Small Bowel Perforation Due to Renal Carcinoma Metastasis: A Comprehensive Case Study and Literature Review
Abstract
1. Introduction
2. Case Presentation
2.1. Clinical Findings
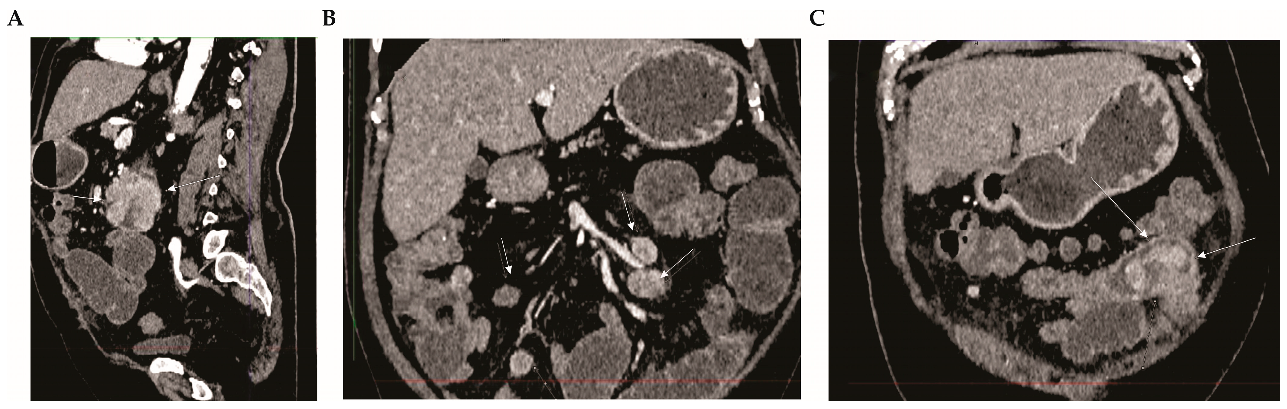
2.2. Diagnostic Assessment
2.3. Therapeutic Intervention
2.4. Follow-Up and Outcomes
2.5. Histopathological Evaluation of Surgical Specimen
3. Discussion
3.1. General Characteristics of Renal Cell Carcinoma
3.2. Epidemiological Trends of Renal Cell Carcinoma
3.3. Risk Factors and Etiology of Renal Cell Carcinoma
3.4. Metastatic Behavior of Renal Cell Carcinoma
3.5. Metastatic Patterns and Rarity of Small Intestine Involvement in RCC
3.6. Clinical Presentation of Gastrointestinal Metastases in RCC
3.7. Literature Review and Demographics of Small Bowel Metastases in RCC
3.8. Diagnostic Approach to Intestinal Metastasis of RCC
3.9. Treatment Strategies for Metastatic RCC
3.9.1. Surgical Management of RCC Metastases
3.9.2. Systemic Therapy in the Treatment of Metastatic RCC
3.10. Surveillance Strategies in Metastatic RCC Post-Treatment
4. Conclusions
Author Contributions
Funding
Institutional Review Board Statement
Informed Consent Statement
Data Availability Statement
Acknowledgments
Conflicts of Interest
References
- Hsieh, J.J.; Purdue, M.P.; Signoretti, S.; Swanton, C.; Albiges, L.; Schmidinger, M.; Heng, D.Y.; Larkin, J.; Ficarra, V. Renal cell carcinoma. Nat. Rev. Dis. Primers 2017, 3, 17009. [Google Scholar] [CrossRef]
- Kim, D.; Reed, G.; Ellis, K.K.; Loden, J. Metastatic renal cell carcinoma to the small bowel 6 years postnephrectomy. BMJ Case Rep. 2023, 16, e254939. [Google Scholar] [CrossRef]
- Macaluso, C.R.; McNamara, R.M. Evaluation and management of acute abdominal pain in the emergency department. Int. J. Gen. Med. 2012, 5, 789–797. [Google Scholar] [CrossRef]
- Padala, S.A.; Barsouk, A.; Thandra, K.C.; Saginala, K.; Mohammed, A.; Vakiti, A.; Rawla, P.; Barsouk, A. Epidemiology of Renal Cell Carcinoma. World J. Oncol. 2020, 11, 79–87. [Google Scholar] [CrossRef]
- Capitanio, U.; Bensalah, K.; Bex, A.; Boorjian, S.A.; Bray, F.; Coleman, J.; Gore, J.L.; Sun, M.; Wood, C.; Russo, P. Epidemiology of Renal Cell Carcinoma. Eur. Urol. 2019, 75, 74–84. [Google Scholar] [CrossRef]
- Saad, A.M.; Gad, M.M.; Al-Husseini, M.J.; Ruhban, I.A.; Sonbol, M.B.; Ho, T.H. Trends in Renal-Cell Carcinoma Incidence and Mortality in the United States in the Last 2 Decades: A SEER-Based Study. Clin. Genitourin. Cancer 2019, 17, 46–57.e45. [Google Scholar] [CrossRef]
- Makino, T.; Kadomoto, S.; Izumi, K.; Mizokami, A. Epidemiology and Prevention of Renal Cell Carcinoma. Cancers 2022, 14, 4059. [Google Scholar] [CrossRef]
- Carlo, M.I.; Hakimi, A.A.; Stewart, G.D.; Bratslavsky, G.; Brugarolas, J.; Chen, Y.-B.; Linehan, W.M.; Maher, E.R.; Merino, M.J.; Offit, K.; et al. Familial Kidney Cancer: Implications of New Syndromes and Molecular Insights. Eur. Urol. 2019, 76, 754–764. [Google Scholar] [CrossRef]
- Thyavihally, Y.B.; Mahantshetty, U.; Chamarajanagar, R.S.; Raibhattanavar, S.G.; Tongaonkar, H.B. Management of renal cell carcinoma with solitary metastasis. World J. Surg. Oncol. 2005, 3, 48. [Google Scholar] [CrossRef]
- Ritchie, A.W.; deKernion, J.B. The natural history and clinical features of renal carcinoma. Semin. Nephrol. 1987, 7, 131–139. [Google Scholar]
- Fujii, Y.; Ikeda, M.; Kurosawa, K.; Tabata, M.; Kamigaito, T.; Hosoda, C.; Okaneya, T. Different clinicopathological features between patients who developed early and late recurrence following surgery for renal cell carcinoma. Int. J. Clin. Oncol. 2015, 20, 802–807. [Google Scholar] [CrossRef]
- Kanwal, R. Metastasis in renal cell carcinoma: Biology and treatment. Adv. Cancer Biol. Metastasis 2023, 7, 100094. [Google Scholar] [CrossRef]
- Takeda, T.; Shibuya, T.; Osada, T.; Izumi, H.; Mitomi, H.; Nomura, O.; Suzuki, S.; Mori, H.; Matsumoto, K.; Kon, K.; et al. Metastatic renal cell carcinoma diagnosed by capsule endoscopy and double balloon endoscopy. Med. Sci. Monit. 2011, 17, CS15–CS17. [Google Scholar] [CrossRef][Green Version]
- Ismail, I.; Neuen, B.L.; Mantha, M. Solitary jejunal metastasis from renal cell carcinoma presenting as small bowel obstruction 19 years after nephrectomy. BMJ Case Rep. 2015, 2015, bcr2015210857. [Google Scholar] [CrossRef]
- Campbell, S.C.; Uzzo, R.G.; Karam, J.A.; Chang, S.S.; Clark, P.E.; Souter, L. Renal Mass and Localized Renal Cancer: Evaluation, Management, and Follow-up: AUA Guideline: Part II. J. Urol. 2021, 206, 209–218. [Google Scholar] [CrossRef]
- Bellio, G.; Cipolat Mis, T.; Kaso, G.; Dattola, R.; Casagranda, B.; Bortul, M. Small bowel intussusception from renal cell carcinoma metastasis: A case report and review of the literature. J. Med. Case Rep. 2016, 10, 222. [Google Scholar] [CrossRef]
- Sadler, G.J.; Anderson, M.R.; Moss, M.S.; Wilson, P.G. Metastases from renal cell carcinoma presenting as gastrointestinal bleeding: Two case reports and a review of the literature. BMC Gastroenterol. 2007, 7, 4. [Google Scholar] [CrossRef]
- Mueller, J.L.; Guyer, R.A.; Adler, J.T.; Mullen, J.T. Metastatic renal cell carcinoma to the small bowel: Three cases of GI bleeding and a literature review. CEN Case Rep. 2018, 7, 39–43. [Google Scholar] [CrossRef]
- Starr, A.; Miller, G.M. Solitary jejunal metastasis twenty years after removal of a renal-cell carcinoma; report of a case. N. Engl. J. Med. 1952, 246, 250–251. [Google Scholar] [CrossRef]
- Toh, S.K.; Hale, J.E. Late presentation of a solitary metastasis of renal cell carcinoma as an obstructive duodenal mass. Postgrad. Med. J. 1996, 72, 178–179. [Google Scholar] [CrossRef]
- Venugopal, A.; Mahesh, S.; Lekha, V.; Jacob, G.; Gandhi, M.D.; Bedi, M.M.; Sharma, M.; Jacob, M.; Ramesh, H. Intussusception due to ileal metastases from renal cell carcinoma. Trop. Gastroenterol. 2007, 28, 35–36. [Google Scholar]
- Bahli, Z.M.; Panesar, K.J. Solitary jejunal metastasis from renal cell carcinoma. J. Ayub Med. Coll. Abbottabad 2007, 19, 62–63. [Google Scholar]
- Vazquez, C.; Berrueta, J.; De Simone, F.; Tcheckmedyian, A.; Gonzalez, N.; Bernachin, J.; Perrota, A.; Curi, J.; Mariño, A.; Olano, C. Small-intestinal bleeding due to metastatic renal cell cancer. Endoscopy 2011, 43 (Suppl. 2), E13. [Google Scholar] [CrossRef]
- Geramizadeh, B.; Mostaghni, A.; Ranjbar, Z.; Moradian, F.; Heidari, M.; Khosravi, M.B.; Malekhosseini, S.A. An unusual case of metastatatic renal cell carcinoma presenting as melena and duodenal ulcer, 16 years after nephrectomy; a case report and review of the literature. Iran. J. Med. Sci. 2015, 40, 175–180. [Google Scholar]
- Gorski, R.L.; Jalil, S.A.; Razick, M.; Jalil, A.A. An obscure cause of gastrointestinal bleeding: Renal cell carcinoma metastasis to the small bowel. Int. J. Surg. Case Rep. 2015, 15, 130–132. [Google Scholar] [CrossRef][Green Version]
- Leal, P.V.; Ghezzi, C.L.A.; Giovanaz, A.; Caetano, T.O.; Freitas, S.S. Proximal jejunal intussusception due to clear cell renal carcinoma metastasis. Rev. Esp. Enferm. Dig. 2023. [Google Scholar] [CrossRef]
- Huang, J.J.; Hsieh, J.J. The Therapeutic Landscape of Renal Cell Carcinoma: From the Dark Age to the Golden Age. Semin. Nephrol. 2020, 40, 28–41. [Google Scholar] [CrossRef]
- Diaz de Leon, A.; Pirasteh, A.; Costa, D.N.; Kapur, P.; Hammers, H.; Brugarolas, J.; Pedrosa, I. Current Challenges in Diagnosis and Assessment of the Response of Locally Advanced and Metastatic Renal Cell Carcinoma. Radiographics 2019, 39, 998–1016. [Google Scholar] [CrossRef]
- Hosoe, N.; Naganuma, M.; Ogata, H. Current status of capsule endoscopy through a whole digestive tract. Dig. Endosc. 2015, 27, 205–215. [Google Scholar] [CrossRef]
- Nancey, S.; Fumery, M.; Faure, M.; Boschetti, G.; Gay, C.; Milot, L.; Roblin, X. Use of imaging modalities for decision-making in inflammatory bowel disease. Ther. Adv. Gastroenterol. 2023, 16, 17562848231151293. [Google Scholar] [CrossRef]
- Rony, M.; Ratone, J.-P.; Walz, J.; Pignot, G.; Caillol, F.; Pesenti, C.; Guerin, M.; Dermeche, S.; Brunelle, S.; Salem, N.; et al. Gastrointestinal Metastases from Primary Renal Cell Cancer: A Single Center Review. Front. Oncol. 2021, 11, 644301. [Google Scholar] [CrossRef]
- Khosla, D.; Dey, T.; Madan, R.; Gupta, R.; Goyal, S.; Kumar, N.; Kapoor, R. Small bowel adenocarcinoma: An overview. World J. Gastrointest. Oncol. 2022, 14, 413–422. [Google Scholar] [CrossRef]
- Vig, S.V.L.; Zan, E.; Kang, S.K. Imaging for Metastatic Renal Cell Carcinoma. Urol. Clin. N. Am. 2020, 47, 281–291. [Google Scholar] [CrossRef]
- Michaelis, J.; Grabbert, M.; Sigle, A.; Yilmaz, M.; Schlager, D.; Gratzke, C.; Miernik, A.; Schoeb, D.S. Tyrosine Kinase Inhibitors in the Treatment of Metastasised Renal Cell Carcinoma-Future or the Past? Cancers 2022, 14, 3777. [Google Scholar] [CrossRef]
- Dell’Atti, L.; Bianchi, N.; Aguiari, G. New Therapeutic Interventions for Kidney Carcinoma: Looking to the Future. Cancers 2022, 14, 3616. [Google Scholar] [CrossRef]
- Bharthuar, A.; Pandey, H.; Sood, S. Management of metastatic renal cell carcinoma—Mini review. J. Kidney Cancer VHL 2015, 2, 75–83. [Google Scholar] [CrossRef][Green Version]
- Hasanov, E.; Gao, J.; Tannir, N.M. The Immunotherapy Revolution in Kidney Cancer Treatment: Scientific Rationale and First-Generation Results. Cancer J. 2020, 26, 419–431. [Google Scholar] [CrossRef]
- Bai, G.C.; Mi, Y.; Song, Y.; Hao, J.R.; He, Z.S.; Jin, J. Small bowel obstruction caused by secondary jejunal tumor from renal cell carcinoma: A case report. World J. Clin. Cases 2021, 9, 5339–5344. [Google Scholar] [CrossRef]
- Matuszczak, M.; Kiljańczyk, A.; Salagierski, M. Surgical Approach in Metastatic Renal Cell Carcinoma: A Literature Review. Cancers 2023, 15, 1804. [Google Scholar] [CrossRef]
- Qi, X.; Li, Q.; Che, X.; Wang, Q.; Wu, G. The Uniqueness of Clear Cell Renal Cell Carcinoma: Summary of the Process and Abnormality of Glucose Metabolism and Lipid Metabolism in ccRCC. Front. Oncol. 2021, 11, 727778. [Google Scholar] [CrossRef]
- Schöffski, P.; Dumez, H.; Clement, P.; Hoeben, A.; Prenen, H.; Wolter, P.; Joniau, S.; Roskams, T.; Van Poppel, H. Emerging role of tyrosine kinase inhibitors in the treatment of advanced renal cell cancer: A review. Ann. Oncol. 2006, 17, 1185–1196. [Google Scholar] [CrossRef]
- Schmid, T.A.; Gore, M.E. Sunitinib in the treatment of metastatic renal cell carcinoma. Ther. Adv. Urol. 2016, 8, 348–371. [Google Scholar] [CrossRef]
- Faes, S.; Demartines, N.; Dormond, O. Mechanistic Target of Rapamycin Inhibitors in Renal Cell Carcinoma: Potential, Limitations, and Perspectives. Front. Cell Dev. Biol. 2021, 9, 636037. [Google Scholar] [CrossRef]
- Feldman, D.R.; Ged, Y.; Lee, C.H.; Knezevic, A.; Molina, A.M.; Chen, Y.B.; Chaim, J.; Coskey, D.T.; Murray, S.; Tickoo, S.K.; et al. Everolimus plus bevacizumab is an effective first-line treatment for patients with advanced papillary variant renal cell carcinoma: Final results from a phase II trial. Cancer 2020, 126, 5247–5255. [Google Scholar] [CrossRef]
- Grimm, M.O.; Leucht, K.; Grünwald, V.; Foller, S. New First Line Treatment Options of Clear Cell Renal Cell Cancer Patients with PD-1 or PD-L1 Immune-Checkpoint Inhibitor-Based Combination Therapies. J. Clin. Med. 2020, 9, 565. [Google Scholar] [CrossRef]
- Varkaris, A.; Xu, W.; Davis, R.B.; Healy, B.; McDermott, D.F. Combining Immune Checkpoint and VEGFR Inhibition in Favorable Risk and Elderly Patients with Metastatic Renal Cell Carcinoma. Clin. Genitourin. Cancer 2020, 18, 179–184.e173. [Google Scholar] [CrossRef]
- Tung, I.; Sahu, A. Immune Checkpoint Inhibitor in First-Line Treatment of Metastatic Renal Cell Carcinoma: A Review of Current Evidence and Future Directions. Front. Oncol. 2021, 11, 707214. [Google Scholar] [CrossRef]
- Rouprêt, M.; Seisen, T.; Birtle, A.; Capoun, O.; Compérat, E.; Dominguez-Escrig, J.; Andersson, I.; Liedberg, F.; Mariappan, P.; Mostafid, H.; et al. European Association of Urology Guidelines on Upper Urinary Tract Urothelial Carcinoma: 2023 Update. Eur. Urol. 2023, 84, 49–64. [Google Scholar] [CrossRef]
- Motzer, R.J.; Jonasch, E.; Agarwal, N.; Alva, A.; Baine, M.; Beckermann, K.; Carlo, M.I.; Choueiri, T.K.; Costello, B.A.; Derweesh, I.H.; et al. Kidney Cancer, Version 3.2022, NCCN Clinical Practice Guidelines in Oncology. J. Natl. Compr. Cancer Netw. 2022, 20, 71–90. [Google Scholar] [CrossRef]
- Campbell, S.; Uzzo, R.G.; Allaf, M.E.; Bass, E.B.; Cadeddu, J.A.; Chang, A.; Clark, P.E.; Davis, B.J.; Derweesh, I.H.; Giambarresi, L.; et al. Renal Mass and Localized Renal Cancer: AUA Guideline. J. Urol. 2017, 198, 520–529. [Google Scholar] [CrossRef]


| Author | Age/ Gender | Manifestation | RCC Diagnosis History | Histopathology (Primary Tumor) | Metastasis Location | Metastatic RCC Treatment | Metastatic RCC Histopathology | Postoperative Therapy |
|---|---|---|---|---|---|---|---|---|
| Starr A et al. (1952) [19] | 52/F | Obscure GI bleeding, anemia | 20 years prior, nephrectomy | RCC isolated in renal parenchyma | Middle part of jejunum | Jejunum segment resection, anastomosis | Metastatic clear cell RCC | N/A |
| Toh SK et al. (1996) [20] | 59/F | Colicky abdominal pains, indigestion, anorexia, weight loss | 10 years prior, nephrectomy with splenectomy | Stage 1 RCC | Fourth part of duodenum | Duodenotomy, peduncular mass excision | Metastatic RCC | None |
| Venugopal A et al. (2007) [21] | 54/M | Melena, intussusception | 6 years prior, nephrectomy | RCC isolated to renal parenchyma | Mid ileum | Ileum segmental resection, end-to-end anastomosis | Metastatic RCC | N/A |
| Bahli ZM et al. (2007) [22] | 65/F | Small bowel obstruction | 1 year prior, nephrectomy, adrenalectomy | T2G4 RCC and pheochromocytoma | Region of jejunum | Small bowel resection, end-to-end anastomosis | Metastatic RCC | N/A |
| Vazquez C et al. (2011) [23] | 68/M | Obscure occult GI bleeding | 1 year prior, radical nephrectomy | Clear-cell RCC (pT2N × M0EII) | Proximal jejunum | Enteroscopy, tumor excision | Clear cell renal metastasis | N/A |
| Geramizadeh B et al. (2015) [24] | 61/M | GI bleeding | 16 years prior, nephrectomy | Clear cell RCC | Second part of duodenum | Whipple’s operation, pancreatoduodenal mass resection | Metastatic RCC | N/A |
| Ismail I et al. (2015) [14] | 66/M | Vomiting, abdominal pain | 19 years prior, radical nephrectomy | Localized clear-cell type RCC (T1aN0M0) | Jejunum | Wide margin resection, end-to-end anastomosis | Polypoid metastatic RCC | None |
| Gorski RL et al. (2015) [25] | 82/M | Black stools | 6 years prior, nephrectomy | RCC with vascular invasion and lymph node metastasis | Proximal jejunum | None | N/A | Declined treatment |
| Mueller JL et al. (2018) [18] | 63/M | Bright red blood per rectum | 3 years prior, partial nephrectomy | pT1a clear cell RCC (Fuhrman grade 3/4) | Terminal ileum | Ileum segment resection, side-to-side anastomosis | Metastatic clear cell RCC | None |
| Kim D et al. (2023) [2] | 60s/M | Constipation, nausea, vomiting, small bowel obstruction | 6 years prior, nephrectomy, pembrolizumab | Multifocal clear RCC (Fuhrman grade 3, T3a NX) | Distal jejunum, proximal ileum | Affected small bowel segment removal, side-to-side anastomosis | Metastatic RCC with sarcomatoid feature | N/A |
| Leal PV et al. (2023) [26] | 50/F | Intussusception | N/A, previous nephrectomy | Stage 2 clear cell RCC (pT2cN0cM0) | Proximal jejunal intussusception | Jejunal segment resection | Clear cell renal metastasis | N/A |
| Current case (2024) | 59/M | Perforation, acute abdomen | 4 years prior, radical nephrectomy | RCC confined to kidney | Proximal part of jejunum | Jejunal segment resection, side-to-side stapled anastomosis | RCC metastasis | Complicated post-op course |
| Key Finding or Consideration | Description |
|---|---|
| Rarity of Occurrence | RCC metastasis to the small bowel is exceptionally rare, making each case a valuable contribution to medical knowledge. |
| Delayed Presentation | Metastasis can occur several years post-nephrectomy, necessitating long-term vigilance and follow-up. |
| Varied Clinical Presentations | Manifestations range from gastrointestinal bleeding and bowel obstruction to unique cases like perforation leading to acute abdomen. |
| Diagnostic Challenges | Due to its rarity, RCC metastasis to the small bowel can be difficult to diagnose, often requiring extensive investigation. |
| Importance of Histopathology | Detailed histopathological examination is crucial for confirming the diagnosis of RCC metastasis. |
| Multidisciplinary Treatment Approach | Effective management often involves a combination of surgical intervention and systemic therapies. |
| Need for Individualized Patient Care | Treatment and follow-up strategies should be tailored to each patient’s unique clinical scenario. |
Disclaimer/Publisher’s Note: The statements, opinions and data contained in all publications are solely those of the individual author(s) and contributor(s) and not of MDPI and/or the editor(s). MDPI and/or the editor(s) disclaim responsibility for any injury to people or property resulting from any ideas, methods, instructions or products referred to in the content. |
© 2024 by the authors. Licensee MDPI, Basel, Switzerland. This article is an open access article distributed under the terms and conditions of the Creative Commons Attribution (CC BY) license (https://creativecommons.org/licenses/by/4.0/).
Share and Cite
Todorovic, Đ.; Stojanovic, B.; Filip, M.; Đorđevic, Đ.; Stankovic, M.; Jovanovic, I.; Spasic, M.; Milosevic, B.; Cvetkovic, A.; Radovanovic, D.; et al. Small Bowel Perforation Due to Renal Carcinoma Metastasis: A Comprehensive Case Study and Literature Review. Diagnostics 2024, 14, 761. https://doi.org/10.3390/diagnostics14070761
Todorovic Đ, Stojanovic B, Filip M, Đorđevic Đ, Stankovic M, Jovanovic I, Spasic M, Milosevic B, Cvetkovic A, Radovanovic D, et al. Small Bowel Perforation Due to Renal Carcinoma Metastasis: A Comprehensive Case Study and Literature Review. Diagnostics. 2024; 14(7):761. https://doi.org/10.3390/diagnostics14070761
Chicago/Turabian StyleTodorovic, Đorđe, Bojan Stojanovic, Milutinovic Filip, Đorđe Đorđevic, Milos Stankovic, Ivan Jovanovic, Marko Spasic, Bojan Milosevic, Aleksandar Cvetkovic, Dragce Radovanovic, and et al. 2024. "Small Bowel Perforation Due to Renal Carcinoma Metastasis: A Comprehensive Case Study and Literature Review" Diagnostics 14, no. 7: 761. https://doi.org/10.3390/diagnostics14070761
APA StyleTodorovic, Đ., Stojanovic, B., Filip, M., Đorđevic, Đ., Stankovic, M., Jovanovic, I., Spasic, M., Milosevic, B., Cvetkovic, A., Radovanovic, D., Jovanovic, M., Stojanovic, B. S., Pantic, D., Cvetkovic, D., Jovanovic, D., Markovic, V., & Stojanovic, M. D. (2024). Small Bowel Perforation Due to Renal Carcinoma Metastasis: A Comprehensive Case Study and Literature Review. Diagnostics, 14(7), 761. https://doi.org/10.3390/diagnostics14070761

