Ultrasound for the Detection of Inflammatory Abdominal Aortic Aneurysms: A Case and Validation Series
Abstract
1. Introduction
2. Materials and Methods
2.1. Patient Selection and Data Collection
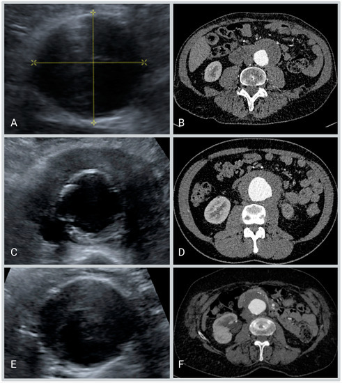
- The maximum anteroposterior diameter of the aorta including the hypo-echogenic layer outside the calcified layer.
- The anteroposterior diameter of the aorta excluding the hypo-echogenic layer (up to the calcified layer)
- The thickness of the hypo-echogenic layer at the anterior site of the aneurysm.
2.2. Statistical Analysis
3. Results
3.1. iAAA Group: Case Series (Study 1)
3.2. AAA Group: A Feasibility Study (Study 2)
4. Discussion
5. Conclusions
Supplementary Materials
Author Contributions
Funding
Institutional Review Board Statement
Informed Consent Statement
Data Availability Statement
Conflicts of Interest
References
- Sakalihasan, N.; Limet, R.; Defawe, O.D. Abdominal aortic aneurysm. Lancet 2005, 365, 1577–1589. [Google Scholar] [CrossRef] [PubMed]
- Tang, T.; Boyle, J.R.; Dixon, A.K.; Varty, K. Inflammatory abdominal aortic aneurysms. Eur. J. Vasc. Endovasc. Surg. 2005, 29, 353–362. [Google Scholar] [CrossRef] [PubMed]
- Vaglio, A.; Greco, P.; Corradi, D.; Palmisano, A.; Martorana, D.; Ronda, N.; Buzio, C. Autoimmune aspects of chronic periaortitis. Autoimmun. Rev. 2006, 5, 458–464. [Google Scholar] [CrossRef] [PubMed]
- Breems, D.A.; Haye, H.; van der Meulen, J. The role of advanced atherosclerosis in idiopathic retroperitoneal fibrosis. Analysis of nine cases. Neth. J. Med. 2000, 56, 38–44. [Google Scholar] [CrossRef] [PubMed]
- Kasashima, S.; Zen, Y.; Kawashima, A.; Endo, M.; Matsumoto, Y.; Kasashima, F. A new clinicopathological entity of IgG4-related inflammatory abdominal aortic aneurysm. J. Vasc. Surg. 2009, 49, 1264–1271. [Google Scholar] [CrossRef] [PubMed]
- Xu, J.; Bettendorf, B.; D’Oria, M.; Sharafuddin, M.J. Multidisciplinary diagnosis and management of inflammatory aortic aneurysms. J. Vasc. Surg. 2023, in press. [Google Scholar] [CrossRef] [PubMed]
- Hellmann, D.B.; Grand, D.J.; Freischlag, J.A. Inflammatory abdominal aortic aneurysm. JAMA 2007, 297, 395–400. [Google Scholar] [CrossRef]
- Nitecki, S.S.; Hallett, J.W., Jr.; Stanson, A.W.; Ilstrup, D.M.; Bower, T.C.; Cherry, K.J., Jr.; Gloviczki, P.; Pairolero, P.C. Inflammatory abdominal aortic aneurysms: A case-control study. J. Vasc. Surg. 1996, 23, 860–868; discussion 868–869. [Google Scholar] [CrossRef]
- Rasmussen, T.E.; Hallett, J.W. Inflammatory aortic aneurysms. A clinical review with new perspectives in pathogenesis. Ann. Surg. 1997, 225, 155–164. [Google Scholar] [CrossRef] [PubMed]
- Wanhainen, A.; Verzini, F.; Van Herzeele, I.; Allaire, E.; Bown, M.; Cohnert, T.; Dick, F.; van Herwaarden, J.; Karkos, C.; Koelemay, M.; et al. Editor’s Choice—European Society for Vascular Surgery (ESVS) 2019 Clinical Practice Guidelines on the Management of Abdominal Aorto-iliac Artery Aneurysms. Eur. J. Vasc. Endovasc. Surg. 2019, 57, 8–93. [Google Scholar] [CrossRef] [PubMed]
- Hao, M.; Liu, M.; Fan, G.; Yang, X.; Li, J. Diagnostic value of serum IgG4 for IgG4-related disease. Medicine 2016, 95, e3785. [Google Scholar] [CrossRef] [PubMed]
- Sundholm, J.K.M.; Paetau, A.; Albäck, A.; Pettersson, T.; Sarkola, T. Non-Invasive Vascular Very-High Resolution Ultrasound to Quantify Artery Intima Layer Thickness: Validation of the Four-Line Pattern. Ultrasound Med. Biol. 2019, 45, 2010–2018. [Google Scholar] [CrossRef] [PubMed]
- Sundholm, J.K.M.; Pettersson, T.; Paetau, A.; Albäck, A.; Sarkola, T. Diagnostic performance and utility of very high-resolution ultrasonography in diagnosing giant cell arteritis of the temporal artery. Rheumatol. Adv. Pract. 2019, 3, rkz018. [Google Scholar] [CrossRef] [PubMed]
- van der Geest, K.S.; Wolfe, K.; Borg, F.; Sebastian, A.; Kayani, A.; Tomelleri, A.; Gondo, P.; Schmidt, W.A.; Luqmani, R.; Dasgupta, B. Ultrasonographic Halo Score in giant cell arteritis: Association with intimal hyperplasia and ischaemic sight loss. Rheumatology 2012, 60, 4361–4366. [Google Scholar] [CrossRef] [PubMed]
- van der Geest, K.S.; Borg, F.; Kayani, A.; Paap, D.; Gondo, P.; Schmidt, W.; Luqmani, R.A.; Dasgupta, B. Novel ultrasonographic Halo Score for giant cell arteritis: Assessment of diagnostic accuracy and association with ocular ischaemia. Ann. Rheum. Dis. 2019, 79, 393–399. [Google Scholar] [CrossRef] [PubMed]
- Sterpetti, A.V.; Hunter, W.J.; Feldhaus, R.J.; Chasan, P.; McNamara, M.; Cisternino, S.; Schultz, R.D. Inflammatory aneurysms of the abdominal aorta: Incidence, pathologic, and etiologic considerations. J. Vasc. Surg. 1989, 9, 643–649; discussion 649–650. [Google Scholar] [CrossRef] [PubMed]



| Patients (n = 13) | |
|---|---|
| Median age, y (IQR) | 64 (61; 72) |
| Sex, male, n (%) | 13 (100%) |
| CRP; median (IQR), mg/L | 35 (13; 66) |
| ESR; median (IQR), mm/h | 39 (14; 114) |
| Current Smoking, n (%) | 8 (62%) |
| Body Mass Index, median (IQR), kg/m2 | 26 (24; 29) |
| Hypertension, n (%) | 10 (77%) |
| Hyperlipidemia, n (%) | 9 (69%) |
| Type I or II DM, n (%) | 0 (0%) |
| Cardiac disease, n (%) | 4 (31%) |
| Pulmonary disease, n (%) | 1 (8%) |
| Hydronephrosis, n (%) | 2 (15%) |
| Definite IgG4-RD, n (%) | 4 (31%) |
| Probable IgG4-RD, n (%) | 1 (8%) |
| Other auto-immune disorder, n (%) | 1 (8%) |
| Patients (n = 8) | |
|---|---|
| Median age, y (IQR) | 65 (63; 79) |
| Sex, male, n (%) | 8 (100%) |
| CRP; median (IQR), mg/L (n = 7) | 24 (9; 49) |
| ESR; median (IQR), mm/h (n = 4) | 42.5 (11; 117) |
| Smoking, n (%) (n = 6) | 5 (83.3%) |
| Current smoking, n (%) | 1 (16.7%) |
| Past smoking, n (%) | 4 (66.7%) |
| Body Mass Index, median (IQR), kg/m2 (n = 7) | 25.6 (24.6; 29.5) |
| Hypertension, n (%) (n = 7) | 4 (57.1%) |
| Type I or II DM, n (%) | 1 (12.5%) |
| Cardiac disease, n (%) (n = 7) | 1 (14.3%) |
| Pulmonary disease, n (%) | 2 (25%) |
| Hydronephrosis, n (%) | 4 (50%) |
| Unilateral, n (%) | 2 (25%) |
| Bilateral, n (%) | 2 (25%) |
| Definite IgG4-RD, n (%) | 2 (25%) |
| Other auto-immune disorder, n (%) | 0 (0%) |
Disclaimer/Publisher’s Note: The statements, opinions and data contained in all publications are solely those of the individual author(s) and contributor(s) and not of MDPI and/or the editor(s). MDPI and/or the editor(s) disclaim responsibility for any injury to people or property resulting from any ideas, methods, instructions or products referred to in the content. |
© 2023 by the authors. Licensee MDPI, Basel, Switzerland. This article is an open access article distributed under the terms and conditions of the Creative Commons Attribution (CC BY) license (https://creativecommons.org/licenses/by/4.0/).
Share and Cite
Slijkhuis, B.G.C.; Liesker, D.J.; Konter, S.A.C.; Possel-Nicolai, A.; Bokkers, R.P.H.; Prakken, N.H.J.; Brouwer, E.; Slart, R.H.J.A.; van Roon, A.M.; Saleem, B.R.; et al. Ultrasound for the Detection of Inflammatory Abdominal Aortic Aneurysms: A Case and Validation Series. Diagnostics 2023, 13, 1669. https://doi.org/10.3390/diagnostics13101669
Slijkhuis BGC, Liesker DJ, Konter SAC, Possel-Nicolai A, Bokkers RPH, Prakken NHJ, Brouwer E, Slart RHJA, van Roon AM, Saleem BR, et al. Ultrasound for the Detection of Inflammatory Abdominal Aortic Aneurysms: A Case and Validation Series. Diagnostics. 2023; 13(10):1669. https://doi.org/10.3390/diagnostics13101669
Chicago/Turabian StyleSlijkhuis, Berend G. C., David J. Liesker, Sherilyn A. C. Konter, Annet Possel-Nicolai, Reinoud P. H. Bokkers, Niek H. J. Prakken, Elisabeth Brouwer, Riemer H. J. A. Slart, Arie M. van Roon, Ben R. Saleem, and et al. 2023. "Ultrasound for the Detection of Inflammatory Abdominal Aortic Aneurysms: A Case and Validation Series" Diagnostics 13, no. 10: 1669. https://doi.org/10.3390/diagnostics13101669
APA StyleSlijkhuis, B. G. C., Liesker, D. J., Konter, S. A. C., Possel-Nicolai, A., Bokkers, R. P. H., Prakken, N. H. J., Brouwer, E., Slart, R. H. J. A., van Roon, A. M., Saleem, B. R., & Mulder, D. J. (2023). Ultrasound for the Detection of Inflammatory Abdominal Aortic Aneurysms: A Case and Validation Series. Diagnostics, 13(10), 1669. https://doi.org/10.3390/diagnostics13101669

