Diagnostic and Therapeutic Particularities of Symptomatic Melanoma Brain Metastases from Case Report to Literature Review
Abstract
1. Introduction
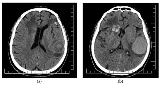
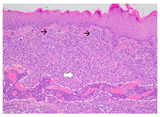
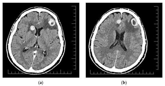
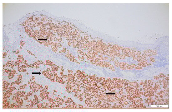
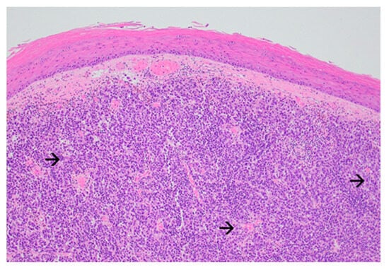
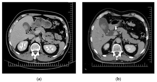
2. Case Presentation
3. Discussion and Review of the Literature
4. Conclusions
Author Contributions
Funding
Institutional Review Board Statement
Informed Consent Statement
Data Availability Statement
Acknowledgments
Conflicts of Interest
References
- Chaturvedi, S.K. Psychiatric oncology: Cancer in mind. Indian J. Psychiatry 2012, 54, 111–118. [Google Scholar] [CrossRef]
- Danielsen, J.T.; Strøm, L.; Knutzen, S.M.; Schmidt, H.; Amidi, A.; Wu, L.M.; Zachariae, R. Psychological and behavioral symptoms in patients with melanoma: A systematic review and meta-analysis. Psychooncology 2023, 32, 1208–1222. [Google Scholar] [CrossRef] [PubMed]
- Madhusoodanan, S.; Ting, M.B.; Farah, T.; Ugur, U. Psychiatric aspects of brain tumors: A review. World J. Psychiatry 2015, 5, 273. [Google Scholar] [CrossRef] [PubMed]
- Gavrilovic, I.T.; Posner, J.B. Brain metastases: Epidemiology and pathophysiology. J. Neurooncol. 2005, 75, 5–14. [Google Scholar] [CrossRef] [PubMed]
- Puhalla, S.; Elmquist, W.F.; Freyer, D.R.; Kleinberg, L.; Adkins, C.E.; Lockman, P.R.; McGregor, J.M.; Muldoon, L.L.; Nesbit, G.M.; Peereboom, D.; et al. Unsanctifying the sanctuary: Challenges and opportunities with brain metastases. Neuro Oncol. 2015, 17, 639–651. [Google Scholar] [CrossRef] [PubMed]
- Aizer, A.A.; Lamba, N.; Ahluwalia, M.; Aldape, K.; Boire, A.; Brastianos, P.K.; Brown, P.D.; Camidge, D.R.; Chiang, V.; Davies, M.A.; et al. Brain metastases: A Society for Neuro-Oncology (SNO) consensus review on current management and future directions. Neuro Oncol. 2022, 24, 1613–1646. [Google Scholar] [CrossRef] [PubMed]
- Zimm, S.; Wampler, G.L.; Stablein, D.; Hazra, T.; Young, H.F. Intracerebral metastases in solid-tumor patients: Natural history and results of treatment. Cancer 1981, 48, 384–394. [Google Scholar] [CrossRef] [PubMed]
- Benros, M.E.; Laursen, T.M.; Dalton, S.O.; Mortensen, P.B. Psychiatric disorder as a first manifestation of cancer: A 10-year population-based study. Int. J. Cancer 2009, 124, 2917–2922. [Google Scholar] [CrossRef]
- Tarhini, A.A.; Agarwala, S.S.; Khunger, A.; Wahl, R.L.; Balch, C.M. Diagnosis of Stage IV Melanoma. In Cutaneous Melanoma, 6th ed.; Balch, C.M., Atkins, M.B., Garbe, C., Gershenwald, J.E., Halpern, A.C., Kirkwood, J.M., McArthur, G.A., Thompson, J.F., Sober, A.J., Eds.; Springer International Publishing: Berlin/Heidelberg, Germany, 2020; pp. 1–47. [Google Scholar] [CrossRef]
- Gutzmer, R.; Vordermark, D.; Hassel, J.C.; Dietmar, K.; Wendl, C.; Schadendorf, D.; Sickmann, T.; Rieken, S.; Pukrop, T.; Christoph, H.; et al. Melanoma brain metastases—Interdisciplinary management recommendations 2020. Cancer Treat. Rev. 2020, 89, 102083. [Google Scholar] [CrossRef]
- Olsen, C.M.; Whiteman, D.C. Clinical Epidemiology of Melanoma. In Cutaneous Melanoma, 6th ed.; Balch, C.M., Atkins, M.B., Garbe, C., Gershenwald, J.E., Halpern, A.C., Kirkwood, J.M., McArthur, G.A., Thompson, J.F., Sober, A.J., Eds.; Springer International Publishing: Berlin/Heidelberg, Germany, 2020; pp. 425–449. [Google Scholar] [CrossRef]
- Garbe, C.; Bauer, J. Melanoma. In Dermatology, 4th ed.; Bolognia, J., Cerroni, L., Schaffer, J.V., Eds.; Elsevier: Amsterdam, The Netherlands, 2018; pp. 1989–2017. [Google Scholar]
- Keschner, M.; Bender, M.B.; Strauss, I. Mental symptoms associated with brain tumor: A study of 530 verified cases. JAMA 1938, 110, 714–718. [Google Scholar] [CrossRef]
- Garbe, C.; Amaral, T.; Peris, K.; Hauschild, A.; Arenberger, P.; Basset-Seguin, N.; Bastholt, L.; Bataille, V.; Marmol, V.; del Dréno, B.; et al. European consensus-based interdisciplinary guideline for melanoma. Part 2: Treatment—Update 2022. Eur. J. Cancer 2022, 170, 256–284. [Google Scholar] [CrossRef]
- Kreidieh, F.; Tawbi, H. Current and emerging options for patients with melanoma brain metastases. Clin. Adv. Hematol. Oncol. 2022, 20, 619–627. [Google Scholar] [PubMed]
- Raizer, J.; Hwu, W.-J.; Panageas, K.S.; Wilton, A.S.; Baldwin, D.E.; Bailey, E.H.; von Althann, C.; Lamb, L.; Alvarado, G.; Bilsky, M.H.; et al. Brain and leptomeningeal metastases from cutaneous melanoma: Survival outcomes based on clinical features. Neuro Oncol. 2008, 10, 199–207. [Google Scholar] [CrossRef] [PubMed]
- Michielin, O.; van Akkooi, A.; Ascierto, P.; Dummer, R.; Keilholz, U. Cutaneous melanoma: ESMO Clinical Practice Guidelines for diagnosis, treatment and follow-up. Ann. Oncol. 2019, 30, 1884–1901. [Google Scholar] [CrossRef]
- Morton, D.L.; Ollila, D.W.; Hsueh, E.C.; Essner, R.; Gupta, R.K. Cytoreductive surgery and adjuvant immunotherapy: A new management paradigm for metastatic melanoma. CA Cancer J. Clin. 1999, 49, 101–165. [Google Scholar] [CrossRef]
- Hikawa, R.S.; Kanehisa, E.S.; Simões, M.; Enokihara, M.Y.; Hirata, S.H. Polypoid melanoma and superficial spreading melanoma different subtypes in the same lesion. An. Bras. Dermatol. 2014, 89, 666–668. [Google Scholar] [CrossRef]
- Gershenwald, J.E.; Scolyer, R.A.; Hess, K.R.; Sondak, V.K.; Long, G.V.; Ross, M.I.; Lazar, A.J.; Faries, M.B.; Kirkwood, J.M.; McArthur, G.A.; et al. Melanoma staging: Evidence-based changes in the American Joint Committee on Cancer eighth edition cancer staging manual. CA Cancer J. Clin. 2017, 67, 472–492. [Google Scholar] [CrossRef]
- Vogler, W.R.; Perdue, G.D.; Wilkins, S.A., Jr. A clinical evaluation of malignant melanoma. Surg. GynecolObstet 1958, 106, 586–594. [Google Scholar]
- Bradu, S.; Siegel, D.; Loyal, J.; Leaf, A.; Kurtti, A.; Alapati, U.; Jagdeo, J. Delayed Metastatic Polypoid Nodular Melanoma Diagnosis During COVID-19 Pandemic, Successful Treatment With Surgery and Nivolumab. J. Drugs Dermatol. 2021, 20, 1343–1345. [Google Scholar] [CrossRef]
- Jasso-Sosa, V.Y.; Lino-Silva, L.S.; Escobar-Jiménez, M.G.; Galván-Bustillos, J.R.; García-Ortega, D.Y.; Salcedo-Hernández, R.A.; Zepeda-Najar, C.; Frías-Fernández, P. Prognosis of polypoid melanoma: A comparative study with non-polypoid melanomas. Melanoma Res. 2023, 33, 257–261. [Google Scholar] [CrossRef]
- Moncrieff, M.; Gastman, B.; Neves, R.I.; Peach, H.; Tufaro, A.P. Reconstructive Options Following Surgery of Primary Melanoma. In Cutaneous Melanoma, 6th ed.; Balch, C.M., Atkins, M.B., Garbe, C., Gershenwald, J.E., Halpern, A.C., Kirkwood, J.M., McArthur, G.A., Thompson, J.F., Sober, A.J., Eds.; Springer International Publishing: Berlin/Heidelberg, Germany, 2020; pp. 595–656. [Google Scholar] [CrossRef]
- Wang, Y.J.; Yao, X.F.; Lin, Y.S.; Wang, J.Y.; Chang, C.C. Oncologic feasibility for negative pressure wound therapy application in surgical wounds: A meta-analysis. Int. Wound J. 2020, 19, 573–582. [Google Scholar] [CrossRef]
- Behan, F.C. The Keystone Design Perforator Island Flap in reconstructive surgery. ANZ J. Surg. 2023, 73, 112–120. [Google Scholar] [CrossRef] [PubMed]
- Madhusoodanan, S.; Danan, D.; Moise, D. Psychiatric manifestations of brain tumors: Diagnostic implications. Expert. Rev. Neurother. 2007, 7, 343–349. [Google Scholar] [CrossRef] [PubMed]
- Spanberger, T.; Berghoff, A.S.; Dinhof, C.; Ilhan-Mutlu, A.; Magerle, M.; Hutterer, M.; Pichler, J.; Wöhrer, A.; Hackl, M.; Widhalm, G.; et al. Extent of peritumoral brain edema correlates with prognosis, tumoral growth pattern, HIF1a expression and angiogenic activity in patients with single brain metastases. Clin. Exp. Metastasis 2013, 30, 357–368. [Google Scholar] [CrossRef] [PubMed]
- Wang, H.; Liu, X.; Jiang, X.; Song, Y.; Wang, X.; Wang, J.; Dong, Y.; Li, F.; Wu, Z.; Zhang, Y.; et al. Cystic brain metastases had slower speed of tumor shrinkage but similar prognosis compared with solid tumors that underwent radiosurgery treatment. Cancer Manag. Res. 2019, 11, 1753–1763. [Google Scholar] [CrossRef]
- Fife, K.M.; Colman, M.H.; Stevens, G.W.; Firth, I.; Moon, D.H.; Shannon, K.F.; Harman, R.; Petersen-Schaefer, K.; Zacest, A.C.; Besser, M.F.; et al. Determinants of outcome in melanoma patients with cerebral metastases. J. Clin. Oncol. 2004, 22, 1293–1300. [Google Scholar] [CrossRef]
- Margolin, K.; Davies, M.; Kluger, H.; Tawbi, H.; Balch, C.M. Melanoma Brain Metastases: Unique Biology and Implications for Systemic Therapy. In Cutaneous Melanoma, 6th ed.; Balch, C.M., Atkins, M.B., Garbe, C., Gershenwald, J.E., Halpern, A.C., Kirkwood, J.M., McArthur, G.A., Thompson, J.F., Sober, A.J., Eds.; Springer International Publishing: Berlin/Heidelberg, Germany, 2020; pp. 1421–1454. [Google Scholar] [CrossRef]
- Sampson, J.H.; Carter, J.H.; Friedman, A.H.; Seigler, H.F. Demographics, prognosis, and therapy in 702 patients with brain metastases from malignant melanoma. J. Neurosurg. 1998, 88, 11–20. [Google Scholar] [CrossRef]
- DeAngelis, L.M. Tumors of the central nervous system and intracranial hypertension and hypotension. In Goldman’s Cecil Medicine, 24th ed.; Goldman, L., Schafer, A.I., Eds.; Elsevier Saunders: Philadelphia, PA, USA, 2012; Volume 1, pp. 1246–1257. [Google Scholar]
- Song, M.; Hildesheim, A.; Shiels, M.S. Premature years of life lost due to cancer in the United States in 2017. Cancer Epidemiol. Biomark. Prev. 2020, 29, 2591–2598. [Google Scholar] [CrossRef]
- Madhusoodanan, S.; Opler, M.G.; Moise, D.; Gordon, J.; Danan, D.M.; Sinha, A.; Babu, R.P. Brain tumor location and psychiatric symptoms: Is there any association? A meta-analysis of published case studies. Exp. Rev. Neurother. 2010, 10, 1529–1536. [Google Scholar] [CrossRef]
- Raducu, L.; Avino, A.; PurnichescuPurtan, R.; Balcangiu-Stroescu, A.E.; Balan, G.E.; Timofte, D.; Ionescu, D.; Jecan, R.C. Quality of life in patients with surgically removed skin tumors. Medicina 2020, 56, 66. [Google Scholar] [CrossRef]
- Ascierto, P.A.; Atkins, M.B. Sequencing and combinations of molecularly targeted and immunotherapy for BRAF mutant melanoma. In Cutaneous Melanoma; Springer International Publishing: Berlin/Heidelberg, Germany, 2020; pp. 1215–1241. [Google Scholar] [CrossRef]
- Amaral, T.; Tampouri, I.; Eigentler, T.; Keim, U.; Klumpp, B.; Heinrich, V.; Zips, D.; Paulsen, F.; Gepfner-Tuma, I.; Skardelly, M.; et al. Immunotherapy plus surgery/radiosurgery is associated with favorable survival in patients with melanoma brain metastasis. Immunotherapy 2019, 11, 297–309. [Google Scholar] [CrossRef]
- Alvarez-Breckenridge, C.; Giobbie-Hurder, A.; Gill, C.M.; Bertalan, M.; Stocking, J.; Kaplan, A.; Nayyar, N.; Lawrence, D.P.; Flaherty, K.T.; Shih, H.A.; et al. Upfront surgical resection of melanoma brain metastases provides a bridge toward immunotherapy-mediated systemic control. Oncologist 2019, 24, 671–679. [Google Scholar] [CrossRef] [PubMed]
- Thompson, J.F.; Faries, M.B.; Friedman, E.B.; Lee, J.E.; Balch, C.M. Surgical Management of Distant Melanoma Metastases. In Cutaneous Melanoma; Balch, C.M., Atkins, M.B., Garbe, C., Gershenwald, J.E., Halpern, A.C., Kirkwood, J.M., McArthur, G.A., Thompson, J.F., Sober, A.J., Eds.; Springer International Publishing: Berlin/Heidelberg, Germany, 2020; pp. 1421–1454. [Google Scholar] [CrossRef]
- Jiang, C.; Wallington, D.G.; Anker, C.J.; Lawson, D.H.; Yushak, M.; Kudchadkar, R.R.; Tarhini, A.A.; Khan, M.K. Changing therapeutic landscape for melanoma with multiple brain metastases. Neurosurgery 2020, 87, 498–515. [Google Scholar] [CrossRef] [PubMed]
- Mahajan, A.; Ahmed, S.; McAleer, M.F.; Weinberg, J.S.; Li, J.; Brown, P.; Settle, S.; Prabhu, S.S.; Lang, F.F.; Levine, N.; et al. Post-operative stereotactic radiosurgery versus observation for completely resected brain metastases: A single-centre, randomised, controlled, phase 3 trial. Lancet Oncol. 2017, 18, 1040–1048. [Google Scholar] [CrossRef] [PubMed]
- Akanda, Z.Z.; Hong, W.; Nahavandi, S.; Haghighi, N.; Phillips, C.; Kok, D.L. Post-operative stereotactic radiosurgery following excision of brain metastases: A systematic review and meta-analysis. Radiother. Oncol. 2020, 142, 27–35. [Google Scholar] [CrossRef] [PubMed]
- Hong, A.; Fogarty, G.B.; Dolven-Jacobsen, K.; Burmeister, B.; Lo, S.; Haydu, L.E.; Vardy, J.L.; Nowak, A.K.; Dhillon, H.M.; Ahmed, T.; et al. Adjuvant whole-brain radiation therapy compared with observation after local treatment of melanoma brain metastases: A multicenter, randomized phase III trial. J. Clin. Oncol. 2019, 37, 3132–3141. [Google Scholar] [CrossRef] [PubMed]
- Rishi, A.; Yu, H.-H.M. Current treatment of melanoma brain metastasis. Curr. Treat. Options Oncol. 2020, 21, 45. [Google Scholar] [CrossRef]
- Gazzeri, R.; Nalavenkata, S.; Teo, C. Minimally invasive key-hole approach for the surgical treatment of single and multiple brain metastases. Clin. Neurol. Neurosurg. 2014, 123, 117–126. [Google Scholar] [CrossRef]
- Hatiboglu, M.A.; Wildrick, D.M.; Sawaya, R. The role of surgical resection in patients with brain metastases. Ecancermedicalscience 2013, 7, 308. [Google Scholar] [CrossRef]
- Suki, D.; Abouassi, H.; Patel, A.J.; Sawaya, R.; Weinberg, J.S.; Groves, M.D. Comparative risk of leptomeningeal disease after resection or stereotactic radiosurgery for solid tumor metastasis to the posterior fossa. J. Neurosurg. 2008, 108, 248–257. [Google Scholar] [CrossRef]
- Ng, P.R.; Choi, B.D.; Aghi, M.K.; Nahed, B.V. Surgical advances in the management of brain metastases. Neurooncol Adv. 2021, 3 (Suppl. 5), v4–v15. [Google Scholar] [CrossRef]
- Han, E.Y.; Wang, H.; Luo, D.; Li, J.; Wang, X. Dosimetric comparison of fractionated radiosurgery plans using frameless Gamma Knife ICON and CyberKnife systems with linear accelerator–based radiosurgery plans for multiple large brain metastases. J. Neurosurg. 2020, 132, 1473–1479. [Google Scholar] [CrossRef]
- Hodi, F.S.; Lawrence, D.; Lezcano, C.; Wu, X.; Zhou, J.; Sasada, T.; Zeng, W.; Giobbie-Hurder, A.; Atkins, M.B.; Ibrahim, N.; et al. Bevacizumab plus ipilimumab in patients with metastatic melanoma. Cancer Immunol. Res. 2014, 2, 632–642. [Google Scholar] [CrossRef]
- Banks, P.; Lasocki, A.; Lau, P.K.H.; Sandhu, S.; McArthur, G.A.; Shackleton, M. Bevacizumab as a steroid-sparing agent during immunotherapy for melanoma brain metastases: A case series. Health Sci. Rep. 2019, 2, e115. [Google Scholar] [CrossRef]
- Zimmer, L.; Livingstone, E.; Hassel, J.C.; Fluck, M.; Eigentler, T.; Loquai, C.; Haferkamp, S.; Gutzmer, R.; Meier, F.; Mohr, P.; et al. Adjuvant nivolumab plus ipilimumab or nivolumab monotherapy versus placebo in patients with resected stage IV melanoma with no evidence of disease (IMMUNED): A randomised, double-blind, placebo-controlled, phase 2 trial. Lancet 2020, 395, 1558–1568. [Google Scholar] [CrossRef]
- Davies, M.A.; Saiag, P.; Robert, C.; Grob, J.-J.; Flaherty, K.T.; Arance, A.; Chiarion-Sileni, V.; Thomas, L.; Lesimple, T.; Mortier, L.; et al. Dabrafenib plus trametinib in patients with BRAF V600-mutant melanoma brain metastases (COMBI-MB): A multicentre, multicohort, open-label, phase 2 trial. Lancet Oncol. 2017, 18, 863–873. [Google Scholar] [CrossRef]
- Miller, D.; Zappala, V.; El Hindy, N.; Livingstone, E.; Schadendorf, D.; Sure, U.; Sandalcioglu, I.E. Intracerebral metastases of malignant melanoma and their recurrences—A clinical analysis. Clinical Neurol. Neurosurg. 2013, 115, 1721–1728. [Google Scholar] [CrossRef] [PubMed]
- Acharya, S.; Mahmood, M.; Mullen, D.; Yang, D.; Tsien, C.; Huang, J.; Perkins, S.M.; Rich, K.M.; Chicoine, M.R.; Leuthardt, E.C.; et al. Distant intracranial failure in melanoma brain metastases treated with stereotactic radiosurgery in the era of immunotherapy and targeted agents. Adv. Radiat. Oncol. 2017, 2, 572–580. [Google Scholar] [CrossRef] [PubMed]
- Anker, C.J.; Grossmann, K.F.; Atkins, M.B.; Suneja, G.; Tarhini, A.A.; Kirkwood, J.M. Avoiding severe toxicity from combined BRAF inhibitor and radiation treatment: Consensus guidelines from the Eastern Cooperative Oncology Group (ECOG). Int. J. Radiat. Oncol. Biol. Phys. 2016, 95, 632–646. [Google Scholar] [CrossRef] [PubMed]
- Patel, D.; Sohrawardy, S.; Sedhai, Y.R.; Basnyat, S.; Daxini, A.; Basu, A.; Mehta, V.; Mohammed, A.; Lichtenstein, S. Metastatic cutaneous melanoma of the gallbladder. Case Rep. Gastrointest. Med. 2017, 2017, 8532379. [Google Scholar] [CrossRef]
- van Bokhoven, M.; Aarntzen, E.H.; Tan, A.C. Metastatic melanoma of the common bile duct and ampulla of Vater. Gastrointest. Endosc. 2006, 63, 873–874. [Google Scholar] [CrossRef]
- Giannini, I.; Cutrignelli, D.A.; Resta, L.; Gentile, A.; Vincenti, L. Metastatic melanoma of the gallbladder: Report of two cases and a review of the literature. Clin. Exp. Med. 2016, 16, 295–300. [Google Scholar] [CrossRef]
- Balinski, A.M.; Vasbinder, A.L.; Kerndt, C.C.; Catala, T.C.; Parry, N.P.; Rehman, R.A.; Blakely, P.; Yeow, R.I.; Leja, M.J.; Lao, C.D.; et al. Metastatic melanoma of the heart: Retrospective cohort study and systematic review of prevalence, clinical characteristics, and outcomes. Cancer Med. 2023, 12, 2356–2367. [Google Scholar] [CrossRef] [PubMed]
- Ascierto, P.A.; Kirkwood, J.M.; Grob, J.-J.; Simeone, E.; Grimaldi, A.M.; Maio, M.; Palmieri, G.; Testori, A.; Marincola, F.M.; Mozzillo, N. The role of BRAF V600 mutation in melanoma. J. Transl. Med. 2012, 10, 85. [Google Scholar] [CrossRef] [PubMed]
- Davies, H.; Bignell, G.R.; Cox, C.; Stephens, P.; Edkins, S.; Clegg, S.; Teague, J.; Woffendin, H.; Garnett, M.J.; Bottomley, W.; et al. Mutations of the BRAF gene in human cancer. Nature 2022, 417, 949–954. [Google Scholar] [CrossRef]
- Ugurel, S.; Röhmel, J.; Ascierto, P.A.; Flaherty, K.T.; Grob, J.J.; Hauschild, A.; Larkin, J.; Long, G.V.; Lorigan, P.; McArthur, G.A.; et al. Survival of patients with advanced metastatic melanoma: The impact of novel therapies—Update 2017. Eur. J. Cancer 2017, 83, 247–257. [Google Scholar] [CrossRef]
- Flaherty, K.T.; Infante, J.R.; Daud, A.; Gonzalez, R.; Kefford, R.F.; Sosman, J.; Hamid, O.; Schuchter, L.; Cebon, J.; Ibrahim, N.; et al. Combined BRAF and MEK inhibition in melanoma with BRAF V600 mutations. N. Engl. J. Med. 2012, 367, 1694–1703. [Google Scholar] [CrossRef]
- Johnson, D.B.; Menzies, A.M.; Zimmer, L.; Eroglu, Z.; Ye, F.; Zhao, S.; Rizos, H.; Sucker, A.; Scolyer, R.A.; Gutzmer, R.; et al. Acquired BRAF inhibitor resistance: A multicenter meta-analysis of the spectrum and frequencies, clinical behaviour, and phenotypic associations of resistance mechanisms. Eur. J. Cancer 2015, 51, 2792–2799. [Google Scholar] [CrossRef]
- Larkin, J.; Ascierto, P.A.; Dréno, B.; Atkinson, V.; Liszkay, G.; Maio, M.; Mandalà, M.; Demidov, L.; Stroyakovskiy, D.; Thomas, L.; et al. Combined vemurafenib and cobimetinib in BRAF-mutated melanoma. N. Engl. J. Med. 2014, 371, 1867–1876. [Google Scholar] [CrossRef]
- Ribas, A.; Gonzalez, R.; Pavlick, A.; Hamid, O.; Gajewski, T.F.; Daud, A.; Flaherty, L.; Logan, T.; Chmielowski, B.; Lewis, K.; et al. Combination of vemurafenib and cobimetinib in patients with advanced BRAF(V600)-mutated melanoma: A phase 1b study. Lancet Oncol. 2014, 15, 954–965. [Google Scholar] [CrossRef] [PubMed]
- Dummer, R.; Ascierto, P.A.; Gogas, H.J.; Arance, A.; Mandala, M.; Liszkay, G.; Garbe, C.; Schadendorf, D.; Krajsova, I.; Gutzmer, R.; et al. Encorafenib plus binimetinib versus vemurafenib or encorafenib in patients with BRAF-mutant melanoma (COLUMBUS): A multicentre, open-label, randomised phase 3 trial. Lancet Oncol. 2018, 19, 603–615. [Google Scholar] [CrossRef]
- Lu, W.; Burton, L.; Larkin, J.; Chapman, P.B.; Ascierto, P.A.; Ribas, A.; Robert, C.; Sosman, J.A.; McArthur, G.A.; Chang, I.; et al. Elevated levels of BRAF V600 mutant circulating tumor DNA and circulating hepatocyte growth factor are associated with poor prognosis in patients with metastatic melanoma. JCO Precis. Oncol. 2018, 2, 1–17. [Google Scholar] [CrossRef]
- Hamid, O.; Robert, C.; Daud, A.; Hodi, F.S.; Hwu, W.-J.; Kefford, R.; Wolchok, J.D.; Hersey, P.; Joseph, R.W.; Weber, J.S.; et al. 5-year survival outcomes in patients with advanced melanoma treated with pembrolizumab in KEYNOTE-001. J. Clin. Oncol. 2018, 36 (Suppl. S15), 9516. [Google Scholar] [CrossRef]
- Tawbi, H.A.; Forsyth, P.A.; Algazi, A.; Hamid, O.; Hodi, F.S.; Moschos, S.J.; Khushalani, N.I.; Lewis, K.; Lao, C.D.; Postow, M.A.; et al. Combined nivolumab and ipilimumab in melanoma metastatic to the brain. N. Engl. J. Med. 2018, 379, 722–730. [Google Scholar] [CrossRef] [PubMed]
- Tawbi, H.A.; Forsyth, P.A.; Hodi, F.S.; Algazi, A.; Hamid, O.; Lao, C.D.; Moschos, S.J.; Atkins, M.B.; Lewis, K.; Postow, M.A.; et al. 1039MO CheckMate 204: 3-year outcomes of treatment with combination nivolumab (NIVO) plus ipilimumab (IPI) for patients with active melanoma brain metastases. Ann. Oncol. 2021, 32 (Suppl. 5), S871–S872. [Google Scholar] [CrossRef]
- Long, G.V.; Trefzer, U.; Davies, M.A.; Kefford, R.F.; Ascierto, P.A.; Chapman, P.B.; Puzanov, I.; Hauschild, A.; Robert, C.; Algazi, A.; et al. Dabrafenib in patients with Val600Glu or Val600Lys BRAF-mutant melanoma metastatic to the brain (BREAK-MB): A multicentre, open-label, phase 2 trial. Lancet Oncol. 2012, 13, 1087–1095. [Google Scholar] [CrossRef] [PubMed]
- Dummer, R.; Welti, M.; Ramelyte, E. The role of triple therapy and therapy sequence in treatment of BRAF-mutant metastatic melanoma. Response to overall survival with first-line atezolizumab in combination with vemurafenib and cobimetinib in BRAFV600 mutation-positive advanced melanoma (IMspire150): Second interim analysis of a multicentre, randomised, phase 3 study. J. Transl. Med. 2023, 21, 529. [Google Scholar] [CrossRef] [PubMed]
- Tawbi, H.A.-H. The standard of care for brain metastases in melanoma. Clin. Adv. Hematol. Oncol. 2020, 18, 28–31. [Google Scholar] [PubMed]
- Ferrucci, P.F.; Gaeta, A.; Cocorocchio, E.; D’Ecclesiis, O.; Gandini, S. Meta-analysis of randomized phase II-III trials evaluating triplet combinations of immunotherapy and targeted therapy for BRAF V600-mutant unresectable or metastatic melanoma. [ASCO abstract 9541]. J. Clin. Oncol. 2022, 40 (Suppl. S16), 9541. [Google Scholar] [CrossRef]
- Dummer, R.; Queirolo, P.; Maria, A.; Hu, Y.; Wang, D.; Azevedo, S.J.; Robert, C.; Ascierto, P.A.; ChiarionSileni, V.; Pronzato, P.; et al. Atezolizumab, cobimetinib and vemurafenib in patients with BRAFV600 mutation–positive melanoma with central nervous system metastases: Primary results from phase 2 Tricotel study. [ASCO abstract 9515]. J. Clin. Oncol. 2022, 40 (Suppl. S16), 9515. [Google Scholar] [CrossRef]
- Tawbi, H.A.-H.; Amaria, R.N.; Glitza, I.C.; Milton, D.R.; Hwu, W.; Patel, S.; Wong, M.K.; Yee, C.; Woodman, S.E.; McQuade, J.L.; et al. Safety and preliminary activity data from a single center phase II study of triplet combination of nivolumab with dabrafenib and trametinib [Trident] in patients with BRAF-mutated metastatic melanoma. J. Clin. Oncol. 2018, 36 (Suppl. S15), 9560. [Google Scholar] [CrossRef]
- Ribas, A.; Hodi, F.S.; Lawrence, D.; Atkinson, V.; Agarwal, S.; Carlino, M.S.; Fisher, R.; Long, G.V.; Miller, W.H.; Huang, Y.; et al. KEYNOTE-022 update: Phase 1 study of first-line pembrolizumab (pembro) plus dabrafenib (D) and trametinib (T) for BRAF-mutant advanced melanoma. Ann. Oncol. 2017, 28 (Suppl. S5), 2160. [Google Scholar] [CrossRef]
- Dummer, R.; Schadendorf, D.; Nathan, P.; Tawbi, H.; Robert, C.; Ascierto, P.A.; Ribas, A.; Lebbé, C.; Mandala, M.; Yamazaki, N.; et al. Abstract CT182: The anti-PD-1 antibody spartalizumab (PDR001) in combination with dabrafenib and trametinib in previously untreated patients with advanced BRAF V600-mutant melanoma: First efficacy, safety, and biomarker findings from the part 2 biomarker cohort of COMBi-i. Cancer Res. 2018, 78 (Suppl. S13), CT182. [Google Scholar] [CrossRef]
- Ribas, A.; Butler, M.; Lutzky, J.; Lawrence, D.P.; Robert, C.; Miller, W.; Linette, G.P.; Ascierto, P.A.; Kuzel, T.; Algazi, A.P.; et al. Phase I study combining anti-PD-L1 (MEDI4736) with BRAF (dabrafenib) and/or MEK (trametinib) inhibitors in advanced melanoma. J. Clin. Oncol. 2015, 33 (Suppl. S15), 3003. [Google Scholar] [CrossRef]
- Ackerman, A.; Klein, O.; McDermott, D.F.; Wang, W.; Ibrahim, N.; Lawrence, D.P.; Gunturi, A.; Flaherty, K.T.; Hodi, F.S.; Kefford, R.; et al. Outcomes of patients with metastatic melanoma treated with immunotherapy prior to or after BRAF inhibitors. Cancer 2014, 120, 1695–1701. [Google Scholar] [CrossRef]
- Tarhini, A.A.; McDermott, D.F.; Ambavane, A.; Gupte-Singh, K.; Ritchings, C.; Aponte-Ribero, V.; Benedict, Á.; Rao, S.; Regan, M.M.; Atkins, M.B. Clinical and economic outcomes associated with sequential treatment in BRAF mutant advanced melanoma patients. J. Clin. Oncol. 2018, 36 (Suppl. S15), 9538. [Google Scholar] [CrossRef]
- Biermann, J.; Melms, J.C.; Amin, A.D.; Wang, Y.; Caprio, L.A.; Karz, A.; Tagore, S.; Barrera, I.; Ibarra-Arellano, M.A.; Andreatta, M.; et al. Dissecting the treatment-naïve ecosystem of human melanoma brain metastasis. Cell 2022, 185, 2591–2608.e30. [Google Scholar] [CrossRef]
- Fischer, G.M.; Jalali, A.; Kircher, D.A.; Lee, W.-C.; McQuade, J.L.; Haydu, L.E.; Joon, A.Y.; Reuben, A.; de Macedo, M.P.; Carapeto, F.C.L.; et al. Molecular profiling reveals unique immune and metabolic features of melanoma brain metastases. Cancer Discov. 2019, 9, 628–645. [Google Scholar] [CrossRef]
- Cho, J.H.; Robinson, J.A.; Arave, R.A.; Burnett, W.C.; Kircher, D.A.; Chen, G.; Davies, M.J.; Grossmann, A.H.; VanBrocklin, M.W.; McMahon, M.; et al. AKT1 activation promotes development of melanoma metastases. Cell Rep. 2015, 13, 898–905. [Google Scholar] [CrossRef] [PubMed]
- Zurac, S.; Neagu, M.; Constantin, C.; Cioplea, M.; Nedelcu, R.I.; Bastian, A.; Popp, C.; Nichita, L.; Andrei, R.; Tebeică, T.; et al. Variations in the expression of TIMP1, TIMP2 and TIMP3 in cutaneous melanoma with regression and their possible function as prognostic predictors. Oncol. Lett. 2016, 11, 3354–3360. [Google Scholar] [CrossRef]
- Sperduto, P.W.; Jiang, W.; Brown, P.D.; Braunstein, S.; Sneed, P.; Wattson, D.A.; Shih, H.A.; Bangdiwala, A.; Shanley, R.; Lockney, N.A.; et al. Estimating survival in melanoma patients with brain metastases: An update of the Graded Prognostic Assessment for Melanoma using Molecular markers (Melanoma-molGPA). Int. J. Radiat. Oncol. Biol. Phys. 2017, 99, 812–816. [Google Scholar] [CrossRef] [PubMed]
- Schramm, S.-J.; Mann, G.J. Melanoma Prognosis: A REMARK-Based Systematic Review and Bioinformatic Analysis of Immunohistochemical and Gene Microarray Studies. Mol. Cancer Ther. 2011, 10, 1520–1528. [Google Scholar] [CrossRef] [PubMed]
- Rothberg, B.E.; Rimm, D.L. Construction and analysis of multiparameter prognostic models for melanoma outcome. Methods Mol. Biol. 2014, 1102, 227–258. [Google Scholar] [CrossRef] [PubMed]







Disclaimer/Publisher’s Note: The statements, opinions and data contained in all publications are solely those of the individual author(s) and contributor(s) and not of MDPI and/or the editor(s). MDPI and/or the editor(s) disclaim responsibility for any injury to people or property resulting from any ideas, methods, instructions or products referred to in the content. |
© 2024 by the authors. Licensee MDPI, Basel, Switzerland. This article is an open access article distributed under the terms and conditions of the Creative Commons Attribution (CC BY) license (https://creativecommons.org/licenses/by/4.0/).
Share and Cite
Avino, A.; Ion, D.-E.; Gheoca-Mutu, D.-E.; Abu-Baker, A.; Țigăran, A.-E.; Peligrad, T.; Hariga, C.-S.; Balcangiu-Stroescu, A.-E.; Jecan, C.-R.; Tudor, A.; et al. Diagnostic and Therapeutic Particularities of Symptomatic Melanoma Brain Metastases from Case Report to Literature Review. Diagnostics 2024, 14, 688. https://doi.org/10.3390/diagnostics14070688
Avino A, Ion D-E, Gheoca-Mutu D-E, Abu-Baker A, Țigăran A-E, Peligrad T, Hariga C-S, Balcangiu-Stroescu A-E, Jecan C-R, Tudor A, et al. Diagnostic and Therapeutic Particularities of Symptomatic Melanoma Brain Metastases from Case Report to Literature Review. Diagnostics. 2024; 14(7):688. https://doi.org/10.3390/diagnostics14070688
Chicago/Turabian StyleAvino, Adelaida, Daniela-Elena Ion, Daniela-Elena Gheoca-Mutu, Abdalah Abu-Baker, Andrada-Elena Țigăran, Teodora Peligrad, Cristian-Sorin Hariga, Andra-Elena Balcangiu-Stroescu, Cristian-Radu Jecan, Adrian Tudor, and et al. 2024. "Diagnostic and Therapeutic Particularities of Symptomatic Melanoma Brain Metastases from Case Report to Literature Review" Diagnostics 14, no. 7: 688. https://doi.org/10.3390/diagnostics14070688
APA StyleAvino, A., Ion, D.-E., Gheoca-Mutu, D.-E., Abu-Baker, A., Țigăran, A.-E., Peligrad, T., Hariga, C.-S., Balcangiu-Stroescu, A.-E., Jecan, C.-R., Tudor, A., & Răducu, L. (2024). Diagnostic and Therapeutic Particularities of Symptomatic Melanoma Brain Metastases from Case Report to Literature Review. Diagnostics, 14(7), 688. https://doi.org/10.3390/diagnostics14070688

