.26 | 55.79 ± 6.94 | 61.89 ± 4.76 | 0.000 d | 0.002 d | 0.001 d | 1.000 d |
| TotalGrayVol (mL) | Mean (SD) | 629.79 ± 51.83 | 625.43 ± 74.01 | 660.86 ± 58.62 | 0.054 d | 0.169 d | 0.126 d | 1.000 d |
| WhiteVol (mL) | Mean (SD) | 446.24 ± 65.72 | 437.05 ± 62.94 | 480.01 ± 53.09 | 0.017 d | 0.100 d | 0.035 d | 1.000 d |
| eTIV (mL) | Mean (SD) | 1336.74 ± 256.13 | 1328.01 ± 278.80 | 1396.01 ± 282.20 | 0.584 d | 1.000 d | 1.000 d | 1.000 d |
| F-MS | NF-MS | HCs | |||||||
|---|---|---|---|---|---|---|---|---|---|
| Thalamic Nucleus | Mean, % | SD, % | * p-Value | Mean, % | SD, % | * p-Value | † p-Value | Mean, % | SD, % |
| Whole thalamus | 0.9601 | 0.1853 | 0.0300 | 0.9853 | 0.1689 | 0.0670 | 1.000 | 1.0919 | 0.1699 |
| Lt. whole thalamus | 0.5049 | 0.0946 | 0.0157 | 0.5284 | 0.1064 | 0.1426 | 0.4497 | 0.5687 | 0.0924 |
| Rt. whole thalamus | 0.4588 | 0.0893 | 0.0047 | 0.4583 | 0.0782 | 0.0067 | 0.9846 | 0.5232 | 0.0807 |
| Anterior group | |||||||||
| Lt. anteroventral | 0.0086 | 0.0019 | 0.0032 | 0.0090 | 0.0028 | 0.0292 | 0.5585 | 0.0103 | 0.0019 |
| Rt. anteroventral | 0.0081 | 0.0016 | ‡ 0.0001 | 0.0088 | 0.0020 | 0.0172 | 0.2353 | 0.0101 | 0.0020 |
| Lateral group | |||||||||
| Lt. laterodorsal | 0.0014 | 0.0004 | ‡ 0.0010 | 0.0013 | 0.0007 | ‡ 0.0009 | 0.8441 | 0.0020 | 0.0008 |
| Rt. laterodorsal | 0.0012 | 0.0006 | ‡ 0.0001 | 0.0011 | 0.0005 | ‡ 0.0001 | 0.7220 | 0.0019 | 0.0006 |
| Lt. lateral posterior | 0.0087 | 0.0022 | 0.0654 | 0.0086 | 0.0022 | 0.0629 | 0.9209 | 0.0097 | 0.0017 |
| Rt. lateral posterior | 0.0079 | 0.0020 | 0.0068 | 0.0079 | 0.0016 | 0.0103 | 0.9925 | 0.0093 | 0.0018 |
| Ventral group | |||||||||
| Lt. ventral anterior | 0.0301 | 0.0060 | 0.0576 | 0.0306 | 0.0064 | 0.1349 | 0.7800 | 0.0330 | 0.0050 |
| Rt. ventral anterior | 0.0291 | 0.0057 | 0.0327 | 0.0294 | 0.0053 | 0.0650 | 0.8663 | 0.0323 | 0.0052 |
| Lt. ventral anterior magnocellular | 0.0024 | 0.0005 | 0.0851 | 0.0025 | 0.0005 | 0.4686 | 0.4170 | 0.0026 | 0.0004 |
| Rt. ventral anterior magnocellular | 0.0024 | 0.0005 | 0.1615 | 0.0024 | 0.0004 | 0.1107 | 0.8115 | 0.0026 | 0.0004 |
| Lt. ventral lateral anterior | 0.0478 | 0.0095 | 0.1342 | 0.0493 | 0.0090 | 0.4261 | 0.5769 | 0.0512 | 0.0075 |
| Rt. ventral lateral anterior | 0.0449 | 0.0087 | 0.0901 | 0.0445 | 0.0067 | 0.0787 | 0.8930 | 0.0484 | 0.0073 |
| Lt. ventral lateral posterior | 0.0632 | 0.0133 | 0.1111 | 0.0658 | 0.0115 | 0.4604 | 0.4902 | 0.0681 | 0.0102 |
| Rt. ventral lateral posterior | 0.0585 | 0.0113 | 0.0763 | 0.0581 | 0.0082 | 0.0688 | 0.9018 | 0.0631 | 0.0095 |
| Lt. ventral posterolateral | 0.0740 | 0.0152 | 0.0612 | 0.0802 | 0.0151 | 0.7458 | 0.1973 | 0.0815 | 0.0144 |
| Rt. ventral posterolateral | 0.0635 | 0.0132 | 0.0506 | 0.0642 | 0.0098 | 0.1029 | 0.8369 | 0.0698 | 0.0119 |
| Lt. ventromedial | 0.0020 | 0.0004 | 0.0589 | 0.0021 | 0.0004 | 0.4866 | 0.3271 | 0.0022 | 0.0004 |
| Rt. ventromedial | 0.0018 | 0.0005 | 0.0808 | 0.0017 | 0.0004 | 0.0761 | 0.9167 | 0.0020 | 0.0004 |
| Intralaminar group | |||||||||
| Lt. central medial | 0.0047 | 0.0012 | 0.0246 | 0.0048 | 0.0015 | 0.0916 | 0.6818 | 0.0054 | 0.0010 |
| Rt. central medial | 0.0045 | 0.0012 | 0.0082 | 0.0044 | 0.0012 | 0.0059 | 0.8235 | 0.0053 | 0.0010 |
| Lt. central lateral | 0.0022 | 0.0005 | 0.0013 | 0.0023 | 0.0006 | 0.0117 | 0.6043 | 0.0028 | 0.0006 |
| Rt. central lateral | 0.0021 | 0.0004 | ‡ 0.0001 | 0.0022 | 0.0004 | 0.0036 | 0.4318 | 0.0026 | 0.0006 |
| Lt. paracentral | 0.0003 | 0.0001 | 0.0296 | 0.0003 | 0.0001 | 0.1690 | 0.5310 | 0.0003 | 0.0001 |
| Rt. paracentral | 0.0003 | 0.0001 | 0.0654 | 0.0003 | 0.0001 | 0.0258 | 0.6612 | 0.0004 | 0.0001 |
| Lt. centromedian | 0.0189 | 0.0037 | 0.0507 | 0.0194 | 0.0031 | 0.1701 | 0.6618 | 0.0208 | 0.0037 |
| Rt. centromedian | 0.0177 | 0.0035 | 0.0714 | 0.0174 | 0.0023 | 0.0418 | 0.7686 | 0.0192 | 0.0032 |
| Lt. parafasicular | 0.0044 | 0.0011 | 0.1080 | 0.0043 | 0.0010 | 0.0534 | 0.7133 | 0.0048 | 0.0009 |
| Rt. parafasicular | 0.0044 | 0.0010 | 0.1996 | 0.0042 | 0.0007 | 0.0283 | 0.3776 | 0.0047 | 0.0008 |
| Medial group | |||||||||
| Lt. paratenial | 0.0005 | 0.0001 | 0.0369 | 0.0006 | 0.0001 | 0.5393 | 0.2218 | 0.0006 | 0.0001 |
| Rt. paratenial | 0.0005 | 0.0001 | 0.0144 | 0.0005 | 0.0001 | 0.0140 | 0.9033 | 0.0005 | 0.0001 |
| Lt. reuniens (medial ventral) | 0.0009 | 0.0003 | 0.0081 | 0.0009 | 0.0004 | 0.0127 | 0.9802 | 0.0011 | 0.0002 |
| Rt. reuniens (medial ventral) | 0.0008 | 0.0003 | 0.0017 | 0.0008 | 0.0003 | 0.0020 | 0.9234 | 0.0010 | 0.0003 |
| Lt. mediodorsal medial magnocellular | 0.0582 | 0.0120 | 0.1454 | 0.0593 | 0.0189 | 0.2630 | 0.8139 | 0.0639 | 0.0133 |
| Rt. mediodorsal medial magnocellular | 0.0559 | 0.0129 | 0.0865 | 0.0531 | 0.0132 | 0.0152 | 0.4647 | 0.0616 | 0.0111 |
| Lt. mediodorsal lateral parvocellular | 0.0195 | 0.0037 | 0.1365 | 0.0200 | 0.0070 | 0.2917 | 0.7480 | 0.0216 | 0.0050 |
| Rt. mediodorsal lateral parvocellular | 0.0189 | 0.0048 | 0.0713 | 0.0177 | 0.0045 | 0.0086 | 0.3995 | 0.0211 | 0.0044 |
| Posterior group | |||||||||
| Lt. lateral geniculate | 0.0197 | 0.0057 | 0.0022 | 0.0201 | 0.0051 | 0.0079 | 0.8009 | 0.0238 | 0.0043 |
| Rt. lateral geniculate | 0.0157 | 0.0046 | ‡ 0.0002 | 0.0165 | 0.0041 | 0.0035 | 0.5211 | 0.0199 | 0.0034 |
| Lt. medial geniculate | 0.0080 | 0.0016 | 0.0251 | 0.0086 | 0.0018 | 0.3020 | 0.3231 | 0.0093 | 0.0024 |
| Rt. medial geniculate | 0.0085 | 0.0015 | 0.1019 | 0.0086 | 0.0017 | 0.1902 | 0.8267 | 0.0093 | 0.0021 |
| Lt. limitans (suprageniculate) | 0.0015 | 0.0005 | 0.0161 | 0.0017 | 0.0005 | 0.2352 | 0.3195 | 0.0018 | 0.0006 |
| Rt. limitans (suprageniculate) | 0.0014 | 0.0005 | 0.1960 | 0.0015 | 0.0004 | 0.7682 | 0.4095 | 0.0016 | 0.0005 |
| Lt. pulvinar anterior | 0.0164 | 0.0032 | 0.0093 | 0.0178 | 0.0045 | 0.2263 | 0.2520 | 0.0191 | 0.0037 |
| Rt. pulvinar anterior | 0.0142 | 0.0030 | ‡ 0.0009 | 0.0143 | 0.0029 | 0.0022 | 0.9295 | 0.0169 | 0.0029 |
| Lt. pulvinar medial | 0.0792 | 0.0155 | ‡ 0.0007 | 0.0845 | 0.0192 | 0.0273 | 0.3295 | 0.0951 | 0.0162 |
| Rt. pulvinar medial | 0.0698 | 0.0149 | ‡ 0.0001 | 0.0713 | 0.0164 | ‡ 0.0003 | 0.7647 | 0.0875 | 0.0146 |
| Lt. pulvinar lateral | 0.0144 | 0.0031 | 0.2174 | 0.0155 | 0.0034 | 0.9345 | 0.2697 | 0.0154 | 0.0029 |
| Rt. pulvinar lateral | 0.0121 | 0.0033 | 0.1107 | 0.0119 | 0.0022 | 0.0875 | 0.8613 | 0.0132 | 0.0024 |
| Lt. pulvinar inferior | 0.0181 | 0.0042 | ‡ 0.0010 | 0.0190 | 0.0056 | 0.0126 | 0.5421 | 0.0222 | 0.0040 |
| Rt. pulvinar inferior | 0.0146 | 0.0036 | ‡ 0.0001 | 0.0153 | 0.0039 | ‡ 0.0006 | 0.5958 | 0.0191 | 0.0038 |
| F-MS | HCs | ||||||
| Average Value | AUC | Average Value | AUC | Difference | Difference in AUC | PAUC | |
| Lp | 2.9883 | 1.0321 | 2.4339 | 0.8419 | 0.5544 | 0.1902 | * 0.013 |
| Eglob | 0.3977 | 0.1393 | 0.4589 | 0.1610 | −0.0612 | −0.0217 | 0.1210 |
| Eloc | 0.6230 | 0.2191 | 0.6410 | 0.2251 | −0.0180 | −0.0060 | 0.6150 |
| Cp | 0.5351 | 0.1881 | 0.5270 | 0.1848 | 0.0081 | 0.0033 | 0.7240 |
| σ | 1.3939 | 0.4859 | 1.4883 | 0.5105 | −0.0944 | −0.0245 | 0.6990 |
| NF-MS | HCs | ||||||
| Average Value | AUC | Average Value | AUC | Difference | Difference in AUC | PAUC | |
| Lp | 2.4569 | 0.8377 | 2.4384 | 0.8422 | 0.0185 | −0.0045 | 0.9280 |
| Eglob | 0.4746 | 0.1669 | 0.4611 | 0.1619 | 0.0135 | 0.0050 | 0.5660 |
| Eloc | 0.6738 | 0.2367 | 0.6401 | 0.2247 | 0.0337 | 0.0120 | 0.3470 |
| Cp | 0.5624 | 0.1974 | 0.5244 | 0.1839 | 0.0380 | 0.0136 | 0.1710 |
| σ | 1.4697 | 0.5128 | 1.4978 | 0.5135 | −0.0281 | −0.0007 | 0.9880 |
| F-MS | NF-MS | ||||||
| Average Value | AUC | Average Value | AUC | Difference | Difference in AUC | PAUC | |
| Lp | 2.9674 | 1.0190 | 2.4411 | 0.8356 | 0.5263 | 0.1834 | * 0.038 |
| Eglob | 0.4067 | 0.1426 | 0.4724 | 0.1662 | −0.0657 | −0.0235 | 0.0680 |
| Eloc | 0.6304 | 0.2218 | 0.6623 | 0.2330 | −0.0319 | −0.0112 | 0.4140 |
| Cp | 0.5435 | 0.1913 | 0.5523 | 0.1942 | −0.0088 | −0.0029 | 0.8150 |
| σ | 1.4010 | 0.4905 | 1.5359 | 0.5349 | −0.1349 | −0.0443 | 0.5780 |
Publisher’s Note: MDPI stays neutral with regard to jurisdictional claims in published maps and institutional affiliations. |
© 2022 by the authors. Licensee MDPI, Basel, Switzerland. This article is an open access article distributed under the terms and conditions of the Creative Commons Attribution (CC BY) license (https://creativecommons.org/licenses/by/4.0/).
Share and Cite
Li, Y.; Wang, J.; Yang, T.; Zhang, P.; Ai, K.; Li, M.; Wang, R.; Ren, X.; Xiong, D.; Liu, G.; et al. Alterations of Thalamic Nuclei Volumes and the Intrinsic Thalamic Structural Network in Patients with Multiple Sclerosis-Related Fatigue. Brain Sci. 2022, 12, 1538. https://doi.org/10.3390/brainsci12111538
Li Y, Wang J, Yang T, Zhang P, Ai K, Li M, Wang R, Ren X, Xiong D, Liu G, et al. Alterations of Thalamic Nuclei Volumes and the Intrinsic Thalamic Structural Network in Patients with Multiple Sclerosis-Related Fatigue. Brain Sciences. 2022; 12(11):1538. https://doi.org/10.3390/brainsci12111538
Chicago/Turabian StyleLi, Yujing, Jun Wang, Tingli Yang, Pengfei Zhang, Kai Ai, Min Li, Rui Wang, Xinying Ren, Diaohan Xiong, Guangyao Liu, and et al. 2022. "Alterations of Thalamic Nuclei Volumes and the Intrinsic Thalamic Structural Network in Patients with Multiple Sclerosis-Related Fatigue" Brain Sciences 12, no. 11: 1538. https://doi.org/10.3390/brainsci12111538
APA StyleLi, Y., Wang, J., Yang, T., Zhang, P., Ai, K., Li, M., Wang, R., Ren, X., Xiong, D., Liu, G., Han, N., Gan, T., & Zhang, J. (2022). Alterations of Thalamic Nuclei Volumes and the Intrinsic Thalamic Structural Network in Patients with Multiple Sclerosis-Related Fatigue. Brain Sciences, 12(11), 1538. https://doi.org/10.3390/brainsci12111538

