Opportunistic Screening for Osteoporosis by CT as Compared with DXA
Abstract
1. Introduction
2. Materials and Methods
2.1. Study Population
2.2. Protocol of DXA and CT Scans
- T-score ≤ −2.5: Osteoporosis
- −2.5 < T-score < −1.0: Low bone mass
- T-score ≥ −1.0: Normal
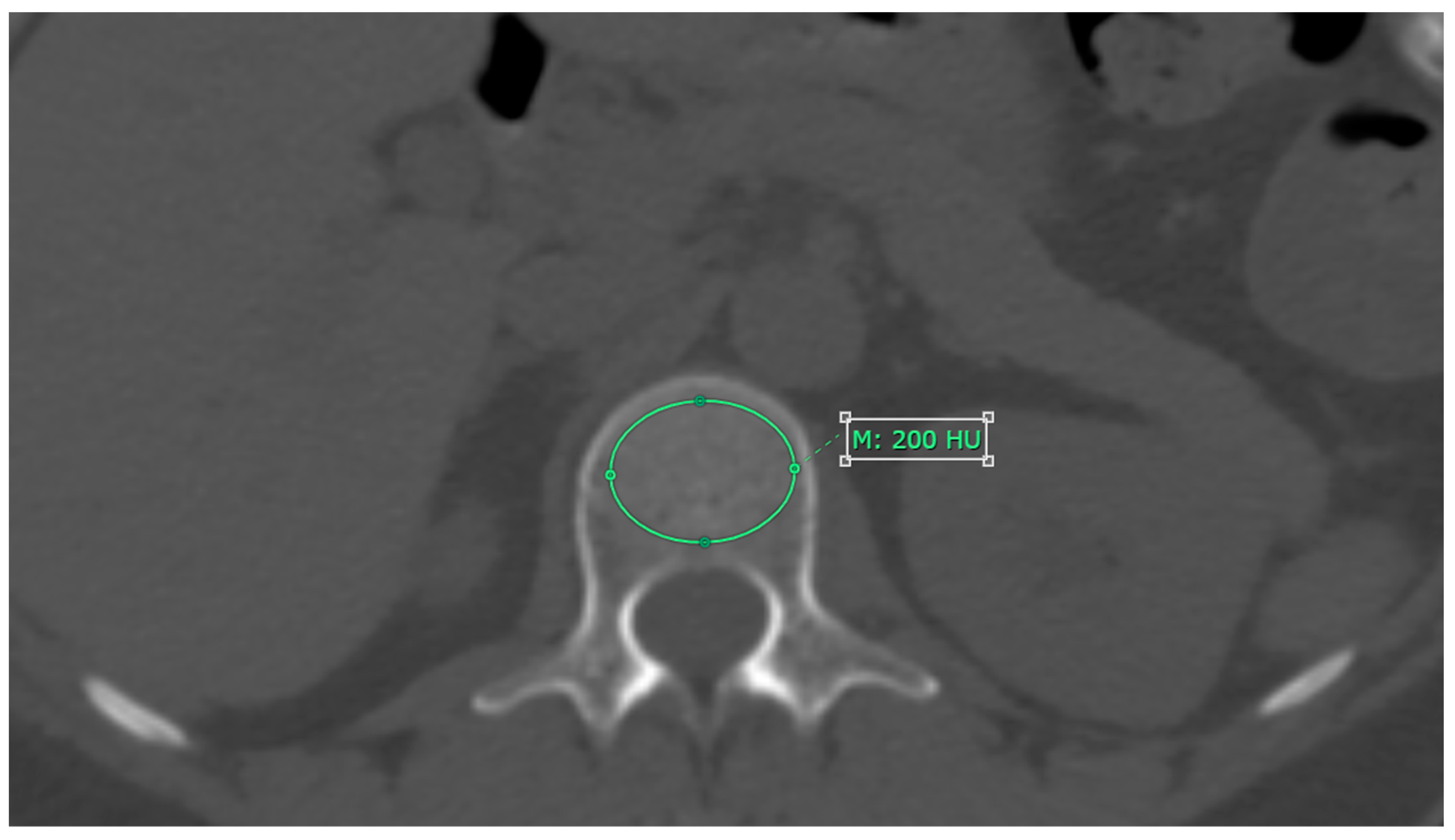
2.3. CT Attenuation Measurement
2.4. Statistical Analysis
3. Results
3.1. Study Population Characteristics
3.2. CT Attenuation Values
3.3. Screening Value Analysis
4. Discussion
5. Conclusions
Author Contributions
Funding
Institutional Review Board Statement
Informed Consent Statement
Data Availability Statement
Conflicts of Interest
Appendix A
| (a) | ||||||
|---|---|---|---|---|---|---|
| Lumbar Level | CT Attenuation (Hounsfield Unit), Mean ± SD | |||||
| Lowest T-Score | ANOVA Test | |||||
| Osteoporosis | Low Bone Mass | Normal | p-Value | |||
| L1 | 95.50 ± 34.57 | 134.33± 49.27 | 165.80 ± 39.64 | <0.001 | ||
| L2 | 89.50 ± 33.06 | 116.87 ± 49.16 | 155.06 ± 41.43 | <0.001 | ||
| L3 | 83.07 ± 29.94 | 117.45 ± 45.69 | 143.85 ± 42.94 | <0.001 | ||
| L4 | 83.54 ± 31.28 | 116.23 ± 45.91 | 154.34 ± 41.74 | <0.001 | ||
| (b) | ||||||
| Lumbar Level | Multiple Comparisons for CT Attenuation (Hounsfield Unit) | |||||
| Low bone mass–Normal | Osteoporosis–Normal | Osteoporosis–Low bone mass | ||||
| Difference (95%CI) | p-Value | Difference (95%CI) | p-Value | Difference (95%CI) | p-Value | |
| L1 | −31.47 (−59.88, −3.06) | 0.025 | −70.31 (−99.62, −41.00) | <0.001 | −38.84 (−61.88, −15.79) | <0.001 |
| L2 | −38.20 (−66.37, −10.03) | 0.004 | −65.56 (−95.12, −36.01) | <0.001 | −27.37 (−50.25, −4.49) | 0.013 |
| L3 | −26.39 (−53.19, 0.40) | 0.055 | −60.78 (−89.02, −32.55) | <0.001 | −34.39 (−56.58, −12.19) | 0.001 |
| L4 | −38.70 (−64.77, −11.45) | 0.002 | −70.81 (−98.45, −43.17) | <0.001 | −32.70 (−54.06, −11.34) | 0.001 |
| Lumbar Level | Area of ROI (mm2) Mean ± SD | |||
|---|---|---|---|---|
| Lowest T-Score | ANOVA Test p-Value | |||
| Osteoporosis | Low Bone Mass | Normal | ||
| L1 | 538.85 ± 90.18 | 520.89 ± 93.34 | 514.43 ± 112.60 | 0.589 |
| L2 | 593.17 ± 95.59 | 595.93 ± 116.07 | 574.84 ± 119.86 | 0.771 |
| L3 | 649.57 ± 101.16 | 639.68 ± 139.64 | 628.52 ± 118.72 | 0.835 |
| L4 | 706.59 ± 131.05 | 652.94 ± 154.41 | 624.57 ± 135.36 | 0.085 |
References
- Kanis, J.A.; McCloskey, E.V.; Johansson, H.; Oden, A.; Melton, L.J., 3rd; Khaltaev, N. A reference standard for the description of osteoporosis. Bone 2008, 42, 467–475. [Google Scholar] [CrossRef] [PubMed]
- Genant, H.K.; Cooper, C.; Poor, G.; Reid, I.; Ehrlich, G.; Kanis, J.; Nordin, B.C.; Barrett-Connor, E.; Black, D.; Bonjour, J.P.; et al. Interim report and recommendations of the World Health Organization Task-Force for Osteoporosis. Osteoporos. Int. 1999, 10, 259–264. [Google Scholar] [CrossRef] [PubMed]
- World Health Organization. Prevention and Management of Osteoporosis: Report of a WHO Scientific Group; World Health Organization: Geneva, Switzerland, 2003. [Google Scholar]
- International Society for Clinical Densitometry. 2019 ISCD Official Positions—Adult; ISCD: West Hartford, CT, USA, 2019. [Google Scholar]
- Ward, R.J.; Roberts, C.C.; Bencardino, J.T.; Arnold, E.; Baccei, S.J.; Cassidy, R.C.; Chang, E.Y.; Fox, M.G.; Greenspan, B.S.; Gyftopoulos, S.; et al. ACR Appropriateness Criteria® Osteoporosis and Bone Mineral Density. J. Am. Coll. Radiol. 2017, 14, S189–S202. [Google Scholar] [CrossRef]
- Zysset, P.; Qin, L.; Lang, T.; Khosla, S.; Leslie, W.D.; Shepherd, J.A.; Schousboe, J.T.; Engelke, K. Clinical use of quantitative computed tomography–based finite element analysis of the hip and spine in the management of osteoporosis in adults: The 2015 ISCD official positions—Part II. J. Clin. Densitom. 2015, 18, 359–392. [Google Scholar] [CrossRef] [PubMed]
- Leonhardt, Y.; May, P.; Gordijenko, O.; Koeppen-Ursic, V.A.; Brandhorst, H.; Zimmer, C.; Makowski, M.R.; Baum, T.; Kirschke, J.S.; Gersing, A.S.; et al. Opportunistic QCT bone mineral density measurements predicting osteoporotic fractures: A use case in a prospective clinical cohort. Front. Endocrinol. 2020, 11, 586352. [Google Scholar] [CrossRef] [PubMed] [PubMed Central]
- Pickhardt, P.J.; Lee, L.J.; Muñoz del Rio, A.; Lauder, T.; Bruce, R.J.; Summers, R.M.; Pooler, B.D.; Binkley, N. Simultaneous screening for osteoporosis at CT colonography: Bone mineral density assessment using MDCT attenuation techniques compared with the DXA reference standard. J. Bone Miner. Res. 2011, 26, 2194–2203. [Google Scholar] [CrossRef] [PubMed] [PubMed Central]
- Li, N.; Li, X.M.; Xu, L.; Sun, W.J.; Cheng, X.G.; Tian, W. Comparison of QCT and DXA: Osteoporosis detection rates in postmenopausal women. Int. J. Endocrinol. 2013, 2013, 895474. [Google Scholar] [CrossRef]
- Xu, X.M.; Li, N.; Li, K.; Li, X.Y.; Zhang, P.; Xuan, Y.J.; Cheng, X.G. Discordance in diagnosis of osteoporosis by quantitative computed tomography and dual-energy X-ray absorptiometry in Chinese elderly men. J. Orthop. Transl. 2019, 18, 59–64. [Google Scholar] [CrossRef]
- Pickhardt, P.J.; Pooler, B.D.; Lauder, T.; Munoz Del Rio, A.; Bruce, R.J.; Binkley, N. Opportunistic screening for osteoporosis using abdominal computed tomography scans obtained for other indications. Ann. Intern. Med. 2013, 158, 588–595. [Google Scholar] [CrossRef]
- Schreiber, J.J.; Anderson, P.A.; Hsu, W.K. Use of computed tomography for assessing bone mineral density. Neurosurg. Focus 2014, 37, E4. [Google Scholar] [CrossRef]
- Alacreu, E.; Moratal, D.; Arana, E. Opportunistic screening for osteoporosis by routine CT in Southern Europe. Osteoporos. Int. 2017, 28, 983–990. [Google Scholar] [CrossRef] [PubMed]
- Jang, S.; Graffy, P.M.; Ziemlewicz, T.J.; Lee, S.J.; Summers, R.M.; Pickhardt, P.J. Opportunistic osteoporosis screening at routine abdominal and thoracic CT: Normative L1 trabecular attenuation values in more than 20,000 adults. Radiology 2019, 291, 360–367. [Google Scholar] [CrossRef] [PubMed]
- Li, Y.L.; Wong, K.H.; Law, M.W.; Fang, B.X.; Lau, V.W.; Vardhanabuti, V.V.; Lee, V.K.; Cheng, A.K.; Ho, W.Y.; Lam, W. Opportunistic screening for osteoporosis in abdominal computed tomography for Chinese population. Arch. Osteoporos. 2018, 13, 76. [Google Scholar] [CrossRef] [PubMed]
- Lee, S.J.; Binkley, N.; Lubner, M.G.; Bruce, R.J.; Ziemlewicz, T.J.; Pickhardt, P.J. Opportunistic screening for osteoporosis using the sagittal reconstruction from routine abdominal CT for combined assessment of vertebral fractures and density. Osteoporos. Int. 2015, 27, 1131–1136. [Google Scholar] [CrossRef] [PubMed]
- Buckens, C.F.; Dijkhuis, G.; de Keizer, B.; Verhaar, H.J.; de Jong, P.A. Opportunistic screening for osteoporosis on routine computed tomography? An external validation study. Eur. Radiol. 2015, 25, 2074–2079. [Google Scholar] [CrossRef]
- Islamian, J.P.; Garoosi, I.; Fard, K.A.; Abdollahi, M.R. Comparison between the MDCT and the DXA scanners in the evaluation of BMD in the lumbar spine densitometry. Egypt. J. Radiol. Nucl. Med. 2016, 47, 961–967. [Google Scholar] [CrossRef][Green Version]
- Kim, K.J.; Kim, D.H.; Lee, J.I.; Choi, B.K.; Han, I.H.; Nam, K.H. Hounsfield units on lumbar computed tomography for predicting regional bone mineral density. Open Med. 2019, 14, 545–551. [Google Scholar] [CrossRef]
- Lee, S.; Chung, C.K.; Oh, S.H.; Park, S.B. Correlation between bone mineral density measured by dual-energy X-ray absorptiometry and Hounsfield units measured by diagnostic CT in lumbar spine. J. Korean Neurosurg. Soc. 2013, 54, 384–389. [Google Scholar] [CrossRef]
- Hendrickson, N.R.; Pickhardt, P.J.; Del Rio, A.M.; Rosas, H.G.; Anderson, P.A. Bone mineral density T-scores derived from CT attenuation numbers (Hounsfield units): Clinical utility and correlation with dual-energy X-ray absorptiometry. Iowa Orthop. J. 2018, 38, 25–31. [Google Scholar]
- Choi, M.K.; Kim, S.M.; Lim, J.K. Diagnostic efficacy of Hounsfield units in spine CT for the assessment of real bone mineral density of degenerative spine: Correlation study between T-scores determined by DEXA scan and Hounsfield units from CT. Acta Neurochir. 2016, 158, 1421–1427. [Google Scholar] [CrossRef]
- van Oostwaard, M. Osteoporosis and the nature of fragility fracture: An overview. In Fragility Fracture Nursing: Holistic Care and Management of the Orthogeriatric Patient; Hertz, K., Santy-Tomlinson, J., Eds.; Springer: Cham, Switzerland, 2018; Chapter 1. Available online: https://www.ncbi.nlm.nih.gov/books/NBK543829/ (accessed on 14 November 2019). [CrossRef]
- National Institute for Health and Care Excellence (NICE). Osteoporosis: Assessing the Risk of Fragility Fracture; NICE: London, UK, 2017. Available online: https://www.ncbi.nlm.nih.gov/books/NBK554920/ (accessed on 25 November 2019).
- Genant, H.K.; Wu, C.Y.; van Kuijk, C.; Nevitt, M.C. Vertebral fracture assessment using a semiquantitative technique. J. Bone Miner. Res. 1993, 8, 1137–1148. [Google Scholar] [CrossRef] [PubMed]
- Watts, N.B.; Lewiecki, E.M.; Miller, P.D.; Baim, S. National Osteoporosis Foundation 2008 Clinician’s Guide to Prevention and Treatment of Osteoporosis and the World Health Organization Fracture Risk Assessment Tool (FRAX): What they mean to the bone densitometrist and bone technologist. J. Clin. Densitom. 2008, 11, 473–477. [Google Scholar] [CrossRef] [PubMed]
- Camacho, P.M.; Petak, S.M.; Binkley, N.; Diab, D.L.; Eldeiry, L.S.; Farooki, A.; Harris, S.T.; Hurley, D.L.; Kelly, J.; Lewiecki, E.M.; et al. American Association of Clinical Endocrinologists/American College of Endocrinology clinical practice guidelines for the diagnosis and treatment of postmenopausal osteoporosis—2020 update. Endocr. Pract. 2020, 26 (Suppl. 1), 1–46. [Google Scholar] [CrossRef] [PubMed]



| Characteristic | Total n = 109 (100%) | Diagnosis Based on the Lowest T-Score | |||
|---|---|---|---|---|---|
| Osteoporosis n = 39 (35.8%) | Low Bone Mass n = 51 (46.8%) | Normal n = 19 (17.4%) | p-Value | ||
| Age (years), mean ± SD | 66.32 ± 11.24 | 67.64 ± 10.62 | 65.67 ± 11.27 | 65.37 ± 12.86 | 0.660 |
| Gender | 0.662 | ||||
| -Female | 107 (98.2) | 39 (36.4) | 49 (45.8) | 19 (17.8) | |
| -Male | 2 (1.8) | - | 2 (100) | - | |
| BMI (kg/m2), mean ± SD | 24.2 ± 4.4 | 23.4 ± 4.5 | 23.6 ± 3.8 | 27.3 ± 4.8 | 0.003 |
| Underlying Conditions Causing Bone Loss | 21 (19.3) | 8 (38.1) | 10 (47.6) | 3 (14.3) | 1.000 |
| Medications Causing Bone Loss | 23 (21.1) | 8 (34.8) | 12 (52.2) | 3 (13.0) | 0.863 |
| Medications Reducing Bone Resorption | 67 (61.5) | 25 (37.3) | 31 (46.3) | 11 (16.4) | 0.893 |
| Days between CT and DXA (days), median (range) | 139 (2–364) | 143 (15–332) | 139 (2–364) | 112 (14–293) | 0.443 # 0.498 |
| -6 months or less | 46 (42.2) | 16 (34.8) | 24 (52.2) | 6 (13.0) | |
| -6–12 months | 63 (57.8) | 23 (36.5) | 27 (42.9) | 13 (20.6) | |
| Measures | Difference (95%CI) | ICC (95%CI) | p-Value |
|---|---|---|---|
| HU | |||
| L1 | 1.307 (−0.327, 2.942) | 0.986 (0.979, 0.990) | <0.001 |
| L2 | 0.456 (−0.620, 1.531) | 0.994 (0.990, 0.996) | <0.001 |
| L3 | 0.878 (−0.789, 2.544) | 0.983 (0.975, 0.989) | <0.001 |
| L4 | 1.425 (−0.936, 3.787) | 0.966 (0.951, 0.977) | <0.001 |
| Area | |||
| L1 | 17.403 (4.901, 29.904) | 0.755 (0.649, 0.83) | <0.001 |
| L2 | 19.143 (8.626, 29.661) | 0.870 (0.798, 0.916) | <0.001 |
| L3 | 40.362 (22.805, 57.919) | 0.738 (0.574, 0.834) | <0.001 |
| L4 | 55.140 (36.108, 74.171) | 0.714 (0.486, 0.831) | <0.001 |
| Level | HU | Sensitivity (95% CI) | Specificity (95% CI) | Accuracy (95% CI) | LR+ (95% CI) | LR− (95% CI) | PPV (95% CI) | NPV (95% CI) |
|---|---|---|---|---|---|---|---|---|
| L1 | ≤94 | 48.7 (31.9–65.6) | 90.6 (80.7–96.5) | 75.2 (65.7–83.3) | 5.2 (2.3–11.9) | 0.6 (0.4–0.8) | 75 (56.7–87.3) | 75.3 (68.8–80.8) |
| ≤128 | 86.1 (70.5–95.3) | 62.5 (49.5–74.3) | 71.0 (61.1–79.6) | 2.3 (1.6–3.2) | 0.2 (0.1–0.5) | 56.4 (47.8–64.5) | 88.9 (77.6–94.9) | |
| ≤142 | 91.9 (78.1–98.3) | 48.4 (35.8–61.3) | 64.41 (54.2–73.6) | 1.8 (1.4–2.3) | 0.2 (0.1–0.5) | 50.8 (44.4–57.1) | 91.2 (77.2–96.9) | |
| ≤160 | 97.3 (85.8–99.9) | 31.3 (20.2–44.1) | 55.5 (45.2–65.3) | 1.4 (1.2–1.7) | 0.1 (0.01–0.6) | 45 (40.1–49.3) | 95.2 (73.7–99.3) | |
| L2 | ≤138 | 91.7 (77.5–98.3) | 38.3 (26.7–50.8) | 56.7 (46.7–66.4) | 1.5 (1.2–1.8) | 0.2 (0.07–0.7) | 44.0 (38.9–49.3) | 89.7 (73.8–96.4) |
| L3 | ≤128 | 91.2 (76.3–98.1) | 43.9 (31.7–56.7) | 60.0 (49.7–69.7) | 1.6 (1.3–2.1) | 0.2 (0.07–0.6) | 45.6 (39.8–51.5) | 90.6 (76.0–96.7) |
| L4 | ≤133 | 92.1 (78.6–98.3) | 40.3 (28.5–53.0) | 59.1 (49.0–68.6) | 1.5 (1.2–1.9) | 0.2 (0.06–0.6) | 46.7 (41.3–52.1) | 90.0 (74.5–96.5) |
Disclaimer/Publisher’s Note: The statements, opinions and data contained in all publications are solely those of the individual author(s) and contributor(s) and not of MDPI and/or the editor(s). MDPI and/or the editor(s) disclaim responsibility for any injury to people or property resulting from any ideas, methods, instructions or products referred to in the content. |
© 2024 by the authors. Licensee MDPI, Basel, Switzerland. This article is an open access article distributed under the terms and conditions of the Creative Commons Attribution (CC BY) license (https://creativecommons.org/licenses/by/4.0/).
Share and Cite
Chaisen, M.; Sritara, C.; Chitrapazt, N.; Suppasilp, C.; Chamroonrat, W.; Promma, S.; Kositwattanarerk, A.; Sakulpisuti, C.; Thamnirat, K. Opportunistic Screening for Osteoporosis by CT as Compared with DXA. Diagnostics 2024, 14, 2846. https://doi.org/10.3390/diagnostics14242846
Chaisen M, Sritara C, Chitrapazt N, Suppasilp C, Chamroonrat W, Promma S, Kositwattanarerk A, Sakulpisuti C, Thamnirat K. Opportunistic Screening for Osteoporosis by CT as Compared with DXA. Diagnostics. 2024; 14(24):2846. https://doi.org/10.3390/diagnostics14242846
Chicago/Turabian StyleChaisen, Molaya, Chanika Sritara, Niyata Chitrapazt, Chaiyawat Suppasilp, Wichana Chamroonrat, Sasivimol Promma, Arpakorn Kositwattanarerk, Chaninart Sakulpisuti, and Kanungnij Thamnirat. 2024. "Opportunistic Screening for Osteoporosis by CT as Compared with DXA" Diagnostics 14, no. 24: 2846. https://doi.org/10.3390/diagnostics14242846
APA StyleChaisen, M., Sritara, C., Chitrapazt, N., Suppasilp, C., Chamroonrat, W., Promma, S., Kositwattanarerk, A., Sakulpisuti, C., & Thamnirat, K. (2024). Opportunistic Screening for Osteoporosis by CT as Compared with DXA. Diagnostics, 14(24), 2846. https://doi.org/10.3390/diagnostics14242846

