PET/MRI in Oncological Imaging: State of the Art
Abstract
:1. Introduction
- Provide an overview of the technical aspects of PET/MRI design.
- Describe the limitations of simultaneous PET/MRI imaging.
- Review current literature investigating the diagnostic accuracy of PET/MRI in cancer imaging compared with the conventional imaging tools, in particular, PET/CT. By order of preference, recent studies utilizing hybrid PET/MRI scanners will be mentioned before studies performed on fused PET and MRI data acquired separately.
2. Technical Aspects of PET/MRI
2.1. PET/MRI Design Considerations
2.2. Sequential
2.3. Simultaneous
2.4. Attenuation Correction in PET/MRI

3. Imaging Protocols and Workflow

4. Overview of Cancer Imaging
5. Assessment of Local Tumor
5.1. Head and Neck

5.2. Lung Cancer
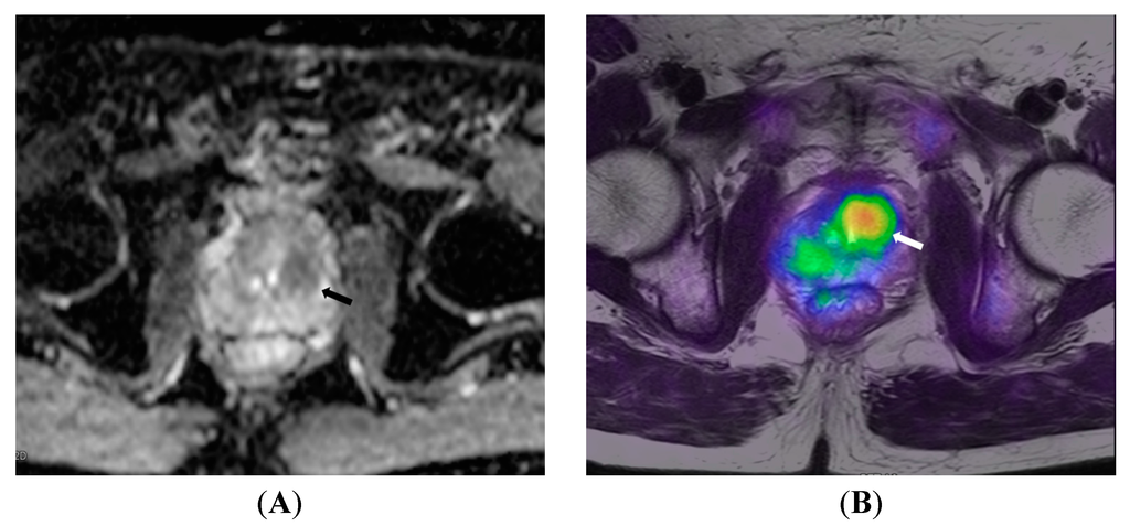
5.3. Genitourinary System Malignancy

5.4. Gynecological Malignancy
5.5. Gastrointestinal Tract Cancers
5.6. Breast Cancer
6. Nodal Assessment

7. Metastases
7.1. Liver
7.2. Bone
8. Ongoing Challenges and Future Directions
9. Conclusions
Acknowledgments
Author Contributions
Conflict of Interest
References
- Czernin, J.; Allen-Auerbach, M.; Schelbert, H.R. Improvements in cancer staging with PET/CT: literature-based evidence as of September 2006. J. Nucl. Med. 2007, 48, 78S–88S. [Google Scholar] [PubMed]
- Delso, G.; Ziegler, S. PET/MRI system design. Eur. J. Nucl. Med. Mol. Imaging 2008, 36, 86–92. [Google Scholar] [CrossRef] [PubMed]
- Aznar, M.C.; Sersar, R.; Saabye, J.; Ladefoged, C.N.; Andersen, F.L.; Rasmussen, J.H.; Löfgren, J.; Beyer, T. Whole-body PET/MRI: the effect of bone attenuation during MR-based attenuation correction in oncology imaging. Eur. J. Radiol. 2014, 83, 1177–1183. [Google Scholar] [CrossRef] [PubMed]
- Martinez-Rios, C.; Muzic, R.F.; DiFilippo, F.P.; Hu, L.; Rubbert, C.; Herrmann, K.A. Artifacts and Diagnostic Pitfalls in Positron Emission Tomography-Magnetic Resonance Imaging. Semin. Roentgenol. 2014, 49, 255–270. [Google Scholar] [CrossRef] [PubMed]
- Shao, Y.; Cherry, S.R.; Farahani, K.; Meadors, K.; Siegel, S.; Silverman, R.W.; Marsden, P.K. Simultaneous PET and MR imaging. Phys. Med. Biol. 1997, 42, 1965. [Google Scholar] [CrossRef] [PubMed]
- Bezrukov, I.; Mantlik, F.; Schmidt, H.; Schölkopf, B.; Pichler, B.J. MR-Based PET attenuation correction for PET/MR imaging. Semin. Nucl. Med. 2013, 43, 45–59. [Google Scholar] [CrossRef] [PubMed]
- Zaidi, H.; Guerra, A.D. An outlook on future design of hybrid PET/MRI systems. Med. Phys. 2011, 38, 5667–5689. [Google Scholar] [CrossRef] [PubMed]
- Levin, C.; Glover, G.; Deller, T.; McDaniel, D.; Peterson, W.; Maramraju, S.H. Prototype time-of-flight PET ring integrated with a 3T MRI system for simultaneous whole-body PET/MR imaging. Soc. Nucl. Med. Annu. Meet. Abstr. 2013, 54, 148. [Google Scholar]
- Maramraju, S.H.; Smith, S.D.; Junnarkar, S.S.; Schulz, D.; Stoll, S.; Ravindranath, B.; Purschke, M.L.; Rescia, S.; Southekal, S.; Pratte, J.-F.; Vaska, P.; Woody, C.L.; Schlyer, D.J. Small animal simultaneous PET/MRI: initial experiences in a 9.4 T microMRI. Phys. Med. Biol. 2011, 56, 2459. [Google Scholar] [CrossRef] [PubMed]
- Schlemmer, H.-P.W.; Pichler, B.J.; Schmand, M.; Burbar, Z.; Michel, C.; Ladebeck, R.; Jattke, K.; Townsend, D.; Nahmias, C.; Jacob, P.K.; Heiss, W.-D.; Claussen, C.D. Simultaneous MR/PET imaging of the human brain: feasibility study. Radiology 2008, 248, 1028–1035. [Google Scholar] [CrossRef] [PubMed]
- Mackewn, J.E.; Halsted, P.; Charles-Edwards, G.; Page, R.; Totman, J.J.; Sunassee, K.; Strul, D.; Hallett, W.A.; Jauregui-Osoro, M.; Liepins, P.; Williams, S.C. R.; Schaeffter, T.; Keevil, S.F.; Marsden, P.K. Performance Evaluation of an MRI-Compatible Pre-Clinical PET System Using Long Optical Fibers. IEEE Trans. Nucl. Sci. 2010, 57, 1052–1062. [Google Scholar] [CrossRef]
- Torigian, D.A.; Zaidi, H.; Kwee, T.C.; Saboury, B.; Udupa, J.K.; Cho, Z.-H.; Alavi, A. PET/MR imaging: technical aspects and potential clinical applications. Radiology 2013, 267, 26–44. [Google Scholar] [CrossRef] [PubMed]
- Wagenknecht, G.; Kaiser, H.-J.; Mottaghy, F.M.; Herzog, H. MRI for attenuation correction in PET: methods and challenges. Magn. Reson. Mater. Phys. Biol. Med. 2013, 26, 99–113. [Google Scholar] [CrossRef] [PubMed]
- Samarin, A.; Burger, C.; Wollenweber, S.D.; Crook, D.W.; Burger, I.A.; Schmid, D.T.; von Schulthess, G.K.; Kuhn, F.P. PET/MR imaging of bone lesions—implications for PET quantification from imperfect attenuation correction. Eur. J. Nucl. Med. Mol. Imaging 2012, 39, 1154–1160. [Google Scholar] [CrossRef] [PubMed]
- Akbarzadeh, A.; Ay, M.R.; Ahmadian, A.; Alam, N.R.; Zaidi, H. MRI-guided attenuation correction in whole-body PET/MR: assessment of the effect of bone attenuation. Ann. Nucl. Med. 2012, 27, 152–162. [Google Scholar] [CrossRef] [PubMed]
- Lee, S.J.; Seo, H.J.; Cheon, G.J.; Kim, J.H.; Kim, E.E.; Kang, K.W.; Paeng, J.C.; Chung, J.-K.; Lee, D.S. Usefulness of Integrated PET/MRI in Head and Neck Cancer: A Preliminary Study. Nucl. Med. Mol. Imaging 2013, 48, 98–105. [Google Scholar] [CrossRef] [PubMed]
- Drzezga, A.; Souvatzoglou, M.; Eiber, M.; Beer, A.J.; Fürst, S.; Martinez-Möller, A.; Nekolla, S.G.; Ziegler, S.; Ganter, C.; Rummeny, E.J.; Schwaiger, M. First Clinical Experience with Integrated Whole-Body PET/MR: Comparison to PET/CT in Patients with Oncologic Diagnoses. J. Nucl. Med. 2012, 53, 845–855. [Google Scholar] [CrossRef] [PubMed]
- Quick, H.H. Integrated PET/MR. J. Magn. Reson. Imaging 2014, 39, 243–258. [Google Scholar] [CrossRef] [PubMed]
- Martinez-Möller, A.; Eiber, M.; Nekolla, S.G.; Souvatzoglou, M.; Drzezga, A.; Ziegler, S.; Rummeny, E.J.; Schwaiger, M.; Beer, A.J. Workflow and Scan Protocol Considerations for Integrated Whole-Body PET/MRI in Oncology. J. Nucl. Med. 2012, 53, 1415–1426. [Google Scholar] [CrossRef] [PubMed]
- von Schulthess, G.K.; Veit-Haibach, P. Workflow Considerations in PET/MR Imaging. J. Nucl. Med. 2014, 55, 19S–24S. [Google Scholar] [CrossRef] [PubMed]
- Czernin, J.; Ta, L.; Herrmann, K. Does PET/MR Imaging Improve Cancer Assessments? Literature Evidence from More Than 900 Patients. J. Nucl. Med. Off. Publ. Soc. Nucl. Med. 2014, 55, 59S–62S. [Google Scholar] [CrossRef] [PubMed]
- Pietrzyk, U.; Beyer, T.; Knoess, C.; Vollmar, S.; Wienhard, K.; Kracht, L.; Bockisch, A.; Maderwald, S.; Kühl, H.; Fitzek, M. Multi-modality imaging of uveal melanomas using combined PET/CT, high-resolution PET and MR imaging. Nuklearmedizin 2008, 47, 73–79. [Google Scholar] [CrossRef]
- Weigert, M.; Pietrzyk, U.; Müller, S.; Palm, C.; Beyer, T. Whole-body PET/CT imaging: combining software- and hardware-based co-registration. Z. Med. Phys. 2008, 18, 59–66. [Google Scholar] [CrossRef] [PubMed]
- Kitajima, K.; Nakamoto, Y.; Okizuka, H.; Onishi, Y.; Senda, M.; Suganuma, N.; Sugimura, K. Accuracy of whole-body FDG-PET/CT for detecting brain metastases from non-central nervous system tumors. Ann. Nucl. Med. 2008, 22, 595–602. [Google Scholar] [CrossRef] [PubMed]
- Thomson, V.; Pialat, J.-B.; Gay, F.; Coulon, A.; Voloch, A.; Granier, A.; Guérin, J.-C.; Viallon, M.; Berthezene, Y. Whole-body MRI for metastases screening: a preliminary study using 3D VIBE sequences with automatic subtraction between noncontrast and contrast enhanced images. Am. J. Clin. Oncol. 2008, 31, 285–292. [Google Scholar] [CrossRef] [PubMed]
- Dunet, V.; Maeder, P.; Nicod-Lalonde, M.; Lhermitte, B.; Pollo, C.; Bloch, J.; Stupp, R.; Meuli, R.; Prior, J.O. Combination of MRI and dynamic FET PET for initial glioma grading. Nukl. Nucl. Med. 2014, 53, 155–161. [Google Scholar] [CrossRef] [PubMed]
- Garibotto, V.; Heinzer, S.; Vulliemoz, S.; Guignard, R.; Wissmeyer, M.; Seeck, M.; Lovblad, K.-O.; Zaidi, H.; Ratib, O.; Vargas, M.-I. Clinical applications of hybrid PET/MRI in neuroimaging. Clin. Nucl. Med. 2013, 38, e13–e18. [Google Scholar] [CrossRef] [PubMed]
- Yousem, D.M.; Gad, K.; Tufano, R.P. Resectability Issues with Head and Neck Cancer. Am. J. Neuroradiol. 2006, 27, 2024–2036. [Google Scholar] [PubMed]
- Uribe, S.; Rojas, L.; Rosas, C. Accuracy of imaging methods for detection of bone tissue invasion in patients with oral squamous cell carcinoma. Dentomaxillofacial Radiol. 2013, 42, 20120346. [Google Scholar] [CrossRef] [PubMed]
- Bolzoni, A.; Cappiello, J.; Piazza, C.; Peretti, G.; Maroldi, R.; Farina, D.; Nicolai, P. Diagnostic accuracy of magnetic resonance imaging in the assessment of mandibular involvement in oral-oropharyngeal squamous cell carcinoma: A prospective study. Arch. Otolaryngol. Head Neck Surg. 2004, 130, 837–843. [Google Scholar] [CrossRef] [PubMed]
- Li, C.; Yang, W.; Men, Y.; Wu, F.; Pan, J.; Li, L. Magnetic Resonance Imaging for Diagnosis of Mandibular Involvement from Head and Neck Cancers: A Systematic Review and Meta-Analysis. PLoS ONE 2014, 9, e112267. [Google Scholar] [CrossRef] [PubMed]
- Agarwal, V.; Branstetter, B.F.; Johnson, J.T. Indications for PET/CT in the head and neck. Otolaryngol. Clin. North Am. 2008, 41, 23–49. [Google Scholar] [CrossRef] [PubMed]
- Platzek, I.; Beuthien-Baumann, B.; Schneider, M.; Gudziol, V.; Langner, J.; Schramm, G.; Laniado, M.; Kotzerke, J.; van den Hoff, J. PET/MRI in head and neck cancer: initial experience. Eur. J. Nucl. Med. Mol. Imaging 2013, 40, 6–11. [Google Scholar] [CrossRef] [PubMed]
- Schwenzer, N.F.; Stegger, L.; Bisdas, S.; Schraml, C.; Kolb, A.; Boss, A.; Müller, M.; Reimold, M.; Ernemann, U.; Claussen, C.D.; Pfannenberg, C.; Schmidt, H. Simultaneous PET/MR imaging in a human brain PET/MR system in 50 patients—Current state of image quality. Eur. J. Radiol. 2012, 81, 3472–3478. [Google Scholar] [CrossRef] [PubMed]
- Huang, S.-H.; Chien, C.-Y.; Lin, W.-C.; Fang, F.-M.; Wang, P.-W.; Lui, C.-C.; Huang, Y.-C.; Hung, B.-T.; Tu, M.-C.; Chang, C.-C. A comparative study of fused FDG PET/MRI, PET/CT, MRI, and CT imaging for assessing surrounding tissue invasion of advanced buccal squamous cell carcinoma. Clin. Nucl. Med. 2011, 36, 518–525. [Google Scholar] [CrossRef] [PubMed]
- Bruzzi, J.F.; Komaki, R.; Walsh, G.L.; Truong, M.T.; Gladish, G.W.; Munden, R.F.; Erasmus, J.J. Imaging of Non-Small Cell Lung Cancer of the Superior Sulcus. RadioGraphics 2008, 28, 551–560. [Google Scholar] [CrossRef] [PubMed]
- Barker, J.M.; Silvestri, G.A. Lung cancer staging. Curr. Opin. Pulm. Med. 2002, 8, 287–293. [Google Scholar] [CrossRef] [PubMed]
- Hochhegger, B.; Marchiori, E.; Sedlaczek, O.; Irion, K.; Heussel, C.P.; Ley, S.; Ley-Zaporozhan, J.; Soares Souza, A.; Kauczor, H.-U. MRI in lung cancer: a pictorial essay. Br. J. Radiol. 2011, 84, 661–668. [Google Scholar] [CrossRef] [PubMed]
- Schwenzer, N.F.; Schraml, C.; Müller, M.; Brendle, C.; Sauter, A.; Spengler, W.; Pfannenberg, A.C.; Claussen, C.D.; Schmidt, H. Pulmonary Lesion Assessment: Comparison of Whole-Body Hybrid MR/PET and PET/CT Imaging—Pilot Study. Radiology 2012, 264, 551–558. [Google Scholar] [CrossRef] [PubMed]
- Heusch, P.; Buchbender, C.; Köhler, J.; Nensa, F.; Gauler, T.; Gomez, B.; Reis, H.; Stamatis, G.; Kühl, H.; Hartung, V.; Heusner, T.A. Thoracic staging in lung cancer: prospective comparison of 18F-FDG PET/MR imaging and 18F-FDG PET/CT. J. Nucl. Med. 2014, 55, 373–378. [Google Scholar] [CrossRef] [PubMed]
- Fraioli, F.; Screaton, N.J.; Janes, S.M.; Win, T.; Menezes, L.; Kayani, I.; Syed, R.; Zaccagna, F.; O’Meara, C.; Barnes, A.; Bomanji, J.B.; Punwani, S.; Groves, A.M. Non-small-cell lung cancer resectability: diagnostic value of PET/MR. Eur. J. Nucl. Med. Mol. Imaging 2015, 42, 49–55. [Google Scholar] [CrossRef] [PubMed]
- Ohno, Y.; Koyama, H.; Yoshikawa, T.; Takenaka, D.; Seki, S.; Yui, M.; Yamagata, H.; Aoyagi, K.; Matsumoto, S.; Sugimura, K. Three-way Comparison of Whole-Body MR, Coregistered Whole-Body FDG PET/MR, and Integrated Whole-Body FDG PET/CT Imaging: TNM and Stage Assessment Capability for Non–Small Cell Lung Cancer Patients. Radiology 2015, 275, 849–861. [Google Scholar] [CrossRef] [PubMed]
- Yi, C.A.; Lee, K.S.; Lee, H.Y.; Kim, S.; Kwon, O.J.; Kim, H.; Choi, J.Y.; Kim, B.-T.; Hwang, H.S.; Shim, Y.M. Coregistered whole body magnetic resonance imaging-positron emission tomography (MRI-PET) versus PET-computed tomography plus brain MRI in staging resectable lung cancer. Cancer 2013, 119, 1784–1791. [Google Scholar] [CrossRef] [PubMed]
- Padhani, A.R. Integrating multiparametric prostate MRI into clinical practice. Cancer Imaging 2011, 11, S27–S37. [Google Scholar] [CrossRef] [PubMed]
- De Rooij, M.; Hamoen, E.H. J.; Fütterer, J.J.; Barentsz, J.O.; Rovers, M.M. Accuracy of Multiparametric MRI for Prostate Cancer Detection: A Meta-Analysis. Am. J. Roentgenol. 2014, 202, 343–351. [Google Scholar] [CrossRef] [PubMed]
- Bloch, B.N.; Furman-Haran, E.; Helbich, T.H.; Lenkinski, R.E.; Degani, H.; Kratzik, C.; Susani, M.; Haitel, A.; Jaromi, S.; Ngo, L.; Rofsky, N.M. Prostate Cancer: Accurate Determination of Extracapsular Extension with High-Spatial-Resolution Dynamic Contrast-enhanced and T2-weighted MR Imaging—Initial Results. Radiology 2007, 245, 176–185. [Google Scholar] [CrossRef] [PubMed]
- Fine, S.W.; Epstein, J.I. A contemporary study correlating prostate needle biopsy and radical prostatectomy Gleason score. J. Urol. 2008, 179, 1335–1338. [Google Scholar] [CrossRef] [PubMed]
- Zakian, K.L.; Sircar, K.; Hricak, H.; Chen, H.-N.; Shukla-Dave, A.; Eberhardt, S.; Muruganandham, M.; Ebora, L.; Kattan, M.W.; Reuter, V.E.; Scardino, P.T.; Koutcher, J.A. Correlation of proton MR spectroscopic imaging with gleason score based on step-section pathologic analysis after radical prostatectomy. Radiology 2005, 234, 804–814. [Google Scholar] [CrossRef] [PubMed]
- Piert, M.; Park, H.; Khan, A.; Siddiqui, J.; Hussain, H.; Chenevert, T.; Wood, D.; Johnson, T.; Shah, R.B.; Meyer, C. Detection of Aggressive Primary Prostate Cancer with 11C-Choline PET/CT Using Multimodality Fusion Techniques. J. Nucl. Med. 2009, 50, 1585–1593. [Google Scholar] [CrossRef] [PubMed]
- Wang, L.; Mazaheri, Y.; Zhang, J.; Ishill, N.M.; Kuroiwa, K.; Hricak, H. Assessment of biologic aggressiveness of prostate cancer: correlation of MR signal intensity with Gleason grade after radical prostatectomy. Radiology 2008, 246, 168–176. [Google Scholar] [CrossRef] [PubMed]
- Souvatzoglou, M.; Eiber, M.; Takei, T.; Fürst, S.; Maurer, T.; Gaertner, F.; Geinitz, H.; Drzezga, A.; Ziegler, S.; Nekolla, S.G.; Rummeny, E.J.; Schwaiger, M.; Beer, A.J. Comparison of integrated whole-body [11C]choline PET/MR with PET/CT in patients with prostate cancer. Eur. J. Nucl. Med. Mol. Imaging 2013, 40, 1486–1499. [Google Scholar] [CrossRef] [PubMed]
- De Perrot, T.; Rager, O.; Scheffler, M.; Lord, M.; Pusztaszeri, M.; Iselin, C.; Ratib, O.; Vallee, J.-P. Potential of hybrid 18F-fluorocholine PET/MRI for prostate cancer imaging. Eur. J. Nucl. Med. Mol. Imaging 2014, 41, 1744–1755. [Google Scholar] [CrossRef] [PubMed]
- Kim, Y.; Cheon, G.J.; Paeng, J.C.; Cho, J.Y.; Kwak, C.; Kang, K.W.; Chung, J.-K.; Kim, E.E.; Lee, D.S. Usefulness of MRI-assisted metabolic volumetric parameters provided by simultaneous 18F-fluorocholine PET/MRI for primary prostate cancer characterization. Eur. J. Nucl. Med. Mol. Imaging 2015, 42, 1247–1256. [Google Scholar] [CrossRef] [PubMed]
- Wetter, A.; Lipponer, C.; Nensa, F.; Beiderwellen, K.; Olbricht, T.; Rubben, H.; Bockisch, A.; Schlosser, T.; Heusner, T.A. M.; Lauenstein, T.C. Simultaneous 18F Choline Positron Emission Tomography/Magnetic Resonance Imaging of the Prostate: Initial Results. Invest. Radiol. 2013, 48, 256–262. [Google Scholar] [CrossRef] [PubMed]
- Park, H.; Wood, D.; Hussain, H.; Meyer, C.R.; Shah, R.B.; Johnson, T.D.; Chenevert, T.; Piert, M. Introducing Parametric Fusion PET/MRI of Primary Prostate Cancer. J. Nucl. Med. 2012, 53, 546–551. [Google Scholar] [CrossRef] [PubMed]
- Chang, J.H.; Joon, D.L.; Lee, S.T.; Hiew, C.-Y.; Esler, S.; Gong, S.J.; Wada, M.; Clouston, D.; O’Sullivan, R.; Goh, Y.P.; Tochon-Danguy, H.; Chan, J.G.; Bolton, D.; Scott, A.M.; Khoo, V.; Davis, I.D. Diffusion-weighted MRI, 11C-choline PET and 18F-fluorodeoxyglucose PET for predicting the Gleason score in prostate carcinoma. Eur. Radiol. 2013, 24, 715–722. [Google Scholar] [CrossRef] [PubMed]
- Piccardo, A.; Paparo, F.; Picazzo, R.; Naseri, M.; Ricci, P.; Marziano, A.; Bacigalupo, L.; Biscaldi, E.; Rollandi, G.A.; Grillo-Ruggieri, F.; Farsad, M. Value of Fused 18F-Choline-PET/MRI to Evaluate Prostate Cancer Relapse in Patients Showing Biochemical Recurrence after EBRT: Preliminary Results. BioMed Res. Int. 2014, 2014, e103718. [Google Scholar] [CrossRef] [PubMed]
- Lee, S.I.; Catalano, O.A.; Dehdashti, F. Gynecologic Cancer Imaging with MRI, FDG PET-CT and PET-MR. J. Nucl. Med. Off. Publ. Soc. Nucl. Med. 2015. [Google Scholar]
- Funicelli, L.; Travaini, L.L.; Landoni, F.; Trifirò, G.; Bonello, L.; Bellomi, M. Peritoneal carcinomatosis from ovarian cancer: the role of CT and [18F]FDG-PET/CT. Abdom. Imaging 2010, 35, 701–707. [Google Scholar] [CrossRef] [PubMed]
- Beiderwellen, K.; Grueneisen, J.; Ruhlmann, V.; Buderath, P.; Aktas, B.; Heusch, P.; Kraff, O.; Forsting, M.; Lauenstein, T.C.; Umutlu, L. [18F]FDG PET/MRI vs. PET/CT for whole-body staging in patients with recurrent malignancies of the female pelvis: initial results. Eur. J. Nucl. Med. Mol. Imaging 2015, 42, 56–65. [Google Scholar] [CrossRef] [PubMed]
- Kitajima, K.; Suenaga, Y.; Ueno, Y.; Kanda, T.; Maeda, T.; Makihara, N.; Ebina, Y.; Yamada, H.; Takahashi, S.; Sugimura, K. Value of fusion of PET and MRI in the detection of intra-pelvic recurrence of gynecological tumor: comparison with 18F-FDG contrast-enhanced PET/CT and pelvic MRI. Ann. Nucl. Med. 2013, 28, 25–32. [Google Scholar] [CrossRef] [PubMed]
- Kyriazi, S.; Collins, D.J.; Morgan, V.A.; Giles, S.L.; deSouza, N.M. Diffusion-weighted imaging of peritoneal disease for noninvasive staging of advanced ovarian cancer. Radiogr. Rev. Publ. Radiol. Soc. N. Am. Inc 2010, 30, 1269–1285. [Google Scholar]
- Lee, G.; I, H.; Kim, S.-J.; Jeong, Y.J.; Kim, I.J.; Pak, K.; Park, D.Y.; Kim, G.H. Clinical Implication of PET/MR Imaging in Preoperative Esophageal Cancer Staging: Comparison with PET/CT, Endoscopic Ultrasonography, and CT. J. Nucl. Med. Off. Publ. Soc. Nucl. Med. 2014, 55, 1242–1247. [Google Scholar] [CrossRef] [PubMed]
- Fischer, U.; Kopka, L.; Grabbe, E. Breast carcinoma: effect of preoperative contrast-enhanced MR imaging on the therapeutic approach. Radiology 1999, 213, 881–888. [Google Scholar] [CrossRef] [PubMed]
- Avril, N.; Rosé, C.A.; Schelling, M.; Dose, J.; Kuhn, W.; Bense, S.; Weber, W.; Ziegler, S.; Graeff, H.; Schwaiger, M. Breast imaging with positron emission tomography and fluorine-18 fluorodeoxyglucose: use and limitations. J. Clin. Oncol. Off. J. Am. Soc. Clin. Oncol. 2000, 18, 3495–3502. [Google Scholar]
- Kuhl, C.K.; Schmutzler, R.K.; Leutner, C.C.; Kempe, A.; Wardelmann, E.; Hocke, A.; Maringa, M.; Pfeifer, U.; Krebs, D.; Schild, H.H. Breast MR imaging screening in 192 women proved or suspected to be carriers of a breast cancer susceptibility gene: preliminary results. Radiology 2000, 215, 267–279. [Google Scholar] [CrossRef] [PubMed]
- Warner, E.; Plewes, D.B.; Shumak, R.S.; Catzavelos, G.C.; Di Prospero, L.S.; Yaffe, M.J.; Goel, V.; Ramsay, E.; Chart, P.L.; Cole, D.E.; Taylor, G.A.; Cutrara, M.; Samuels, T.H.; Murphy, J.P.; Murphy, J.M.; Narod, S.A. Comparison of breast magnetic resonance imaging, mammography, and ultrasound for surveillance of women at high risk for hereditary breast cancer. J. Clin. Oncol. Off. J. Am. Soc. Clin. Oncol. 2001, 19, 3524–3531. [Google Scholar]
- Heywang-Köbrunner, S.H.; Viehweg, P.; Heinig, A.; Küchler, C. Contrast-enhanced MRI of the breast: accuracy, value, controversies, solutions. Eur. J. Radiol. 1997, 24, 94–108. [Google Scholar] [CrossRef]
- Yeh, E.D.; Slanetz, P.J.; Edmister, W.B.; Talele, A.; Monticciolo, D.; Kopans, D.B. Invasive lobular carcinoma: spectrum of enhancement and morphology on magnetic resonance imaging. Breast J. 2003, 9, 13–18. [Google Scholar] [CrossRef] [PubMed]
- Stoutjesdijk, M.J.; Boetes, C.; Jager, G.J.; Beex, L.; Bult, P.; Hendriks, J.H.; Laheij, R.J.; Massuger, L.; van Die, L.E.; Wobbes, T.; Barentsz, J.O. Magnetic resonance imaging and mammography in women with a hereditary risk of breast cancer. J. Natl. Cancer Inst. 2001, 93, 1095–1102. [Google Scholar] [CrossRef] [PubMed]
- Harms, S.E.; Flamig, D.P.; Hesley, K.L.; Meiches, M.D.; Jensen, R.A.; Evans, W.P.; Savino, D.A.; Wells, R.V. MR imaging of the breast with rotating delivery of excitation off resonance: clinical experience with pathologic correlation. Radiology 1993, 187, 493–501. [Google Scholar] [CrossRef] [PubMed]
- Liberman, L.; Morris, E.A.; Dershaw, D.D.; Abramson, A.F.; Tan, L.K. MR imaging of the ipsilateral breast in women with percutaneously proven breast cancer. AJR Am. J. Roentgenol. 2003, 180, 901–910. [Google Scholar] [CrossRef] [PubMed]
- Morris, E.A.; Liberman, L.; Ballon, D.J.; Robson, M.; Abramson, A.F.; Heerdt, A.; Dershaw, D.D. MRI of occult breast carcinoma in a high-risk population. AJR Am. J. Roentgenol. 2003, 181, 619–626. [Google Scholar] [CrossRef] [PubMed]
- Lee, S.G.; Orel, S.G.; Woo, I.J.; Cruz-Jove, E.; Putt, M.E.; Solin, L.J.; Czerniecki, B.J.; Schnall, M.D. MR imaging screening of the contralateral breast in patients with newly diagnosed breast cancer: preliminary results. Radiology 2003, 226, 773–778. [Google Scholar] [CrossRef] [PubMed]
- Gilles, R.; Guinebretière, J.M.; Lucidarme, O.; Cluzel, P.; Janaud, G.; Finet, J.F.; Tardivon, A.; Masselot, J.; Vanel, D. Nonpalpable breast tumors: diagnosis with contrast-enhanced subtraction dynamic MR imaging. Radiology 1994, 191, 625–631. [Google Scholar] [CrossRef] [PubMed]
- Samson, D.J.; Flamm, C.R.; Pisano, E.D.; Aronson, N. Should FDG PET be used to decide whether a patient with an abnormal mammogram or breast finding at physical examination should undergo biopsy? Acad. Radiol. 2002, 9, 773–783. [Google Scholar] [CrossRef]
- Lehman, C.D.; Isaacs, C.; Schnall, M.D.; Pisano, E.D.; Ascher, S.M.; Weatherall, P.T.; Bluemke, D.A.; Bowen, D.J.; Marcom, P.K.; Armstrong, D.K.; Domchek, S.M.; Tomlinson, G.; Skates, S.J.; Gatsonis, C. Cancer Yield of Mammography, MR, and US in High-Risk Women: Prospective Multi-Institution Breast Cancer Screening Study. Radiology 2007, 244, 381–388. [Google Scholar] [CrossRef] [PubMed]
- Kumar, R.; Chauhan, A.; Zhuang, H.; Chandra, P.; Schnall, M.; Alavi, A. Clinicopathologic factors associated with false negative FDG-PET in primary breast cancer. Breast Cancer Res. Treat. 2006, 98, 267–274. [Google Scholar] [CrossRef] [PubMed]
- Zornoza, G.; Garcia-Velloso, M.J.; Sola, J.; Regueira, F.M.; Pina, L.; Beorlegui, C. 18F-FDG PET complemented with sentinel lymph node biopsy in the detection of axillary involvement in breast cancer. Eur. J. Surg. Oncol. 2004, 30, 15–19. [Google Scholar] [CrossRef] [PubMed]
- Lovrics, P.J.; Chen, V.; Coates, G.; Cornacchi, S.D.; Goldsmith, C.H.; Law, C.; Levine, M.N.; Sanders, K.; Tandan, V.R. A prospective evaluation of positron emission tomography scanning, sentinel lymph node biopsy, and standard axillary dissection for axillary staging in patients with early stage breast cancer. Ann. Surg. Oncol. 2004, 11, 846–853. [Google Scholar] [CrossRef] [PubMed]
- Van der Hoeven, J.J. M.; Hoekstra, O.S.; Comans, E.F. I.; Pijpers, R.; Boom, R.P. A.; van Geldere, D.; Meijer, S.; Lammertsma, A.A.; Teule, G.J. J. Determinants of diagnostic performance of [F-18]fluorodeoxyglucose positron emission tomography for axillary staging in breast cancer. Ann. Surg. 2002, 236, 619–624. [Google Scholar] [CrossRef] [PubMed]
- Gil-Rendo, A.; Zornoza, G.; García-Velloso, M.J.; Regueira, F.M.; Beorlegui, C.; Cervera, M. Fluorodeoxyglucose positron emission tomography with sentinel lymph node biopsy for evaluation of axillary involvement in breast cancer. Br. J. Surg. 2006, 93, 707–712. [Google Scholar] [CrossRef] [PubMed]
- Moy, L.; Noz, M.E.; Maguire Jr, G.Q.; Melsaether, A.; Deans, A.E.; Murphy-Walcott, A.D.; Ponzo, F. Role of Fusion of Prone FDG-PET and Magnetic Resonance Imaging of the Breasts in the Evaluation of Breast Cancer: Fusion of Prone FDG-PET/MR Scans of the Breast. Breast J. 2010, 16, 369–376. [Google Scholar] [CrossRef] [PubMed]
- Kong, E.-J.; Chun, K.-A.; Bom, H.-S.; Lee, J.; Lee, S.-J.; Cho, I.-H. Initial experience of integrated PET/MR mammography in patients with invasive ductal carcinoma. Hell. J. Nucl. Med. 2014, 17, 171–176. [Google Scholar] [PubMed]
- Kim, S.H.; Choi, B.I.; Lee, H.P.; Kang, S.B.; Choi, Y.M.; Han, M.C.; Kim, C.W. Uterine cervical carcinoma: comparison of CT and MR findings. Radiology 1990, 175, 45–51. [Google Scholar] [CrossRef] [PubMed]
- Matsukuma, K.; Tsukamoto, N.; Matsuyama, T.; Ono, M.; Nakano, H. Preoperative CT study of lymph nodes in cervical cancer—Its correlation with histological findings. Gynecol. Oncol. 1989, 33, 168–171. [Google Scholar] [CrossRef]
- Kim, S.H.; Choi, B.I.; Han, J.K.; Kim, H.D.; Lee, H.P.; Kang, S.B.; Lee, J.Y.; Han, M.C. Preoperative staging of uterine cervical carcinoma: comparison of CT and MRI in 99 patients. J. Comput. Assist. Tomogr. 1993, 17, 633–640. [Google Scholar] [CrossRef] [PubMed]
- Kim, S.H.; Kim, S.C.; Choi, B.I.; Han, M.C. Uterine cervical carcinoma: evaluation of pelvic lymph node metastasis with MR imaging. Radiology 1994, 190, 807–811. [Google Scholar] [CrossRef] [PubMed]
- Tournoy, K.G.; Maddens, S.; Gosselin, R.; Maele, G.V.; van Meerbeeck, J.P.; Kelles, A. Integrated FDG-PET/CT does not make invasive staging of the intrathoracic lymph nodes in non-small cell lung cancer redundant: a prospective study. Thorax 2007, 62, 696–701. [Google Scholar] [CrossRef] [PubMed]
- Kanzaki, R.; Higashiyama, M.; Fujiwara, A.; Tokunaga, T.; Maeda, J.; Okami, J.; Kozuka, T.; Hosoki, T.; Hasegawa, Y.; Takami, M.; Tomita, Y.; Kodama, K. Occult mediastinal lymph node metastasis in NSCLC patients diagnosed as clinical N0-1 by preoperative integrated FDG-PET/CT and CT: Risk factors, pattern, and histopathological study. Lung Cancer Amst. Neth. 2011, 71, 333–337. [Google Scholar] [CrossRef] [PubMed]
- Gould, M.K.; Kuschner, W.G.; Rydzak, C.E.; Maclean, C.C.; Demas, A.N.; Shigemitsu, H.; Chan, J.K.; Owens, D.K. Test Performance of Positron Emission Tomography and Computed Tomography for Mediastinal Staging in Patients with Non-Small-Cell Lung CancerA Meta-Analysis. Ann. Intern. Med. 2003, 139, 879–892. [Google Scholar] [CrossRef] [PubMed]
- Chou, H.-H.; Chang, T.-C.; Yen, T.-C.; Ng, K.-K.; Hsueh, S.; Ma, S.-Y.; Chang, C.-J.; Huang, H.-J.; Chao, A.; Wu, T.-I.; Jung, S.-M.; Wu, Y.-C.; Lin, C.-T.; Huang, K.-G.; Lai, C.-H. Low value of [18F]-fluoro-2-deoxy-d-glucose positron emission tomography in primary staging of early-stage cervical cancer before radical hysterectomy. J. Clin. Oncol. Off. J. Am. Soc. Clin. Oncol. 2006, 24, 123–128. [Google Scholar] [CrossRef] [PubMed]
- Roh, J.-W.; Seo, S.S.; Lee, S.; Kang, K.W.; Kim, S.-K.; Sim, J.S.; Kim, J.-Y.; Hong, E.K.; Cho, D.-S.; Lee, J.S.; Park, S.-Y. Role of positron emission tomography in pretreatment lymph node staging of uterine cervical cancer: a prospective surgicopathologic correlation study. Eur. J. Cancer 2005, 41, 2086–2092. [Google Scholar] [CrossRef] [PubMed]
- Yang, W.T.; Lam, W.W.; Yu, M.Y.; Cheung, T.H.; Metreweli, C. Comparison of dynamic helical CT and dynamic MR imaging in the evaluation of pelvic lymph nodes in cervical carcinoma. Am. J. Roentgenol. 2000, 175, 759–766. [Google Scholar] [CrossRef] [PubMed]
- Kaur, H.; Silverman, P.M.; Iyer, R.B.; Verschraegen, C.F.; Eifel, P.J.; Charnsangavej, C. Diagnosis, staging, and surveillance of cervical carcinoma. Am. J. Roentgenol. 2003, 180, 1621–1631. [Google Scholar] [CrossRef] [PubMed]
- Scheidler, J.; Hricak, H.; Yu, K.K.; Subak, L.; Segal, M.R. Radiological evaluation of lymph node metastases in patients with cervical cancer. A meta-analysis. JAMA 1997, 278, 1096–1101. [Google Scholar] [CrossRef] [PubMed]
- Hawighorst, H.; Schoenberg, S.O.; Knapstein, P.G.; Knopp, M.V.; Schaeffer, U.; Essig, M.; van Kaick, G. Staging of invasive cervical carcinoma and of pelvic lymph nodes by high resolution MRI with a phased-array coil in comparison with pathological findings. J. Comput. Assist. Tomogr. 1998, 22, 75–81. [Google Scholar] [CrossRef] [PubMed]
- Platzek, I.; Beuthien-Baumann, B.; Ordemann, R.; Maus, J.; Schramm, G.; Kitzler, H.H.; Laniado, M.; Kotzerke, J.; van den Hoff, J. FDG PET/MR for the assessment of lymph node involvement in lymphoma: initial results and role of diffusion-weighted MR. Acad. Radiol. 2014, 21, 1314–1319. [Google Scholar] [CrossRef] [PubMed]
- Nakamoto, Y.; Tamai, K.; Saga, T.; Higashi, T.; Hara, T.; Suga, T.; Koyama, T.; Togashi, K. Clinical value of image fusion from MR and PET in patients with head and neck cancer. Mol. Imaging Biol. 2009, 11, 46–53. [Google Scholar] [CrossRef] [PubMed]
- Kohan, A.A.; Kolthammer, J.A.; Vercher-Conejero, J.L.; Rubbert, C.; Partovi, S.; Jones, R.; Herrmann, K.A.; Faulhaber, P. N staging of lung cancer patients with PET/MRI using a three-segment model attenuation correction algorithm: Initial experience. Eur. Radiol. 2013, 23, 3161–3169. [Google Scholar] [CrossRef] [PubMed]
- Kim, S.-K.; Choi, H.J.; Park, S.-Y.; Lee, H.-Y.; Seo, S.-S.; Yoo, C.W.; Jung, D.C.; Kang, S.; Cho, K.-S. Additional value of MR/PET fusion compared with PET/CT in the detection of lymph node metastases in cervical cancer patients. Eur. J. Cancer 2009, 45, 2103–2109. [Google Scholar] [CrossRef] [PubMed]
- Holzapfel, K.; Duetsch, S.; Fauser, C.; Eiber, M.; Rummeny, E.J.; Gaa, J. Value of diffusion-weighted MR imaging in the differentiation between benign and malignant cervical lymph nodes. Eur. J. Radiol. 2009, 72, 381–387. [Google Scholar] [CrossRef] [PubMed]
- Thorek, D.L.J.; Ulmert, D.; Diop, N.-F.M.; Lupu, M.E.; Doran, M.G.; Huang, R.; Abou, D.S.; Larson, S.M.; Grimm, J. Non-invasive mapping of deep-tissue lymph nodes in live animals using a multimodal PET/MRI nanoparticle. Nat. Commun. 2014, 5, 3097. [Google Scholar] [CrossRef] [PubMed]
- Chakravarty, R.; Valdovinos, H.F.; Chen, F.; Lewis, C.M.; Ellison, P.A.; Luo, H.; Meyerand, M.E.; Nickles, R.J.; Cai, W. Intrinsically Germanium-69-Labeled Iron Oxide Nanoparticles: Synthesis and In-Vivo Dual-Modality PET/MR Imaging. Adv. Mater. 2014, 26, 5119–5123. [Google Scholar] [CrossRef] [PubMed]
- Donati, O.F.; Hany, T.F.; Reiner, C.S.; von Schulthess, G.K.; Marincek, B.; Seifert, B.; Weishaupt, D. Value of Retrospective Fusion of PET and MR Images in Detection of Hepatic Metastases: Comparison with 18F-FDG PET/CT and Gd-EOB-DTPA–Enhanced MRI. J. Nucl. Med. 2010, 51, 692–699. [Google Scholar] [CrossRef] [PubMed]
- Niekel, M.C.; Bipat, S.; Stoker, J. Diagnostic Imaging of Colorectal Liver Metastases with CT, MR Imaging, FDG PET, and/or FDG PET/CT: A Meta-Analysis of Prospective Studies Including Patients Who Have Not Previously Undergone Treatment. Radiology 2010, 257, 674–684. [Google Scholar] [CrossRef] [PubMed]
- Yong, T.W.; Yuan, Z.Z.; Jun, Z.; Lin, Z.; He, W.Z.; Juanqi, Z. Sensitivity of PET/MR images in liver metastases from colorectal carcinoma. Hell. J. Nucl. Med. 2011, 14, 264–268. [Google Scholar] [PubMed]
- Reiner, C.S.; Stolzmann, P.; Husmann, L.; Burger, I.A.; Hüllner, M.W.; Schaefer, N.G.; Schneider, P.M.; von Schulthess, G.K.; Veit-Haibach, P. Protocol requirements and diagnostic value of PET/MR imaging for liver metastasis detection. Eur. J. Nucl. Med. Mol. Imaging 2013, 41, 649–658. [Google Scholar] [CrossRef] [PubMed]
- Beiderwellen, K.; Gomez, B.; Buchbender, C.; Hartung, V.; Poeppel, T.D.; Nensa, F.; Kuehl, H.; Bockisch, A.; Lauenstein, T.C. Depiction and characterization of liver lesions in whole body [18F]-FDG PET/MRI. Eur. J. Radiol. 2013, 82, e669–e675. [Google Scholar] [CrossRef] [PubMed]
- Schreiter, N.F.; Nogami, M.; Steffen, I.; Pape, U.-F.; Hamm, B.; Brenner, W.; Röttgen, R. Evaluation of the potential of PET-MRI fusion for detection of liver metastases in patients with neuroendocrine tumours. Eur. Radiol. 2011, 22, 458–467. [Google Scholar] [CrossRef] [PubMed]
- Eiber, M.; Takei, T.; Souvatzoglou, M.; Mayerhoefer, M.E.; Fürst, S.; Gaertner, F.C.; Loeffelbein, D.J.; Rummeny, E.J.; Ziegler, S.I.; Schwaiger, M.; Beer, A.J. Performance of Whole-Body Integrated 18F-FDG PET/MR in Comparison to PET/CT for Evaluation of Malignant Bone Lesions. J. Nucl. Med. 2014, 55, 191–197. [Google Scholar] [CrossRef] [PubMed]
- Beiderwellen, K.; Huebner, M.; Heusch, P.; Grueneisen, J.; Ruhlmann, V.; Nensa, F.; Kuehl, H.; Umutlu, L.; Rosenbaum-Krumme, S.; Lauenstein, T.C. Whole-body [18F]FDG PET/MRI vs. PET/CT in the assessment of bone lesions in oncological patients: initial results. Eur. Radiol. 2014, 24, 2023–2030. [Google Scholar] [CrossRef] [PubMed]
- Weber, W.A. PET/MR Imaging: A Critical Appraisal. J. Nucl. Med. 2014, 55, 56S–58S. [Google Scholar] [CrossRef] [PubMed]
- Queiroz, M.A.; Hüllner, M.; Kuhn, F.; Huber, G.; Meerwein, C.; Kollias, S.; von Schulthess, G.; Veit-Haibach, P. Use of diffusion-weighted imaging (DWI) in PET/MRI for head and neck cancer evaluation. Eur. J. Nucl. Med. Mol. Imaging 2014, 41, 2212–2221. [Google Scholar] [CrossRef] [PubMed]
© 2015 by the authors; licensee MDPI, Basel, Switzerland. This article is an open access article distributed under the terms and conditions of the Creative Commons Attribution license (http://creativecommons.org/licenses/by/4.0/).
Share and Cite
Bashir, U.; Mallia, A.; Stirling, J.; Joemon, J.; MacKewn, J.; Charles-Edwards, G.; Goh, V.; Cook, G.J. PET/MRI in Oncological Imaging: State of the Art. Diagnostics 2015, 5, 333-357. https://doi.org/10.3390/diagnostics5030333
Bashir U, Mallia A, Stirling J, Joemon J, MacKewn J, Charles-Edwards G, Goh V, Cook GJ. PET/MRI in Oncological Imaging: State of the Art. Diagnostics. 2015; 5(3):333-357. https://doi.org/10.3390/diagnostics5030333
Chicago/Turabian StyleBashir, Usman, Andrew Mallia, James Stirling, John Joemon, Jane MacKewn, Geoff Charles-Edwards, Vicky Goh, and Gary J. Cook. 2015. "PET/MRI in Oncological Imaging: State of the Art" Diagnostics 5, no. 3: 333-357. https://doi.org/10.3390/diagnostics5030333
APA StyleBashir, U., Mallia, A., Stirling, J., Joemon, J., MacKewn, J., Charles-Edwards, G., Goh, V., & Cook, G. J. (2015). PET/MRI in Oncological Imaging: State of the Art. Diagnostics, 5(3), 333-357. https://doi.org/10.3390/diagnostics5030333
