Abbreviated Versus Multiparametric Prostate MRI in Active Surveillance for Prostate-Cancer Patients: Comparison of Accuracy and Clinical Utility as a Decisional Tool
Abstract
:1. Introduction
2. Materials and Methods
2.1. Patient Selection and Study Design
- Diagnosis of low-risk PCa in accordance with the National Comprehensive Cancer Network NCCN classification [14].
- Candidates for mpMRI cognitively-guided transperineal targeted biopsy for index lesions (PI-RADS ≥ 3) and concomitant transperinal saturation biopsy.
- A mpMRI performed before the saturation biopsy and 3–12 months after the initial 12 core biopsy diagnostic for PCa.
- Time from diagnosis of PCa to mpMRI exam exceeding the established temporal cut-off.
- Incomplete mpMRI protocol due to contraindications to contrast medium administration.
- Presence of artifacts affecting imaging quality.
- Incomplete clinical data.
- A mpMRI performed before the first standard biopsy.
- Any previous prostate surgery.
2.2. MRI Protocol
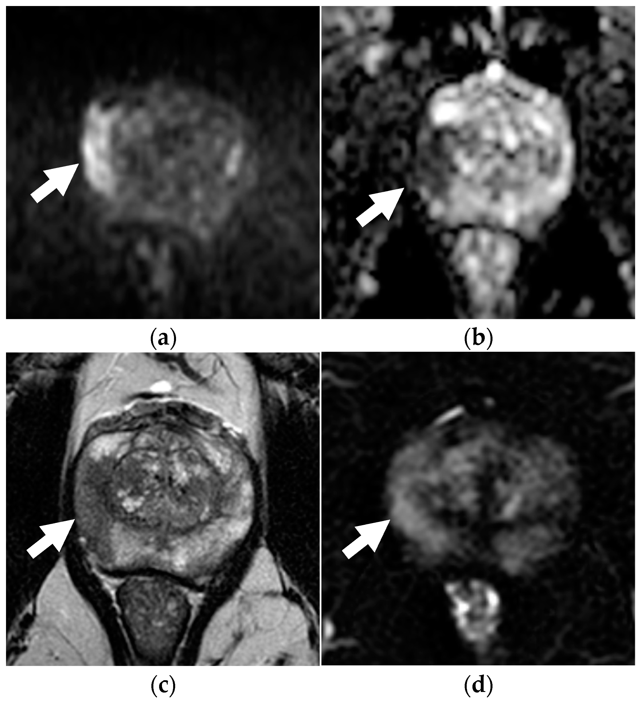
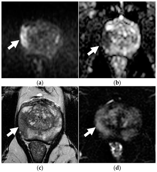
2.3. Image Analysis
2.4. Standard of Reference and Data Analysis
3. Results
3.1. Patients’ Characteristics and Results of mpMRI and dsMRI Readings
3.2. Inter-Observer Agreement
3.3. Accuracy and Clinical Utility of mpMRI and dsMRI in Assessing csPCa
4. Discussion
5. Conclusions
Supplementary Materials
Author Contributions
Funding
Institutional Review Board Statement
Informed Consent Statement
Data Availability Statement
Conflicts of Interest
References
- Glass, A.S.; Dall’Era, M.A. Use of multiparametric magnetic resonance imaging in prostate cancer active surveillance. BJU Int. 2019, 124, 730–737. [Google Scholar] [CrossRef] [PubMed]
- Chandrasekar, T.; Dall’Era, M.A.; Tilki, D. Multiparametric MRI: An important tool to improve risk stratification for active surveillance in prostate cancer. BJU Int. 2018, 122, 721–722. [Google Scholar] [CrossRef] [PubMed]
- Nassiri, N.; Margolis, D.J.; Natarajan, S.; Sharma, D.S.; Huang, J.; Dorey, F.J.; Marks, L.S. Targeted Biopsy to Detect Gleason Score Upgrading during Active Surveillance for Men with Low versus Intermediate Risk Prostate Cancer. J. Urol. 2017, 197, 632–639. [Google Scholar] [CrossRef] [PubMed]
- Frye, T.P.; George, A.K.; Kilchevsky, A.; Maruf, M.; Siddiqui, M.M.; Kongnyuy, M.; Muthigi, A.; Han, H.; Parnes, H.L.; Merino, M.; et al. Magnetic Resonance Imaging-Transrectal Ultrasound Guided Fusion Biopsy to Detect Progression in Patients with Existing Lesions on Active Surveillance for Low and Intermediate Risk Prostate Cancer. J. Urol. 2017, 197, 640–646. [Google Scholar] [CrossRef]
- Schoots, I.G.; Petrides, N.; Giganti, F.; Bokhorst, L.P.; Rannikko, A.; Klotz, L.; Villers, A.; Hugosson, J.; Moore, C.M. Magnetic resonance imaging in active surveillance of prostate cancer: A systematic review. Eur. Urol. 2015, 67, 627–636. [Google Scholar] [CrossRef] [PubMed]
- Zattoni, F.; Morlacco, A.; Soligo, M.; Mancini, M.; Leone, N.; Zecchini, G.; Reitano, G.; Bednarova, I.; Lacognata, C.S.; Lauro, A.; et al. Diagnosis of clinically significant prostate cancer after negative multiparametric magnetic resonance imaging. Cent. Eur. J. Urol. 2022, 75, 277–283. [Google Scholar] [CrossRef]
- Barentsz, J.O.; Richenberg, J.; Clements, R.; Choyke, P.; Verma, S.; Villeirs, G.; Rouviere, O.; Logager, V.; Fütterer, J.J. ESUR prostate MR guidelines 2012. Eur. Radiol. 2012, 22, 746–757. [Google Scholar] [CrossRef] [PubMed]
- Weinreb, J.C.; Barentsz, J.O.; Choyke, P.L.; Cornud, F.; Haider, M.A.; Macura, K.J.; Margolis, D.; Schnall, M.D.; Shtern, F.; Tempany, C.M.; et al. PI-RADS Prostate Imaging–Reporting and Data System: 2015, Version 2. Eur. Urol. 2016, 69, 16–40. [Google Scholar] [CrossRef]
- Girometti, R.; Cereser, L.; Bonato, F.; Zuiani, C. Evolution of prostate MRI: From multiparametric standard to less-is-better and different-is better strategies. Eur. Radiol. Exp. 2019, 3, 5. [Google Scholar] [CrossRef] [PubMed]
- Kang, Z.; Min, X.; Weinreb, J.; Li, Q.; Feng, Z.; Wang, L. Abbreviated biparametric versus standard multiparametric MRI for diagnosis of prostate cancer: A systematic review and meta-analysis. Am. J. Roentgenol. 2019, 212, 357–365. [Google Scholar] [CrossRef]
- Barth, B.K.; De Visschere, P.J.; Cornelius, A.; Nicolau, C.; Vargas, H.A.; Eberli, D.; Donati, O.F. Detection of clinically significant prostate cancer: Short dual-pulse sequence versus standard multiparametric MR Imaging—A multireader study. Radiology 2017, 284, 725–736. [Google Scholar] [CrossRef] [PubMed]
- Kuhl, C.K.; Bruhn, R.; Krämer, N.; Nebelung, S.; Heidenreich, A.; Schrading, S. Abbreviated biparametric prostate MR imaging in men with elevated prostate-specific antigen. Radiology 2017, 285, 493–505. [Google Scholar] [CrossRef] [PubMed]
- van der Leest, M.; Israel, B.; Cornel, E.B.; Zamecnik, P.; Schoots, I.G.; van der Lelij, H.; Padhani, A.R.; Rovers, M.; van Oort, I.; Sedelaar, M.; et al. High Diagnostic Performance of Short Magnetic Resonance Imaging Protocols for Prostate Cancer Detection in Biopsy-naïve Men: The Next Step in Magnetic Resonance Imaging Accessibility. Eur. Urol. 2019, 76, 574–581. [Google Scholar] [CrossRef] [PubMed]
- Mohler, J.L.; Antonarakis, E.S.; Armstrong, A.J.; D’Amico, A.V.; Davis, B.J.; Dorff, T.; Eastham, J.A.; Enke, C.A.; Farrington, T.A.; Higano, C.S.; et al. Prostate Cancer, Version 2.2019, NCCN Clinical Practice Guidelines in Oncology. J. Natl. Compr. Cancer Netw. 2019, 17, 479–505. [Google Scholar] [CrossRef]
- de Rooij, M.; Israël, B.; Tummers, M.; Ahmed, H.U.; Barrett, T.; Giganti, F.; Hamm, B.; Løgager, V.; Padhani, A.; Panebianco, V.; et al. ESUR/ESUI consensus statements on multi-parametric MRI for the detection of clinically significant prostate cancer: Quality requirements for image acquisition, interpretation and radiologists’ training. Eur. Radiol. 2020, 30, 5404–5416. [Google Scholar] [CrossRef] [PubMed]
- Turkbey, B.; Rosenkrantz, A.B.; Haider, M.A.; Padhani, A.R.; Villeirs, G.; Macura, K.J.; Tempany, C.M.C.; Choyke, P.L.; Cornud, F.; Margolis, D.J.; et al. Prostate Imaging Reporting and Data System Version 2.1: 2019 Update of Prostate Imaging Reporting and Data System Version 2. Eur. Urol. 2019, 76, 340–351. [Google Scholar] [CrossRef] [PubMed]
- Abdollah, F.; Novara, G.; Briganti, A. Trans-rectal versus trans-perineal saturation rebiopsy of the prostate: Is there a difference in cancer detection rate? Urology 2011, 77, 921–925. [Google Scholar] [CrossRef] [PubMed]
- Vickers, A.J.; Elkin, E.B. Decision curve analysis: A novel method for evaluating prediction models. Med. Decis. Mak. 2006, 26, 565–574. [Google Scholar] [CrossRef]
- Cicchetti, D.; Bronen, R.; Spencer, S.; Haut, S.; Berg, A.; Oliver, P.; Tyrer, P. Rating scales, scales of measurement, issues of reliability: Resolving some critical issues for clinicians and researchers. J. Nerv. Ment. Dis. 2006, 194, 557–564. [Google Scholar] [CrossRef]
- Porten, S.P.; Whitson, J.M.; Cowan, J.E.; Cooperberg, M.R.; Shinohara, K.; Perez, N.; Greene, K.L.; Meng, M.V.; Carroll, P.R. Changes in prostate cancer grade on serial biopsy in men undergoing active surveillance. J. Clin. Oncol. 2011, 29, 2795–2800. [Google Scholar] [CrossRef]
- King, A.C.; Livermore, A.; Laurila, T.A.J.; Huang, W.; Jarrard, D.F. Impact of immediate TRUS rebiopsy in a patient cohort considering active surveillance for favorable risk prostate cancer. Urol. Oncol. Semin. Orig. Investig. 2013, 31, 739–743. [Google Scholar] [CrossRef]
- Inoue, L.Y.; Lin, D.W.; Newcomb, L.F.; Leonardson, A.S.; Ankerst, D.; Gulati, R.; Carter, H.B.; Trock, B.J.; Carroll, P.R.; Cooperberg, M.R.; et al. Comparative analysis of biopsy upgrading in four prostate cancer active surveillance cohorts. Ann. Intern. Med. 2018, 168, 82. [Google Scholar] [CrossRef]
- Vickers, A.J.; van Calster, B.; Steyerberg, E.W. A simple, step-by-step guide to interpreting decision curve analysis. Diagn. Progn. Res. 2019, 3, 18. [Google Scholar] [CrossRef]
- De Visschere, P.; Lumen, N.; Ost, P.; Decaestecker, K.; Pattyn, E.; Villeirs, G. Dynamic contrast-enhanced imaging has limited added value over T2-weighted imaging and diffusion-weighted imaging when using PI-RADSv2 for diagnosis of clinically significant prostate cancer in patients with elevated PSA. Clin. Radiol. 2017, 72, 23–32. [Google Scholar] [CrossRef] [PubMed]
- Moldovan, P.C.; Van den Broeck, T.; Sylvester, R.; Marconi, L.; Bellmunt, J.; van den Bergh, R.C.N.; Bolla, M.; Briers, E.; Cumberbatch, M.G.; Fossati, N.; et al. What Is the Negative Predictive Value of Multiparametric Magnetic Resonance Imaging in Excluding Prostate Cancer at Biopsy? A Systematic Review and Meta-analysis from the European Association of Urology Prostate Cancer Guidelines Panel. Eur. Urol. 2017, 72, 250–266. [Google Scholar] [CrossRef] [PubMed]
- Barkovich, E.J.; Shankar, P.R.; Westphalen, A.C. A Systematic Review of the Existing Prostate Imaging Reporting and Data System Version 2 (PI-RADSv2) Literature and Subset Meta-Analysis of PI-RADSv2 Categories Stratified by Gleason Scores. Am. J. Roentgenol. 2019, 212, 847–854. [Google Scholar] [CrossRef] [PubMed]
- Mottet, N.; van den Bergh, R.C.N.; Briers, E.; Van den Broeck, T.; Cumberbatch, M.G.; De Santis, M.; Fanti, S.; Fossati, N.; Gandaglia, G.; Gillessen, S.; et al. EAU–EANM–ESTRO–ESUR–SIOG Guidelines on Prostate Cancer 2019. Eur. Assoc. Urol. Guidel. 2019, 53, 1–161. [Google Scholar]
- Schoots, I.G.; Nieboer, D.; Giganti, F.; Moore, C.M.; Bangma, C.H.; Roobol, M.J. Is magnetic resonance imaging-targeted biopsy a useful addition to systematic confirmatory biopsy in men on active surveillance for low-risk prostate cancer? A systematic review and meta-analysis. BJU Int. 2018, 122, 946–958. [Google Scholar] [CrossRef] [PubMed]
- Motamedinia, P.; Richard, J.L.; McKiernan, J.M.; Decastro, G.J.; Benson, M.C. Role of immediate confirmatory prostate biopsy to ensure accurate eligibility for active surveillance. Urology 2012, 80, 1070–1074. [Google Scholar] [CrossRef]
- Bjurlin, M.A.; Wysock, J.S.; Taneja, S.S. Optimization of prostate biopsy: Review of technique and complications. Urol. Clin. N. Am. 2014, 41, 299–313. [Google Scholar] [CrossRef]
- Osses, D.F.; Drost, F.-J.H.; Verbeek, J.F.; Luiting, H.B.; van Leenders, G.J.; Bangma, C.H.; Krestin, G.P.; Roobol, M.J.; Schoots, I.G. Prostate cancer upgrading with serial prostate magnetic resonance imaging and repeat biopsy in men on active surveillance: Are confirmatory biopsies still necessary? BJU Int. 2020, 126, 124–132. [Google Scholar] [CrossRef] [PubMed]
- Zattoni, F.; Marra, G.; Kasivisvanathan, V. The Detection of Prostate Cancer with Magnetic Resonance Imaging-Targeted Prostate Biopsies is Superior with the Transperineal vs the Transrectal Approach. A European Association of Urology-Young Academic Urologists Prostate Cancer Working Group Multi-Institutional Study. J. Urol. 2022, 208, 830–837. [Google Scholar] [CrossRef] [PubMed]




| Patient Characteristics | |
|---|---|
| N of patients | 54 |
| Median age, yr (IQR) | 69 (69.0–73.8) |
| Median PSA at MRI time, ng/mL (IQR) | 6 (6.0–8.3) |
| Median PSA density, ng/mL/mL (IQR) | 0.13 (0.13–0.19) |
| Clinical stage, n (%) | |
| cT1c | 41/54 (75.9%) |
| cT2a | 13/54 (24.1%) |
| Saturation-biopsy results | |
| ISUP grade, at saturation biopsy, n (%) | |
| I | 36/42 (85.7%) |
| II | 5/42 (11.9%) |
| IV | 1/42 (2.3%) |
| NCCN risk-category groups. Reclassification after biopsy, n (%) | |
| Low | 42/54 (77.8%) |
| Unfavorable–Intermediate | 11/54 (20.3%) |
| High | 1/54 (1.9%) |
| MRI before Confirmatory Biopsy | ||
|---|---|---|
| Median Prostate Volume at MRI, cc (IQR) | 45 (45.0–57.75) | |
| PI-RADS (R1) n, (%) | dsMRI | mpMRI |
| 1 | 10 (18.5) | 8 (14.8) |
| 2 | 5 (9.3) | 6 (11.1) |
| 3 | 12 (22.2) | 9 (16.7) |
| 4 | 22 (40.7) | 26 (48.1) |
| 5 | 5 (9.3) | 5 (9.3) |
| PI-RADS (R2) n, (%) | dsMRI | mpMRI |
| 1 | 11 (20.4) | 10 (18.5) |
| 2 | 2 (3.7) | 2 (3.7) |
| 3 | 18 (33.3) | 10 (18.5) |
| 4 | 19 (35.2) | 28 (51.9) |
| 5 | 4 (7.4) | 4 (7.4) |
| TP/n | FP/n | Net Benefit (%) | ||||
|---|---|---|---|---|---|---|
| Pt | Risk Treshold 10% | Risk Treshold 15% | Risk Treshold 20% | |||
| R1 | dsMRI | 0.19 | 0.54 | 12.5 | 9.0 | 5.1 |
| mpMRI | 0.20 | 0.54 | 14.4 | 10.9 | 7.0 | |
| R2 | dsMRI | 0.17 | 0.59 | 10.1 | 6.2 | 1.9 |
| mpMRI | 0.19 | 0.59 | 11.9 | 8.1 | 3.7 | |
| Treat All (shift to active treatment) | 0.22 | 0.78 | 13.6 | 8.5 | 2.8 | |
| Treat None (continue with surveillance) | / | / | 0 | 0 | 0 | |
| R1 | R2 | |||||
|---|---|---|---|---|---|---|
| dsMRI | mpMRI | p | dsMRI | mpMRI | p | |
| TRUE-POSITIVE | 10 | 11 | - | 9 | 10 | - |
| FALSE-NEGATIVE | 2 | 1 | - | 3 | 2 | - |
| TRUE-NEGATIVE | 13 | 13 | - | 10 | 10 | - |
| FALSE-POSITIVE | 29 | 29 | - | 32 | 32 | - |
| SENSITIVITY | 83.3% (52–98) | 91.7% (62–100) | 1.0 | 75.0% (43–95) | 83.3% (52–98) | 1.0 |
| SPECIFICITY | 31.0% (18–47) | 31.0% (18–47) | - | 23.8% (12–40) | 23.8% (12–40) | - |
| PPV | 25.6% (13–42) | 27.5% (15–44) | - | 22.0% (11–38) | 23.8% (12–39) | - |
| NPV | 86.7% (60–98) | 92.9% (66–99) | - | 76.9% (46–95) | 83.3% (52–98) | - |
| AUC | 0.77 (0.63–0.87) | 0.79 (0.66–0.89) | 0.65 | 0.62 (0.48–0.75) | 0.66 (0.52–0.78) | 0.52 |
Disclaimer/Publisher’s Note: The statements, opinions and data contained in all publications are solely those of the individual author(s) and contributor(s) and not of MDPI and/or the editor(s). MDPI and/or the editor(s) disclaim responsibility for any injury to people or property resulting from any ideas, methods, instructions or products referred to in the content. |
© 2023 by the authors. Licensee MDPI, Basel, Switzerland. This article is an open access article distributed under the terms and conditions of the Creative Commons Attribution (CC BY) license (https://creativecommons.org/licenses/by/4.0/).
Share and Cite
Zattoni, F.; Maresca, S.; Dal Moro, F.; Bednarova, I.; Randazzo, G.; Basso, G.; Reitano, G.; Giannarini, G.; Zuiani, C.; Girometti, R. Abbreviated Versus Multiparametric Prostate MRI in Active Surveillance for Prostate-Cancer Patients: Comparison of Accuracy and Clinical Utility as a Decisional Tool. Diagnostics 2023, 13, 578. https://doi.org/10.3390/diagnostics13040578
Zattoni F, Maresca S, Dal Moro F, Bednarova I, Randazzo G, Basso G, Reitano G, Giannarini G, Zuiani C, Girometti R. Abbreviated Versus Multiparametric Prostate MRI in Active Surveillance for Prostate-Cancer Patients: Comparison of Accuracy and Clinical Utility as a Decisional Tool. Diagnostics. 2023; 13(4):578. https://doi.org/10.3390/diagnostics13040578
Chicago/Turabian StyleZattoni, Fabio, Silvio Maresca, Fabrizio Dal Moro, Iliana Bednarova, Gianmarco Randazzo, Giovanni Basso, Giuseppe Reitano, Gianluca Giannarini, Chiara Zuiani, and Rossano Girometti. 2023. "Abbreviated Versus Multiparametric Prostate MRI in Active Surveillance for Prostate-Cancer Patients: Comparison of Accuracy and Clinical Utility as a Decisional Tool" Diagnostics 13, no. 4: 578. https://doi.org/10.3390/diagnostics13040578
APA StyleZattoni, F., Maresca, S., Dal Moro, F., Bednarova, I., Randazzo, G., Basso, G., Reitano, G., Giannarini, G., Zuiani, C., & Girometti, R. (2023). Abbreviated Versus Multiparametric Prostate MRI in Active Surveillance for Prostate-Cancer Patients: Comparison of Accuracy and Clinical Utility as a Decisional Tool. Diagnostics, 13(4), 578. https://doi.org/10.3390/diagnostics13040578

