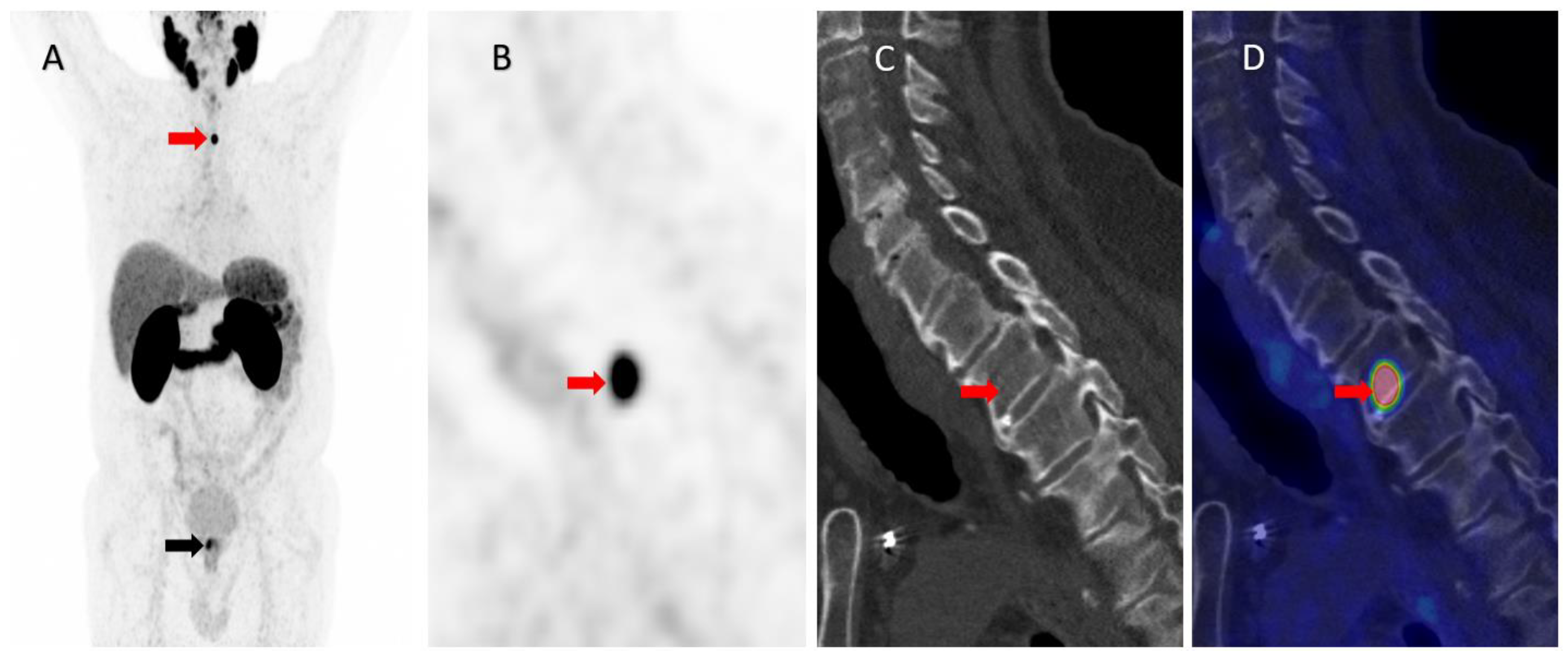
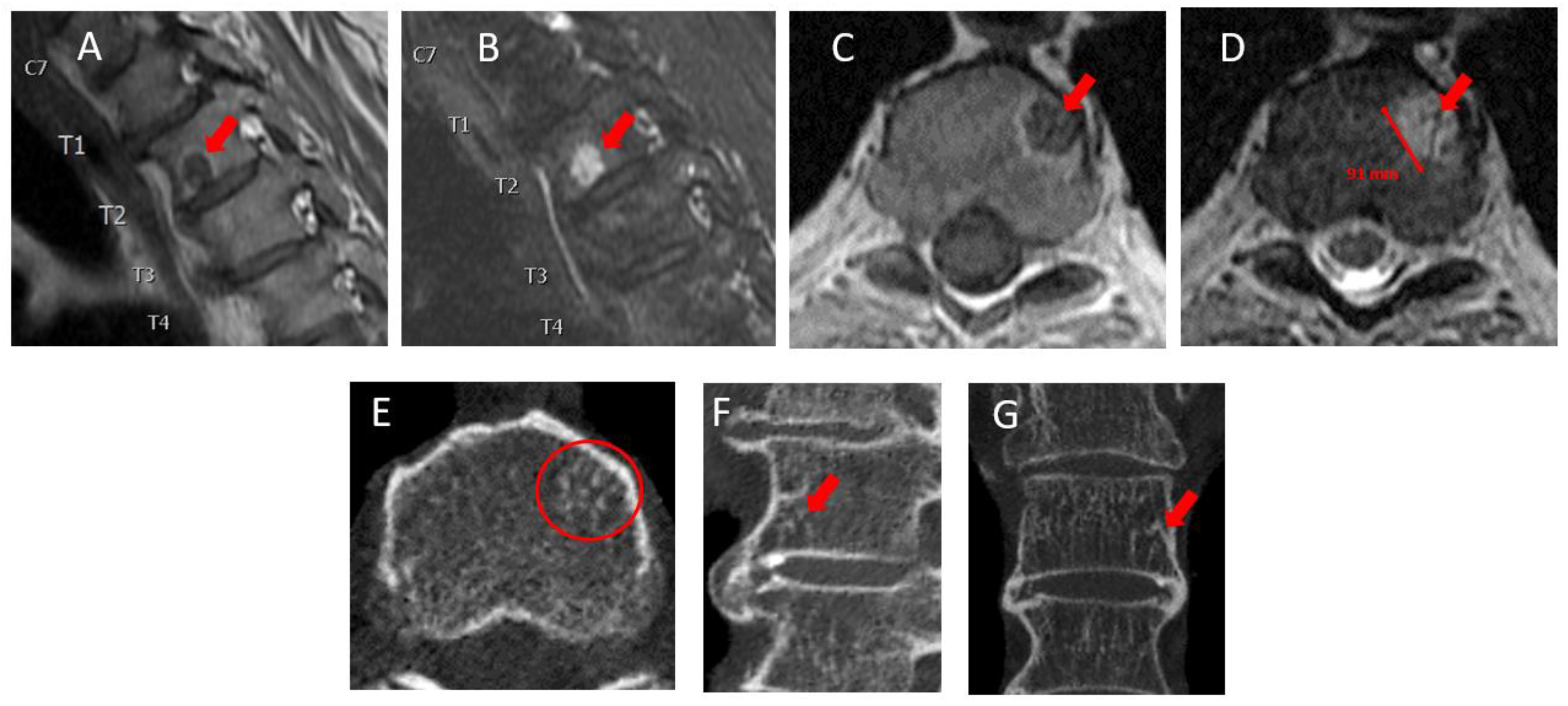
Intense PSMA Uptake in a Vertebral Hemangioma Mimicking a Solitary Bone Metastasis in the Primary Staging of Prostate Cancer via 68Ga-PSMA PET/CT
Abstract


Author Contributions
Funding
Institutional Review Board Statement
Informed Consent Statement
Data Availability Statement
Conflicts of Interest
References
- Zacho, H.D.; Ravn, S.; Afshar-Oromieh, A.; Fledelius, J.; Ejlersen, J.A.; Petersen, L.J. Added value of (68)Ga-PSMA PET/CT for the detection of bone metastases in patients with newly diagnosed prostate cancer and a previous (99m)Tc bone scintigraphy. EJNMMI Res. 2020, 10, 31. [Google Scholar] [CrossRef] [PubMed]
- Hofman, M.S.; Lawrentschuk, N.; Francis, R.J.; Tang, C.; Vela, I.; Thomas, P.; Rutherford, N.; Martin, J.M.; Frydenberg, M.; Shakher, R.; et al. Prostate-specific membrane antigen PET-CT in patients with high-risk prostate cancer before curative-intent surgery or radiotherapy (proPSMA): A prospective, randomised, multicentre study. Lancet 2020, 395, 1208–1216. [Google Scholar] [CrossRef] [PubMed]
- Siva, S.; Udovicich, C.; Tran, B.; Zargar, H.; Murphy, D.G.; Hofman, M.S. Expanding the role of small-molecule PSMA ligands beyond PET staging of prostate cancer. Nat. Rev. Urol. 2020, 17, 107–118. [Google Scholar] [CrossRef]
- Gaudino, S.; Martucci, M.; Colantonio, R.; Lozupone, E.; Visconti, E.; Leone, A.; Colosimo, C. A systematic approach to vertebral hemangioma. Skelet. Radiol. 2015, 44, 25–36. [Google Scholar] [CrossRef] [PubMed]
- Morales, K.A.; Arevalo-Perez, J.; Peck, K.K.; Holodny, A.I.; Lis, E.; Karimi, S. Differentiating Atypical Hemangiomas and Metastatic Vertebral Lesions: The Role of T1-Weighted Dynamic Contrast-Enhanced MRI. AJNR Am. J. Neuroradiol. 2018, 39, 968–973. [Google Scholar] [CrossRef] [PubMed]
- Persaud, T. The polka-dot sign. Radiology 2008, 246, 980–981. [Google Scholar] [CrossRef] [PubMed]
- Epstein, J.I.; Egevad, L.; Amin, M.B.; Delahunt, B.; Srigley, J.R.; Humphrey, P.A.; Grading, C. The 2014 International Society of Urological Pathology (ISUP) Consensus Conference on Gleason Grading of Prostatic Carcinoma: Definition of Grading Patterns and Proposal for a New Grading System. Am. J. Surg. Pathol. 2016, 40, 244–252. [Google Scholar] [CrossRef] [PubMed]
- Artigas, C.; Otte, F.X.; Lemort, M.; van Velthoven, R.; Flamen, P. Vertebral Hemangioma Mimicking Bone Metastasis in 68Ga-PSMA Ligand PET/CT. Clin. Nucl. Med. 2017, 42, 368–370. [Google Scholar] [CrossRef] [PubMed]
- Probst, S.; Bladou, F.; Abikhzer, G. Extraosseous Extension of Aggressive Vertebral Hemangioma as a Potential Pitfall on 68Ga-PSMA PET/CT. Clin. Nucl. Med. 2017, 42, 624–625. [Google Scholar] [CrossRef]
- De Galiza Barbosa, F.; Queiroz, M.A.; Nunes, R.F.; Costa, L.B.; Zaniboni, E.C.; Marin, J.F.G.; Cerri, G.G.; Buchpiguel, C.A. Nonprostatic diseases on PSMA PET imaging: A spectrum of benign and malignant findings. Cancer Imaging 2020, 20, 23. [Google Scholar] [CrossRef]
- Moreau, A.; Marie, E.; Bonneville-Levard, A.; Basle, A.; Kryza, D. Skull vault hemangioma mimicking neoplastic lesion on [(68)Ga]Ga-PSMA-11 PET/CT in a patient with glioblastoma: A case report. Radiol. Case Rep. 2020, 15, 2598–2601. [Google Scholar] [CrossRef]
- Schaeffer, E.M.; Srinivas, S.; Adra, N.; An, Y.; Barocas, D.; Bitting, R.; Bryce, A.; Chapin, B.; Cheng, H.H.; D’Amico, A.V.; et al. NCCN Guidelines(R) Insights: Prostate Cancer, Version 1.2023. J. Nat. Compr. Cancer Netw. 2022, 20, 1288–1298. [Google Scholar] [CrossRef]
Disclaimer/Publisher’s Note: The statements, opinions and data contained in all publications are solely those of the individual author(s) and contributor(s) and not of MDPI and/or the editor(s). MDPI and/or the editor(s) disclaim responsibility for any injury to people or property resulting from any ideas, methods, instructions or products referred to in the content. |
© 2023 by the authors. Licensee MDPI, Basel, Switzerland. This article is an open access article distributed under the terms and conditions of the Creative Commons Attribution (CC BY) license (https://creativecommons.org/licenses/by/4.0/).
Share and Cite
Gossili, F.; Lyngby, C.G.; Løgager, V.; Zacho, H.D. Intense PSMA Uptake in a Vertebral Hemangioma Mimicking a Solitary Bone Metastasis in the Primary Staging of Prostate Cancer via 68Ga-PSMA PET/CT. Diagnostics 2023, 13, 1730. https://doi.org/10.3390/diagnostics13101730
Gossili F, Lyngby CG, Løgager V, Zacho HD. Intense PSMA Uptake in a Vertebral Hemangioma Mimicking a Solitary Bone Metastasis in the Primary Staging of Prostate Cancer via 68Ga-PSMA PET/CT. Diagnostics. 2023; 13(10):1730. https://doi.org/10.3390/diagnostics13101730
Chicago/Turabian StyleGossili, Farid, Clarissa G. Lyngby, Vibeke Løgager, and Helle D. Zacho. 2023. "Intense PSMA Uptake in a Vertebral Hemangioma Mimicking a Solitary Bone Metastasis in the Primary Staging of Prostate Cancer via 68Ga-PSMA PET/CT" Diagnostics 13, no. 10: 1730. https://doi.org/10.3390/diagnostics13101730
APA StyleGossili, F., Lyngby, C. G., Løgager, V., & Zacho, H. D. (2023). Intense PSMA Uptake in a Vertebral Hemangioma Mimicking a Solitary Bone Metastasis in the Primary Staging of Prostate Cancer via 68Ga-PSMA PET/CT. Diagnostics, 13(10), 1730. https://doi.org/10.3390/diagnostics13101730

