Development of Molecular-Based Species Identification and Optimization of Reaction Conditions for Molecular Diagnosis of Three Major Asian Planthoppers (Hemiptera: Delphacidae)
Abstract
Simple Summary
Abstract
1. Introduction
2. Materials and Methods
2.1. Sample Collection
2.2. DNA Sample Preparation and Primer Design
2.3. Development of Multiplex PCR and LAMP
2.4. Field Application
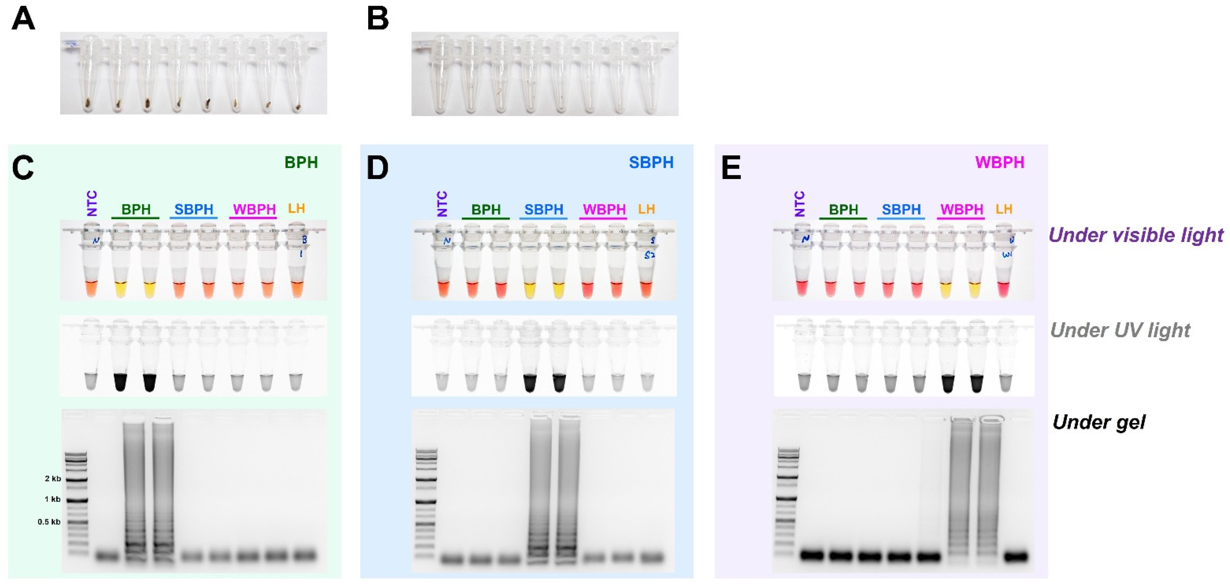
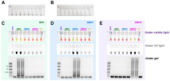
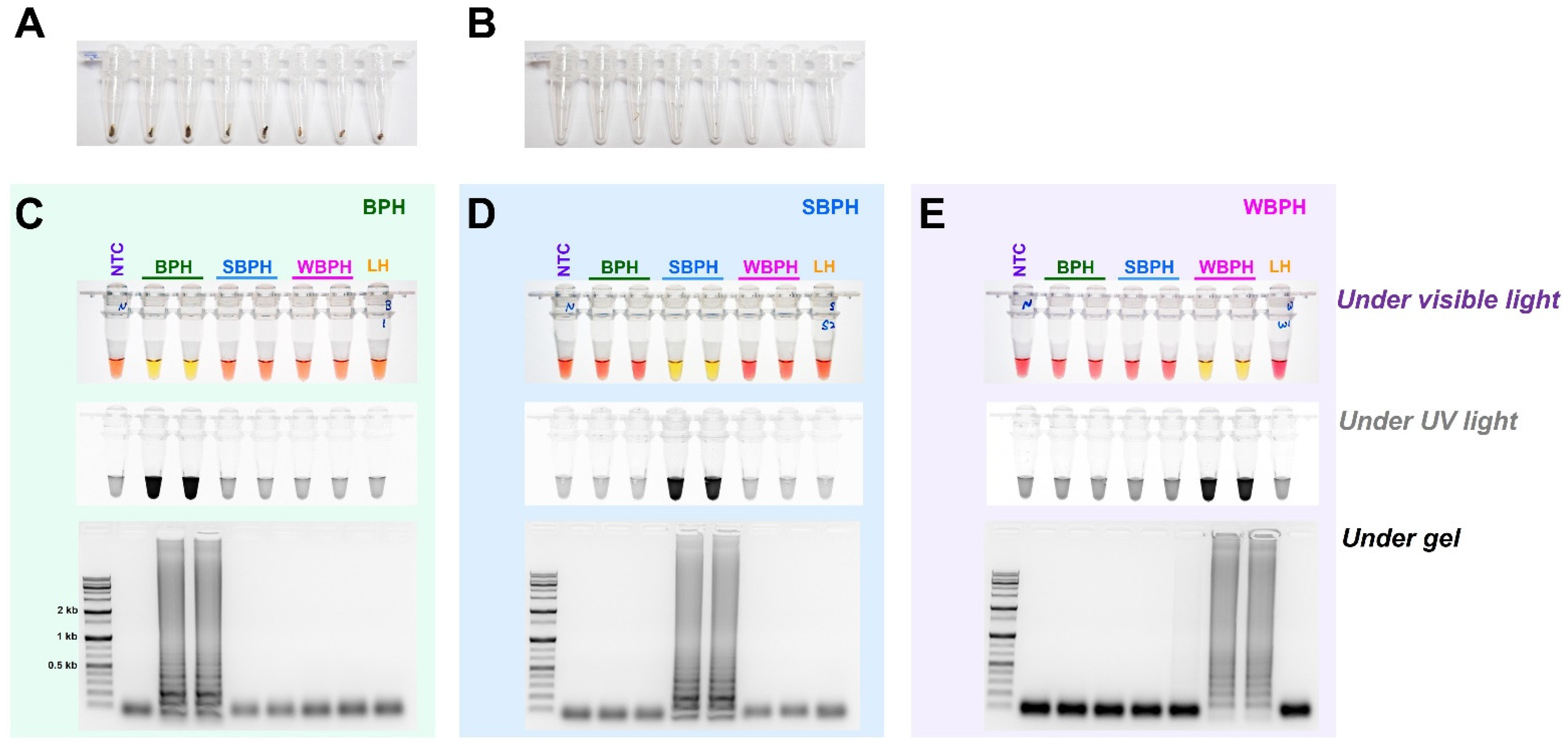
3. Results
3.1. Primer Designing and Primer Selection
3.2. Comparison of Loop Primer Efficiency
3.3. Determining the Diagnosis Limit Concentrations
3.4. Field Application
4. Discussion
5. Conclusions
Supplementary Materials
Author Contributions
Funding
Data Availability Statement
Acknowledgments
Conflicts of Interest
References
- Heinrichs, E.A. Impact of Insecticides on the Resistance and Resurgence of Rice Planthoppers. In Planthoppers; Springer: Berlin/Heidelberg, Germany, 1994; pp. 571–598. [Google Scholar]
- Yashiro, T.; Sanada-Morimura, S. A Rapid Multiplex PCR Assay for Species Identification of Asian Rice Planthoppers (Hemiptera: Delphacidae) and Its Application to Early-Instar Nymphs in Paddy Fields. PLoS ONE 2021, 16, e0250471. [Google Scholar] [CrossRef]
- Evans, L.T.; Evans, L.T. Feeding the Ten Billion: Plants and Population Growth; Cambridge University Press: Cambridge, UK, 1998; ISBN 0521646855. [Google Scholar]
- Cheng, J.A. Rice Planthopper Problems and Relevant Causes in China. Planthoppers New Threat. Sustain. Intensive Rice Prod. Syst. Asia 2009, 157, 178. [Google Scholar]
- Matsumura, M.; Sanada-Morimura, S. Recent Status of Insecticide Resistance in Asian Rice Planthoppers. Japan Agric. Res. Q. JARQ 2010, 44, 225–230. [Google Scholar] [CrossRef]
- Heong, K.L.; Hardy, B. Planthoppers: New Threats to the Sustainability of Intensive Rice Production Systems in Asia; International Rice Research Institute: Metro Manila, Philippines, 2009; ISBN 9712202518. [Google Scholar]
- Ali, M.P.; Huang, D.; Nachman, G.; Ahmed, N.; Begum, M.A.; Rabbi, M.F. Will Climate Change Affect Outbreak Patterns of Planthoppers in Bangladesh? PLoS ONE 2014, 9, e91678. [Google Scholar] [CrossRef] [PubMed]
- Piyaphongkul, J.; Pritchard, J.; Bale, J. Can Tropical Insects Stand the Heat? A Case Study with the Brown Planthopper Nilaparvata Lugens (Stål). PLoS ONE 2012, 7, e29409. [Google Scholar] [CrossRef] [PubMed]
- Denno, R.F.; Olmstead, K.L.; McCloud, E.S. Reproductive Cost of Flight Capability: A Comparison of Life History Traits in Wing Dimorphic Planthoppers. Ecol. Entomol. 1989, 14, 31–44. [Google Scholar] [CrossRef]
- Denno, R.F. The Optimum Population Strategy for Planthoppers (Homoptera: Delphacidae) in Stable Marsh HabitatS1. Can. Entomol. 1978, 110, 135–142. [Google Scholar] [CrossRef]
- Harpaz, I. Maize Rough Dwarf. A Planthopper Virus Disease Affecting Maize, Rice, Small Grains and Grasses.; Israel Universities Press: Jerusalem, Israel, 1972; ISBN 0706511166. [Google Scholar]
- Kim, K.-H.; Cho, J.; Lee, Y.-H. Forecasting Brown Planthopper Infestation in Korea Using Statistical Models Based on Climatic Tele-Connections. Korean J. Appl. Entomol. 2016, 55, 139–148. [Google Scholar] [CrossRef]
- Lee, J.O. Biology and Control of the Brown Planthopper (Nilaparvata Lugens) in Korea. Rice Brown Planthopper 1977, 37, 199–213. [Google Scholar]
- Alam, S.; Karim, A. Brown Planthopper (Nilaparvata Lugens)—A Probable Threat to Rice Cultivation in Bangladesh. In Proceedings of the Second Annual Bangladesh Science Conference; Bangladesh Agricultural University, Mymensingh, Bangladesh, 1977; 1 p. [Google Scholar]
- Miyashita, K. Outbreaks and Population Fluctuations of Insects, with Special Reference to Agricultural Insect Pests in Japan. Bull. Natl. Sust. Agric. Sci. Ser. C 1963, 15, 99–170. [Google Scholar]
- Tirawat, C. Report on Brown Planthopper, Nilaparvata Lugens (Stål) in Thailand. In Proceedings of the International Rice Research Conference; International Rice Research Institute, Los Baños, Philippines, 1975; 2 p. [Google Scholar]
- Park, B.-Y.; Lee, S.-K.; Park, H.-H.; Jeon, S.-W.; Jeong, I.-H.; Park, S.-K.; Hossain, M.M.; Sovandeth, C.; Rattanakarng, W.; Vuong, P.T. Occurrence Patterns of Three Planthopper Species in Rice Fields in Bangladesh, Cambodia, Thailand and Vietnam. Korean J. Org. Agric. 2018, 26, 489–500. [Google Scholar] [CrossRef]
- Perfect, T.J.; Cook, A.G. Rice Planthopper Population Dynamics: A Comparison between Temperate and Tropical Regions. In Planthoppers; Springer: Berlin/Heidelgerg, Germany, 1994; pp. 282–301. [Google Scholar]
- Kwon, D.H.; Jeong, I.-H.; Hong, S.J.; Jung, M.-P.; Kim, K.-S.; Lee, S.W.; Lee, S.H. Incidence and Occurrence Profiles of the Small Brown Planthopper (Laodelphax Striatellus Fallén) in Korea in 2011–2015. J. Asia. Pac. Entomol. 2018, 21, 293–300. [Google Scholar] [CrossRef]
- Esaki, T.; Hashimoto, S. Studies on Rice Leaf-Hoppers. I. Biology and Natural Enemies. Stud. Rice Leaf-hoppers. I. Biol. Nat. Enemies. 1937, 127, 16. [Google Scholar]
- Matsumura, M.; Takeuchi, H.; Satoh, M.; Sanada-Morimura, S.; Otuka, A.; Watanabe, T.; Van Thanh, D. Species-specific Insecticide Resistance to Imidacloprid and Fipronil in the Rice Planthoppers Nilaparvata Lugens and Sogatella Furcifera in East and South-east Asia. Pest Manag. Sci. Former. Pestic. Sci. 2008, 64, 1115–1121. [Google Scholar] [CrossRef] [PubMed]
- Sanada-Morimura, S.; Sakumoto, S.; Ohtsu, R.; Otuka, A.; Huang, S.-H.; Van Thanh, D.; Matsumura, M. Current Status of Insecticide Resistance in the Small Brown Planthopper, Laodelphax Striatellus, in Japan, Taiwan, and Vietnam. Appl. Entomol. Zool. 2011, 46, 65–73. [Google Scholar] [CrossRef]
- Jeong, I.-H.; Lee, S.W.; Choi, B.-R.; Lee, S.H.; Kwon, D.H. Monitoring and Evaluation of Differential Insecticide Resistance Profiles in the Immigrant vs. Indigenous Populations of the Small Brown Planthopper (Laodelphax Striatellus Fallén) in Korea. J. Asia. Pac. Entomol. 2016, 19, 247–252. [Google Scholar] [CrossRef]
- Wilson, M.R.; Claridge, M.F. Handbook for the Identification of Leafhoppers and Planthoppers of Rice.; CAB International: Wallingford, UK, 1991; ISBN 0851986927. [Google Scholar]
- Hasegawa, H. Discrimination of Important Species in the Delphacidae in Japan. Proc. Proc. Kanto-Tosan Plant Prot. Soc. 1955, 2, 3–4. [Google Scholar]
- Caro, E.B.A.; Dumón, A.D.; Mattio, M.F.; Alemandri, V.; Truol, G. A Molecular Framework for the Identification of Planthopper Vectors (Hemiptera: Delphacidae) of Central Argentina. Bull. Entomol. Res. 2015, 105, 754–762. [Google Scholar] [CrossRef]
- Liu, Y.; Lin, K.; Han, L.; Hou, M. Molecular Identification of Nilaparvata Lugens (Stål), Sogatella Furcifera (Horvath) and Laodelphax Striatellus (Fallen)(Homoptera: Delphacidae) Based on RDNA ITS1 and ITS2 Sequences. Acta Entomol. Sin. 2009, 52, 1266–1272. [Google Scholar]
- Seo, B.Y.; Park, C.G.; Koh, Y.-H.; Jung, J.K.; Cho, J.; Kang, C. ITS2 DNA Sequence Analysis for Eight Species of Delphacid Planthoppers and a Loop-Mediated Isothermal Amplification Method for the Brown Planthopper-Specific Detection. Korean J. Appl. Entomol. 2017, 56, 377–385. [Google Scholar]
- Seo, B.Y.; Park, C.G.; Jung, J.K.; Cho, J.; Lee, G.-S.; Kim, K.-H. A Loop-Mediated Isothermal Amplification Method for White-Backed Planthopper-Specific Detection. Korean J. Appl. Entomol. 2018, 57, 393–399. [Google Scholar]
- Nam, H.Y.; Kim, J.H.; Lee, S.H.; Heckel, D.G.; Kim, J. Development of a LAMP-Based Molecular Species Diagnosis Method for Four Major Agricultural Pests in the Genus Spodoptera (Lepidoptera: Noctuidae). Insects 2021, 12, 883. [Google Scholar] [CrossRef]
- Wang, G.; Wang, X.; Qiao, F.; Zhu, Z.; Cheng, J. Development and Preliminary Application of a Triplex Real-time Polymerase Chain Reaction Assay for Evaluating Predation on Three Planthoppers in a Rice Ecosystem. Mol. Ecol. Resour. 2013, 13, 811–819. [Google Scholar] [CrossRef]
- JIN, M.; Jian, X.U.E.; Yun, Y.A.O.; LIN, X. Molecular Characterization and Functional Analysis of Krüppel-Homolog 1 (Kr-H1) in the Brown Planthopper, Nilaparvata Lugens (Stål). J. Integr. Agric. 2014, 13, 1972–1981. [Google Scholar] [CrossRef]
- Marquina, D.; Andersson, A.F.; Ronquist, F. New Mitochondrial Primers for Metabarcoding of Insects, Designed and Evaluated Using in Silico Methods. Mol. Ecol. Resour. 2019, 19, 90–104. [Google Scholar] [CrossRef]
- Yu, X.; Yang, H.; Liu, J.; Qi, Y.; Sun, L.; Tian, X. A Strategy for a High Enrichment of Insect Mitochondrial DNA for Mitogenomic Analysis. Gene 2022, 808, 145986. [Google Scholar] [CrossRef] [PubMed]
- Fu, S.-J.; Zhang, J.-L.; Chen, S.-J.; Chen, H.-H.; Liu, Y.-L.; Xu, H.-J. Functional Analysis of Ultrabithorax in the Wing-Dimorphic Planthopper Nilaparvata Lugens (Stål, 1854)(Hemiptera: Delphacidae). Gene 2020, 737, 144446. [Google Scholar] [CrossRef]
- Folmer, O.; Black, M.; Hoeh, W.; Lutz, R.; Vrijenhoek, R.C. DNA Primers for Amplification of Mitochondrial Cytochrome C Oxidase Subunit I from Diverse Metazoan Invertebrates. Mol. Mar. Biol. Biotechnol. 1994, 3, 294–299. [Google Scholar]
- Zhang, Z.; Schwartz, S.; Wagner, L.; Miller, W. A Greedy Algorithm for Aligning DNA Sequences. J. Comput. Biol. 2000, 7, 203–214. [Google Scholar] [CrossRef]
- Larkin, M.A.; Blackshields, G.; Brown, N.P.; Chenna, R.; McGettigan, P.A.; McWilliam, H.; Valentin, F.; Wallace, I.M.; Wilm, A.; Lopez, R. Clustal W and Clustal X Version 2.0. Bioinformatics 2007, 23, 2947–2948. [Google Scholar] [CrossRef]
- Tamura, K.; Stecher, G.; Kumar, S. MEGA11: Molecular Evolutionary Genetics Analysis Version 11. Mol. Biol. Evol. 2021, 38, 3022–3027. [Google Scholar] [CrossRef] [PubMed]
- Nam, H.; Kwon, M.; Ramasamy, S.; Kim, J. Identification of Two Diamondback Moth Parasitoids, Diadegma Fenestrale and Diadegma Semiclausum, Using LAMP for Application in Biological Control. Horticulturae 2022, 8, 366. [Google Scholar] [CrossRef]
- Reuter, C.; Slesiona, N.; Hentschel, S.; Aehlig, O.; Breitenstein, A.; Csáki, A.; Henkel, T.; Fritzsche, W. Loop-Mediated Amplification as Promising on-Site Detection Approach for Legionella Pneumophila and Legionella Spp. Appl. Microbiol. Biotechnol. 2020, 104, 405–415. [Google Scholar] [CrossRef]
- Hu, G.; Lu, M.-H.; Reynolds, D.R.; Wang, H.-K.; Chen, X.; Liu, W.-C.; Zhu, F.; Wu, X.-W.; Xia, F.; Xie, M.-C. Long-Term Seasonal Forecasting of a Major Migrant Insect Pest: The Brown Planthopper in the Lower Yangtze River Valley. J. Pest Sci. 2019, 92, 417–428. [Google Scholar] [CrossRef]
- Kim, J.; Nam, H.Y.; Kwon, M.; Kim, H.J.; Yi, H.J.; Haenniger, S.; Unbehend, M.; Heckel, D.G. Development of a Simple and Accurate Molecular Tool for Spodoptera Frugiperda Species Identification Using LAMP. Pest Manag. Sci. 2021, 77, 3145–3153. [Google Scholar] [CrossRef] [PubMed]
- Chen, H.; Rangasamy, M.; Tan, S.Y.; Wang, H.; Siegfried, B.D. Evaluation of Five Methods for Total DNA Extraction from Western Corn Rootworm Beetles. PLoS ONE 2010, 5, e11963. [Google Scholar] [CrossRef] [PubMed]
- Sogawa, K. Planthopper Outbreaks in Different Paddy Ecosystems in Asia: Man-Made Hopper Plagues That Threatened the Green Revolution in Rice. In Rice Planthoppers; Springer: Berlin/Heidelgerg, Germany, 2015; pp. 33–63. [Google Scholar]
- MacDonald, C.; Loxdale, H. Molecular Markers to Study Population Structure and Dynamics in Beneficial Insects (Predators and Parasitoids). Int. J. Pest Manag. 2004, 50, 215–224. [Google Scholar] [CrossRef]
- El Sheikha, A.F. Tracing Insect Pests: Is There New Potential in Molecular Techniques? Insect Mol. Biol. 2019, 28, 759–772. [Google Scholar] [CrossRef]
- Loxdale, H.D.; Lushai, G. Molecular Markers in Entomology. Bull. Entomol. Res. 1998, 88, 577–600. [Google Scholar] [CrossRef]
- Khan, M.; Wang, R.; Li, B.; Liu, P.; Weng, Q.; Chen, Q. Comparative Evaluation of the LAMP Assay and PCR-Based Assays for the Rapid Detection of Alternaria Solani. Front. Microbiol. 2018, 9, 2089. [Google Scholar] [CrossRef] [PubMed]
- Kim, J.; Nam, H.Y.; Kwon, M.; Choi, J.H.; Cho, S.R.; Kim, G.-H. Novel Diamide Resistance-Linked Mutation in Korean Spodoptera Exigua and a LAMP Assay Based on a Mutation-Associated Intronic InDel. J. Pest Sci. 2021, 94, 1017–1029. [Google Scholar] [CrossRef]
- Rahman, M.-M.; Lim, S.-J.; Park, Y.-C. Genome-Wide Searching Single Nucleotide-Polymorphisms (SNPs) and SNPs-Targeting a Multiplex Primer for Identification of Common Salmonella Serotypes. Pathogens 2022, 11, 1075. [Google Scholar] [CrossRef] [PubMed]
- Xiao, C.; Xu, Q.; Li, H.; Zhu, X.; Yu, Z.; Zhao, J.; Li, Y.; Liu, H.; Shi, H.; Liu, C. Development and Application of a Multiplex PCR System for Drowning Diagnosis. Electrophoresis 2021, 42, 1270–1278. [Google Scholar] [CrossRef]
- Zhou, L.; Chen, Z.; Lang, X.; Du, B.; Liu, K.; Yang, G.; Hu, G.; Li, S.; He, G.; You, A. Development and Validation of a PCR-Based Functional Marker System for the Brown Planthopper Resistance Gene Bph14 in Rice. Breed. Sci. 2013, 63, 347–352. [Google Scholar] [CrossRef] [PubMed]
- Moehling, T.J.; Choi, G.; Dugan, L.C.; Salit, M.; Meagher, R.J. LAMP Diagnostics at the Point-of-Care: Emerging Trends and Perspectives for the Developer Community. Expert Rev. Mol. Diagn. 2021, 21, 43–61. [Google Scholar] [CrossRef] [PubMed]






| Insect Sample Name | Primers ** | Sequence (5′–3′) * |
|---|---|---|
| Brown planthopper (BPH, Nilaparvata lugens, Stål) | BPH_lamp3_F33 | ATTCACCTTCAGAAAAATCAAATGGG |
| BPH_lamp3_B33 | ATACCCTTATTAGGACTTTTAATTTCCT | |
| BPH_lamp3_FIP | GGTGTATAGAATTTTGTTATCTAGATGATCCAACTGAGCGTATACAGCC | |
| BPH_lamp3_BIP | ACTTGAACAAGCAATAAAAAATAATAAACCCCTTAAATTTATGATGTTTATATCCTT | |
| BPH_lamp3_LF | CTTCTAATTCATCTTATTCACTTTTA | |
| BPH_lamp3_LB | TAAAGGAAAACTTAAGAAATTAAATGATA | |
| Small brown planthopper (SBPH, Laodelphax striatellus, Fallén). | SBPH_lamp1_F311 | GGTATAACAACATTAATTTCCCTAAGAAG |
| SBPH_lamp4_B341 | GGAAAGGTATATGTATTATCTGATTTGTG | |
| SBPH_lamp14_FIP | CGTAGACAAAATTACGCATTCTATTCACTTCCATACTTGAAAACCCATA | |
| SBPH_lamp14_BIP | AATCCCCCCAATGGTTTTAATCAAACTATTAGGGTTATAGTTAAAGGTAA | |
| SBPH_lamp14_LF | ATTCTATTCATCCTAAATTAGATATTAT | |
| SBPH_lamp14_LB | CAGGTTAATTGATTTAAAAATACTTATT | |
| White-backed planthopper (WBPH, Sogatella furcifera, Horváth), | WBPH_lamp1_F31 | ATTGTAGGGAGAGTAAGTGGGG |
| WBPH_lamp1_B312 | GGGAGTCCTCTAATAGATAACAGG | |
| WBPH_lamp1_FIP | GTCATGAATGAGGAGGTTATTCATGATTTAAAAAAAATAATAGCTTATTCCTCCAT | |
| WBPH_lamp1_BIP | TTATGTTTTTAACCATTTACTCCTCCCTGATTAACAAATATGAGGTTGTTGT | |
| WBPH_lamp1_LF | GAGGAGGTTATTCATGAAATATTAAAA | |
| WBPH_lamp1_LB | TAACGTCAGAGCTATACTATTTTTTTTAA | |
| Planthopper and leafhopper identification | LCO1490 | GGTCAACAAATCATAAAGATATTGG |
| HCO2198 | TAAACTTCAGGCTGACCAAAAAATCA |
Disclaimer/Publisher’s Note: The statements, opinions and data contained in all publications are solely those of the individual author(s) and contributor(s) and not of MDPI and/or the editor(s). MDPI and/or the editor(s) disclaim responsibility for any injury to people or property resulting from any ideas, methods, instructions or products referred to in the content. |
© 2023 by the authors. Licensee MDPI, Basel, Switzerland. This article is an open access article distributed under the terms and conditions of the Creative Commons Attribution (CC BY) license (https://creativecommons.org/licenses/by/4.0/).
Share and Cite
Rahman, M.-M.; Nam, H.; Choi, N.; Kim, J. Development of Molecular-Based Species Identification and Optimization of Reaction Conditions for Molecular Diagnosis of Three Major Asian Planthoppers (Hemiptera: Delphacidae). Insects 2023, 14, 124. https://doi.org/10.3390/insects14020124
Rahman M-M, Nam H, Choi N, Kim J. Development of Molecular-Based Species Identification and Optimization of Reaction Conditions for Molecular Diagnosis of Three Major Asian Planthoppers (Hemiptera: Delphacidae). Insects. 2023; 14(2):124. https://doi.org/10.3390/insects14020124
Chicago/Turabian StyleRahman, Md-Mafizur, Hwayeun Nam, Nakjung Choi, and Juil Kim. 2023. "Development of Molecular-Based Species Identification and Optimization of Reaction Conditions for Molecular Diagnosis of Three Major Asian Planthoppers (Hemiptera: Delphacidae)" Insects 14, no. 2: 124. https://doi.org/10.3390/insects14020124
APA StyleRahman, M.-M., Nam, H., Choi, N., & Kim, J. (2023). Development of Molecular-Based Species Identification and Optimization of Reaction Conditions for Molecular Diagnosis of Three Major Asian Planthoppers (Hemiptera: Delphacidae). Insects, 14(2), 124. https://doi.org/10.3390/insects14020124

