Intracavitary Applications for CEUS in PTCD
Abstract
1. Introduction
2. Indications for Biliary Decompression
3. Technical Aspects
3.1. PTC Technique
3.2. Intracavitary CEUS Technique
4. Intracavitary Use of CEUS in PTCD in Different Biliary Obstruction Setting (Table 1)
| Study | N | M/F | Indication | Groups | Success rate | Complications | Approach Side | Repeated Injections | Fluoroscopy Comparison | Bilateral Approach | Determining Level of Obstruction | Accuracy |
|---|---|---|---|---|---|---|---|---|---|---|---|---|
| Ignee et al. 2009 | 8 | NA | Klatskin n = 5 (50%); Distal bile duct Ca n = 1; Ca pancreas n = 1; Chronic obstructive Pancreatitis with pseudocyst n = 1; Trauma of common bile duct n = 1 | NA | n = 8 (100%) | displacement of the drain n = 1 | Rightsided n = 6 (75%); Median subcostal n = 2 (25%) | n = 2 | Yes, but for guidance after stenosis is identified | No | Not indicated | NA |
| Zheng et al. 2010 | 12 | 10/2 | Evaluation of biliary tree in living liver donors | Normal biliary pattern biliary variations | n = 12 (100%) for adequate evaluation of biliary tree anatomy | no | Canulation of cystic duct and CBD intraoperatively | No | Yes-intraoperative cholangiography | NA | NA | Excellent for first order branches |
| Luyao et al. 2011 | 58 | 37/21 | Hilar cholangiocarcinoma n = 19; HCC with invasion of common hepatic duct n = 2; Hilar cholangitis n = 2; Periampullary tumor n = 8; Common bile duct stone n = 10; postoperative stricture n = 2 | Hilar obstruction Extrahepatic obstruction | Not indicated | PUSC—pain in the right upper quadrant n = 3 PTC—epigastric pain n = 25 | Not indicated | No | Yes—after PUSC | n = 8 | PUSC—hilar 100% accuracy; PUSC—CBD obstr. 93.8% accuracy; PTC—hilar 100% accuracy; PTC—CBD obstr. 100% accuracy | For level of obstruction: PUSC 96.6%; PTC 100% For cause: PUSC 93.1%; PTC 79.3% |
| Xu et al. 2012 | 80 | 61/19 | Localize the drainage catheter; Localize the distal tip of catheter; Evaluate level and degree of biliary obstruction | Intrahepatic obstr. n = 44; Extrahepatic obstr. n = 36; Complete n = 56; Incomplete n = 24 | n = 80 (100%) | 4 catheters not properly placed, which required reposition | Not indicated | Yes | Yes; FC n = 68; CTC n = 12 | NA | 100% accuracy (extrahepatic/intra hepatic) | 96.3% (77/80) for complete/incomplete; 100% for tip location |
| Chopra et al. 2012 | 12 | 7/5 | Evaluation of the biliary tree via T-tube after liver transplantation | Intrahepatic; Extrahepatic | Comparable to fluoroscopy pathology found in 4 pts anastomotic stenosis n = 1; Delayed duodenal outflow n = 2; Anastomotic leakage n = 1 | not indicated | Via postoperative T-tube | No | Yes fluoroscopy superior in identifying anastomotic stricture and leakage | NA | CEUS inferior in visualization of extra hepatic bile ducts | NA |
| Ignee et al. 2015 | 38 | 25/13 | Pancreas adenocarcinoma n = 11; CBD stone n = 6; Klatskin tu n = 6; Inflammatory stricture n = 5; Pancreatic meta n = 2; Lymph node meta n = 3; Duodenal Ca n = 2 ICC n = 1; Neuroendocrine Ca of papilla n = 1; IPMN n = 1 | Hilar (above cystic duct); Extrahepatic; Complete; Incomplete | 100% | subcutaneous hematoma n = 1 catheter dislodgement n = 2 pleural effusion and peural- peritoneal fistula n = 1 | Rightsided n = 33; Median left hepatic n = 5 | Yes (several) plus the day after the intervention | Yes (after CEUS contrast) | NA | Hilar obst. n = 8; Extrahepatic obstr. n = 30 | 97.4% for degree Incomplete 9/10 |
4.1. Intracavitary CEUS in PTCD Due to Benign or Malignant Biliary Obstruction
4.2. Intracavitary CEUS in PTCD after Liver Transplantation or Abdominal Surgery
4.3. Various
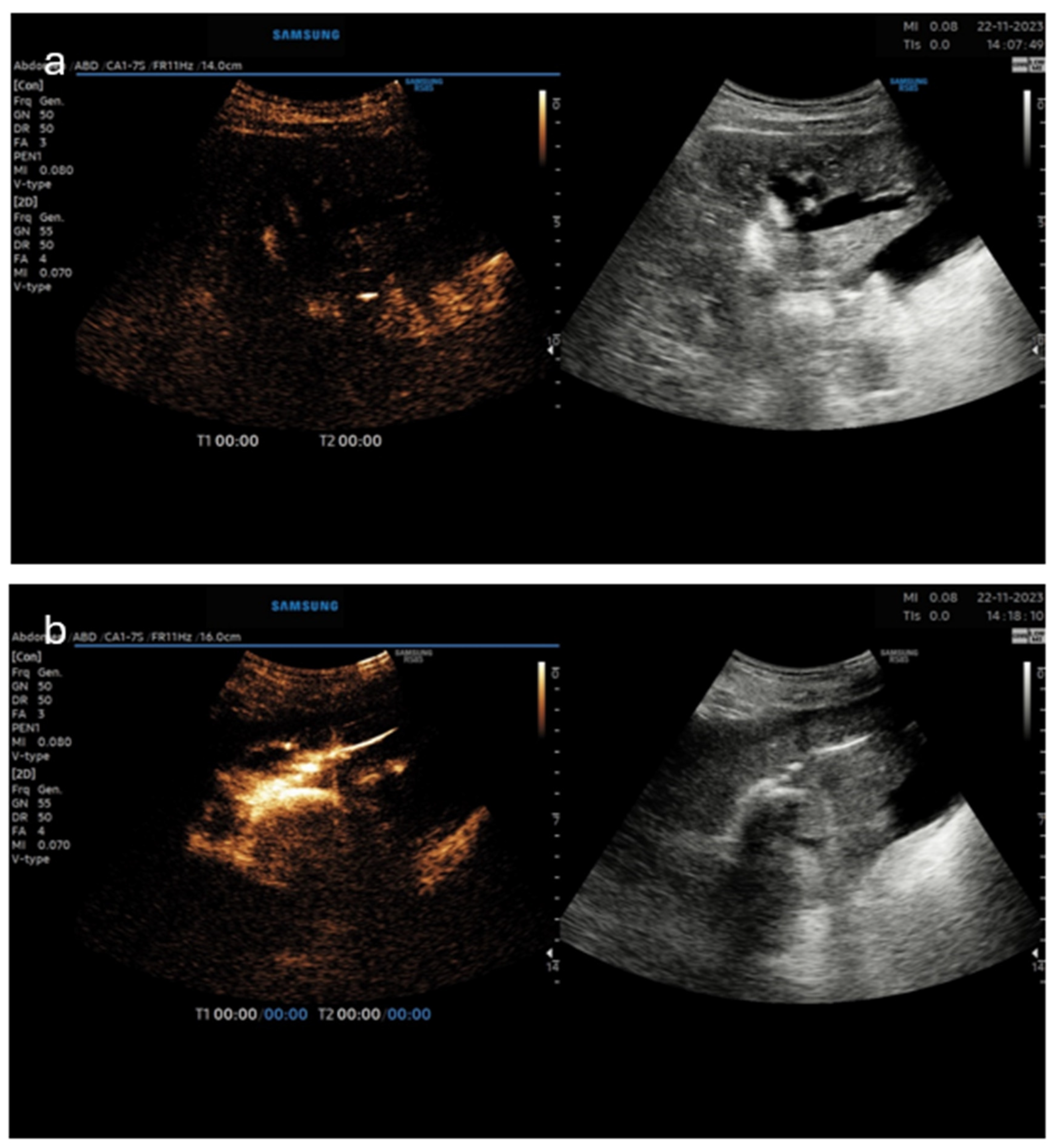
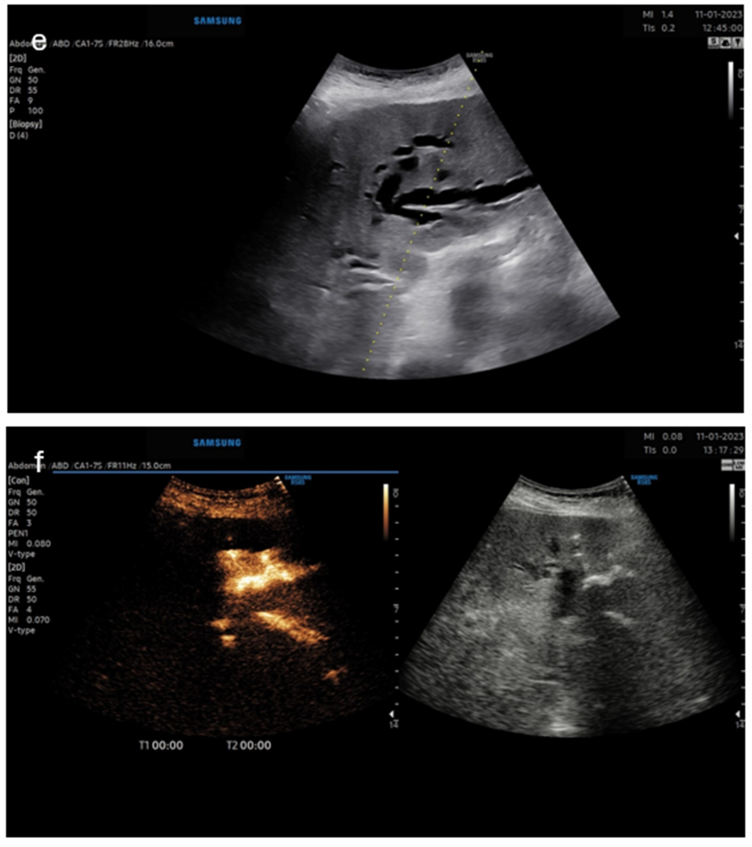
5. Pictorial Examples
6. Discussion
7. Conclusions
Author Contributions
Funding
Institutional Review Board Statement
Informed Consent Statement
Data Availability Statement
Conflicts of Interest
References
- Chen, Y.; Han, M.; Zheng, Y.Y.; Zhu, F.; Aisan, A.; Maheshati, T.; Ma, Y.-T.; Xie, X. Model for End-Stage Liver Disease Score Predicts the Mortality of Patients with Coronary Heart Disease Who Underwent Percutaneous Coronary Intervention. Cardiol. Res. Pract. 2021, 2021, 6401092. [Google Scholar] [CrossRef] [PubMed]
- Cokkinos, D.D.; Antypa, E.G.; Tsolaki, S.; Skylakaki, M.; Skoura, A.; Mellou, V.; Kalogeropoulos, I. Contrast-enhanced ultrasound examination of the gallbladder and bile ducts: A pictorial essay. J. Clin. Ultrasound 2018, 46, 48–61. [Google Scholar] [CrossRef] [PubMed]
- Piscaglia, F.; Nolsøe, C.; Dietrich, C.A.; Cosgrove, D.O.; Gilja, O.H.; Nielsen, M.B.; Albrecht, T.; Barozzi, L.; Bertolotto, M.; Catalano, O.; et al. The EFSUMB guidelines and recommendations on the clinical practice of contrast enhanced ultrasound (CEUS): Update 2011 on non-hepatic applications. Ultraschall Der Med. 2012, 33, 33–59. [Google Scholar] [CrossRef] [PubMed]
- Morin, S.H.; Lim, A.K.; Cobbold, J.F.; Taylor-Robinson, S.D.; Steiner, R. Use of second generation contrast-enhanced ultrasound in the assessment of focal liver lesions. World J. Gastroenterol. 2007, 13, 5963–5970. Available online: www.wjgnet.com (accessed on 9 March 2024). [CrossRef] [PubMed]
- Greis, C. Technology overview: SonoVue (Bracco, Milan). Eur. Radiol. 2004, 14 (Suppl. S8), P11–P15. [Google Scholar] [CrossRef] [PubMed]
- Badea, R.; Zaro, R.; Tantau, M.; Chiorean, L. Ultrasonography of the biliary tract–up to date. The importance of correlation between imaging methods and patients’ signs and symptoms. Med. Ultrason. 2015, 17, 383–391. [Google Scholar] [CrossRef] [PubMed][Green Version]
- Yusuf, G.T.; Fang, C.; Huang, D.Y.; Sellars, M.E.; Deganello, A.; Sidhu, P.S. Endocavitary contrast enhanced ultrasound (CEUS): A novel problem solving technique. Insights Imaging 2018, 9, 303–311. [Google Scholar] [CrossRef] [PubMed]
- Goddi, A.; Novario, R.; Tanzi, F.; Di Liberto, R.; Nucci, P. In vitro analysis of ultrasound second generation contrast agent diluted in saline solution. Radiol. Med. 2004, 107, 569–579. Available online: https://api.semanticscholar.org/CorpusID:33565326 (accessed on 14 March 2024).
- Heinzmann, A.; Müller, T.; Leitlein, J.; Braun, B.; Kubicka, S.; Blank, W. Endocavitary Contrast Enhanced Ultrasound (CEUS)—Work in Progress. Ultraschall Der Med.-Eur. J. Ultrasound 2012, 33, 76–84. [Google Scholar] [CrossRef]
- Piscaglia, F.; Bolondi, L. The safety of Sonovue® in abdominal applications: Retrospective analysis of 23188 investigations. Ultrasound Med. Biol. 2006, 32, 1369–1375. [Google Scholar] [CrossRef]
- Yusuf, G.T.; Sellars, M.E.; Deganello, A.; Cosgrove, D.O.; Sidhu, P.S. Retrospective Analysis of the Safety and Cost Implications of Pediatric Contrast-Enhanced Ultrasound at a Single Center. Am. J. Roentgenol. 2017, 208, 446–452. [Google Scholar] [CrossRef]
- Zhou, L.; Zhang, X.; Chen, X.; Liao, L.; Pan, R.; Zhou, N.; Di, N. Value of three-dimensional hysterosalpingo-contrast sonography with SonoVue in the assessment of tubal patency. Ultrasound Obstet. Gynecol. 2012, 40, 93–98. [Google Scholar] [CrossRef] [PubMed]
- Zhao, L.; Xie, X.; Xu, H.; Xu, Z.; Liu, G.; Li, M. Percutaneous ultrasound-guided cholangiography using microbubbles to evaluate the dilated biliary tract: Initial experience. Eur. Radiol. 2012, 22, 371–378. [Google Scholar] [CrossRef]
- Darge, K. Voiding urosonography with ultrasound contrast agents for the diagnosis of vesicoureteric reflux in children. Pediatr. Radiol. 2008, 38, 40–53. [Google Scholar] [CrossRef]
- Cui, X.-W.; Ignee, A.; Maros, T.; Straub, B.; Wen, J.-G.; Dietrich, C.F. Feasibility and Usefulness of Intra-Cavitary Contrast-Enhanced Ultrasound in Percutaneous Nephrostomy. Ultrasound Med. Biol. 2016, 42, 2180–2188. [Google Scholar] [CrossRef]
- Cui, X.-W.; Ignee, A.; Baum, U.; Dietrich, C.F. Feasibility and Usefulness of Using Swallow Contrast-Enhanced Ultrasound to Diagnose Zenker’s Diverticulum: Preliminary Results. Ultrasound Med. Biol. 2015, 41, 975–981. [Google Scholar] [CrossRef] [PubMed]
- Ignee, A.; Cui, X.; Schuessler, G.; Dietrich, C. Percutaneous transhepatic cholangiography and drainage using extravascular contrast enhanced ultrasound. Z. Gastroenterol. 2015, 53, 385–390. [Google Scholar] [CrossRef]
- Ignee, A.; Atkinson, N.S.; Schuessler, G.; Dietrich, C. Ultrasound contrast agents. Endosc. Ultrasound 2016, 5, 355. [Google Scholar] [CrossRef]
- Patrunov, Y.N.; Apolikhina, I.; Peniaeva, E.; Sencha, A.N.; Saidova, A. CEUS for minimally invasive procedures: Intracavitary CEUS. In Contrast-Enhanced Ultrasound from Simple to Complex; Sencha, A.N., Patrunov, Y.N., Eds.; Springer International Publishing: Berlin/Heidelberg, Germany, 2022; pp. 327–337. [Google Scholar]
- Sidhu, P.S.; Cantisani, V.; Dietrich, C.F.; Gilja, O.H.; Saftoiu, A.; Bartels, E.; Bertolotto, M.; Calliada, F.; Clevert, D.-A.; Cosgrove, D.; et al. The EFSUMB Guidelines and Recommendations for the Clinical Practice of Contrast-Enhanced Ultrasound (CEUS) in Non-Hepatic Applications: Update 2017 (Long Version). Ultraschall Med.-Eur. J. Ultrasound 2018, 39, e2–e44. [Google Scholar] [CrossRef]
- Nolsøe, C.P.; Nolsøe, A.B.; Klubien, J.; Pommergaard, H.C.; Rosenberg, J.; Meloni, M.F.; Lorentzen, T. Use of Ultrasound Contrast Agents in Relation to Percutaneous Interventional Procedures: A Systematic Review and Pictorial Essay. J. Ultrasound Med. 2018, 37, 1305–1324. [Google Scholar] [CrossRef]
- Deganello, A.; Rafailidis, V.; Sellars, M.E.; Ntoulia, A.; Kalogerakou, K.; Ruiz, G.; Cosgrove, D.O.; Sidhu, P.S. Intravenous and intracavitary use of contrast-enhanced ultrasound in the evaluation and management of complicated pediatric pneumonia. J. Ultrasound Med. 2017, 36, 1943–1954. [Google Scholar] [CrossRef] [PubMed]
- Huang, D.Y.; Yusuf, G.T.; Daneshi, M.; Husainy, M.A.; Ramnarine, R.; Sellars, M.E.; Sidhu, P.S. Contrast-enhanced US–guided Interventions: Improving Success Rate and Avoiding Complications Using US Contrast Agents. RadioGraphics 2017, 37, 652–664. [Google Scholar] [CrossRef] [PubMed]
- Bartolotta, T.V.; Taibbi, A.; Midiri, M.; Lagalla, R. Focal liver lesions: Contrast-enhanced ultrasound. Abdom. Imaging 2009, 34, 193–209. [Google Scholar] [CrossRef] [PubMed]
- Mao, R.; Xu, E.; Li, K.; Zheng, R. Usefulness of contrast-enhanced ultrasound in the diagnosis of biliary leakage following T-tube removal. J. Clin. Ultrasound 2010, 38, 38–40. [Google Scholar] [CrossRef] [PubMed]
- Daneshi, M.; Rajayogeswaran, B.; Peddu, P.; Sidhu, P.S. Demonstration of an occult biliary-arterial fistula using percutaneous contrast-enhanced ultrasound cholangiography in a transplanted liver. J. Clin. Ultrasound 2014, 42, 108–111. [Google Scholar] [CrossRef] [PubMed]
- Xu, E.; Zheng, R.; Su, Z.; Li, K.; Ren, J.; Guo, H. Intra-biliary contrast-enhanced ultrasound for evaluating biliary obstruction during percutaneous transhepatic biliary drainage: A preliminary study. Eur. J. Radiol. 2012, 81, 3846–3850. [Google Scholar] [CrossRef] [PubMed]
- Dietrich, C.F.; Lorentzen, T.; Appelbaum, L.; Buscarini, E.; Cantisani, V.; Correas, J.M.; Cui, X.W.; D’Onofrio, M.; Gilja, O.H.; Hocke, M.; et al. EFSUMB Guidelines on Interventional Ultrasound (INVUS), Part III—Abdominal Treatment Procedures (Long Version). Ultraschall Der Med.-Eur. J. Ultrasound 2015, 37, E1–E32. [Google Scholar] [CrossRef] [PubMed]
- Nagino, M.; Takada, T.; Miyazaki, M.; Miyakawa, S.; Tsukada, K.; Kondo, S.; Furuse, J.; Saito, H.; Tsuyuguchi, T.; Yoshikawa, T.; et al. Preoperative biliary drainage for biliary tract and ampullary carcinomas. J. Hepatobiliary Pancreat. Surg. 2008, 15, 25–30. [Google Scholar] [CrossRef] [PubMed]
- Cozzi, G.; Severini, A.; Civelli, E.; Milella, M.; Pulvirenti, A.; Salvetti, M.; Romito, R.; Suman, L.; Chiaraviglio, F. Percutaneous Transhepatic Biliary Drainage in the Management of Postsurgical Biliary Leaks in Patients with Nondilated Intrahepatic Bile Ducts. CardioVascular Interv. Radiol. 2006, 29, 380–388. [Google Scholar] [CrossRef]
- Dietrich, C.F.; Braden, B.; Cui, X.W.; Ignee, A.; Rodgers, P.M. Percutaneous Transhepatic Cholangiodrainage. In Interventional Ultrasound—A Practical Guide and Atlas; Thieme: Stuttgart, Germany, 2015; pp. 198–214. [Google Scholar] [CrossRef]
- Albert, J.; Ulrich, F.; Zeuzem, S.; Sarrazin, C. Endoskopisch-retrograde Cholangiopankreatografie (ERCP) bei Patienten mit operativ veränderter Anatomie des Gastrointestinaltrakts. Z. Gastroenterol. 2010, 48, 839–849. [Google Scholar] [CrossRef]
- Jander, H.P.; Galbraith, J.; Aldrete, J.S. Percutaneous Transhepatic Cholangiography Using the Chiba Needle. South Med. J. 1980, 73, 415–421. [Google Scholar] [CrossRef] [PubMed]
- Kavanagh, P.V.; van Sonnenberg, E.; Wittich, G.R.; Goodacre, B.W.; Walser, E.M. Interventional Radiology of the Biliary Tract. Endoscopy 1997, 29, 570–576. [Google Scholar] [CrossRef]
- Wenz, W. Percutaneous Transhepatic Cholangiography. Radiologe 1973, 13, 41–46. [Google Scholar] [PubMed]
- Krömer, M.U.; Maier, M.; Benz, C.A.; Martin, W.R.; Adamek, H.E.; Kohler, B.; Riemann, J.F. Bile duct stenoses and leakage after cholecystectomy: Endoscopic diagnosis, therapy and treatment outcome-. Z. Gastroenterol. 1996, 34, 167–172. (In German) [Google Scholar] [PubMed]
- Jakobs, R.; Weickert, U.; Hartmann, D.; Riemann, J.F. Interventionelle Endoskopie bei benignen und malignen Gallengangsstenosen. Z. Gastroenterol. 2005, 43, 295–303. [Google Scholar] [CrossRef]
- Misra, S.; Melton, G.B.; Geschwind, F.J.; Venbrux, A.C.; Cameron, J.L.; Lillemoe, K.D. Percutaneous management of bile duct strictures and injuries associated with laparoscopic cholecystectomy: A decade of experience. J. Am. Coll. Surg. 2004, 198, 218–226. [Google Scholar] [CrossRef] [PubMed]
- Nuernberg, D.; Ignee, A.; Dietrich, C. Aktueller Stand der Sonografie in der Gastroenterologie-Darm und oberer Gastrointestinaltrakt Teil 2. Z. Gastroenterol. 2008, 46, 355–366. [Google Scholar] [CrossRef] [PubMed]
- Alden, M.E.; Mohiuddin, M. The impact of radiation dose in combined external beam and intraluminal IR-192 brachytherapy for bile duct cancer. Int. J. Radiat. Oncol. Biol. Phys. 1994, 28, 945–951. [Google Scholar] [CrossRef] [PubMed]
- Stewart, L. Bile Duct Injuries During Laparoscopic Cholecystectomy. Arch. Surg. 1995, 130, 1123. [Google Scholar] [CrossRef]
- Lillemoe, K.D. Current management of bile duct injury. Br. J. Surg. 2008, 95, 403–405. [Google Scholar] [CrossRef]
- Lo, C.-M.; Fan, S.-T.; Liu, C.-L.; Lai, E.C.S.; Wong, J. Biliary Complications After Hepatic Resection. Arch. Surg. 1998, 133, 156–161. [Google Scholar] [CrossRef] [PubMed]
- Buanes, T.; Waage, A.; Mjåland, O.; Solheim, K. Bile leak after cholecystectomy significance and treatment: Results from the National Norwegian Cholecystectomy Registry. Int. Surg. 1996, 81, 276–279. [Google Scholar] [PubMed]
- Greif, F.; Bronsther, O.L.; Van Thiel, D.H.; Casavilla, A.; Iwatsuki, S.; Tzakis, A.; Todo, S.; Fung, J.J.; Starzl, T.E. The Incidence, Timing, and Management of Biliary Tract Complications After Orthotopic Liver Transplantation. Ann. Surg. 1994, 219, 40–45. [Google Scholar] [CrossRef] [PubMed]
- Parviainen, M.C.; Sand, J.A.; Nordback, I.H. Coincidence of pancreatic and biliary leakages after pancreaticoduodenal resections. Hepatogastroenterology 1996, 43, 1246–1249. [Google Scholar] [PubMed]
- Belghiti, J.; Hiramatsu, K.; Benoist, S.; Massault, P.P.; Sauvanet, A.; Farges, O. Seven hundred forty-seven hepatectomies in the 1990s: An update to evaluate the actual risk of liver resection. J. Am. Coll. Surg. 2000, 191, 38–46. [Google Scholar] [CrossRef] [PubMed]
- Iwatsuki, S.; Starzl, T.E. Personal Experience with 411 Hepatic Resections. Ann. Surg. 1988, 208, 421–434. [Google Scholar] [CrossRef] [PubMed]
- Funaki, B.; Zaleski, G.X.; Straus, C.A.; Leef, J.A.; Funaki, A.N.; Lorenz, J.; Farrell, T.A.; Rosenblum, J.D. Percutaneous biliary drainage in patients with nondilated intrahepatic bile ducts. Am. J. Roentgenol. 1999, 173, 1541–1544. [Google Scholar] [CrossRef] [PubMed]
- Kaufman, S.L.; Kadir, S.; Mitchell, S.E.; Chang, R.; Kinnison, M.L.; Cameron, J.L.; White, R.I., Jr. Percutaneous transhepatic biliary drainage for bile leaks and fistulas. Am. J. Roentgenol. 1985, 144, 1055–1058. [Google Scholar] [CrossRef] [PubMed]
- Vaccaro, J.P.; Dorfman, G.S.; Lambiase, R.E. Treatment of biliary leaks and fistulae by simultaneous percutaneous drainage and diversion. CardioVascular Interv. Radiol. 1991, 14, 109–112. [Google Scholar] [CrossRef]
- Ernst, O.; Sergent, G.; Mizrahi, D.; Delemazure, O.; L’Herminé, C. Biliary Leaks: Treatment by Means of Percutaneous Transhepatic Biliary Drainage. Radiology 1999, 211, 345–348. [Google Scholar] [CrossRef]
- Harris, V.J.; Kopecky, K.K.; Harman, J.T.; Crist, D.W. Percutaneous Transhepatic Drainage of the Nondilated Biliary System. J. Vasc. Interv. Radiol. 1993, 4, 591–595. [Google Scholar] [CrossRef]
- L’Hermine, C.; Ernst, O.; Delemazure, O.; Sergent, G. Arterial complications of percutaneous transhepatic biliary drainage. CardioVascular Interv. Radiol. 1996, 19, 160–164. [Google Scholar] [CrossRef] [PubMed]
- Audisio, R.A.; Bozzetti, F.; Severini, A.; Bellegotti, L.; Bellomi, M.; Cozzi, G.; Pisani, P.; Callegari, L.; Doci, R.; Gennari, L. The occurrence of cholangitis after percutaneous biliary drainage: Evaluation of some risk factors. Surgery 1988, 103, 507–512. [Google Scholar] [PubMed]
- Turan, A.S.; Jenniskens, S.; Martens, J.M.; Rutten, M.J.; Yo, L.S.; van Strijen, M.J.; Drenth, J.P.; Siersema, P.D.; van Geenen, E.J. Complications of percutaneous transhepatic cholangiography and biliary drainage, a multicenter observational study. Abdom. Radiol. 2021, 47, 3338–3344. [Google Scholar] [CrossRef]
- Burke, D.R.; Lewis, C.A.; Cardella, J.F.; Citron, S.J.; Drooz, A.T.; Haskal, Z.J.; Husted, J.W.; McCowan, T.C.; Van Moore, A.; Oglevie, S.B.; et al. Quality improvement guidelines for percutaneous transhepatic cholangiography and biliary drainage. J. Vasc. Interv. Radiol. 2003, 14 Pt 2, S243–S246. [Google Scholar] [CrossRef]
- Harbin, W.P.; Mueller, P.R.; Ferrucci, J.T. Transhepatic cholangiography: Complicatons and use patterns of the fine-needle technique: A multi-institutional survey. Radiology 1980, 135, 15–22. [Google Scholar] [CrossRef]
- Roberts, J.P.; Neill, A.; Goldstein, R. The use of a micro-bubble contrast agent to allow visualization of the biliary tree. Clin. Transplant. 2006, 20, 740–742. [Google Scholar] [CrossRef]
- Ignee, A.; Baum, U.; Schuessler, G.; Dietrich, C. Contrast-enhanced ultrasound-guided percutaneous cholangiography and cholangiodrainage (CEUS-PTCD). Endoscopy 2009, 41, 725–726. [Google Scholar] [CrossRef] [PubMed]
- Ignee, A.; Schuessler, G.; Cui, X.-W.; Dietrich, C. Der endokavitäre Kontrastmittelultraschall—Verschiedene Anwendungen, eine Übersicht über die Literatur und zukünftige Perspektiven. Ultraschall Med.-Eur. J. Ultrasound 2013, 34, 504–528. [Google Scholar] [CrossRef]
- Chen, M.; Zhang, X.; Zhou, W.; Zhang, N.; Wang, G.; Zhou, L. Percutaneous Ultrasound Cholangiography With Microbubbles in Children With Biliary Diseases. Ultrasound Q. 2023, 39, 228–234. [Google Scholar] [CrossRef]
- Chandrashekhara, S.H.; Gulati, S. Contrast-enhanced ultrasound-based cholangiography using percutaneous transhepatic biliary drainage tube. Indian J. Gastroenterol. 2023, 42, 744–745. [Google Scholar] [CrossRef] [PubMed]
- Vollert, K.; Clevert, D.A.; Kleffel, T. Endocavitary Contrast-Enhanced Ultrasound. Rofo 2022, 194, 1204–1215. (In English) [Google Scholar] [CrossRef] [PubMed]
- Müller, T.; Blank, W.; Leitlein, J.; Kubicka, S.; Heinzmann, A. Endocavitary contrast-enhanced ultrasound: A technique whose time has come? J. Clin. Ultrasound 2015, 43, 71–80. [Google Scholar] [CrossRef] [PubMed]
- Chopra, S.S.; Eisele, R.; Stelter, L.; Seehofer, D.; Grieser, C.; Warnick, P.; Denecke, T. Contrast Enhanced Ultrasound Cholangiography via T-Tube Following Liver Transplantation. Available online: http://www.annalsoftransplantation.com/fulltxt.php?ICID=883700 (accessed on 10 March 2024).
- Zheng, R.Q.; Chen, G.H.; Xu, E.J.; Mao, R.; Lu, M.Q.; Liao, M.; Ren, J.; Kai, l.; Yi, S. Evaluating Biliary Anatomy and Variations in Living Liver Donors by a New Technique: Three-Dimensional Contrast-Enhanced Ultrasonic Cholangiography. Ultrasound Med. Biol. 2010, 36, 1282–1287. [Google Scholar] [CrossRef] [PubMed]
- Acord, M.R.; Cahill, A.M.; Durand, R.; Huang, D.Y.; Shellikeri, S.; Vatsky, S. Contrast-enhanced ultrasound in pediatric interventional radiology. Pediatr. Radiol. 2021, 51, 2396–2407. [Google Scholar] [CrossRef] [PubMed]
- Barr, R.G. The Urgent Need for FDA to Approve a Whole-Body Application of Ultrasound Contrast Agents. J. Ultrasound Med. 2023, 42, 761–764. [Google Scholar] [CrossRef] [PubMed]
- Moudgil, S.; Kalra, N.; Prabhakar, N.; Dhiman, R.K.; Behera, A.; Chawla, Y.K.; Khandelwal, N. Comparison of Contrast Enhanced Ultrasound with Contrast Enhanced Computed Tomography for the Diagnosis of Hepatocellular Carcinoma. J. Clin. Exp. Hepatol. 2017, 7, 222–229. [Google Scholar] [CrossRef] [PubMed]
- Trillaud, H.; Bruel, J.M.; Valette, P.J.; Vilgrain, V.; Schmutz, G.; Oyen, R.; Jakubowski, W.; Danes, J.; Valek, V.; Greis, C. Characterization of focal liver lesions with SonoVue® -enhanced sonography: International multicenter-study in comparison to CT and MRI. World J. Gastroenterol. 2009, 15, 3748. [Google Scholar] [CrossRef]
- Friedrich-Rust, M.; Klopffleisch, T.; Nierhoff, J.; Herrmann, E.; Vermehren, J.; Schneider, M.D.; Zeuzem, S.; Bojunga, J. Contrast-Enhanced Ultrasound for the differentiation of benign and malignant focal liver lesions: A meta-analysis. Liver Int. 2013, 33, 739–755. [Google Scholar] [CrossRef]
- D’Onofrio, M.; Crosara, S.; De Robertis, R.; Canestrini, S.; Cantisani, V.; Morana, G.; Mucelli, R. P Malignant focal liver lesions at contrast-enhanced ultrasonography and magnetic resonance with hepatospecific contrast agent. Ultrasound 2014, 22, 91–98. [Google Scholar] [CrossRef]
- Barr, R.G. Contrast enhanced ultrasound for focal liver lesions: How accurate is it? Abdom. Radiol. 2018, 43, 1128–1133. [Google Scholar] [CrossRef] [PubMed]
- Seitz, K.; Bernatik, T.; Strobel, D.; Blank, W.; Friedrich-Rust, M.; Strunk, H.; Greis, C.; Kratzer, W.; Schuler, A. Contrast-Enhanced Ultrasound (CEUS) for the Characterization of Focal Liver Lesions in Clinical Practice (DEGUM Multicenter Trial): CEUS vs. MRI—A Prospective Comparison in 269 Patients. Ultraschall Med.-Eur. J. Ultrasound 2010, 31, 492–499. [Google Scholar] [CrossRef]
- Burns, P.N.; Wilson, S.R. Focal Liver Masses: Enhancement Patterns on Contrast-enhanced Images—Concordance of US Scans with CT Scans and MR Images. Radiology 2007, 242, 162–174. [Google Scholar] [CrossRef]
- Jo, P.C.; Jang, H.-J.; Burns, P.N.; Burak, K.W.; Kim, T.K.; Wilson, S.R. Integration of Contrast-enhanced US into a Multimodality Approach to Imaging of Nodules in a Cirrhotic Liver: How I Do It. Radiology 2017, 282, 317–331. [Google Scholar] [CrossRef]
- Cho, H.J.; Lee, S.J.; Park, S.J.; Paik, C.H.; Lee, S.M.; Kim, S.; Lee, Y.S. Activatable iRGD-based peptide monolith: Targeting, internalization, and fluorescence activation for precise tumor imaging. J. Control. Release 2016, 237, 177–184. [Google Scholar] [CrossRef] [PubMed]
- Yan, F.; Wang, S.; Yang, W.; Goldberg, S.N.; Wu, H.; Duan, W.L.; Deng, Z.-T.; Han, H.-B.; Zheng, H.-R. Tumor-penetrating Peptide-integrated Thermally Sensitive Liposomal Doxorubicin Enhances Efficacy of Radiofrequency Ablation in Liver Tumors. Radiology 2017, 285, 462–471. [Google Scholar] [CrossRef]
- Ruoslahti, E. RGD and Other Recognition Sequences for Integrins. Annu. Rev. Cell Dev. Biol. 1996, 12, 697–715. [Google Scholar] [CrossRef]
- Wu, S.; Lin, X. Trials in developing a nanoscale material for extravascular contrast-enhanced ultrasound targeting hepatocellular carcinoma. PeerJ 2020, 8, e10403. [Google Scholar] [CrossRef] [PubMed]
- Ajmal, S. Contrast-Enhanced Ultrasonography: Review and Applications. Cureus 2021, 13, e18243. [Google Scholar] [CrossRef]
- Young, A.; Yusuf, G.T.; Fang, C.; Metafa, A.; Gupta, S.; Sidhu, P.S. Cholecystoduodenal fistula identified on oral contrast-enhanced ultrasound. J. Ultrasound 2022, 25, 339–342. [Google Scholar] [CrossRef]




| Authors | Mao | Daneshi |
|---|---|---|
| N | 1 | 1 |
| M/F | M | M |
| Indication | Bile leakage after T-tube removal after cholecystectomy and CBD exploration | Liver transplantation for familial amyloid polyneuropathy type 1—postoperative biliary-arterial fistula |
| Successful | yes | yes |
| Complications | None | Hemobilia after internal–external drainage catheter placement |
| Approach side | Right sided segment VI | Right sided |
| Repeated injections | No | No |
| Fluoroscopy | Yes (for confirmation) | Yes (prior drainage and after CEUS cholangiogram) |
| Bilateral approach | No | No |
| Determining level | Yes (bile leakage from CBD) | Yes (microbubbles at right hepatic artery branch) |
Disclaimer/Publisher’s Note: The statements, opinions and data contained in all publications are solely those of the individual author(s) and contributor(s) and not of MDPI and/or the editor(s). MDPI and/or the editor(s) disclaim responsibility for any injury to people or property resulting from any ideas, methods, instructions or products referred to in the content. |
© 2024 by the authors. Licensee MDPI, Basel, Switzerland. This article is an open access article distributed under the terms and conditions of the Creative Commons Attribution (CC BY) license (https://creativecommons.org/licenses/by/4.0/).
Share and Cite
Atanasova, E.G.; Pentchev, C.P.; Nolsøe, C.P. Intracavitary Applications for CEUS in PTCD. Diagnostics 2024, 14, 1400. https://doi.org/10.3390/diagnostics14131400
Atanasova EG, Pentchev CP, Nolsøe CP. Intracavitary Applications for CEUS in PTCD. Diagnostics. 2024; 14(13):1400. https://doi.org/10.3390/diagnostics14131400
Chicago/Turabian StyleAtanasova, Evelina G., Christo P. Pentchev, and Christian P. Nolsøe. 2024. "Intracavitary Applications for CEUS in PTCD" Diagnostics 14, no. 13: 1400. https://doi.org/10.3390/diagnostics14131400
APA StyleAtanasova, E. G., Pentchev, C. P., & Nolsøe, C. P. (2024). Intracavitary Applications for CEUS in PTCD. Diagnostics, 14(13), 1400. https://doi.org/10.3390/diagnostics14131400

