Low-Dose CT Fluoroscopy-Guided Drainage of Deep Pelvic Fluid Collections after Colorectal Cancer Surgery: Technical Success, Clinical Outcome and Safety in 40 Patients
Abstract
:1. Introduction
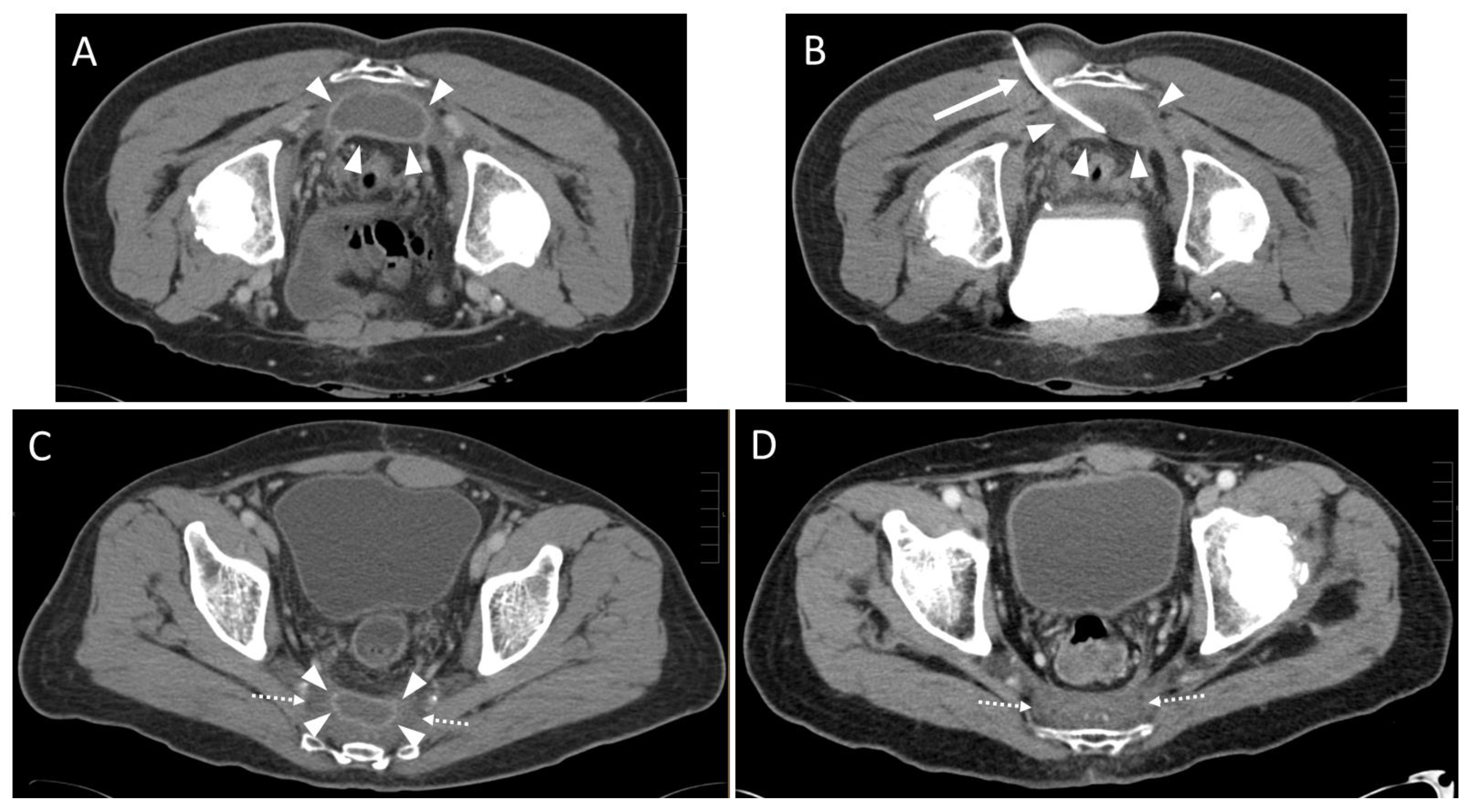
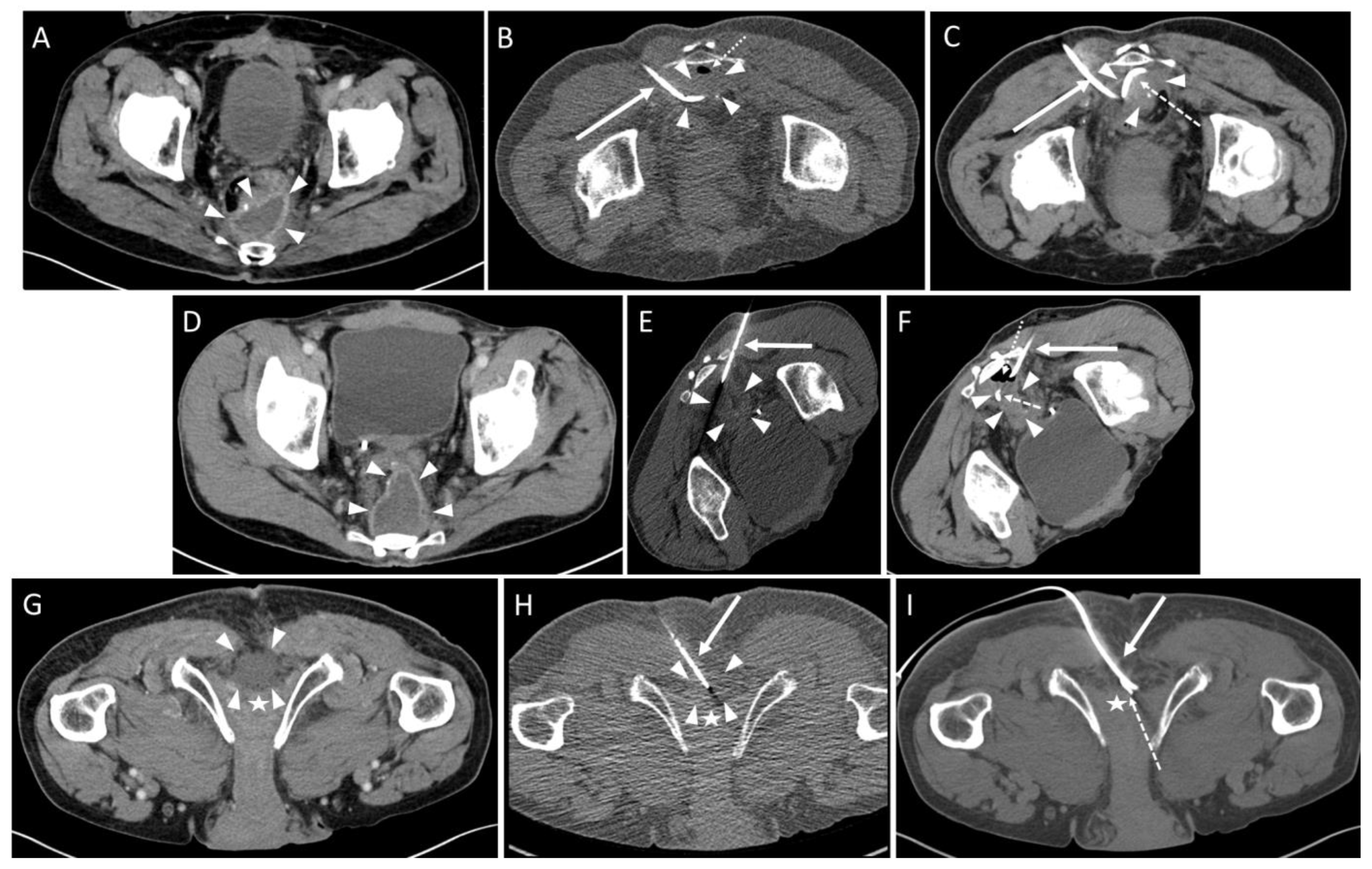
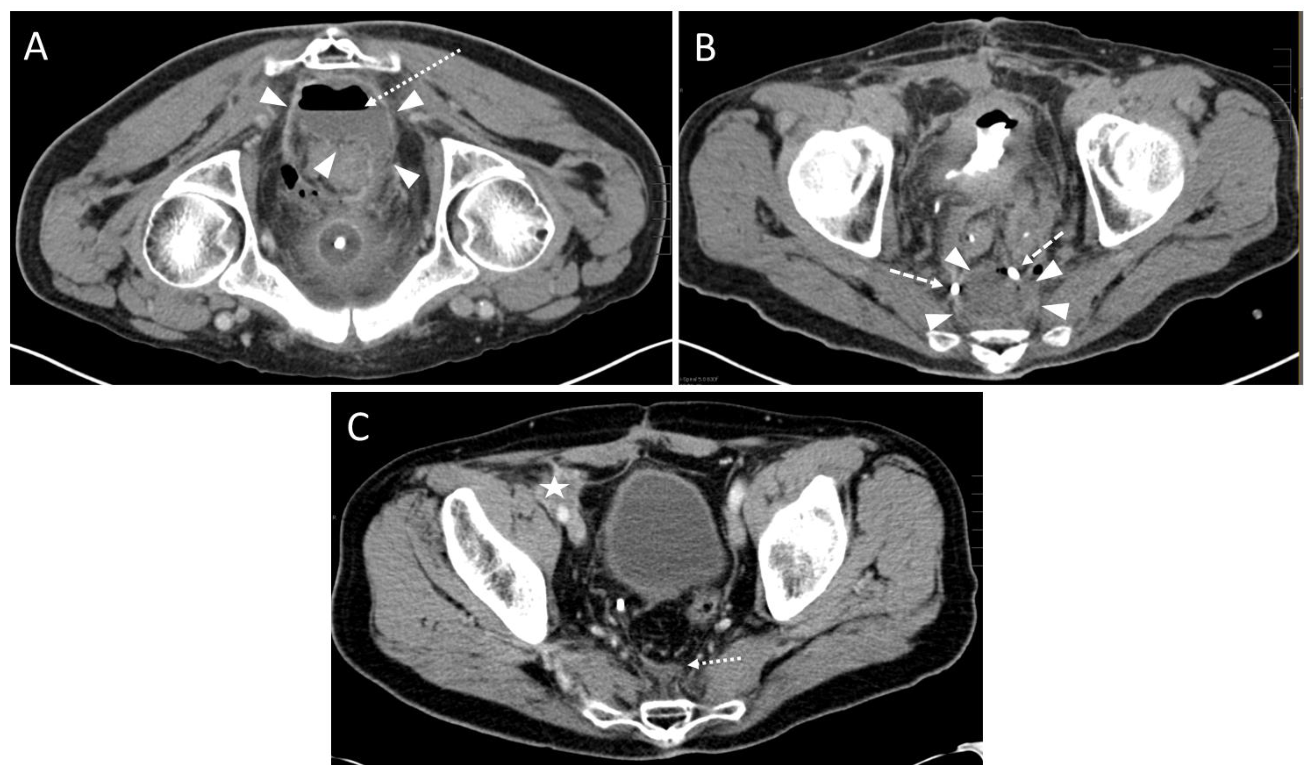
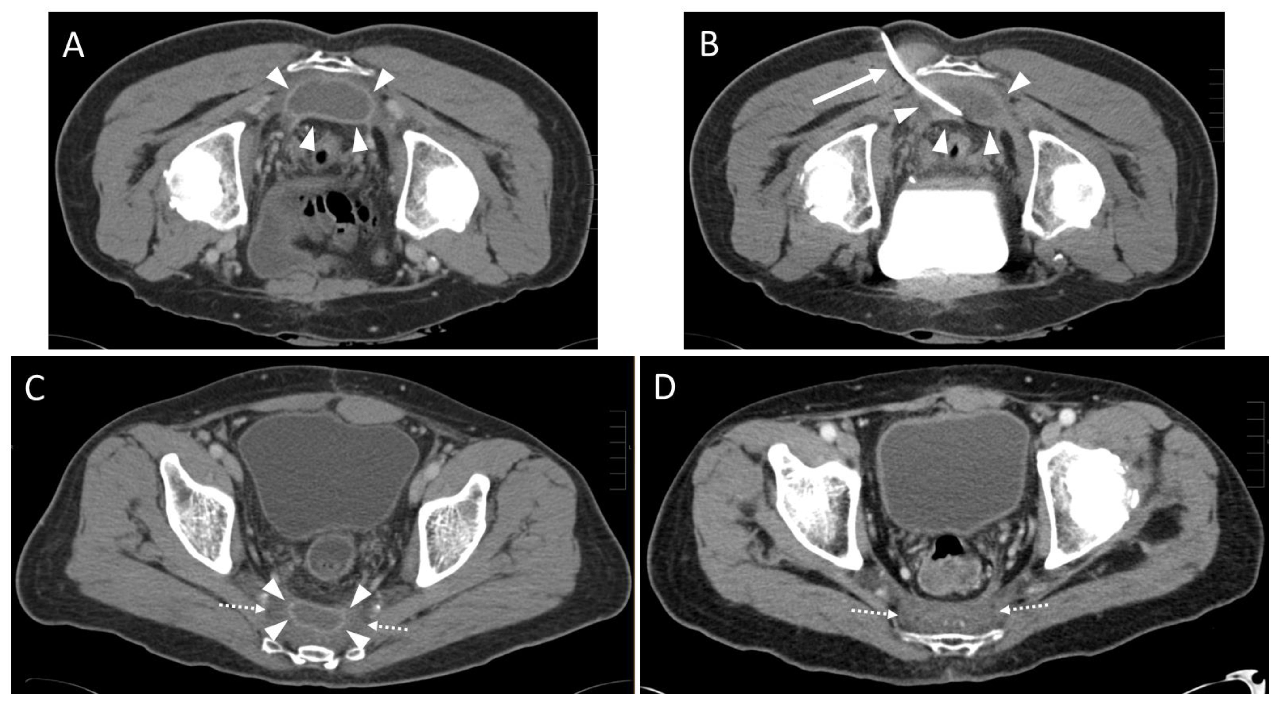
2. Materials and Methods
2.1. Study Subjects
2.2. CT Imaging Protocol
2.3. Analysis of Pre-, Peri- and Post-Interventional Period
2.4. Statistical Analysis
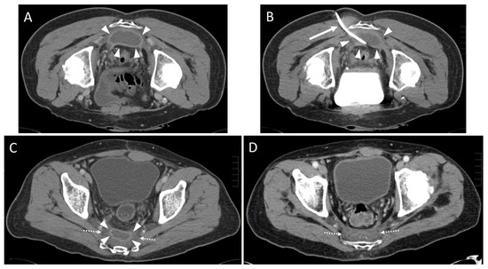
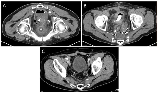
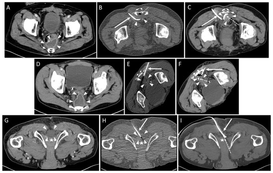
3. Results
3.1. Patient Collective
3.2. Pre- and Peri-Interventional Analysis
3.3. Post-Interventional Analysis
4. Discussion
5. Conclusions
Supplementary Materials
Author Contributions
Funding
Institutional Review Board Statement
Informed Consent Statement
Data Availability Statement
Conflicts of Interest
References
- Baidoun, F.; Elshiwy, K.; Elkeraie, Y.; Merjaneh, Z.; Khoudari, G.; Sarmini, M.T.; Gad, M.; Al-Husseini, M.; Saad, A. Colorectal Cancer Epidemiology: Recent Trends and Impact on Outcomes. Curr. Drug Targets 2021, 22, 998–1009. [Google Scholar] [CrossRef] [PubMed]
- Brenner, H.; Kloor, M.; Pox, C.P. Colorectal cancer. Lancet 2014, 383, 1490–1502. [Google Scholar] [CrossRef] [PubMed]
- Sinicrope, F.A. Increasing Incidence of Early-Onset Colorectal Cancer. N. Engl. J. Med. 2022, 386, 1547–1558. [Google Scholar] [CrossRef] [PubMed]
- Mármol, I.; Sánchez-de-Diego, C.; Pradilla Dieste, A.; Cerrada, E.; Rodriguez Yoldi, M.J. Colorectal Carcinoma: A General Overview and Future Perspectives in Colorectal Cancer. Int. J. Mol. Sci. 2017, 18, 197. [Google Scholar] [CrossRef] [PubMed]
- Haraldsdottir, S.; Einarsdottir, H.M.; Smaradottir, A.; Gunnlaugsson, A.; Halfdanarson, T.R. Colorectal cancer—Review. Laeknabladid 2014, 100, 75–82. [Google Scholar] [CrossRef] [PubMed]
- Men, S.; Akhan, O.; Koroglu, M. Percutaneous drainage of abdominal abcess. Eur. J. Radiol. 2002, 43, 204–218. [Google Scholar] [CrossRef]
- Floodeen, H.; Hallbook, O.; Rutegard, J.; Sjodahl, R.; Matthiessen, P. Early and late symptomatic anastomotic leakage following low anterior resection of the rectum for cancer: Are they different entities? Colorectal. Dis. 2013, 15, 334–340. [Google Scholar] [CrossRef]
- Gessler, B.; Eriksson, O.; Angenete, E. Diagnosis, treatment, and consequences of anastomotic leakage in colorectal surgery. Int. J. Colorectal. Dis. 2017, 32, 549–556. [Google Scholar] [CrossRef]
- Hirst, N.A.; Tiernan, J.P.; Millner, P.A.; Jayne, D.G. Systematic review of methods to predict and detect anastomotic leakage in colorectal surgery. Colorectal. Dis. 2014, 16, 95–109. [Google Scholar] [CrossRef]
- Rahbari, N.N.; Weitz, J.; Hohenberger, W.; Heald, R.J.; Moran, B.; Ulrich, A.; Holm, T.; Wong, W.D.; Tiret, E.; Moriya, Y.; et al. Definition and grading of anastomotic leakage following anterior resection of the rectum: A proposal by the International Study Group of Rectal Cancer. Surgery 2010, 147, 339–351. [Google Scholar] [CrossRef]
- Dariushnia, S.R.; Mitchell, J.W.; Chaudry, G.; Hogan, M.J. Society of Interventional Radiology Quality Improvement Standards for Image-Guided Percutaneous Drainage and Aspiration of Abscesses and Fluid Collections. J. Vasc. Interv. Radiol. 2020, 31, 662–666.e4. [Google Scholar] [CrossRef]
- vanSonnenberg, E.; Mueller, P.R.; Ferrucci, J.T., Jr. Percutaneous drainage of 250 abdominal abscesses and fluid collections. Part I: Results, failures, and complications. Radiology 1984, 151, 337–341. [Google Scholar] [CrossRef]
- Sheafor, D.H.; Paulson, E.K.; Simmons, C.M.; DeLong, D.M.; Nelson, R.C. Abdominal percutaneous interventional procedures: Comparison of CT and US guidance. Radiology 1998, 207, 705–710. [Google Scholar] [CrossRef]
- Carlson, S.K.; Bender, C.E.; Classic, K.L.; Zink, F.E.; Quam, J.P.; Ward, E.M.; Oberg, A.L. Benefits and safety of CT fluoroscopy in interventional radiologic procedures. Radiology 2001, 219, 515–520. [Google Scholar] [CrossRef]
- Paprottka, P.M.; Helmberger, T.; Reiser, M.F.; Trumm, C.G. Computed tomography guidance: Fluoroscopy and more. Radiologe 2013, 53, 974–985. [Google Scholar] [CrossRef]
- Schweiger, G.D.; Yip, V.Y.; Brown, B.P. CT fluoroscopic guidance for percutaneous needle placement into abdominopelvic lesions with difficult access routes. Abdom. Imaging 2000, 25, 633–637. [Google Scholar] [CrossRef]
- vanSonnenberg, E.; Wing, V.W.; Casola, G.; Coons, H.G.; Nakamoto, S.K.; Mueller, P.R.; Ferrucci, J.T., Jr.; Halasz, N.A.; Simeone, J.F. Temporizing effect of percutaneous drainage of complicated abscesses in critically ill patients. AJR Am. J. Roentgenol. 1984, 142, 821–826. [Google Scholar] [CrossRef]
- Harisinghani, M.G.; Gervais, D.A.; Maher, M.M.; Cho, C.H.; Hahn, P.F.; Varghese, J.; Mueller, P.R. Transgluteal approach for percutaneous drainage of deep pelvic abscesses: 154 cases. Radiology 2003, 228, 701–705. [Google Scholar] [CrossRef] [PubMed]
- Longo, W.E.; Milsom, J.W.; Lavery, I.C.; Church, J.C.; Oakley, J.R.; Fazio, V.W. Pelvic abscess after colon and rectal surgery—What is optimal management? Dis. Colon Rectum 1993, 36, 936–941. [Google Scholar] [CrossRef] [PubMed]
- Ren, H.J.; Zhang, J.P.; Tian, R.X.; Wang, G.F.; Gu, G.S.; Hong, Z.W.; Wu, L.; Zheng, T.; Zhang, H.Z.; Ren, J.A. Analysis of the effect of transgluteal percutaneous drainage in the treatment of deep pelvic abscess. Zhonghua Wei Chang Wai Ke Za Zhi 2020, 23, 1177–1181. [Google Scholar] [CrossRef] [PubMed]
- Zhao, N.; Li, Q.; Cui, J.; Yang, Z.; Peng, T. CT-guided special approaches of drainage for intraabdominal and pelvic abscesses: One single center’s experience and review of literature. Medicine 2018, 97, e12905. [Google Scholar] [CrossRef]
- de Kok, B.M.; Marinelli, A.; Puylaert, J.; Cobben, L.P.J. Image-guided posterior transperineal drainage for presacral abscess: An analysis of 21 patients. Diagn. Interv. Imaging 2019, 100, 77–83. [Google Scholar] [CrossRef]
- Peng, T.; Dong, L.; Zhu, Z.; Cui, J.; Li, Q.; Li, X.; Wu, H.; Wang, C.; Yang, Z. CT-guided Drainage of Deep Pelvic Abscesses via a Percutaneous Presacral Space Approach: A Clinical Report and Review of the Literature. Acad. Radiol. 2016, 23, 1553–1558. [Google Scholar] [CrossRef]
- Golfieri, R.; Cappelli, A. Computed tomography-guided percutaneous abscess drainage in coloproctology: Review of the literature. Technol. Coloproctol. 2007, 11, 197–208. [Google Scholar] [CrossRef]
- Ballard, D.H.; Gates, M.C.; Hamidian Jahromi, A.; Harper, D.V.; Do, D.V.; D’Agostino, H.B. Transrectal and transvaginal catheter drainages and aspirations for management of pelvic fluid collections: Technique, technical success rates, and outcomes in 150 patients. Abdom. Radiol. 2019, 44, 2582–2593. [Google Scholar] [CrossRef] [PubMed]
- Ouyang, B.W.; Liu, T.W.; Fu, Z.L.; Li, Y.; Zhang, B. Endoscopic ultrasound-guided pelvic abscess drainage: A report of 2 cases and literature review. Z. Gastroenterol. 2021, 59, 1053–1058. [Google Scholar] [CrossRef] [PubMed]
- Poincloux, L.; Caillol, F.; Allimant, C.; Bories, E.; Pesenti, C.; Mulliez, A.; Faure, F.; Rouquette, O.; Dapoigny, M.; Abergel, A.; et al. Long-term outcome of endoscopic ultrasound-guided pelvic abscess drainage: A two-center series. Endoscopy 2017, 49, 484–490. [Google Scholar] [CrossRef] [PubMed]
- Young, A.S.; Shyn, P.B.; Johnson, O.W.; Sainani, N.I.; Nawfel, R.D.; Silverman, S.G. Bending percutaneous drainage catheters to facilitate CT-guided insertion using curved trocar technique. Abdom. Radiol. 2017, 42, 2160–2167. [Google Scholar] [CrossRef] [PubMed]
- Gupta, S.; Wallace, M.J.; Cardella, J.F.; Kundu, S.; Miller, D.L.; Rose, S.C. Quality improvement guidelines for percutaneous needle biopsy. J. Vasc. Interv. Radiol. 2010, 21, 969–975. [Google Scholar] [CrossRef]
- vanSonnenberg, E.; Wittich, G.R.; Goodacre, B.W.; Casola, G.; D’Agostino, H.B. Percutaneous abscess drainage: Update. World J. Surg. 2001, 25, 362–369; discussion 370–372. [Google Scholar] [CrossRef]
- Filippiadis, D.K.; Binkert, C.; Pellerin, O.; Hoffmann, R.T.; Krajina, A.; Pereira, P.L. Cirse Quality Assurance Document and Standards for Classification of Complications: The Cirse Classification System. Cardiovasc. Intervent. Radiol. 2017, 40, 1141–1146. [Google Scholar] [CrossRef]
- Kloeckner, R.; dos Santos, D.P.; Schneider, J.; Kara, L.; Dueber, C.; Pitton, M.B. Radiation exposure in CT-guided interventions. Eur. J. Radiol. 2013, 82, 2253–2257. [Google Scholar] [CrossRef] [PubMed]
- Sarkissian, H.; Hyman, N.; Osler, T. Postoperative fluid collections after colon resection: The utility of clinical assessment. Am. J. Surg. 2013, 206, 551–554. [Google Scholar] [CrossRef] [PubMed]
- Dattola, A.; Alberti, A.; Giannetto, G.; Di Marco, D.; Basile, G. Echo-guided percutaneous drainage of abscesses and abdominal fluid collections. Ann. Ital. Chir. 1999, 70, 161–167. [Google Scholar] [PubMed]
- Jansen, M.; Truong, S.; Riesener, K.P.; Sparenberg, P.; Schumpelick, V. Results of sonographically guided percutaneous catheter drainage of intra-abdominal abscesses in surgery. Chirurg 1999, 70, 1168–1171. [Google Scholar] [CrossRef]
- Kim, Y.J.; Han, J.K.; Lee, J.M.; Kim, S.H.; Lee, K.H.; Park, S.H.; An, S.K.; Lee, J.Y.; Choi, B.I. Percutaneous drainage of postoperative abdominal abscess with limited accessibility: Preexisting surgical drains as alternative access route. Radiology 2006, 239, 591–598. [Google Scholar] [CrossRef]
- Kumar, R.R.; Kim, J.T.; Haukoos, J.S.; Macias, L.H.; Dixon, M.R.; Stamos, M.J.; Konyalian, V.R. Factors affecting the successful management of intra-abdominal abscesses with antibiotics and the need for percutaneous drainage. Dis. Colon Rectum 2006, 49, 183–189. [Google Scholar] [CrossRef]
- Laganà, D.; Carrafiello, G.; Mangini, M.; Ianniello, A.; Giorgianni, A.; Nicotera, P.; Fontana, F.; Dionigi, G.; Fugazzola, C. Image-guided percutaneous treatment of abdominal-pelvic abscesses: A 5-year experience. Radiol. Med. 2008, 113, 999–1007. [Google Scholar] [CrossRef] [PubMed]
- Röthlin, M.A.; Schöb, O.; Klotz, H.; Candinas, D.; Largiadèr, F. Percutaneous drainage of abdominal abscesses: Are large-bore catheters necessary? Eur. J. Surg. 1998, 164, 419–424. [Google Scholar] [CrossRef]
- Theisen, J.; Bartels, H.; Weiss, W.; Berger, H.; Stein, H.J.; Siewert, J.R. Current concepts of percutaneous abscess drainage in postoperative retention. J. Gastrointest. Surg. 2005, 9, 280–283. [Google Scholar] [CrossRef]
- Voros, D.; Gouliamos, A.; Kotoulas, G.; Kouloheri, D.; Saloum, G.; Kalovidouris, A. Percutaneous drainage of intra-abdominal abscesses using large lumen tubes under computed tomographic control. Eur. J. Surg. 1996, 162, 895–898. [Google Scholar] [PubMed]
- Wallace, M.J.; Chin, K.W.; Fletcher, T.B.; Bakal, C.W.; Cardella, J.F.; Grassi, C.J.; Grizzard, J.D.; Kaye, A.D.; Kushner, D.C.; Larson, P.A.; et al. Quality improvement guidelines for percutaneous drainage/aspiration of abscess and fluid collections. J. Vasc. Interv. Radiol. 2010, 21, 431–435. [Google Scholar] [CrossRef] [PubMed]
- Benoist, S.; Panis, Y.; Pannegeon, V.; Soyer, P.; Watrin, T.; Boudiaf, M.; Valleur, P. Can failure of percutaneous drainage of postoperative abdominal abscesses be predicted? Am. J. Surg. 2002, 184, 148–153. [Google Scholar] [CrossRef] [PubMed]
- Jaffe, T.A.; Nelson, R.C. Image-guided percutaneous drainage: A review. Abdom. Radiol. 2016, 41, 629–636. [Google Scholar] [CrossRef] [PubMed]
- Kirat, H.T.; Remzi, F.H.; Shen, B.; Kiran, R.P. Pelvic abscess associated with anastomotic leak in patients with ileal pouch-anal anastomosis (IPAA): Transanastomotic or CT-guided drainage? Int. J. Colorectal. Dis. 2011, 26, 1469–1474. [Google Scholar] [CrossRef] [PubMed]
- El-Hussuna, A.; Karer, M.L.M.; Uldall Nielsen, N.N.; Mujukian, A.; Fleshner, P.R.; Iesalnieks, I.; Horesh, N.; Kopylov, U.; Jacoby, H.; Al-Qaisi, H.M.; et al. Postoperative complications and waiting time for surgical intervention after radiologically guided drainage of intra-abdominal abscess in patients with Crohn’s disease. BJS Open 2021, 5, zrab075. [Google Scholar] [CrossRef]
- Brusciano, L.; Maffettone, V.; Napolitano, V.; Izzo, G.; Rossetti, G.; Izzo, D.; Russo, F.; Russo, G.; del Genio, G.; del Genio, A. Management of colorectal emergencies: Percutaneous abscess drainage. Ann. Ital. Chir. 2004, 75, 593–597. [Google Scholar]
- Akinci, D.; Ergun, O.; Topel, C.; Ciftci, T.; Akhan, O. Pelvic abscess drainage: Outcome with factors affecting the clinical success. Diagn. Interv. Radiol. 2018, 24, 146–152. [Google Scholar] [CrossRef]
- Betsch, A.; Wiskirchen, J.; Trubenbach, J.; Manncke, K.H.; Belka, C.; Claussen, C.D.; Duda, S.H. CT-guided percutaneous drainage of intra-abdominal abscesses: APACHE III score stratification of 1-year results. Acute Physiology, Age, Chronic Health Evaluation. Eur. Radiol. 2002, 12, 2883–2889. [Google Scholar] [CrossRef]
- Cinat, M.E.; Wilson, S.E.; Din, A.M. Determinants for successful percutaneous image-guided drainage of intra-abdominal abscess. Arch. Surg. 2002, 137, 845–849. [Google Scholar] [CrossRef]
- Kim, D.K.; Oh, S.Y.; Kwon, H.C.; Lee, S.; Kwon, K.A.; Kim, B.G.; Kim, S.G.; Kim, S.H.; Jang, J.S.; Kim, M.C.; et al. Clinical significances of preoperative serum interleukin-6 and C-reactive protein level in operable gastric cancer. BMC Cancer 2009, 9, 155. [Google Scholar] [CrossRef] [PubMed]
- Kurokawa, Y.; Yamashita, K.; Kawabata, R.; Fujita, J.; Imamura, H.; Takeno, A.; Takahashi, T.; Yamasaki, M.; Eguchi, H.; Doki, Y. Prognostic value of postoperative C-reactive protein elevation versus complication occurrence: A multicenter validation study. Gastric. Cancer 2020, 23, 937–943. [Google Scholar] [CrossRef] [PubMed]
- Mahmoud, F.A.; Rivera, N.I. The role of C-reactive protein as a prognostic indicator in advanced cancer. Curr. Oncol. Rep. 2002, 4, 250–255. [Google Scholar] [CrossRef] [PubMed]
- Nozoe, T.; Matsumata, T.; Kitamura, M.; Sugimachi, K. Significance of preoperative elevation of serum C-reactive protein as an indicator for prognosis in colorectal cancer. Am. J. Surg. 1998, 176, 335–338. [Google Scholar] [CrossRef] [PubMed]
- Grosser, O.S.; Wybranski, C.; Kupitz, D.; Powerski, M.; Mohnike, K.; Pech, M.; Amthauer, H.; Ricke, J. Improvement of image quality and dose management in CT fluoroscopy by iterative 3D image reconstruction. Eur. Radiol. 2017, 27, 3625–3634. [Google Scholar] [CrossRef] [PubMed]
- Hohl, C.; Suess, C.; Wildberger, J.E.; Honnef, D.; Das, M.; Mühlenbruch, G.; Schaller, A.; Günther, R.W.; Mahnken, A.H. Dose reduction during CT fluoroscopy: Phantom study of angular beam modulation. Radiology 2008, 246, 519–525. [Google Scholar] [CrossRef] [PubMed]
- Rathmann, N.; Haeusler, U.; Diezler, P.; Weiss, C.; Kostrzewa, M.; Sadick, M.; Schoenberg, S.O.; Diehl, S.J. Evaluation of radiation exposure of medical staff during CT-guided interventions. J. Am. Coll. Radiol. 2015, 12, 82–89. [Google Scholar] [CrossRef]
- Blot, S.; De Waele, J.J. Critical issues in the clinical management of complicated intra-abdominal infections. Drugs 2005, 65, 1611–1620. [Google Scholar] [CrossRef]
- Bodmann, K.F. Complicated intra-abdominal infections: Pathogens, resistance. Recommendations of the Infectliga on antbiotic therapy. Chirurg 2010, 81, 38–49. [Google Scholar] [CrossRef]





| Variable | n (%) 1 |
|---|---|
| Neoadjuvant therapy | |
| Radiochemotherapy | 23 (57.5%) |
| Radiation therapy | 2 (5.0%) |
| Chemotherapy | 1 (2.5%) |
| Type of surgery | |
| Open | 28 (70.0%) |
| Laparoscopic | 12 (30.0%) |
| Surgery techniques | |
| Deep anterior rectum resection | 31 (77.5%) |
| Deep anterior rectum resection with sigmoid resection | 3 (7.5%) |
| Deep anterior rectum resection with left hemicolectomy | 1 (2.5%) |
| Hemicolectomy | 2 (5.0%) |
| Other | 3 (7.5%) |
| Additionally resected organs | |
| Cystectomy | 3 (7.5%) |
| Adnexectomy | 2 (5.0%) |
| Hysterectomy | 1 (2.5%) |
| Prostatectomy | 1 (2.5%) |
| Splenectomy | 1 (2.5%) |
| Type of stoma | |
| Ileostomy | 21 (52.5%) |
| Colostomy | 4 (10.0%) |
| Time from surgery to first intervention (days): | 29 (13.8, 92.2) (6–1126) 1 |
| Max. diameter of the fluid collection (cm) | 6.2 ± 2.3 (3.7–13.8) 2 |
| CT signs of infection | 32 (80.0%) 3 |
| CT signs for AL 4 | 22 (55.0%) 3 |
| Confirmed AL 4 | Count |
| Early | 12 |
| Late | 13 |
| Predominant location of the fluid collection | Count |
| presacral | 39 (97.5%) 3 |
| precoccygeal | 1 (2.5%) 3 |
| Position | Count |
| Prone | 29 |
| Lateral | 11 |
| Drains per intervention | Count |
| 1 | 37 (92.5%) 3 |
| 2 | 3 (7.5%) 3 |
| Diameter (French) | Count |
| 7.5 | 1 (2.3%) 3 |
| 8 | 19 (44.2%) 3 |
| 10 | 19 (44.2%) 3 |
| 12 | 3 (7.0%) 3 |
| 14 | 1 (2.3%) 3 |
| Technique | Count |
| Trocar | 40 (93.0%) 3 |
| Seldinger | 3 (7.0%) 3 |
| Approach | |
| parasacral | 29 (72.5%) 3 |
| paracoccygeal | 10 (25.0%) 3 |
| infracoccygeal | 1 (2.5%) 3 |
| Access path | Count |
| transpiriform | 8 (20.0%) 3 |
| infrapiriform | 31 (77.5%) 3 |
| transperineal | 1 (2.5%) 3 |
| Aspirated Fluid Volume [mL] | 20 (9.8, 50) (3–80) 1 |
| Fluid Collection Infection Status | C-Reactive Protein | Leukocytes | Interleukin-6 | ||||||
|---|---|---|---|---|---|---|---|---|---|
| Elevated (n) | Success (n, %) | No Success (n, %) | Elevated (n) | Success (n, %) | No Success (n, %) | Elevated (n) | Success (n, %) | No Success (n, %) | |
| Infected | 18 | 16 (88.9) | 2 (11.1) | 12 | 10 (83.3) | 2 (16.7) | 2 | 2 (100.0) | 0 (0.0) |
| Non-infected | 6 | 4 (82.0) | 2 (18.0) | 2 | 1 (50.0) | 1 (50.0) | 1 | 1 (100.0) | 0 (0.0) |
| Total | 24 | 20 (83.3) | 4 (33.3) | 14 | 11 (78.6) | 3 (21.4) | 3 | 3 (83.3) | 0 (0.0) |
Disclaimer/Publisher’s Note: The statements, opinions and data contained in all publications are solely those of the individual author(s) and contributor(s) and not of MDPI and/or the editor(s). MDPI and/or the editor(s) disclaim responsibility for any injury to people or property resulting from any ideas, methods, instructions or products referred to in the content. |
© 2023 by the authors. Licensee MDPI, Basel, Switzerland. This article is an open access article distributed under the terms and conditions of the Creative Commons Attribution (CC BY) license (https://creativecommons.org/licenses/by/4.0/).
Share and Cite
Stahl, R.; Seidensticker, M.; de Figueiredo, G.N.; Pedersen, V.; Crispin, A.; Forbrig, R.; Ozpeynirci, Y.; Liebig, T.; D’Anastasi, M.; Hackner, D.; et al. Low-Dose CT Fluoroscopy-Guided Drainage of Deep Pelvic Fluid Collections after Colorectal Cancer Surgery: Technical Success, Clinical Outcome and Safety in 40 Patients. Diagnostics 2023, 13, 711. https://doi.org/10.3390/diagnostics13040711
Stahl R, Seidensticker M, de Figueiredo GN, Pedersen V, Crispin A, Forbrig R, Ozpeynirci Y, Liebig T, D’Anastasi M, Hackner D, et al. Low-Dose CT Fluoroscopy-Guided Drainage of Deep Pelvic Fluid Collections after Colorectal Cancer Surgery: Technical Success, Clinical Outcome and Safety in 40 Patients. Diagnostics. 2023; 13(4):711. https://doi.org/10.3390/diagnostics13040711
Chicago/Turabian StyleStahl, Robert, Max Seidensticker, Giovanna Negrão de Figueiredo, Vera Pedersen, Alexander Crispin, Robert Forbrig, Yigit Ozpeynirci, Thomas Liebig, Melvin D’Anastasi, Danilo Hackner, and et al. 2023. "Low-Dose CT Fluoroscopy-Guided Drainage of Deep Pelvic Fluid Collections after Colorectal Cancer Surgery: Technical Success, Clinical Outcome and Safety in 40 Patients" Diagnostics 13, no. 4: 711. https://doi.org/10.3390/diagnostics13040711
APA StyleStahl, R., Seidensticker, M., de Figueiredo, G. N., Pedersen, V., Crispin, A., Forbrig, R., Ozpeynirci, Y., Liebig, T., D’Anastasi, M., Hackner, D., & Trumm, C. G. (2023). Low-Dose CT Fluoroscopy-Guided Drainage of Deep Pelvic Fluid Collections after Colorectal Cancer Surgery: Technical Success, Clinical Outcome and Safety in 40 Patients. Diagnostics, 13(4), 711. https://doi.org/10.3390/diagnostics13040711

