Inferior Vena Cava (IVC) Resections without Reconstruction in Renal Tumors: Two Case Reports
Abstract
1. Background
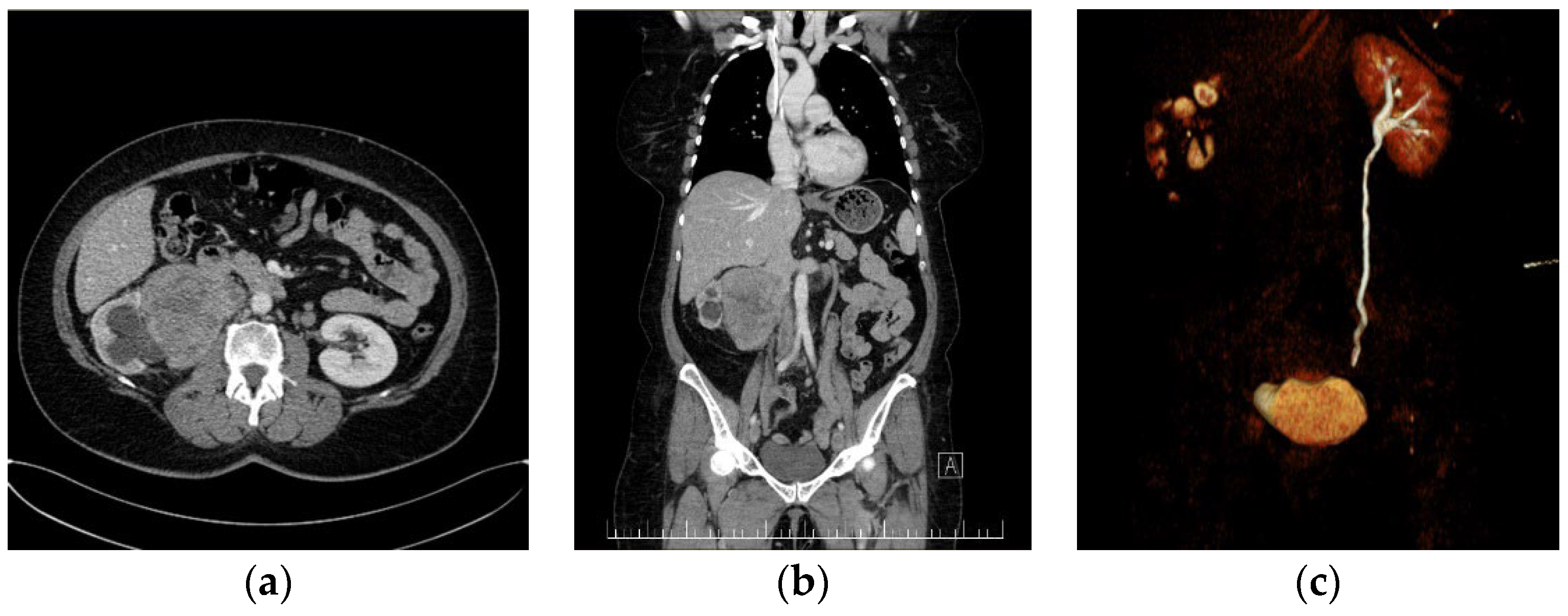
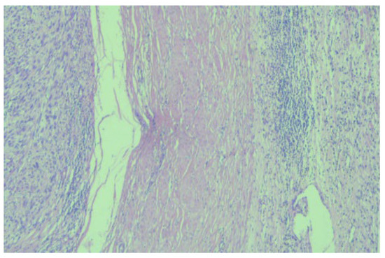
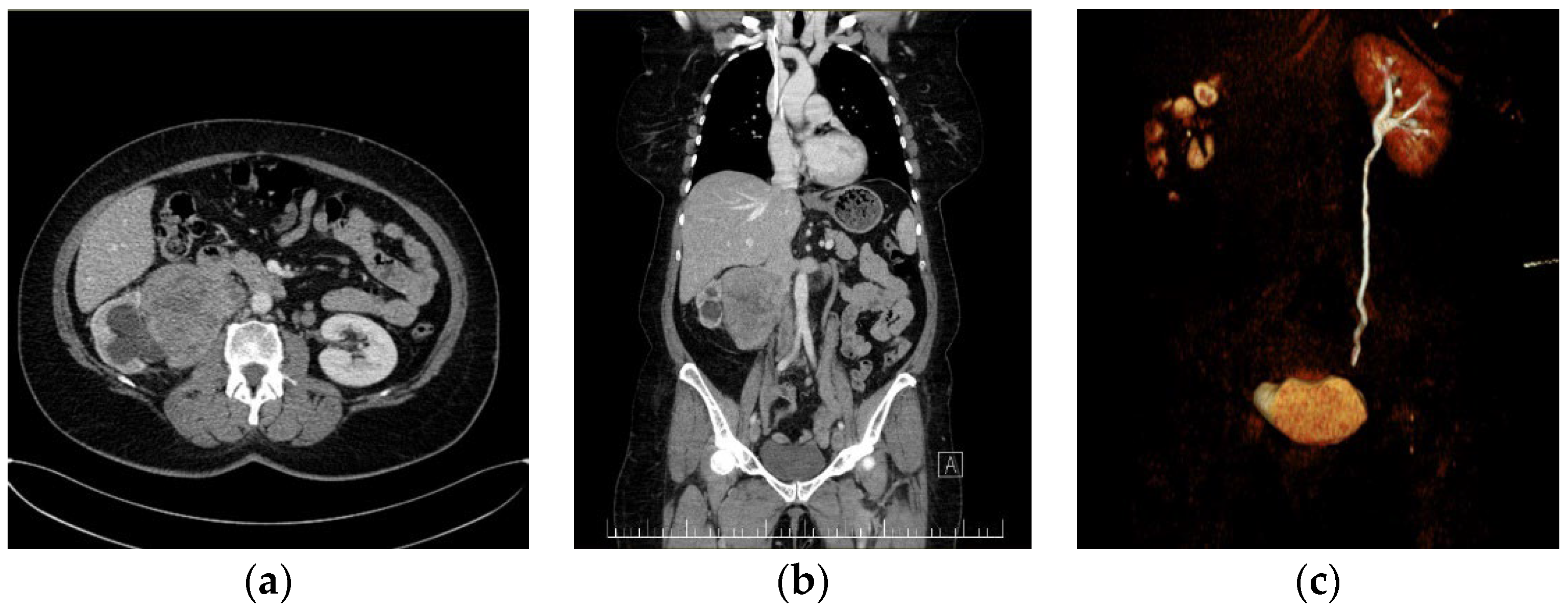
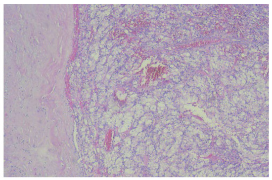
2. Case Report
3. Discussion
4. Conclusions
Author Contributions
Funding
Institutional Review Board Statement
Informed Consent Statement
Data Availability Statement
Conflicts of Interest
References
- Neill, U.S. A conversation with Thomas Starzl. Interview by Ushma S. Neill. J. Clin. Investig. 2012, 122, 4304–4305. [Google Scholar] [CrossRef] [PubMed]
- Morris, P.J. Transplantation—A Medical Miracle of the 20th Century. N. Engl. J. Med. 2004, 351, 2678–2680. [Google Scholar] [CrossRef] [PubMed]
- Branco, A.W. Urologic surgery laparoscopic access: Vascular complications. Int. Braz. J. Urol. 2017, 43, 166. [Google Scholar] [CrossRef] [PubMed]
- Vicente, E.; Quijano, Y.; Ielpo, B.; Duran, H.; Diaz, E.; Fabra, I.; Malavé, L.; Ferri, V.; Ferronetti, A.; Caruso, R. Surgical Resection of Malignancies Invading Inferior Vena Cava Level I and II. Issues Still Need to Be Discussed. Anticancer Res. 2017, 37, 2523–2528. [Google Scholar] [CrossRef] [PubMed]
- Duty, B.; Daneshmand, S. Resection of the Inferior Vena Cava without Reconstruction for Urologic Malignancies. Urology 2009, 74, 1257–1262. [Google Scholar] [CrossRef] [PubMed]
- Noël, J.P.; Tang, S.Y.W.; Muhammad, N.A.L.; Nicol, D.; Kockelbergh, R.C. A cut above? Inferior vena cava resection without reconstruction: A dual-centre experience. J. Clin. Urol. 2021, 14, 262–267. [Google Scholar] [CrossRef]
- Cocchi, L.; Di Domenico, S.; Bertoglio, S.; Treppiedi, E.; Ficarra, G.; De Cian, F. Inferior vena cava resection without reconstruction for retroperitoneal malignancies. J. Surg. Case Rep. 2019, 2019, rjz275. [Google Scholar] [CrossRef] [PubMed]
- Ceccanti, S.; Büyükünal, C.; Emre, Ş.; Masselli, G.; Schiavetti, A.; Cozzi, D.A. Resection of Inferior Vena Cava without Reconstruction for Intravascular Intrusion of Wilms Tumor. Urology 2021, 149, e29–e33. [Google Scholar] [CrossRef] [PubMed]
- Shamberger, R.C.; Ritchey, M.L.; Haase, G.M.; Bergemann, T.; Loechelt-Yoshioka, T.; Breslow, N.E.; Green, D.M. Intravascular Extension of Wilms Tumor. Ann. Surg. 2001, 234, 116–121. [Google Scholar] [CrossRef] [PubMed]
- Akyüz, C.; Emir, S.; Büyükpamukçu, N.; Atahan, L.; Çağlar, M.; Kutluk, T.; Büyükpamukçu, M. Cavoatrial Tumor Extension in Children with Wilms Tumor: A retrospective review of 17 children in a single center. J. Pediatr. Hematol. 2005, 27, 267–269. [Google Scholar] [CrossRef] [PubMed]
- Ciancio, G.; Manoharan, M.; Katkoori, D.; Santos, R.D.L.; Soloway, M.S. Long-term Survival in Patients Undergoing Radical Nephrectomy and Inferior Vena Cava Thrombectomy: Single-Center Experience. Eur. Urol. 2010, 57, 667–672. [Google Scholar] [CrossRef] [PubMed]
- Wotkowicz, C.; Wszolek, M.F.; Libertino, J.A. Resection of Renal Tumors Invading the Vena Cava. Urol. Clin. N. Am. 2008, 35, 657–671. [Google Scholar] [CrossRef] [PubMed]
- Horodyski, L.; Gonzalez, J.; Tabbara, M.M.; Gaynor, J.J.; Rodriguez-Cabero, M.; Herranz-Amo, F.; Hernández, C.; Shah, R.; Ciancio, G. En Bloc Resection of Right Renal Cell Carcinoma and Inferior Vena Cava Tumor Thrombus without Caval Reconstruction: Is It Safe to Divide the Left Renal Vein? Front. Oncol. 2022, 12, 877310. [Google Scholar] [CrossRef] [PubMed]
- Quinones-Baldrich, W.; Alktaifi, A.; Eilber, F.; Eilber, F. Inferior vena cava resection and reconstruction for retroperitoneal tumor excision. J. Vasc. Surg. 2012, 55, 1386–1393, discussion 1393. [Google Scholar] [CrossRef] [PubMed]
- Kuehnl, A.; Schmidt, M.; Hornung, H.-M.; Graser, A.; Jauch, K.-W.; Kopp, R. Resection of malignant tumors invading the vena cava: Perioperative complications and long-term follow-up. J. Vasc. Surg. 2007, 46, 533–540. [Google Scholar] [CrossRef] [PubMed]
- Bower, T.C.; Nagorney, D.M.; Cherry, K.J.; Toomey, B.J.; Hallett, J.W.; Panneton, J.M.; Gloviczki, P. Replacement of the inferior vena cava for malignancy: An update. J. Vasc. Surg. 2000, 31, 270–281. [Google Scholar] [CrossRef] [PubMed]
- La Via, L.; Astuto, M.; Dezio, V.; Muscarà, L.; Palella, S.; Zawadka, M.; Vignon, P.; Sanfilippo, F. Agreement between subcostal and transhepatic longitudinal imaging of the inferior vena cava for the evaluation of fluid responsiveness: A systematic review. J. Crit. Care 2022, 71, 154108. [Google Scholar] [CrossRef] [PubMed]
- Li, Q.-Y.; Li, N.; Huang, Q.-B.; Luo, Y.-K.; Wang, B.-J.; Guo, A.-T.; Ma, X.; Zhang, X.; Tang, J. Contrast-enhanced ultrasound in detecting wall invasion and differentiating bland from tumor thrombus during robot-assisted inferior vena cava thrombectomy for renal cell carcinoma. Cancer Imaging 2019, 19, 79. [Google Scholar] [CrossRef] [PubMed]







Disclaimer/Publisher’s Note: The statements, opinions and data contained in all publications are solely those of the individual author(s) and contributor(s) and not of MDPI and/or the editor(s). MDPI and/or the editor(s) disclaim responsibility for any injury to people or property resulting from any ideas, methods, instructions or products referred to in the content. |
© 2023 by the authors. Licensee MDPI, Basel, Switzerland. This article is an open access article distributed under the terms and conditions of the Creative Commons Attribution (CC BY) license (https://creativecommons.org/licenses/by/4.0/).
Share and Cite
Moldovan, B.; Costache, V.S.; Modrigan, I.; Farcas, F.; Banu, E.; Untaru, V.; Stoica, D.; Crisan, M.; Popianas, A.; Pisica, R.-M.; et al. Inferior Vena Cava (IVC) Resections without Reconstruction in Renal Tumors: Two Case Reports. Diagnostics 2023, 13, 1759. https://doi.org/10.3390/diagnostics13101759
Moldovan B, Costache VS, Modrigan I, Farcas F, Banu E, Untaru V, Stoica D, Crisan M, Popianas A, Pisica R-M, et al. Inferior Vena Cava (IVC) Resections without Reconstruction in Renal Tumors: Two Case Reports. Diagnostics. 2023; 13(10):1759. https://doi.org/10.3390/diagnostics13101759
Chicago/Turabian StyleMoldovan, Bogdan, Victor S. Costache, Irina Modrigan, Felix Farcas, Eugeniu Banu, Vlad Untaru, Doly Stoica, Madalina Crisan, Andreea Popianas, Radu-Mihai Pisica, and et al. 2023. "Inferior Vena Cava (IVC) Resections without Reconstruction in Renal Tumors: Two Case Reports" Diagnostics 13, no. 10: 1759. https://doi.org/10.3390/diagnostics13101759
APA StyleMoldovan, B., Costache, V. S., Modrigan, I., Farcas, F., Banu, E., Untaru, V., Stoica, D., Crisan, M., Popianas, A., Pisica, R.-M., Tohatan, C.-C., Adam, I.-I., & Vecerzan, L. (2023). Inferior Vena Cava (IVC) Resections without Reconstruction in Renal Tumors: Two Case Reports. Diagnostics, 13(10), 1759. https://doi.org/10.3390/diagnostics13101759

