Fatal Outcome Due to Kounis Syndrome Following Fluorescein Retinal Angiography: A Case Report
Abstract
1. Introduction
2. Case Report
3. Discussion
- -
- anamnestic data (i.e., previous signs and symptoms of allergic reaction);
- -
- circumstantial data referring to death;
- -
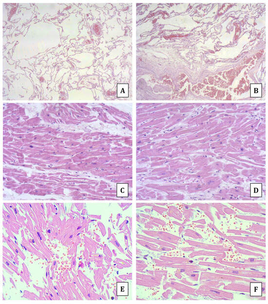
- gross and microscopic heart findings describing coronary atherosclerosis and/or signs of myocardial ischemia;
- -
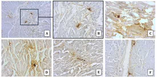
- immunohistochemical evidence of anaphylactic immune cell activation (i.e., mast cells, basophils, eosinophils) with release of specific inflammatory mediators (i.e., tryptase, chymase) in target tissues and, above all, in the coronary artery wall, or coronary atherosclerotic plaques and myocardial tissue;
- -
- biochemical assessment of an increased value of both mediators of anaphylaxis (tryptase) and markers of myocardial damage (i.e., troponin, p-BNP).
Author Contributions
Funding
Institutional Review Board Statement
Informed Consent Statement
Data Availability Statement
Conflicts of Interest
References
- Simons, F.E.; Ardusso, L.R.; Bilò, M.B.; Cardona, V.; Ebisawa, M.; El-Gamal, Y.M.; Lieberman, P.; Lockey, R.F.; Muraro, A.; Roberts, G.; et al. International consensus on (ICON) anaphylaxis. World Allergy Organ. J. 2014, 7, 9. [Google Scholar] [CrossRef]
- Turner, P.J.; Gowland, M.H.; Sharma, V.; Ierodiakonou, D.; Harper, N.; Garcez, T.; Pumphrey, R.; Boyle, R.J. Increase in anaphylaxis-related hospitalizations but no increase in fatalities: An analysis of United Kingdom national anaphylaxis data. J. Allergy Clin. Immunol. 2015, 135, 956–963.e1. [Google Scholar] [CrossRef]
- Muraro, A.; Worm, M.; Alviani, C.; Cardona, V.; DunnGalvin, A.; Garvey, L.H.; Riggioni, C.; de Silva, D.; Angier, E.; Arasi, S.; et al. European Academy of Allergy and Clinical Immunology, Food Allergy, Anaphylaxis Guidelines Group. EAACI guidelines: Anaphylaxis. Allergy 2022, 77, 357–377. [Google Scholar] [CrossRef]
- Francuzik, W.; Ruëff, F.; Bauer, A.; Bilò, M.B.; Cardona, V.; Christoff, G.; Dölle-Bierke, S.; Ensina, L.; Fernández Rivas, M.; Hawranek, T.; et al. Phenotype and risk factors of venom-induced anaphylaxis: A case-control study of the European Anaphylaxis Registry. J. Allergy Clin. Immunol. 2021, 147, 653–662.e9. [Google Scholar] [CrossRef]
- Kounis, N.G.; Zavras, G.M. Histamine-induced coronary artery spasm: The concept of allergic angina. Int. J. Clin. Pract. 1991, 45, 121–128. [Google Scholar] [CrossRef]
- Kounis, N.G.; Koniari, I.; Velissaris, D.; Tzanis, G.; Hahalis, G. Kounis syndrome-not a single-organ arterial disorder but a multisystem and multidisciplinary disease. Balkan Med. J. 2019, 36, 212–221. [Google Scholar] [CrossRef]
- Mondello, C.; Baldino, G.; Cianci, V.; Forzese, E.; Asmundo, A.; Ieni, A.; Ventura Spagnolo, E. Postmortem Biochemistry and Immunohistochemistry in Anaphylactic Death Due to Hymenoptera Sting: A Forensic Case Report. Int. J. Environ. Res. Public. Health 2023, 20, 5640. [Google Scholar] [CrossRef]
- Forzese, E.; Pitrone, C.; Cianci, V.; Sapienza, D.; Ieni, A.; Tornese, L.; Cianci, A.; Gualniera, P.; Asmundo, A.; Mondello, C. An Insight into Kounis Syndrome: Bridging Clinical Knowledge with Forensic Perspectives. Life 2024, 14, 91. [Google Scholar] [CrossRef]
- Tsang, S.H.; Sharma, T. Fluorescein Angiography. Adv. Exp. Med. Biol. 2018, 1085, 7–10. [Google Scholar]
- Kornblau, I.S.; El-Annan, J.F. Adverse reactions to fluorescein angiography: A comprehensive review of the literature. Surv. Ophthalmol. 2019, 64, 679–693. [Google Scholar] [CrossRef]
- Ascaso, F.J.; Tiestos, M.T.; Navales, J.; Iturbe, F.; Palomar, A.; Ayala, J.I. Fatal acute myocardial infarction after intravenous fluorescein angiography. Retina 1993, 13, 238–239. [Google Scholar] [CrossRef]
- Stein, M.R.; Parker, C.W. Reactions following intravenous fluorescein. Am. J. Ophthalmol. 1971, 72, 861–868. [Google Scholar] [CrossRef]
- Renda, F.; Landoni, G.; Trotta, F.; Piras, D.; Finco, G.; Felicetti, P.; Pimpinella, G.; Pani, L. Kounis Syndrome: An analysis of spontaneous reports from international pharmacovigilance database. Int. J. Cardiol. 2016, 203, 217–220. [Google Scholar] [CrossRef]
- Akoz, A.; Tanboga, H.I.; Emett, M.; Bayramoglu, A.; Kizrak, Y.; Kantarci, M.; Aslan, S. A prospective study of kounis syndrome: Clinical experience and cardiac magnetic resonance imaging findings for 21 patients. Acta Med. Mediterr. 2013, 29, 811–816. [Google Scholar]
- Kounis, N.G. Kounis syndrome: An update on epidemiology, pathogenesis, diagnosis and therapeutic management. Clin. Chem. Lab. Med. 2016, 54, 1545–1559. [Google Scholar] [CrossRef]
- Kounis, N.G. Kounis syndrome (allergic angina and allergic myocardial infarction): A natural paradigm? Int. J. Cardiol. 2006, 110, 7–14. [Google Scholar] [CrossRef]
- Kounis, N.G.; Tsigkas, G.; Almpanis, G.; Kouni, S.N.; Kounis, G.N.; Mazarakis, A. Anaphylaxis-induced hyperfibrinogenolysis and the risk of Kounis syndrome: The dual action of tryptase. Am. J. Emerg. Med. 2011, 29, 1229–1230. [Google Scholar] [CrossRef]
- Johnson, J.L.; Jackson, C.L.; Angelini, G.D.; George, S.J. Activation of matrix-degrading metalloproteinases by mast cell proteases in atherosclerotic plaques. Arterioscler. Thromb. Vasc. Biol. 1998, 18, 1707–1715. [Google Scholar] [CrossRef]
- Cecchi, R. Diagnosis of anaphylactic death in forensics: Review and future perspectives. Leg. Med. 2016, 22, 75–81. [Google Scholar] [CrossRef]
- Shen, Y.; Li, L.; Grant, J.; Rubio, A.; Zhao, Z.; Zhang, X.; Fowler, D. Anaphylactic deaths in Maryland (United States) and Shanghai (China): A review of forensic autopsy cases from 2004 to 2006. Forensic Sci. Int. 2009, 186, 1–5. [Google Scholar] [CrossRef]
- Greenberger, P.A.; Rotskoff, B.D.; Lifschultz, B. Fatal anaphylaxis: Postmortem findings and associated comorbid diseases. Ann. Allergy Asthma Immunol. 2007, 98, 252–257. [Google Scholar] [CrossRef]
- Kounis, N.G.; Koniari, I.; Tsigkas, G.; Chourdakis, E.; Velissaris, D.; Soufras, G.D.; Hahalis, G. Death following ceftazidime induced Kounis syndrome: Diagnostic considerations in the realm of forensic pathology. Med. Leg. J. 2020, 88, 48–49. [Google Scholar] [CrossRef]
- Kitulwatte, I.; Gangahawatte, S.; Perera, U.; Edirisinghe, P. Death following ceftazidime-induced Kounis syndrome. Med. Leg. J. 2017, 85, 215–218. [Google Scholar] [CrossRef]
- Cianci, V.; Forzese, E.; Sapienza, D.; Cardia, L.; Cianci, A.; Germanà, A.; Tornese, L.; Ieni, A.; Gualniera, P.; Asmundo, A.; et al. Morphological and Genetic Aspects for Post-Mortem Diagnosis of Hypertrophic Cardiomyopathy: A Systematic Review. Int. J. Mol. Sci. 2024, 25, 1275. [Google Scholar] [CrossRef]
- Mondello, C.; Cardia, L.; Bartoloni, G.; Asmundo, A.; Ventura Spagnolo, E. Immunohistochemical study on dystrophin expression in CAD-related sudden cardiac death: A marker of early myocardial ischaemia. Int. J. Legal Med. 2018, 132, 1333–1339. [Google Scholar] [CrossRef]
- Baroldi, G.; Silver, M.D.; Parolini, M.; Pomara, C.; Turillazzi, E.; Fineschi, V. Myofiberbreak-up: A marker of ventricular fibrillation in sudden cardiac death. Int. J. Cardiol. 2005, 100, 435–441. [Google Scholar] [CrossRef]
- Palmiere, C. Postmortem diagnosis of drug-induced anaphylactic death. J. Forensic Leg. Med. 2016, 41, 28–29. [Google Scholar] [CrossRef]
- Edston, E. Accumulation of eosinophils, mast cells, and basophils in the spleen in anaphylactic deaths. Forensic Sci. Med. Pathol. 2013, 9, 496–500. [Google Scholar] [CrossRef]
- Wang, X.; Yin, C.; Su, X.; Su, M. Reliable Postmortem Molecular Diagnosis of Anaphylaxis: Co-localization of Mast Cell Degranulation and Immunoglobulin E in Allergic Throat Tissues. Am. J. Forensic Med. Pathol. 2020, 41, 249–258. [Google Scholar] [CrossRef]
- Del Duca, F.; Manetti, A.C.; Maiese, A.; Napoletano, G.; Ghamlouch, A.; Pascale, N.; Giorgio, B.; Paola, F.; Russa, R. Death Due to Anaphylactic Reaction: The Role of the Forensic Pathologist in an Accurate Postmortem Diagnosis. Medicina 2023, 59, 2184. [Google Scholar] [CrossRef]
- Costantino, A.; Mezzetti, E.; De Matteis, A.; Volonnino, G.; De Simone, S.; Fazio, V. Comparative study between conventional and new methods in defining the cause of death from anaphylactic shock. Clin. Ter. 2021, 172, 369–371. [Google Scholar] [PubMed]
- Garland, J.; Ondruschka, B.; Da Broi, U.; Palmiere, C.; Tse, R. Post mortem tryptase: A review of literature on its use, sampling and interpretation in the investigation of fatal anaphylaxis. Forensic Sci. Int. 2020, 314, 110415. [Google Scholar] [CrossRef] [PubMed]
- Busardò, F.P.; Marinelli, E.; Zaami, S. Is the diagnosis of anaphylaxis reliable in forensics? The role of β-tryptase and its correct interpretation. Leg. Med. 2016, 23, 86–88. [Google Scholar] [CrossRef] [PubMed]
- Garland, J.; Philcox, W.; McCarthy, S.; Hensby-Bennet, S.; Ondruschka, B.; Woydt, L.; Da Broi, U.; Palmiere, C.; Lam, L.; Ahn, Y.; et al. The effects of different sampling techniques on peripheral post mortem tryptase levels: A recommended sampling method. Int. J. Leg. Med. 2019, 133, 1477–1483. [Google Scholar] [CrossRef] [PubMed]
- Tse, R.; Wong, C.X.; Kesha, K.; Garland, J.; Tran, Y.; Anne, S.; Elstub, H.; Cala, A.D.; Palmiere, C.; Patchett, K.L. Post mortem tryptase cut-off level for anaphylactic death. Forensic Sci. Int. 2018, 284, 5–8. [Google Scholar] [CrossRef] [PubMed]
- Kounis, N.G.; Mazarakis, A.; Bardousis, C. Myocardial injury through serum troponin I and echocardiography in anaphylaxis: Takotsubo cardiomyopathy and the Kounis hypersensitivity-associated acute coronary syndrome. Am. J. Emerg. Med. 2016, 34, 650–651. [Google Scholar] [CrossRef]
- Cao, Z.; Jia, Y.; Zhu, B. BNP and NT-proBNP as Diagnostic Biomarkers for Cardiac Dysfunction in Both Clinical and Forensic Medicine. Int. J. Mol. Sci. 2019, 20, 1820. [Google Scholar] [CrossRef]



Disclaimer/Publisher’s Note: The statements, opinions and data contained in all publications are solely those of the individual author(s) and contributor(s) and not of MDPI and/or the editor(s). MDPI and/or the editor(s) disclaim responsibility for any injury to people or property resulting from any ideas, methods, instructions or products referred to in the content. |
© 2024 by the authors. Licensee MDPI, Basel, Switzerland. This article is an open access article distributed under the terms and conditions of the Creative Commons Attribution (CC BY) license (https://creativecommons.org/licenses/by/4.0/).
Share and Cite
Cianci, V.; Pitrone, C.; Sapienza, D.; Meduri, A.; Ieni, A.; Gualniera, P.; Asmundo, A.; Mondello, C. Fatal Outcome Due to Kounis Syndrome Following Fluorescein Retinal Angiography: A Case Report. Diagnostics 2024, 14, 1092. https://doi.org/10.3390/diagnostics14111092
Cianci V, Pitrone C, Sapienza D, Meduri A, Ieni A, Gualniera P, Asmundo A, Mondello C. Fatal Outcome Due to Kounis Syndrome Following Fluorescein Retinal Angiography: A Case Report. Diagnostics. 2024; 14(11):1092. https://doi.org/10.3390/diagnostics14111092
Chicago/Turabian StyleCianci, Vincenzo, Claudia Pitrone, Daniela Sapienza, Alessandro Meduri, Antonio Ieni, Patrizia Gualniera, Alessio Asmundo, and Cristina Mondello. 2024. "Fatal Outcome Due to Kounis Syndrome Following Fluorescein Retinal Angiography: A Case Report" Diagnostics 14, no. 11: 1092. https://doi.org/10.3390/diagnostics14111092
APA StyleCianci, V., Pitrone, C., Sapienza, D., Meduri, A., Ieni, A., Gualniera, P., Asmundo, A., & Mondello, C. (2024). Fatal Outcome Due to Kounis Syndrome Following Fluorescein Retinal Angiography: A Case Report. Diagnostics, 14(11), 1092. https://doi.org/10.3390/diagnostics14111092

