A Comprehensive Look at Maxillofacial Traumas: On the Basis of Orbital Involvement
Abstract
1. Introduction
2. Materials and Methods
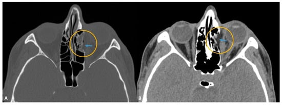
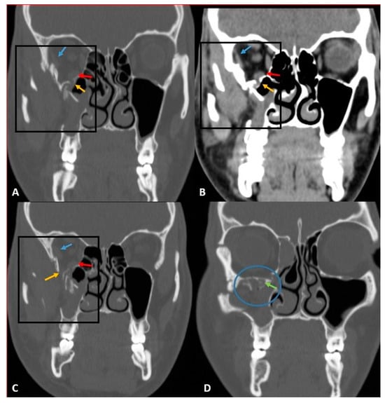
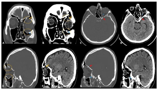
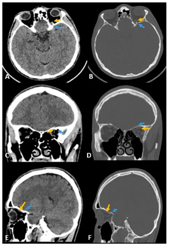
3. Results
4. Discussion
5. Conclusions
Author Contributions
Funding
Institutional Review Board Statement
Informed Consent Statement
Data Availability Statement
Conflicts of Interest
References
- Passi, D.; Chandra, L.; Deepa, D.; Atri, M.; Pandey, S.M.; Goyal, J.; Sharma, A.; Gupta, U. A retrospective cross-sectional study of maxillofacial trauma in Delhi-NCR Region. J. Fam. Med. Prim. Care 2019, 8, 1453–1459. [Google Scholar] [CrossRef] [PubMed]
- Singaram, M.; Udhayakumar, R.K. Prevalence, pattern, etiology, and management of maxillofacial trauma in a developing country: A retrospective study. J. Korean Assoc. Oral Maxillofac. Surg. 2016, 42, 174–181. [Google Scholar] [CrossRef] [PubMed]
- Patil, S.G.; Kotwal, I.A.; Joshi, U.; Allurkar, S.; Thakur, N.; Aftab, A. Ophthalmological Evaluation by a Maxillofacial Surgeon and an Ophthalmologist in Assessing the Damage to the Orbital Contents in Midfacial Fractures: A Prospective Study. J. Maxillofac. Oral Surg. 2016, 15, 328–335. [Google Scholar] [CrossRef] [PubMed]
- Sharma, B.; Gupta, R.; Anand, R.; Ingle, R. Ocular manifestations of head injury and incidence of post-traumatic ocular motor nerve involvement in cases of head injury: A clinical review. Int. Ophthalmol. 2014, 34, 893–900. [Google Scholar] [CrossRef]
- Rajkumar, G.C.; Ashwin, D.P.; Singh, R.; Prashanth, R.; Rudresh, K.B. Ocular Injuries Associated with Midface Fractures: A 5 Year Survey. J. Maxillofac. Oral Surg. 2015, 14, 925–929. [Google Scholar] [CrossRef]
- Arangio, P.; Vellone, V.; Torre, U.; Calafati, V.; Capriotti, M.; Cascone, P. Maxillofacial fractures in the province of Latina, Lazio, Italy: Review of 400 injuries and 83 cases. J. Cranio-Maxillofac. Surg. 2014, 42, 583–587. [Google Scholar] [CrossRef] [PubMed]
- Patel, K.N.A.; Sneha, T.R.; Reddy, K.R.; Girish, G.; Nikhila, G. Changing Trends in the Pattern of Maxillofacial Injuries in Helmeted Motorcycle Accident Patients when Compared to Non-helmeted Motorcycle Accident Patients. J. Maxillofac. Oral. Surg. 2023, 22, 18–24. [Google Scholar] [CrossRef] [PubMed]
- Mittal, G.; Singh, N.; Suvarana, S.; Mittal, S. A prospective study on ophthalmic injuries related to maxillofacial trauma in Indian population. Natl. J. Maxillofac. Surg. 2012, 3, 152–158. [Google Scholar] [CrossRef] [PubMed]
- Ai-Ourainy, I.; Dutton, G.; Stassen, L.; Moos, K.; Ei-Attar, A. The characteristics of midfacial fractures and the association with ocular injury: A prospective study. Br. J. Oral Maxillofac. Surg. 1991, 29, 291–301. [Google Scholar] [CrossRef]
- Magarakis, M.; Mundinger, G.S.; Kelamis, J.A.; Dorafshar, A.H.; Bojovic, B.; Rodriguez, E.D. Ocular injury, visual impairment, and blindness associated with facial frac-tures: A systematic literature review. Plast. Reconstr. Surg. 2012, 129, 227–233. [Google Scholar] [CrossRef] [PubMed]
- Gassner, R.; Tuli, T.; Hächl, O.; Rudisch, A.; Ulmer, H. Cranio-maxillofacial trauma: A 10 year review of 9543 cases with 21067 injuries. J. Cranio-Maxillofa. Surg. 2003, 31, 51–61. [Google Scholar] [CrossRef] [PubMed]
- Gupta, P.; Bansal, S.; Sinwar, P.D.; Verma, K. A Retrospective Study of Maxillofacial Fractures at a Tertiary Care Centre in North India: A Review of 1674 Cases. J. Maxillofac. Oral Surg. 2023, 22, 641–645. [Google Scholar] [CrossRef] [PubMed]
- Cagatay, H.H.; Ekinci, M.; Pamukcu, C.; Oba, M.E.; Ozcan, A.A.; Karsidag, S. Retrospective Analysis Of 132 Patients With Orbital Fracture. Turk. J. Trauma Emerg. Surg. 2013, 19, 449–455. [Google Scholar] [CrossRef] [PubMed][Green Version]
- Boffano, P.; Roccia, F.; Zavattero, E.; Dediol, E.; Uglešić, V.; Kovačič, Ž.; Vesnaver, A.; Konstantinović, V.S.; Petrović, M.; Stephens, J.; et al. European Maxillofacial Trauma (EURMAT) project: A multicentre and prospective study. J. Cranio-Maxillofac. Surg. 2015, 43, 62–70. [Google Scholar] [CrossRef]
- Kostakis, G.; Stathopoulos, P.; Dais, P.; Gkinis, G.; Igoumenakis, D.; Mezitis, M.; Rallis, G. An epidemiologic analysis of 1,142 maxillofacial fractures and concomitant injuries. Oral. Surg. Oral. Med. Oral. Pathol. Oral. Radiol. 2012, 114, S69–S73. [Google Scholar] [CrossRef]
- Menon, S.; Shivakotee, S.; Sham, M.; Kumar, V.; Archana, S. Midface fracture pattern in a tertiary care hospital—A prospective study. Natl. J. Maxillofac. Surg. 2022, 13, 238–242. [Google Scholar] [CrossRef]
- Chrcanovic, B.R. Factors influencing the incidence of maxillofacial fractures. Oral Maxillofac. Surg. 2012, 16, 3–17. [Google Scholar] [CrossRef] [PubMed]
- Kotecha, S.; Scannell, J.; Monaghan, A.; Williams, R. A four year retrospective study of 1,062 patients presenting with maxillofacial emergencies at a specialist paediatric hospital. Br. J. Oral Maxillofac. Surg. 2008, 46, 293–296. [Google Scholar] [CrossRef] [PubMed]
- Zaleckas, L.; Pečiulienė, V.; Gendvilienė, I.; Pūrienė, A.; Rimkuvienė, J. Prevalence and etiology of midfacial fractures: A study of 799 cases. Medicina 2015, 51, 222–227. [Google Scholar] [CrossRef]
- Juncar, R.; Tent, P.; Lung, T.; Juncar, M. Midfacial fractures: A retrospective etiological study over a 10-year period in Western Romanian population. Niger. J. Clin. Pract. 2018, 21, 1570–1575. [Google Scholar] [CrossRef]
- Lee, C.W.; Foo, Q.C.; Wong, L.V.; Leung, Y.Y. An Overview of Maxillofacial Trauma in Oral and Maxillofacial Tertiary Trauma Centre, Queen Elizabeth Hospital, Kota Kinabalu, Sabah. Craniomaxillofac. Trauma Reconstr. 2017, 10, 16–21. [Google Scholar] [CrossRef] [PubMed]
- Halsey, J.N.; Hoppe, I.C.; Granick, M.S.; Lee, E.S. A Single-Center Review of Radiologically Diagnosed Maxillofacial Fractures: Etiology and Distribution. Craniomaxillofac. Trauma Reconstr. 2017, 10, 44–47. [Google Scholar] [CrossRef]
- Hyman, D.A.; Saha, S.; Nayar, H.S.; Doyle, J.F.; Agarwal, S.K.; Chaiet, S.R. Patterns of Facial Fractures and Protective Device Use in Motor Vehicle Collisions From 2007 to 2012. JAMA Facial Plast. Surg. 2016, 18, 455–461. [Google Scholar] [CrossRef]
- Roccia, F.; Savoini, M.; Ramieri, G.; Zavattero, E. An analysis of 711 victims of interpersonal violence to the face, Turin, Italy. J. Cranio-Maxillofac. Surg. 2016, 44, 1025–1028. [Google Scholar] [CrossRef] [PubMed]
- Sharifi, F.; Samieirad, S.; Grillo, R.; Naclério-Homem, M.D.G.; Bardideh, E.; Manafi, A.; Mohammadi, Z.; Eshghpour, M. The Causes and Prevalence of Maxillofacial Fractures in Iran: A Systematic Review. World J. Plast. Surg. 2023, 12, 3–11. [Google Scholar] [CrossRef] [PubMed]
- Rahman, R.A.; Ramli, R.; Rahman, N.A.; Hussaini, H.M.; Idrus, S.M.A.; Hamid, A.L.A. Maxillofacial trauma of pediatric patients in Malaysia: A retrospective study from 1999 to 2001 in three hospitals. Int. J. Pediatr. Otorhinolaryngol. 2007, 71, 929–936. [Google Scholar] [CrossRef] [PubMed]
- Alcalá-Galiano, A.; Arribas-García, I.J.; Martín-Pérez, M.A.; Romance, A.; Montalvo-Moreno, J.J.; Juncos, J.M.M. Pediatric Facial Fractures: Children Are Not Just Small Adults. Radiographics 2008, 28, 441–461. [Google Scholar] [CrossRef] [PubMed]
- Zix, J.; Schaller, B.; Lieger, O.; Saulacic, N.; Thoren, H.; Iizuka, T. Incidence, aetiology and pattern of mandibular fractures in central Switzerland. Swiss Med. Wkly. 2011, 141, w13207. [Google Scholar] [CrossRef] [PubMed]
- Kamath, R.A.D.; Bharani, S.; Hammannavar, R.; Ingle, S.P.; Shah, A.G. Maxillofacial Trauma in Central Karnataka, India: An Outcome of 95 Cases in a Regional Trauma Care Centre. Craniomaxillofac. Trauma Reconstr. 2012, 5, 197–204. [Google Scholar] [CrossRef]
- Abdullah, W.A.; Al-Mutairi, K.; Al-Ali, Y.; Al-Soghier, A.; Al-Shnwani, A. Patterns and etiology of maxillofacial fractures in Riyadh City, Saudi Arabia. Saudi Dent. J. 2013, 25, 33–38. [Google Scholar] [CrossRef]
- Batista, A.M.; Ferreira, F.d.O.; Marques, L.S.; Ramos-Jorge, M.L.; Ferreira, M.C. Risk factors associated with facial fractures. Braz. Oral Res. 2012, 26, 119–125. [Google Scholar] [CrossRef] [PubMed]
- Blumer, M.; Kumalic, S.; Gander, T.; Lanzer, M.; Rostetter, C.; Rücker, M.; Lübbers, H.T. Retrospective analysis of 471 surgically treated zygomaticomaxillary complex fractures. J. Cranio-Maxillofac. Surg. 2018, 46, 269–273. [Google Scholar] [CrossRef] [PubMed]
- Helgeland, E.; Dahle, I.; Leira, J.; Loro, L. Maxillofacial Fractures Surgically Managed at Aalesund Hospital between 2002 and 2009. Craniomaxillofac. Trauma Reconstr. 2015, 8, 321–325. [Google Scholar] [CrossRef] [PubMed]
- Jeon, E.-G.; Jung, D.-Y.; Lee, J.-S.; Seol, G.-J.; Choi, S.-Y.; Paeng, J.-Y.; Kim, J.-W. Maxillofacial Trauma Trends at a Tertiary Care Hospital: A Retrospective Study. Maxillofac. Plast. Reconstr. Surg. 2014, 36, 253–258. [Google Scholar] [CrossRef][Green Version]
- Arosarena, O.A.; Fritsch, T.A.; Hsueh, Y.; Aynehchi, B.; Haug, R. Maxillofacial injuries and violence against women. Arch. Facial Plast. Surg. 2009, 11, 48–52. [Google Scholar] [CrossRef] [PubMed]
- Juncar, M.; Tent, P.A.; Juncar, R.I.; Harangus, A.; Mircea, R. An epidemiological analysis of maxillofacial fractures: A 10-year cross-sectional cohort retrospective study of 1007 patients. BMC Oral Health 2021, 21, 128. [Google Scholar] [CrossRef]
- Adam, S.; Sama, H.D.; Akpoto, Y.M.; Bissa, H.; Agoda, P.; Foma, W.; Pegbessou, E.P.; Amana, B.; Boko, E.; Kpemissi, E. Orbital Floor Fractures: Epidemiological, Clinical and Therapeutical Study at Sylvanus Olympio University Teaching Hospital in Lomé about 51 Cases. Open J. Stomatol. 2021, 11, 373–386. [Google Scholar] [CrossRef]
- Mijiti, A.; Ling, W.; Tuerdi, M.; Maimaiti, A.; Tuerxun, J.; Tao, Y.Z.; Saimaiti, A.; Moming, A. Epidemiological analysis of maxillofacial fractures treated at a university hospital, Xinjiang, China: A 5-year retrospective study. J. Cranio-Maxillofac. Surg. 2014, 42, 227–233. [Google Scholar] [CrossRef]
- Businger, A.; Krebs, J.; Schaller, B.; Zimmermann, H.; Exadaktylos, A. Cranio-maxillofacial injuries in victims of interpersonal violence. Swiss Med. Wkly. 2012, 142, w13687. [Google Scholar] [CrossRef]
- Braimah, R.; Ali-Alsuliman, D.; Ibrahim, E.-H. Patterns of zygomatic complex bone fracture in Saudi Arabia. J. Emerg. Trauma Shock 2018, 11, 170–174. [Google Scholar] [CrossRef]
- Obimakinde, O.S.; Ogundipe, K.O.; Rabiu, T.B.; Okoje, V.N. Maxillofacial fractures in a budding teaching hospital: A study of pattern of presentation and care. Pan Afr. Med. J. 2017, 26, 621. [Google Scholar] [CrossRef]
- Hoonpongsimanont, W.; Ghanem, G.; Saadat, S.; Nguyen, M.; Louis, C.; Sahota, P.K.; Danishgar, L.; Carroll, C.; Barrios, C.; Lotfipour, S. Correlation between alcohol use disorders, blood alcohol content, and length of stay in trauma patients. J. Emerg. Trauma Shock 2021, 14, 42–47. [Google Scholar] [CrossRef]
- Kambalimath, H.V.; Agarwal, S.M.; Kambalimath, D.H.; Singh, M.; Jain, N.; Michael, P. Maxillofacial Injuries in Children: A 10 year Retrospective Study. J. Maxillofac. Oral Surg. 2013, 12, 140–144. [Google Scholar] [CrossRef] [PubMed]
- Emodi, O.D.; Wolff, A.D.; Srouji, H.D.; Bahouth, H.; Noy, D.D.; Abu El Naaj, I.; Rachmiel, A.D. Trend and Demographic Characteristics of Maxillofacial Fractures in Level I Trauma Center. J. Craniofacial. Surg. 2018, 29, 471–475. [Google Scholar] [CrossRef] [PubMed]
- Al-Qamachi, L.H.; Laverick, S.; Jones, D. A clinico-demographic analysis of maxillofacial trauma in the elderly. Gerodontology 2012, 29, e147–e149. [Google Scholar] [CrossRef]
- Wymann, N.M.E.; Hölzle, A.; Zachariou, Z.; Iizuka, T. Pediatric Craniofacial Trauma. J. Oral Maxillofac. Surg. 2008, 66, 58–64. [Google Scholar] [CrossRef] [PubMed]
- Kar, I.B.; Mahavoi, B.R. Retrospective analysis of 503 maxillo-facial trauma cases in Odisha during the period of Dec’04–Nov’09. J. Maxillofac. Oral Surg. 2012, 11, 177–1781. [Google Scholar] [CrossRef] [PubMed]
- Lozada, K.N.; Cleveland, P.W.; Smith, J.E. Orbital Trauma. Seminars in Plastic Surgery; Thieme Medical Publishers: New York, NY, USA, 2019. [Google Scholar]
- Georgouli, T.; Pountos, I.; Chang, B.Y.P.; Giannoudis, P.V. Prevalence of ocular and orbital injuries in polytrauma patients. Eur. J. Trauma Emerg. Surg. 2011, 37, 135–140. [Google Scholar] [CrossRef] [PubMed]
- Ray, C.N.M.; Marsh, H.D.M.; Gilmore, J.E.; Kirk, D.W.; Larumbe-Zabala, E.; Freedman, K.A. Review of 451 Patients Presenting with Orbital Wall Fractures: A Retrospective Analysis. J. Craniofacial Surg. 2023, 34, 126–130. [Google Scholar] [CrossRef]
- Sadashivam, S. Isolated orbital roof fracture: Can it be catastrophic? Asian J. Neurosurg. 2018, 13, 935–937. [Google Scholar] [CrossRef]
- Suri, A.; Mahapatra, A.K. Growing Fractures of the Orbital Roof A Report of Two Cases and a Review. Pediatr. Neurosurg. 2002, 36, 96–100. [Google Scholar] [CrossRef] [PubMed]
- Haug, R.H.; Van Sickels, J.E.; Jenkins, W.S. Demographics and treatment options for orbital roof fractures. Oral Surg. Oral Med. Oral Pathol. Oral Radiol. Endodontol. 2002, 93, 238–246. [Google Scholar] [CrossRef] [PubMed]
- Johnson, N.R.; Singh, N.R.; Oztel, M.; Vangaveti, V.N.; Rahmel, B.B.; Ramalingam, L. Ophthalmological injuries associated with fractures of the orbitozygomaticomaxillary complex. Br. J. Oral Maxillofac. Surg. 2018, 56, 221–226. [Google Scholar] [CrossRef]
- Cellina, M.; Floridi, C.; Panzeri, M.; Giancarlo, O. The role of computed tomography (CT) in predicting diplopia in orbital blowout fractures (BOFs). Emerg. Radiol. 2018, 25, 13–19. [Google Scholar] [CrossRef] [PubMed]
- Andrews, B.T.; Jackson, A.S.; Nazir, N.; Hromas, A.; Sokol, J.A.; Thurston, T.E. Orbit fractures: Identifying patient factors indicating high risk for ocular and periocular injury. Laryngoscope 2016, 126, S5–S11. [Google Scholar] [CrossRef]
- Zhou, P.; Chambers, C.B. Orbital Fractures. Seminars in Plastic Surgery; Thieme Medical Publishers, Inc.: New York, NY, USA, 2021. [Google Scholar]
- Nazimi, A.J.; Khoo, S.C.; Nabil, S.; Nordin, R.; Lan, T.H.; Rajandram, R.K.; Rajaran, J.R. Intraoperative Computed Tomography Scan for Orbital Fracture Reconstruction. J. Craniofacial Surg. 2019, 30, 2159–2162. [Google Scholar] [CrossRef]
- Noh, H.; Chung, J.K.; Woo, K.I.; Kim, Y.-D. Occurrence of ocular injury and orbital fracture in orbital blunt trauma patients at tertiary care center emergency room. Graefes Arch. Clin. Exp. Ophthalmol. 2021, 259, 165–171. [Google Scholar] [CrossRef]
- Alafaleq, M.; Roul-Yvonnet, F.; Schouman, T.; Goudot, P. A retrospective study of pure medial orbital wall fracture management. J. Français D’ophtalmologie 2019, 42, 592–596. [Google Scholar] [CrossRef]
- Vijayan, K.; Sundaresh, D.; Ramanujam, L.J.C. Ocular trauma in mid face fractures-an interdisciplinary approach. Clin. Exp. Ocul. Trauma Infect. 2021, 3, 2–9. [Google Scholar]
- Malik, A.H.; Shah, A.A.; Ahmad, I.; Shah, B.A. Ocular Injuries in Patients of Zygomatico-Complex (ZMC) Fractures. J. Maxillofac. Oral Surg. 2017, 16, 243–247. [Google Scholar] [CrossRef]
- Yuan, W.-H.; Hsu, H.-C.; Cheng, H.-C.; Guo, W.-Y.; Teng, M.M.-H.; Chen, S.-J.; Lin, T.-C. CT of Globe Rupture: Analysis and Frequency of Findings. Am. J. Roentgenol. 2014, 202, 1100–1107. [Google Scholar] [CrossRef] [PubMed]
- Hoffstetter, P.; Schreyer, A.G.; Schreyer, C.I.; Jung, E.M.; Heiss, P.; Zorger, N.; Framme, C. Multidetector CT (MD-CT) in the diagnosis of uncertain open globe injuries. In RöFo-Fortschritte auf dem Gebiet der Röntgenstrahlen und der Bildgebenden Verfahren; © Georg Thieme Verlag KG Stuttgart: New York, NY, USA, 2009. [Google Scholar]
- Betts, A.M.; O’brien, W.T.; Davies, B.W.; Youssef, O.H. A systematic approach to CT evaluation of orbital trauma. Emerg. Radiol. 2014, 21, 511–531. [Google Scholar] [CrossRef] [PubMed]
- Lee, H.-J.; Jilani, M.; Frohman, L.; Baker, S. CT of orbital trauma. Emerg. Radiol. 2004, 10, 168–1672. [Google Scholar] [CrossRef] [PubMed]
- Harrison, P.; Hafeji, S.; Green, A.O.; Chellappah, A.D.; Fan, K. Isolated paediatric orbital fractures: A case series and review of management at a major trauma centre in the UK. Oral Maxillofac. Surg. 2023, 27, 227–233. [Google Scholar] [CrossRef]
- Toyohara, Y.; Mito, N.; Nakagawa, S.; Yoshimura, K.; Sunaga, A. Asystole Due to Oculocardiac Reflex during Surgical Repair of an Orbital Blowout Fracture. Plast. Reconstr. Surg. Glob. Open 2022, 10, e4544. [Google Scholar] [CrossRef]
- Al-Qattan, M.M.; Al-Qattan, Y.M. “Trap door” orbital floor fractures in adults: Are they different from pediatric fractures? Plast. Reconstr. Surg. Glob. Open 2021, 9, e3537. [Google Scholar] [CrossRef]
- Goelz, L.; Syperek, A.; Heske, S.; Mutze, S.; Hosten, N.; Kirsch, M. Retrospective Cohort Study of Frequency and Patterns of Orbital Injuries on Whole-Body CT with Maxillofacial Multi-Slice CT. Tomography 2021, 7, 373–386. [Google Scholar] [CrossRef] [PubMed]




| Patient Age | |||
|---|---|---|---|
| Mean ± SD | Min–Max | p | |
| Orbital fracture—Yes | 38.98 ± 19.13 | 11–87 | <0.001 |
| Orbital fracture—None | 29.2 ± 19.36 | 0.33–97 | |
| Medial wall fracture—Yes | 39.96 ± 16.2 | 12–76 | 0.011 |
| Medial wall fracture—None | 29.48 ± 19.47 | 0.33–97 | |
| Lateral wall fracture—Yes | 54 ± 17.18 | 34–76 | 0.001 |
| Lateral wall fracture—None | 29.56 ± 19.36 | 0.33–97 | |
| Superior wall fracture—Yes | 39.09 ± 19.86 | 12–76 | 0.109 |
| Superior wall fracture—None | 29.64 ± 19.44 | 0.33–97 | |
| Inferior wall fracture—Yes | 36.29 ± 21.23 | 12–87 | 0.071 |
| Inferior wall fracture—None | 29.54 ± 19.37 | 0.33–97 | |
| Location of Orbital Wall Fractures | |||
|---|---|---|---|
| Yes (n = 47) | None (n = 840) | Total (n = 887) | |
| n (%) | n (%) | n (%) | |
| Medial wall fracture—Yes | 23/47 (48.9) | 0 (0) | 23/887 (2.6) |
| Medial wall fracture—None | 24/47 (51.1) | 840/840 (100) | 864/887 (97.4) |
| Lateral wall fracture—Yes | 8/47 (17) | 0 (0) | 8/887 (0.9) |
| Lateral wall fracture—None | 39/47 (83) | 840/840 (100) | 879/887 (99.1) |
| Superior wall fracture—Yes | 11/47 (23.4) | 0 (0) | 11/887 (1.2) |
| Superior wall fracture—None | 36/47 (76.6) | 840/840 (100) | 876/887 (98.8) |
| Inferior wall fracture—Yes | 26/47 (55.3) | 3/840 (0.4) | 29/887 (3.3) |
| Inferior wall fracture—None | 21 /47 (44.7) | 837/840 (99.6) | 858/887 (96.7) |
| Orbital Involvement | ||||
|---|---|---|---|---|
| Yes (n = 47) | None (n = 840) | Total (n = 887) | ||
| n (%) | n (%) | n (%) | p | |
| Nasal bone fracture—Yes | 12/47 (25.5) | 121/840(14.4) | 133/887 (15) | <0.001 |
| Nazal bone fracture—None | 35/47 (74.5) | 719/840 (85.6) | 754/887 (85) | |
| Soft tissue involvement—Yes | 26/47 (55.3) | 26/840 (3.1) | 52/887 (5.9) | <0.001 |
| Soft tissue involvement—None | 21/47 (44.7) | 814/840 (96.9) | 835/887 (94.1) | |
| Ethmoid bone fracture—Yes | 1/47 (2.1) | 0/840 (0) | 1/887 (0.1) | <0.001 |
| Ethmoid bone fracture—None | 46/47 (97.9) | 840 /840 (100) | 886/887 (99.9) | |
| Sphenoid bone fracture—Yes | 2/47 (4.3) | 0/840 (0) | 2/887 (0.2) | 0.003 |
| Sphenoid bone fracture—None | 45/47 (95.7) | 840/840 (100) | 885/887 (99.8) | |
| Frontal bone fracture—Yes | 9/47 (19.1) | 3/840 (0.4) | 12/887 (1.4) | <0.001 |
| Frontal bone fracture—None | 38/47 (80.9) | 837/840 (99.6) | 875/887 (98.6) | |
| Maxillary bone fracture—Yes | 18/47 (38.3) | 5/840 (0.6) | 23/887 (2.6) | <0.001 |
| Maxillary bone fracture—None | 29/47 (61.7) | 835/840 (99.4) | 864/887 (97.4) | |
| Mandibula bone fracture—Yes | 2/47 (4.3) | 5/840 (0.6) | 7/887 (0.8) | 0.059 |
| Mandibula bone fracture—None | 45/47 (95.7) | 835/840 (99.4) | 880/887 (99.2) | |
| Zygomatic bone fracture—Yes | 5/47 (10.6) | 2/840 (0.2) | 7/887 (0.8) | <0.001 |
| Zygomatic bone fracture—None | 42/47 (89.4) | 838/840 (99.8) | 880/887 (99.2) | |
| Temporal bone fracture—Yes | 1/47 (2.1) | 0/840 (0) | 1/887 (0.1) | 0.053 |
| Temporal bone fracture—None | 46/47 (97.9) | 840/840 (100) | 886/887 (99.9) | |
| Ophthalmic Complication | Number (n) | Percentage (%) |
|---|---|---|
| MILD | ||
| Periorbital edema | 18 | 38.29 |
| Eyelid laceration | 6 | 7.83 |
| Periorbital ecchymosis | 23 | 48.93 |
| Subconjunctival hemorrhage | 14 | 29.78 |
| MODERATE | ||
| Enophthalmos | 2 | 4.25 |
| Restriction of eye muscles | 2 | 4.25 |
| Diplopia | 2 | 4.25 |
| Telecanthus | 1 | 2.12 |
| Dystopia | 1 | 2.12 |
| Dilated pupil | 1 | 2.12 |
| SEVERE | ||
| Corneal abrasion | 1 | 2.12 |
| Traumatic optical neuropathy | 1 | 2.12 |
| Reason for MFCT Shooting | Orbital Involvement | MFT | |
|---|---|---|---|
| Yes (n: 47) | None (n: 840) | Total (n: 887) | |
| n (%) | n (%) | (%) | |
| Interpersonal violence/beaten | 21/47 (44.6) | 376/840 (44.7) | (44.7) |
| Traffic accident | 17/47 (36.1) | 210/840 (25) | (25.5) |
| Fall | 9/47 (19.1) | 197/840 (23.4) | (23.2) |
| Work accident | 0 (0) | 32/840 (3.8) | (3.6) |
| Hitting | 0 (0) | 25/840 (2.9) | (2.8) |
Disclaimer/Publisher’s Note: The statements, opinions and data contained in all publications are solely those of the individual author(s) and contributor(s) and not of MDPI and/or the editor(s). MDPI and/or the editor(s) disclaim responsibility for any injury to people or property resulting from any ideas, methods, instructions or products referred to in the content. |
© 2023 by the authors. Licensee MDPI, Basel, Switzerland. This article is an open access article distributed under the terms and conditions of the Creative Commons Attribution (CC BY) license (https://creativecommons.org/licenses/by/4.0/).
Share and Cite
Gokharman, F.D.; Kadirhan, O.; Celik Aydin, O.; Yalcin, A.G.; Kosar, P.; Aydin, S. A Comprehensive Look at Maxillofacial Traumas: On the Basis of Orbital Involvement. Diagnostics 2023, 13, 3429. https://doi.org/10.3390/diagnostics13223429
Gokharman FD, Kadirhan O, Celik Aydin O, Yalcin AG, Kosar P, Aydin S. A Comprehensive Look at Maxillofacial Traumas: On the Basis of Orbital Involvement. Diagnostics. 2023; 13(22):3429. https://doi.org/10.3390/diagnostics13223429
Chicago/Turabian StyleGokharman, Fatma Dilek, Ozlem Kadirhan, Ozlem Celik Aydin, Arzu Gulsah Yalcin, Pınar Kosar, and Sonay Aydin. 2023. "A Comprehensive Look at Maxillofacial Traumas: On the Basis of Orbital Involvement" Diagnostics 13, no. 22: 3429. https://doi.org/10.3390/diagnostics13223429
APA StyleGokharman, F. D., Kadirhan, O., Celik Aydin, O., Yalcin, A. G., Kosar, P., & Aydin, S. (2023). A Comprehensive Look at Maxillofacial Traumas: On the Basis of Orbital Involvement. Diagnostics, 13(22), 3429. https://doi.org/10.3390/diagnostics13223429

