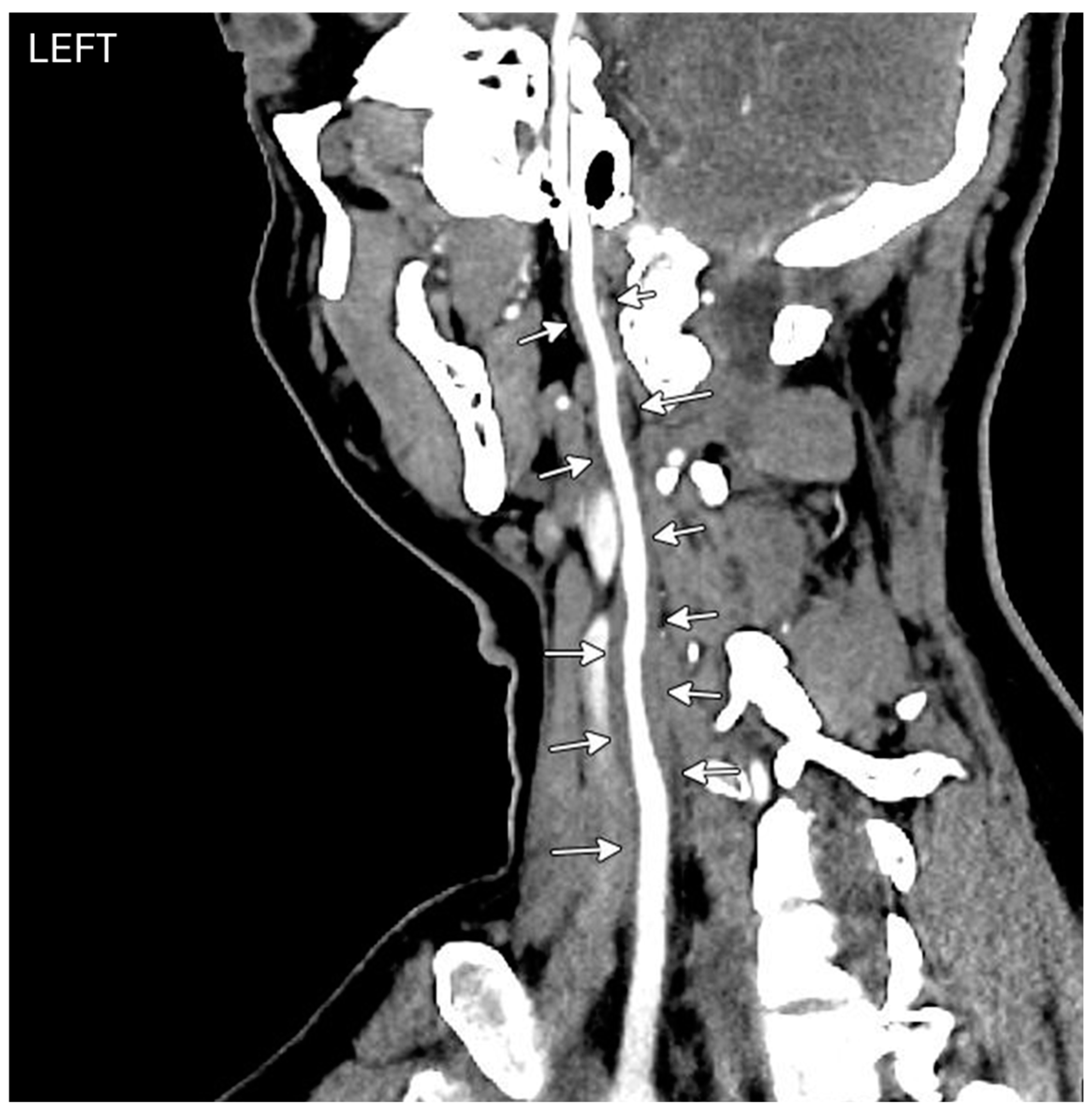
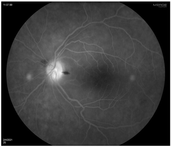
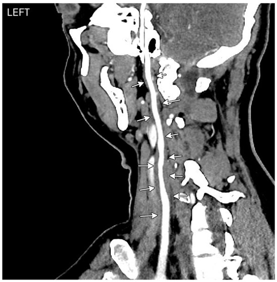
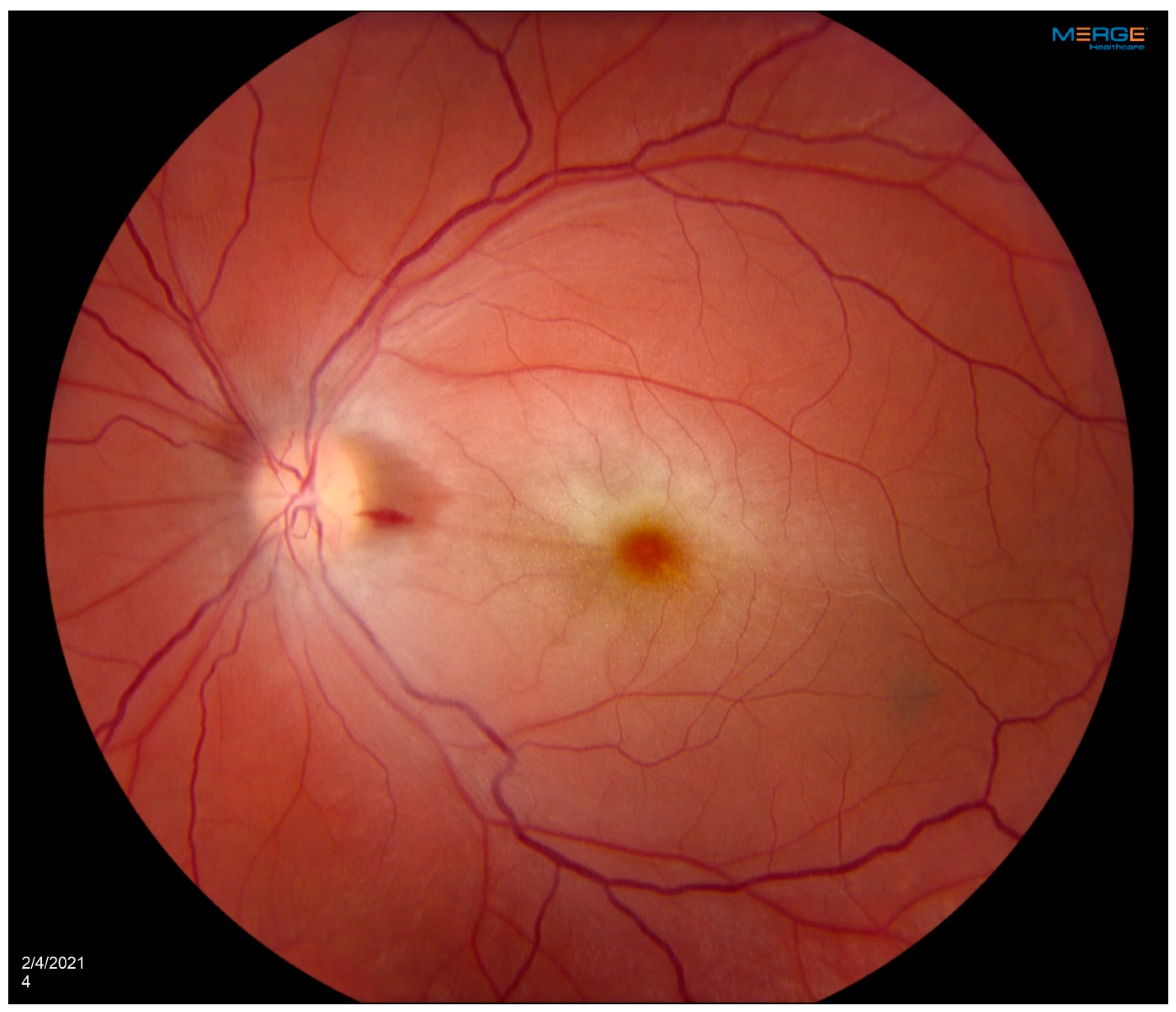
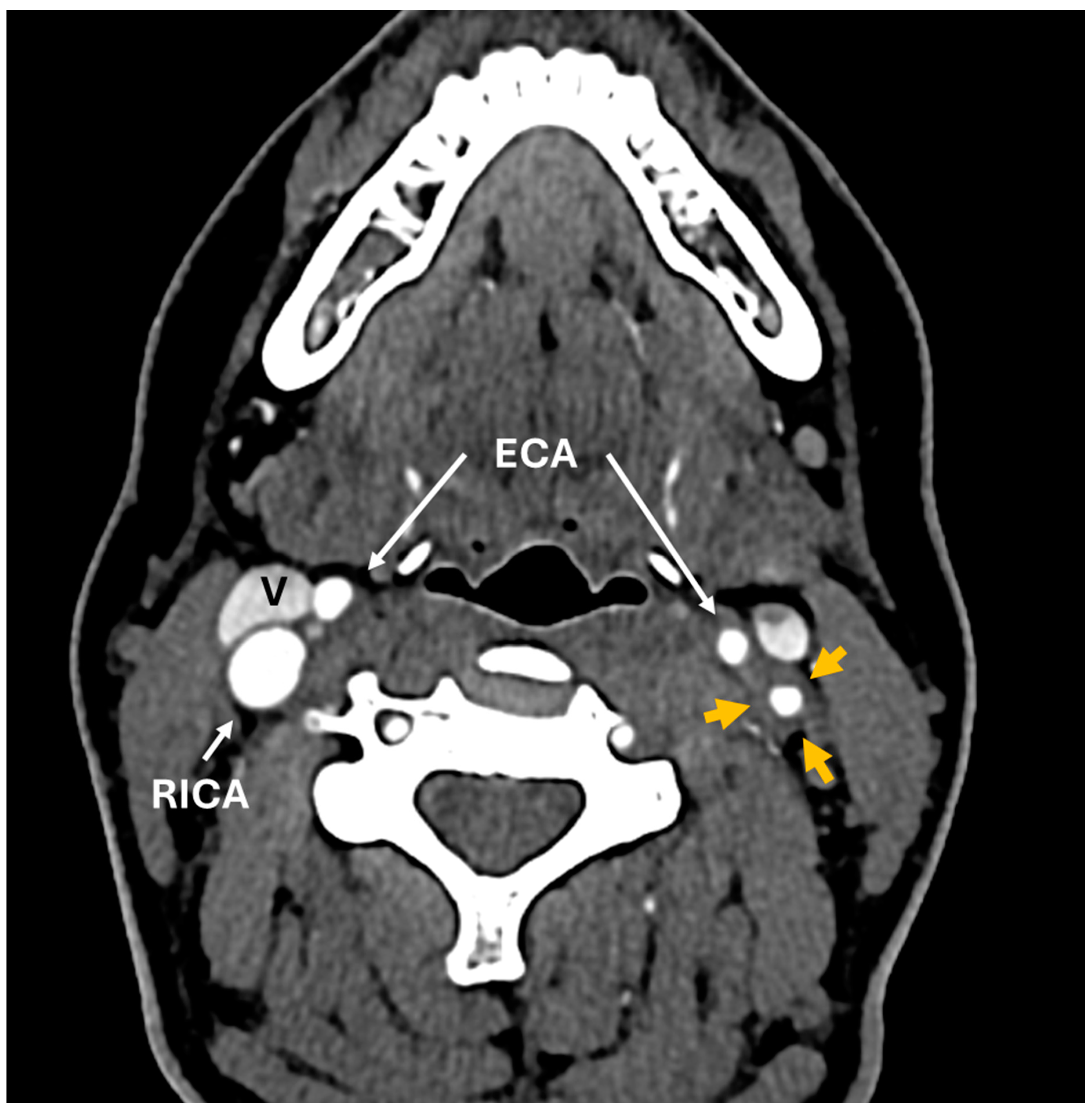
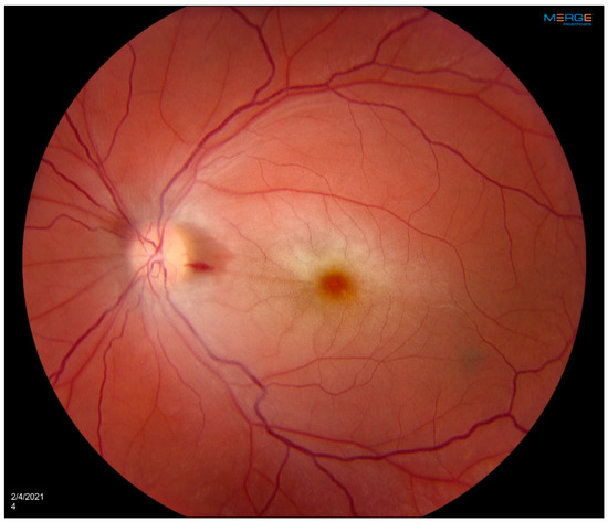
Central Retinal Artery Occlusion Associated with Takayasu Arteritis
Abstract
Author Contributions
Funding
Institutional Review Board Statement
Informed Consent Statement
Data Availability Statement
Conflicts of Interest
References
- Zeng, Y.; Duan, J.; Ge, G.; Zhang, M. Therapeutic Management of Ocular Ischemia in Takayasu’s Arteritis: A Case-Based Systematic Review. Front. Immunol. 2022, 12, 791278. [Google Scholar] [CrossRef] [PubMed]
- Sanchez-Alvarez, C.; Crowson, C.S.; Koster, M.J.; Warrington, K.J. Prevalence of Takayasu Arteritis: A Population-based Study. J. Rheumatol. 2021, 48, 952. [Google Scholar] [CrossRef] [PubMed]
- Szydełko-Paśko, U.; Przeździecka-Dołyk, J.; Nowak, Ł.; Małyszczak, A.; Misiuk-Hojło, M. Ocular Manifestations of Takayasu’s Arteritis—A Case-Based Systematic Review and Meta-Analysis. J. Clin. Med. 2023, 12, 3745. [Google Scholar] [CrossRef] [PubMed]
- Guclu, H.; Gurlu, V.P.; Ozal, S.A.; Guclu, O. Central Retinal Artery Occlusion in Takayasu’s Arteritis as the First Presentation of the Disease. Case Rep. Ophthalmol. Med. 2016, 2016, 6492513. [Google Scholar] [CrossRef] [PubMed]
- Ishikawa, K.; Maetani, S. Long-term outcome for 120 Japanese patients with Takayasu’s disease. Clinical and statistical analyses of related prognostic factors. Circulation 1994, 90, 1855–1860. [Google Scholar] [CrossRef] [PubMed]
- Mirouse, A.; Biard, L.; Comarmond, C.; Lambert, M.; Mekinian, A.; Ferfar, Y.; Kahn, J.-E.; Benhamou, Y.; Chiche, L.; Koskas, F.; et al. Overall survival and mortality risk factors in Takayasu’s arteritis: A multicenter study of 318 patients. J. Autoimmun. 2018, 96, 35–39. [Google Scholar] [CrossRef] [PubMed]
- Varma, D.D.; Cugati, S.; Lee, A.W.; Chen, C.S. A review of central retinal artery occlusion: Clinical presentation and management. Eye 2013, 27, 688–697. [Google Scholar] [CrossRef] [PubMed]
- Maz, M.; Chung, S.A.; Abril, A.; Langford, C.A.; Gorelik, M.; Guyatt, G.; Archer, A.M.; Conn, D.L.; Full, K.A.; Grayson, P.C.; et al. 2021 American College of Rheumatology/Vasculitis Foundation Guideline for the Management of Giant Cell Arteritis and Takayasu Arteritis. Arthritis Rheumatol. 2021, 73, 1349–1365. [Google Scholar] [CrossRef] [PubMed]
- Dagra, A.; Lucke-Wold, B.; McGrath, K.; Mehkri, I.; Mehkri, Y.; Davidson, C.G.; Gilberstadt, N.; Douglas, B.W.; Hoh, B. Central Retinal Artery Occlusion: A Review of Pathophysiological Features and Management. Stroke Vasc. Interv. Neurol. 2024, 4, e000977. [Google Scholar] [CrossRef]





Disclaimer/Publisher’s Note: The statements, opinions and data contained in all publications are solely those of the individual author(s) and contributor(s) and not of MDPI and/or the editor(s). MDPI and/or the editor(s) disclaim responsibility for any injury to people or property resulting from any ideas, methods, instructions or products referred to in the content. |
© 2024 by the authors. Licensee MDPI, Basel, Switzerland. This article is an open access article distributed under the terms and conditions of the Creative Commons Attribution (CC BY) license (https://creativecommons.org/licenses/by/4.0/).
Share and Cite
Mumtaz, S.; Wilson, C.; Vibhute, P.; Eggenberger, E.R.; Berianu, F.; Abril, A. Central Retinal Artery Occlusion Associated with Takayasu Arteritis. Diagnostics 2024, 14, 1329. https://doi.org/10.3390/diagnostics14131329
Mumtaz S, Wilson C, Vibhute P, Eggenberger ER, Berianu F, Abril A. Central Retinal Artery Occlusion Associated with Takayasu Arteritis. Diagnostics. 2024; 14(13):1329. https://doi.org/10.3390/diagnostics14131329
Chicago/Turabian StyleMumtaz, Sehreen, Claire Wilson, Prasanna Vibhute, Eric R. Eggenberger, Florentina Berianu, and Andy Abril. 2024. "Central Retinal Artery Occlusion Associated with Takayasu Arteritis" Diagnostics 14, no. 13: 1329. https://doi.org/10.3390/diagnostics14131329
APA StyleMumtaz, S., Wilson, C., Vibhute, P., Eggenberger, E. R., Berianu, F., & Abril, A. (2024). Central Retinal Artery Occlusion Associated with Takayasu Arteritis. Diagnostics, 14(13), 1329. https://doi.org/10.3390/diagnostics14131329

