MedKnee: A New Deep Learning-Based Software for Automated Prediction of Radiographic Knee Osteoarthritis
Abstract
1. Introduction
2. Related Work
3. Materials and Methods
3.1. Dataset Description
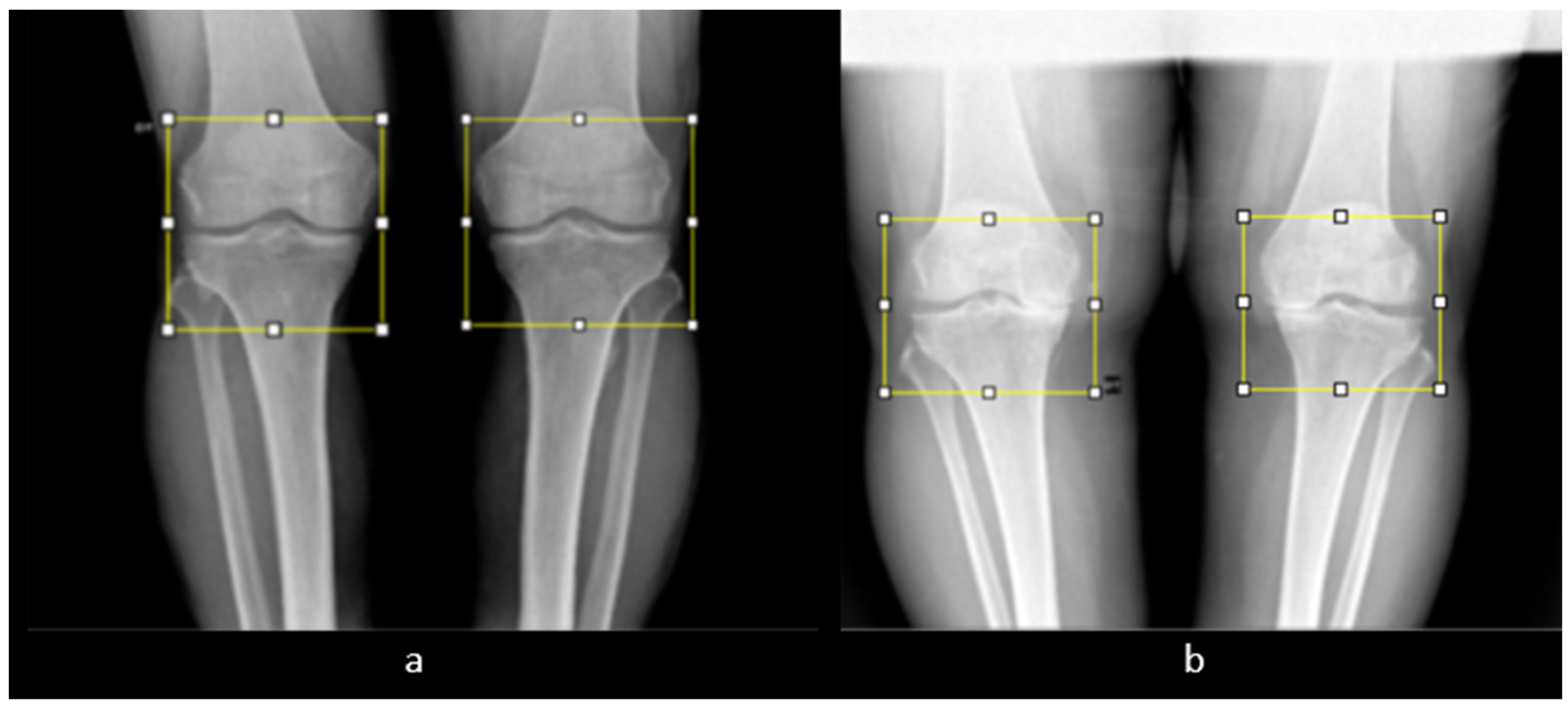
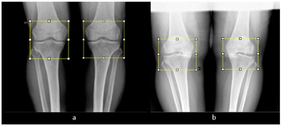
3.2. Preprocessing
3.3. Network Architecture
3.4. Software Requirements and Libraries
4. Experiment Results and Model Deployment
4.1. Result on OAI Dataset
4.2. Graphical User Interface (GUI): MedKnee
4.3. Results on External Validation
4.3.1. Medical Expert Public Dataset
4.3.2. Local Dataset
5. Discussion
6. Conclusions and Future Work
Author Contributions
Funding
Institutional Review Board Statement
Informed Consent Statement
Data Availability Statement
Acknowledgments
Conflicts of Interest
Abbreviations
| CNN | Convolutional neural network |
| CAD | Computer-aided diagnosis |
| DCNN | Deep convolutional neural network |
| DL | Deep Learning |
| KL | Kellgren and Lawrence |
| OA | Osteoarthritis |
| KOA | Knee Osteoarthritis |
| OAI | Osteoarthritis initiative |
| ReLU | Linear rectified unit |
| ROI | Region of interest |
| A-ENN | Adversarial evolving neural network |
| DAL | Deep Active learning |
| LSTM | Long Short-Term Memory |
| ORM | Ordinal regression module |
| HRNet | High-resolution network |
| CBAM | Convolutional mass attention module |
| MCC | Matthews correlation coefficients |
| QWK | Quadratic weighted Cohen’s kappa coefficient |
References
- Ahmed, S.M.; Mstafa, R.J. Identifying Severity Grading of Knee Osteoarthritis from X-ray Images Using an Efficient Mixture of Deep Learning and Machine Learning Models. Diagnostics 2022, 12, 2939. [Google Scholar] [CrossRef] [PubMed]
- Belharar, F.Z.; Zrira, N. DeepRetino: Ophthalmic Disease Classification from Retinal Images using Deep Learning. In Proceedings of the IEEE 9th International Conference on Sciences of Electronics, Technologies of Information and Telecommunications (SETIT), Hammamet, Tunisia, 28–30 May 2022; Available online: https://ieeexplore.ieee.org/document/9875570 (accessed on 25 September 2023).
- Zrira, N.; Benmiloud, I.; Marzouki, K.; Farahat, Z.; Zaimi, I.; El Ghali, B.; El Midaoui, O.; Megdiche, K.; Ngote, N. Automatic and Fast Whole Heart Segmentation for 3D Reconstruction. In Proceedings of the IEEE 9th International Conference on Sciences of Electronics, Technologies of Information and Telecommunications (SETIT), Hammamet, Tunisia, 28–30 May 2022; Available online: https://ieeexplore.ieee.org/document/9875773 (accessed on 25 September 2023).
- Jimi, A.; Abouche, H.; Zrira, N.; Benmiloud, I. Automated Skin Lesion Segmentation using VGG-UNet. In Proceedings of the 2022 IEEE/ACM International Conference on Advances in Social Networks Analysis and Mining (ASONAM), Istanbul, Turkey, 10–13 November 2022; Available online: https://ieeexplore.ieee.org/document/10068634 (accessed on 25 September 2023).
- Abouche, H.; Jimi, A.; Benmiloud, I. Segmentation and Classification of Dermoscopic Skin Cancer on Green Channel. In Proceedings of the 2022 IEEE/ACM International Conference on Advances in Social Networks Analysis and Mining (ASONAM), Istanbul, Turkey, 10–13 November 2022; Available online: https://ieeexplore.ieee.org/document/10068614 (accessed on 25 September 2023).
- Jimi, A.; Abouche, H.; Zrira, N.; Benmiloud, I. Skin Lesion Segmentation Using Attention-Based DenseUNet. In Proceedings of the 16th International Joint Conference on Biomedical Engineering Systems and Technologies, BIOSTEC, Lisbon, Portugal, 16–18 February 2023; Volume 3, pp. 91–100. Available online: https://www.scitepress.org/Link.aspx?doi=10.5220/0011686400003414 (accessed on 25 September 2023).
- Moussaid, A.; Zrira, N.; Benmiloud, I.; Farahat, Z. On the Implementation of a Post-Pandemic Deep Learning Algorithm Based on a Hybrid CT-Scan/X-ray Images Classification Applied to Pneumonia Categories. Healthcare 2023, 11, 662. [Google Scholar] [CrossRef]
- Cigdem, O.; Deniz, C.M. Artificial intelligence in knee osteoarthritis: A comprehensive review for 2022. Osteoarthr. Imaging 2023, 3, 100161. [Google Scholar] [CrossRef]
- Yang, J.; Ji, Q.; Ni, M.; Zhang, G.; Wang, Y. Automatic assessment of knee osteoarthritis severity in portable devices based on deep learning. J. Orthop. Surg. Res. 2022, 17, 540. [Google Scholar] [CrossRef]
- Dalia, Y.; Bharath, A.; Mayya, V.; Sowmya Kamath, S. DeepOA: Clinical Decision Support System for Early Detection and Severity Grading of Knee Osteoarthritis. In Proceedings of the IEEE 5th International Conference on Computer, Communication and Signal Processing (ICCCSP), Chennai, India, 24–25 May 2021; pp. 250–255. Available online: https://ieeexplore.ieee.org/document/9465522 (accessed on 25 September 2023).
- Tri Wahyuningrum, R.; Yasid, A.; Jacob Verkerke, G. Deep Neural Networks for Automatic Classification of Knee Osteoarthritis Severity Based on X-ray Images. In Proceedings of the 8th International Conference on Information Technology ICIT 2020: IoT and Smart City, Xi’an, China, 25–27 December 2020; ACM: New York, NY, USA; pp. 110–114. Available online: https://dl.acm.org/doi/10.1145/3446999.3447020 (accessed on 25 September 2023).
- Yong, C.W.; Teo, K.; Murphy, B.P.; Hum, Y.C.; Tee, Y.K.; Xia, K.; Lai, K.W. Knee osteoarthritis severity classification with ordinal regression module. Multimed. Tools Appl. 2021, 81, 41497–41509. [Google Scholar] [CrossRef]
- Ruikar, D.; Kamble, P.; Ruikar, A.; Houde, K.; Hegadi, R. DNN-Based Knee OA Severity Prediction System: Pathologically Robust Feature Engineering Approach. SN Comput. Sci. 2022, 4, 58. [Google Scholar] [CrossRef]
- Wahyuningrum, R.T.; Anifah, L.; Eddy Purnama, I.K.; Hery Purnomo, M. A New Approach to Classify Knee Osteoarthritis Severity from Radiographic Images based on CNN-LSTM Method. In Proceedings of the IEEE 10th International Conference on Awareness Science and Technology (ICAST), Morioka, Japan, 23–25 October 2019; pp. 1–6. Available online: https://ieeexplore.ieee.org/document/8923284 (accessed on 25 September 2023).
- Chen, P.; Gao, L.; Shi, X.; Allen, K.; Yang, L. Fully automatic knee osteoarthritis severity grading using deep neural networks with a novel ordinal loss. Comput. Med. Imaging Graph. 2019, 75, 84–92. [Google Scholar] [CrossRef]
- Wani, Z.M.; Saini, D.S. Deep Neural Network-based Knee Osteoarthritis Grading Using X-rays. IJRASET 2022, 10, 1293–1299. [Google Scholar] [CrossRef]
- Jain, R.K.; Sharma, P.K.; Gaj, S.; Sur, A.; Ghosh, P. Knee Osteoarthritis Severity Prediction using an Attentive Multi-Scale Deep Convolutional Neural Network. arXiv 2021, arXiv:2106.14292v1. [Google Scholar] [CrossRef]
- Yunus, U.; Amin, J.; Sharif, M.; Yasmin, M.; Kadry, S.; Krishnamoorthy, S. Recognition of Knee Osteoarthritis (KOA) Using YOLOv2 and Classification Based on Convolutional Neural Network. Life 2022, 12, 1126. [Google Scholar] [CrossRef]
- Hu, K.; Wu, W.; Li, W.; Simic, M.; Zomaya, A.; Wang, Z. Adversarial Evolving Neural Network for Longitudinal Knee Osteoarthritis Prediction. IEEE Trans. Med. Imaging 2022, 41, 3207–3217. [Google Scholar] [CrossRef]
- Raisuddin, A.M.; Nguyen, H.H.; Tiulpin, A. Deep Semi-Supervised Active Learning for Knee Osteoarthritis Severity Grading. In Proceedings of the IEEE 19th International Symposium on Biomedical Imaging (ISBI), Kolkata, India, 28–31 March 2022; pp. 1–5. Available online: https://ieeexplore.ieee.org/document/9761668 (accessed on 25 September 2023).
- Nguyen Huu, P.; Nguyen Thanh, D.; le Thi Hai, T.; Chu Duc, H.; Pham Viet, H.; Nguyen Trong, C. Detection and Classification Knee Osteoarthritis Algorithm using YOLOv3 and VGG16 Models. In Proceedings of the IEEE 7th National Scientific Conference on Applying New Technology in Green Buildings (ATiGB), Da Nang, Vietnam, 11–12 November 2022; pp. 31–36. Available online: https://ieeexplore.ieee.org/document/9984096 (accessed on 25 September 2023).
- Wang, Y.; Bi, Z.; Xie, Y.; Wu, T.; Zeng, X.; Chen, S.; Zhou, D. Learning From Highly Confident Samples for Automatic Knee Osteoarthritis Severity Assessment: Data From the Osteoarthritis Initiative. IEEE J. Biomed. Health Inform. 2022, 26, 1239–1250. [Google Scholar] [CrossRef]
- Alshamrani, H.A.; Rashid, M.; Alshamrani, S.S.; Alshehri, A.H.D. Osteo-NeT: An Automated System for Predicting Knee Osteoarthritis from X-ray Images Using Transfer-Learning-Based Neural Networks Approach. Healthcare 2023, 11, 1206. [Google Scholar] [CrossRef]
- Mohammed, A.S.; Hasanaath, A.A.; Latif, G.; Bashar, A. Knee Osteoarthritis Detection and Severity Classification Using Residual Neural Networks on Preprocessed X-ray Images. Diagnostics 2023, 13, 1380. [Google Scholar] [CrossRef] [PubMed]
- Pi, S.-W.; Lee, B.-D.; Lee, M.S.; Lee, H.J. Ensemble deep-learning networks for automated osteoarthritis grading in knee X-ray images. Sci. Rep. 2023, 13, 22887. [Google Scholar] [CrossRef] [PubMed]
- Chen, P. Knee Osteoarthritis Severity Grading Dataset. Mendeley Data Version 1. 2018. Available online: https://data.mendeley.com/datasets/56rmx5bjcr/1 (accessed on 25 September 2023).
- Brahim, A.; Jennane, R.; Riad, R.; Janvier, T.; Khedher, L.; Toumi, H.; Lespessailles, E. A decision support tool for early detection of knee OsteoArthritis using X-ray imaging and machine learning: Data from the OsteoArthritis Initiative. Comput. Med. Imaging Graph. 2019, 73, 11–18. [Google Scholar] [CrossRef] [PubMed]
- Chollet, F. Xception: Deep Learning with Depthwise Separable Convolutions. In Proceedings of the 2017 IEEE International Conference on Computer Vision and Pattern Recognition, CVPR, CIVEMSA, Honolulu, HI, USA, 21–26 July 2017; pp. 1800–1807. Available online: https://ieeexplore.ieee.org/document/8099678 (accessed on 25 September 2023).
- Udas, N.; Beuth, F.; Kowerko, D. Concept Detection in Medical Images using Xception Models. In Proceedings of the Conference and Labs of the Evaluation Forum (CLEF), Ceur Workshop, Thessaloniki, Greece, 22–25 September 2020; Volume 2696. Available online: https://www.researchgate.net/publication/350516158_Concept_Detection_in_Medical_Images_using_Xception_Models_-_TUC_MC_at_ImageCLEFmed_2020 (accessed on 25 September 2023).
- Liu, Y.; Zhang, L.; Hao, Z.; Yang, Z.; Wang, S.; Zhou, X.; Chang, Q. An xception model based on residual attention mechanism for the classification of benign and malignant gastric ulcers. Sci. Rep. 2022, 12, 15365. [Google Scholar] [CrossRef]
- Gülmez, B. A novel deep neural network model based Xception and genetic algorithm for detection of COVID-19 from X-ray images. Ann. Oper. Res. 2023, 328, 617–641. [Google Scholar] [CrossRef] [PubMed]
- El-Ghany, S.A.; Elmogy, M.; El-Aziz, A.A.A. A fully automatic fine-tuned deep learning model for knee osteoarthritis detection and progression analysis. Egypt. Inform. J. 2023, 24, 229–240. [Google Scholar] [CrossRef]
- Gornale, S.S.; Patravali, P.U.; Hiremath, P.S. A Comprehensive Digital Knee X-ray Image Dataset for the Assessment of Osteoarthritis. JSM Biomed Imaging Data Pap. 2020, 6, 1012. Available online: https://www.researchgate.net/publication/351284405_JSM_BIOMEDICAL_IMAGING_DATA_PAPERS_A_Comprehensive_Digital_Knee_X-ray_Image_Dataset_for_the_Assessment_of_Osteoarthritis (accessed on 25 September 2023).
- Gornale, S.S.; Patravali, P.U.; Hiremath, P.S. Detection of Osteoarthritis in Knee Radiographic Images using Artificial Neural Network. Int. J. Innov. Technol. Explor. Eng. IJITEE 2019, 8, 2429–2434. [Google Scholar] [CrossRef]
- Yoon, J.S.; Yon, C.-J.; Lee, D.; Lee, J.J.; Kang, C.H.; Kang, S.-B.; Lee, N.-K.; Chang, C.B. Assessment of a novel deep learning-based software developed for automatic feature extraction and grading of radiographic knee osteoarthritis. BMC Musculoskelet Disord. 2023, 24, 869. [Google Scholar] [CrossRef] [PubMed]








| References | Year | Classes(n) | Metrics |
|---|---|---|---|
| Yang et al. [9] | 2022 | 5 | Accuracy: 95.7%, Recall: 0.975, F1: 0.905 |
| Dalia et al. [10] | 2020 | 5 | Accuracy: 69.8%, Recall: 0.674, F1: 0.666 |
| Wahyuningrum et al. [11] | 2020 | 5 | Accuracy: 77.24%, Loss: 0.15 |
| Yong et al. [12] | 2021 | 5 | Accuracy: 88.09%, MAE: 0.330, QWK: 0.86 |
| Ruikar et al. [13] | 2022 | 5 | Accuracy: 92.7%, Recall: 0.92, F1: 0.91 |
| Wahyuningrum et al. [14] | 2019 | 5 | Accuracy: 75.28%, Mean loss: 0.09 |
| Chen et al. [15] | 2019 | 5 | Accuracy: 70.4%, MAE: 0.358 |
| Wani and Saini [16] | 2022 | 5 | Accuracy: 96.7%, MAE: 0.344 |
| Jain et al. [17] | 2021 | 5 | Accuracy: 71.74%, MAE: 0.311, QWK: 0.8690 |
| Yunus et al. [18] | 2022 | 5 | Accuracy: 90.6%, F1: 0.88, Precision: 0.85 |
| Raisuddin et al. [20] | 2022 | 5 | Accuracy: 64.13% |
| Huu et al. [21] | 2022 | 2 | Accuracy: 89%, Loss: 0.29 |
| Yifan et al. [22] | 2022 | 5 | Accuracy: 70.13%, MCC: 0.5864 |
| Alshamrani et al. [23] | 2023 | 2 | Accuracy: 92%, Recall 0.86, F1: 0.89 |
| Mohammed et al. [24] | 2023 | 3 | Accuracy: 89%, Recall: 0.86, F1: 0.86 |
| Pi et al. [25] | 2023 | 5 | Accuracy: 76.93%, Recall: 0.7525, F1: 0.7665 |
| Parameter | Value |
|---|---|
| Input size | 224 × 224 × 3 |
| Batch size | 16 |
| Learning rate | 0.0001 |
| Optimizer | Adam |
| Epochs | 200 |
| Loss function | Categorical cross-entropy |
| Metric | Precision | Recall | F1-Score | Test Data |
|---|---|---|---|---|
| KL0 | 0.99 | 0.94 | 0.97 | 200 |
| KL1 | 0.93 | 0.99 | 0.96 | 200 |
| KL2 | 0.99 | 0.95 | 0.97 | 200 |
| KL3 | 0.96 | 1.00 | 0.98 | 200 |
| KL4 | 1.00 | 0.97 | 0.99 | 200 |
| Macro-average | 0.97 | 0.97 | 0.97 | 1000 |
| Mean Accuracy | 97.20% | 1000 |
| References | OAI Dataset (Test) | Methods | Accuracy (%) |
|---|---|---|---|
| Dalia et al. [10] | 8892 (20%) | VGG16 | 69.8 |
| Wahyuningrum et al. [11] | 4737(521,527,528) | Deep CNN | 77.24 |
| Yong et al. [12] | 4130 (20%) | DenseNet161+ORM | 88.09 |
| Ruikar et al. [13] | 9492(1898) | OACnet-Handcrafted features | 92.7 |
| Wahyuningrum et al. [14] | 5148(479) | VGG16+LSTM | 75.28 |
| Chen et al. [15] | 8260 (20%) | VGG19-Ordinal | 70.4 |
| Wani et Saini. [16] | 1656 (20%) | VGG19 | 96.7 |
| Jain et al. [17] | 8260 (1656) | HRNet+CBAM | 71.74 |
| Yunus et al. [18] | 3795 (1656) | Fine KNN | 90.6 |
| Raisuddin et al. [20] | 8953 (903) | Deep semi-supervised active learning | 64.13 |
| Yifan et al. [22] | 8302 (10%) | DenseNet121 | 70.13 |
| Mohammed et al. [24] | 9786(20%) | ResNet101 | 69 |
| Pi et al. [25] | 8260 (1656) | Ensemble Network | 76.93 |
| Ours | 5000 (20%) | MedKnee | 97.20 |
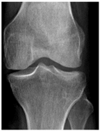
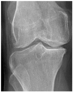
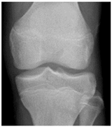
| Knee image | ![]() | ![]() | ![]() | ![]() | ![]() | ![]() | ![]() |
| MedKnee | KL-0 | KL-3 | KL-3 | KL-2 | KL-3 | KL-4 | KL-0 |
| Rheumatologist | KL-1 | KL-2/KL-3 | KL-4 | KL-1 | KL-4 | KL-3 | KL-1 |
| Radiologist | KL-0 | KL-1 | KL-3 | KL-2 | KL-3 | KL-2 | KL-1 |
Disclaimer/Publisher’s Note: The statements, opinions and data contained in all publications are solely those of the individual author(s) and contributor(s) and not of MDPI and/or the editor(s). MDPI and/or the editor(s) disclaim responsibility for any injury to people or property resulting from any ideas, methods, instructions or products referred to in the content. |
© 2024 by the authors. Licensee MDPI, Basel, Switzerland. This article is an open access article distributed under the terms and conditions of the Creative Commons Attribution (CC BY) license (https://creativecommons.org/licenses/by/4.0/).
Share and Cite
Touahema, S.; Zaimi, I.; Zrira, N.; Ngote, M.N.; Doulhousne, H.; Aouial, M. MedKnee: A New Deep Learning-Based Software for Automated Prediction of Radiographic Knee Osteoarthritis. Diagnostics 2024, 14, 993. https://doi.org/10.3390/diagnostics14100993
Touahema S, Zaimi I, Zrira N, Ngote MN, Doulhousne H, Aouial M. MedKnee: A New Deep Learning-Based Software for Automated Prediction of Radiographic Knee Osteoarthritis. Diagnostics. 2024; 14(10):993. https://doi.org/10.3390/diagnostics14100993
Chicago/Turabian StyleTouahema, Said, Imane Zaimi, Nabila Zrira, Mohamed Nabil Ngote, Hassan Doulhousne, and Mohsine Aouial. 2024. "MedKnee: A New Deep Learning-Based Software for Automated Prediction of Radiographic Knee Osteoarthritis" Diagnostics 14, no. 10: 993. https://doi.org/10.3390/diagnostics14100993
APA StyleTouahema, S., Zaimi, I., Zrira, N., Ngote, M. N., Doulhousne, H., & Aouial, M. (2024). MedKnee: A New Deep Learning-Based Software for Automated Prediction of Radiographic Knee Osteoarthritis. Diagnostics, 14(10), 993. https://doi.org/10.3390/diagnostics14100993








